Rak trzustki

Rak trzustki
carcinoma pancreatis
Ilustracja
Liczne przerzuty raka trzonu trzustki do wątroby
Klasyfikacje
ICD-10

C25
Nowotwór złośliwy trzustki

Rak trzustki (łac. carcinoma pancreatis) – pierwotny nowotwór złośliwy trzustki pochodzenia nabłonkowego, różnicujący się w kierunku zewnątrzwydzielniczej części trzustki[1][2][3]. Histopatologicznie zdecydowaną większość raków trzustki u ludzi stanowi gruczolakorak przewodowy. Objawy choroby zależą od lokalizacji i wielkości guza. Ze względu na niespecyficzne (czyli niejednoznaczne) objawy wczesnego raka i częsty bezobjawowy początkowy przebieg, choroba jest rozpoznawana w zaawansowanym stadium. Do wczesnych objawów należą dolegliwości bólowe lub uczucie dyskomfortu brzucha, często o narastającym charakterze, wzdęcie, brak łaknienia, spadek masy ciała, biegunka i nudności. W późniejszym etapie choroby pojawia się żółtaczka, świąd skóry, ból w górnej części brzucha lub pleców, wymioty oraz (dalszy) spadek masy ciała. Objawem raka trzustki może być również nagłe pojawienie się cukrzycy lub nieprawidłowej tolerancji glukozy. Rozpoznanie choroby nowotworowej może być także poprzedzone ostrym zapaleniem trzustki. Przy zaawansowanej chorobie w badaniu fizykalnym często stwierdzany jest guz w nadbrzuszu, objaw Courvoisiera, powiększenie wątroby, wodobrzusze, próg Blumera i powiększenie niektórych węzłów chłonnych. Chorobie mogą towarzyszyć zakrzepica żył głębokich i wędrujące zakrzepowe zapalenie żył, zwane objawem Trousseau. W raku trzustki często występują depresja i zaburzenia lękowe.

Do najważniejszych czynników zagrożenia chorobą należą palenie tytoniu, nadwaga i otyłość, cukrzyca typu 2 oraz występowanie raka trzustki wśród najbliższych krewnych. Najistotniejszym z wymienionych jest palenie tytoniu. Ryzyko zachorowania rośnie z wiekiem: blisko połowa chorych ma ponad 75 lat, a tylko 13% jest poniżej 60. roku życia. Zapadalność na świecie jest bardzo zróżnicowana, największa w krajach wysokorozwiniętych. W Europie i Stanach Zjednoczonych rak trzustki stanowi czwartą z kolei przyczynę zgonów z powodu nowotworu złośliwego.

Kliniczne rozpoznanie stawia się na podstawie badań obrazowych, przede wszystkim tomografii komputerowej. Mają one na celu zakwalifikowanie choroby do jednej z trzech kategorii: choroby operacyjnej, choroby o granicznej operacyjności i choroby nieoperacyjnej. Rozpoznanie histopatologiczne jest stawiane na podstawie badania preparatu pooperacyjnego lub bioptatu z wykonanej biopsji.

Jedyną metodą pozwalającą na całkowite wyleczenie jest wykonanie radykalnej onkologicznie operacji. Rodzaj operacji zależy od lokalizacji choroby. W raku głowy trzustki wykonuje się pankreatoduodenektomię sposobem Kauscha-Whipple’a lub w modyfikacji Traverso-Longmire’a z odpowiednio szerokim wycięciem węzłów chłonnych. Leczenie operacyjne uzupełnia się chemioterapią adiuwantową z zastosowaniem gemcytabiny lub 5-fluorouracylu albo kapecytabiny. U części chorych operację poprzedza leczenie neoadiuwantowe. Leczenie choroby z przerzutami jest oparte na chemioterapii. U chorych w dobrym stanie ogólnym preferuje się program FOLFIRINOX, polegający na podawaniu 5-fluorouracylu, irynotekanu i oksaliplatyny albo gemcytabiny z nab-paklitakselem. Chorych w złym stanie ogólnym leczy się monoterapeutycznie gemcytabiną. Chorobę miejscowo zaawansowaną leczy się podobnie jak chorobę z przerzutami.

Objawy

Trzustka w stosunku do innych narządów

Prezentowane objawy choroby zależą od lokalizacji guza, jego wielkości, naciekania lub ucisku sąsiednich narządów lub innych struktur. Wczesny rak trzustki przebiega bezobjawowo lub objawy są niecharakterystyczne, dlatego choroba zwykle jest rozpoznawana w stadium zaawansowanym[4][5].

Do wczesnych, niecharakterystycznych objawów raka trzustki należą ból brzucha lub dyskomfort w jamie brzusznej, wzdęcie, brak łaknienia, spadek masy ciała, biegunka i nudności. Bardziej swoiste objawy są zazwyczaj związane z zaawansowaniem choroby nowotworowej. Do typowych objawów raka trzustki zalicza się żółtaczkę, świąd skóry, ból w nadbrzuszu lub plecach oraz wymioty[5]. U większości chorych w momencie rozpoznania stwierdza się ból brzucha, żółtaczkę i spadek masy ciała[6][4].

Ból jest zlokalizowany w nadbrzuszu – jednak może pojawić się w każdym kwadrancie brzucha – niekiedy promieniuje do pleców, rzadziej dotyka wyłącznie pleców[5]. Opisywany jest jako kłucie lub uczucie ucisku, może pogarszać się podczas leżenia na wznak, po posiłku lub w nocy[6]. Często ma charakter podstępny ze stopniowym narastaniem jego nasilenia, niejednokrotnie w przeciągu kilku miesięcy[6]. Może być efektem zamknięcia przewodu trzustkowego lub dróg żółciowych, nacieczenia albo ucisku nerwów, sąsiednich narządów, czy innych struktur[5]. Jest najczęstszym objawem stwierdzanym w raku trzustki[6].

Spadek masy ciała w momencie rozpoznania jest stwierdzany u 90% chorych. Chudnięcie wynika z utraty apetytu, nudności, wymiotów, zaburzeń trawienia i wchłaniania, szczególnie tłuszczów[5][6].

Żółtaczka zaporowa pojawia się u 50% chorych na raka trzustki, a w lokalizacji guza w głowie trzustki u 80% chorych. Żółtaczka jest bezbólowa i nie towarzyszy jej kolka żółciowa, a pojawia się różnego stopnia świąd skóry. Jest spowodowana zablokowaniem przepływu żółci przez drogi żółciowe. W raku głowy trzustki może być objawem wczesnym, ponieważ zablokowanie przewodu żółciowego wspólnego może występować nawet przy małych guzach. W guzach położonych w trzonie lub ogonie trzustki żółtaczka jest jednak efektem pojawienia się licznych przerzutów do wątroby i niewydolności niezniszczonego miąższu wątroby lub skutkiem przerzutów do węzłów chłonnych więzadła wątrobowo-dwunastniczego i ucisku przez nie na drogi żółciowe. Zablokowanie dróg żółciowych może przejawiać się objawem Courvoisiera, który polega na współwystępowaniu żółtaczki i bezbólowym powiększeniu pęcherzyka żółciowego, który może być wybadany palpacyjnie. Objaw pojawia się u mniej niż 25% chorych[5].

U 20–60% chorych rozpoznanie raka trzustki poprzedza nagłe pojawienie się cukrzycy lub nieprawidłowej tolerancji glukozy. Z kolei u 13% chorych rozpoznanie raka poprzedza ostre zapalenie trzustki. Zaawansowanej chorobie towarzyszą wymioty, niedrożność dwunastnicy, krwawienie z przewodu pokarmowego, powiększenie śledziony, osłabienie i kacheksja[5].

W zaawansowanej chorobie w badaniu fizykalnym bywają stwierdzalne guz w nadbrzuszu, powiększenie wątroby, wodobrzusze, próg Blumera, guzek siostry Mary Joseph (powiększony węzeł chłonny w okolicy pępka) i powiększenie węzłów chłonnych nadobojczykowych (węzeł Virchowa)[6][7]. Rakowi trzustki może towarzyszyć zakrzepica żył głębokich i wędrujące zakrzepowe zapalenie żył (objaw Trousseau)[5].

Często u chorych z rakiem trzustki występują zaburzenia depresyjne i zaburzenia lękowe. Zaburzenia te występują znacznie częściej niż w innych chorobach nowotworowych jamy brzusznej, w tym w przypadku raka żołądka. Niektóre badania sugerują brak różnicy częstości występowania zaburzeń depresyjnych pomiędzy chorymi świadomymi choroby nowotworowej i niewiedzącymi o niej[8][9]. W patogenezie zaburzeń depresyjnych u chorych na raka trzustki postuluje się udział cytokin prozapalnych: IL-6, IL-18 i TNF-α[9][10] lub wytwarzanie przeciwciał przeciwko serotoninie[11][6].

Zespoły paraneoplastyczne

Zespoły paraneoplastyczne są objawami towarzyszącymi nowotworom, ale powstającymi niezależnie od ich miejscowego wzrostu lub występowania przerzutów[12].

Rakowi trzustki mogą towarzyszyć zespoły paraneoplastyczne[13]:

Czynniki ryzyka

Do czynników ryzyka zachorowania na raka trzustki należą:

Palenie tytoniu

Palenie tytoniu jest najsilniejszym czynnikiem ryzyka zachorowania na raka trzustki

Palenie tytoniu jest najsilniejszym i najważniejszym środowiskowym czynnikiem ryzyka zachorowania na raka trzustki[17]. Wiąże się aż z 25–30% przypadków raka trzustki[17][18], stanowi więc najczęstszy czynnik etiologiczny choroby[19]. W analizie badań na łącznie 13 000 chorych na raka trzustki wykazano, że palenie aż 2,2-krotnie zwiększa ryzyko zachorowania[20]. Ryzyko zwiększa się proporcjonalnie wraz z ilością wypalonych papierosów[17]. Po zaprzestaniu palenia ryzyko powoli ulega zmniejszeniu, a po 10–20 latach niepalenia ryzyko zachorowania na raka trzustki spada do poziomu ryzyka populacyjnego[18]. Bierne palenie tytoniu prawdopodobnie w niewielkim stopniu zwiększa ryzyko zachorowania[21].

Otyłość

Indeks BMI. Nadwaga i otyłość są ważnymi modyfikowalnymi czynnikami ryzyka raka trzustki

Nadwaga i otyłość są ważnymi i modyfikowalnymi czynnikami zagrożenia rozwojem raka trzustki. Ryzyko zachorowania przy nadwadze (BMI 25–30 kg/m²) wzrasta 1,3-krotnie, a przy otyłości (BMI ≥30 kg/m²) 1,7-krotnie[22]. Szacuje się, że w niektórych populacjach do 25% przypadków raka trzustki jest spowodowana nadwagą i otyłością[23]. Otyłość jest również związana ze zwiększonym ryzykiem zgonu w przypadku wystąpienia raka trzustki[24][25].

Cukrzyca typu 2

Cukrzyca typu 2 jest istotnym czynnikiem ryzyka zachorowania na raka trzustki. Wykazano, że chorowanie na cukrzycę 1,5–2-krotnie zwiększa ryzyko zachorowania na raka trzustki[26][27][28]. Stanowi ona trzeci modyfikowalny czynnik ryzyka zachorowania obok palenia tytoniu i otyłości[29].

Cukrzyca lub nieprawidłowa tolerancja glukozy jest obserwowana nawet u 75% chorych z rakiem trzustki – znacząco częściej, niż w innych nowotworach złośliwych (30%) i populacji ogólnej, gdzie cukrzyca dotyka około 7% populacji[30][31]. Zależność jest dwukierunkowa, ponieważ wczesnym objawem raka trzustki jest cukrzyca lub stany przedcukrzycowe, a jednocześnie cukrzyca jest czynnikiem predysponującym do rozwoju raka[29].

Wykazano, że metformina (zalecany lek pierwszego rzutu w leczeniu cukrzycy typu 2) zmniejsza ryzyko zachorowania na raka trzustki u chorych z cukrzycą. W retrospektywnym badaniu kohortowym na niemal 63 000 chorych na raka trzustki wykazano, że metformina znacząco zmniejsza ryzyko zachorowania w porównaniu do leczenia insuliną lub innymi lekami przeciwcukrzycowymi, szczególnie pochodnych sulfonylomocznika[32]. Również inne badania potwierdzają ten trend[33][34]. Prawdopodobnie pochodne sulfonylomocznika zwiększają ryzyko zachorowania na raka trzustki[29][32][35].

Przewlekłe zapalenie trzustki

Przewlekłe zapalenie trzustki jest postępującą chorobą zapalną prowadzącą do zwłóknienia narządu i w konsekwencji do niewydolności zewnątrzwydzielniczej, objawiającej się przewlekłym, silnym bólem brzucha, przewlekłą biegunką i niedożywieniem, oraz niewydolności wewnątrzwydzielniczej, prowadzącej do wtórnej cukrzycy. Główną przyczyną przewlekłego zapalenia trzustki jest nadmierne spożywanie alkoholu, przyczyniają się do niego również palenie tytoniu i nawracające ostre zapalenie trzustki[36].

Przewlekłe zapalenie trzustki 13-krotnie zwiększa ryzyko zachorowania na raka trzustki[18][37][38]. Rak rozwija się po 10–20-letnim okresie występowania przewlekłego zapalenia trzustki[37][38]. Przewlekłe zapalenie trzustki jest stosunkowo rzadką przyczyną raka trzustki, dotyczy od 5% do 10% chorych na tę chorobę[39]. Do zwiększonego ryzyka zachorowania prowadzą zarówno etiologia alkoholowa przewlekłego zapalenia trzustki, jak i przyczyny niealkoholowe[17]. Znacząco wyższe ryzyko zachorowania dotyczy dziedzicznego zapalenia trzustki i prawdopodobnie tropikalnego zapalenia trzustki[17].

Dziedziczne zapalenie trzustki

Dziedziczne zapalenie trzustki jest chorobą uwarunkowaną genetycznie dziedziczoną autosomalnie dominująco. Najczęstszą mutacją stwierdzaną w tej chorobie jest mutacja genu PRSS1. Choroba charakteryzuje się licznymi nawracającymi napadami ostrego zapalenia trzustki, które pojawiają się już w dzieciństwie lub młodości. Prowadzi to do przewlekłego zapalenia trzustki już w okresie dojrzewania lub wczesnej dorosłości i zwiększonego ryzyka raka trzustki[40]. Rak zwykle rozwija się w piątej dekadzie życia i pojawia się u 25–40% chorych[40][41][42].

Tropikalne zapalenie trzustki

Jest to typ przewlekłego zapalenia trzustki występujący głównie w krajach tropikalnych o nieznanej etiologii. U 20–50% chorych wykrywa się mutację genu SPINK1. Choroba zwykle pojawia się w młodym wieku i prowadzi do przewlekłego bólu brzucha i wtórnej cukrzycy. Ryzyko pojawienia się raka jest trudne do oszacowania[43]. W badaniach prowadzonych pod kierownictwem H. Ramesha, w ciągu ośmioletniej obserwacji, u 8,3% chorych na tropikalne zapalenie trzustki rozwinął się rak trzustki[43][44].

Alkohol

Alkohol jest głównym czynnikiem wywołującym przewlekłe zapalenie trzustki, będące istotnym czynnikiem ryzyka zachorowania na raka. Jednak rola spożywania alkoholu etylowego w patogenezie raka trzustki nie jest do końca jasna. Wiadomo, że niskie i umiarkowane spożycie alkoholu nie zwiększa ryzyka zachorowania na raka trzustki[21][45]. Prawdopodobnie tylko u osób przewlekle spożywających duże ilości alkoholu (>30–40 g czystego etanolu dziennie) odgrywa on rolę w powstawaniu tej choroby[45][46][47][48]. Nadmierne spożycie alkoholu jest zwykle związane z paleniem tytoniu i możliwe, że etanol jest kokarcynogenem wzmacniającym rakotwórczość palenia tytoniu[18].

Dieta i aktywność fizyczna

Warzywa, owoce i produkty bogate w błonnik wykazują działanie ochronne przed powstaniem raka trzustki.

Dieta jest bezpośrednio związana z ryzykiem zachorowania na raka trzustki. Nadmierna ilość kalorii sprzyja pojawieniu się otyłości i cukrzycy typu 2, a więc czynników ryzyka raka trzustki. Nadmierne spożywanie tłuszczów, szczególnie nasyconych, i czerwonego mięsa sprzyja powstawaniu raka trzustki[49][50][51][52].

Ochronne działanie wykazują warzywa i owoce[53][54][55], a także błonnik[56][57][58].

Umiarkowana aktywność fizyczna również zmniejsza ryzyko zachorowania[25][52]. Prawdopodobnie jest to związane ze zmniejszeniem insulinooporności[52].

Czynniki infekcyjne

Zakażenie Helicobacter pylori może być czynnikiem ryzyka rozwoju raka trzustki. Wyniki badań oceniających związek zakażenia Helicobacter pylori z rakiem trzustki są niespójne[59][60][61]. Kilka badań, w tym metaanaliz, wskazuje na wzrost ryzyka rozwoju raka trzustki[62][63][63][63], szczególnie w przypadku obecności cytotoksyny cagA[64][65][66], choć część badań wskazuje na brak istotnego statystycznie związku pomiędzy cagA a rakiem trzustki[63][67]. Z kolei inne badania wskazują na brak związku zakażenia z rakiem[68][69][70] lub wręcz jego niższe ryzyko w populacjach azjatyckich[71].

Grupa krwi w układzie ABO

Grupa krwi A wiąże się z większym ryzykiem rozwinięcia raka trzustki[72][73][74][75]. Grupa 0 jest związana z mniejszym ryzykiem raka trzustki w porównaniu do innych grup krwi z układu ABO[73][75].

Występowanie rodzinne i czynniki genetyczne

Jak każdy nowotwór złośliwy rak trzustki może występować pod postacią sporadyczną i rodzinną. W postaci sporadycznej choroba jest efektem kombinacji narażenia na niekorzystne czynniki środowiskowe i przypadkowych zmian genetycznych i epigenetycznych. W postaci rodzinnej występuje genetycznie uwarunkowane w równym stopniu zwiększone ryzyko zachorowania. Postacie rodzinne stanowią około 10% przypadków raka trzustki[76].

Rodzinny rak trzustki (familial pancreatic cancer)

Rodzinny rak trzustki jest definiowany jako występowanie dwóch lub więcej przypadków raka trzustki u krewnych pierwszego stopnia, przy czym takie rodziny nie spełniają kryteriów innych zespołów predyspozycji genetycznej do nowotworów[40]. U 5–10% chorych stwierdza się występowanie raka trzustki u krewnych[77]. Pojawienie się raka trzustki u dwóch krewnych pierwszego stopnia 18-krotnie zwiększa ryzyko zachorowania na tę chorobę, a gdy rak pojawił się u trzech krewnych pierwszego stopnia, zagrożenie jest zwiększone aż 57-krotnie[78].

BRCA1 i BRCA2

BRCA1 i BRCA2genami supresorowymi, których mutacja jest związana z bardzo wysokim ryzykiem rozwoju raka sutka i jajnika. Mutacja BRCA2 również zwiększa ryzyko raka dróg żółciowych, raka pęcherzyka żółciowego, raka prostaty, raka żołądka i raka trzustki. Wykazano, że w mutacji BRCA2 względne ryzyko zachorowania na raka trzustki wynosi 3,51[79]. Ryzyko wystąpienia innego nowotworu niż rak piersi lub jajnika w mutacji BRCA1 jest niewielkie, choć obserwuje się zwiększone ryzyko zachorowania na raka trzustki[80].

Zespół Lyncha (dziedziczny rak jelita grubego niezwiązany z polipowatością, HNPCC)

Zespół Lyncha jest zespołem predyspozycji do nowotworów, związanym przede wszystkim ze zwiększonym zagrożeniem rakiem jelita grubego oraz trzonu macicy, a także rakiem trzustki[81]. Prawdopodobnie zespół Lyncha siedmiokrotnie zwiększa ryzyko zachorowania na raka trzustki[40][82].

Zespół znamion dysplastycznych (FAMMMS)

Zespół znamion dysplastycznych (zespół znamion atypowych) jest zespołem charakteryzującym się występowaniem bardzo licznych znamion atypowych (> 50–100) i zwiększoną predyspozycją do zachorowania na czerniaka. Zespół jest spowodowany mutacją genu supresorowego CDKN2A (p16) zlokalizowanego na chromosomie 9 (p21). Zespół wiąże się z 2–28-krotnie zwiększonym ryzykiem czerniaka u chorych bez występowania tego nowotworu w rodzinie i 150-krotnie zwiększonym ryzykiem u chorych, u których czerniak występował w rodzinie[83].

Rak trzustki jest drugim najczęściej występującym nowotworem w zespole znamion dysplastycznych. Ryzyko zachorowania w zespole jest 13–22-krotnie większe niż ryzyko populacyjne[76][84]. Szacuje się, że prawdopodobieństwo zachorowania na czerniaka do 80. roku życia wynosi 60–80%, a na raka trzustki do 75. roku życia około 20%[76]. Istnieją doniesienia o innych nowotworach współwystępujących z zespołem, ale ich korelacja z zespołem nie jest jasna[76][85].

Zespół Peutza-Jeghersa

Zespół Peutza-Jeghersa jest zespołem zwiększonej predyspozycji genetycznej do nowotworów złośliwych charakteryzującym się obecnością hamartomicznych polipów w przewodzie pokarmowym, melanozą skóry i błony śluzowej (głównie warg ust, jamy ustnej oraz odbytu), a także zwiększonym ryzykiem zachorowania na raka żołądka, jelita cienkiego, jelita grubego, trzustki, przełyku, sutka, szyjki macicy, trzonu macicy, jajnika, płuca i jądra[86][87].

Zespół jest dziedziczony autosomalnie dominująco i jest uwarunkowany mutacją genu supresorowego LKB1 (STK11). Ryzyko zachorowania na raka trzustki jest 76-krotnie zwiększone i ryzyko zachorowania do 70. roku życia wynosi 26%[76][88].

Rodzinna polipowatość gruczolakowata (FAP)

Rodzinna polipowatość gruczolakowata jest zespołem predyspozycji do nowotworów uwarunkowanym mutacją w genie APC. W zespole występują liczne gruczolaki na całej długości jelita grubego i cienkiego, a także w żołądku, co predysponuje do wystąpienia raka jelita grubego, którego ryzyko wynosi niemal 100%[89]. Polipy występują u 50% chorych w wieku 15 lat i 95% chorych w wieku 35 lat[90]. Rak jelita grubego pojawia się średnio około 35. roku życia, rzadko przed 20. rokiem życia[90].

Rodzinnej polipowatości gruczolakowatej towarzyszą również inne nowotwory złośliwe i łagodne, w tym rak tarczycy, gruczolakorak jelita cienkiego, wątrobiak zarodkowy, rak trzustki, żołądka i nadnercza, gruczolak nadnercza, guzy mózgu, przede wszystkim rdzeniak[90]. Ryzyko raka trzustki jest 4,5-krotnie zwiększone[91][92][93].

Narażenie zawodowe

Zaobserwowano zwiększone ryzyko zachorowania na raka trzustki w wyniku narażenia zawodowego na chloropochodne węglowodorów, pestycydy (szczególnie insektycydy polichlorowe), aldehyd mrówkowy, rozpuszczalniki organiczne, wielopierścieniowe węglowodory aromatyczne, związki chromu i pył krzemionkowy[17][39].

Ich wkład w pojawienie się raka trzustki jest jednak stosunkowo niewielki, prawdopodobnie odpowiadają za około 5% przypadków[17][39]. Dodatkowo bardzo trudno oddzielić ich wpływ od efektów palenia tytoniu, który jest pospolitszym czynnikiem ryzyka[17].

Zapobieganie

Profilaktyka raka trzustki jest oparta na walce z czynnikami ryzyka, w tym z paleniem tytoniu i otyłością

Zapobieganie rakowi trzustki jest oparte na walce z modyfikowalnymi czynnikami ryzyka.

Profilaktyka pierwotna

Profilaktyka pierwotna obejmuje zwalczanie czynników ryzyka choroby. Jest oparta na wpływie na modyfikowalne czynniki ryzyka, szczególnie przez zwalczanie palenia tytoniu, otyłości i zapobieganie cukrzycy. Palenie tytoniu jest najważniejszym czynnikiem ryzyka, a ryzyko jest proporcjonalne do ilości wypalonych papierosów lub innych wyrobów tytoniowych, dlatego ważne w zapobieganiu rakowi trzustki jest rzucenie palenia u palaczy oraz niezaczynanie palenia tytoniu u niepalących. Programy zdrowia publicznego powinny zniechęcać do palenia, które jest czynnikiem ryzyka nie tylko raka trzustki, ale również chorób układu krążenia łącznie z zawałem mięśnia sercowego i innych nowotworów złośliwych, w tym raka płuca, sutka, pęcherza moczowego i nowotworów głowy i szyi. Kolejnym modyfikowalnym czynnikiem ryzyka jest nadwaga lub otyłość i powiązane z nimi nieprawidłowa, nadmiernie kaloryczna dieta, insulinooporność i cukrzyca typu 2. Kontrola właściwej masy ciała pomaga zapobiegać cukrzycy i rakowi trzustki. Dieta powinna zawierać zbilansowaną ilość kalorii, co pomaga walczyć z otyłością i cukrzycą, należy także ograniczać ilość spożywanego czerwonego mięsa i tłuszczów. Produkty bogate w błonnik oraz świeże warzywa i owoce wykazują działanie ochronne przed rakiem trzustki, ponadto pomagają ograniczać wagę. Aktywność fizyczna wspiera w utrzymaniu prawidłowej wagi i również wykazuje działanie ochronne w raku trzustki. Nie zaleca się nadmiernego spożywania alkoholu, który sprzyja powstawaniu przewlekłego zapalenia trzustki, będącego czynnikiem ryzyka zachorowania na raka[94][95].

Profilaktyka wtórna

Profilaktyka wtórna obejmuje wczesne rozpoznawanie zmian przednowotworowych na podstawie badań przesiewowych. Jednak niestety nie istnieją skuteczne badania przesiewowe, dzięki którym można by rozpoznać wczesnego raka trzustki[94].

W sytuacji obciążającego wywiadu rodzinnego w kierunku raka trzustki lub występowaniu pewnych rzadkich uwarunkowanych genetycznie zespołów predyspozycji do nowotworów stosuje się badania przesiewowe za pomocą badań obrazowych[17].

Do takich badań kwalifikuje się chorych[96]:

  • z przynajmniej 2 krewnymi chorymi na raka trzustki, przy czym przynajmniej z 1 krewnym I stopnia
  • nosicieli mutacji p16, BRCA2, PALB2 z przynajmniej 1 krewnym I stopnia chorym na raka trzustki
  • z zespołem Peutza-Jeghersa
  • z zespołem Lyncha z przynajmniej 1 krewnym I stopnia chorym na raka trzustki
  • z dziedzicznym zapaleniem trzustki.

Epidemiologia

Umieralność na raka trzustki na świecie standaryzowana wiekiem w 2004 roku

W 2012 roku na świecie rozpoznano 338 000 nowych przypadków raka trzustki i 330 000 zgonów z powodu tego nowotworu[97][98]. Pod względem zapadalności na świecie stanowi jedenasty nowotwór u kobiet i dwunasty u mężczyzn[99][98]. Na świecie zajmuje 5 lub 6 miejsce pod względem umieralności[100].

Obserwuje się znaczne różnice zapadalności, które różnią się nawet siedmiokrotnie w różnych krajach[97]. Rak trzustki najczęściej dotyczy krajów wysokorozwiniętych. W Europie i Stanach Zjednoczonych rak trzustki stanowi 4 przyczynę zgonów z powodu nowotworu złośliwego u mężczyzn po raku płuc, jelita grubego, prostaty i u kobiet po raku piersi, raku płuc oraz raku jelita grubego[101][102][103].

Obserwuje się systematyczny wzrost zapadalności i umieralności, co jest związane z epidemią otyłości, starzeniem się populacji i innych nieznanych jeszcze przyczyn[102]. W 2009 roku w Europie odnotowano 75 439 zgonów z powodu raka trzustki, a w 2014 już 82 300 zgonów[101].

Ryzyko zachorowania wzrasta z wiekiem. Większość zachorowań dotyczy osób starszych[17]. 90% chorych jest po 50. roku życia[104], tylko 13% chorych w momencie rozpoznania jest poniżej 60. roku życia, a ponad 50% ma powyżej 75 lat[17]. Ryzyko zachorowania poniżej 50-55. roku życia jest niskie – 10,4/100 000 – i gwałtownie wzrasta do 73,5/100 000 w wieku 75–79 lat[21]. We wczesnym wieku zachorowania często stwierdza się rodzinne występowanie choroby[17]. Ryzyko zachorowania jest większe u mężczyzn (13,5/100 000) niż u kobiet (10,8/100 000), co prawdopodobnie wiąże się z większym rozpowszechnieniem czynników ryzyka u mężczyzn[21][105].

Polska jest krajem o niższej zapadalności niż średnia europejska, choć również w Polsce obserwuje się rosnącą zapadalność na ten nowotwór[104]. Zapadalność na raka trzustki wynosi 5,8/100 000 u mężczyzn i 4/100 000 u kobiet[100]. W Polsce w 2011 roku zarejestrowano około 1700 nowych przypadków choroby u mężczyzn i 1700 nowych przypadków choroby u kobiet, zarejestrowano również około 2200 zgonów mężczyzn i 2250 zgonów u kobiet[106]. Pod względem zachorowalności rak trzustki zajmuje 10 miejsce u mężczyzn i 12 miejsce u kobiet, a pod względem umieralności 6 miejsce u mężczyzn i 7 miejsce u kobiet[105]. Stanowi on 2,3% wszystkich nowotworów rozpoznawanych w Polsce[104].

