Rak pęcherza moczowego

Nowotwór złośliwy pęcherza moczowego
Ilustracja
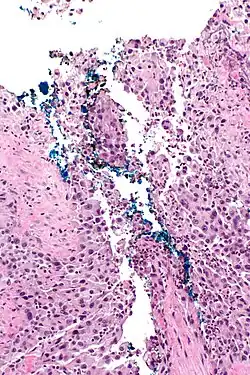
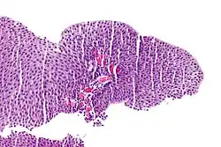
Rak pęcherza moczowego, obraz mikroskopowy
Klasyfikacje
ICD-10

C67

Rak pęcherza moczowego – pierwotny nowotwór złośliwy pęcherza moczowego pochodzenia nabłonkowego. Histologicznie u ludzi zdecydowaną większość raków pęcherza moczowego stanowi rak urotelialny (z komórek nabłonka dróg moczowych), nazywany również rakiem przejściowokomórkowym. Nowotwór jest chorobą niejednorodną i stanowi spektrum zmian o zróżnicowanym stopniu złośliwości, głębokości naciekania oraz ryzyka progresji choroby. Najważniejszym czynnikiem ryzyka rozwoju raka pęcherza moczowego jest palenie tytoniu. Najczęstszym objawem choroby jest bezbolesny, okresowy krwiomocz.

Rozpoznanie jest stawiane na podstawie badania histopatologicznego materiału pobranego podczas cystoskopii z wykonaniem przezcewkowej elektroresekcji guza pęcherza moczowego (TURBT). Strategia leczenia raka pęcherza moczowego jest oparta na ocenie głębokości naciekania oraz ryzyka nawrotu raka. U części chorych wystarczającym leczeniem jest przezcewkowa elektroresekcja, ale część chorych wymaga chemioterapii dopęcherzowej albo dopęcherzowej immunoterapii BCG. U chorych z naciekaniem mięśniówki oraz chorych z rakiem o najwyższym ryzyku nawrotu albo nawrotem opornym na leczenie BCG konieczne jest chirurgiczne wycięcie pęcherza, nazywane cystektomią (radykalną). Cystektomię u chorych z rakiem naciekającym mięśniówkę poprzedza chemioterapia neoadiuwantowa. Leczenie choroby z przerzutami jest oparte na chemioterapii cisplatyną.

Epidemiologia

Rak pęcherza moczowego jest jednym z najczęściej występujących nowotworów złośliwych u ludzi. U mężczyzn w krajach zachodnich rak pęcherza moczowego pod względem zapadalności jest czwartym nowotworem złośliwym po raku prostaty, raku płuca i raku jelita grubego[1]. Na świecie co roku jest on rozpoznawany u 430 000 osób i jest powodem 160 000 zgonów rocznie[2]. Ocenia się, że co 25 mężczyzna w Europie i Ameryce Północnej zachoruje na ten nowotwór[3]. W populacji ogólnoświatowej pod względem zapadalności jest 7 najczęstszym nowotworem złośliwym u mężczyzn i 17 u kobiet[4][5].

Zapadalność i śmiertelność na ten nowotwór wykazuje zróżnicowanie geograficzne, co jest związane z różnicami w rozpowszechnieniu czynników ryzyka tej choroby, przede wszystkim palenia tytoniu[6]. Nowotwór znacznie częściej występuje w Europie, Ameryce Północnej i Australii, a niższą zapadalność obserwuje się w Azji i Afryce[7][6][8]. Standaryzowany wskaźnik zachorowalności na raka pęcherza moczowego na świecie jest oceniany na 9,0 przypadków na 100 000, przy czym w krajach rozwiniętych wynosi on około 16,9 przypadków na 100 000, a w krajach rozwijających się 5,3 przypadków na 100 000[2]. W krajach wysokorozwiniętych obserwuje się tendencję spadkową zapadalności[3].

Zapalność na raka pęcherza moczowego rośnie wraz z wiekiem. Nowotwór jest rzadki przed 50. rokiem życia i zwykle jest rozpoznawany w siódmej dekadzie[7]. Mediana zapadalności przypada pomiędzy 65. a 70. rokiem życia[1]. Nowotwór od 3 do 4-krotnie częściej dotyczy mężczyzn niż kobiet[4][1].

W Polsce nowotwory pęcherza moczowego stanowią 7% przypadków nowotworów złośliwych u mężczyzn i 2% u kobiet. Co roku rozpoznaje się w Polsce około 5000 przypadków u mężczyzn i 1400 u kobiet[9].

Czynniki ryzyka

Najważniejszym czynnikiem ryzyka rozwoju raka pęcherza moczowego jest palenie tytoniu, które jest odpowiedzialne aż za połowę przypadków choroby[5]. Ważnym czynnikiem ryzyka jest ekspozycja zawodowa na aminy aromatyczne i wielopierścieniowe węglowodory aromatyczne, która jest związana z 10% przypadków choroby. W niektórych regionach świata kluczowym czynnikiem ryzyka jest przywra krwi (Schistosoma haematobium)[5].

Do czynników ryzyka rozwoju raka pęcherza moczowego należą[5]:

  • palenie tytoniu
  • zawodowe narażenie na aminy aromatyczne i wielopierścieniowe węglowodory aromatyczne
  • zarażenie Schistosoma haematobium
  • czynniki dietetyczne
  • zanieczyszczenie wody pitnej arsenem
  • przewlekłe zakażenie układu moczowego
  • chemioterapia z zastosowaniem cyklofosfamidu lub ifosfamidu
  • radioterapia na obszar miednicy
  • rak pęcherza moczowego u krewnego I stopnia.

Palenie tytoniu

Palenie tytoniu jest najważniejszym czynnikiem ryzyka wystąpienia raka pęcherza moczowego[7][10][11]. Ocenia się, że około 50% wszystkich raków pęcherza moczowego wiąże się z paleniem tytoniu[12][13][7]. Duże metaanalizy wykazały, że palenie tytoniu trzykrotnie zwiększa ryzyko wystąpienia tego nowotworu w porównaniu do osób, które nie palą[13][14][11][7]. Ryzyko rośnie zarówno wraz z ilością wypalanych papierosów, jak i z długością trwania nałogu[7][15][11][16]. Palenie papierosów wiąże się z większym ryzykiem niż palenie cygar czy fajek[17][7]. Mechanizm prowadzący do raka związanego z paleniem tytoniu nie jest całkowicie poznany, prawdopodobnie wiąże się z wdychaniem 2-naftyloaminy i 4-aminobifenylu[7].

Narażenie zawodowe

Ocenia się, że blisko 20% przypadków raka pęcherza moczowego jest związanych z zawodowym narażeniem na substancje rakotwórcze, przede wszystkim aminy aromatyczne i wielopierścieniowe węglowodory aromatyczne (2-naftyloamina, 4-aminobifenyl i benzydyna)[7][10]. Zatem jest to drugi, po paleniu tytoniu, najważniejszy czynnik ryzyka rozwoju tego nowotworu[5][10]. Zwiększone ryzyko związane z ekspozycją jest obserwowane u mężczyzn, podczas gdy u kobiet nie zaobserwowano istotnej statystycznie asocjacji[5][18][19]. Narażenie dotyczy głównie pracowników przemysłu chemicznego, gumowego, wytwarzania i przetwórstwa farb, barwników i produktów ropopochodnych[5]. Jednak ze względu na świadomość zagrożenia i znaczną poprawę norm bezpieczeństwa struktura narażenia zawodowego uległa znacznemu przeobrażeniu[5]. Badania zwracają uwagę na zwiększone ryzyko rozwoju raka u operatorów maszyn, kierowców autobusów i ciężarówek, mechaników, górników, drukarzy, fryzjerów i pracowników przemysłu skórzanego[20][18].

Schistosomatoza

Jaja Schistosoma haematobium w błonie śluzowej pęcherza moczowego

Przywra krwi (Schistosoma haematobium) jest pasożytem występującym w Afryce Subsaharyjskiej i Bliskim Wschodzie, jej obecność jest związana ze zwiększonym ryzykiem raka płaskonabłonkowego pęcherza moczowego[1]. W cyklu życiowym przywry dochodzi do przebijania błony śluzowej pęcherza moczowego przez jaja pasożyta. Pasożyt stymuluje rozwój odpowiedzi zapalnej oraz procesów regeneracyjnych, a ostatecznie prowadzi do metaplazji błony śluzowej pęcherza moczowego[21]. Ponadto przywry sprzyjają przemianom azotanów i azotynów w rakotwórcze nitrozoaminy[22][23].

Endemiczne występowanie Schistosoma haematobium jest ściśle związane ze zwiększonym ryzykiem tego raka[24]. W regionach endemicznego występowania pasożyta rak pęcherza moczowego jest dominującym nowotworem złośliwym u ludzi. Przykładowo w Egipcie rak pęcherza moczowego łącznie stanowi ponad 30% nowotworów złośliwych, u mężczyzn jest najczęstszym nowotworem złośliwym, a u kobiet drugim po raku piersi[24][22]. W regionach endemicznego występowania przywry krwi dominującym typem histologicznym raka pęcherza moczowego jest rak płaskonabłonkowy, a nie rak urotelialny (przejściowokomórkowy)[24].

Czynniki dietetyczne

Metabolity wielu pokarmów są wydalane poprzez układ moczowy, dlatego sugeruje się, że czynniki dietetyczne mogą wpływać na ryzyko rozwoju raka pęcherza moczowego[25].

W niektórych badaniach sugerowano, że spożycie czerwonego mięsa zwiększa ryzyko raka pęcherza moczowego[5]. Jednak duża metaanaliza wykazała, że spożycie czerwonego mięsa nie jest skorelowane ze zwiększonym ryzykiem raka pęcherza, przy czym zwiększone spożycie wysoko przetworzonego mięsa zwiększa ryzyko rozwoju tego raka[26][27][5]. Efekt może wynikać z obróbki mechanicznej lub chemicznej mięsa, jedną z hipotez jest reakcja azotynów stosowanych jako środek konserwujący z drugorzędowymi aminami białek, tworząca rakotwórcze nitrozoaminy[28][25].

