Rdzeniak

Rdzeniak zarodkowy (łac. medulloblastoma, ang. medulloblastoma) – pierwotny nowotwór złośliwy ośrodkowego układu nerwowego, najczęściej rozwijający się w móżdżku. Należy do grupy prymitywnych guzów neuroektodermalnych (PNET). Rdzeniakowi przypisuje się najwyższy, IV° złośliwości histologicznej według WHO.
Historia
Termin medulloblastoma wprowadzili w 1925 roku amerykańscy pionierzy neurochirurgii, Harvey Cushing i Percival Bailey[1].
Epidemiologia
Rdzeniak jest najczęstszym nowotworem ośrodkowego układu nerwowego u dzieci. Szacuje się, że częstość występowania tego guza wynosi 0,5:100 000 w populacji dzieci do 15. roku życia[2].
Objawy i przebieg
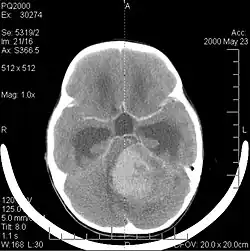
W niemal 75% przypadków lokalizuje się w robaku móżdżku. Guz blokując przepływ płynu mózgowo-rdzeniowego daje objawy wzmożonego ciśnienia śródczaszkowego, a zajęcie móżdżku powoduje zaburzenia chodu. Rozprzestrzenia się podpajęczynówkowo, nie tylko w tylnym dole czaszki, ale nad całym mózgiem i rdzeniem kręgowym. Makroskopowo ma postać ciemnoczerwonej, luźnej konsystencji (przypominającej galaretę) masy. U starszych dzieci częstszą lokalizacją są półkule móżdżku.
Obraz histologiczny
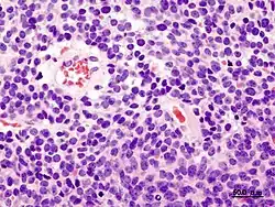
Rdzeniak należy do nowotworów drobnookrągłoniebieskokomórkowych: komórki guza są drobne, gęsto rozmieszczone (układ przypomina kostkę brukową), mają skąpą cytoplazmę i hiperchromatyczne jądro. Posiadają słabo wykształcone wypustki cytoplazmatyczne. Liczne są figury podziałów mitotycznych. Rzadko tworzą małe rozetki wokół włókienkowatego rdzenia (rozetki Homera Wrighta), tak jak komórki nerwiaka zarodkowego. W różnicujących się neuronalnie guzach stwierdza się histochemicznie lub w mikroskopii elektronowej charakterystyczne cechy komórek, a czasem obecność komórek zwojowych. Wyróżnia się kilka typów histologicznych rdzeniaka: postać desmoplastyczna (medulloblastoma desmoplasticum) tworzy pasma tkankowe o zróżnicowaniu mezodermalnym bogate we włókna retikulinowe; rdzeniakomięśniak (medullomyoblastoma) zawiera w utkaniu miocyty, najczęściej poprzecznie prążkowane; rdzeniak barwnikowy (medulloblastoma melanoticum) natomiast zawiera komórki zawierające melaninę.
Leczenie
W leczeniu rdzeniaka stosuje się połączenie resekcji guza z następową radioterapią i chemioterapią.
Przypisy
Bibliografia
- Prymitywny guz neuroektodermalny (primitive neuroectodermal tumor). W: Wojciech Biernat: Nowotwory mózgu u dzieci. Suplement do Pol J Pathol 53, 4. Paweł P. Liberski (red.). 2001, s. 125-134. ISSN 1233-9687.
- Nowotwory ośrodkowego układu nerwowego. W: Dariusz J. Jaskólski, Wielisław Papierz, Wojciech Biernat, Paweł P. Liberski: Choroby układu nerwowego. Wojciech Kozubski, Paweł P. Liberski (red.). Warszawa: Wydawnictwo Lekarskie PZWL, 2004. ISBN 83-200-2636-9.
- Jerzy Stachura, Wenancjusz Domagała Patologia znaczy słowo o chorobie. Tom II - Patologia narządowa. Wydawnictwo PAU, Kraków 2005, ISBN 83-88857-91-6.
- Vinay Kumar, Ramzi S. Cotran, Stanley L. Robbins: Patologia Robbinsa. Urban&Partner, 2005. ISBN 978-83-89581-92-1.
Linki zewnętrzne
- Artykuł z eMedicine (ang.)
- MEDULLOBLASTOMA w bazie Online Mendelian Inheritance in Man (ang.)
Przeczytaj ostrzeżenie dotyczące informacji medycznych i pokrewnych zamieszczonych w Wikipedii.