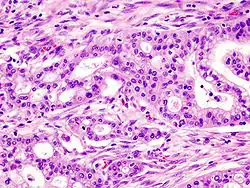
Histopatologia

Gruczolakorak trzustki widoczny w górnej połowie jej głowy, po lewej fragment dwunastnicy i odźwiernika (preparat po operacji Whipple’a)
Rak gruczołowy przewodowy (barwienie H+E)
Rak gruczołowy przewodowy (barwienie H+E)

Podział nabłonkowych nowotworów złośliwych zewnątrzwydzielniczej części trzustki w klasyfikacji WHO z 2010 roku[107][108]:

  • rak gruczołowy przewodowy, gruczolakorak przewodowy (ang. ductal adenocarcinoma, ICD-O 8500/3)
    • rak śluzowy (ang. mucinous noncystic carcinoma, ICD-O 8480/3)
    • rak sygnetowatokomórkowy (ang. signet-ring cell carcinoma, ICD-O 8490/3)
    • rak gruczołowo-płaskonabłonkowy (ang. adenosquamous carcinoma, ICD-O 8560/3)
    • rak niezróżnicowany (ang. undifferentiated [anaplastic] carcinoma, ICD-O 8020/3)
    • rak niezróżnicowany z komórkami olbrzymimi typu osteoklasta (ang. undifferentiated carcinoma with osteoclast-like giant cells, ICD-O 8035/3)
    • rak mieszany przewodowo-endokrynny (ang. mixed ductal-endocrine carcinoma, ICD-O 8154/3)
  • gruczolakotorbielakorak surowiczy (ang. serous cystadenocarcinoma, ICD-O 8441/3)
  • nowotwory śluzowe torbielowate (ang. mucinous cystic neoplasm, ICD-O 8470/3)
    • nieinwazyjne (ang. noninvasive, ICD-O 8470/2)
    • inwazyjne (ang. invasive, ICD-O 8470/3)
  • rak wewnątrzprzewodowy śluzowy brodawkowaty (ang. intraductal papillary mucinous carcinoma, ICD-O 8453/3)
    • nieinwazyjny (ang. noninvasive, ICD-O 8453/2)
    • inwazyjny (ang. invasive, ICD-O 8453/3)
  • rak z komórek zrazikowych (ang. acinar cell carcinoma, ICD-O 8550/3)
    • gruczolakotorbielakorak z komórek zrazikowych (ang. acinar cell cystadenocarcinoma, ICD-O 8551/3)
    • rak mieszany zrazikowo-endokrynny (ang. mixed acinar-endocrine carcinoma, ICD-O 8154/3)
  • pankreatoblastoma (nowotwór płodowy trzustki) (ang. pancreatoblastoma, ICD-O 8971/3)
  • rak pseudobrodawkowaty lity (ang. solid pseudopapillary carcinoma, ICD-O 8452/3).

Określenie rak trzustki jest odnoszone do nowotworów złośliwych pochodzenia nabłonkowego wywodzących się z części zewnątrzwydzielniczej[2]. Nowotwory złośliwe, a także łagodne, części wewnątrzwydzielniczej klasyfikuje się jako guzy neuroendokrynne trzustki; stanowią one od 1% do 2% nowotworów trzustki[109].

Chociaż komórki tworzące pęcherzyki stanowią większość komórek tkanki trzustki, to wywodzące się z nich nowotwory są rzadkie. Zdecydowana większość nowotworów złośliwych pochodzi z komórek tworzących przewody wyprowadzające[110].

Rak gruczołowy przewodowy stanowi 80–85% wszystkich nowotworów trzustki[111]. 60–70% guzów jest zlokalizowana w głowie trzustki, 5–10% w trzonie trzustki i 15–20% w ogonie trzustki, a w 20% przypadków nowotwór zajmuje cały narząd[112][111]. Guzy mogą rzadko dotyczyć ektopowej tkanki trzustki (obecność tkanki trzustki poza trzustką)[111]. Mikroskopowo nie stwierdza się różnic pomiędzy rakami trzustki wywodzącymi się z różnych części tego narządu[112].

Rak gruczołowy przewodowy

Rak gruczołowy przewodowy stanowi 80–85% wszystkich przypadków nowotworów złośliwych trzustki. Najczęściej jest zlokalizowany w głowie trzustki, rzadziej w trzonie i ogonie. Makroskopowo są to twarde, słabo odgraniczone guzy, na przekroju koloru żółtego lub białego. Obszary martwicy lub krwotoków nie są częste, mogą być widoczne mikrotorbiele[111].

Gruczolakoraki przewodowe są to zwykle nowotwory dobrze lub średnio zróżnicowane (niski i pośredni stopień złośliwości histologicznej). Mikroskopowo charakteryzują się występowaniem dość dobrze rozwiniętych struktur gruczołowych, przypominających struktury prawidłowego utkania trzustki. W obrębie guza mogą występować różnice zróżnicowania, ale rzadko są obecne ogniska raka o niskim zróżnicowaniu w obrębie raka o wysokim zróżnicowaniu[113].

W wysoko zróżnicowanym raku występują duże struktury przypominające przewody w połączeniu ze średniej wielkości nowotworowymi gruczołami. Typowo występuje cewkowy lub sitowy wzór gruczołów. Gruczoły nowotworowe są niecałkowicie uformowane lub przerwane. Zrąb jest desmoplastyczny, a duża zawartość włókien stanowi przyczynę twardej konsystencji. Pomiędzy nowotworowymi gruczołami mogą występować wyspy prawidłowego utkania tkanki trzustki, zawierające nienowotworowe, prawidłowe gruczoły, pęcherzyki trzustkowe i wysepki trzustkowe. Możliwe jest tak wysokie zróżnicowanie nowotworu, że pod mikroskopem bardzo trudno rozróżnić go od prawidłowej tkanki. Atypowe komórki są walcowatego kształtu, zwykle większe od prawidłowych komórek; zawierają eozynofilną lub bladą cytoplazmę, zawierają duże okrągłe lub owalne jądro komórkowe o zróżnicowanej wielkości. Zwykle wytwarzają mucyny. Mimo występowania jądra komórkowego przy podstawie komórki obserwuje się utratę polaryzacji komórki. Aktywność mitotyczna jest niska[113].

W umiarkowanie zróżnicowanym gruczolakoraku przewodowym obserwuje się mieszaninę średniej wielkości struktur przypominających przewody lub cewki osadzone w desmoplastycznym zrębie. Częste jest niecałkowite uformowanie gruczołów. Komórki wykazują większe zróżnicowanie wielkości jądra komórkowego i są widoczne jąderka w porównaniu do raka wysoko zróżnicowanego. Często widoczne są figury mitotyczne. Cytoplazma komórek jest eozynofilna lub blada, produkcja mucyn jest mniejsza niż w gruczolakoraku wysoko zróżnicowanym. Mogą występować ogniska niskiego lub nieregularnego zróżnicowania, szczególnie w obrębie brzegów nowotworu naciekającego tkanki okołotrzustkowe[113].

Gruczolakoraki nisko zróżnicowane są rzadkie. Są zbudowane z licznych, ściśle upakowanych, nieregularnych gruczołów, ale mogą również występować jako lite guzy zbudowane z warstw lub gniazd atypowych komórek. Komórki mogą być płaskie lub wrzecionowate, wykazują znaczny pleomorfizm i nie produkują mucyn. Występuje znaczna aktywność mitotyczna. Mogą występować ogniska anaplastyczne, które z definicji nowotworu nigdy nie przekraczają 20% guza. Może być obecny naciek z komórek zapalnych. W obrębie brzegu nowotworu okoliczne tkanki są nacieczone przez osobne gniazda komórek nowotworowych[113].

Warianty histopatologiczne gruczolakoraka przewodowego:

  • rak śluzowy
  • rak sygnetowatokomórkowy
  • rak gruczołowo-płaskonabłonkowy
  • rak niezróżnicowany
  • rak niezróżnicowany z komórkami olbrzymimi typu osteoklasta
  • rak mieszany przewodowo-endokrynny.
Rak śluzowy

Jest to rzadki wariant gruczolakoraka przewodowego, stanowi tylko 1–3% wszystkich przypadków raka trzustki. Guzy raka śluzowego mogą osiągać duże rozmiary, zwykle są dobrze odgraniczone. Rak śluzowy charakteryzuje się znaczną zawartością mucyn, przekraczającą 50%. Mikroskopowo złożony jest z dużych pól mucyn częściowo pokrytych przez dobrze zróżnicowane sześcienne komórki, występują też sznury lub grudki komórek nowotworowych[114]. Składowa inwazyjna wewnątrzprzewodowego brodawkowatego nowotworu śluzowego (IPMN) może przypominać raka śluzowego[115][114].

Rak sygnetowatokomórkowy

Jest to niezwykle rzadki wariant gruczolakoraka przewodowego. Składa się z komórek wypełnionych mucynami[114].

Rak gruczołowo-płaskonabłonkowy

Jest to rzadki wariant gruczolakoraka przewodowego, stanowi tylko 3–4% wszystkich przypadków raka trzustki. Zawiera w różnych proporcjach elementy gruczołowe produkujące mucyny i elementy płaskonabłonkowe. Komponenta nabłonkowa musi stanowić przynajmniej 30% tkanki guza. Bardzo rzadko występuje wyłącznie rak płaskonabłonkowy[114].

Rak niezróżnicowany

Stanowi od 2 do 7% przypadków raka trzustki. Guzy są zbudowane z dużych pleomorficznych eozynofilnych komórek lub owalnych do wrzecionowatych komórek tworzących spoiste formacje z ubogim włóknistym zrębem. Nowotwór często zawiera małe ogniska nowotworowych gruczołów. W raku niezróżnicowanym obserwuje się wysoki indeks mitotyczny oraz wysoki stopień inwazji naczyń limfatycznych, krwionośnych i nerwów[114].

Rak niezróżnicowany z komórkami olbrzymimi typu osteoklasta

Jest to rzadki nowotwór. Jest złożony z komórek pleomorficznych lub wrzecionowatych z rozproszonymi nienowotworowymi dużymi komórkami przypominającymi osteoklasty, zawierających ponad 20 jąder komórkowych. Komórki podobne do osteoklastów często są położone w pobliżu miejsca krwawienia, mogą zawierać hemosyderynę i okazjonalnie sfagocytowane komórki jednojądrzaste. Obecna bywa osseina[114].

Rak mieszany przewodowo-endokrynny

Składa się z jednorodnej mieszaniny komórek przewodowych i endokrynnych stanowiących przynajmniej 33% tkanki guza. Komórki endokrynne charakteryzują się obecnością markerów neuroendokrynnych lub obecnością wytwarzanych hormonów[116].

Gruczolakotorbielakorak surowiczy

Jest to złośliwy nowotwór gruczolakotorbielowaty złożony z komórek bogatych w glikogen. Jest wyjątkowo rzadkim guzem, do tej pory opisano tylko jego pojedyncze przypadki. Makroskopowo cechują się gąbczastym wyglądem. Mikroskopowo jest podobny do gruczolakotorbielaka surowiczego[117].

Nowotwory śluzowe torbielowate

Łagodny nowotwór śluzowy torbielowaty

Nowotwory śluzowe torbielowate (MCM) stanowią od 2% do 5% wszystkich nowotworów zewnątrzwydzielniczej części trzustki. Nowotwory śluzowe torbielowate są dzielone na gruczolakotorbielaki, nowotwory o granicznej złośliwości oraz raki nieinwazyjne i inwazyjne[118].

Większość z tych nowotworów jest zlokalizowana w trzonie trzustki, głowa jest rzadko zajęta, częściej występują tam raki śluzowe torbielowate[118]. Objawy nowotworu zależą od wystąpienia objawów uciskowych sąsiednich struktur[119]. We krwi mogą być obecne markery: CEA, CA 19-9, a w płynie w torbieli CEA, CA 19-9, CA 72-4 (TAG-72), CA 15-3 lub MCA (ang. mucin-like carcinoma-associated antigen)[119].

Nowotwory śluzowe torbielowate makroskopowo są widoczne jako guzy o gładkiej powierzchni otoczone włóknistą pseudotorebką. Guz może być jednokomorowy lub wielokomorowy, a torbiele wykazują wielkość od kilku milimetrów do kilku centymetrów i mogą zawierać mucyny lub materiał krwotoczno-martwiczy. Złośliwe nowotwory śluzowe torbielowate zwykle posiadają brodawkowate „wypustki”, guzki śródścienne i są wielokomorowe. Najczęściej nie mają łączności z przewodem trzustkowym[119].

Mikroskopowo, łagodne nowotwory śluzowe torbielowate wykazują tylko niewielkie zwiększenie wielkości jądra komórkowego, które jest położone u podstawy komórki. Mitozy są niewidoczne. Nowotwory śluzowe torbielowate o granicznej złośliwości wykazują obecność nieznacznie powiększonego jądra komórkowego, obecność mitoz, mogą posiadać brodawkowate „wypustki” i pseudowielorzędowość komórek[119]. Raki śluzowe torbielowate mogą być nieinwazyjne lub inwazyjne. Komórki często tworzą nieregularnie rozgałęzione brodawki z pączkowaniem, występuje znaczna atypia i liczne mitozy. Raki inwazyjne cechują się obecnością inwazji atypowych komórek do zrębu, a komponent inwazyjny przypomina gruczolakorak przewodowy[120].

Rak wewnątrzprzewodowy śluzowy brodawkowaty

Wewnątrzprzewodowy brodawkowaty nowotwór śluzowy, obraz MRCP. Widoczna torbielowata przestrzeń posiadająca łączność z przewodem trzustkowym.

Wewnątrzprzewodowe brodawkowate nowotwory śluzowe (IPMN) są to nowotwory występujące głównie w przewodzie trzustkowym i jego dużych odgałęzieniach. Szacuje się, że stanowią od 1% do 3% nowotworów zewnątrzwydzielniczej części trzustki.

Nowotwory te cechują się zmienną inwazyjnością, nabłonkowym komponentem brodawkowatym i zdolnością do produkcji mucyn. Wewnątrzprzewodowe brodawkowate nowotwory śluzowe są dzielone na nowotwory łagodne, nowotwory o granicznej złośliwości oraz raki nieinwazyjne i inwazyjne[121].

Klinicznie może występować ból w nadbrzuszu, zapalenie trzustki, żółtaczka, spadek masy ciała i cukrzyca, ale u części chorych nowotwór jest całkowicie bezobjawowy i jest przypadkowo wykrywany podczas diagnostyki obrazowej wykonanej z innego powodu niż podejrzenie choroby nowotworowej[121].

Guzy są różnej wielkości w zależności od stopnia poszerzenia przewodu trzustkowego i tworząc torbiel trzustki mogą osiągać od 1 do 8 cm. W sytuacji gdy nowotwór zajmuje kilka odgałęzień, guz może być wielotorbielowaty. Wnętrze torbieli może być gładkie, ale może zawierać wypełniające ją brodawkowate masy. Otaczający guz miąższ trzustki może charakteryzować się zmianami typowymi dla przewlekłego obturacyjnego zapalenia trzustki[122].

Mikroskopowo guz jest utworzony przez nabłonek walcowaty, wytwarzający mucyny wyścielający poszerzone przewody lub torbiele. Nabłonek tworzy brodawkowate lub pseudobrodawkowate struktury, ale część guza może być wyłożona nabłonkiem nietworzącym brodawek. Ilość wytwarzanej mucyny jest zmienna[122]. Gruczolak wewnątrzprzewodowy śluzowy brodawkowaty jest zbudowany z komórek wykazujących niewielką dysplazję lub nie wykazujących jej. Nowotwór o granicznej złośliwości jest utworzony przez komórki o umiarkowanej dysplazji. Obserwuje się umiarkowaną utratę polarności komórek, umiarkowane powiększenie jąder komórkowych, hiperchromazję jąder (nadbarwliwość) i pseudowielorzędowość. Mogą być obecne pseudobrodawkowate struktury. Rak wewnątrzprzewodowy śluzowy brodawkowaty tworzy brodawki lub mikrobrodawki. Komórki cechują się znaczną dysplazją z utratą polarności komórek, powiększeniem jądra komórkowego, pleomorfizmem komórkowym, pleomorfizmem i powiększeniem jąder komórkowych, zmniejszoną zawartością mucyn i licznymi mitozami[123].

Szacuje się, że 15–40% przypadków wewnątrzprzewodowych brodawkowatych nowotworów śluzowych zawiera komponent inwazyjny[115]. Komponent inwazyjny IPMN może przypominać gruczolakoraka przewodowego lub raka śluzowego[123][115].

Rak z komórek zrazikowych

Rak z komórek zrazikowych (barwienie H+E)

Nowotwór złożony z dość jednolitych komórek ułożonych we wzór zrazika, produkujących enzymy trzustkowe. Stanowi od 1% do 2% wszystkich nowotworów zewnątrzwydzielniczych trzustki[124].

Makroskopowo guzy są dobrze odgraniczone i mogą być wieloguzkowe. Zmiana jest koloru od żółtego do brązowego, mogą występować obszary martwicy i zwyrodnienia torbielowatego[124].

Mikroskopowo guz jest zbudowany z guzków oddzielonych ubogokomórkowymi włóknistymi pasmami, ale zwykle nie obserwuje się desmoplastycznego zrębu typowego dla wewnątrzprzewodowych brodawkowatych nowotworów śluzowych. Często jest obecna martwica guza. W utkaniu guza występuje kilka wzorców architektonicznych. Najczęstszym z nich jest wzorzec zrazikowy, w którym komórki nowotworowe są zorganizowane w niewielkie nieprawidłowe gruczoły i obecne w nim małe prześwity w obrębie licznych nowotworowych gruczołów dają wygląd sita. Rzadziej tworzone przez gruczoły prześwity są poszerzone dając wzór gruczołowy. Drugim pod względem częstości jest wzór lity, w którym lite gniazda komórek bez światła są pooddzielane drobnymi naczyniami krwionośnymi. Atypowe komórki zawierają niewielką ilość cytoplazmy, która może być amfofilna do eozynofilnej z charakterystycznymi ziarnistościami, co odzwierciedla obecność zymogenów. Jądra komórkowe są okrągłe lub owalne, względnie jednolite. Indeks mitotyczny jest dość zmienny[125].

Wyróżnia się dwa podtypy histologiczne[126]:

  • gruczolakotorbielakorak z komórek zrazikowych
  • rak mieszany zrazikowo-endokrynny.

Pankreatoblastoma

Jest to bardzo rzadki złośliwy nowotwór nabłonkowy o stosunkowo dobrym rokowaniu. Dotyczy dzieci przed 10. rokiem życia, średnia wieku zachorowania wynosi około 4 lata. Tylko wyjątkowo jest stwierdzany w drugiej dekadzie życia. Są to guzy różnej wielkości, od 1 do 20 cm. Większość guzów jest lita i budują je dobrze odgraniczone mniejsze guzki oddzielone od siebie włóknistymi pasmami[127].

Mikroskopowo nowotwór jest zbudowany z bogatokomórkowych, dobrze oddzielonych od pasm zrębu wysp, składających się z gniazd z komórek nabłonkowych. Charakterystyczną cechę stanowi występowanie struktur określanych jako squamoid corpuscle. Zrąb często jest bogatokomórkowy[127].

Rak pseudobrodawkowaty lity

Nowotwór pseudobrodawkowaty lity

Lite pseudobrodawkowate nowotwory trzustki są zwykle nowotworami łagodnymi, choć mogą być złośliwe. Dotyczy głównie młodych kobiet, stanowi od 1% do 2% wszystkich nowotworów części zewnątrzwydzielniczej trzustki[128].

Makroskopowo są to okrągłe, pojedyncze, duże guzy o średniej wielkości 8–10 cm. Zwykle są otorebkowane i dobrze odgraniczone od sąsiadującej prawidłowej tkanki trzustki. Ściana guza może zawierać zwapnienia. Guz zawiera strefy krwotoczne i torbielowate przestrzenie z masami martwiczymi[128]. W dużym guzie częsta jest rozległa martwica – wówczas przypomina on torbiel – a lita tkanka o jednolitym wzorze występuje głównie na obrzeżach zmiany pod torebką guza. Bardziej centralnie występuje utkanie pseudobrodawkowate. W obu wzorach utkania wielościenne komórki są położone wokół szypuły złożonej z drobnych naczyń. Przestrzenie pomiędzy pseudobrodawkami są wypełnione przez erytrocyty. W tkance łącznej mogą być obecne ogniska zwapnienia[129].

Komórki nowotworowe mają eozynofilną cytoplazmę lub jasną cytoplazmę. Mucyny i glikogen są niewykrywalne. Mitozy są rzadkie, ale bywają zaznaczone. Rzadko, gdy nieobecna jest torebka guza, w otaczającej tkance trzustki mogą być obecne gniazda komórek nowotworowych[129]. Rzadko obecny jest naciek sąsiednich narządów lub żyły wrotnej[128]. Kryteriów złośliwości guza nie ustalono – za złośliwym charakterem zmiany przemawia głęboki naciek sąsiednich tkanek, inwazja naczyń i nerwów. Przerzuty mogą jednak tworzyć guzy niespełniające tych kryteriów, dlatego nowotwór jest traktowany jako potencjalnie złośliwy[129].

Zmiany przednowotworowe

Śródnabłonkowa neoplazja trzustkowa

Na lewym zdjęciu śródnabłonkowa neoplazja trzustkowa niskiego stopnia i wysokiego stopnia. Na zdjęciu prawym rak trzustki

Śródnabłonkowa neoplazja trzustkowa jest najważniejszą zmianą przednowotworową prowadzącą do gruczolakoraka przewodowego trzustki. Prawdopodobnie większość przypadków raków inwazyjnych trzustki rozwija się na bazie śródnabłonkowej neoplazji[130][131].

Śródnabłonkowa neoplazja trzustkowa jest niewielką, nie przekraczającą 5 mm, płaską lub brodawkowatą bezobjawową zmianą wywodzącą się z małych przewodów trzustkowych[131][132]. Budują ją komórki od sześciennych do walcowatych wytwarzające mucyny, o atypii cytologicznej i architektonicznej różnego stopnia[132]. Jest ona klasyfikowana na trzy klasy o wzrastającym ryzyku raka inwazyjnego. Neoplazja niskiego stopnia (PanIN-1) wiąże się z minimalną atypią cytologiczną i architektoniczną, neoplazja umiarkowanego stopnia (PanIN-2) z umiarkowaną atypią cytologiczną i architektoniczną, a neoplazja wysokiego stopnia (PanIN-3) z nasilonymi zmianami cytologicznymi i architektonicznymi[132]. PanIN-1A jest płaską zmianą zbudowaną z nabłonka walcowatego z jednorodnymi okrągłymi lub owalnymi jądrami komórkowymi. PanIN-1B to zmiana brodawkowata i morfologicznie podobna do PanIN-1A. W PanIN-2 stwierdza się utratę polarności jądra komórkowego, pseudowielorzędowość, stłoczenie jąder komórkowych, pleomorfizm wielkości jąder komórkowych oraz hiperchromazję jąder komórkowych. PanIN-3 wykazuje znaczną atypię architektoniczną i komórkową, występują struktury brodawkowate lub przypominające sito, mogą występować zgrupowania komórek w świetle przewodów. Komórki posiadają powiększone, pleomorficzne jądro, dochodzi do utraty polarności jądra komórkowego. Mogą być widoczne figury mitotyczne, a nawet nieprawidłowe mitozy[133].

Śródnabłonkowa neoplazja jest elementem wielostopniowego procesu karcynogenezy, w którym dochodzi do nagromadzenia kolejnych zmian genetycznych, co znajduje odzwierciedlenie w zmianach morfologicznych i obserwowalnej progresji stopnia neoplazji od niskiego stopnia do wysokiego, a następnie do raka inwazyjnego[132]. Stopień śródnabłonkowej neoplazji koreluje z ilością nagromadzonych mutacji genetycznych[131].

Jednak śródnabłonkowa neoplazja nie jest zmianą rzadką. W badaniu Konstantinidis i współpracowników śródnabłonkową neoplazję stwierdzono w 26% przypadków trzustek usuniętych z innych powodów niż podejrzenie choroby nowotworowej. Większość stwierdzonych neoplazji stanowiła neoplazja niskiego stopnia (PanIN-1), która stanowiła ponad 50% przypadków neoplazji. Neoplazja umiarkowanego stopnia (PanIN-2) występowawała w 40% przypadków neoplazji, a neoplazja wysokiego stopnia (PanIN-3) w 8% przypadków neoplazji[131][134]. Z kolei w trzustkach z rakiem inwazyjnym w 20–50% przypadków stwierdza się współistnienie neoplazji śródnabłonkowej wysokiego stopnia[131][135]. Częstość występowania neoplazji wzrasta wraz z wiekiem[136].

Nie wiadomo, jakie ryzyko pojawienia się raka inwazyjnego niesie ze sobą występowanie neoplazji śródnabłonkowej[136].

Wewnątrzprzewodowe brodawkowate nowotwory śluzowe

Wewnątrzprzewodowe brodawkowate nowotwory śluzowe (IPMN) stanowią od 1% do 3% nowotworów zewnątrzwydzielniczej części trzustki. Cechują się zmiennym stopniem inwazyjności i są dzielone na nowotwory łagodne, nowotwory o granicznej złośliwości oraz raki nieinwazyjne i inwazyjne[121].

Z nieinwazyjnego wewnątrzprzewodowego brodawkowatego nowotworu śluzowego mogą rozwinąć się dwa główne typy nowotworów inwazyjnych: gruczolakorak przewodowy lub rak śluzowy, a rzadziej typ onkocytarny[115]. Gruczolakorak przewodowy wywodzący się z IPMN jest nie do odróżnienia od gruczolaka przewodowego niepochodzącego od tych nowotworów[115].

Trudno oszacować ryzyko występowania składnika złośliwego w wewnątrzprzewodowych brodawkowatych nowotworach śluzowych; wyniki wahają się od 15% do 40%[115]. W kilku badaniach komponent inwazyjny występował w 19–24% wyciętych trzustek z powodu IPMN[115][137][138][139], jednak w jednym badaniu występował on w 38% przypadków[115][140].

W przypadku stwierdzenia wewnątrzprzewodowego brodawkowatego nowotworu śluzowego zaleca się jego usunięcie. Pewne podtypy IPMN można wyłącznie obserwować[132].

Nowotwory śluzowe torbielowate

Nowotwory śluzowe torbielowate są najrzadszą zmianą przednowotworową prowadzącą do raka inwazyjnego[131][132]. Pod względem złośliwości są dzielone na gruczolakotorbielaki, nowotwory o granicznej złośliwości oraz raki nieinwazyjne i inwazyjne. Stanowią od 2% do 5% wszystkich nowotworów zewnątrzwydzielniczej części trzustki[118].

Nowotwory śluzowe torbielowate charakteryzują się niskim ryzykiem wystąpienia raka inwazyjnego, który dotyczy 13% tych nowotworów[132]. Mimo to zaleca się resekcję zmiany, szczególnie u osób młodych. U chorych, u których operacja byłaby niewskazana ze względu na ogólny stan zdrowia lub podeszły wiek, zaleca się nadzór onkologiczny[132].

Przebieg naturalny choroby

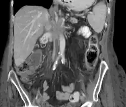
Liczne przerzuty raka trzustki do wątroby
Przerzut raka trzustki do trzonu kręgu
Przerzut do sklepienia czaszki

Inwazyjny rak trzustki najprawdopodobniej powstaje na bazie stosunkowo dobrze zróżnicowanych nieinwazyjnych zmian. Najczęstszą taką zmianą prekursorową jest śródnabłonkowa neoplazja trzustkowa (pancreatic intraepithelial neoplasia, PanIN)[141], a rzadziej wewnątrzprzewodowe brodawkowate nowotwory śluzowe (intraductal papillary mucinous neoplasm, IPMN) i śluzowe nowotwory torbielowate (mucinous cystic neoplasm, MCN)[131]. Śródnabłonkowa neoplazja trzustkowa może nabywać kolejne mutacje cytogenetyczne, co koreluje z progresją do raka[141]. Prawdopodobnie musi minąć 12 lat, zanim śródnabłonkowa neoplazja trzustkowa ulegnie przemianie do raka inwazyjnego, i kolejne 6,5 roku, nim nowotwór nabędzie zdolność do wytworzenia przerzutów. Po około 2,5 roku zwykle dochodzi do dalszych mutacji i progresji choroby do zgonu, zatem mija około 21 lat od pierwszej mutacji genetycznej do śmierci chorego[131][142].

Rak trzustki długo pozostaje bezobjawowy. Objawy choroby wynikają głównie z nacieku sąsiednich struktur, zatem pojawiają się stosunkowo późno[112]. W momencie rozpoznania większość guzów głowy trzustki osiąga wielkość 1,5–5 cm, średnio 2,5–3,5 cm[143]. Raki w trzonie i ogonie w momencie rozpoznania zwykle są większe, niż te zlokalizowane w głowie trzustki, które wcześniej są przyczyną niepokojących objawów, przede wszystkich żółtaczki zaporowej[144]. Rak głowy trzustki zwykle nacieka przewód żółciowy wspólny lub przewód trzustkowy (przewód Wirsunga), powodując ich zwężenie w miejscu nacieku i proksymalne poszerzenie z powodu zablokowania w nich przepływu[143]. Zamknięcie dróg żółciowych jest przyczyną żółtaczki, z kolei zamknięcie światła przewodu trzustkowego skutkuje zanikiem miąższu trzustki w wyniku przewlekłego zaporowego zapalenia trzustki. Rak w trzonie lub głowie trzustki również może zablokować przewód Wirsunga, ale zwykle nie blokuje dróg żółciowych[143]. Z kolei guzy położone bardziej brzusznie (dolnie) częściej są powodem niedrożności jelit[145]. Ból brzucha jest efektem naciekania lub ucisku nerwów i okolicznych tkanek, również stanowi objaw stosunkowo zaawansowanej choroby[112]. Ból pleców jest spowodowany przez naciek nerwów trzewnych lub splotu trzewnego[6].

Rak szerzy się na okoliczne i odległe tkanki poprzez bezpośrednie naciekanie, szerzenie się wzdłuż nerwów, wytwarzanie przerzutów drogą naczyń limfatycznych oraz naczyń krwionośnych. Rak trzustki charakteryzuje się wczesnym szerzeniem się raka w kierunku tkanek okołotrzustkowych, naciekaniem wzdłuż pochewek okołonerwowych oraz zajęciem regionalnych węzłów chłonnych. Zwykle już w momencie rozpoznania rak nie jest ograniczony wyłącznie do narządu[146].