Sugeruje się ochronne działanie spożycia warzyw i owoców. Zmniejszenie ryzyka rozwoju raka pęcherza moczowego może wynikać z obecnych w tych produktach substancji o właściwościach przeciwutleniających i ich wpływie na hamowanie utleniania DNA, kontrolowanie proliferacji komórek i apoptozy[25]. Jednak wyniki badań są niespójne i autorzy prac przeglądowych zwracają uwagę na niewielki stopień dowodów wspierających protekcyjne działanie warzyw i owoców[27][29][30]. Za korzystnym efektem spożycia warzyw i owoców przemawiają wyniki kilku badań i metaanaliz[31][32][33][34], a z drugiej strony opublikowano prace nie potwierdzające takiego efektu[35][36].

Zanieczyszczenie środowiska

Zanieczyszczenie wody pitnej związkami arsenu jest istotnym czynnikiem ryzyka rozwoju raka pęcherza moczowego[5][37]. W niektórych krajach jak Indie, Bangladesz czy Chiny arsen występuje w wodzie gruntowej i glebie w stosunkowo wysokich stężeniach[7]. W metaanalizie ośmiu badań opisano 2,7-krotne zwiększenie ryzyka rozwoju przy bardzo niskich stężeniach arsenu w wodzie pitnej (10 μg/l)[38]. Innymi źródłami arsenu może być dym tytoniowy, zanieczyszczenie powietrza i narażenie zawodowe[5].

Chlorowanie wody jest często stosowaną metodą uzdatniania wody. Jednak chlor może reagować z niektórymi związkami organicznymi ostatecznie prowadząc do wytworzenia trihalometanów, chloronitrometanów i hidroksafuranów[37]. Wyniki niektórych badań sugerują, że długotrwałe spożywanie chlorowanej wody u mężczyzn może przyczyniać się do rozwoju choroby[39][40][25].

Choroby układu moczowego

Istnieje silna korelacja pomiędzy przewlekłymi infekcjami układu moczowego a ryzykiem raka płaskonabłonkowego pęcherza moczowego[41][42][37]. Jednak związek przewlekłych infekcji z rakiem przejściowokomórkowym jest mniej jasny[42]. W wielu retrospektywnych analizach zaobserwowano zwiększone ryzyko raka pęcherza moczowego u chorych z nawrotowymi zakażeniami układu moczowego[42][41][43][44][45]. Możliwe, że infekcje układu moczowego mogą wykazywać synergistyczne działanie z innymi czynnikami ryzyka rozwoju raka[46][41][41]. Z drugiej strony u części chorych nawracające infekcje układu moczowego nie są przyczyną, a raczej następstwem raka pęcherza moczowego i poprzedzają jego rozpoznanie[41][47].

Czynniki jatrogenne

Dawniej stosowana jako lek przeciwbólowy fenacetyna (obecnie niestosowana z powodu wywoływania nefropatii) wiąże się ze zwiększeniem ryzyka rozwoju raka pęcherza moczowego[37]. Stosowane w chemioterapii nowotworów, a także w immunosupresji, cyklofosfamid oraz ifosfamid są związane z krwotocznym zapaleniem pęcherza moczowego i zwiększają ryzyko rozwoju raka pęcherza moczowego jako nowotworu drugorzędnego[37]. Podobnie radioterapia obejmująca obszar miednicy wiąże się ze zwiększonym ryzykiem raka pęcherza moczowego[37][1].

Czynniki genetyczne

Ocenia się, że około 7% przypadków raka pęcherza moczowego w krajach zachodnich jest związanych z czynnikami genetycznymi[48][25]. U krewnych pierwszego stopnia chorych na raka pęcherza moczowego obserwuje się zwiększone ryzyko rozwoju choroby[10][49][50][51][5]. Do genetycznych czynników wpływających na ryzyko rozwoju raka pęcherza moczowego należą genotypy T1 i M1 transferazy glutationowej (GST) oraz „wolny” fenotyp N-acetylotransferazy 2 kodowanej przez gen NAT2[4][5][52]. Polimorfizm tych enzymów prawdopodobnie samodzielnie nie prowadzi do nowotworu, jednak może zwiększać podatność na działanie substancji rakotwórczych[5].

Zapobieganie

Profilaktyka pierwotna obejmuje zwalczanie czynników ryzyka choroby. Zaleca się nie palenie tytoniu, a u osób palących zaprzestania palenia[53]. Większość czynników ryzyka raka pęcherza moczowego również ma znaczenie w innych chorobach nowotworowych i chorobach sercowo-naczyniowych, dlatego ich kontrola ma wpływ również na te choroby[25].

Zaprzestanie palenia po roku pozwala obniżyć ryzyko zachorowania aż o 30%, a po 25 latach od zaprzestania palenia ryzyko spada o 60%, jednak nadal jest ono wyższe od ryzyka populacyjnego[54][15]. Zaleca się dietę bogatą w warzywa i owoce z niską ilością wysoko przetworzonego mięsa[25]. W przypadku zawodowego narażenia na karcynogeny związane z rakiem pęcherza moczowego konieczne jest przestrzeganie zasad bezpieczeństwa pracy z takimi środkami[54]. W krajach wysokorozwiniętych zmniejszenie zawodowej ekspozycji na aminy aromatyczne doprowadziło do zmniejszenia zapadalności na ten nowotwór[25][55].

Profilaktyka wtórna obejmuje wczesne rozpoznawanie zmian przednowotworowych na podstawie badań przesiewowych. Jednak badania przesiewowe nie znalazły zastosowania w profilaktyce raka pęcherza moczowego[56]. Nie ma wystarczających dowodów, aby wykazać, że badania przesiewowe zmniejszają śmiertelność związaną z chorobą. Ponadto nie można wskazać odpowiedniej metody badań przesiewowych i jednoznacznie określić populacji odnoszącej korzyści z takiego badania przesiewowego[57][58].

Objawy

Bezbolesny krwiomocz jest głównym objawem raka pęcherza moczowego

Około 80% nowo wykrytych raków pęcherza moczowego stanowią guzy ograniczone do śluzówki i warstwy podśluzowej (Ta, Tis, T1)[59]. Najczęstszym objawem choroby jest bezbolesny, przerywany krwiomocz (hematuria), który jest stwierdzany u 75% chorych[60][59]. Krwiomocz zwykle występuje przez cały okres mikcji, rzadziej gdy pochodzi on z szyi lub trójkąta pęcherza moczowego pojawia się na końcu oddawania moczu, a gdy pochodzi z cewki moczowej występuje na jej początku[61]. U większości chorych występuje wykrywany w badaniach laboratoryjnych krwinkomocz[62]. Możliwe jest występowanie skrzepów w moczu[62]. Skrzepy z pęcherza moczowego często są nieforemnego, nieregularnego kształtu, podczas gdy te z górnej części układu moczowego mogą przyjmować podłużny kształt[61]. Ocenia się, że u około 20% chorych z krwiomoczem zostaje rozpoznany rak pęcherza moczowego[60][59]. U części chorych, szczególnie z rakiem in situ czy zajmującym trójkąt pęcherza moczowego, mogą występować objawy dyzuryczne obejmujące bolesne oddawanie moczu, pieczenie w cewce moczowej, konieczność częstego oddawania moczu i uczucie nagłego lub stałego parcia na mocz[60].

Późnej fazie choroby mogą towarzyszyć bóle w podbrzuszu, uczucie ciśnienia i dyskomfortu w miednicy, częstomocz, bolesne parcie na mocz, zatrzymanie moczu, ból okolicy lędźwiowej związany z utrudnieniem odpływu moczu z nerek[61][62]. Naciek miednicy lub zajęcie węzłów chłonnych może być przyczyną obrzęku i bólu kończyn dolnych[63][64]. W rozsianej chorobie mogą występować utrata masy ciała, osłabienie i utrata apetytu[61].

W badaniu fizykalnym nowotwór rzadko daje objawy. W zaawansowanej chorobie w badaniu palpacyjnym może być wyczuwalny guz w jamie brzusznej. W badaniu przez odbyt (per rectum) bywa wyczuwalna powiększona przez naciek nowotworowy prostata, a także pogrubienie, stwardnienie lub fiksacja narządu z innymi strukturami. U kobiet w badaniu ginekologicznym dwuręcznym może zostać wykryty guz w miednicy lub naciek pochwy. W zaawansowanej chorobie bywają obecne wyczuwalne węzły chłonne pachwinowe, a rzadziej okolicy pępkowej[61].

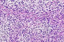
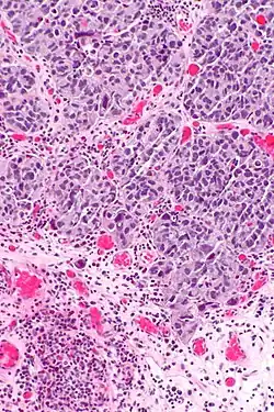
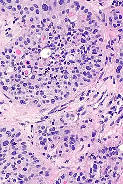
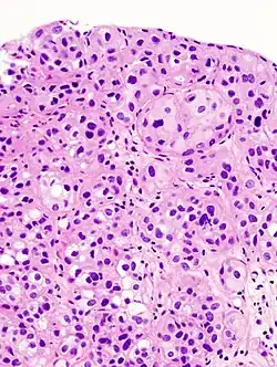
Histopatologia

Rak urotelialny pęcherza moczowego, widoczne gniazda komórek nowotworowych
Rak urotelialny pęcherza moczowego
Inwazja warstwy mięśniowej raka urotelialnego

Ponad 90% przypadków raka pęcherza moczowego u ludzi stanowi rak urotelialny[65][66][67]. Rzadziej spotyka się rak płaskonabłonkowy dotyczący poniżej 5% przypadków tej choroby oraz gruczolakorak (rak gruczołowy) występujący u poniżej 2% chorych[67]. Preferuje się stosowanie terminu rak urotelialny zamiast rak przejściowokomórkowy[68]. Nowotwory pęcherza moczowego mogą wykazywać się brodawkowatym lub płaskim oraz nieinwazyjnym albo inwazyjnym typem wzrostu[69]. Około 75% raków pęcherza moczowego w momencie rozpoznania jest nieinwazyjna, czyli nie nacieka błony mięśniowej pęcherza moczowego (stadia Ta i T1 w klasyfikacji TNM), a pozostała część wykazuje inwazyjny typ wzrostu i wymaga odmiennego postępowania[70][71].

