Choroba Whipple’a
| morbus Whipple | |
| Klasyfikacje | |
| ICD-10 | |
|---|---|
Choroba Whipple’a (lipodystrofia jelitowa[1], także WD od ang. Whipple’s disease) – choroba zakaźna spowodowana przez bakterię Tropheryma whipplei[2][3]. Została po raz pierwszy opisana w 1907 roku przez George’a Whipple’a[4].
Epidemiologia
Choroba Whipple’a zaliczana jest do chorób bardzo rzadkich[1][5]. Na całym świecie każdego roku donosi się o około 30 zachorowaniach[1]. Częstość jej występowania jest szacowana na mniej niż 1/1 000 000 osób/rok[6].
Większość chorych pochodzi z Europy i Ameryki Północnej[1]. Chorują głównie mężczyźni w średnim wieku (około 50 lat)[1][6]. Choroba występuje niemal wyłącznie u ludzi rasy białej[1].
Z badań wynika, że u 26% pacjentów występują antygeny HLA B27.
Etiopatogeneza
Czynnikiem etiologicznym choroby Whipple’a są Gram-dodatnie laseczki zbliżone antygenowo do paciorkowców grup B oraz do Shigelli flexneri[1][7]. W 1992 roku zidentyfikowano drobnoustrój, nadając mu nazwę Tropheryma whipplei[1]. Dziewięć lat później, czyli w roku 2000, udało się tę bakterię wyhodować[8].
Zakażenie następuje drogą pokarmową[1][9]
Choroba Whipple’a polega na zakażeniu kilku narządów lub układów[1]. Najczęściej dotknięte są[1]:
- przewód pokarmowy
- układ sercowo-naczyniowy
- OUN
- układ oddechowy
- stawy
- skóra.
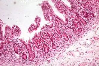
Zmiany polegają na nacieczeniu błony śluzowej jelita cienkiego przez charakterystyczne PAS-dodatnie makrofagi[10]. Siedliskiem zmian jest prawie zawsze przewód pokarmowy[1]. Zajęta przez chorobę krezka ulega pogrubieniu, a jej węzły chłonne są powiększone[1].
Objawy i przebieg

Chorobę Whipple’a można podzielić na kilka typów w zależności od zajętych przez chorobę układów oraz objawów[2]:
- postać klasyczna – rzadko występujące zakażenie przewlekłe, spektrum objawów, jakie mogą wystąpić jest bardzo szerokie
- postać przemijająca (ostra) – częstsza i przebiegająca ostro. Występuje najczęściej u dzieci, objawy to biegunka, gorączka i kaszel. Jest postacią łagodną, a po przechorowaniu następuje szybkie wyleczenie
- postać zlokalizowana – obejmuje procesem chorobowym inne układy niż pokarmowy, najczęściej zajmuje wsierdzie oraz ośrodkowy układ nerwowy. Zajęcie układu nerwowego przebiega ciężko i wiąże się ze złym rokowaniem
- bezobjawowe nosicielstwo – występuje u około 4% populacji ogólnej
- postać związana z immunosupresją – obejmuje pierwsze trzy postaci, które wystąpią u chorego z upośledzoną odpornością.
Najczęściej spotykanymi objawami choroby Whipple’a spowodowanymi przez zajęcie przewodu pokarmowego są bóle brzucha, chudnięcie (niekiedy bardzo nasilone), biegunka o charakterze tłuszczowym lub wodnistym[1]. Występują też bóle stawów (zazwyczaj dużych) o charakterze wędrującym oraz powiększenie obwodowych węzłów chłonnych[1]. Niekiedy ból stawów występuje wiele lat przed zajęciem przez chorobę jelit[1]. Rzadziej spotykane objawy to gorączka, dreszcze i kaszel[1][2]. W przypadku zajęcia układu krążenia występują szmery sercowe, obrzęki kończyn dolnych oraz wodobrzusze[1]. Czasami dochodzi do niewydolności serca[1]. Gdy dojdzie do rozprzestrzenienia się procesu chorobowego na układ nerwowego występuje demencja, drgawki kloniczne, opadanie powiek, oczopląs, zmiany osobowości oraz uszkodzenie podwzgórza, które objawia się zaburzeniami snu oraz polifagią i polidypsją[10].
Rozpoznanie

O rozpoznaniu przesądza obecność PAS-dodatnich makrofagów w blaszce właściwej błony śluzowej jelita cienkiego (tzw. komórki SPC = ang. sicleform particles containing cells = komórki z półksiężycowatymi wtrętami w cytoplazmie). Wycinki pobiera się w trakcie duodenoskopii lub za pomocą kapsułki Crosby’ego z okolicy więzadła Treitza. Obecność Tropheryma whipplei w wycinku można potwierdzić metodą PCR.
Badania pomocnicze
- wzrost OB
- zwiększone stężenie CRP
- hipoalbuminemia
Rozpoznanie różnicowe
- AIDS – podobne makrofagi występują u chorych zakażonych Mycobacterium avium intracellulare
- histoplazmoza
- makroglobulinemia
Leczenie
Leczenie skojarzone penicyliną i streptomycyną. W zapaleniu mózgu również ceftriaksonem lub chloramfenikolem (szybko przenika do płynu mózgowo-rdzeniowego). W profilaktyce nawrotów kotrimoksazol co najmniej przez 1 rok[12].