W raku głowy trzustki rak szerzy się bezpośrednio poprzez naciek pochewek okołonerwowych i zajmuje zaotrzewnową tkankę tłuszczową[113]. Szerzenie się wzdłuż nerwów jest obserwowane w 50–90% przypadków raka trzustki[146][147][148][149][150]. Rak szerzy się wzdłuż z nerwów pochodzących z prawego zwoju trzewnego biegnących do górnego przyśrodkowego brzegu wyrostka haczykowatego lub wzdłuż nerwów pochodzących ze splotu tętnicy krezkowej górnej biegnących do przyśrodkowego brzegu wyrostka haczykowatego[146].

W bardziej zaawansowanych etapach pojawia się naciek sąsiadujących narządów, przede wszystkim dwunastnicy i żołądka. W trzonie i głowie trzustki częściej obserwuje się naciekanie sąsiednich narządów niż w głowie trzustki. W tej lokalizacji rak nacieka śledzionę, żołądek, lewe nadnercze, okrężnicę i otrzewną[113].

Już w guzach o średnicy poniżej 2,5 cm 40% chorych wykazuje obecność przerzutów do węzłów chłonnych, a większość mikroskopową inwazję tkanek okołotrzustkowych[151][145][146]. Rak głowy trzustki szerząc się drogą naczyń limfatycznych najczęściej początkowo zajmuje kolejno pod względem częstości tylne węzły trzustkowo-dwunastnicze i górną grupę węzłów głowy trzustki, następnie dolną grupę węzłów głowy trzustki i górną grupę trzonu, następnie przednią grupę węzłów trzustkowo-dwunastniczych i dolną grupę trzonu trzustki. Bardziej odległe przerzuty węzłowe pojawiają się w węzłach chłonnych więzadła wątrobowo-dwunastniczego, pnia trzewnego, tętnicy krezkowej górnej, okołoaortalnych poziomu tętnicy nerkowej[113]. W raku trzonu i ogona przerzuty drogą limfatyczną pojawiają się głównie w górnej i dolnej grupie węzłów trzonu trzustki oraz w węzłach wnęki śledziony. Mogą się one szerzyć drogą limfatyczną bezpośrednio do opłucnej i płuc[113].

Przerzuty drogą krwionośną pojawiają się głównie w wątrobie i płucach, następnie w nadnerczach, nerkach, kościach, mózgu i skórze[113]. Najczęstszą lokalizacją przerzutów jest wątroba i przerzuty w tej lokalizacji są stwierdzane w 60% przypadków przerzutów odległych[152]. Klinicznie w zaawansowanej chorobie nowotworowej obserwuje się postępujące pogorszenie stanu ogólnego, nasilenie bólu i spadek masy ciała, prowadzi to do kacheksji i ostatecznie do zgonu[153].

Patogeneza

Proces powstawania raka trzustki (karcynogeneza) nie został całkowicie poznany. Kluczowe jest nakładanie się czynników środowiskowych, w tym palenia tytoniu i związanych z nim licznych karcynogenów, na indywidualną podatność na raka trzustki, co skutkuje powstaniem kaskady zmian genetycznych i epigenetycznych, a w rezultacie tych zmian wyselekcjonowanie klonu komórek nowotworowych zdolnych do miejscowego naciekania tkanek i tworzenia przerzutów[154].

Karcynogeny są metabolizowane w trzustce i ulegają aktywacji do związków bardziej aktywnych biologicznie, które mogą oddziaływać z materiałem genetycznym komórki, co indukuje powstanie losowych zmian genetycznych[155]. Zaburzenia genetyczne powstają na skutek mutacji pojedynczych genów, aberracji chromosomalnych i zmian epigenetycznych polegających na stabilnym wyciszeniu transkrypcji genów bez fizycznej trwałej modyfikacji materiału genetycznego poprzez modyfikację chromatyny lub modyfikację histonów[156][157].

Jednak tylko znikoma część z tych zmian prowadzi do powstania przewagi proliferacyjnej (podziałowej) zmutowanych komórek nad prawidłowymi[158]. Geny kluczowe dla powstawania raka trzustki można zaklasyfikować do trzech grup genów: onkogenów, genów supresorowych (antyonkogeny) i genów mutatorowych (geny wpływające na naprawę materiału genetycznego)[156]. Geny supresorowe, utrzymujące stabilność genetyczną i hamujące proliferację komórki, są wyłączane za pomocą mutacji (delecje, mutacje nonsensowne) lub zmian epigenetycznych. Z kolei protoonkogeny stają się onkogenami w wyniku ich translokacji, amplifikacji czy nadekspresji w wyniku różnych mechanizmów[156].

Karcynogeneza, aby doprowadzić do powstania nowotworu inwazyjnego, wymaga określonej sekwencji wielu mutacji i zaburzenia regulacji w dół lub w górę wielu genów kontrolujących wzrost komórki i jej zdolności do podziału, kontroli cyklu komórkowego, genów mutatorowych, unikania starzenia się komórki i apoptozy (regulowanej śmierci komórki), nasilenia angiogenezy i zdolności do migracji[159][160][158].

Najwcześniejsze mutacje występują w najliczniejszych klonach komórkowych[159]. W zaawansowanej chorobie nowotworowej występuje niestabilność genetyczna polegająca na gromadzeniu licznych mutacji i aberracji chromosomalnych. Szacuje się, że w zaawansowanym raku występują średnio 63 mutacje zgrupowane w około 12 szlaków sygnalizacyjnych[154][161]. Z kolei chorzy z wrodzoną mutacją pewnych genów mają wyjściowo zwiększone ryzyko powstania raka trzustki[159].

Wielostopniowe mutacje genetyczne prowadzą do wielostopniowych zmian morfologicznych zarówno na poziomie komórkowym (cytologicznym), jak i tkankowym (architektonicznym). Postuluje się wielostopniowy model zmian histologicznych prowadzących do raka, który jest zapoczątkowany przez hiperplazję, po której następują kolejne stopnie neoplazji i ostatecznie rak inwazyjny[162][158].

Istnieje znaczny synergizm działania czynników ryzyka choroby, który sugeruje wspólną ścieżkę karcynogenezy[163].

Karcynogeny i środowiskowe czynniki ryzyka

Palenie tytoniu

Palenie tytoniu jest głównym czynnikiem ryzyka rozwinięcia raka trzustki. Podstawowym mechanizmem napędzającym karcynogenezę jest dostarczanie z dymem tytoniowym licznych czynników rakotwórczych, które ulegają metabolizmowi w trzustce. Powstają związki zdolne do połączenia się z DNA, co skutkuje zwiększonym ryzykiem mutacji genetycznych i następnie raka trzustki[94]. Z drugiej strony u palących nie wykazano zwiększonego ryzyka częstych mutacji w raku trzustki, jak mutacje KRAS2, p16 i p53, ale jednocześnie wykazano zwiększone ryzyko mniej częstych mutacji w raku trzustki[164][165][166]. Sugeruje to, że w karcynogennym działaniu palenia tytoniu pośredniczą mniej częste mutacje[166].

Jeden z karcynogenów obecnych w dymie tytoniowym (NNK 4-(metylonitrozoamino)-1-(3-pirydylo)-1-butanon) wpływa na receptory β-adrenergiczne i nikotynowe komórek trzustki i następnie aktywuje COX-2, EGFR i szlak MAPK/ERK, które regulują proliferację i apoptozę komórek[166][167][168].

Nikotyna pobudza wzrost i progresję raka, a także oporność na chemioterapię[166][169]. Stymuluje ona przejście nabłonkowo-mezynchymalne[166][170], które polega na przekształceniu się komórek o fenotypie nabłonkowym w komórki o fenotypie mezenchymalnym, z utratą polarności i zdolności do adhezji oraz zwiększeniem zdolności do ruchu, inwazji i przerzutowania[171].

Cukrzyca

Przypuszcza się, że w karcynogenezie raka trzustki na podłożu cukrzycy bierze udział insulinooporność i związana z nią hiperinsulinemia (zwiększone stężenie insuliny), która stymuluje proliferację i wzrost komórek. Trzustka w wyniku nadprodukcji insuliny jest miejscami wystawiona na jej działanie w znacznie wyższych stężeniach niż inne tkanki[29].

Insulinopodobny czynnik wzrostu (IGF) wykazuje silniejsze niż insulina działanie promujące proliferację i hamujące apoptozę[29]. Receptor IGFR ulega nadekspresji w komórkach raka trzustki[29][172]. Aktywuje on liczne szlaki metaboliczne, w tym szlak MAPK/ERK i szlak PI3K/AKT/mTOR[29][173]. Wysokie stężenie insuliny może aktywować receptor IGF-1[174]. Dodatkowo insulina wpływa na regulację w górę biodostępności IGF[29].

Wpływ samej hiperglikemii na karcynogenezę nie jest jasny, jednak badania wskazują, że nie stymuluje ona wzrostu guza[29].

Cukrzyca może zwiększać ryzyko rozwoju raka trzustki poprzez wywoływanie stresu oksydacyjnego i reakcji zapalnych, które następnie wpływają na czynnik NF-κB zwiększający oporność na apoptozę[29].

Otyłość

Otyłość jest wiązana z patogenezą raka trzustki przez wpływ na adiponektynę i leptynę oraz tworzenie przewlekłego stanu zapalnego[94]. Nadmierne spożywanie pokarmów wysokokalorycznych powoduje rozrost tkanki tłuszczowej i namnożenie budujących ją adipocytów. Powoduje to deregulację ich funkcji endokrynnej[175].

W tkance tłuszczowej powstają cytokiny prozapalne, w tym IL-6, TNF-α, PAI-1, MCP-1 i chemokiny (CCL5, CXCL12 i CCL20)[175][176][177]. Aktywacja czynnika NF-kB zwiększającego oporność na apoptozę w wyniku przewlekłego zapalenia może promować powstanie raka trzustki[176]. Przewlekły stan zapalny sprzyja powstawaniu insulinooporności, cukrzycy i raka trzustki[175].

W otyłości obserwuje się wzrost stężenia leptyny i spadek stężenia adiponektyny[178]. Mogą one wpływać na karcynogenezę poprzez wpływ na IL-6 i TNF-α, których stężenie leptyna zwiększa, a adiponektyna zmniejsza[179]. Leptyna zwiększając poziom IL-6 może być związana z karcynogenezą poprzez szlak PI3K/AKT/mTOR, szlak MAPK/ERK i szlak JAK-STAT[178][180][181].

Otyłość wpływa na insulinooporność i zwiększone stężenie insuliny, która wpływa propoliferacyjnie[179].

Aktywacja onkogenów

KRAS

Mutacje aktywujące onkogenu KRAS (k-RAS) są jednymi z najwcześniej i najczęściej wykrywanych mutacji, pojawiają się one już w neoplazji niskiego stopnia (PanIN-1). Z kolei mutacje CDKN2A/p16 pojawiają się w neoplazji umiarkowanego stopnia (PanIN-2), a mutacje p53 i SMAD4 rzadko przed etapem neoplazji wysokiego stopnia (PanIN-3)[182]. Mutacja genu KRAS2 występuje w 95% przypadków raka trzustki[157][183]. Jest ona kluczowym momentem, który determinuje przejście PanIN-1 do PanIN-2 i ostatecznie do raka inwazyjnego[182]. Gen KRAS koduje białko należące do rodziny RAS o aktywności GTP-azy (białko rozkładające GTP) biorące udział w transdukcji sygnału z wielu receptorów. Wpływa ono na zdolność do proliferacji i przeżycia komórki, przebudowę cytoszkieletu i zdolność do migracji komórki[182]. Konstytutywna aktywacja prowadzi do aktywacji szlaków MAPK, MEK1 i 2MEK2, Akt i PI3K[182].

Protoonkogen KRAS koduje niewielką GTP-azę, która odpowiada za rozkład GTP do GDP[184].

Aktywacja KRAS jest promowana przez białka GEF (guanine nucleotide exchange factor), a w inaktywacji pośredniczy GAP (GTPase-activating protein). Mutacja aktywująca KRAS zaburza oddziaływanie pomiędzy KRAS a GAP, co prowadzi do stałej konstytutywnej aktywności[185].

Zmutowany konstytutywnie aktywny KRAS aktywuje liczne szlaki sygnalizacyjne, w tym szlaki MAPK/ERK i PI3K/AKT/mTOR, NOTCH, które wpływają na wzrost, proliferację, przetrwanie komórki i jej zdolność do migracji[160][184][185].

Mutacja KRAS wpływa również na podtrzymanie i napędzanie reakcji zapalnej w mikrośrodowisku guza, która ma istotne znaczenie w karcynogenezie raka trzustki, a także kontroluje różne szlaki metaboliczne, przestawiając metabolizm tlenowy komórki na beztlenowy[185][186].

Inne onkogeny

W 20–30% przypadków raka trzustki nadekspresji ulega onkogen c-MYC[187][188]. Nadekspresji ulegają również geny MYB, AIB1 (NCOA3) i receptor EGF[188].

Dezaktywacja antyonkogenów

p16

p16/CDKN2A jest najczęściej inaktywowanym genem supresorowym, inaktywację p16 obserwuje się w ponad 90–95% przypadków raka trzustki[158][156][189]. Inaktywacja p16 jest wczesnym zdarzeniem w karcynogenezie raka trzustki[133].

Białko p16 hamuje cykl komórkowy poprzez zatrzymanie przejścia fazy G1 do fazy S. Uszkodzenie DNA, starzenie się komórki i reaktywne formy tlenu mogą aktywować p16, które wiąże się z CDK4/6. W warunkach fizjologicznych CDK4 i 6 tworzą kompleks, który fosforyluje RB1. Fosforylowany RB1 odłącza się od czynników transkrypcyjnych należących do rodziny E2F, a te po przejściu do jądra komórkowego promują ekspresję genów odpowiadających za przejście z fazy G1 do S. Związanie się p16 z CDK4 i 6 powoduje zatrzymanie tego procesu i zahamowanie cyklu komórkowego[189].

p53

Inaktywacja p53 jest obserwowana w 50–70% przypadków raka trzustki[190][191][192].

Białko p53 pełni ważną rolę w utrzymaniu stabilności genomu, indukowaniu apoptozy i hamowaniu angiogenezy. Posiada zdolność do zatrzymania przejścia cyklu komórkowego z fazy G1 do fazy S. p53 w przypadku rozpoznania uszkodzenia DNA promuje powstawanie białka p21, które wiąże kompleks CDK4/CDK6, CDK2 i CDK1, co ostatecznie blokuje różne geny i zatrzymuje cykl komórkowy[189].

Utrata p53 pozwala komórkom nowotworowym dalej się dzielić i uniknąć apoptozy, mimo ewidentnego uszkodzenia materiału genetycznego. Sprzyja to uzyskiwaniu kolejnych, nowych mutacji[188]. Utrata p53 jest związana z gorszym rokowaniem i może być związana z mniejszą wrażliwością na niektóre cytostatyki[189].

p21

Utratę aktywności p21 obserwuje się w 30–60% przypadków raka trzustki[193]. p21 poprzez związanie CDK4/CDK6, CDK2 i CDK1 blokuje przejście cyklu komórkowego z fazy G1 do fazy S[189].

SMAD4 (DPC4)

Mutacja SMAD4 jest obserwowana w 55% przypadków raka trzustki[184][194]. Utrata SMAD4 jest stosunkowo późnym zdarzeniem w karcynogenezie raka trzustki[162]. SMAD4 kontroluje transdukcję sygnału z receptora TGF-β, który wpływa na proliferację, różnicowanie i kontrolę cyklu komórkowego. Mutacja genu SMAD4 jest równoznaczna z utratą hamowania przez TGF-β[184].

Inne mutacje genów supresorowych

W 10% przypadków stwierdza się mutację genu BRCA2[195]. Odpowiada on za utrzymanie stabilności genetycznej poprzez wpływ na naprawę DNA[196].

W 5–10% przypadków raka trzustki w karcynogenezie biorą udział inne geny supresorowe: LKB1 (STK11), TGFBR1/TGFBR2, ACVR1B i MKK4[188].

Rozpoznanie

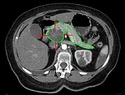
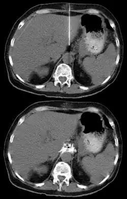
Rak w głowie trzustki, na zielono zaznaczono obrys trzustki, czerwone linie wskazują na lokalizację guza, obraz TK
Zamknięcie żyły głównej dolnej z powodu ucisku przez guz trzustki, obraz TK
Liczne drobne przerzuty raka trzustki do płuc, RTG klatki piersiowej
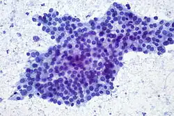
Biopsja cienkoigłowa. Po lewej ułożone w chaotyczny sposób komórki gruczolakoraka trzustki ze zróżnicowaną wielością i kształtem komórek oraz nakładającymi się jądrami komórkowymi. Po prawej prawidłowa tkanka trzustki z regularnie ułożonymi komórkami
Biopsja cienkoigłowa z komórkami gruczolakoraka trzustki

Kliniczne rozpoznanie choroby stawia się na podstawie badań obrazowych, których podstawowym celem jest ocena operacyjności choroby. Podstawową metodą diagnostyczną jest tomografia komputerowa jamy brzusznej poszerzona o badanie miednicy i klatki piersiowej, która pozwala na rozpoznanie choroby oraz ocenę jej zaawansowania. Pomocniczo jest stosowana ultrasonografia endoskopowa (EUS), rezonans magnetyczny, endoskopowa cholangiopankreatografia wsteczna lub cholangiopankreatografia rezonansu magnetycznego (MRCP). Ultrasonografia przezbrzuszna ze względu na trudności w zobrazowaniu trzustki nie jest dobrym wstępnym badaniem. Badania obrazowe i podstawowe badania laboratoryjne umożliwiają zakwalifikowanie chorego do jednej z trzech grup klinicznych: choroba operacyjna, choroba o granicznej operacyjności i choroba nieoperacyjna[197]. Jednak mimo zastosowania odpowiednich badań obrazowych w 23% przypadków po operacyjnym otwarciu jamy brzusznej choroba okazuje się nieoperacyjna[198]. Rozpoznanie histopatologiczne nie jest konieczne przed wykonaniem zabiegu, ale jest wymagane przed rozpoczęciem leczenia neoadiuwantowego lub leczenia ogólnoustrojowego w przypadku choroby nieoperacyjnej[199].

Tomografia komputerowa (TK)

Tomografia komputerowa jamy brzusznej poszerzona o skany klatki piersiowej i miednicy jest podstawową metodą pozwalającą na rozpoznanie i ocenę zaawansowania raka trzustki[197].

Czułość wielorzędowej tomografii komputerowej w wykrywaniu raka trzustki jest wysoka i wynosi 89–97%[200][201], choć czułość w wykrywaniu małych zmian poniżej 1,5 cm jest niższa i wynosi 67%[201][202]. Wykazano, że 70–80% chorych zakwalifikowanych na podstawie oceny zaawansowania w tomografii komputerowej jako chorzy z chorobą operacyjną nie zostało zdyskwalifikowanych po wykonaniu laparotomii z powodu większego zaawansowania choroby niż w ocenie za pomocą badań obrazowych i wykonano u nich zabieg chirurgiczny[203][204][197].

Typowo w tomografii komputerowej rak trzustki jest widoczny jako słabo odgraniczona, hipodensyjna masa w stosunku do niewzmocnionego w TK miąższu trzustki[201]. W 11–27% przypadków guz jest izodensyjny w stosunku do miąższu trzustki i jest niewidoczny lub mało widoczny w tomografii komputerowej[201]. Podejrzenie raka trzustki budzi również powiększenie części lub całego narządu, odcinkowe, dystalne poszerzenie przewodu trzustkowego, zatarcie budowy zrazikowej i widoczna martwica w trzustce[96].

W diagnostyce raka trzustki zaleca się stosowanie tzw. protokołu trzustkowego, który polega na wykonaniu wielu cienkich poprzecznych skanów cieńszych niż 3 mm oraz odwzorowania czołowego i strzałkowego. Następnie podaje się kontrast i ocenia się fazę miąższową trzustki (późna faza tętnicza) po 35–50 s po podaniu kontrastu oraz ocenia fazę wrotną po 60–90 s[201]. Jednocześnie z kontrastem doustnie podaje się dużą ilość wody celem wypełnienia żołądka i dwunastnicy[205]. Faza miąższowa trzustki ma na celu maksymalne wzmocnienie prawidłowego miąższu trzustki i zwiększenie widoczności hipodensyjnego raka trzustki. W tej fazie ocenia się również stosunek guza do ważnych naczyń krwionośnych, w tym pnia trzewnego i tętnicy krezkowej górnej[201][206][207]. Faza wrotna pozwala na ocenę obecności przerzutów w wątrobie oraz ocenę nacieku ważnych naczyń żylnych, w tym żyły wrotnej, żyły głównej dolnej, żyły krezkowej górnej i żyły śledzionowej. Rekonstrukcje czołowe i strzałkowe są przydatne w ocenie lokalnego zaawansowania guza oraz zajęcia ważnych naczyń krwionośnych[201].

Rezonans magnetyczny (MRI) i cholangiopankreatografia rezonansu magnetycznego (MRCP)

Rezonans magnetyczny dzięki nowoczesnym aparatom może być równie przydatny w diagnostyce raka trzustki jak tomografia komputerowa[201]. Stanowi metodę uzupełniającą do tomografii komputerowej, szczególnie w przypadku nieuwidocznienia zmiany w trzustce i z jednoczesną obecnością nieokreślonych zmian ogniskowych w wątrobie lub w przypadku uczulenia na kontrast jodowy[208].

Jest to przydatna metoda do wykrywania guzów, które w tomografii komputerowej są izodensyjne i pozostają mało widoczne. Typowo rak trzustki jest widoczny jako źle odgraniczona hipointensywna masa w obrazach T1-zależnych. Również w obrazach T2-zależnych guz jest hipointensywny[201].

Cholangiopankreatografia rezonansu magnetycznego umożliwia nieinwazyjne zobrazowanie dróg żółciowych i przewodu trzustkowego. Może być uważana za alternatywę dla diagnostyki za pomocą endoskopowej cholangiopankreatografii wstecznej[209].

Ultrasonografia przezbrzuszna (USG)

Ultrasonografia często jest wstępnym badaniem u chorych zgłaszających niepokojące objawy ze strony jamy brzusznej. Mimo bardzo wysokiej dostępności i nieinwazyjności ultrasonografia nie jest dobrym badaniem przesiewowym. U otyłych chorych trzustka jest bardzo trudna do zobrazowania. Skuteczność badania również bywa mocno utrudniona przez gazy jelitowe[201].

Czułość badania zależy od doświadczenia operatora i waha się od 67 do 90%. Typowo gruczolakorak trzustki jest widoczny jako hipoechogeniczna masa o słabym odgraniczeniu i słabym unaczynieniu. Objawami sugerującymi chorobę nowotworową jest poszerzenie przewodu trzustkowego powyżej 2–3 mm lub nieprawidłowe kontury narządu[201].

Ultrasonografia endoskopowa (EUS)

Ultrasonografia endoskopowa jest inwazyjną metodą diagnostyczną polegającą na umieszczeniu w przewodzie pokarmowym endoskopu wyposażonego w głowicę ultrasonograficzną. Sonda umieszczona w bezpośredniej bliskości trzustki umożliwia znacznie dokładniejszą ocenę narządu niż ultrasonografia przezbrzuszna[201].

Ultrasonografia endoskopowa cechuje się bardzo wysoką czułością w rozpoznawaniu raka trzustki osiągającą 93–100%. Ujemna wartość predykcyjna (prawdopodobieństwo braku choroby przy wyniku ujemnym) wynosi blisko 100%, szczególnie w połączeniu z biopsją aspiracyjną cienkoigłową[210].

Jest to metoda szczególnie przydatna w wykrywaniu niewielkich zmian nieprzekraczających 2–3 cm, które pozostały niewidoczne w innych metodach diagnostycznych[201][211][212]. Metoda stanowi uzupełnienie tomografii komputerowej, szczególnie u chorych z nieuwidocznioną zmianą w trzustce albo o niepewnym zajęciu naczyń krwionośnych lub węzłów chłonnych[208]. EUS pełni dużą rolę w diagnostyce różnicowej zmian torbielowatych trzustki ze względu na możliwość wykonania biopsji aspiracyjnej i dalszych badań cytologicznych i biochemicznych płynu z torbieli. Wykorzystywana jest również do rozróżniania niezłośliwego od związanego z chorobą rozrostową zwężenia przewodu trzustkowego[208].

Typowo w ultrasonografii endoskopowej gruczolakorak jest widoczny jako niejednorodna hipoechogenna masa o niejednorodnych granicach[201].

Endoskopowa cholangiopankreatografia wsteczna (ERCP)

Endoskopowa cholangiopankreatografia wsteczna jest wykonywana głównie w ramach leczenia endoskopowego, szczególnie protezowania dróg żółciowych. Metoda pozwala na wykonanie biopsji szczoteczkowej[213].

Pozytonowa tomografia emisyjna w połączeniu z tomografią komputerową (PET-TK)

Pozytonowa tomografia emisyjna w połączeniu z tomografią komputerową nie jest rutynowo stosowana w początkowej diagnostyce raka trzustki[201]. Jest wykonywana u chorych z dużym klinicznym podejrzeniem raka trzustki jako dodatkowe badanie po wykonaniu tomografii komputerowej, szczególnie u chorych z chorobą o granicznej operacyjności, dużym guzem pierwotnym, wysokim stężeniem CA 19-9, powiększonych regionalnych węzłach chłonnych i chorych z nasilonymi objawami choroby[209].

W diagnostyce guza pierwotnego badanie wykazuje dużą czułość wynoszącą 89% i swoistość wynoszącą 88%[201][214].

Jest przydatną metodą w ocenie zaawansowania choroby nowotworowej. W wykrywaniu przerzutów odległych PET wykazuje wyższą czułość niż tomografia komputerowa[201][215][216].

Laparoskopia

Laparoskopia jest cenną inwazyjną metodą diagnostyczną w ocenie obecności przerzutów w otrzewnej i powierzchniowych przerzutów w wątrobie, których nie można wykryć w badaniach obrazowych[209].

Jednak laparoskopia nie zastępuje diagnostyki obrazowej i nie jest wykonywana rutynowo. Może być przydatna u chorych z rozpoznaną graniczną resekcyjnością guza pierwotnego z dużym podejrzeniem choroby uogólnionej oraz u chorych z granicznie operacyjną chorobą przed podaniem leczenia neoadiuwantowego. Pozwala to uniknąć niepotrzebnej laparotomii (operacyjnego otwarcia jamy brzusznej) u chorych z chorobą rozsianą[217].

Stwierdzenie w badaniu cytologicznym z jamy otrzewnej komórek nowotworowych jest równoznaczne z rozpoznaniem choroby w stadium przerzutowym[199].

Biopsja

Rozpoznanie histopatologiczne nie jest konieczne do klinicznego rozpoznania choroby i zakwalifikowania chorego do leczenia operacyjnego, jednak wykonanie biopsji jest niezbędne przed zastosowaniem leczenia neoadiuwantowego oraz przed ogólnoustrojowym leczeniem choroby zaawansowanej[218]. Biopsja cienkoigłowa może być wykonana endoskopowo pod kontrolą ultrasonografii endoskopowej (EUS) lub przezskórnie pod kontrolą tomografii komputerowej. Preferowana jest biopsja wykonana podczas endoskopii, ponieważ daje zdecydowanie niższe ryzyko rozsiewu choroby podczas wykonywania procedury, a dodatkowo niesie niższe ryzyko uszkodzenia jelit, istotnego krwawienia i powikłań zakaźnych niż biopsja przezskórna[218].

Biopsja jest bardzo dokładną metodą pozwalającą stwierdzenie nowotworu złośliwego. Wykazano, że 97% guzów cytologicznie zakwalifikowanych jako nowotwory złośliwe okazały się złośliwe w klinicznej obserwacji, jednak 13% guzów ocenionych jako łagodne okazywało się złośliwymi[219][218].

Jeśli biopsja nie potwierdziła obecności nowotworu złośliwego, to jest ona przynajmniej raz powtórnie wykonywana. W przypadku ewidentnej klinicznej obecności choroby niediagnostyczne biopsje nie mogą opóźniać leczenia chirurgicznego[218].

Badanie histopatologiczne

Badanie histopatologiczne umożliwia ostateczne rozpoznanie choroby, które jest konieczne przed rozpoczęciem leczenia ogólnoustrojowego, w tym leczenia neoadiuwantowego[199]. Rozpoznanie histopatologiczne nie jest jednak konieczne przed wykonaniem potencjalnie radykalnego zabiegu, ponieważ chorzy są kwalifikowani do operacji na podstawie badań obrazowych[220].

Badanie histopatologiczne materiału pooperacyjnego umożliwia ostateczne rozpoznanie typu histopatologicznego, stopnia złośliwości histologicznej, ocenę wielkości i nacieku guza pierwotnego, zajęcia węzłów chłonnych, nacieku naczyń i nerwów, ocenę marginesów chirurgicznych i innych cech koniecznych do oceny zaawansowania choroby[221][222][223].

Markery nowotworowe

Pod względem klinicznej przydatności w diagnostyce przebadano kilka markerów nowotworowych, w tym CEA, CA 125 i CA 242[224], jednak największe kliniczne znaczenie ma antygen CA 19-9[225].

CA 19-9

CA 19-9 jest najbardziej przydatnym markerem nowotworowym w diagnostyce raka trzustki. Marker wykazuje wysoką czułość, sięgającą około 80%, i dobrą specyficzność, wynoszącą 82–90% u objawowych chorych. Marker nie jest swoisty dla raka trzustki i jego poziom bywa podwyższony przy różnych chorobach wątroby, dróg żółciowych i trzustki, a także przy innych chorobach nowotworowych. Ze względu na niską dodatnią wartość predykcyjną jest słabym markerem do badań przesiewowych[225].

Przedoperacyjny poziom CA 19-9 koreluje ze stadium choroby i operacyjnością guza[226][227][228]. Pooperacyjne niskie stężenie lub spadek stężenia CA 19-9 również koreluje z rokowaniem przeżycia leczonych[229][230][231][232][233]. U chorych leczonych neoadiuwantowo stężenie CA 19-9 jest dobrym markerem rokowniczym[234].

W celach rokowniczych zaleca się badanie CA 19-9 przed operacją, po operacji i przed podaniem leczenia adiuwantowego[228].