Nabłonkowe nowotwory pęcherza moczowego w klasyfikacji WHO z 2004 roku[72][73]:

  • Nowotwory urotelialne (przejściowokomórkowe):
    • Rak urotelialny (przejściowokomórkowy):
      • rak urotelialny (przejściowokomórkowy), BNO (urothelial [transitional] cell carcinoma, NOS, ICD-O 8120/3),
      • rak urotelialny z rozbieżnym zróżnicowaniem (infiltrating urothelial carcinoma with divergent differentiation),
      • rak urotelialny z gniazdami (nested variant urothelial carcinoma),
      • rak urotelialny mikrobrodawczakowaty (micropapillary urothelial carcinoma),
      • rak drobnotorbielowaty (microcystic urothelial carcinoma),
      • rak mięsakowaty (mięsakowy) (sarcomatoid urothelial carcinoma),
      • rak typu nabłoniaka limfatycznego (lymphoepithelioma-like carcinoma),
      • rak olbrzymiokomórkowy (giant cell carcinoma urothelial carcinoma),
      • lipid rich urothelial carcinoma,
      • clear cell urothelial carcinoma,
      • plasmacytoid/signet ring cell/diffuse urothelial carcinoma,
      • rak urotelialny nisko zróżnicowany (poorly differentiated urothelial carcinoma),
    • Nieinwazyjne nowotwory urotelialne (przejściowokomórkowe):
      • płaskie zmiany nieinwazyjne:
        • atypia o znaczeniu nieznanym (atypia of unknown significance, AUS),
        • dysplazja nabłonka przejściowego (urothelial dysplasia, UD),
        • rak przejściowonabłonkowy in situ (carcinoma in situ, CIS, ICD-O 8120/2),
      • brodawczakowate zmiany nieinwazyjne:
        • brodawczak przejściowonabłonkowy (urothelial papilloma, UP, ICD-O 8120/0),
        • brodawczak odwrócony (inverted papilloma, IP, ICD-O 8121/0),
        • nowotwór przejściowonabłonkowy o małym potencjale złośliwości (papillary urothelial neoplasm of low malignant potential, PUNLMP, ICD-O 8130/1),
        • brodawczakowaty nieinwazyjny rak przejściowonabłonkowy o małym stopniu złośliwości (non-invasive papillary urothelial carcinoma low-grade, LGPUC, ICD-O 8130/2),
        • brodawczakowaty nieinwazyjny rak przejściowonabłonkowy o dużym stopniu złośliwości (non-invasive papillary urothelial carcinoma high-grade, HGPUC, ICD-O 8130/2),
  • Nowotwory płaskonabłonkowe:
    • rak płaskonabłonkowy (squamous cell carcinoma, ICD-O 8070/3),
    • rak brodawkowaty (verrucous carcinoma, ICD-O 8051/3),
    • brodawczak płaskonabłonkowy (squamous cell papilloma, ICD-O 8052/0),
  • Nowotwory gruczołowe:
    • gruczolakorak (adenocarcinoma, ICD-O 8140/3),
    • gruczolak kosmkowy (villous adenoma, ICD-O 8261/0),
  • Rak moczownika (urachal carcinoma, ICD-O 8010/3),
  • Nowotwory neuroendokrynne:
    • rak drobnokomórkowy neuroendokrynny (small cell neuroendocrine carcinoma, ICD-O 8041/3),
    • rak neuroendokrynny wielkokomórkowy (large cell neuroendocrine carcinoma, ICD-O 8013/3),
    • rakowiak (carcinoid, ICD-O 8240/3),
    • przyzwojak (paraganglioma, ICD-O 8693/1).

Klasyfikacja WHO z 2004 roku zlikwidowała trójstopniowy podział na stopnie zróżnicowania (stopnie złośliwości) raka (od G1 do G3) wprowadzając pojęcia raka o niskiej złośliwości (low grade) oraz o wysokiej złośliwości (high grade). Wprowadzono nową kategorię rozpoznań: nowotwór przejściowonabłonkowy o małym potencjale złośliwości (papillary urothelial neoplasm of low malignant potential, PUNLMP), do której zaliczono część nowotworów G1[68].

Inwazyjny rak urotelialny

Rak urotelialny pęcherza moczowego

Inwazyjny (naciekający) rak urotelialny jest definiowany jako obecność inwazji nowotworowej poniżej błony podstawnej urotelium[74]. Makroskopowo inwazyjne nowotwory urotelialne mogą przyjmować formę brodawkowatą, polipowatą, guzkową, litą, tworzyć rozlany naciek ściany pęcherza moczowego. Zmiany mogą występować pojedynczo lub wieloogniskowo[75]. Typowo większość guzów pT1 jest brodawczakowata o niskim lub wysokim stopniu złośliwości histologicznej, z kolei guzy o większym zaawansowaniu pT2–T4 wykazują morfologię niebrodawczakowatą i cechują się wysokim stopniem złośliwości[76][77].

Mikroskopowo w utkaniu obecne są komórki tworzące gniazda, sznury komórek lub pojedyncze komórki pooddzielane desmoplastycznym podścieliskiem[76][78]. Możliwy jest bardziej rozlany wzór wzrostu nowotworu, w którym komórki tworzą arkusze, przy czym również w takim utkaniu spotyka się ogniskowo występujące gniazda komórek[78]. Komórki cechują się umiarkowaną do obfitej ilością amfofilnej lub eozynofilnej cytoplazmy i dużym hiperchromatycznym jądrem komórkowym. Jądra komórkowe wykazują znaczną pleomorficzność, nieregularne, kanciaste granice. Liczba i wygląd jąderek wykazuje znaczną zmienność. Gniazda komórek nowotworowych zwykle indukują reakcję desmoplastyczną podścieliska. Obecne są liczne figury mitotyczne i możliwa jest obecność nieprawidłowych figur mitotycznych. W podścielisku większości guzów jest obecny naciek limfocytów i komórek plazmatycznych, naciek najczęściej jest wyrażony ogniskowo od łagodnego do umiarkowanego stopnia, ale może być nasilony i rozlany[76][78]. Może być widoczna inwazja naczyń[78].

Kluczowym elementem wpływającym na rokowanie jest głębokość nacieku nowotworowego. Początkowo inwazja blaszki mięśniowej właściwej może przebiegać jako obecność pojedynczych komórek, klastry lub gniazda komórek w górnych warstwach blaszki mięśniowej właściwej, zwykle skojarzonej z infiltracją komórek zapalnych[79]. W późniejszych etapach inwazji obecne są klastry lub rozlane arkusze komórek nowotworowych w obrębie blaszki mięśniowej właściwej[79].

Rak urotelialny wykazuje skłonność do rozbieżnego różnicowania, czego konsekwencją jest obecność bardzo licznych wariantów tego nowotworu[76][80]. Niektóre warianty raka urotelialnego wiążą się z odmiennym rokowaniem[80][81].

Rak urotelialny z rozbieżnym zróżnicowaniem (urothelial carcinoma with divergent differentiation)

Ocenia się, że około 20–30% raków urotelialnych wykazuje obecność współistniejących obszarów o odmiennym kierunku różnicowania, najczęściej w kierunku raka płaskonabłonkowego lub gruczołowego[72][80].

Rak urotelialny z różnicowaniem płaskonabłonkowym jest definiowany jako obecność mostków międzykomórkowych lub keratynizacji. Rozpoznanie raka płaskonabłonkowego jest zarezerwowane dla „czystego” utkania raka płaskonabłonkowego. Postać występuje w około 20% przypadków raków urotelialnych pęcherza moczowego[82][66].

Rak urotelialny z różnicowaniem gruczołowym jest definiowany jako obecność prawdziwych przestrzeni gruczołowych pośród utkania guza. Ocenia się, że około 6% raków urotelialnych pęcherza moczowego wykazuje różnicowanie gruczołowe. Rozpoznanie gruczolakoraka jest zarezerwowane dla „czystego” utkania gruczolakoraka[82][66].

Rak urotelialny z olbrzymimi komórkami trofoblastycznymi jest rzadką odmianą raka urotelialnego wykazującą ekspresję gonadotropiny kosmówkowej (HCG) w badaniu immunohistochemicznym bez rozpoznawalnego trofoblastu lub cechujący się obecnością rozproszonego syncytiotrofoblastu[83][84]. Bardzo rzadko obserwuje się różnicowanie w kierunku kosmówczaka[84].

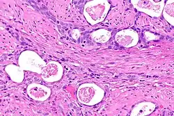
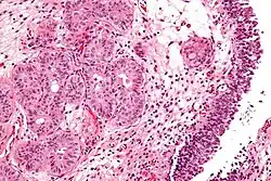
Rak urotelialny z gniazdami (nested variant of urothelial carcinoma)
Rak urotelialny z gniazdami

Jest to bardzo rzadki wariant raka urotelialnego[85]. Cechuje się pozornie łagodnym utkaniem przypominającym gniazda Brunna, które naciekają blaszkę mięśniową właściwą[86]. Komórki mogą wykazywać cechy łagodnej atypii lub nie wykazują jej cech, jednak obecne są ogniska z ewidentnymi komórkami nowotworowymi z powiększonym jądrem komórkowym i pogrubiałą chromatyną[86].

Rak urotelialny mikrobrodawczakowaty (micropapillary variant of urothelial carcinoma)
Rak urotelialny mikrobrodawczakowaty

Jest to bardzo rzadki wariant raka urotelialnego. Cechuje się obecnością delikatnych nitkowatych brodawek znajdujących się na powierzchni guza często zawierających w swoim rdzeniu naczynia, albo obecnością niewielkich gniazd komórek tworzących brodawki. Komórki zawierają obfitą ilość eozynofilnej lub jasnej cytoplazmy, wykazują jądra z wyraźnymi jąderkami, liczba figur mitotycznych waha się od kilku do wielu[87][86].

Rak urotelialny drobnotorbielowaty (microcystic urothelial carcinoma)
Rak urotelialny drobnotorbielowaty

Jest to bardzo rzadki wariant raka urotelialnego cechujący się obecnością okrągłych lub owalnych torbieli wielkości 1–2 mm w obrębie gniazd komórek raka urotelialnego. Cysty mogą być wyścielone urotelium i mogą wykazywać różnicowanie gruczołowe[88][84].