Rokowanie
Przy prawidłowym leczeniu rokowanie krótkotrwałe jest dobre. Pogarszają je:
- zajęcie OUN
- nawroty choroby
Przy nawrocie obowiązuje ten sam schemat leczenia, kontynuowany przez 6-12 miesięcy. Przy nawrocie ze strony OUN obowiązuje wprowadzenie do terapii leków przenikających do płynu mózgowo-rdzeniowego, na przykład chloramfenikolu.
Przypisy
- 1 2 3 4 5 6 7 8 9 10 11 12 13 14 15 16 17 18 19 Szczeklik i Gajewski 2017 ↓, s. 1009.
- 1 2 3 T. Marth, Systematic review: Whipple's disease (Tropheryma whipplei infection) and its unmasking by tumour necrosis factor inhibitors, „Alimentary Pharmacology & Therapeutics”, 41 (8), 2015, s. 709–724, DOI: 10.1111/apt.13140, ISSN 1365-2036, PMID: 25693648 [dostęp 2018-06-30].
- ↑ Xavier Puéchal, Whipple's disease, „Annals of the Rheumatic Diseases”, 72 (6), 2013, s. 797–803, DOI: 10.1136/annrheumdis-2012-202684, ISSN 1468-2060, PMID: 23291386 [dostęp 2018-06-30].
- ↑ Ute Günther i inni, Gastrointestinal Diagnosis of Classical Whipple Disease: Clinical, Endoscopic, and Histopathologic Features in 191 Patients, „Medicine”, 94 (15), 2015, DOI: 10.1097/MD.0000000000000714, ISSN 0025-7974, PMID: 25881849, PMCID: PMC4602506 [dostęp 2018-06-30].
- ↑ Marine Meunier i inni, Rheumatic and musculoskeletal features of Whipple disease: a report of 29 cases, „The Journal of Rheumatology”, 40 (12), 2013, s. 2061–2066, DOI: 10.3899/jrheum.130328, ISSN 0315-162X, PMID: 24187107 [dostęp 2018-07-01].
- 1 2 F. Biagi i inni, Prevalence of Whipple's disease in north-western Italy, „European Journal of Clinical Microbiology and Infectious Diseases”, 34 (7), 2015, s. 1347–1348, DOI: 10.1007/s10096-015-2357-2, ISSN 1435-4373, PMID: 25804189 [dostęp 2018-07-01].
- ↑ Caroline Compain i inni, Central Nervous System Involvement in Whipple Disease, „Medicine”, 92 (6), 2013, s. 324–330, DOI: 10.1097/MD.0000000000000010, ISSN 0025-7974, PMID: 24145700, PMCID: PMC4553994 [dostęp 2018-06-30].
- ↑ D. Raoult i inni, Cultivation of the bacillus of Whipple's disease, „The New England Journal of Medicine”, 342 (9), 2000, s. 620–625, DOI: 10.1056/NEJM200003023420903, ISSN 0028-4793, PMID: 10699161 [dostęp 2018-06-30].
- ↑ Florence Fenollar, Jean-Christophe Lagier, Didier Raoult, Tropheryma whipplei and Whipple's disease, „The Journal of Infection”, 69 (2), 2014, s. 103–112, DOI: 10.1016/j.jinf.2014.05.008, ISSN 1532-2742, PMID: 24877762 [dostęp 2018-07-01].
- 1 2 Szczeklik i Gajewski 2017 ↓, s. 1010.
- ↑ David Spoerl i inni, Multisegmental spondylitis due to Tropheryma whipplei: Case report, „Orphanet Journal of Rare Diseases”, 4, 2009, s. 13, DOI: 10.1186/1750-1172-4-13, ISSN 1750-1172, PMID: 19493331, PMCID: PMC2697142 [dostęp 2018-07-08].
- ↑ B. Neumeister i wsp.: Klinikleitfeden Labordiagnostik
Bibliografia
- Andrzej Szczeklik, Piotr Gajewski: Interna Szczeklika 2017. Kraków: Wydawnictwo Medycyna Praktyczna, 2017, s. 1009–1010. ISBN 978-83-7430-517-4.
- Włodzimierz Januszewicz, Franciszek Kokot, Witold Bartnik: Interna. 1. T. 1. Warszawa: Wydawnictwo Lekarskie PZWL, 2004. ISBN 83-200-2871-X.
- Gerd Herold, Jan Duława: Medycyna wewnętrzna. Repetytorium dla studentów medycyny i lekarzy. Warszawa: Wydawnictwo Lekarskie PZWL, 2005. ISBN 83-200-3322-5.
- Zdzisław Dziubek: Choroby zakaźne i pasożytnicze. Warszawa: Wydawnictwo Lekarskie PZWL, 2000. ISBN 83-200-2393-9.
Przeczytaj ostrzeżenie dotyczące informacji medycznych i pokrewnych zamieszczonych w Wikipedii.