Ocena zaawansowania i rokowania

Rak trzustki w zaawansowaniu T1 w klasyfikacji TNM
Rak trzustki w zaawansowaniu T2 w klasyfikacji TNM
Rak trzustki w zaawansowaniu T3 w klasyfikacji TNM
Rak trzustki w zaawansowaniu T3 w klasyfikacji TNM
Rak trzustki w zaawansowaniu N1 w klasyfikacji TNM
Rak trzustki w zaawansowaniu M1 w klasyfikacji TNM

Ocena zaawansowania

Klinicznie zaawansowanie choroby ocenia się za pomocą tomografii komputerowej jamy brzusznej poszerzonej o badanie miednicy i klatki piersiowej oraz wykonanych podstawowych badań laboratoryjnych. Na tej podstawie chorobę można klinicznie zakwalifikować jako operacyjną, granicznie operacyjną lub nieoperacyjną, w tym miejscowo zaawansowaną (stadium III zaawansowania klinicznego) lub przerzutową (stadium IV zaawansowania klinicznego). Po wykonanej resekcji preparat po operacji poddany badaniu histopatologicznemu pozwala dokonać dalszej oceny zaawansowania. Dostarcza ono informacji dotyczących marginesu wolnego od nacieku nowotworu, zajęcia lokalnych węzłów chłonnych, zajęcia tkanek miękkich okołotrzustkowych oraz obecności przerzutów odległych, w tym również obecność komórek nowotworowych w badaniu cytologicznym płynu z jamy otrzewnej[235].

Czynniki rokownicze

Rokowanie w raku trzustki jest uzależnione od wielu czynników. Jest one zależne od stanu ogólnego chorego, lokalizacji guza, zajęcia lokalnych węzłów chłonnych, obecności przerzutów odległych, stadium klinicznego nowotworu, uzyskania ujemnego marginesu chirurgicznego podczas operacji, nawrotu po operacji, typu histopatologicznego guza, stopnia złośliwości histologicznej, stężenia CA 19-9. Najsilniejszymi czynnikami prognostycznymi przeżycia całkowitego chorych z rakiem trzustki są ujemny margines resekcji, wielkość guza i zajęcie węzłów chłonnych[236].

Wielkość guza jest istotnym czynnikiem rokowniczym. Guzy o wielkości mniejszej niż 3 cm rokują lepiej niż guzy powyżej 3 cm[237]. Guzy w trzonie i ogonie trzustki w momencie rozpoznania zwykle są większe w porównaniu do guzów głowy trzustki i rokują gorzej niż guzy w głowie trzustki[144][238]. Zaawansowanie kliniczne nowotworu jest ujemnie skorelowane z przeżyciem chorych. Im niższy jest stopień zaawansowania klinicznego choroby, tym rokowanie jest lepsze[239]. Nieuzyskanie marginesów wolnych mikroskopowo (resekcje R1 i R2) od nacieku nowotworowego lub nawrót po operacji pogarszają rokowanie[239][238]. Zajęcie węzłów chłonnych jest złym czynnikiem rokowniczym[237][240]. Prawdopodobnie rokownicze znaczenie ma odsetek zajętych przez nowotwór węzłów chłonnych w stosunku do zbadanych histopatologicznie węzłów chłonnych (LNR) i większy odsetek zajętych węzłów rokuje niekorzystnie[240]. Stwierdzenie obecności przerzutów odległych znacząco pogarsza rokowanie[238].

Niekorzystne rokowniczo są zły stan ogólny[241] i zaawansowany wiek[240].

Wyższa złośliwość histologiczna i gorsze zróżnicowanie są niekorzystnymi czynnikami rokowniczymi[239], z gorszym rokowaniem wiąże się również inwazja naczyń i nerwów[240], a także wysoki indeks mitotyczny[242]. Wysokie stężenie CA 19-9 koreluje z wyższym ryzykiem obecności przerzutów odległych i gorszym rokowaniem[241][243].

Klasyfikacja TNM

Klasyfikacja TNM jest systemem oceny zaawansowania klinicznego nowotworu.

Klasyfikacja TNM raka trzustki[244][245][246]
Guz pierwotny – cecha T
Tx Nie można ocenić guza pierwotnego
T0 Nie stwierdza się guza pierwotnego
Tis Rak in situ, w tym PanIN-3
T1 Guz ograniczony do trzustki o największym wymiarze ≤2 cm
T2 Guz ograniczony do trzustki o największym wymiarze >2 cm
T3 Guz wykraczający poza trzustkę nienaciekający pnia trzewnego ani tętnicy krezkowej górnej
T4 Guz wykraczający poza trzustkę naciekający pień trzewny lub tętnicę krezkową górną (nieresekcyjny guz pierwotny)
Zajęcie okolicznych węzłów chłonnych – cecha N
Nx Nie można ocenić okolicznych węzłów chłonnych
N0 Nie stwierdza się przerzutów w okolicznych węzłach chłonnych
N1 Obecne są przerzuty w regionalnych węzłach chłonnych
Przerzuty odległe – cecha M
Mx Nie można określić obecności przerzutów odległych
M0 Nie stwierdza się przerzutów odległych
M1 Obecne przerzuty odległe
Klasyfikacja zaawansowania klinicznego[244][246]
Stopień zaawansowania Cecha T Cecha N Cecha M
0 Tis N0 M0
IA T1 N0 M0
IB T2 N0 M0
IIA T3 N0 M0
IIB T1 N1 M0
T2 N1 M0
T3 N1 M0
III T4 dowolne N M0
IV dowolne T dowolne N M1

Leczenie

Jedyną metodą pozwalającą na całkowite wyleczenie raka trzustki jest radykalna operacja. Jednak taka operacja jest możliwa tylko u 20% chorych. Rodzaj operacji jest uzależniony od lokalizacji guza. W raku głowy trzustki wykonuje się pankreatoduodenektomię sposobem Whipple’a, polegającą na usunięciu głowy trzustki, dwunastnicy, części dróg żółciowych, pęcherzyka żółciowego i części żołądka, albo operację w modyfikacji Traverso-Longmire’a polegającą na usunięciu głowy trzustki, dwunastnicy, części dróg żółciowych, pęcherzyka żółciowego z zachowaniem odźwiernika żołądka. W raku trzonu lub ogona trzustki usuwa się dalszą część trzustki wraz ze śledzioną. Integralną częścią każdej operacji radykalnej raka trzustki jest odpowiednio szerokie usunięcie okolicznych węzłów chłonnych (limfadenektomia)[247].

U niektórych chorych z granicznie operacyjnym guzem trzustki operację może poprzedzać leczenie neoadiuwantowe, które ma za zadanie ułatwić przeprowadzenie zabiegu i poprawić rokowanie leczonych. Leczenie neoadiuwantowe polega na chemioterapii opartej na gemcytabinie z nab-paklitakselem, programie FOLFIRINOX (5-fluorouracyl, irynotekan i oksaliplatyna) lub chemioradioterapii[248]. Po przeprowadzonej radykalnej operacji chorych poddaje się leczeniu adiuwantowemu polegającemu na chemioterapii za pomocą monoterapii gemcytabiną lub 5-fluorouracylu/kapecytabiny[249][250]. Część autorów zaleca również chemioradioterapię[250]. W przypadku nawrotu raka trzustki po radykalnej operacji leczenie jest różne w zależności od okresu, jaki upłynął od leczenia ogólnoustrojowego w ramach terapii adiuwantowej lub neoadiuwantowej. W przypadku upływu od leczenia ogólnoustrojowego mniej niż 6 miesięcy stosuje się programy leczenia ogólnoustrojowego inne niż wcześniej. Jeśli nawrót wystąpił po ponad 6 miesiącach od leczenia ogólnoustrojowego, wcześniejsze leki mogą być powtórnie zastosowane[251].

Leczenie choroby z przerzutami (choroba uogólniona) jest oparte na chemioterapii. Decydującym czynnikiem w wyborze leczenia jest stan ogólny chorego. U chorych w dobrym stanie ogólnym preferuje się bardziej agresywne leczenie złożone z programu FOLFIRINOX lub gemcytabiny z nab-paklitakselem. W leczeniu pierwszego rzutu u chorych w dobrym stanie ogólnym może być stosowana gemcytabina w monoterapii, niektóre połączenia gemcytabiny z innymi cytostatykami lub lekami celowanymi (gemcytabina z erlotynibem, gemcytabina z cisplatyną, gemcytabina z 5-fluorouracylem/kapecytabiną, gemcytabina z docetakselem i kapecytabiną), kapecytabina/5-fluorouracyl w monoterapii lub kapecytabina/5-fluorouracyl w połączeniu z oksaliplatyną. W leczeniu chorych w złym stanie ogólnym stosuje się gemcytabinę w monoterapii lub najlepszą terapię wspomagającą[252]. Chorobę miejscowo zaawansowaną leczy się na podobnych zasadach jak chorobę z przerzutami[253].

Leczenie chirurgiczne w chorobie ograniczonej

Operacja Whipple’a
Operacja Whipple’a
Pankreatodeudenektomia z zachowaniem odźwiernika (modyfikacja Traverso-Longmire’a)
Całkowita pankreatektomia

Leczenie chirurgiczne jest jedyną metodą pozwalającą na całkowite wyleczenie raka trzustki, jednak z powodu zaawansowania choroby tylko 15–20% chorych może być leczonych chirurgicznie[254].

Zakres i rodzaj operacji jest uzależniony od lokalizacji guza. Nowotwory położone w obrębie głowy trzustki są leczone za pomocą pankreatoduodenektomii (operacja Kauscha-Whipple’a), nowotwory zlokalizowane w obrębie trzonu lub ogona trzustki wymagają usunięcia trzonu i ogona trzustki, a niektóre wieloogniskowe guzy wymagają wycięcia całej trzustki (pankreatektomia)[255][256]. Nie operuje się w sytuacji, gdy nie można założyć onkologicznie radykalnej, pełnej resekcji guza[105].

W przypadku guza położonego w głowie trzustki wykonuje się pankreatoduodenektomię sposobem Whipple’a lub w modyfikacji Traverso-Longmire’a przy zachowaniu odźwiernika wraz z lokalną limfadenektomią[105].

Operacja Whipple’a jest rozległym zabiegiem; istnieje bardzo wiele jej modyfikacji. W pierwszym etapie, po uruchomieniu dwunastnicy i trzustki w manewrze Kochera (nacięcie otrzewnej wzdłuż dwunastnicy), ocenia się resekcyjność guza, a mianowicie ruchomość żyły wrotnej i żyły krezkowej górnej oraz ewentualną możliwość ich resekcji z odtworzeniem ich ciągłości. Następnie wykonuje się dystalną gastrektomię lub przecina dwunastnicę w odległości od 2 do 3 cm od odźwiernika, w modyfikacji operacji Traverso-Longmire’a. Preparuje się przewód wątrobowy wspólny i go przecina, następnie się preparuje i usuwa pęcherzyk żółciowy (cholecystektomia). Po wypreparowaniu trzustki od tętnicy krezkowej górnej trzustkę przecina się na granicy głowy i szyi trzustki. Jelito cienkie przecina się na wysokości od 10 do 12 cm od więzadła Treitza. Potem odtwarza się ciągłość przewodu pokarmowego i dróg żółciowych. Pozostałą część trzustki zespala się koniec do końca z przeciętym jelitem cienkim (pankreatojejunostomia), przy czym istnieje wiele modyfikacji tego etapu operacji. Ciągłość dróg żółciowych odtwarza się za pomocą zespolenia koniec do boku: koniec kikuta przewodu wątrobowego wspólnego z bokiem jelita cienkiego poniżej zespolenia trzustki z jelitem. Ciągłość przewodu pokarmowego odtwarza się za pomocą zespolenia żołądkowo-jelitowego[257][258].

Alternatywą dla klasycznej operacji Whipple’a jest modyfikacja Traverso-Longmire’a, polegająca na zachowaniu odźwiernika. Operacja z zachowaniem odźwiernika prawdopodobnie umożliwia lepszą jakość życia i stan odżywienia leczonych poprzez poprawienie opróżniania żołądka[259][260].

Guzy położone w trzonie i ogonie trzustki wymagają dystalnej pankreatektomii wraz z usunięciem śledziony en block wraz guzem (w jednym bloku tkankowym). Tego typu operacje są rzadziej wykonywane niż operacja Whipple’a ze względu na długi bezobjawowy przebieg choroby w tej lokalizacji i wysokie zaawansowanie choroby w momencie rozpoznania, które rzadko umożliwia potencjalnie radykalny zabieg[261][262].

Zaleca się śródoperacyjne badanie histopatologiczne zamrożonych marginesów z szyi trzustki i dróg żółciowych[263]. Guz powinien się znajdować przynajmniej w odległości 5 mm od linii cięcia. Nie ma ogólnie przyjętej definicji bezpiecznego marginesu zdrowych tkanek, który jest konieczny do osiągnięcia resekcji radykalnej. Przyjmuje się, że margines nie powinien być węższy niż 1 mm[264]. W przypadku zajęcia żyły wrotnej lub żyły krezkowej górnej możliwa jest radykalna resekcja z rekonstrukcją tych żył. Nie wykazano by wiązała się ona z wyższą chorobowością lub śmiertelnością, jednak rzadziej jest osiągana radykalna resekcja[265]. Rekonstrukcje naczyń tętniczych wiążą się ze zwiększoną chorobowością i śmiertelnością chorych i są raczej niezalecane[266].

Standardowa limfadenetomia w operacji raka trzustki obejmuje wycięcie węzłów chłonnych dwunastnicy i trzustki, nadodźwiernikowych, pododźwiernikowych, wzdłuż dróg żółciowych, okołopęcherzykowe, więzadła wątrobowo-dwunastniczego, prawej strony tętnicy krezkowej górnej, węzłów chłonnych wątrobowo-dwunastniczych przednich i tylnych[267][266]. Rozszerzona limfadenektomia dodatkowo obejmuje usunięcie niektórych tkanek miękkich przestrzeni zaotrzewnowej, wnęki nerki, węzłów okołoaortalnych, węzłów chłonnych żyły wrotnej i lewej części tętnicy krezkowej górnej[267]. W kilku randomizowanych badaniach nie wykazano korzyści w postaci przedłużonego przeżycia całkowitego u chorych poddanych rozszerzonej limfadenektomii[268][269][270][271][272][273][274]. Wyjątkiem może być uzyskanie radykalnej resekcji wolnej mikroskopowo od choroby (resekcja R0) i klinicznie rozpoznane zajęcie węzłów chłonnych poza obszarem standardowej resekcji[267]. Zaleca się usunięcie przynajmniej 15 węzłów chłonnych[266].

Kryteria resekcyjności guza[275]:

  • guz nie przylega do ważnych tętnic, w tym do pnia trzewnego, tętnicy wątrobowej wspólnej, tętnicy krezkowej górnej
  • guz nie przylega do żyły wrotnej ani żyły krezkowej górnej lub przylega do mniej niż połowy ich obwodu bez wywoływania nieregularności ich obrysu.

Kryteria granicznej resekcyjności guza[275]:

  • w głowie trzustki:
    • guz przylega do tętnicy wątrobowej wspólnej bez szerzenia się do pnia trzewnego lub podziału tętnicy wątrobowej wspólnej, co umożliwia resekcję i rekonstrukcję tego naczynia
    • guz przylega do połowy obwodu tętnicy krezkowej górnej
    • specyficzne warianty odejścia tętnicy wątrobowej wspólnej lub krezkowej górnej przy przyleganiu guza do tych naczyń
    • guz przylega do więcej niż połowy obwodu żyły wrotnej lub krezkowej górnej lub przylega do mniej niż połowy obwodu naczynia, wywołując nieregularność jej obrysu, i istnieją warunki do jej resekcji z rekonstrukcją
    • guz przylega do żyły głównej dolnej
  • w trzonie i ogonie trzustki:
    • guz przylega do mniej niż połowy obwodu pnia trzewnego
    • guz przylega do więcej niż połowy obwodu pnia trzewnego bez zajęcia aorty i bez zajęcia tętnicy żołądkowo-dwunastniczej
    • guz przylega do więcej niż połowy obwodu żyły wrotnej lub krezkowej górnej lub przylega do mniej niż połowy obwodu naczynia, wywołując nieregularność jej obrysu lub zakrzep, i istnieją warunki do jej resekcji z rekonstrukcją
    • guz przylega do żyły głównej dolnej.

Kryteria nieresekcyjności guza[275]:

  • obecność przerzutów odległych
  • w głowie trzustki:
    • guz przylega do ponad połowy obwodu pnia trzewnego lub ponad połowy obwodu tętnicy krezkowej górnej
    • guz przylega do pierwszego odgałęzienia jelitowego (tętnica jelita czczego) tętnicy krezkowej górnej
    • nieresekowalne zajęcie przez guz lub zakrzep żyły wrotnej lub żyły krezkowej górnej
    • przyleganie do najbliższej żyły spływającej z jelita czczego do żyły krezkowej górnej
  • w trzonie i ogonie:
    • guz przylega do powyżej połowy obwodu pnia trzewnego lub ponad połowy obwodu tętnicy krezkowej górnej
    • guz przylega do pnia trzewnego i aorty
    • nieresekowalne zajęcie przez guz lub zakrzep żyły wrotnej lub żyły krezkowej górnej.

Mimo że resekcja guza trzustki jest jedyną metodą oferującą długotrwałe przeżycie, to rzadko okazuje się skuteczna. Analiza rejestrów SEER wskazuje, że u chorych poddanych radykalnej operacji bez leczenia uzupełniającego mediana przeżycia całkowitego wynosi około 17 miesięcy, a u chorych nie poddanych operacji ze zlokalizowaną chorobą mediana przeżycia wynosi 8 miesięcy[276]. W badaniu na 104 chorych po resekcji raka trzustki z marginesami mikroskopowo wolnymi od nacieku (resekcja R0) 27% chorych osiągnęło pięcioletnie przeżycie całkowite[276]. W innym badaniu na 118 chorych tylko 10,2% poddanych radykalnej operacji przeżyło pięć lat[277].

Jeśli śródoperacyjnie guz okaże się nieoperacyjny, pobiera się wycinek do badania histopatologicznego[263]. W przypadku żółtaczki zakłada się stent do dróg żółciowych lub wykonuje obejście dróg żółciowych. W leczeniu bólu nowotworowego stosuje się neurolizę splotu trzewnego[263].

Leczenie neoadiuwantowe

Leczenie neoadiuwantowe jest leczeniem ogólnoustrojowym poprzedzającym leczenie operacyjne. Ma ono na celu zmniejszenie masy guza, zmniejszenie stadium zaawansowania choroby i zwiększenie szansy wykonania operacji radykalnej z marginesem mikroskopowo wolnym od nacieku nowotworu oraz likwidację mikroprzerzutów niewidocznych dostępnymi metodami diagnostycznymi, a tym samym wydłużenie przeżycia całkowitego[278]. Dotychczas nie wykazano przewagi leczenia neoadiuwantowego nad adiuwantowym[279] i jego rola w leczeniu zlokalizowanego raka trzustki pozostaje niejasna[280]. Nie zaleca się leczenia neoadiuwantowego u większości chorych z potencjalnie operacyjną chorobą. U wybranych chorych z operacyjną chorobą z niekorzystnymi czynnikami prognostycznymi obejmującymi raka o granicznej operacyjności, duży guz, wysokie stężenie CA 19-9, duże regionalne węzły chłonne i znacznie nasilone objawy choroby, rozważa się zastosowanie leczenia neoadiuwantowego[281].

Przed rozpoczęciem leczenia neoadiuwantowego konieczne jest uzyskanie rozpoznania histopatologicznego nowotworu, w tym celu wykonuje się biopsję cienkoigłową i preferuje się wykonanie biopsji endoskopowej. Konieczna jest kontrola żółtaczki, zwykle za pomocą samorozprężalnego stentu wprowadzonego do dróg żółciowych[278].

Leczenie neoadiuwantowe jest oparte na gemcytabinie z nab-paklitakselem lub programie FOLFIRINOX (5-fluorouracyl, irynotekan i oksaliplatyna)[248]. Chorzy mogą być następnie poddani chemioradioterapii[248].

Wyniki metaanalizy wskazują, że neoadiuwantowa chemioradioterapia zwiększa szanse na osiągnięcie radykalnej resekcji[282][283].

W badaniu wieloośrodkowym na chorych z guzem operacyjnym, o granicznej operacyjności i nieoperacyjnym wykazano, że leczenie gemcytabiną, oksaliplatyną i radioterapią zwiększyło odsetek radykalnych operacji do 63%, przy czym 84% z nich osiągnęło resekcję radykalną mikroskopowo[284].

W badaniu klinicznym II fazy porównano leczenie wyłącznie chemioradioterapią z leczeniem za pomocą gemcytabiny w monoterapii, a następnie chemioradioterapią z gemcytabiną, 5-fluorouracylem i oksaliplatyną. Wykazano, że połączenie gemcytabiny z chemioradioterapią wywołuje wyższy odsetek odpowiedzi, dłuższe przeżycie wolne od progresji choroby i przeżycie całkowite niż samodzielna chemioradioterapia[285].

Niewielkie badania wskazują również na skuteczność schematu FOLFIRINOX w leczeniu guzów o granicznej operacyjności[286][287]. Badania przedkliniczne wskazują na synergistyczne działania nab-paklitakselu w połączeniu z gemcytabiną[288][289][290]. Małe badanie wskazuje na skuteczność połączenia gemcytabiny, cisplatyny i chemioradioterapii[291].

Leczenie adiuwantowe

Leczenie adiuwantowe jest leczeniem stosowanym po przeprowadzonym radykalnym zabiegu chirurgicznym w celu zmniejszenia ryzyka wznowy miejscowej lub pojawienia się przerzutów odległych, a tym samym poprawienia przeżycia całkowitego[292].

W zaleceniach ESMO opcjami terapeutycznymi w leczeniu adiuwantowym raka trzustki są gemcytabina lub 5-fluorouracyl i nie zaleca się stosowania pooperacyjnej chemioradioterapii z wyjątkiem badań klinicznych[249]. W zaleceniach NCCN opcjami terapeutycznymi w leczeniu adiuwantowym raka trzustki są samodzielna chemioterapia gemcytabiną[a], samodzielna chemioterapia 5-fluorouracylem[a] lub kapecytabiną[b] lub podanie gemcytabiny lub 5-fluorouracylu/kapecytabiny poprzedzające lub następujące po chemioradioterapii z użyciem gemcytabiny lub 5-fluorouracylu/kapecytabiny[250].

Chemioterapia adiuwantowa

W chemioterapii adiuwantowej stosuje się gemcytabinę lub 5-fluorouracyl[249][250]. W zaleceniach NCCN alternatywą do 5-fluorouracylu jest kapecytabina[250]. Choć wyniki różnych badań oceniających skuteczność gemcytabiny i 5-fluorouracylu ze względów różnic metodologicznych nie można bezpośrednio porównać ze sobą, to jednak osiągane wyniki obu cytostatyków są bardzo podobne. Nie pozwala to wskazać bardziej preferowanego leku w leczeniu adiuwantowym[293]. Leczenie adiuwantowe powinno być rozpoczęte w ciągu 12 tygodni od wykonanego zabiegu[278].

Badanie CONKO-001 na 368 chorych po resekcji radykalnej mikroskopowo (R0) i resekcji z mikroskopowym naciekiem nowotworowym marginesu resekcji (R1) wykazano, że podanie gemcytabiny po zabiegu operacyjnym wydłuża medianę przeżycia całkowitego (OS) do 22,1 miesięcy w porównaniu do chorych bez leczenia gemcytabiną, których mediana przeżycia wynosiła 20,1 miesiąca. W badaniu stwierdzono wydłużenie przeżycia wolnego od progresji choroby (DFS) z 6,9 miesiąca w grupie bez gemcytabiny do 13,9 miesiąca u grupie leczonych gemcytabiną[294][295].

Badanie ESPAC-3 na 159 chorych nie wykazało istotnej różnicy mediany przeżycia całkowitego pomiędzy chorymi leczonymi 5-fluouracylem (23,0 miesiące) i gemcytabiną (23,6 miesięcy)[296].

Radiochemioterapia adiuwantowa

Rola adiuwantowej chemioradioterapii jest kontrowersyjna. Wytyczne ESMO z 2015 roku nie zalecają jej stosowania[249], z kolei zalecania NCCN wskazują ją jako jedną z opcji terapeutycznych w leczeniu uzupełniającym[250]. Choć tylko jedno badanie wskazuje na niekorzystny wpływ na przeżycie (ESPAC-1), to z drugiej strony żadne badanie nie dowodzi przewagi chemioradioterapii nad samodzielną chemioterapią[297].

Badanie ESPAC-1 na łącznie 289 chorych, których podzielono na cztery grupy oceniło skuteczność chemioterapii 5-fluorouracylem i chemioradioterapii. Część chorych otrzymała samodzielne leczenie za pomocą 5-fluorouracylu, druga grupa otrzymała chemioradioterapię, trzecia grupa chemioterapię i chemioradioterapię, a czwarta grupa była wyłącznie obserwowana. Badanie wykazało, że chorzy którzy otrzymywali samodzielną chemioterapię z 5-fluorouracylem osiągnęli lepszą medianę przeżycia całkowitego (20,1 miesiąca) niż chorzy wyłącznie obserwowani (15,5 miesiąca). W tym badaniu chorzy, którzy otrzymali chemioradioterapię nie osiągnęli korzyści z chemioradioterapii i osiągnęli gorszą medianę przeżycia całkowitego (15,9 miesiąca) niż chorzy którzy nie byli leczeni chemioradioterapią (17,9 miesięcy)[298][292].

Dwa badania wskazują, że radiochemioterapia z 5-fluorouracylem daje korzyści w przeżyciu całkowitym chorych w porównaniu do grupy obserwowanej. W badaniu GITSG z 1985 roku mediana przeżycia chorych leczonych radiochemioterapią z 5-fluorouracylem wynosiła 21 miesięcy, a grupy wyłącznie obserwowanej 10,9 miesięcy[299], a w badaniu EORTC z 1999 roku mediana przeżycia chorych leczonych radiochemioterapią z 5-fluorouracylem wynosiła 17,1 miesięcy, a grupy wyłącznie obserwowanej 12,6 miesięcy[300].

W badaniu RTOG 9704 nie wykazano przewagi radiochemioterapii z gemcytabiną nad radiochemioterapią z 5-fluorouracylem[301].

Leczenie nawrotu po operacji radykalnej

W przypadku stwierdzenia nawrotu miejscowego lub pojawienia się przerzutów odległych po wykonanej radykalnej operacji może być konieczne wykonanie biopsji celem potwierdzenia nawrotu. W nawrocie lokalnym bez przerzutów odległych może być zastosowana chemioradioterapia, jeśli nie była wcześniej użyta, lub chemioterapia ogólnoustrojowa (w monoterapii lub kombinacji leków cytostatycznych)[252][251].

W przypadku wystąpienia przerzutów odległych z lub bez nawrotu lokalnego stosuje się leczenie ogólnoustrojowe. Jeśli upłynęło więcej niż 6 miesięcy od wcześniejszego leczenia ogólnoustrojowego (leczenia adiuwantowego, neoadiuwantowego), to powtórnie się wprowadza to samo leczenie lub wdraża inne programy chemioterapii za pomocą pojedynczych cytostatyków albo przy skojarzeniu leków. W przypadku nawrotu przed upływem 6 miesięcy od wcześniejszej formy leczenia ogólnoustrojowego nie można powtórnie go zastosować i uruchamia się inne programy chemioterapii[251].

Część chorych z pojedynczymi przerzutami do płuc może odnieść korzyść z przeprowadzenia operacji resekcji przerzutów (metastazektomia)[302].

Leczenie choroby miejscowo zaawansowanej

Niepoperacjny guz bez stwierdzonych przerzutów odległych jest leczony ogólnoustrojowo na podobnych zasadach jak choroba z przerzutami[253]. W leczeniu chorych w dobrym stanie ogólnym stosuje się program FOLFIRINOX, gemcytabinę w monoterapii, gemcytabinę z nab-paklitakselem, 5-fluorouracyl lub kapecytabinę w monoterapii, 5-fluorouracyl lub kapecytabinę w połączeniu z cisplatyną i u wybranych chorych radiochemioterapię. U chorych w złym stanie ogólnym stosuje się gemcytabinę w monoterapii lub najlepszą terapię wspomagającą[303].

Leczenie choroby z przerzutami

Chemioterapia I rzutu zaawansowanego raka trzustki jest oparta na gemcytabinie i programie FOLFIRINOX

Leczenie choroby uogólnionej jest oparte na chemioterapii. Podstawowym celem leczenia jest wydłużenie przeżycia chorych oraz łagodzenie objawów zaawansowanej choroby nowotworowej. Największe korzyści z leczenia ogólnoustrojowego odnoszą chorzy w dobrym stanie ogólnym, dlatego u tych chorych stosuje się bardziej agresywne strategie lecznicze, które przynoszą dłuższe przeżycie całkowite. Z kolei chorzy w złym stanie ogólnym z nasilonymi objawami choroby nowotworowej wymagają mniej obciążającego leczenia i większego nacisku na łagodzenie uciążliwych objawów choroby[304].

W leczeniu I rzutu choroby przerzutowej u chorych w dobrym stanie ogólnym stosuje się[305]:

W leczeniu I rzutu choroby przerzutowej u chorych w złym stanie ogólnym stosuje się[305]:

  • gemcytabinę w monoterapii
  • leczenie paliatywne lub najlepszą terapię wspomagającą.

W leczeniu II rzutu stosuje się[305]:

  • programy oparte na 5-fluorouracylu/kapecytabinie, gdy chory wcześniej był leczony gemcytabiną
  • programy oparte na gemcytabinie, gdy chory wcześniej był leczony 5-fluorouracylem/kapecytabiną
  • radioterapię paliatywną.

Gemcytabina

Gemcytabina wykazuje aktywność w leczeniu raka trzustki. Może być stosowana w monoterapii lub w połączeniu z innymi cytostatykami.