Rak urotelialny mięsakowaty (sarcomatoid urothelial carcinoma)
Rak utotelialny mięsakowaty

Jest to nowotwór dwufazowy wykazujący morfologiczne lub immunohistochemiczne cechy różnicowania nabłonkowego i mezenchymalnego. Mikroskopowo część nabłonkową może tworzyć komponent urotelialny, gruczołowy lub drobnokomórkowy o różnym stopniu złośliwości, z kolei część mezenchymalną może tworzyć utkanie niezróżnicowanego nowotworu o wysokim stopniu złośliwości z komórkami wrzecionowatymi. W badaniu immunohistochemicznym komponent nabłonkowy daje dodatnią reakcję dla cytokeratyn, podczas gdy komponent mezenchymalny daje pozytywną reakcję dla wimentyny i innych markerów różnicowania mezenchymalnego[83].

Rak urotelialny typu nabłoniaka limfatycznego (lymphoepithelioma-like urothelial carcinoma)
Rak typu nabłoniaka limfatycznego

Jest to rzadka odmiana przypominająca nabłoniak limfatyczny (lymphoepithelioma) jamy nosowej. Utkanie guza tworzą gniazda, arkusze lub sznury komórek z dużymi pleomorficznymi jądrami i wyraźnymi jąderkami, granice komórek są słabo widoczne. W podścielisku widoczne są limfocyty B i T, komórki plazmatyczne i histiocyty, okazjonalnie również neutrofile i eozynofile[89][90].

Rak urotelialny olbrzymiokomórkowy (giant cell urothelial carcinoma)

Jest to rzadka odmiana cechująca się dominującą w utkaniu obecnością słabo zróżnicowanych olbrzymich pleomorficznych komórek z eozynofilną lub amfofilną cytoplazmą i kilkoma jądrami komórkowymi przypominających raka olbrzymiokomórkowego płuca[84][83].

Clear cell urothelial carcinoma

Wariant raka urotelialnego jest definiowany przez obecność komórek bogatych w glikogen o jasnej lub eozynofilnej cytoplazmie. Zwykle utkanie guza jest mieszaniną różnych jego wzorów morfologicznych[91][84].

Lipid rich urothelial carcinoma

Jest to bardzo rzadki wariant cechujący się obecnością dużych komórek z licznymi wakuolami przypominających lipoblasty, mogą zawierać komponent wykazujący różnicowanie w kierunku raka sygnetowatokomórkowego[84].

Plasmacytoid/signet ring cell urothelial carcinoma

Jest to rzadki wariant cechujący się obecnością jednojądrzastych komórek przypominających limfocyty lub plazmocyty[72]. Komórki posiadają jasną lub eozynofilną cytoplazmę i powiększone, hiperchromatyczne jądro komórkowe z małym jąderkiem[83]. W utkaniu bardzo często w różnym stosunku jest obecny komponent składający się z komórek posiadających wakuole, które nadają im wygląd komórek sygnetowatych[72].

Rak urotelialny niezróżnicowany (undifferentiated urothelial carcinoma)

Jest to kategoria obejmująca nowotwory, których nie można sklasyfikować do innych grup[91]. W utkaniu występują pasma lub izolowane pojedyncze niezróżnicowane komórki[92].

Nieinwazyjne nowotwory urotelialne

Brodawczakowaty nowotwór urotelialny o niskim potencjale złośliwości

Brodawczakowaty nowotwór urotelialny o niskim potencjale złośliwości

Brodawczakowaty nowotwór urotelialny o niskim potencjale złośliwości (papilary urothelial neoplasm of low malignant potentialPUNLMP) jest to nieinwazyjny nowotwór przypominający egzofitycznego brodawczaka, ale o zwiększonej proliferacji komórek powodującej pogrubienie urotelium[93][73][94].

Typowo guz wyrasta na tylnej lub bocznej ścianie pęcherza moczowego, cechuje się możliwością nawrotu, którego ryzyko jest jednak zdecydowanie niższe w porównaniu do innych nieinwazyjnych raków urotelialnych[93]. Nawroty obserwuje się u 25–50% chorych[95]. Jest możliwa progresja guza, ale jest ona rzadka[95].

Nowotwór nie wykazuje cytologicznych cech nowotworu złośliwego, nie występują zaburzenia architektury nabłonka, atypia jądrowa nie występuje lub jest tylko minimalnie zaznaczona[96]. Utkanie guza jest uporządkowane, monotonne, tworzące je komórki są podobne do siebie[96]. Obecne są cienkie brodawki, które są wyścielone wielowarstwowym urotelium[93]. Jądra komórkowe są prawidłowe lub nieznacznie powiększone, jednolite, bez rozproszonej hiperchormazji[96]. Widoczna jest nieco zwiększona komórkowość guza[93].

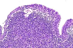
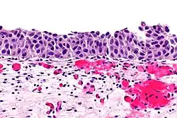
Rak urotelialny in situ

Rak urotelialny in situ

Jest to niebrodawkowata zmiana, w której stwierdza się nabłonek wykazujący cytologiczne cechy złośliwości[97][98]. Atypia może nie obejmować całej grubości nabłonka, zmiany mogą być obecne wyłącznie w warstwie podstawnej lub pokrywać nabłonek o prawidłowym wyglądzie[97]. Rak in situ często jest wieloogniskowy i może być rozproszony. Zmiany mogą występować synchronicznie lub pojawiać się metachronicznie[97].

Nowotwór zwykle pojawia się w piątej i szóstej dekadzie życia[97]. Makroskopowo rak in situ jest płaską zmianą, błona śluzowa może wykazywać zaczerwienienie lub obrzęk, jednak makroskopowo może pozostać niezmieniona[97][99]. Zmiany pojawiają się przede wszystkim w obrębie pęcherza moczowego, jednak u części chorych nowotwór jest obecny w zakresie końcowego odcinka moczowodów oraz prostacie[97].

W obrazie mikroskopowym występuje anaplazja jądrowa porównywalna z rakiem urotelialnym o wysokim stopniu złośliwości, jądra komórkowe są wyraźnie powiększone, hiperchromatyczne, chromatyna jest gruba, mogą być obecne duże jąderka[97][98]. Obserwuje się utratę polarności komórek z nieregularnym stłoczeniem jąder komórkowych. Cytoplazma jest eozynofilna lub amfofilna[97]. Mitozy są częste, mogą być obecne w każdej warstwie urotelium i sięgać górnych warstw urotelium[97][99].

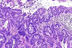
Brodawczakowaty nieinwazyjny rak urotelialny o małym stopniu złośliwości

Brodawczakowaty nieinwazyjny rak urotelialny o małym stopniu złośliwości

Brodawczakowaty nieinwazyjny rak urotelialny o małym stopniu złośliwości (non-invasive papillary urothelial carcinoma low grade, LGPUC) jest nowotworem urotelialnym o uporządkowanym wzorze utkania, lecz z widocznymi zaburzeniami cytologicznymi i architektonicznymi[100]. Guz zwykle jest obecny w obrębie tylnej i bocznej ściany, często w pobliżu ujść moczowodów, w 80% przypadków stwierdza się pojedynczą zmianę, jednak w 20% guzy są mnogie[100]. Ryzyko nawrotu wynosi 50–70%, u około 10% chorych dochodzi do progresji choroby[101][102].

Występujące w utkaniu brodawki są smukłe i rozgałęzione, możliwe są fuzje sąsiednich brodawek[100]. Jądra komórkowe są nieznacznie powiększone, zmiany w wielkości, kształcie i wzorcu chromatyny, a także polarności jądra są minimalne, obecne są niewielkie jąderka[96][102]. Figury mitotyczne mogą być obecne, ale znajduje się je głównie w dolnej połowie urotelium[96].

Brodawczakowaty nieinwazyjny rak urotelialny o dużym stopniu złośliwości

Brodawczakowaty nieinwazyjny rak urotelialny o dużym stopniu złośliwości

Brodawczakowaty nieinwazyjny rak urotelialny o dużym stopniu złośliwości (non-invasive papillary urothelial carcinoma high grade, HGPUC) jest nowotworem urotelialnym cechującym się nieuporządkowanym utkaniem z wyraźnymi zaburzeniami cytologicznymi i architektonicznymi[101]. Guzy są pojedyncze lub mnogie[101], makroskopowo mogą być to zmiany brodawkowate lub guzkowe[101]. Grubość urotelium może się znacznie różnić[103].

Brodawki są rozgałęzione, często ulegają fuzji, przez co mogą formować litą masę[104]. Jądra wykazują pleomorfizm, z umiarkowaną do wyraźnej zmiennością wielkości jąder komórkowych, obecna jest gęsta, nieregularna, kłaczkowata chromatyna[104][96]. Polarność jąder komórkowych jest zaburzona[103]. Widoczne są wyraźne jąderka[104]. Mitozy są częste, są obecne w całej grubości urotelium i możliwa jest obecność atypowych mitoz[104].

Rak płaskonabłonkowy

Jest to nowotwór wykazujący czyste utkanie płaskonabłonkowe i rozpoznanie komponentu raka urotelialnego (przejściowokomórkowego) wyklucza rozpoznanie[105]. Nowotwór jest związany z wieloletnim, przewlekłym zapaleniem pęcherza moczowego[67]. Pod względem rozpowszechnienia jest to drugi, po raku urotelialnym, najczęściej rozpoznawany typ histopatologiczny raka pęcherza moczowego u ludzi[67]. Jednak ocenia się, że stanowi jedynie 3–5% nowotworów złośliwych pęcherza moczowego, przy czym w regionach endemicznego występowania przywry krwi (Schistosoma haematobium) jest to dominujący podtyp histologiczny, który w tych regionach może stanowić do 60–75% przypadków raka pęcherza moczowego[70][66]. Najczęściej jest rozpoznawany w siódmej dekadzie życia[106]. Często jest związany ze znacznym zaawansowaniem miejscowym choroby, w mniejszym stopniu niż rak urotelialny wiąże się z przerzutami odległymi, rozsiew jest obserwowany u około 10% chorych[106][67].

Makroskopowo nowotwór tworzy masywną, polipowatą litą masę, która nierzadko wypełnia całe światło pęcherza moczowego. Rzadziej zmiany mogą być płaskie, naciekające z owrzodzeniem[105]. Mikroskopowo rak płaskonabłonkowy pęcherza moczowego wykazuje spektrum zmian o różnym stopniu zróżnicowania od wysoko zróżnicowanych (mały stopień złośliwości histologicznej) do nisko zróżnicowanych (wysoki stopień złośliwości histologicznej). W zmianach o wysokim zróżnicowaniu występuje keratynizacja, mostki międzykomórkowe i niewielki pleomorfizm jądrowy, z kolei w zmianach o niskim stopniu zróżnicowania obserwuje się znaczny pleomorfizm jąder komórkowych i jedynie ogniskowe dowody na różnicowanie w kierunku raka płaskonabłonkowego[107].

