Chromogranina A
Chromogranina A – należy do rodziny granin – neuroendokrynnych białek wydzielniczych. Wykrywana jest w pęcherzykach wydzielniczych neuronów oraz komórkach endokrynnych. U ludzi, chromogranina A jest kodowana przez gen CHGA[1].
Rozkład w tkankach
Przykładami komórek produkującymi chromograninę A są komórki chromochłonne rdzenia nadnerczy, przyzwojaka oraz komórki β trzustki.
Funkcja
Chromogranina A jest prekursorem aktywnych biologicznie peptydów: wazostatyny, pankreostatyny, katestatyny i parastatyny. Peptydy te hamują wydzielanie przez komórki neuroendokrynne hormonów działających autokrynnie i parakrynnie. Funkcje innych peptydów (chromostatyny, WE-14, GE25) pochodzących z chromograniny A są nieznane.
Chromogranina A może promować powstawanie pęcherzyków wydzielniczych.
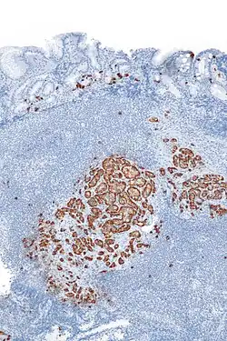
Znaczenie kliniczne

Stężenie chromograniny A jest podwyższone u pacjentów z guzem chromochłonnym (łac. pheochromocytoma)[2].
Jest również markerem używanym w raku trzustki, prostaty[3] i w rakowiaku[4]. U dzieci jest czuły testem umożliwiającym zdiagnozowanie neuroblastomy. Może odgrywać rolę w początkowej progresji guza. Jej poziom jest również podwyższony u chorych na cukrzycę. Oznaczenie chromograniny A może być używane w badaniach immunohistochemicznych w celu określenia stadium zaawansowania nowotworów neuroendokrynnych. Jest to wskaźnik o wysokiej czułości zarówno dla zmian łagodnych jak i złośliwych[5]. Ponadto podwyższone stężenie tego związku jest znamienne dla zaburzonej funkcji nerek, niewydolności wątroby oraz mięśnia sercowego.
Przypisy
- ↑ L.J. Helman i inni, Molecular cloning and primary structure of human chromogranin A (secretory protein I) cDNA, „Journal of Biological Chemistry”, 263 (23), 1988, s. 11559–11563, PMID: 3403545 [dostęp 2022-10-21] [zarchiwizowane z adresu 2005-08-28].
- ↑ Dario Cotesta i inni, High plasma levels of human chromogranin A and adrenomedullin in patients with pheochromocytoma, „Tumori”, 91 (1), 2005, s. 53–58, DOI: 10.1177/030089160509100110, PMID: 15850005 [dostęp 2022-10-21].
- ↑ J.T. Wu i inni, Elevated serum chromogranin A is detectable in patients with carcinomas at advanced disease stages, „Annals of Clinical and Laboratory Science”, 30 (2), 2000, s. 175–178, PMID: 10807161 [dostęp 2022-10-21].
- ↑ George C. Nikou i inni, Current diagnosis and treatment of gastrointestinal carcinoids in a series of 101 patients: the significance of serum chromogranin-A, somatostatin receptor scintigraphy and somatostatin analogues, „Hepato-Gastroenterology”, 52 (63), 2005, s. 731–741, PMID: 15966194 [dostęp 2022-10-21].
- ↑ Leong, Anthony S-Y, Cooper, Kumarason, Leong, F Joel W-M: Manual of Diagnostic Cytology. Wyd. 2. Greenwich Medical Media, Ltd., 2003, s. 159-160. ISBN 1-84110-100-1.