Gemcytabina w monoterapii

Gemcytabina w monoterapii może być stosowana w leczeniu choroby uogólnionej, choroby miejscowo zaawansowanej (bez przerzutów) lub w leczeniu paliatywnym[a][306]. Wykazano pewną przewagę gemcytabiny nad 5-fluorouracylem. Leczeni gemcytabiną osiągają dłuższe przeżycie całkowite niż chorzy leczeni 5-fluotouracylem. Gemcytabina jest również skuteczniejsza w łagodzeniu objawów choroby[307].

Połączenia gemcytabiny z cytostatykami

Gemcytabina była badana w połączeniu z lekami o potencjalnie synergistycznym działaniu, w tym z cisplatyną[308][309][310][311], oksaliplatyną[311][312][313][314], irynotekanem[315] , 5-fluorouracylem[316] i kapecytabiną[317][318][319]. Dwie metaanalizy wykazały, że połączenie gemcytabiny z innymi cytostatykami daje niewielkie korzyści w wydłużeniu przeżycia całkowitego kosztem dużej toksyczności terapii[320][321]. Korzyści z leczenia gemcytabiny w połączeniu z innymi cytostatykami odnoszą przede wszystkim chorzy w dobrym stanie ogólnym[322].

Połączenie gemcytabiny z nab-paklitakselem (nonocząsteczkowy kompleks paklitakselu z albuminą) jest preferowanym leczeniem pierwszego rzutu (obok programu FOLFIRINOX) chorych w dobrym stanie ogólnym z chorobą przerzutową[a]. Połączenie jest również stosowane w leczeniu choroby miejscowo zaawansowanej u chorych w dobrym stanie ogólnym, a także jest możliwym połączeniem w leczeniu adiuwantowym[a]. W badaniu I/II fazy połączenie gemcytabiny z nab-paklitakselem wywoływało odpowiedź u 48% chorych, a mediana przeżycia całkowitego wynosiła 12,2 miesięcy[288]. W dużym randomizowanym badaniu na 881 chorych porównano leczenie gemcytabiną w monoterapii z połączeniem gemcytabiny z nab-paklitakselem. Mediana przeżycia całkowitego chorych leczonych połączeniem gemcytabiny z nab-paklitakselem była lepsza niż leczonych gemcytabiną w monoterapii i wynosiła 8,7 miesięcy, a leczonych gemcytabiną w monoterapii 6,6 miesiąca. Połączenie poprawiało również przeżycie wolne od progresji choroby (PFS), przeżycie 1-roczne (35%) i przeżycie 2-letnie (10%). U 3% leczonych zaobserwowano długotrwałe przeżycie powyżej 42-miesięcy[323][324][322].

Połączenie gemcytabiny z erlotynibem (inhibitor kinazy tyrozynowej EGFR) może być stosowane u chorych w dobrym stanie ogólnym z chorobą przerzutową[a][325]. W badaniu III fazy na 569 chorych porównano skuteczność połączenia gemcytabiny z erlotynibem do gemcytabiny w monoterapii. Połączenie erlotynibu z gemcytabiną wywoływało lepsze przeżycie całkowite (mediana 6,24 miesięcy) niż gemcytabina w monoterapii (mediana 5,9 miesięcy)[326].

Połączenie gemcytabiny z cisplatyną może być stosowane u chorych z przerzutowym rakiem trzustki z mutacjami BRCA lub PALB2, które są bardziej wrażliwe na pochodne platyny[c][327][328][329]. Badanie Oliver i współpracowników sugeruje, że chorzy z rakiem trzustki z rodzinnym wywiadem raka trzustki, raka jajnika lub raka piersi wykazują wyższą czułość na pochodne platyny i odnoszą większe korzyści z tego leku niż pozostali chorzy[330][329].

Połączenie gemcytabiny z kapecytabiną może być rozważone u chorych w dobrym stanie ogólnym w leczeniu choroby przerzutowej[c][331]. W badaniu ECOG E2297 nie stwierdzono poprawy przeżycia całkowitego (OS) u chorych leczonych połączeniem gemcytabiny i kapecytabiny w porównaniu do gemcytabiny w monoterapii[316]. W innym badaniu na 533 chorych wykazano, że połączenie gemcytabiny i kapecytabiny zwiększa przeżycie wolne od progresji choroby (PFS) w porównaniu do gemcytabiny w monoterapii, jednak nie uzyskano istotnej statystycznie poprawy przeżycia całkowitego (OS)[318]. Jednak metaanaliza 8 randomizowanych badań na łącznie ponad 2000 chorych wskazuje, że dodanie pochodnej fluoropirymidyny (5-fluorouracyl, kapecytabina, S-1) do gemcytabiny zwiększa przeżycie całkowite leczonych[332].

Połączenie gemcytabiny, docetakselu i kapecytabiny (schemat GTX) może być stosowane u chorych w dobrym stanie ogólnym w leczeniu przerzutowego raka trzustki[b][331]. W małym badaniu schemat wywoływał odpowiedź u 29% chorych, a mediana przeżycia wynosiła 11,2 miesiąca[319]. W innym badaniu na 154 chorych mediana przeżycia całkowitego wynosiła 11,6 miesiąca[333].

FOLFIRINOX

Program FOLFIRINOX jest połączeniem 5-fluorouracylu z leukoworyną (folinian wapnia), irynotekanu i oksaliplatyny. Schemat jest preferowaną metodą leczenia u chorych w dobrym stanie ogólnym w chorobie uogólnionej[a] i może być stosowany w chorobie miejscowo zaawansowanej[c], również może być stosowany w leczeniu neoadiuwantowym u chorych z granicznie operacyjnym guzem[334].

W badaniu klinicznym III fazy porównano skuteczność schematu FOLFIRINOX z gemcytabiną w monoterapii. Wykazano, że leczeni programem FOLFIRINOX osiągają dłuższą medianę przeżycia całkowitego (OS) wynoszącą 11,1 miesiąca, podczas gdy leczeni gemcytabiną osiągnęli medianę przeżycia całkowitego wynoszącą 6,8 miesiąca. Zaobserwowano również dłuższą medianę przeżycia wolnego od progresji choroby (PFS) wynoszącą 6,4 miesięcy w porównaniu do gemcytabiny w monoterapii wynoszącą 3,3 miesiąca[335]. Leczenie jest związane ze znacznym stopniem toksyczności[336].

Kapecytabina lub 5-flurouracyl

Kapecytabina lub 5-fluorouracyl mogą być stosowane w leczeniu pierwszego rzutu choroby z przerzutami lub choroby miejscowo zaawansowanej[b]. 5-fluorouracyl[c] oraz kapecytabina[b] są stosowane w leczeniu adiuwantowym[336]. Wykazano, że w leczeniu zaawansowanego raka trzustki kapecytabina w monoterapii osiąga podobne rezultaty jak połączenie gemcytabiny z erlotynibem[337].

Połączenie kapecytabiny/5-fluorouracylu z oksaliplatyną jest opcją leczenia pierwszego rzutu w zaawansowanym raku trzustki[336]. Skuteczność połączenia wykazano w badaniu II fazy[338] oraz w badaniu III fazy CONKO-003[339][336].

Leczenie drugiego rzutu

W leczeniu drugiego rzutu u chorych, którzy wcześniej otrzymali chemioterapię opartą na gemcytabinie stosuje się chemioterapię opartą na 5-fluorouracylu lub kapecytabinie. Z kolei u chorych, którzy wcześniej otrzymali wcześniejsze leczenie II rzutu oparte na 5-fluorouracylu lub kapecytabinie, leczenie jest oparte na gemcytabinie[340].

Leczenie wspomagające i paliatywne

Leczenie paliatywne jest ukierunkowane przede wszystkim na poprawę jakości życia poprzez walkę z uciążliwymi objawami choroby nowotworowej[302].

Niedrożność okolicy odźwiernikowej
Przezskórna gastrostomia endoskopowa

Niedrożność okolicy odźwiernikowej pojawia się u 10–25% chorych na raka trzustki. W raku trzustki jest spowodowana naciekiem na splot trzewny i zaburzeniem motoryki żołądka oraz dwunastnicy albo w wyniku bezpośredniego nacieku lub ucisku wywieranego przez guz na dwunastnicę, a rzadziej żołądek[341].

W przypadku wystąpienia niedrożności u chorego z przewidywalną długością życia powyżej 3–6 miesięcy wykonuje się laparoskopowo lub metodą otwartą zespolenie żołądkowo-jelitowe (bypass). Część chorych może być leczona endoskopowo, poprzez umieszczenie w miejscu zwężenia metalowego stentu samorozprężalnego. U chorych w złym stanie ogólnym najkorzystniejszym leczeniem może być przezskórna gastrostomia endoskopowa, która umożliwia żywienie dojelitowe[342].

U chorych z niedrożnością okolicy odźwiernikowej z potencjalnie resekcyjną chorobą, która śródoperacyjnie okazała się nieresekcyjna, wykonuje się zespolenia omijające. U chorych z nieoperacyjnym guzem stwierdzonym podczas laparotomii bez objawów niedrożności z podwyższonym ryzykiem niedrożności profilaktycznie wykonuje się zespolenie omijające[343]. Wykazano, że takie zespolenie zmniejsza ryzyko wystąpienia niedrożności w porównaniu z chorymi, u których nie wykonano tego zabiegu[344]. Jednak nie porównano leczenia operacyjnego z endoskopowym[341].

Niedrożność dróg żółciowych
Plastikowy stent do dróg żółciowych

Niedrożność dróg żółciowych pojawia się u 65–75% chorych na raka trzustki[302]. W jej wyniku rozwija się żółtaczka zaporowa, uciążliwy świąd, pogorszenie jakości snu, biegunki i spadek masy ciała. U chorych z nieoperacyjnym rakiem trzustki i niedrożnością dróg żółciowych najkorzystniejszym leczeniem jest endoskopowe wstawienie stentu do dróg żółciowych w miejscu zwężenia. Zalecane są metalowe stenty samorozprężalne lub powlekane (pokrywane) metalowe stenty samorozprężalne[302].

Powlekane (pokrywane) metalowe stenty samorozprężalne zawierają specjalną membranę, która utrudnia wrastanie guza przez oczka protezy do jej wnętrza i zatykania jej. Główną jej wadą jest większe ryzyko przemieszczenia jej przez rosnący guz. Protezy plastikowe zawierają na swoich końcach zaczepy zapobiegające migracji protezy, a protezy pigtail mocują się dzięki zakrzywionym końcom. Plastikowe protezy są zakładane tymczasowo, posiadają one węższe światło niż stenty metalowe i po okołu 3 miesiącach ulegają zatkaniu. Możliwe jest zaplanowanie regularnej ich wymiany[345].

Metaanaliza wykazała, że w raku trzustki lub dróg żółciowych protezy metalowe i plastikowe osiągają podobne wyniki. Stenty metalowe oferują jednak niższe ryzyko zamknięcia światła protezy przez nowotwór[346][342]. Wykazano, że stenty powlekane dłużej zapewniają drożność dróg żółciowych niż stenty metalowe niepowlekane[347].

Jeśli niemożliwe jest endoskopowe założenie stentu z powodu niedrożności żołądka lub innych powodów to alternatywą jest drenaż przezskórny dróg żółciowych[342].

U chorych z żółtaczką i z potencjalnie operacyjnym guzem, który śródoperacyjnie okazał się być nieresekcyjny, wykonuje się obejście przewodu żółciowego wspólnego (choledochojejuniostomię), pęcherzykowego (choledochojejuniostomia) lub wątrobowego wspólnego (hepaticojejunostomia). Operacje mogą być łączone z utworzeniem zespolenia omijającego żołądek i neurolizą splotu trzewnego[342].

Ból nowotworowy
Plastry do przezskórnego podawania fentanylu
Ampułka morfiny
Przezskórna blokada splotu trzewnego (obraz tomograficzny)

W momencie rozpoznania 40–80% chorych doświadcza dolegliwości bólowych, a z powodu postępu choroby ponad 90% chorych doświadcza bólu o stopniu umiarkowanym do silnego. Ból nowotworowy w zaawansowanym raku trzustki jest zlokalizowany w górnej części brzucha i w okolicy pleców. Jest on spowodowany naciekiem nowotworowym splotu trzewnego i krezkowego[341].

Farmakologiczne leczenie bólu jest oparte na lekach przeciwbólowych stosowanych w kolejności określonej drabiną analgetyczną. W pierwszym etapie leczenia (I stopień) podaje się niesteroidowe leki przeciwzapalne. W razie ich nieskuteczności podaje się leki II stopnia drabiny analgetycznej, obejmujące słabe opioidy (kodeinę, dihydrokodeinę, tramadol). Gdy słabe opioidy w maksymalnych dawkach przestają być skuteczne lub występują niepożądane działania leków, przechodzi się do kolejnego stopnia leczenia przeciwbólowego: silnych opioidów, do których zalicza się morfinę, oksykodon, fentanyl i buprenorfinę. Leki są podawane doustnie w postaci preparatów o natychmiastowym albo zmodyfikowanym uwalnianiu lub w plastrach przezskórnych; w razie silnego bólu może być konieczna doraźna podaż dożylna. Zazwyczaj początkowo ustala się podstawowe zapotrzebowanie na leki przeciwbólowe za pomocą morfiny o natychmiastowym uwalnianiu, a następnie przechodzi się na leki doustne o zmodyfikowanym uwalnianiu lub plastry przezskórne. Opioidy przyjmuje się w regularnych odstępach czasu. Chorego zaopatruje się w dawki interwencyjne, które pozwalają walczyć z nasileniem dolegliwości bólowych lub niedostatecznej dawki leków przeciwbólowych[348]. Pomocniczo wykorzystywane są koanalgetyki, które same nie są lekami przeciwbólowymi, ale wspierają działanie leków przeciwbólowych, przede wszystkim niektóre leki przeciwdepresyjne (amitryptylina, sertralina) i przeciwdrgawkowe (gabapentyna, pregabalina, karbamazepina, kwas walproinowy, lamotrygina)[349].

W uporczywych dolegliwościach bólowych korzystna jest neuroliza splotu trzewnego, która może być wykonana endoskopowo, przezskórnie, w trakcie laparotomii lub torakoskopowo[341]. Splanchnicektomia może być wykonana z zastosowaniem neurolizy za pomocą wstrzyknięć alkoholu, który poprawia skuteczność wykonanego zabiegu[350]. Chirurgiczne leczenie bólu może być łączone z innymi zabiegami paliatywnymi[341].

W leczeniu bólu wykorzystuje się również radioterapię, jednak jest ona związana z częstymi działaniami niepożądanymi[341].

Depresja

Rak trzustki jest związany z dużym ryzykiem wystąpienia depresji. Znacząco pogarsza ona jakość życia chorych[351]. Depresja w raku trzustki jest związana ze znacznie zwiększonym ryzykiem samobójstwa[352]. Leczenie jest oparte na lekach przeciwdepresyjnych i psychoterapii. Stosuje się trójpierścieniowe leki przeciwdepresyjne (TLPD) i selektywne inhibitory zwrotnego wychwytu serotoniny (SSRI). Skuteczność obu grup leków jest porównywalna[9][353].

Niewydolność zewnątrzwydzielnicza

Niewydolność zewnątrzwydzielnicza jest spowodowana zniszczeniem prawidłowej tkanki trzustki przez guz nowotworowy, niedrożnością przewodu trzustkowego lub usunięciem dużej części trzustki podczas radykalnej onkologicznie operacji. Niewydolność skutkuje przewlekłą biegunką, nieprawidłowym trawieniem i zaburzonym wchłanianiem tłuszczów, białek i węglowodanów, co ostatecznie prowadzi do niedożywienia i nasilenia spadku masy ciała. Postawą leczenia jest odpowiednia suplementacja enzymów trzustkowych[354].

Kacheksja

Zespół kacheksja-anoreksja wraz z postępem choroby pojawia się u 70–85% chorych na raka trzustki[355][356][357]. Zespół jest związany ze zmniejszeniem przyjmowania pokarmu, nasileniem metabolizmu i obniżaniem się masy ciała. Jest on spowodowany wydzielaniem cytokin, hormonów, neuropeptydów, neuroprzekaźników i innych substancji aktywnych biologicznie przez guz[356][357]. Zespół kacheksja-anoreksja jest definiowany przez stwierdzenie spadku wagi w ciągu 6 miesięcy powyżej 5% lub powyżej 2% u chorych z BMI poniżej 20. Zespół jest również rozpoznawany w przypadku obniżenia masy mięśniowej powyżej 2%[356]. Zespół kacheksja-anoreksja powoduje skrócenie przeżycia chorych i znaczne pogorszenie jakości życia[357].

W leczeniu kluczowe jest odpowiednie postępowanie dietetyczne zapewniające właściwe zapotrzebowanie kaloryczne chorego. Ważna jest suplementacja enzymów trzustkowych, ponieważ niewydolność zewnątrzwydzielnicza trzustki znacząco pogarsza stan odżywienia. W leczeniu farmakologicznym stosuje się progestageny (medroksyprogesteron), kortykosteroidy, steroidy anaboliczne (nandrolon, oksandrolon), olanzapinę i mirtazapinę[357].

Rokowanie

Pięcioletnie przeżycie chorych po przebytej radykalnej operacji[358]
Stadium kliniczne Przeżycie całkowite
IA 31,4%
IB 27,2%
IIA 15,7%
IIB 7,7%
III 6,8%
IV 2,8%
Rokowanie według wieku[359]
Przeżycie: Odsetek w przedziale wiekowym
<49 lat 50–64 lata 65–79 lat >80 lat ogólne
6-miesięczne 64,4% 56,0% 46,7% 30,1% 47,7%
12-miesięczne 44,0% 34,7% 26,3% 15,7% 28,2%
18-miesięczne 34,2% 23,4% 17,3% 9,5% 18,9%
24-miesięczne 27,0% 17,1% 12,5% 7,0% 14,0%
36-miesięczne 20,9% 11,7% 8,3% 4,4% 9,6%
48-miesięczne 18,0% 9,3% 6,6% 3,6% 7,8%
60-miesięczne 16,5% 8,0% 5,8% 3,3% 6,9%
120-miesięczne 13,5% 5,8% 3,6% 2,0% 4,9%

Choroba u zwierząt

Rak zewnątrzwydzielniczej części trzustki jest stosunkowo rzadkim nowotworem u zwierząt, został stwierdzony u niektórych gatunków zwierząt dzikich, domowych i o znaczeniu gospodarczym[360]. Nowotwór dotyka przede wszystkim koty i psy[360], istnieją doniesienia o obecności choroby u świń, bydła i koni[361][362]. U zwierząt dzikich rak zewnątrzwydzielniczej części trzustki szczególnie często dotyczy niedźwiedziowatych[363].

W porównaniu do nowotworów u ludzi, u których zdecydowanie dominuje gruczolakorak, u zwierząt występuje większa rozpiętość histologiczna guzów i stwierdza się nowotwory różnicujące się w kierunku komórek zrazikowych oraz gruczołów[361]. Chorobę charakteryzuje naciekający i niszczący sąsiednie struktury wzrost i stosunkowo wczesne przerzuty[360][361]. Nowotwór zwykle jest rozpoznawany w zaawansowanym stadium, z zajęciem węzłów chłonnych i obecnością przerzutów odległych[361]. W diagnostyce przydatna bywa ultrasonografia, jednak większość przypadków jest rozpoznawana podczas laparotomii zwiadowczej[364]. Opisano wykonywanie pankreatektomii lub pankreateduodektomii u zwierząt. Wykonuje się paliatywne zespolenia omijające. Chemioterapia i radioterapia u zwierząt mają ograniczone zastosowanie[364].

Historia

Giovanni Battista Morgagni

Pierwszy współczesny opis raka trzustki podał w 1761 roku włoski patomorfolog Giovanni Battista Morgagni w dziele De sedibus et causis morborum per anatomen indagatis[365]. W XVIII i XIX wieku dość sceptycznie podchodzono do kwestii istnienia tej choroby, ze względu na pewne morfologiczne podobieństwo do zapalenia trzustki. W 1858 roku pierwsze rozpoznanie histopatologiczne raka trzustki postawił Jacob Mendez Da Costa[366].

W 1882 roku Friedrich Trendelenburg przeprowadził pierwszą udaną operację dystalnej pankreatoduodenektomii[365]. W 1898 roku Alessandro Codivilla przeprowadził pierwszą pankreatoduodenektomię z usunięciem znacznej części dwunastnicy i głowy trzustki, jednak po kilku dniach chory zmarł z powodu obecności licznych przerzutów[366]. W 1909 roku (pracę opublikował w 1912 roku) Walther Kausch we Wrocławiu (wówczas Breslau) jako pierwszy przeprowadził udaną pankreatoduodektomię, a zoperowany przeżył 9 miesięcy[366][367]. W 1914 roku Georg Hirschel wykonał jednoetapową pankreatoduodenektomię[366]. W 1935 roku Allen Oldfather Whipple przeprowadził pankreatoduodenektomię z całkowitym usunięciem dwunastnicy i dużej części trzustki[366][367]. Resekcję raka trzustki z zachowaniem odźwiernika jako pierwszy przeprowadził Kenneth Watson w 1944 roku[368], jednak nie była przeprowadzana do czasu jej powtórnego wprowadzenia przez W. Traverso i W. P. Longmire’a (juniora) w 1978 roku[369][370].

Chemioterapię wprowadzono do leczenia nowotworów na początku lat pięćdziesiątych. Pierwszym aktywnym lekiem w leczeniu raka trzustki był w latach 60. 5-fluorouracyl. Początkowo stosowano go w monoterapii, a następnie w politerapii. Wczesne schematy leczenia raka trzustki obejmowały program FAM (5-fluorouracyl, doksorubicynę i mitomycyna C), program SMF (5-fluorouracyl, streptozotocyna, mitomycyna C) i program Mallinsona (5-fluorouracyl, cyklofosfamid, metotreksat i winkrystyna, a następnie podtrzymująco 5-fluorouracyl i mitomycyna C)[371]. Żaden schemat nie miał jednak znaczącej przewagi w wydłużaniu przeżycia całkowitego chorych w porównaniu do 5-fluorouracylu w monoterapii[372][373][371]. Odsetek odpowiedzi 5-fluorouracylu nie przekraczał 30% ocenianych głównie klinicznie[374][371]. Wprowadzenie nowoczesnych metod obrazowania pozwoliło zweryfikować odsetek odpowiedzi 5-fluorouracylu, który okazał się bardzo niewielki[307]. W latach 90. do leczenia raka trzustki wprowadzono gemcytabinę[307][375][376]. W drugiej połowie lat 90. gemcytabina stała się standardem leczenia zaawansowanego raka trzustki[377]. W 2010 roku do leczenia raka trzustki wprowadzono program FOLFIRINOX[378].

Klasyfikacja ICD10

kod ICD10nazwa choroby
ICD-10: C25Nowotwór złośliwy trzustki
ICD-10: C25.0głowa trzustki
ICD-10: C25.1trzon trzustki
ICD-10: C25.2ogon trzustki
ICD-10: C25.3przewód trzustkowy
ICD-10: C25.4część wewnątrzwydzielnicza trzustki
ICD-10: C25.7inna część trzustki
ICD-10: C25.8zmiana przekraczająca granice jednego umiejscowienia w obrębie trzustki
ICD-10: C25.9trzustka, umiejscowienie nieokreślone

Uwagi

  1. 1 2 3 4 5 6 7 Stopień zaleceń I.
  2. 1 2 3 4 Stopień zaleceń IIB.
  3. 1 2 3 4 Stopień zaleceń IIA.