Rak gruczołowy

Gruczolakorak pęcherza moczowego

Rak gruczołowy stanowi 0,5–2% nowotworów złośliwych pęcherza moczowego[108]. Zatem pod względem częstości jest to trzeci podtyp histologiczny raka pęcherza moczowego[109]. Najczęściej jest rozpoznawany w szóstej i siódmej dekadzie życia[109]. Typowe jest głębokie naciekanie, co wiąże się z zaawansowanymi stadiami choroby już w momencie rozpoznania[109].

Makroskopowo guz może być egzofityczny, siedzący, brodawkujący, naciekający lub powodować owrzodzenie[110]. Ze względu na wzory utkania wyróżnia się podtyp jelitowy, śluzowy, sygnetowatokomórkowy, hepatoidny („wątrobowopodobny”) i mieszany[109]. Podtyp jelitowy naśladuje utkanie gruczolakoraka jelita grubego. Podtyp śluzowy cechuje się obecnością dużych pól mucyny. Wariant sygnetowatokomórkowy cechuje się obecnością komórek sygnetowatych, które rozlanie naciekają ścianę narządu[109].

Przebieg naturalny choroby

Inwazyjny rak pęcherza moczowego, preparat po cystektomii

Rak urotelialny pęcherza moczowego nie jest jednorodną chorobą i charakteryzuje się zróżnicowaną historią naturalną[111][112]. W spektrum choroby mieszczą się zmiany o niskim stopniu złośliwości, niskim ryzyku progresji i najczęściej nie prowadzące do zagrożenia życia chorego oraz zmiany o wysokim stopniu złośliwości naciekające warstwę mięśniową, wysokim ryzyku wytworzenia przerzutów, które nieleczone powodują zgon chorego[111].

Około 50% przypadków raka pęcherza moczowego stanowią zmiany nieinwazyjne o niskim stopniu złośliwości[111]. Zmiany wykazują krótki okres przedkliniczny i szybko dają objawy w postaci krwiomoczu[111]. Nowotwory nieinwazyjne wykazują skłonność do nawrotów po przezcewkowej resekcji, a część z nich może ulec progresji do choroby inwazyjnej. Ryzyko nawrotu i progresji zależy od wielu czynników, w tym od liczby zmian, ich wielkości, kategorii zaawansowania T w skali TNM, stopnia złośliwości, obecności zmian in situ i wcześniejszego występowania nawrotów. Ocenia się, że do nawrotu dochodzi w 15–60% przypadków tego typu zmian[113][114]. Szacuje się, że w łącznie 10–25% nieinwazyjnych raków pęcherza moczowego dochodzi do progresji do choroby inwazyjnej, najczęściej po wcześniejszych kilku nawrotach[115]. Nienaciekające zmiany Ta mogą ulegać progresji do zmian T1 bez jednoczesnej progresji stopnia złośliwości, jednak progresja do guzów inwazyjnych T2 zwykle przebiega wraz z progresją do wysokiego stopnia złośliwości[111].

Około 20% raków pęcherza moczowego stanowią raki nieinwazyjne o wysokim stopniu złośliwości[114]. Są to zmiany płaskie lub uniesione. Cechują się bardziej agresywnym przebiegiem niż zmiany o niskim stopniu złośliwości i większość z nich bez leczenia ulega progresji do zmian naciekających mięśniówkę[114].

Około 25% przypadków raka pęcherza moczowego stanowią raki inwazyjne naciekające błonę mięśniową pęcherza moczowego. Nowotwory inwazyjne wykazują wysoką złośliwość histologiczną oraz agresywny przebieg kliniczny. Inwazja błony mięśniowej jest kluczowym zdarzeniem w historii naturalnej choroby, ponieważ dochodzi do znacznego zwiększenia ryzyka rozwoju przerzutów odległych. Rak pęcherza moczowego szerzy się drogą naczyń limfatycznych i krwionośnych[116]. Ryzyko rozwoju przerzutów rośnie wraz z zaawansowaniem choroby. Ocenia się, że przerzuty w lokalnych węzłach chłonnych pojawiają się u 30% chorych z nowotworem naciekającym ścianę pęcherza moczowego i u 50–60% z naciekiem pozapęcherzowym[117][118]. Przerzuty węzłowe mogą pojawiać się w węzłach przypęcherzowych przednich i bocznych, następnie w węzłach krzyżowych, przedkrzyżowych, zasłonowych, a w dalszej kolejności węzłach biodrowych wewnętrznych, biodrowych zewnętrznych, biodrowych wspólnych i okołoaortalnych[118]. Z kolei przerzuty odległe pojawiają się w płucach, wątrobie, kościach i otrzewnej[119][116]. Rzadziej przerzuty są rozpoznawane w skórze i innych narządach wewnętrznych[120]. U 30% przerzuty odległe pojawiają się bez obecności przerzutów w lokalnych węzłach chłonnych[120]. Stosunkowo wcześnie dochodzi do nacieku tkanek okołopęcherzowych. Naciek nowotworowy tkanek okołopęcherzowych może szerzyć się przez ciągłość lub bez zachowania ciągłości[121]. Dochodzi do nacieku okołopęcherzowej tkanki tłuszczowej, a następnie sąsiednich narządów, w tym prostaty, pęcherzyków nasiennych, macicy, pochwy, miednicy lub ściany jamy brzusznej[122][123].

Patogeneza

Rak urotelialny pęcherza moczowego faktycznie jest grupą chorób o odmiennym rokowaniu, w którym można wyróżnić dwa główne warianty o różnej historii naturalnej i rokowaniu: nowotwory o niskim stopniu złośliwości oraz o wysokim stopniu złośliwości. Raki o niskim stopniu złośliwości charakteryzują się dobrym zróżnicowaniem, możliwością leczenia za pomocą leczenia endoskopowego, choć w znacznym odsetku dochodzi do lokalnych nawrotów i u części chorych do progresji choroby. Raki o wysokim stopniu złośliwości początkowo przebiegają jako raki in situ, które następnie ulegają progresji do raka inwazyjnego (T2–T4), który może rozwijać przerzuty odległe[124][125]. Opisano dwa szlaki prowadzące do raka pęcherza moczowego, pierwszy szlak dotyczący około 70–80% guzów prowadzi do powstania nieinwazyjnych nowotworów o dobrym rokowaniu, z kolei drugi szlak skutkuje rozwojem raków inwazyjnych o agresywnym przebiegu[126].

Najczęstszą zmianą cytogenetyczną związaną z rakiem pęcherza moczowego niezależną od stopnia złośliwości i zaawansowania jest utrata chromosomu 9[126][127]. Guzy o niskim stopniu złośliwości cechują się mutacjami aktywującymi genu FGFR3 i genów z nadrodziny RAS, z kolei nowotwory o wysokiej złośliwości, jakimi generalnie są rak in situ i raki inwazyjne, wykazują obecność mutacji dezaktywujących geny supresorowe p53, p16 i RB[128][129]. Mutacja p53 prawie nigdy nie współwystępuje z mutacją genu FGFR3[126].

Szlak prowadzący do raka urotelialnego o niskiej złośliwości

Szlak RAS-RAF-MAPK, zaznaczony receptor EGF

Rak urotelialny o niskiej złośliwości jest następstwem deregulacji szlaków transdukcji prawidłowych sygnałów wzrostowych spowodowanej mutacjami genów kontrolujących go, a w konsekwencji dochodzi do stymulacji wzrostu i proliferacji komórek[124]. Najczęściej stwierdza się utratę chromosomu 9 i mutację punktową FGFR3[125].

Mutację aktywującą FGFR3 rozpoznaje się w ponad 70% guzów o niskiej złośliwości o zaawansowaniu Ta, ale tylko w 30% guzów o zaawansowaniu T2–T4[125], mutacja praktycznie nie występuje w rakach in situ[126]. Mutacje genu FGFR3 powodują powstawanie receptora, który jest konstytutywnie aktywowany niezależnie od obecności ligandu. Skutkuje to stałą aktywacją szlaku RAS-MAPK, a ostatecznie stymulacją wzrostu i proliferacji komórek[125][124]. Stała aktywacja FGFR3 powoduje również aktywację szlaku PI3K[124]. W 10–15% przypadków stwierdza się mutacje protoonkogenów z rodziny RAS: HRAS, KRAS i NRAS[125][124]. Mutacje RAS i FGFR3 są mutacjami wzajemnie się wykluczającymi, co jest związane z aktywacją tego samego szlaku[128][125]. Ostatecznie ponad 80% guzów o niskim stopniu złośliwości i guzów Ta wykazuje mutację FGFR albo RAS, co sugeruje, że aktywacja szlaku MAPK jest zdarzeniem koniecznym do powstania większości tych zmian[128].

Utrata heterozygotyczności (LOH) chromosomu 9 jest jednym z najwcześniejszych zdarzeń cytogenetycznych prowadzących do rozwoju raka pęcherza moczowego[124]. Utratę heterozygotyczności obserwuje się już w urotelium o jeszcze prawidłowym obrazie histologicznym, a także w zmianach nieinwazyjnych. Ponadto występuje w większej częstości niż mutacja FGFR3, co sugeruje, że utrata heterozygotyczności chromosomu 9 jest wydarzeniem wcześniejszym niż mutacja FGFR3[130]. W zakresie ramienia krótkiego chromosomu 9 (9p) dochodzi do utraty genu supresorowego CDKN2A kodującego białka p16 i p14ARF regulujących szlaki p53 i RB. Podejrzewa się, że znaczenie w patogenezie choroby ma utrata funkcji trzech genów o potencjalnej funkcji genów supresorowych: genu PTCH1, genu DBC1 oraz genu TSC1[125].

Istotną rolę może pełnić mutacja aktywująca jednostkę katalityczną kinazy PI3K (PIK3CA), co pozwala aktywować szlak PI3K[125]. U 20% chorych znajduje się utratę chromosomu 10p, 11p i Y[125].

Czasem w zmianach brodawkowatych o niskim stopniu złośliwości może dojść do progresji do raka inwazyjnego, co jest związane z akumulacją dodatkowych mutacji, przede wszystkim dotyczących szlaku p53[128].

Szlak prowadzący do raka urotelialnego o wysokiej złośliwości

Nowotwory o wysokiej złośliwości charakteryzują się obecnością licznych zmian cytogenetycznych. Szczególnie ważne są zmiany w obrębie genów supresorowych TP53 i RB pełniących rolę w kontroli cyklu komórkowego, które w przybliżeniu dotyczą odpowiednio 70% i 40% przypadków inwazyjnego raka pęcherza moczowego[125].

Białko p53 reguluje cykl komórkowy, wpływa na naprawę materiału genetycznego i apoptozę. p53 w przypadku rozpoznania uszkodzenia DNA promuje powstawanie białka p21, co ostatecznie prowadzi do zablokowania różnych genów i zatrzymania cyklu komórkowego. W raku pęcherza moczowego dochodzi do mutacji typu nonsensownego, mutacji prowadzących do utraty zdolności wiązania się z DNA lub powodujących dimeryzację białka p53 blokującą jego funkcję, a także może dochodzić do zaburzenia regulacji ekspresji p53 lub jego efektorów takich jak p21[124]. W konsekwencji utraty funkcji p53 dochodzi do oporności komórki nowotworowej na apoptozę, ciągłej proliferacji i akumulacji kolejnych zaburzeń genetycznych[131]. Mutacje wiążące się z utratą funkcji p53 są silnie związane z wysokim stopniem złośliwości, inwazyjnością nowotworu, wysokim ryzykiem nawrotu i niekorzystnym przebiegiem choroby[124].

Gen RB1 koduje białko o nazwie RB, które posiada zdolność hamowania cyklu komórkowego przez wiązanie czynnika E2F koniecznego do transkrypcji genów niezbędnych do progresji cyklu komórkowego. W raku pęcherza moczowego stwierdzono utratę funkcji białka RB, przez co dochodzi do niestabilności genetycznej związanej ze zwiększoną aktywnością czynnika E2F oraz zaburzoną aktywację Mad2 odpowiedzialnego za kontrolę wrzeciona podziałowego i segregacji chromosomów[124]. W konsekwencji niestabilności genetycznej i oporności na apoptozę dochodzi do nagromadzenia wielu kolejnych aberracji genetycznych[124].

Mutacja CDKN1A kodującego p21 uczestniczącego w szlaku p53 umożliwia kontynuowanie cyklu komórkowego pomimo sygnałów hamujących cykl[131]. W około 5% przypadków raka pęcherza moczowego stwierdza się mutację genu CDKN2A kodującego p16 i p14arf regulujące szlak p53 i RB, a ponadto p16 jest inhibitorem kinaz zależnych od cyklin cdk4 i cdk6 i utrata jego funkcji zwiększa prawdopodobieństwo progresji cyklu komórkowego[131]. Kolejną istotną zmianą w karcynogenezie raka pęcherza moczowego jest utrata heterozygotyczności 10q, gdzie jest położony gen PTEN regulujący szlak PI3K oraz pełniący funkcję genu supresorowego[125][128]. Nie jest jasne jakie konsekwencje dla fenotypu nowotworu mają zmiany w obrębie tego genu[125].

Rozpoznanie

Cystoskopia jest podstawową metodą diagnostyczną w diagnostyce raka pęcherza moczowego. Badanie umożliwia ocenę błony śluzowej pęcherza moczowego oraz w połączeniu z przezcewkową elektroresekcją guza pęcherza moczowego (TURBT) pobranie materiału tkankowego do dalszych badań[132][133]. Ostateczne rozpoznanie jest stawiane na podstawie badania histopatologicznego materiału uzyskanego podczas przezcewkowej elektroresekcji guza lub biopsji śluzówki podczas cystoskopii[134]. W celu oceny zaawansowania choroby wykonuje się badania obrazowe obejmujące tomografię komputerową lub rezonans magnetyczny miednicy i brzucha oraz tomografię komputerową lub zdjęcie rentgenowskie klatki piersiowej[135].

Cystoskopia

Diagram przedstawiający cystoskopię u mężczyzny i kobiety
Cystoskop

Cystoskopia jest podstawową metodą w diagnostyce raka pęcherza moczowego[132][136][137]. Badanie wykonuje się w celu uwidocznienia i wzrokowej oceny błony śluzowej pęcherza moczowego, szczególnie w okolicy trójkąta pęcherza moczowego, ujść moczowodów oraz cewki moczowej, a także celem pobrania materiału tkankowego do badania histopatologicznego[136][138][139]. W badaniu wykorzystuje się giętki lub sztywny cystoskop umieszczany w pęcherzu moczowym poprzez wprowadzenie go przez cewkę moczową, badanie wykonuje się podczas znieczulenia miejscowego lub znieczulenia ogólnego[136]. Do celów diagnostycznych najczęściej wykorzystuje się giętki cystoskop, który umożliwia bardziej komfortowe badanie na ogół niewymagające znieczulenia ogólnego, jednak metoda posiada pewne ograniczenia techniczne[132]. W przypadku rozpoznania guza pęcherza moczowego podczas cystoskopii, po wcześniejszym pobraniu wycinka do badania histopatologicznego, może być wykonana przezcewkowa resekcja guza w znieczuleniu ogólnym[139]. Jeśli guz pęcherza został wcześniej uwidoczniony w badaniach obrazowych, to odstępuje się od cystoskopii diagnostycznej na korzyść przezcewkowej elektroresekcji guza, podczas której również pobiera się materiał do badania histopatologicznego[140].

Ocenia się, że czułość i swoistość badania wynosi odpowiednio 62–84% i 43–98%, które są odpowiednio niższe w przypadku zmian bardzo drobnych i zmian typu raka in situ[132][141][137]. Podczas badania może być pobrany mocz do oceny cytologicznej[139]. W celu zwiększenia dokładności diagnostycznej cystoskopii z białym światłem proponuje się zastosowanie nowych odmian badania takich jak cystoskopia fluoresecencyjna czy obrazowanie wąską wiązką[142][132][133].

Cystoskopia fluorescencyjna (fotodynamiczna) (PDD)

Cystoskopia fluorescencyjna (fotodynamiczna) polega na podaniu fotouczulaczów, które wybiórczo gromadzą się w szybko dzielących się komórkach, takich jak komórki nowotworowe. Zgromadzony znacznik w komórkach nowotworowych może zostać uwidoczniony w świetle niebieskim lub fioletowym, pod wpływem którego obszary śluzówki z naciekiem nowotworowym przyjmują kolor czerwony lub różowy na fioletowym tle tworzonym przez prawidłową śluzówkę[137][143]. W metodzie stosuje się fotouczulacze takie jak aminolewulinian heksylu (HAL) czy kwas 5-aminolewulinowy (5ALA)[144], które są podawane dopęcherzowo około godziny przed zabiegiem[137][145].

W porównaniu z cystoskopią z białym światłem metoda poprawia wykrywalność raka pęcherza moczowego, szczególnie raka in situ[137]. Przekłada się to na zmniejszenie liczby nawrotów i dłuższym czasem przeżycia bez nawrotu choroby (RFS)[146][147][137]. Ograniczeniem badania jest większy odsetek wyników fałszywie dodatnich[148][137]. Wyniki fałszywie dodatnie mogą być następstwem zapalenia pęcherza moczowego, niedawnym zabiegiem TURBT czy stycznym oświetleniem śluzówki pęcherza moczowego[137]. Badania nie wykonuje się wcześniej niż po 90 dniach od leczenia za pomocą BCG[145].

Obrazowanie wąską wiązką (NBI)

Jest to metoda endoskopowa polegającą na zastosowaniu odpowiednich filtrów ograniczających światło widzialne do światła niebieskiego (415 nm) i zielonego (540 nm), które jest dobrze pochłaniane przez hemoglobinę zawartą w erytrocytach w kapilarach bogatounaczynionej tkanki nowotworowej[144][143]. Opublikowane wyniki badań na niewielkiej liczbie chorych sugerują przydatność metody w rozpoznawaniu raka pęcherza moczowego[137].

Koherencyjna tomografia optyczna (OCT)

Koherencyjna tomografia optyczna jest optyczną techniką obrazowania pozwalającą utworzenie trójwymiarowego obrazu o wysokiej rozdzielczości powierzchownych tkanek do głębokości około 2–3 mm[137]. Metoda pozwala na odróżnienie prawidłowego urotelium od raka, czułość i swoistość metody jest szacowana odpowiednio na 90–100% i 65–90%[149][150][143]. Metoda umożliwia ocenę głębokości naciekania i rozróżnianie nowotworów Ta, T1 i T2[149][137].

Badania obrazowe

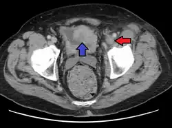
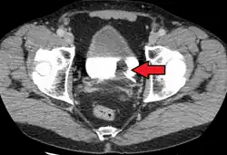
Tomografia komputerowa raka pęcherza moczowego. Guz oznaczony niebieską strzałką, czerwoną strzałką oznaczono zakrzepicę lewej żyły biodrowej zewnętrznej
Rak pęcherza moczowego oznaczony strzałką
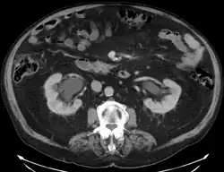
Obustronne wodonercze spowodowane rakiem pęcherza moczowego

Postawione podczas cystoskopii podejrzenie raka inwazyjnego lub potwierdzenie histopatologiczne obecności raka inwazyjnego wskazują na konieczność wykonania tomografii komputerowej (TK) lub rezonansu magnetycznego (MRI) miednicy i brzucha w celu oceny zaawansowania choroby[151][152]. Celem wykluczenia rozsiewu do płuc wykonuje się zdjęcie rentgenowskie klatki piersiowej (RTG) lub tomografię komputerową klatki piersiowej[135].

Tomografia komputerowa

Tomografia komputerowa (TK) jest podstawowym badaniem obrazowym służącym do oceny zaawansowania raka pęcherza moczowego[153][154]. Tomografia komputerowa pozwala na dobrą dokładność diagnostyczną oceny obecności rozsiewu do narządów odległych i lokalnych węzłów chłonnych[153]. Czułość badania w zakresie rozpoznawania raka pęcherza moczowego jest oceniana na 85%, a swoistość 94%[155][154].