Przypisy

  1. Ralph H. Hruban, Syed Z. Ali: Pathology of the Exocrine Pancreas. W: Pancreatic Cancer. Daniel D. von Hoff, Douglas Brian Evans, Ralph H. Hruban (red.). Jones & Bartlett Learning, 2005, s. 15–30. ISBN 978-0-7637-2178-7.
  2. 1 2 Kumar, Cotran i Robins 2005 ↓, s. 736.
  3. Robb E. Wilentz, Ralph H. Hruban: Pathology ofPancreatic Cancer. W: Pancreatic Cancer. John L. Cameron (red.). PMPH-USA, 2001, s. 37–66. ISBN 9781550091311.
  4. 1 2 Kordek 2007 ↓, s. 198.
  5. 1 2 3 4 5 6 7 8 Szczeklik i Gajewski 2014 ↓, s. 1025.
  6. 1 2 3 4 5 6 7 8 Vincent J. Picozzi, Jr.: Pancreatic Cancer: Clinical Presentation. W: Pancreatic Cancer. Daniel D. von Hoff, Douglas Brian Evans, Ralph H. Hruban (red.). Jones & Bartlett Learning, 2005, s. 155–164. ISBN 978-0-7637-2178-7.
  7. Scot F. Gallagher, Emmanuel E. Zervos, Michel M. Murr: Distal Pancreatectomy. W: Pancreatic Cancer. Daniel D. von Hoff, Douglas Brian Evans, Ralph H. Hruban (red.). Jones & Bartlett Learning, 2005, s. 299–312. ISBN 978-0-7637-2178-7.
  8. L. Jia, S.M. Jiang, Y.Y. Shang, Y.X. Huang i inni. Investigation of the incidence of pancreatic cancer-related depression and its relationship with the quality of life of patients. „Digestion”. 82 (1), s. 4–9, 2010. DOI: 10.1159/000253864. PMID: 20145402.
  9. 1 2 3 M. Mayr, R.M. Schmid. Pancreatic cancer and depression: myth and truth. „BMC Cancer”. 10, s. 569, 2010. DOI: 10.1186/1471-2407-10-569. PMID: 20961421.
  10. W. Breitbart, B. Rosenfeld, K. Tobias, H. Pessin i inni. Depression, cytokines, and pancreatic cancer. „Psychooncology”. 23 (3), s. 339–345, 2014. DOI: 10.1002/pon.3422. PMID: 24136882.
  11. Milind Javle, Michael Fisch: Distal Pancreatectomy. W: Pancreatic Cancer. John P. Neoptolemos, Raul Urrutia, James Abbruzzese, Markus W. Büchler (red.). Springer Science & Business Media, 2010, s. 813–838. DOI: 10.1007/978-0-387-77498-5_33. ISBN 978-0-387-77497-8.
  12. Kordek 2007 ↓, s. 76.
  13. Jens Werner, Stephan Herzig: Paraneoplastic Syndromes in Pancreatic Cancer. W: Pancreatic Cancer. John P. Neoptolemos, Raul Urrutia, James Abbruzzese, Markus W. Büchler (red.). Springer Science & Business Media, 2010, s. 651–673. DOI: 10.1007/978-0-387-77498-5_27. ISBN 978-0-387-77497-8.
  14. Denis A. Casciato, Marry C. Territo: Manual of Clinical Oncology. Lippincott Williams & Wilkins, 2012, s. 264. ISBN 978-1-4511-1560-4.
  15. P. Batabyal, S. Vander Hoorn, C. Christophi, M. Nikfarjam. Association of diabetes mellitus and pancreatic adenocarcinoma: a meta-analysis of 88 studies. „Ann Surg Oncol”. 21 (7), s. 2453–2462, 2014. DOI: 10.1245/s10434-014-3625-6. PMID: 24609291.
  16. S. Landi. Genetic predisposition and environmental risk factors to pancreatic cancer: A review of the literature. „Mutat Res”. 681 (2–3). s. 299–307. DOI: 10.1016/j.mrrev.2008.12.001. PMID: 19150414.
  17. 1 2 3 4 5 6 7 8 9 10 11 12 A.B. Lowenfels, P. Maisonneuve. Epidemiology and prevention of pancreatic cancer. „Jpn J Clin Oncol”. 34 (5), s. 238–244, 2004. PMID: 15231857.
  18. 1 2 3 4 D. Yadav, A.B. Lowenfels. The epidemiology of pancreatitis and pancreatic cancer. „Gastroenterology”. 144 (6), s. 1252–1261, 2013. DOI: 10.1053/j.gastro.2013.01.068. PMID: 23622135.
  19. Åke Andrén-Sandberg, D. Hoem, Ch. Dervenis. Epidemiology and risk factors for exocrine pancreatic cancer. „Annals of gastroenterology”, 2000.
  20. C. Bosetti, E. Lucenteforte, D.T. Silverman, G. Petersen i inni. Cigarette smoking and pancreatic cancer: an analysis from the International Pancreatic Cancer Case-Control Consortium (Panc4). „Ann Oncol”. 23 (7), s. 1880–1888, 2012. DOI: 10.1093/annonc/mdr541. PMID: 22104574.
  21. 1 2 3 4 S.H. Olson, R.C. Kurtz. Epidemiology of pancreatic cancer and the role of family history. „J Surg Oncol”. 107 (1), s. 1–7, 2013. DOI: 10.1002/jso.23149. PMID: 22589078.
  22. N.A. Berger. Obesity and cancer pathogenesis. „Ann N Y Acad Sci”. 1311, s. 57–76, 2014. DOI: 10.1111/nyas.12416. PMID: 24725147.
  23. E.E. Calle, R. Kaaks. Overweight, obesity and cancer: epidemiological evidence and proposed mechanisms. „Nat Rev Cancer”. 4 (8), s. 579–591, 2004. DOI: 10.1038/nrc1408. PMID: 15286738.
  24. C. Yuan, Y. Bao, C. Wu, P. Kraft i inni. Prediagnostic body mass index and pancreatic cancer survival. „J Clin Oncol”. 31 (33), s. 4229–4234, 2013. DOI: 10.1200/JCO.2013.51.7532. PMID: 24145341.
  25. 1 2 D.S. Michaud, E. Giovannucci, W.C. Willett, G.A. Colditz i inni. Physical activity, obesity, height, and the risk of pancreatic cancer. „JAMA”. 286 (8). s. 921–929. PMID: 11509056.
  26. J. Everhart, D. Wright. Diabetes mellitus as a risk factor for pancreatic cancer. A meta-analysis. „JAMA”. 273 (20). s. 1605–1609. PMID: 7745774.
  27. R. Huxley, A. Ansary-Moghaddam, A. Berrington de González, F. Barzi i inni. Type-II diabetes and pancreatic cancer: a meta-analysis of 36 studies. „Br J Cancer”. 92 (11), s. 2076–2083, 2005. DOI: 10.1038/sj.bjc.6602619. PMID: 15886696.
  28. D. Li, H. Tang, M.M. Hassan, E.A. Holly i inni. Diabetes and risk of pancreatic cancer: a pooled analysis of three large case-control studies. „Cancer Causes Control”. 22 (2), s. 189–197, 2011. DOI: 10.1007/s10552-010-9686-3. PMID: 21104117.
  29. 1 2 3 4 5 6 7 8 9 10 D. Li. Diabetes and pancreatic cancer. „Mol Carcinog”. 51 (1), s. 64–74, 2012. DOI: 10.1002/mc.20771. PMID: 22162232.
  30. G. Aggarwal, P. Kamada, S.T. Chari. Prevalence of diabetes mellitus in pancreatic cancer compared to common cancers. „Pancreas”. 42 (2), s. 198–201, 2013. DOI: 10.1097/MPA.0b013e3182592c96. PMID: 23000893.
  31. J. Permert, I. Ihse, L. Jorfeldt, H. von Schenck i inni. Pancreatic cancer is associated with impaired glucose metabolism. „Eur J Surg”. 159 (2), s. 101–107, 1993. PMID: 8098623.
  32. 1 2 C.J. Currie, C.D. Poole, E.A. Gale. The influence of glucose-lowering therapies on cancer risk in type 2 diabetes. „Diabetologia”. 52 (9), s. 1766–1777, 2009. DOI: 10.1007/s00125-009-1440-6. PMID: 19572116.
  33. D. Li, S.C. Yeung, M.M. Hassan, M. Konopleva i inni. Antidiabetic therapies affect risk of pancreatic cancer. „Gastroenterology”. 137 (2), s. 482–488, 2009. DOI: 10.1053/j.gastro.2009.04.013. PMID: 19375425.
  34. A. Decensi, M. Puntoni, P. Goodwin, M. Cazzaniga i inni. Metformin and cancer risk in diabetic patients: a systematic review and meta-analysis. „Cancer Prev Res (Phila)”. 3 (11), s. 1451–1461, 2010. DOI: 10.1158/1940-6207.CAPR-10-0157. PMID: 20947488.
  35. M. Monami, C. Lamanna, D. Balzi, N. Marchionni i inni. Sulphonylureas and cancer: a case-control study. „Acta Diabetol”. 46 (4), s. 279–284, 2009. DOI: 10.1007/s00592-008-0083-2. PMID: 19082520.
  36. M.J. DiMagno, E.P. DiMagno. Chronic pancreatitis. „Curr Opin Gastroenterol”. 27 (5), s. 452–459, 2011. DOI: 10.1097/MOG.0b013e328349e333. PMID: 21844753.
  37. 1 2 S. Raimondi, A.B. Lowenfels, A.M. Morselli-Labate, P. Maisonneuve i inni. Pancreatic cancer in chronic pancreatitis; aetiology, incidence, and early detection. „Best Pract Res Clin Gastroenterol”. 24 (3), s. 349–358, 2010. DOI: 10.1016/j.bpg.2010.02.007. PMID: 20510834.
  38. 1 2 A.E. Becker, Y.G. Hernandez, H. Frucht, A.L. Lucas. Pancreatic ductal adenocarcinoma: risk factors, screening, and early detection. „World J Gastroenterol”. 20 (32), s. 11182–11198, 2014. DOI: 10.3748/wjg.v20.i32.11182. PMID: 25170203.
  39. 1 2 3 Horaţiu-Cristian Popescu-Vâlceanu, Raluca Nan, Ramona Dragut, Emilia Rusu i inni. Pancreatic cancer: epidemiology and risk factors. „Proc. Rom. Acad.”, 2015.
  40. 1 2 3 4 S. Grover, S. Syngal. Hereditary pancreatic cancer. „Gastroenterology”. 139 (4), s. 1076-1080, 1080.e1-2, 2010. DOI: 10.1053/j.gastro.2010.08.012. PMID: 20727885.
  41. A.B. Lowenfels, P. Maisonneuve, E.P. DiMagno, Y. Elitsur i inni. Hereditary pancreatitis and the risk of pancreatic cancer. International Hereditary Pancreatitis Study Group. „J Natl Cancer Inst”. 89 (6), s. 442–446, 1997. PMID: 9091646.
  42. N. Howes, M.M. Lerch, W. Greenhalf, D.D. Stocken i inni. Clinical and genetic characteristics of hereditary pancreatitis in Europe. „Clin Gastroenterol Hepatol”. 2 (3), s. 252–261, 2004. PMID: 15017610.
  43. 1 2 S. Paliwal, S. Bhaskar, G.R. Chandak. Genetic and phenotypic heterogeneity in tropical calcific pancreatitis. „World J Gastroenterol”. 20 (46), s. 17314–17323, 2014. DOI: 10.3748/wjg.v20.i46.17314. PMID: 25516642.
  44. H. Ramesh, P. Augustine. Surgery in tropical pancreatitis: analysis of risk factors. „Br J Surg”. 79 (6), s. 544–549, 1992. PMID: 1611449.
  45. 1 2 M. Herreros-Villanueva, E. Hijona, J.M. Bañales, A. Cosme i inni. Alcohol consumption on pancreatic diseases. „World J Gastroenterol”. 19 (5), s. 638–647, 2013. DOI: 10.3748/wjg.v19.i5.638. PMID: 23429423.
  46. J.M. Genkinger, D. Spiegelman, K.E. Anderson, L. Bergkvist i inni. Alcohol intake and pancreatic cancer risk: a pooled analysis of fourteen cohort studies. „Cancer Epidemiol Biomarkers Prev”. 18 (3), s. 765–776, 2009. DOI: 10.1158/1055-9965.EPI-08-0880. PMID: 19258474.
  47. E. Lucenteforte, C. La Vecchia, D. Silverman, G.M. Petersen i inni. Alcohol consumption and pancreatic cancer: a pooled analysis in the International Pancreatic Cancer Case-Control Consortium (PanC4). „Ann Oncol”. 23 (2), s. 374–382, 2012. DOI: 10.1093/annonc/mdr120. PMID: 21536662.
  48. I. Tramacere, L. Scotti, M. Jenab, V. Bagnardi i inni. Alcohol drinking and pancreatic cancer risk: a meta-analysis of the dose-risk relation. „Int J Cancer”. 126 (6), s. 1474–1486, 2010. DOI: 10.1002/ijc.24936. PMID: 19816941.
  49. R.Z. Stolzenberg-Solomon, P. Pietinen, P.R. Taylor, J. Virtamo i inni. Prospective study of diet and pancreatic cancer in male smokers. „Am J Epidemiol”. 155 (9), s. 783–792, 2002. PMID: 11978580.
  50. P. Ghadirian, A. Simard, J. Baillargeon, P. Maisonneuve i inni. Nutritional factors and pancreatic cancer in the francophone community in Montréal, Canada. „Int J Cancer”. 47 (1), s. 1–6, 1991. PMID: 1845960.
  51. J.M. Chan, F. Wang, E.A. Holly. Pancreatic cancer, animal protein and dietary fat in a population-based study, San Francisco Bay Area, California. „Cancer Causes Control”. 18 (10), s. 1153–1167, 2007. DOI: 10.1007/s10552-007-9054-0. PMID: 17805983.
  52. 1 2 3 J. Zhang, I.B. Dhakal, M.D. Gross, N.P. Lang i inni. Physical activity, diet, and pancreatic cancer: a population-based, case-control study in Minnesota. „Nutr Cancer”. 61 (4), s. 457–465, 2009. DOI: 10.1080/01635580902718941. PMID: 19838917.
  53. E.B. Gold, L. Gordis, M.D. Diener, R. Seltser i inni. Diet and other risk factors for cancer of the pancreas. „Cancer”. 55 (2), s. 460–467, 1985. PMID: 3965101.
  54. H.B. Bueno de Mesquita, P. Maisonneuve, S. Runia, C.J. Moerman. Intake of foods and nutrients and cancer of the exocrine pancreas: a population-based case-control study in The Netherlands. „Int J Cancer”. 48 (4), s. 540–549, 1991. PMID: 1646177.
  55. J.M. Chan, F. Wang, E.A. Holly. Vegetable and fruit intake and pancreatic cancer in a population-based case-control study in the San Francisco bay area. „Cancer Epidemiol Biomarkers Prev”. 14 (9), s. 2093–2097, 2005. DOI: 10.1158/1055-9965.EPI-05-0226. PMID: 16172215.
  56. J.M. Chan, F. Wang, E.A. Holly. Whole grains and risk of pancreatic cancer in a large population-based case-control study in the San Francisco Bay Area, California. „Am J Epidemiol”. 166 (10), s. 1174–1185, 2007. DOI: 10.1093/aje/kwm194. PMID: 17881383.
  57. G.R. Howe, P. Ghadirian, H.B. Bueno de Mesquita, W.A. Zatonski i inni. A collaborative case-control study of nutrient intake and pancreatic cancer within the search programme. „Int J Cancer”. 51 (3), s. 365–372, 1992. PMID: 1317361.
  58. G.R. Howe, M. Jain, A.B. Miller. Dietary factors and risk of pancreatic cancer: results of a Canadian population-based case-control study. „Int J Cancer”. 45 (4), s. 604–608, 1990. PMID: 2157670.
  59. K. Hagymási, Z. Tulassay. Helicobacter pylori infection: new pathogenetic and clinical aspects. „World J Gastroenterol”. 20 (21), s. 6386–6399, 2014. DOI: 10.3748/wjg.v20.i21.6386. PMID: 24914360.
  60. M. Bulajic, N. Panic, J.M. Löhr. Helicobacter pylori and pancreatic diseases. „World J Gastrointest Pathophysiol”. 5 (4), s. 380–383, 2014. DOI: 10.4291/wjgp.v5.i4.380. PMID: 25400980.
  61. D.S. Michaud. Role of bacterial infections in pancreatic cancer. „Carcinogenesis”. 34 (10), s. 2193–2197, 2013. DOI: 10.1093/carcin/bgt249. PMID: 23843038.
  62. P. Maisonneuve, A.B. Lowenfels. Risk factors for pancreatic cancer: a summary review of meta-analytical studies. „Int J Epidemiol”. 44 (1), s. 186–198, 2015. DOI: 10.1093/ije/dyu240. PMID: 25502106.
  63. 1 2 3 4 G. Trikudanathan, A. Philip, C.A. Dasanu, W.L. Baker. Association between Helicobacter pylori infection and pancreatic cancer. A cumulative meta-analysis. „JOP”. 12 (1), s. 26–31, 2011. PMID: 21206097.
  64. H.A. Risch, L. Lu, M.S. Kidd, J. Wang i inni. Helicobacter pylori seropositivities and risk of pancreatic carcinoma. „Cancer Epidemiol Biomarkers Prev”. 23 (1), s. 172–178, 2014. DOI: 10.1158/1055-9965.EPI-13-0447. PMID: 24234587.
  65. R.Z. Stolzenberg-Solomon, M.J. Blaser, P.J. Limburg, G. Perez-Perez i inni. Helicobacter pylori seropositivity as a risk factor for pancreatic cancer. „J Natl Cancer Inst”. 93 (12), s. 937–941, 2001. PMID: 11416115.
  66. A. Schulte, N. Pandeya, J. Fawcett, L. Fritschi i inni. Association between Helicobacter pylori and pancreatic cancer risk: a meta-analysis. „Cancer Causes Control”. 26 (7), s. 1027–1035, 2015. DOI: 10.1007/s10552-015-0595-3. PMID: 25951801.
  67. M. Xiao, Y. Wang, Y. Gao. Association between Helicobacter pylori infection and pancreatic cancer development: a meta-analysis. „PLoS One”. 8 (9), s. e75559, 2013. DOI: 10.1371/journal.pone.0075559. PMID: 24086571.
  68. G. Yu, G. Murphy, A. Michel, S.J. Weinstein i inni. Seropositivity to Helicobacter pylori and risk of pancreatic cancer. „Cancer Epidemiol Biomarkers Prev”. 22 (12), s. 2416–2419, 2013. DOI: 10.1158/1055-9965.EPI-13-0680. PMID: 24089457.
  69. C. de Martel, A.E. Llosa, G.D. Friedman, G.D. Friedmana i inni. Helicobacter pylori infection and development of pancreatic cancer. „Cancer Epidemiol Biomarkers Prev”. 17 (5), s. 1188–1194, 2008. DOI: 10.1158/1055-9965.EPI-08-0185. PMID: 18483341.
  70. B. Lindkvist, D. Johansen, A. Borgström, J. Manjer. A prospective study of Helicobacter pylori in relation to the risk for pancreatic cancer. „BMC Cancer”. 8, s. 321, 2008. DOI: 10.1186/1471-2407-8-321. PMID: 18986545.
  71. Y. Wang, F.C. Zhang, Y.J. Wang. Helicobacter pylori and pancreatic cancer risk: a meta- analysis based on 2,049 cases and 2,861 controls. „Asian Pac J Cancer Prev”. 15 (11), s. 4449–4454, 2014. PMID: 24969867.
  72. H.A. Risch, L. Lu, J. Wang, W. Zhang i inni. ABO blood group and risk of pancreatic cancer: a study in Shanghai and meta-analysis. „Am J Epidemiol”. 177 (12), s. 1326–1337, 2013. DOI: 10.1093/aje/kws458. PMID: 23652164.
  73. 1 2 B.L. Zhang, N. He, Y.B. Huang, F.J. Song i inni. ABO blood groups and risk of cancer: a systematic review and meta-analysis. „Asian Pac J Cancer Prev”. 15 (11), s. 4643–4650, 2014. PMID: 24969898.
  74. N. Egawa, Y. Lin, T. Tabata, S. Kuruma i inni. ABO blood type, long-standing diabetes, and the risk of pancreatic cancer. „World J Gastroenterol”. 19 (16), s. 2537–2542, 2013. DOI: 10.3748/wjg.v19.i16.2537. PMID: 23674856.
  75. 1 2 H. Engin, C. Bilir, H. Üstün, A. Gökmen. ABO blood group and risk of pancreatic cancer in a Turkish population in Western Blacksea region. „Asian Pac J Cancer Prev”. 13 (1), s. 131–133, 2012. PMID: 22502655.
  76. 1 2 3 4 5 A.K. Rustgi. Familial pancreatic cancer: genetic advances. „Genes Dev”. 28 (1), s. 1–7, 2014. DOI: 10.1101/gad.228452.113. PMID: 24395243.
  77. R.H. Hruban, M.I. Canto, M. Goggins, R. Schulick i inni. Update on familial pancreatic cancer. „Adv Surg”. 44, s. 293–311, 2010. PMID: 20919528.
  78. A.C. Tersmette, G.M. Petersen, G.J. Offerhaus, F.C. Falatko i inni. Increased risk of incident pancreatic cancer among first-degree relatives of patients with familial pancreatic cancer. „Clin Cancer Res”. 7 (3), s. 738–744, 2001. PMID: 11297271.
  79. D. Easton, D. Thompson, L. McGuffog, N. Haites i inni. Cancer risks in BRCA2 mutation carriers. „J Natl Cancer Inst”. 91 (15), s. 1310–1316, 1999. PMID: 10433620.
  80. D. Thompson, D.F. Easton. Cancer Incidence in BRCA1 mutation carriers. „J Natl Cancer Inst”. 94 (18), s. 1358–1365, 2002. PMID: 12237281.
  81. A. Umar, C.R. Boland, J.P. Terdiman, S. Syngal i inni. Revised Bethesda Guidelines for hereditary nonpolyposis colorectal cancer (Lynch syndrome) and microsatellite instability. „J Natl Cancer Inst”. 96 (4), s. 261–268, 2004. PMID: 14970275.
  82. J. Geary, P. Sasieni, R. Houlston, L. Izatt i inni. Gene-related cancer spectrum in families with hereditary non-polyposis colorectal cancer (HNPCC). „Fam Cancer”. 7 (2), s. 163–172, 2008. DOI: 10.1007/s10689-007-9164-6. PMID: 17939062.
  83. Guido Massi, Philip E. LeBoit: Histological Diagnosis of Nevi and Melanoma. Springer Science & Business Media, 2013, s. 274. ISBN 978-3-642-37311-4.
  84. H.T. Lynch, R.M. Fusaro, J.F. Lynch, R. Brand. Pancreatic cancer and the FAMMM syndrome. „Fam Cancer”. 7 (1), s. 103–112, 2008. DOI: 10.1007/s10689-007-9166-4. PMID: 17992582.
  85. H.T. Lynch, R.E. Brand, D. Hogg, C.A. Deters i inni. Phenotypic variation in eight extended CDKN2A germline mutation familial atypical multiple mole melanoma-pancreatic carcinoma-prone families: the familial atypical mole melanoma-pancreatic carcinoma syndrome. „Cancer”. 94 (1), s. 84–96, 2002. PMID: 11815963.
  86. A.M. Jelsig, N. Qvist, K. Brusgaard, C.B. Nielsen i inni. Hamartomatous polyposis syndromes: a review. „Orphanet J Rare Dis”. 9, s. 101, 2014. DOI: 10.1186/1750-1172-9-101. PMID: 25022750.
  87. F.M. Giardiello, J.D. Brensinger, A.C. Tersmette, S.N. Goodman i inni. Very high risk of cancer in familial Peutz-Jeghers syndrome. „Gastroenterology”. 119 (6), s. 1447–1453, 2000. PMID: 11113065.
  88. S.E. Korsse, F. Harinck, M.G. van Lier, K. Biermann i inni. Pancreatic cancer risk in Peutz-Jeghers syndrome patients: a large cohort study and implications for surveillance. „J Med Genet”. 50 (1), s. 59–64, 2013. DOI: 10.1136/jmedgenet-2012-101277. PMID: 23240097.
  89. F.G. Campos, M. Sulbaran, A.V. Safatle-Ribeiro, C.A. Martinez. Duodenal adenoma surveillance in patients with familial adenomatous polyposis. „World J Gastrointest Endosc”. 7 (10), s. 950–959, 2015. DOI: 10.4253/wjge.v7.i10.950. PMID: 26265988.
  90. 1 2 3 M.L. Leoz, S. Carballal, L. Moreira, T. Ocaña i inni. The genetic basis of familial adenomatous polyposis and its implications for clinical practice and risk management. „Appl Clin Genet”. 8, s. 95–107, 2015. DOI: 10.2147/TACG.S51484. PMID: 25931827.
  91. Kory W. Jasperson, Randall W. Burt, APC-Associated Polyposis Conditions, 1998.
  92. F.M. Giardiello, G.J. Offerhaus, D.H. Lee, A.J. Krush i inni. Increased risk of thyroid and pancreatic carcinoma in familial adenomatous polyposis. „Gut”. 34 (10), s. 1394–1396, 1993. PMID: 8244108.
  93. F. Maire, P. Hammel, B. Terris, S. Olschwang i inni. Intraductal papillary and mucinous pancreatic tumour: a new extracolonic tumour in familial adenomatous polyposis. „Gut”. 51 (3), s. 446–449, 2002. PMID: 12171972.
  94. 1 2 3 4 R.J. Jansen, X.L. Tan, G.M. Petersen. Gene-by-Environment Interactions in Pancreatic Cancer: Implications for Prevention. „Yale J Biol Med”. 88 (2), s. 115–126, 2015. PMID: 26029010.
  95. Mayo Clinic: Pancreatic cancer Prevention. [dostęp 2015-09-22]. [zarchiwizowane z tego adresu (2015-09-22)].
  96. 1 2 Szczeklik i Gajewski 2014 ↓, s. 1026.
  97. 1 2 Wolpin 2015 ↓, s. 620.
  98. 1 2 Bernard W. Stewart, Christopher P. Wild: World Cancer Report 2014. IARC, 2014. ISBN 978-92-832-0429-9.
  99. World Cancer Research Fund International: Pancreatic cancer statistics. [dostęp 2015-09-16]. [zarchiwizowane z tego adresu (2015-09-22)].
  100. 1 2 Szczeklik i Gajewski 2014 ↓, s. 1024.
  101. 1 2 Ducreux i in. 2015 ↓, s. 1.
  102. 1 2 Tempero i in. 2015 ↓, s. 40.
  103. M. Malvezzi, P. Bertuccio, F. Levi, C. La Vecchia i inni. European cancer mortality predictions for the year 2014. „Ann Oncol”. 25 (8), s. 1650–1656, 2014. DOI: 10.1093/annonc/mdu138. PMID: 24759568.
  104. 1 2 3 Krajowy Rejestr Nowotworów: Nowotwory trzustki (C25-C26). [dostęp 2015-09-22]. [zarchiwizowane z tego adresu (2015-09-22)].
  105. 1 2 3 4 Aleksandra Łacko, Wojciech Polkowski, Jarosław Reguła, Jakub Pałucki: Rak trzustki i brodawki Vatera. 2014.
  106. Witold Zatoński, Joanna Didkowska, Urszula Wojciechowska, Nowotwory złośliwe w Polsce w 2011 roku [dostęp 2015-04-15].
  107. Hamilton i Aaltonen 2000 ↓, s. 220.
  108. Anna Nasierowska-Guttmejer, Barbara Górnicka: Zalecenia do diagnostyki histopatologicznej nowotworów. Warszawa: Centrum Onkologii, Oddział Gliwice; Polskie Towarzystwo Patologów, 2013, s. 92. ISBN 978-83-909137-1-1.
  109. T. Ito, H. Igarashi, R.T. Jensen. Pancreatic neuroendocrine tumors: clinical features, diagnosis and medical treatment: advances. „Best Pract Res Clin Gastroenterol”. 26 (6), s. 737–753, 2012. DOI: 10.1016/j.bpg.2012.12.003. PMID: 23582916.
  110. Pancreatic Cancer. John P. Neoptolemos, Raul Urrutia, James Abbruzzese, Markus W. Büchler (red.). Springer Science & Business Media, 2010. ISBN 978-0-387-77497-8.
  111. 1 2 3 4 Hamilton i Aaltonen 2000 ↓, s. 221.
  112. 1 2 3 4 Kumar, Cotran i Robins 2005 ↓, s. 737.
  113. 1 2 3 4 5 6 7 8 9 Hamilton i Aaltonen 2000 ↓, s. 223.
  114. 1 2 3 4 5 6 Hamilton i Aaltonen 2000 ↓, s. 225.
  115. 1 2 3 4 5 6 7 8 S.Y. Xiao. Intraductal papillary mucinous neoplasm of the pancreas: an update. „Scientifica (Cairo)”. 2012, s. 893632, 2012. DOI: 10.6064/2012/893632. PMID: 24278753.
  116. Hamilton i Aaltonen 2000 ↓, s. 226.
  117. Hamilton i Aaltonen 2000 ↓, s. 233.
  118. 1 2 3 Hamilton i Aaltonen 2000 ↓, s. 234.
  119. 1 2 3 4 Hamilton i Aaltonen 2000 ↓, s. 235.
  120. Hamilton i Aaltonen 2000 ↓, s. 235–236.
  121. 1 2 3 Hamilton i Aaltonen 2000 ↓, s. 237.
  122. 1 2 Hamilton i Aaltonen 2000 ↓, s. 238.
  123. 1 2 Hamilton i Aaltonen 2000 ↓, s. 239.
  124. 1 2 Hamilton i Aaltonen 2000 ↓, s. 241.
  125. Hamilton i Aaltonen 2000 ↓, s. 241–242.
  126. Hamilton i Aaltonen 2000 ↓, s. 242.
  127. 1 2 Hamilton i Aaltonen 2000 ↓, s. 244.
  128. 1 2 3 Hamilton i Aaltonen 2000 ↓, s. 246.
  129. 1 2 3 Hamilton i Aaltonen 2000 ↓, s. 247.
  130. R.H. Hruban, M. Goggins, J. Parsons, S.E. Kern. Progression model for pancreatic cancer. „Clin Cancer Res”. 6 (8), s. 2969–2972, 2000. PMID: 10955772.
  131. 1 2 3 4 5 6 7 8 L.A. Brosens, W.M. Hackeng, G.J. Offerhaus, R.H. Hruban i inni. Pancreatic adenocarcinoma pathology: changing „landscape”. „J Gastrointest Oncol”. 6 (4), s. 358–374, 2015. DOI: 10.3978/j.issn.2078-6891.2015.032. PMID: 26261723.
  132. 1 2 3 4 5 6 7 8 M. Distler, D. Aust, J. Weitz, C. Pilarsky i inni. Precursor lesions for sporadic pancreatic cancer: PanIN, IPMN, and MCN. „Biomed Res Int”. 2014, s. 474905, 2014. DOI: 10.1155/2014/474905. PMID: 24783207.
  133. 1 2 Ralph H. Hruban, Kieran Brune, Noriyoshi Fukushima, Anirban Maitra: Pancreatic Intraepithelial Neoplasia. W: Pancreatic Cancer. Andrew M. Lowy, Steven D. Leach, Philip A. Philip (red.). Springer Science & Business Media, 2008, s. 41–51. DOI: 10.1007/978-0-387-69252-4_3. ISBN 978-0-387-69252-4.
  134. I.T. Konstantinidis, E.F. Vinuela, L.H. Tang, D.S. Klimstra i inni. Incidentally discovered pancreatic intraepithelial neoplasia: what is its clinical significance?. „Ann Surg Oncol”. 20 (11), s. 3643–3647, 2013. DOI: 10.1245/s10434-013-3042-2. PMID: 23748606.
  135. R.H. Hruban, K. Takaori, D.S. Klimstra, N.V. Adsay i inni. An illustrated consensus on the classification of pancreatic intraepithelial neoplasia and intraductal papillary mucinous neoplasms. „Am J Surg Pathol”. 28 (8), s. 977–987, 2004. PMID: 15252303.
  136. 1 2 R.H. Hruban, A. Maitra, M. Goggins. Update on pancreatic intraepithelial neoplasia. „Int J Clin Exp Pathol”. 1 (4), s. 306–316, 2008. PMID: 18787611.
  137. C.M. Schmidt, P.B. White, J.A. Waters, C.T. Yiannoutsos i inni. Intraductal papillary mucinous neoplasms: predictors of malignant and invasive pathology. „Ann Surg”. 246 (4), s. 644-651; discussion 651-4, 2007. DOI: 10.1097/SLA.0b013e318155a9e5. PMID: 17893501.
  138. F. Paye, A. Sauvanet, B. Terris, P. Ponsot i inni. Intraductal papillary mucinous tumors of the pancreas: pancreatic resections guided by preoperative morphological assessment and intraoperative frozen section examination. „Surgery”. 127 (5), s. 536–544, 2000. DOI: 10.1067/msy.2000.106126. PMID: 10819062.
  139. F. Sessa, E. Solcia, C. Capella, M. Bonato i inni. Intraductal papillary-mucinous tumours represent a distinct group of pancreatic neoplasms: an investigation of tumour cell differentiation and K-ras, p53 and c-erbB-2 abnormalities in 26 patients. „Virchows Arch”. 425 (4), s. 357–367, 1994. PMID: 7820300.
  140. T.A. Sohn, C.J. Yeo, J.L. Cameron, R.H. Hruban i inni. Intraductal papillary mucinous neoplasms of the pancreas: an updated experience. „Ann Surg”. 239 (6), s. 788-797; discussion 797-9, 2004. PMID: 15166958.
  141. 1 2 DeVita, Lawrence i Rosenberg 2008 ↓, s. 1089.
  142. C.A. Iacobuzio-Donahue. Genetic evolution of pancreatic cancer: lessons learnt from the pancreatic cancer genome sequencing project. „Gut”. 61 (7), s. 1085–1094, 2012. DOI: 10.1136/gut.2010.236026. PMID: 21749982.
  143. 1 2 3 Hamilton i Aaltonen 2000 ↓, s. 222.
  144. 1 2 A. Artinyan, P.A. Soriano, C. Prendergast, T. Low i inni. The anatomic location of pancreatic cancer is a prognostic factor for survival. „HPB (Oxford)”. 10 (5), s. 371–376, 2008. DOI: 10.1080/13651820802291233. PMID: 18982154.
  145. 1 2 Hans G. Beger, Frank Gansauge, Dieter Birk: Lymph Node Dissection. W: Pancreatic Cancer. John L. Cameron (red.). PMPH-USA, 2001, s. 123–132. ISBN 9781550091311.
  146. 1 2 3 4 Aaron C. Spalding, Edgar Ben-Josef: State of the Art in Radiation Therapy for Pancreas Cancer. W: Pancreatic Cancer. Andrew M. Lowy, Steven D. Leach, Philip A. Philip (red.). Springer Science & Business Media, 2008, s. 481–496. DOI: 10.1007/978-0-387-69252-4_28. ISBN 978-0-387-69252-4.
  147. T. Takahashi, H. Ishikura, T. Motohara, S. Okushiba i inni. Perineural invasion by ductal adenocarcinoma of the pancreas. „J Surg Oncol”. 65 (3), s. 164–170, 1997. PMID: 9236924.
  148. T. Nagakawa, K. Mori, T. Nakano, M. Kadoya i inni. Perineural invasion of carcinoma of the pancreas and biliary tract. „Br J Surg”. 80 (5), s. 619–621, 1993. PMID: 8518906.
  149. A. Nakao, A. Harada, T. Nonami, T. Kaneko i inni. Clinical significance of carcinoma invasion of the extrapancreatic nerve plexus in pancreatic cancer. „Pancreas”. 12 (4), s. 357–361, 1996. PMID: 8740402.
  150. T. Nagakawa, I. Konishi, K. Ueno, T. Ohta i inni. A clinical study on lymphatic flow in carcinoma of the pancreatic head area-peripancreatic regional lymph node grouping. „Hepatogastroenterology”. 40 (5), s. 457–462, 1993. PMID: 8270234.
  151. J.G. Fortner, D.S. Klimstra, R.T. Senie, B.J. Maclean. Tumor size is the primary prognosticator for pancreatic cancer after regional pancreatectomy. „Ann Surg”. 223 (2), s. 147–153, 1996. PMID: 8597508.
  152. David Lyden, Danny R. Welch, Bethan Psaila: Cancer Metastasis: Biologic Basis and Therapeutics. Cambridge University Press, 2011, s. 336. ISBN 978-1-139-49875-3.
  153. Janusz Jankowski, Richard Sampliner, David Kerr, Yuman ong: Gastrointestinal Oncology: A Critical Multidisciplinary Team Approach. John Wiley & Sons, 2009, s. 539. ISBN 978-1-4443-0015-4.
  154. 1 2 S. Polvani, M. Tarocchi, S. Tempesti, A. Galli. Nuclear receptors and pathogenesis of pancreatic cancer. „World J Gastroenterol”. 20 (34), s. 12062–12081, 2014. DOI: 10.3748/wjg.v20.i34.12062. PMID: 25232244.
  155. Donghui Li: Molecular Epidemiology. W: Pancreatic Cancer. Douglas B. Evans, Peter W.T. Pisters, James L. Abruzzese (red.). Springer Science & Business Media, 2006, s. 3–13, seria: Solid Tumor Oncology Series. DOI: 10.1007/0-387-21600-6_1. ISBN 978-0-387-21600-3.
  156. 1 2 3 4 J.M. Winter, A. Maitra, C.J. Yeo. Genetics and pathology of pancreatic cancer. „HPB (Oxford)”. 8 (5), s. 324–336, 2006. DOI: 10.1080/13651820600804203. PMID: 18333084.
  157. 1 2 D. Neureiter, T. Jäger, M. Ocker, T. Kiesslich. Epigenetics and pancreatic cancer: pathophysiology and novel treatment aspects. „World J Gastroenterol”. 20 (24), s. 7830–7848, 2014. DOI: 10.3748/wjg.v20.i24.7830. PMID: 24976721.
  158. 1 2 3 4 M. Ebert, L. Schandl, R.M. Schmid: Differentiation of Chronic Pancreatitis from Pancreatic Cancer: Recent Advances in Molecular Diagnosis. W: Pancreatic Cancer – An Update. Peter Malfertheiner (red.). T. 19 (1). Karger Medical and Scientific Publishers, 2001, s. 32–36, seria: Digestive Diseases. ISBN 978-3-8055-7245-3.
  159. 1 2 3 Scot E. Kern, Ralph H. Hruban: Molecular Genetics of Adenocarcinoma of the Pancreas. W: Pancreatic Cancer. John L. Cameron (red.). PMPH-USA, 2001, s. 13–24. ISBN 9781550091311.
  160. 1 2 V. Goral. Pancreatic Cancer: Pathogenesis and Diagnosis. „Asian Pac J Cancer Prev”. 16 (14), s. 5619–5624, 2015. PMID: 26320426. [zarchiwizowane z adresu].
  161. S. Jones, X. Zhang, D.W. Parsons, J.C. Lin i inni. Core signaling pathways in human pancreatic cancers revealed by global genomic analyses. „Science”. 321 (5897), s. 1801–1806, 2008. DOI: 10.1126/science.1164368. PMID: 18772397.
  162. 1 2 R.H. Hruban, R.E. Wilentz, S.E. Kern. Genetic progression in the pancreatic ducts. „Am J Pathol”. 156 (6), s. 1821–1825, 2000. DOI: 10.1016/S0002-9440(10)65054-7. PMID: 10854204.
  163. M.M. Hassan, M.L. Bondy, R.A. Wolff, J.L. Abbruzzese i inni. Risk factors for pancreatic cancer: case-control study. „Am J Gastroenterol”. 102 (12), s. 2696–2707, 2007. DOI: 10.1111/j.1572-0241.2007.01510.x. PMID: 17764494.
  164. M. Porta, M. Crous-Bou, P.A. Wark, P. Vineis i inni. Cigarette smoking and K-ras mutations in pancreas, lung and colorectal adenocarcinomas: etiopathogenic similarities, differences and paradoxes. „Mutat Res”. 682 (2–3). s. 83–93. DOI: 10.1016/j.mrrev.2009.07.003. PMID: 19651236.
  165. A. Blackford, G. Parmigiani, T.W. Kensler, C. Wolfgang i inni. Genetic mutations associated with cigarette smoking in pancreatic cancer. „Cancer Res”. 69 (8), s. 3681–3688, 2009. DOI: 10.1158/0008-5472.CAN-09-0015. PMID: 19351817.
  166. 1 2 3 4 5 M. Edderkaoui, E. Thrower. Smoking and Pancreatic Disease. „J Cancer Ther”. 4 (10A), s. 34–40, 2013. DOI: 10.4236/jct.2013.410A005. PMID: 24660091.
  167. M.D. Askari, M.S. Tsao, H.M. Schuller. The tobacco-specific carcinogen, 4-(methylnitrosamino)-1-(3-pyridyl)-1-butanone stimulates proliferation of immortalized human pancreatic duct epithelia through beta-adrenergic transactivation of EGF receptors. „J Cancer Res Clin Oncol”. 131 (10), s. 639–648, 2005. DOI: 10.1007/s00432-005-0002-7. PMID: 16091975.
  168. D.L. Weddle, P. Tithoff, M. Williams, H.M. Schuller. Beta-adrenergic growth regulation of human cancer cell lines derived from pancreatic ductal carcinomas. „Carcinogenesis”. 22 (3), s. 473–479, 2001. PMID: 11238189.
  169. J.G. Treviño, S. Pillai, S. Kunigal, S. Singh i inni. Nicotine induces inhibitor of differentiation-1 in a Src-dependent pathway promoting metastasis and chemoresistance in pancreatic adenocarcinoma. „Neoplasia”. 14 (12), s. 1102–1114, 2012. PMID: 23308043.
  170. P. Dasgupta, W. Rizwani, S. Pillai, R. Kinkade i inni. Nicotine induces cell proliferation, invasion and epithelial-mesenchymal transition in a variety of human cancer cell lines. „Int J Cancer”. 124 (1), s. 36–45, 2009. DOI: 10.1002/ijc.23894. PMID: 18844224.
  171. Małgorzata Pieniążek, Piotr Donizy, Marcin Ziętek, Bartłomiej Szynglarewicz i inni. Rola szlaków sygnalizacyjnych związanych z TGF-b w patogenezie przejścia nabłonkowo-mezenchymalnego (EMT) jako głównego elementu warunkującego progresję choroby nowotworowej. „Postępy higieny i medycyny doświadczalnej”, 2012.
  172. U. Bergmann, H. Funatomi, M. Yokoyama, H.G. Beger i inni. Insulin-like growth factor I overexpression in human pancreatic cancer: evidence for autocrine and paracrine roles. „Cancer Res”. 55 (10), s. 2007–2011, 1995. PMID: 7743492.
  173. M. Pollak. Insulin and insulin-like growth factor signalling in neoplasia. „Nat Rev Cancer”. 8 (12), s. 915–928, 2008. DOI: 10.1038/nrc2536. PMID: 19029956.
  174. D. Zechner, T. Radecke, J. Amme, F. Bürtin i inni. Impact of diabetes type II and chronic inflammation on pancreatic cancer. „BMC Cancer”. 15, s. 51, 2015. DOI: 10.1186/s12885-015-1047-x. PMID: 25885700.
  175. 1 2 3 N. Momi, S. Kaur, S.R. Krishn, S.K. Batra. Discovering the route from inflammation to pancreatic cancer. „Minerva Gastroenterol Dietol”. 58 (4), s. 283–297, 2012. PMID: 23207606.
  176. 1 2 I. Vucenik, J.P. Stains. Obesity and cancer risk: evidence, mechanisms, and recommendations. „Ann N Y Acad Sci”. 1271, s. 37–43, 2012. DOI: 10.1111/j.1749-6632.2012.06750.x. PMID: 23050962.
  177. S.H. Davoodi, T. Malek-Shahabi, A. Malekshahi-Moghadam, R. Shahbazi i inni. Obesity as an important risk factor for certain types of cancer. „Iran J Cancer Prev”. 6 (4), s. 186–194, 2013. PMID: 25250133.
  178. 1 2 I. Gukovsky, N. Li, J. Todoric, A. Gukovskaya i inni. Inflammation, autophagy, and obesity: common features in the pathogenesis of pancreatitis and pancreatic cancer. „Gastroenterology”. 144 (6), s. 1199-1209.e4, 2013. DOI: 10.1053/j.gastro.2013.02.007. PMID: 23622129.
  179. 1 2 P.M. Bracci. Obesity and pancreatic cancer: overview of epidemiologic evidence and biologic mechanisms. „Mol Carcinog”. 51 (1), s. 53–63, 2012. DOI: 10.1002/mc.20778. PMID: 22162231.
  180. J. Chen. Multiple signal pathways in obesity-associated cancer. „Obes Rev”. 12 (12), s. 1063–1070, 2011. DOI: 10.1111/j.1467-789X.2011.00917.x. PMID: 22093240.
  181. T. Jaffe, B. Schwartz. Leptin promotes motility and invasiveness in human colon cancer cells by activating multiple signal-transduction pathways. „Int J Cancer”. 123 (11), s. 2543–2556, 2008. DOI: 10.1002/ijc.23821. PMID: 18767036.
  182. 1 2 3 4 C. Güngör, B.T. Hofmann, G. Wolters-Eisfeld, M. Bockhorn. Pancreatic cancer. „Br J Pharmacol”. 171 (4), s. 849–858, 2014. DOI: 10.1111/bph.12401. PMID: 24024905.
  183. S.M. Hong, J.Y. Park, R.H. Hruban, M. Goggins. Molecular signatures of pancreatic cancer. „Arch Pathol Lab Med”. 135 (6), s. 716–727, 2011. DOI: 10.1043/2010-0566-RA.1. PMID: 21631264.
  184. 1 2 3 4 A.M. Macgregor-Das, C.A. Iacobuzio-Donahue. Molecular pathways in pancreatic carcinogenesis. „J Surg Oncol”. 107 (1), s. 8–14, 2013. DOI: 10.1002/jso.23213. PMID: 22806689.
  185. 1 2 3 S. Eser, A. Schnieke, G. Schneider, D. Saur. Oncogenic KRAS signalling in pancreatic cancer. „Br J Cancer”. 111 (5), s. 817–822, 2014. DOI: 10.1038/bjc.2014.215. PMID: 24755884.
  186. M.A. Collins, M. Pasca di Magliano. Kras as a key oncogene and therapeutic target in pancreatic cancer. „Front Physiol”. 4, s. 407, 2013. DOI: 10.3389/fphys.2013.00407. PMID: 24478710.
  187. N.J. Nowak, D. Gaile, J.M. Conroy, D. McQuaid i inni. Genome-wide aberrations in pancreatic adenocarcinoma. „Cancer Genet Cytogenet”. 161 (1), s. 36–50, 2005. DOI: 10.1016/j.cancergencyto.2005.01.009. PMID: 16080956.
  188. 1 2 3 4 A. Maitra, R.H. Hruban. Pancreatic cancer. „Annu Rev Pathol”. 3, s. 157–188, 2008. DOI: 10.1146/annurev.pathmechdis.3.121806.154305. PMID: 18039136.
  189. 1 2 3 4 5 F.H. Sarkar, S. Banerjee, Y. Li. Pancreatic cancer: pathogenesis, prevention and treatment. „Toxicol Appl Pharmacol”. 224 (3), s. 326–336, 2007. DOI: 10.1016/j.taap.2006.11.007. PMID: 17174370.
  190. N.S. Pellegata, F. Sessa, B. Renault, M. Bonato i inni. K-ras and p53 gene mutations in pancreatic cancer: ductal and nonductal tumors progress through different genetic lesions. „Cancer Res”. 54 (6), s. 1556–1560, 1994. PMID: 8137263.
  191. M.S. Redston, C. Caldas, A.B. Seymour, R.H. Hruban i inni. p53 mutations in pancreatic carcinoma and evidence of common involvement of homocopolymer tracts in DNA microdeletions. „Cancer Res”. 54 (11), s. 3025–3033, 1994. PMID: 8187092.
  192. E. Rozenblum, M. Schutte, M. Goggins, S.A. Hahn i inni. Tumor-suppressive pathways in pancreatic carcinoma. „Cancer Res”. 57 (9), s. 1731–1734, 1997. PMID: 9135016.
  193. G. Garcea, C.P. Neal, C.J. Pattenden, W.P. Steward i inni. Molecular prognostic markers in pancreatic cancer: a systematic review. „Eur J Cancer”. 41 (15), s. 2213–2236, 2005. DOI: 10.1016/j.ejca.2005.04.044. PMID: 16146690.
  194. S.A. Hahn, M. Schutte, A.T. Hoque, C.A. Moskaluk i inni. DPC4, a candidate tumor suppressor gene at human chromosome 18q21.1. „Science”. 271 (5247), s. 350–353, 1996. PMID: 8553070.
  195. A.K. Rustgi. The molecular pathogenesis of pancreatic cancer: clarifying a complex circuitry. „Genes Dev”. 20 (22), s. 3049–3053, 2006. DOI: 10.1101/gad.1501106. PMID: 17114578.
  196. A.F. Hezel, A.C. Kimmelman, B.Z. Stanger, N. Bardeesy i inni. Genetics and biology of pancreatic ductal adenocarcinoma. „Genes Dev”. 20 (10), s. 1218–1249, 2006. DOI: 10.1101/gad.1415606. PMID: 16702400.
  197. 1 2 3 Tempero i in. 2015 ↓, s. 45.
  198. V.B. Allen, K.S. Gurusamy, Y. Takwoingi, A. Kalia i inni. Diagnostic accuracy of laparoscopy following computed tomography (CT) scanning for assessing the resectability with curative intent in pancreatic and periampullary cancer. „Cochrane Database Syst Rev”. 11, s. CD009323, 2013. DOI: 10.1002/14651858.CD009323.pub2. PMID: 24272022.
  199. 1 2 3 Tempero i in. 2015 ↓, s. 48.
  200. J.C. Wong, D.S. Lu. Staging of pancreatic adenocarcinoma by imaging studies. „Clin Gastroenterol Hepatol”. 6 (12), s. 1301–1308, 2008. DOI: 10.1016/j.cgh.2008.09.014. PMID: 18948228.
  201. 1 2 3 4 5 6 7 8 9 10 11 12 13 14 15 16 17 J.A. Pietryga, D.E. Morgan. Imaging preoperatively for pancreatic adenocarcinoma. „J Gastrointest Oncol”. 6 (4), s. 343–357, 2015. DOI: 10.3978/j.issn.2078-6891.2015.024. PMID: 26261722.
  202. P. Legmann, O. Vignaux, B. Dousset, A.J. Baraza i inni. Pancreatic tumors: comparison of dual-phase helical CT and endoscopic sonography. „AJR Am J Roentgenol”. 170 (5), s. 1315–1322, 1998. DOI: 10.2214/ajr.170.5.9574609. PMID: 9574609.
  203. G.M. Fuhrman, C. Charnsangavej, J.L. Abbruzzese, K.R. Cleary i inni. Thin-section contrast-enhanced computed tomography accurately predicts the resectability of malignant pancreatic neoplasms. „Am J Surg”. 167 (1), s. 104-111; discussion 111-3, 1994. PMID: 7906097.
  204. M.G. House, C.J. Yeo, J.L. Cameron, K.A. Campbell i inni. Predicting resectability of periampullary cancer with three-dimensional computed tomography. „J Gastrointest Surg”. 8 (3). s. 280–288. DOI: 10.1016/j.gassur.2003.12.011. PMID: 15019924.
  205. Marcin Polkowski, Jakub Pałucki. Powiększona głowa trzustki i inne niejednoznaczne wyniki badań obrazowych tego narządu – jak wykluczyć raka?. „Gastroenterologia Kliniczna”, 2010.
  206. D.S. Lu, S. Vedantham, R.M. Krasny, B. Kadell i inni. Two-phase helical CT for pancreatic tumors: pancreatic versus hepatic phase enhancement of tumor, pancreas, and vascular structures. „Radiology”. 199 (3), s. 697–701, 1996. DOI: 10.1148/radiology.199.3.8637990. PMID: 8637990.
  207. J.G. Fletcher, M.J. Wiersema, M.A. Farrell, J.L. Fidler i inni. Pancreatic malignancy: value of arterial, pancreatic, and hepatic phase imaging with multi-detector row CT. „Radiology”. 229 (1), s. 81–90, 2003. DOI: 10.1148/radiol.2291020582. PMID: 14519871.
  208. 1 2 3 Tempero i in. 2015 ↓, s. 46.
  209. 1 2 3 Tempero i in. 2015 ↓, s. 47.
  210. A. Săftoiu, P. Vilmann. Role of endoscopic ultrasound in the diagnosis and staging of pancreatic cancer. „J Clin Ultrasound”. 37 (1), s. 1–17, 2009. DOI: 10.1002/jcu.20534. PMID: 18932265.
  211. B. Agarwal, N.B. Krishna, J.L. Labundy, R. Safdar i inni. EUS and/or EUS-guided FNA in patients with CT and/or magnetic resonance imaging findings of enlarged pancreatic head or dilated pancreatic duct with or without a dilated common bile duct. „Gastrointest Endosc”. 68 (2), s. 237-242; quiz 334, 335, 2008. DOI: 10.1016/j.gie.2008.01.026. PMID: 18423464.
  212. W. Wang, A. Shpaner, S.G. Krishna, W.A. Ross i inni. Use of EUS-FNA in diagnosing pancreatic neoplasm without a definitive mass on CT. „Gastrointest Endosc”. 78 (1), s. 73–80, 2013. DOI: 10.1016/j.gie.2013.01.040. PMID: 23523302.
  213. Tempero i in. 2015 ↓, s. 46–47.
  214. S.P. Kauhanen, G. Komar, M.P. Seppänen, K.I. Dean i inni. A prospective diagnostic accuracy study of 18F-fluorodeoxyglucose positron emission tomography/computed tomography, multidetector row computed tomography, and magnetic resonance imaging in primary diagnosis and staging of pancreatic cancer. „Ann Surg”. 250 (6), s. 957–963, 2009. DOI: 10.1097/SLA.0b013e3181b2fafa. PMID: 19687736.
  215. J.M. Farma, A.A. Santillan, M. Melis, J. Walters i inni. PET/CT fusion scan enhances CT staging in patients with pancreatic neoplasms. „Ann Surg Oncol”. 15 (9), s. 2465–2471, 2008. DOI: 10.1245/s10434-008-9992-0. PMID: 18551347.
  216. S. Heinrich, G.W. Goerres, M. Schäfer, M. Sagmeister i inni. Positron emission tomography/computed tomography influences on the management of resectable pancreatic cancer and its cost-effectiveness. „Ann Surg”. 242 (2), s. 235–243, 2005. PMID: 16041214.
  217. Tempero i in. 2015 ↓, s. 47–48.
  218. 1 2 3 4 Ducreux i in. 2015 ↓, s. 48.
  219. L.J. Layfield, L. Dodd, R. Factor, R.L. Schmidt. Malignancy risk associated with diagnostic categories defined by the Papanicolaou Society of Cytopathology pancreaticobiliary guidelines. „Cancer Cytopathol”. 122 (6), s. 420–427, 2014. DOI: 10.1002/cncy.21386. PMID: 24339321.
  220. Tempero i in. 2015 ↓, s. 44–45.
  221. Bertram G. Katzung: Gastrointestinal Oncology. Oxford University Press, 2003, s. 350. ISBN 978-0-19-974786-3.
  222. Mdel C. Gómez-Mateo, L. Sabater-Ortí, A. Ferrández-Izquierdo. Pathology handling of pancreatoduodenectomy specimens: Approaches and controversies. „World J Gastrointest Oncol”. 6 (9), s. 351–359, 2014. DOI: 10.4251/wjgo.v6.i9.351. PMID: 25232460.
  223. C. Verbeke, M. Löhr, J.S. Karlsson, M. Del Chiaro. Pathology reporting of pancreatic cancer following neoadjuvant therapy: challenges and uncertainties. „Cancer Treat Rev”. 41 (1), s. 17–26, 2015. DOI: 10.1016/j.ctrv.2014.11.002. PMID: 25434282.
  224. Y. Zhang, J. Yang, H. Li, Y. Wu i inni. Tumor markers CA19-9, CA242 and CEA in the diagnosis of pancreatic cancer: a meta-analysis. „Int J Clin Exp Med”. 8 (7), s. 11683–11691, 2015. PMID: 26380005.
  225. 1 2 Tempero i in. 2015 ↓, s. 49.
  226. W. Hartwig, O. Strobel, U. Hinz, S. Fritz i inni. CA19-9 in potentially resectable pancreatic cancer: perspective to adjust surgical and perioperative therapy. „Ann Surg Oncol”. 20 (7), s. 2188–2196, 2013. DOI: 10.1245/s10434-012-2809-1. PMID: 23247983.
  227. Y.C. Kim, H.J. Kim, J.H. Park, D.I. Park i inni. Can preoperative CA19-9 and CEA levels predict the resectability of patients with pancreatic adenocarcinoma?. „J Gastroenterol Hepatol”. 24 (12), s. 1869–1875, 2009. DOI: 10.1111/j.1440-1746.2009.05935.x. PMID: 19686409.
  228. 1 2 Tempero i in. 2015 ↓, s. 50.
  229. C.R. Ferrone, D.M. Finkelstein, S.P. Thayer, A. Muzikansky i inni. Perioperative CA19-9 levels can predict stage and survival in patients with resectable pancreatic adenocarcinoma. „J Clin Oncol”. 24 (18), s. 2897–2902, 2006. DOI: 10.1200/JCO.2005.05.3934. PMID: 16782929.
  230. N. Kondo, Y. Murakami, K. Uemura, Y. Hayashidani i inni. Prognostic impact of perioperative serum CA 19-9 levels in patients with resectable pancreatic cancer. „Ann Surg Oncol”. 17 (9), s. 2321–2329, 2010. DOI: 10.1245/s10434-010-1033-0. PMID: 20336387.
  231. A.C. Berger, M. Garcia, J.P. Hoffman, W.F. Regine i inni. Postresection CA 19-9 predicts overall survival in patients with pancreatic cancer treated with adjuvant chemoradiation: a prospective validation by RTOG 9704. „J Clin Oncol”. 26 (36), s. 5918–5922, 2008. DOI: 10.1200/JCO.2008.18.6288. PMID: 19029412.
  232. A.C. Berger, K. Winter, J.P. Hoffman, W.F. Regine i inni. Five year results of US intergroup/RTOG 9704 with postoperative CA 19-9 ≤90 U/mL and comparison to the CONKO-001 trial. „Int J Radiat Oncol Biol Phys”. 84 (3), s. e291-7, 2012. DOI: 10.1016/j.ijrobp.2012.04.035. PMID: 22682806.
  233. J.L. Humphris, D.K. Chang, A.L. Johns, C.J. Scarlett i inni. The prognostic and predictive value of serum CA19.9 in pancreatic cancer. „Ann Oncol”. 23 (7), s. 1713–1722, 2012. DOI: 10.1093/annonc/mdr561. PMID: 22241899.
  234. C.W. Tzeng, A. Balachandran, M. Ahmad, J.E. Lee i inni. Serum carbohydrate antigen 19-9 represents a marker of response to neoadjuvant therapy in patients with borderline resectable pancreatic cancer. „HPB (Oxford)”. 16 (5), s. 430–438, 2014. DOI: 10.1111/hpb.12154. PMID: 23991810.
  235. Greene i in. 2013 ↓, s. 159–160.
  236. Tempero i in. 2015 ↓, s. 65.
  237. 1 2 C.J. Yeo, J.L. Cameron, K.D. Lillemoe, J.V. Sitzmann i inni. Pancreaticoduodenectomy for cancer of the head of the pancreas. 201 patients. „Ann Surg”. 221 (6), s. 721-731; discussion 731-3, 1995. PMID: 7794076.
  238. 1 2 3 Hamilton i Aaltonen 2000 ↓, s. 229.
  239. 1 2 3 C.R. Ferrone, R. Pieretti-Vanmarcke, J.P. Bloom, H. Zheng i inni. Pancreatic ductal adenocarcinoma: long-term survival does not equal cure. „Surgery”. 152 (3 Suppl 1), s. S43-9, 2012. DOI: 10.1016/j.surg.2012.05.020. PMID: 22763261.
  240. 1 2 3 4 A. Andrén-Sandberg. Prognostic factors in pancreatic cancer. „N Am J Med Sci”. 4 (1), s. 9–12, 2012. DOI: 10.4103/1947-2714.92893. PMID: 22393541.
  241. 1 2 R.D. Peixoto, C. Speers, C.E. McGahan, D.J. Renouf i inni. Prognostic factors and sites of metastasis in unresectable locally advanced pancreatic cancer. „Cancer Med”. 4 (8), s. 1171–1177, 2015. DOI: 10.1002/cam4.459. PMID: 25891650.
  242. M. Eskelinen, P. Lipponen, S. Marin, H. Haapasalo i inni. Prognostic factors in human pancreatic cancer, with special reference to quantitative histology. „Scand J Gastroenterol”. 26 (5), s. 483–490, 1991. PMID: 1651557.
  243. J. Rudnicki, A.K. Agrawal, Z. Grzebieniak, P. Zukrowski i inni. Prognostic value of CA 19-9 level in resectable pancreatic adenocarcinoma. „Folia Histochem Cytobiol”. 48 (2), s. 249–261, 2010. DOI: 10.2478/v10042-010-0034-y. PMID: 20675282.
  244. 1 2 Tempero i in. 2015 ↓, s. 38.
  245. Greene i in. 2013 ↓, s. 160.
  246. 1 2 Nowotwory części zewnątrz- i wewnątrzwydzielniczej trzustki. Klasyfikacja TNM. [dostęp 2015-10-03]. [zarchiwizowane z tego adresu (2015-10-03)].
  247. Tempero i in. 2015 ↓, s. 23–25.
  248. 1 2 3 Tempero i in. 2015 ↓, s. 36.
  249. 1 2 3 4 Ducreux i in. 2015 ↓, s. 6.
  250. 1 2 3 4 5 6 Tempero i in. 2015 ↓, s. 13.
  251. 1 2 3 Tempero i in. 2015 ↓, s. 17.
  252. 1 2 Tempero i in. 2015 ↓, s. 35.
  253. 1 2 Tempero i in. 2015 ↓, s. 64.
  254. D. Li, K. Xie, R. Wolff, J.L. Abbruzzese. Pancreatic cancer. „Lancet”. 363 (9414), s. 1049–1057, 2004. DOI: 10.1016/S0140-6736(04)15841-8. PMID: 15051286.
  255. Tempero i in. 2015 ↓, s. 65–66.
  256. Szczeklik i Gajewski 2014 ↓, s. 1027.
  257. Lee J. Skandalakis, John E. Skandalakis, Panajiotis N. Skandalakis: Surgical Anatomy and Technique: A Pocket Manual. Springer Science & Business Media, 2009, s. 371–375. ISBN 978-0-387-09515-8.
  258. Justin B. Dimick, Gilbert R. Upchurch, Christopher J. Sonnenday: Clinical Scenarios in Surgery: Decision Making and Operative Technique. Lippincott Williams & Wilkins, 2012, s. 160–161. ISBN 978-1-4511-7845-6.
  259. Tempero i in. 2015 ↓, s. 68.
  260. N. Iqbal, R.E. Lovegrove, H.S. Tilney, A.T. Abraham i inni. A comparison of pancreaticoduodenectomy with pylorus preserving pancreaticoduodenectomy: a meta-analysis of 2822 patients. „Eur J Surg Oncol”. 34 (11), s. 1237–1245, 2008. DOI: 10.1016/j.ejso.2007.12.004. PMID: 18242943.
  261. Tempero i in. 2015 ↓, s. 67.
  262. Marcus Bahra, Ulf Neumann: Surgical Techniques for Resectable Pancreatic Cancer. W: Pancreatic Cance. H. Riess, A. Goerke, H. Oettle (red.). Springer Science & Business Media, 2007, s. 29–38, seria: Recent Results in Cancer Research. DOI: 10.1007/978-3-540-71279-4_4. ISBN 978-3-540-71279-4.
  263. 1 2 3 Tempero i in. 2015 ↓, s. 66.
  264. Tempero i in. 2015 ↓, s. 25.
  265. X.Z. Yu, J. Li, D.L. Fu, Y. Di i inni. Benefit from synchronous portal-superior mesenteric vein resection during pancreaticoduodenectomy for cancer: a meta-analysis. „Eur J Surg Oncol”. 40 (4), s. 371–378, 2014. DOI: 10.1016/j.ejso.2014.01.010. PMID: 24560302.
  266. 1 2 3 Ducreux i in. 2015 ↓, s. 5.
  267. 1 2 3 Tempero i in. 2015 ↓, s. 69.
  268. C.J. Yeo, J.L. Cameron, T.A. Sohn, J. Coleman i inni. Pancreaticoduodenectomy with or without extended retroperitoneal lymphadenectomy for periampullary adenocarcinoma: comparison of morbidity and mortality and short-term outcome. „Ann Surg”. 229 (5), s. 613-622; discussion 622-4, 1999. PMID: 10235519.
  269. C.J. Yeo, J.L. Cameron, K.D. Lillemoe, T.A. Sohn i inni. Pancreaticoduodenectomy with or without distal gastrectomy and extended retroperitoneal lymphadenectomy for periampullary adenocarcinoma, part 2: randomized controlled trial evaluating survival, morbidity, and mortality. „Ann Surg”. 236 (3), s. 355-366; discussion 366-8, 2002. DOI: 10.1097/01.SLA.0000027272.08464.0B. PMID: 12192322.
  270. T.S. Riall, J.L. Cameron, K.D. Lillemoe, K.A. Campbell i inni. Pancreaticoduodenectomy with or without distal gastrectomy and extended retroperitoneal lymphadenectomy for periampullary adenocarcinoma-part 3: update on 5-year survival. „J Gastrointest Surg”. 9 (9), s. 1191-1204; discussion 1204-6, 2005. DOI: 10.1016/j.gassur.2005.08.034. PMID: 16332474.
  271. Y. Nimura, M. Nagino, S. Takao, T. Takada i inni. Standard versus extended lymphadenectomy in radical pancreatoduodenectomy for ductal adenocarcinoma of the head of the pancreas: long-term results of a Japanese multicenter randomized controlled trial. „J Hepatobiliary Pancreat Sci”. 19 (3), s. 230–241, 2012. DOI: 10.1007/s00534-011-0466-6. PMID: 22038501.
  272. C.W. Michalski, J. Kleeff, M.N. Wente, M.K. Diener i inni. Systematic review and meta-analysis of standard and extended lymphadenectomy in pancreaticoduodenectomy for pancreatic cancer. „Br J Surg”. 94 (3), s. 265–273, 2007. DOI: 10.1002/bjs.5716. PMID: 17318801.
  273. J. Sun, Y. Yang, X. Wang, Z. Yu i inni. Meta-analysis of the efficacies of extended and standard pancreatoduodenectomy for ductal adenocarcinoma of the head of the pancreas. „World J Surg”. 38 (10), s. 2708–2715, 2014. DOI: 10.1007/s00268-014-2633-9. PMID: 24912627.
  274. J.A. Tol, D.J. Gouma, C. Bassi, C. Dervenis i inni. Definition of a standard lymphadenectomy in surgery for pancreatic ductal adenocarcinoma: a consensus statement by the International Study Group on Pancreatic Surgery (ISGPS). „Surgery”. 156 (3), s. 591–600, 2014. DOI: 10.1016/j.surg.2014.06.016. PMID: 25061003.
  275. 1 2 3 Tempero i in. 2015 ↓, s. 22.
  276. 1 2 DeVita, Lawrence i Rosenberg 2008 ↓, s. 1096.
  277. K.C. Conlon, D.S. Klimstra, M.F. Brennan. Long-term survival after curative resection for pancreatic ductal adenocarcinoma. Clinicopathologic analysis of 5-year survivors. „Ann Surg”. 223 (3), s. 273–279, 1996. PMID: 8604907.
  278. 1 2 3 Tempero i in. 2015 ↓, s. 75.
  279. DeVita, Lawrence i Rosenberg 2008 ↓, s. 1103.
  280. A. Fathi, K.K. Christians, B. George, P.S. Ritch i inni. Neoadjuvant therapy for localized pancreatic cancer: guiding principles. „J Gastrointest Oncol”. 6 (4), s. 418–429, 2015. DOI: 10.3978/j.issn.2078-6891.2015.053. PMID: 26261728.
  281. Tempero i in. 2015 ↓, s. 78.
  282. V. Festa, A. Andriulli, M.R. Valvano, G. Uomo i inni. Neoadjuvant chemo-radiotherapy for patients with borderline resectable pancreatic cancer: a meta-analytical evaluation of prospective studies. „JOP”. 14 (6), s. 618–625, 2013. PMID: 24216547.
  283. J.M. Laurence, P.D. Tran, K. Morarji, G.D. Eslick i inni. A systematic review and meta-analysis of survival and surgical outcomes following neoadjuvant chemoradiotherapy for pancreatic cancer. „J Gastrointest Surg”. 15 (11), s. 2059–2069, 2011. DOI: 10.1007/s11605-011-1659-7. PMID: 21913045.
  284. E.J. Kim, E. Ben-Josef, J.M. Herman, T. Bekaii-Saab i inni. A multi-institutional phase 2 study of neoadjuvant gemcitabine and oxaliplatin with radiation therapy in patients with pancreatic cancer. „Cancer”. 119 (15), s. 2692–2700, 2013. DOI: 10.1002/cncr.28117. PMID: 23720019.
  285. J. Landry, P.J. Catalano, C. Staley, W. Harris i inni. Randomized phase II study of gemcitabine plus radiotherapy versus gemcitabine, 5-fluorouracil, and cisplatin followed by radiotherapy and 5-fluorouracil for patients with locally advanced, potentially resectable pancreatic adenocarcinoma. „J Surg Oncol”. 101 (7), s. 587–592, 2010. DOI: 10.1002/jso.21527. PMID: 20461765.
  286. K.K. Christians, S. Tsai, A. Mahmoud, P. Ritch i inni. Neoadjuvant FOLFIRINOX for borderline resectable pancreas cancer: a new treatment paradigm?. „Oncologist”. 19 (3), s. 266–274, 2014. DOI: 10.1634/theoncologist.2013-0273. PMID: 24569947.
  287. C. Tinchon, E. Hubmann, A. Pichler, F. Keil i inni. Safety and efficacy of neoadjuvant FOLFIRINOX treatment in a series of patients with borderline resectable pancreatic ductal adenocarcinoma. „Acta Oncol”. 52 (6), s. 1231–1233, 2013. DOI: 10.3109/0284186X.2013.771821. PMID: 23445338.
  288. 1 2 D.D. Von Hoff, R.K. Ramanathan, M.J. Borad, D.A. Laheru i inni. Gemcitabine plus nab-paclitaxel is an active regimen in patients with advanced pancreatic cancer: a phase I/II trial. „J Clin Oncol”. 29 (34), s. 4548–4554, 2011. DOI: 10.1200/JCO.2011.36.5742. PMID: 21969517.
  289. R. Alvarez, M. Musteanu, E. Garcia-Garcia, P.P. Lopez-Casas i inni. Stromal disrupting effects of nab-paclitaxel in pancreatic cancer. „Br J Cancer”. 109 (4), s. 926–933, 2013. DOI: 10.1038/bjc.2013.415. PMID: 23907428.
  290. D. Ansari, A. Gustafsson, R. Andersson. Update on the management of pancreatic cancer: surgery is not enough. „World J Gastroenterol”. 21 (11), s. 3157–3165, 2015. DOI: 10.3748/wjg.v21.i11.3157. PMID: 25805920.
  291. J.L. Marti, H.S. Hochster, S.P. Hiotis, B. Donahue i inni. Phase I/II trial of induction chemotherapy followed by concurrent chemoradiotherapy and surgery for locoregionally advanced pancreatic cancer. „Ann Surg Oncol”. 15 (12), s. 3521–3531, 2008. DOI: 10.1245/s10434-008-0152-3. PMID: 18830756.
  292. 1 2 DeVita, Lawrence i Rosenberg 2008 ↓, s. 1100.
  293. Tempero i in. 2015 ↓, s. 74.
  294. H. Oettle, S. Post, P. Neuhaus, K. Gellert i inni. Adjuvant chemotherapy with gemcitabine vs observation in patients undergoing curative-intent resection of pancreatic cancer: a randomized controlled trial. „JAMA”. 297 (3), s. 267–277, 2007. DOI: 10.1001/jama.297.3.267. PMID: 17227978.
  295. T. Oyasiji, W.W. Ma. Novel adjuvant therapies for pancreatic adenocarcinoma. „J Gastrointest Oncol”. 6 (4), s. 430–435, 2015. DOI: 10.3978/j.issn.2078-6891.2015.031. PMID: 26261729.
  296. J.P. Neoptolemos, D.D. Stocken, C. Bassi, P. Ghaneh i inni. Adjuvant chemotherapy with fluorouracil plus folinic acid vs gemcitabine following pancreatic cancer resection: a randomized controlled trial. „JAMA”. 304 (10), s. 1073–1081, 2010. DOI: 10.1001/jama.2010.1275. PMID: 20823433.
  297. DeVita, Lawrence i Rosenberg 2008 ↓, s. 1101.
  298. J.P. Neoptolemos, D.D. Stocken, H. Friess, C. Bassi i inni. A randomized trial of chemoradiotherapy and chemotherapy after resection of pancreatic cancer. „N Engl J Med”. 350 (12), s. 1200–1210, 2004. DOI: 10.1056/NEJMoa032295. PMID: 15028824.
  299. M.H. Kalser, S.S. Ellenberg. Pancreatic cancer. Adjuvant combined radiation and chemotherapy following curative resection. „Arch Surg”. 120 (8), s. 899–903, 1985. PMID: 4015380.
  300. J.H. Klinkenbijl, J. Jeekel, T. Sahmoud, R. van Pel i inni. Adjuvant radiotherapy and 5-fluorouracil after curative resection of cancer of the pancreas and periampullary region: phase III trial of the EORTC gastrointestinal tract cancer cooperative group. „Ann Surg”. 230 (6), s. 776-782; discussion 782-4, 1999. PMID: 10615932.
  301. W.F. Regine, K.A. Winter, R. Abrams, H. Safran i inni. Fluorouracil-based chemoradiation with either gemcitabine or fluorouracil chemotherapy after resection of pancreatic adenocarcinoma: 5-year analysis of the U.S. Intergroup/RTOG 9704 phase III trial. „Ann Surg Oncol”. 18 (5), s. 1319–1326, 2011. DOI: 10.1245/s10434-011-1630-6. PMID: 21499862.
  302. 1 2 3 4 Tempero i in. 2015 ↓, s. 79.
  303. Tempero i in. 2015 ↓, s. 15.
  304. Tempero i in. 2015 ↓, s. 63–64.
  305. 1 2 3 Tempero i in. 2015 ↓, s. 16.
  306. Tempero i in. 2015 ↓, s. 52.
  307. 1 2 3 H.A. Burris, M.J. Moore, J. Andersen, M.R. Green i inni. Improvements in survival and clinical benefit with gemcitabine as first-line therapy for patients with advanced pancreas cancer: a randomized trial. „J Clin Oncol”. 15 (6), s. 2403–2413, 1997. PMID: 9196156.
  308. G. Colucci, R. Labianca, F. Di Costanzo, V. Gebbia i inni. Randomized phase III trial of gemcitabine plus cisplatin compared with single-agent gemcitabine as first-line treatment of patients with advanced pancreatic cancer: the GIP-1 study. „J Clin Oncol”. 28 (10), s. 1645–1651, 2010. DOI: 10.1200/JCO.2009.25.4433. PMID: 20194854.
  309. V. Heinemann, D. Quietzsch, F. Gieseler, M. Gonnermann i inni. Randomized phase III trial of gemcitabine plus cisplatin compared with gemcitabine alone in advanced pancreatic cancer. „J Clin Oncol”. 24 (24), s. 3946–3952, 2006. DOI: 10.1200/JCO.2005.05.1490. PMID: 16921047.
  310. G. Colucci, F. Giuliani, V. Gebbia, M. Biglietto i inni. Gemcitabine alone or with cisplatin for the treatment of patients with locally advanced and/or metastatic pancreatic carcinoma: a prospective, randomized phase III study of the Gruppo Oncologia dell’Italia Meridionale. „Cancer”. 94 (4), s. 902–910, 2002. PMID: 11920457.
  311. 1 2 V. Heinemann, R. Labianca, A. Hinke, C. Louvet. Increased survival using platinum analog combined with gemcitabine as compared to single-agent gemcitabine in advanced pancreatic cancer: pooled analysis of two randomized trials, the GERCOR/GISCAD intergroup study and a German multicenter study. „Ann Oncol”. 18 (10), s. 1652–1659, 2007. DOI: 10.1093/annonc/mdm283. PMID: 17660491.
  312. C. Louvet, R. Labianca, P. Hammel, G. Lledo i inni. Gemcitabine in combination with oxaliplatin compared with gemcitabine alone in locally advanced or metastatic pancreatic cancer: results of a GERCOR and GISCAD phase III trial. „J Clin Oncol”. 23 (15), s. 3509–3516, 2005. DOI: 10.1200/JCO.2005.06.023. PMID: 15908661.
  313. A. Demols, M. Peeters, M. Polus, R. Marechal i inni. Gemcitabine and oxaliplatin (GEMOX) in gemcitabine refractory advanced pancreatic adenocarcinoma: a phase II study. „Br J Cancer”. 94 (4), s. 481–485, 2006. DOI: 10.1038/sj.bjc.6602966. PMID: 16434988.
  314. E. Poplin, Y. Feng, J. Berlin, M.L. Rothenberg i inni. Phase III, randomized study of gemcitabine and oxaliplatin versus gemcitabine (fixed-dose rate infusion) compared with gemcitabine (30-minute infusion) in patients with pancreatic carcinoma E6201: a trial of the Eastern Cooperative Oncology Group. „J Clin Oncol”. 27 (23), s. 3778–3785, 2009. DOI: 10.1200/JCO.2008.20.9007. PMID: 19581537.
  315. C.M. Rocha Lima, M.R. Green, R. Rotche, W.H. Miller i inni. Irinotecan plus gemcitabine results in no survival advantage compared with gemcitabine monotherapy in patients with locally advanced or metastatic pancreatic cancer despite increased tumor response rate. „J Clin Oncol”. 22 (18), s. 3776–3783, 2004. DOI: 10.1200/JCO.2004.12.082. PMID: 15365074.
  316. 1 2 J.D. Berlin, P. Catalano, J.P. Thomas, J.W. Kugler i inni. Phase III study of gemcitabine in combination with fluorouracil versus gemcitabine alone in patients with advanced pancreatic carcinoma: Eastern Cooperative Oncology Group Trial E2297. „J Clin Oncol”. 20 (15), s. 3270–3275, 2002. PMID: 12149301.
  317. R. Herrmann, G. Bodoky, T. Ruhstaller, B. Glimelius i inni. Gemcitabine plus capecitabine compared with gemcitabine alone in advanced pancreatic cancer: a randomized, multicenter, phase III trial of the Swiss Group for Clinical Cancer Research and the Central European Cooperative Oncology Group. „J Clin Oncol”. 25 (16), s. 2212–2217, 2007. DOI: 10.1200/JCO.2006.09.0886. PMID: 17538165.
  318. 1 2 D. Cunningham, I. Chau, D.D. Stocken, J.W. Valle i inni. Phase III randomized comparison of gemcitabine versus gemcitabine plus capecitabine in patients with advanced pancreatic cancer. „J Clin Oncol”. 27 (33), s. 5513–5518, 2009. DOI: 10.1200/JCO.2009.24.2446. PMID: 19858379.
  319. 1 2 R.L. Fine, D.R. Fogelman, S.M. Schreibman, M. Desai i inni. The gemcitabine, docetaxel, and capecitabine (GTX) regimen for metastatic pancreatic cancer: a retrospective analysis. „Cancer Chemother Pharmacol”. 61 (1), s. 167–175, 2008. DOI: 10.1007/s00280-007-0473-0. PMID: 17440727.
  320. D. Ciliberto, C. Botta, P. Correale, M. Rossi i inni. Role of gemcitabine-based combination therapy in the management of advanced pancreatic cancer: a meta-analysis of randomised trials. „Eur J Cancer”. 49 (3), s. 593–603, 2013. DOI: 10.1016/j.ejca.2012.08.019. PMID: 22989511.
  321. C. Sun, D. Ansari, R. Andersson, D.Q. Wu. Does gemcitabine-based combination therapy improve the prognosis of unresectable pancreatic cancer?. „World J Gastroenterol”. 18 (35), s. 4944–4958, 2012. DOI: 10.3748/wjg.v18.i35.4944. PMID: 23002368.
  322. 1 2 Tempero i in. 2015 ↓, s. 53.
  323. D.D. Von Hoff, T. Ervin, F.P. Arena, E.G. Chiorean i inni. Increased survival in pancreatic cancer with nab-paclitaxel plus gemcitabine. „N Engl J Med”. 369 (18), s. 1691–1703, 2013. DOI: 10.1056/NEJMoa1304369. PMID: 24131140.
  324. D. Goldstein, R.H. El-Maraghi, P. Hammel. Analyses of updated overall survival (OS) and prognostic effect of neutrophil-to-lymphocyte ratio (NLR) and CA 19-9 from the phase III MPACT study of nab-paclitaxel (nab-P) plus gemcitabine (Gem) versus Gem for patients (pts) with metastatic pancreatic cancer (PC). „ASCO Meeting Abstracts”, 2014.
  325. Tempero i in. 2015 ↓, s. 53–54.
  326. M.J. Moore, D. Goldstein, J. Hamm, A. Figer i inni. Erlotinib plus gemcitabine compared with gemcitabine alone in patients with advanced pancreatic cancer: a phase III trial of the National Cancer Institute of Canada Clinical Trials Group. „J Clin Oncol”. 25 (15), s. 1960–1966, 2007. DOI: 10.1200/JCO.2006.07.9525. PMID: 17452677.
  327. T. Golan, Z.S. Kanji, R. Epelbaum, N. Devaud i inni. Overall survival and clinical characteristics of pancreatic cancer in BRCA mutation carriers. „Br J Cancer”. 111 (6), s. 1132–1138, 2014. DOI: 10.1038/bjc.2014.418. PMID: 25072261.
  328. M.A. Lowery, D.P. Kelsen, Z.K. Stadler, K.H. Yu i inni. An emerging entity: pancreatic adenocarcinoma associated with a known BRCA mutation: clinical descriptors, treatment implications, and future directions. „Oncologist”. 16 (10), s. 1397–1402, 2011. DOI: 10.1634/theoncologist.2011-0185. PMID: 21934105.
  329. 1 2 Tempero i in. 2015 ↓, s. 54.
  330. D. Fogelman, E.A. Sugar, G. Oliver, N. Shah i inni. Family history as a marker of platinum sensitivity in pancreatic adenocarcinoma. „Cancer Chemother Pharmacol”. 76 (3), s. 489–498, 2015. DOI: 10.1007/s00280-015-2788-6. PMID: 26126726.
  331. 1 2 Tempero i in. 2015 ↓, s. 55.
  332. Q. Li, H. Yan, W. Liu, H. Zhen i inni. Efficacy and safety of gemcitabine-fluorouracil combination therapy in the management of advanced pancreatic cancer: a meta-analysis of randomized controlled trials. „PLoS One”. 9 (8), s. e104346, 2014. DOI: 10.1371/journal.pone.0104346. PMID: 25093849.
  333. A. De Jesus-Acosta, G.R. Oliver, A. Blackford, K. Kinsman i inni. A multicenter analysis of GTX chemotherapy in patients with locally advanced and metastatic pancreatic adenocarcinoma. „Cancer Chemother Pharmacol”. 69 (2), s. 415–424, 2012. DOI: 10.1007/s00280-011-1704-y. PMID: 21800112.
  334. Tempero i in. 2015 ↓, s. 56.
  335. S. Gourgou-Bourgade, C. Bascoul-Mollevi, F. Desseigne, M. Ychou i inni. Impact of FOLFIRINOX compared with gemcitabine on quality of life in patients with metastatic pancreatic cancer: results from the PRODIGE 4/ACCORD 11 randomized trial. „J Clin Oncol”. 31 (1), s. 23–29, 2013. DOI: 10.1200/JCO.2012.44.4869. PMID: 23213101.
  336. 1 2 3 4 Tempero i in. 2015 ↓, s. 57.
  337. S. Boeck, U. Vehling-Kaiser, D. Waldschmidt, E. Kettner i inni. Erlotinib 150 mg daily plus chemotherapy in advanced pancreatic cancer: an interim safety analysis of a multicenter, randomized, cross-over phase III trial of the ‘Arbeitsgemeinschaft Internistische Onkologie’. „Anticancer Drugs”. 21 (1), s. 94–100, 2010. DOI: 10.1097/CAD.0b013e32833123ed. PMID: 19770635.
  338. H.Q. Xiong, G.R. Varadhachary, J.C. Blais, K.R. Hess i inni. Phase 2 trial of oxaliplatin plus capecitabine (XELOX) as second-line therapy for patients with advanced pancreatic cancer. „Cancer”. 113 (8), s. 2046–2052, 2008. DOI: 10.1002/cncr.23810. PMID: 18756532.
  339. U. Pelzer, I. Schwaner, J. Stieler, M. Adler i inni. Best supportive care (BSC) versus oxaliplatin, folinic acid and 5-fluorouracil (OFF) plus BSC in patients for second-line advanced pancreatic cancer: a phase III-study from the German CONKO-study group. „Eur J Cancer”. 47 (11), s. 1676–1681, 2011. DOI: 10.1016/j.ejca.2011.04.011. PMID: 21565490.
  340. Tempero i in. 2015 ↓, s. 58.
  341. 1 2 3 4 5 6 D.J. Gouma, O.R. Busch, T.M. Van Gulik. Pancreatic carcinoma: palliative surgical and endoscopic treatment. „HPB (Oxford)”. 8 (5), s. 369–376, 2006. DOI: 10.1080/13651820600804021. PMID: 18333090.
  342. 1 2 3 4 Tempero i in. 2015 ↓, s. 80.
  343. Tempero i in. 2015 ↓, s. 81.
  344. K.S. Gurusamy, S. Kumar, B.R. Davidson. Prophylactic gastrojejunostomy for unresectable periampullary carcinoma. „Cochrane Database Syst Rev”. 2, s. CD008533, 2013. DOI: 10.1002/14651858.CD008533.pub3. PMID: 23450583.
  345. P. Rogalski, A. Baniukiewicz. Protezowanie dróg żółciowych i przewodu trzustkowego – współczesne wytyczne. „Gastroenterologia Praktyczna”. 4(17), 2012.
  346. A.C. Moss, E. Morris, P. Mac Mathuna. Palliative biliary stents for obstructing pancreatic carcinoma. „Cochrane Database Syst Rev”, s. CD004200, 2006. DOI: 10.1002/14651858.CD004200.pub4. PMID: 16625598.
  347. M. Kitano, Y. Yamashita, K. Tanaka, H. Konishi i inni. Covered self-expandable metal stents with an anti-migration system improve patency duration without increased complications compared with uncovered stents for distal biliary obstruction caused by pancreatic carcinoma: a randomized multicenter trial. „Am J Gastroenterol”. 108 (11), s. 1713–1722, 2013. DOI: 10.1038/ajg.2013.305. PMID: 24042190.
  348. Szczeklik i Gajewski 2014 ↓, s. 2493–2494.
  349. Szczeklik i Gajewski 2014 ↓, s. 2499–2500.
  350. K.D. Lillemoe, J.L. Cameron, H.S. Kaufman, C.J. Yeo i inni. Chemical splanchnicectomy in patients with unresectable pancreatic cancer. A prospective randomized trial. „Ann Surg”. 217 (5), s. 447-455; discussion 456-7, 1993. PMID: 7683868.
  351. Tempero i in. 2015 ↓, s. 82.
  352. K.K. Turaga, M.P. Malafa, P.B. Jacobsen, M.J. Schell i inni. Suicide in patients with pancreatic cancer. „Cancer”. 117 (3), s. 642–647, 2011. DOI: 10.1002/cncr.25428. PMID: 20824626.
  353. S. Fazal, M.W. Saif. Supportive and palliative care of pancreatic cancer. „JOP”. 8 (2), s. 240–253, 2007. PMID: 17356251.
  354. Tempero i in. 2015 ↓, s. 81–82.
  355. L. Sun, X.Q. Quan, S. Yu. An Epidemiological Survey of Cachexia in Advanced Cancer Patients and Analysis on Its Diagnostic and Treatment Status. „Nutr Cancer”. 67 (7), s. 1056–1062, 2015. DOI: 10.1080/01635581.2015.1073753. PMID: 26317149.
  356. 1 2 3 C.R. Tan, P.M. Yaffee, L.H. Jamil, S.K. Lo i inni. Pancreatic cancer cachexia: a review of mechanisms and therapeutics. „Front Physiol”. 5, s. 88, 2014. DOI: 10.3389/fphys.2014.00088. PMID: 24624094.
  357. 1 2 3 4 T.C. Mueller, M.A. Burmeister, J. Bachmann, M.E. Martignoni. Cachexia and pancreatic cancer: are there treatment options?. „World J Gastroenterol”. 20 (28), s. 9361–9373, 2014. DOI: 10.3748/wjg.v20.i28.9361. PMID: 25071331.
  358. K.Y. Bilimoria, D.J. Bentrem, C.Y. Ko, J. Ritchey i inni. Validation of the 6th edition AJCC Pancreatic Cancer Staging System: report from the National Cancer Database. „Cancer”. 110 (4), s. 738–744, 2007. DOI: 10.1002/cncr.22852. PMID: 17580363.
  359. H. Sun, H. Ma, G. Hong, H. Sun i inni. Survival improvement in patients with pancreatic cancer by decade: a period analysis of the SEER database, 1981–2010. „Sci Rep”. 4, s. 6747, 2014. DOI: 10.1038/srep06747. PMID: 25339498.
  360. 1 2 3 Donald J. Meuten: Tumors in Domestic Animals. John Wiley & Sons, 2008, s. 478–480. ISBN 978-0-470-37670-6.
  361. 1 2 3 4 Linda M. McManus, Richard N. Mitchell: Pathobiology of Human Disease: A Dynamic Encyclopedia of Disease Mechanisms. Elsevier, 2014, s. 1110. ISBN 978-0-12-386457-4.
  362. Jack E. Moulton: Tumors in Domestic Animals. University of California Press, 1978, s. 273. ISBN 978-0-520-02386-4.
  363. Alan H. Cruickshank: Pathology of the Pancreas. Springer Science & Business Media, 2012, s. 150. ISBN 978-1-4471-3329-2.
  364. 1 2 Stephen J. Withrow, David M. Vail, Rodney Page: Withrow and MacEwen’s Small Animal Clinical Oncology. Elsevier Health Sciences, 2013, s. 401. ISBN 978-0-323-24197-7.
  365. 1 2 J.F. Griffin, K.E. Poruk, C.L. Wolfgang. Pancreatic cancer surgery: past, present, and future. „Chin J Cancer Res”. 27 (4), s. 332–348, 2015. DOI: 10.3978/j.issn.1000-9604.2015.06.07. PMID: 26361403.
  366. 1 2 3 4 5 A.C. Busnardo, L.J. DiDio, R.T. Tidrick, N.R. Thomford. History of the pancreas. „Am J Surg”. 146 (5), s. 539–550, 1983. PMID: 6356946.
  367. 1 2 C. Are, M. Dhir, L. Ravipati. History of pancreaticoduodenectomy: early misconceptions, initial milestones and the pioneers. „HPB (Oxford)”. 13 (6), s. 377–384, 2011. DOI: 10.1111/j.1477-2574.2011.00305.x. PMID: 21609369.
  368. K. Watson. Carcinoma of the ampulla of Vater. Successful radical excision. „Br J Surg”, 1944.
  369. L.W. Traverso, W.P. Longmire. Preservation of the pylorus in pancreaticoduodenectomy. „Surg Gynecol Obstet”. 146 (6), s. 959–962, 1978. PMID: 653575.
  370. J. Bachmann, C.W. Michalski, M.E. Martignoni, M.W. Büchler i inni. Pancreatic resection for pancreatic cancer. „HPB (Oxford)”. 8 (5), s. 346–351, 2006. DOI: 10.1080/13651820600803981. PMID: 18333087.
  371. 1 2 3 DeVita, Lawrence i Rosenberg 2008 ↓, s. 1113.
  372. M.W. Oster, R. Gray, L. Panasci, M.C. Perry. Chemotherapy for advanced pancreatic cancer. A comparison of 5-fluorouracil, adriamycin, and mitomycin (FAM) with 5-fluorouracil, streptozotocin, and mitomycin (FSM). „Cancer”. 57 (1), s. 29–33, 1986. PMID: 2934124.
  373. S. Cullinan, C.G. Moertel, H.S. Wieand, A.J. Schutt i inni. A phase III trial on the therapy of advanced pancreatic carcinoma. Evaluations of the Mallinson regimen and combined 5-fluorouracil, doxorubicin, and cisplatin. „Cancer”. 65 (10), s. 2207–2212, 1990. PMID: 2189551.
  374. S.K. Carter, R.L. Comis. The integration of chemotherapy into a combined modality approach for cancer treatment. VI. Pancreatic adenocarcinoma. „Cancer Treat Rev”. 2 (3), s. 193–214, 1975. PMID: 1104163.
  375. E.S. Casper, M.R. Green, D.P. Kelsen, R.T. Heelan i inni. Phase II trial of gemcitabine (2,2'-difluorodeoxycytidine) in patients with adenocarcinoma of the pancreas. „Invest New Drugs”. 12 (1), s. 29–34, 1994. PMID: 7960602.
  376. J. Carmichael, U. Fink, R.C. Russell, M.F. Spittle i inni. Phase II study of gemcitabine in patients with advanced pancreatic cancer. „Br J Cancer”. 73 (1), s. 101–105, 1996. PMID: 8554969.
  377. DeVita, Lawrence i Rosenberg 2008 ↓, s. 1114.
  378. T. Conroy, C. Gavoille, E. Samalin, M. Ychou i inni. The role of the FOLFIRINOX regimen for advanced pancreatic cancer. „Curr Oncol Rep”. 15 (2), s. 182–189, 2013. DOI: 10.1007/s11912-012-0290-4. PMID: 23341367.