Nowotwór w zakresie pęcherza moczowego może być widoczny jako pogrubienie ściany narządu, które może ulegać wzmocnieniu kontrastowemu[156][157]. Badanie pomaga rozpoznać naciekanie tkanek okołopęcherzowych (T3), jednak nie umożliwia wiarygodnego rozróżnienia guzów nieinwazyjnych (Ta) od naciekających błonę mięśniową (T1)[158]. Ocena inwazji sąsiednich narządów (cecha T4) za pomocą TK może być trudna, szczególnie w przypadku podejrzenia nacieku pochwy i macicy, gdy oddzielająca je tkanka tłuszczowa jest cienka[156].

Rezonans magnetyczny

Obrazowanie metodą rezonansu magnetycznego (RM) jest metodą cechującą się dużą dokładnością diagnostyczną, szczególnie w zakresie oceny zaawansowania guza pierwotnego[153][154][154]. Rezonans magnetyczny jest preferowaną metodą do oceny lokalnego zaawansowania przed radykalnym leczeniem inwazyjnego raka pęcherza moczowego[154].

Obrazy T1-zależne są szczególnie przydatne w ocenie naciekania okołopęcherzowej tkanki tłuszczowej, zajęcia lokalnych węzłów chłonnych oraz przerzutów do kości. Z kolei obrazy T2-zależne pozwalają na dobrą ocenę głębokości naciekania oraz szerzenia się procesu rozrostowego poza pęcherz moczowy[153][159]. Badanie wykazuje 85% dokładność diagnostyczną w różnicowaniu nieinwazyjnego i inwazyjnego raka pęcherza moczowego oraz 82% dokładność w rozpoznawaniu choroby ze zmianami narządowymi[160][154].

Pozytonowa tomografia emisyjna

Pozytonowa tomografia emisyjna w połączeniu z tomografią komputerową (PET-TK) jest metodą pozwalającą na zobrazowanie ognisk o wzmożonym metabolizmie, które mogą odpowiadać procesowi nowotworowemu. Rola badania w diagnostyce jest niejasna[153]. Zastosowanie metody w ocenie zmian w pęcherzu moczowym jest utrudnione przez gromadzenie się wydalanego wraz z moczem znacznika w pęcherzu moczowym[161]. PET jest przydatną metodą w rozpoznawaniu obecności rozsiewu choroby[161][162].

Ultrasonografia

Ultrasonografia (USG), choć nie jest zalecaną metodą w diagnostyce i ocenie zaawansowania raka pęcherza moczowego, to jednak znajduje szerokie zastosowanie w diagnostyce krwiomoczu i często jest pierwszym badaniem obrazowym wykonywanym z powodu krwiomoczu[153]. Klasyczna dwuwymiarowa ultrasonografia ma ograniczoną dokładność diagnostyczną[163]. Prawidłowy wynik badania nie wyklucza rozpoznania raka pęcherza moczowego[154]. Rak może być widoczny jako płatowata masa wyrastająca ze ściany narządu, w USG dopplerowskim w obrębie guza widoczny jest wzmożony przepływ krwi[164].

Badanie cytologiczne moczu

Badanie cytologiczne wydalonego moczu lub popłuczyn z pęcherza moczowego jest przydatną metodą wykrywania raka in situ oraz znajduje zastosowanie w kontroli chorych po elektroresekcji guza[165]. Metoda wykazuje dużą czułość w rozpoznawaniu raka o wysokim stopniu złośliwości, w przypadku guzów o niskiej złośliwości czułość jest niska[166][132]. Choć ujemny wynik badania nie wyklucza obecności nowotworu, to potwierdzenie cytologiczne raka wskazuje na rozpoznanie raka urotelielnego w obrębie układu moczowego[166][167]. Dodatni wynik badania cytologicznego przy prawidłowym obrazie w cystoskopii skłania do wykonania losowych biopsji śluzówki pęcherza moczowego w celu wykrycia niewidocznego raka in situ[168].

Markery molekularne w moczu

Oceniono wiele potencjalnych biomarkerów, jednak tylko niewiele z nich okazało się przydatnych klinicznie[169][170]. Największe znaczenie praktyczne mają NMP-22, BTA-Stat, BTA-TRAK, uCyt+ i UroVysion. W porównaniu do cytologi moczu markery wykazują wysoką czułość kosztem niskiej swoistości. Według zaleceń EAU żaden marker nie stanowi elementu rutynowej diagnostyki i obserwacji po leczeniu[171]. Markery molekularne nie zastępują cystoskopii, jednak mogą stanowić uzupełnienie tego badania w wykrywania raków in situ[171].

Badanie histopatologiczne

Rak urotelialny, badanie immunohistochemiczne, dodatnia reakcja w kierunku beta kateniny
Rak urotelialny, widoczne dodatnie marginesy chirurgiczne

Badanie histopatologiczne materiału uzyskanego podczas przezcewkowej elektroresekcji guza lub biopsji śluzówki podczas cystoskopii pozwala na ustalenie ostatecznego rozpoznania raka pęcherza moczowego[134]. Pobrany materiał musi zawierać mięśniówkę, ponieważ jej obecność jest niezbędna do oceny głębokości naciekania i oceny zaawansowania[172]. Badaniu osobno poddaje się materiał pobrany z egzofitycznej części guza i osobno z głębokich wycinków ściany narządu oraz obrzeża wycięcia zmiany nowotworowej[173]. Badaniu poddaje się również preparat pooperacyjnych po cystektomii[174]. W wyniku oceny mikroskopowej uzyskanego materiału uzyskuje się rozpoznanie typu i ewentualnie podtypu histologicznego, stopnia złośliwości, stopnia zaawansowania, w tym zajęcie mięśniówki, zajęcie naczyń chłonnych i krwionośnych, obecność przerzutów w lokalnych węzłach chłonnych oraz ocenę marginesów chirurgicznych[174][144].

Zaawansowanie kliniczne

Schemat zaawansowania miejscowego raka pęcherza moczowego

Zaawansowanie raka pęcherza moczowego jest oceniane na podstawie klasyfikacji TNM[175].

Klasyfikacja TNM raka pęcherza moczowego[176][177]
Guz pierwotny – cecha T
Tx Nie można ocenić guza pierwotnego
T0 Nie stwierdza się guza pierwotnego
Ta Nieinwazyjny rak brodawczakowaty
Tis Rak in situ (rak śródnabłonkowy)
T1 Guz naciekający tkankę łączną położoną pod nabłonkiem
T2 Guz naciekający tkankę mięśniową ściany pęcherza moczowego
  T2a Powierzchowne naciekanie do 1/2 wewnętrznej ściany mięśniowej
  T2b Głębokie naciekanie ponad 1/2 wewnętrznej ściany mięśniowej
T3 Guz nacieka tkanki okołopęcherzowe
  T3a Naciekanie mikroskopowe tkanek okołopęcherzowych
  T3b Naciekanie makroskopowe tkanek okołopęcherzowych
T4 Guz nacieka dowolną z wymienionych struktur: miąższ gruczołu krokowego, pęcherzyki nasienne, macicę, pochwę, ścianę miednicy, ścianę jamy brzusznej
  T4a Naciekanie gruczołu krokowego, pęcherzyków nasiennych, macicy, pochwy
  T4b Naciekanie ściany miednicy, ściany jamy brzusznej
Zajęcie okolicznych węzłów chłonnych – cecha N
Nx Nie można ocenić okolicznych węzłów chłonnych
N0 Nie stwierdza się przerzutów w okolicznych węzłach chłonnych
N1 Przerzut w pojedynczym węźle chłonnym w miednicy mniejszej (podbrzusznym, zasłonowym, biodrowym zewnętrznym lub przedkrzyżowym)
N2 Przerzuty w licznych węzłach chłonnych w miednicy mniejszej (podbrzusznych, zasłonowych, biodrowych zewnętrznych lub przedkrzyżowych)
N3 Przerzut w węźle chłonnym biodrowym wspólnym
Przerzuty odległe – cecha M
Mx Nie można określić obecności przerzutów odległych
M0 Nie stwierdza się przerzutów odległych
M1 Obecne przerzuty odległe
Klasyfikacja zaawansowania klinicznego[177][178]
Stopień zaawansowania Cecha T Cecha N Cecha M
0a Ta N0 M0
0is Tis N0 M0
I T1 N0 M0
II T2a, T2b N0 M0
III T3a, T3b, T4a N0 M0
IV T4b N0 M0
każde T N1, N2, N3 M0
każde T każde N M1

Leczenie

Leczenie nieinwazyjnego raka pęcherza moczowego

Przezcewkowa elektroresekcja guza pęcherza moczowego (TURBT) jest metodą leczenia z wyboru w przypadku każdego guza pęcherza moczowego[179]. Celem zabiegu jest usunięcie wszystkich widocznych fragmentów guza i uzyskanie materiału do badania histopatologicznego[180][179]. Po wykonaniu przezcewkowej elektroresekcji guza, o ile nie ma przeciwwskazań, w celu redukcji ryzyka nawrotu podaje się jedną wlewkę chemioterapii dopęcherzowej[181][182].

Po wykonanym TURBT nienaciekający rak pęcherza moczowego ma różnie nasiloną tendencję do nawrotu miejscowego, co jest przesłanką do wdrażania leczenia uzupełniającego[181]. U chorych o niskim ryzyku nawrotu wystarczającym leczeniem uzupełniającym jest pojedyncza wlewka dopęcherzowa[183]. U chorych o pośrednim ryzyku nawrotu leczenie uzupełniające po TURBT może polegać na podaniu chemioterapii dopęcherzowej przez okres nie dłuższy niż rok lub zastosowaniu immunoterapii z użyciem BCG po podaniu jednej wlewki chemioterapii dopęcherzowej. Wybór metody jest oparty na ocenie skuteczności, ryzyka działań niepożądanych oraz ryzyka nawrotu oraz progresji[183]. Zwykle w tej grupie wybiera się chemioterapię dopęcherzową[184]. U chorych z wysokim ryzykiem nawrotu stosuje się immunoterapię BCG przez okres 1–3 lat[183]. Chorzy z rozpoznaniem raka in situ wymagają leczenia uzupełniającego za pomocą BCG lub wykonania radykalnej cystektomii[183]. U chorych o najwyższym ryzyku nawrotu wykonuje się radykalną cystektomię[183].