Bibliografia

  • M.A. Tempero, M.P. Malafa, S.W. Behrman, A.B. Benson. Pancreatic adenocarcinoma, version 2.2015: featured updates to the NCCN guidelines. „J Natl Compr Canc Netw”, 2015.  (zob. też Pancreatic adenocarcinoma, version 2.2015. Pancreatic adenocarcinoma, version 2.2015. National Comprehensive Cancer Network, 2015. [dostęp 2015-12-27]. [zarchiwizowane z tego adresu (2015-04-05)].)
  • M. Ducreux, A.Sa. Cuhna, C. Caramella, A. Hollebecque. Pancreatic adenocarcinoma: ESMO-ESDO Clinical Practice Guidelines for diagnosis, treatment and follow-up. „Ann Oncol”, 2015. DOI: 10.1093/annonc/mdv295. 
  • Brian M. Wolpin: Pancreatic Cancer, an Issue of Hematology/Oncology Clinics of North America. Elsevier Health Sciences, 2015. ISBN 978-0-323-39336-2.
  • Vincent T. DeVita, Theodore S. Lawrence, Steven A. Rosenberg: Devita, Hellman & Rosenberg’s Cancer: Principles & Practice of Oncology. Wyd. 8. Lippincott Williams & Wilkins, 2008. ISBN 978-0-7817-7207-5.
  • S.R. Hamilton, L.A. Aaltonen, Pathology and Genetics of Tumours of the Digestive System, Lyon: IARC Press, 2000, ISBN 92-83-22410-8 [dostęp 2015-10-25] [zarchiwizowane z adresu 2018-07-28].
  • Andrzej Szczeklik, Piotr Gajewski: Interna Szczeklika 2014. Kraków: Medycyna Praktyczna, 2014. ISBN 978-83-7430-405-4.
  • Vinay Kumar, Ramzi S. Cotran, Stanley L. Robins: Robins Patologia. Wrocław: Elsevier Urban & Partner, 2005, s. 232. ISBN 83-89581-92-2.
  • Radzisław Kordek: Onkologia. Podręcznik dla studentów i lekarzy. Gdańsk: Via Medica, 2007. ISBN 978-83-7555-016-0.
  • Frederick L. Greene, David L. Page, Irvin D. Fleming, April G. Fritz, Charles M. Balch, Daniel G. Haller, Monica Morrow: AJCC Cancer Staging Manual. Springer Science & Business Media, 2013. ISBN 978-1-4757-3656-4.

Przeczytaj ostrzeżenie dotyczące informacji medycznych i pokrewnych zamieszczonych w Wikipedii.