Kategorie rokownicze nienaciekającego raka pęcherza moczowego

Wykonanie przezcewkowej elektroresekcji (TURBT) i ocena uzyskanego materiału tkankowego pozwalają na zakwalifikowanie nienaciekającego raka pęcherza moczowego do odpowiedniej grupy ryzyka: niskiego, pośredniego, wysokiego i najwyższego[185][168].

Kategorie rokownicze nienaciekającego raka pęcherza moczowego[186]
Grupa ryzyka Definicja
Grupa niskiego ryzyka pojedyncze, pierwotne guzy Ta LG/G1 <3 cm, bez CIS
Grupa pośredniego ryzyka guzy pomiędzy kategorią niskiego i wysokiego ryzyka
Grupa wysokiego ryzyka guzy z jakąkolwiek cechą z poniższych:
  • T1
  • HG/G3
  • CIS
  • mnogie i nawrotowe i duże (>3 cm) guzy TaG1/G2
Grupa najwyższego ryzyka następujące guzy:
  • guzy T1G3 z towarzyszącym CIS
  • liczne lub duże lub nawrotowe guzy T1G3
  • guzy T1G3 z towarzyszącym CIS w cewce sterczowej
  • raki oporne na leczenie BCG
Czynniki rokownicze do prognozowania ryzyka nawrotu i progresji[187]
Czynnik Nawrót Progresja
liczba guzów
pojedynczy 0 0
2–7 3 3
≥8 6 3
średnica guza
≤3 cm 0 0
≥3 cm 3 3
liczba nawrotów
pierwotny guz 0 0
≤1 nawrót/rok 2 2
≥1 nawrót/rok 4 2
kategoria
Ta 0 0
T1 1 4
współwystępowanie Cis
Tak 0 0
Nie 1 6
stopień złośliwości
G1 0 0
G2 1 0
G3 2 5
Prawdopodobieństwo nawrotu i progresji nieinwazyjnego raka pęcherza moczowego[187]
Punktacja Ryzyko nawrotu po 1 roku Ryzyko nawrotu po 5 latach
0 15 31
1–4 24 46
5–9 38 62
10–17 61 78
Prawdopodobieństwo nawrotu i progresji nieinwazyjnego raka pęcherza moczowego[187]
Punktacja Ryzyko progresji po 1 roku Ryzyko progresji po 5 latach
0 0,2 0,8
2–6 1 6
7–13 5 17
14–23 17 45

Cystoskopia i przezcewkowa elektroresekcja

Przezcewkowa elektroresekcja guza pęcherza moczowego (TURBT) jest zabiegiem z wyboru w przypadku każdego guza pęcherza moczowego, mającym znaczenie diagnostyczne i lecznicze[179]. Celem zabiegu jest usunięcie wszystkich widocznych fragmentów guza i uzyskanie materiału do badania histopatologicznego[180][179].

Zabieg jest wykonywany w znieczuleniu ogólnym w profilaktyce antybiotykowej[144]. Resektoskop jest wprowadzany do pęcherza moczowego poprzez cystoskop. Pod kontrolą wzroku lokalizuje się guz i pobiera się mocz celem badania cytologicznego. Następnie za pomocą pętli systematycznie koaguluje się wszystkie widoczne fragmenty guza. Pętla ma szerokość około 8 mm, co pozwala na wycięcie 1–1,5 cm zmiany w całości w jednym fragmencie, choć guzy o większym wymiarze muszą być systematycznie wycinane we fragmentach aż do usunięcia całej zmiany z jej podstawą. Konieczna jest odpowiednia głębokość resekcji z uwidocznieniem mięśniówki pęcherza moczowego. Koaguluje się również dno guza i błonę śluzową wokół zmiany. Uzyskane fragmenty tkankowe są pobierane celem wykonania badania histopatologicznego. Zmiany siedzące, guzkowe, guzkowo-brodawczakowate w porównaniu do zmian brodawczakowatych częściej wykazują wysoki stopień złośliwości i inwazyjność, dlatego wymagają odpowiednio szerokiej i głębokiej resekcji. Po zabiegu zakłada się cewnik moczowy w celu odprowadzeniu moczu i zabezpieczenia przed wytworzeniem skrzepów mogących zablokować odpływ moczu z pęcherza moczowego[188][189].

Ze względu na trudności związane z rozpoznaniem endoskopowym zmian typu in situ pobiera się biopsje ze wszystkich nieprawidłowo wyglądających fragmentów błony śluzowej, a w przypadku dodatniego badania cytologicznego osadu moczu lub podejrzenia egzofitycznego guza o wysokim ryzyku wykonuje się losowe biopsje z błony śluzowej o prawidłowym wyglądzie z trójkąta, dna, prawej, lewej, przedniej i tylnej ściany pęcherza moczowego[190]. Biopsję odcinka sterczowego cewki moczowej wykonuje się w przypadku zajęcia szyi pęcherza moczowego, podejrzenia albo rozpoznania raka in situ lub dodatniej cytologii moczu przy prawidłowym obrazie cystoskopowym pęcherza moczowego oraz obecności widocznych zmian w zakresie odcinka sterczowego cewki moczowej[190].

Ponowna przezcewkowa resekcja

Technika przezcewkowej resekcji guza pęcherza moczowego wiąże się z ryzykiem niekompletnej resekcji i oceny zaawansowania. Ocenia się, że aż w około 40% przypadków raka o zaawansowaniu Ta o złośliwości G3 oraz 33–55% przypadków raka o zaawansowaniu T1 stwierdza się chorobę resztkową po resekcji[191][192][193][194][195]. W celu poprawy lokalnej kontroli choroby i oceny zaawansowania u niektórych chorych wykonuje się ponowną przezcewkową resekcję guza pęcherza moczowego (TURBT)[196]. Badania kliniczne wskazują, że ponowne wykonanie TURBT przyczynia się do zwiększenia mediany przeżycia wolnego od nawrotu (RFS)[192][193][191] oraz poprawy skuteczności leczenia za pomocą BCG[197][191].

Metoda ma zastosowanie jedynie u chorych, u których planuje się leczenie zachowujące pęcherz moczowy[198]. Według zaleceń Europejskiego Towarzystwa Urologicznego (European Association of Urology) ponowna przezcewkowa resekcja guza pęcherza moczowego jest wykonywana u chorych po niekompletnej pierwszej resekcji, chorych z rakiem o zaawansowaniu T1 lub stopniu złośliwości G3 oraz gdy w pobranym materiale podczas pierwszej resekcji nie stwierdzi się obecności mięśniówki[199]. Podobnie ESMO sugeruje przeprowadzenie ponownej resekcji u chorych w grupie wysokiego ryzyka nawrotu[179]. Kolejną resekcję wykonuje się po 2–6 tygodniach od pierwszej resekcji[191].

Chemioterapia adiuwantowa

Uzupełniająca chemioterapia dopęcherzowa zmniejsza ryzyko nawrotu choroby
Jednorazowa wlewka chemioterapii dopęcherzowej

Przezcewkowa elektroresekcja guza pęcherza moczowego w celu zmniejszenia ryzyka nawrotu wymaga podania jednorazowej dawki chemioterapii dopęcherzowej. Zastosowanie cytostatyków, dzięki zniszczeniu komórek nowotworowych, które po TURBT krążą w obrębie pęcherza moczowego, i zapobiegnięciu ich implantacji do błony śluzowej oraz zniszczeniu pozostawionych, niewidocznych ognisk guza, zapobiega wczesnym nawrotom[181][182]. U chorych z niskim ryzykiem progresji pojedyncza wlewka chemioterapii dopęcherzowej jest wystarczającą formą leczenia uzupełniającego, u chorych o ryzyku pośrednim i wysokim metodę można łączyć z innymi metodami leczenia uzupełniającego (kolejne wlewki chemioterapii dopęcherzowej albo immunoterapia BCG)[182].

W trzech metaanalizach wykazano, że pojedyncza dawka adiuwantowej chemioterapii dopęcherzowej w porównaniu do samodzielnego TURBT zmniejsza ryzyko nawrotu choroby o 11–13%[200][201][202][181]. Prawdopodobnie największą korzyść z leczenia odnoszą grupy chorych o najmniejszym ryzyku nawrotu z pojedynczym lub niewielkimi guzami[203][204][181].

W leczeniu adiuwantowym stosuje się jednorazowe wlewki mitomycyny lub doksorubicyny albo epirubicyny[181][184]. Najczęściej wykorzystuje się mitomycynę[182], jednak nie ma dostępnych wyników badań porównujących skuteczność stosowanych cytostatyków[181]. Leczenie podaje się w ciągu 24 godzin od zabiegu przezcewkowej elektroresekcji guza pęcherza moczowego[182]. Podaż cytostatyków do pęcherza moczowego w celu utrzymania wymaganego stężenia wymaga czasowego ograniczenia podaży płynów. Chemioterapii dopęcherzowej nie podaje się w przypadku podejrzenia perforacji pęcherza moczowego, a także rozległego TURBT oraz intensywnego krwawienia wymagającego zastosowania płukania pęcherza moczowego[183].

Dodatkowe wlewki chemioterapii dopęcherzowej

Rola dalszej chemioterapii adiuwantowej po jednorazowej wlewce leków jest niejasna. O ile u chorych z niskim ryzykiem nawrotu jednorazowa wlewka chemioterapii jest uważana za wystarczające leczenie, to u chorych o wyższym ryzyku ze względu na ryzyko nawrotu jednorazowa wlewka wydaje się być leczeniem niewystarczającym[205].

Badania wskazują, że kolejne dawki chemioterapii dopęcherzowej po jednorazowej wlewce u chorych o pośrednim rokowaniu poprawiają przeżycie wolne od nawrotu choroby (RFS)[205]. Metaanaliza kilku badań na 3600 chorych wykazała zmniejszenie ryzyka nawrotu w ciągu roku o 38% u leczonych kolejnymi wlewkami chemioterapii w porównaniu do samodzielnego zabiegu elektroresekcji[206]. Nie wykazano jednak, aby chemioterapia dopęcherzowa zmniejszała ryzyko progresji raka naciekającego[184]. Schemat leczenia dodatkowymi wlewkami chemioterapii dopęcherzowej nie został ustalony, według zaleceń Europejskiego Towarzystwa Urologicznego czas leczenia nie powinien przekraczać roku[183].

Rola podtrzymującego leczenia za pomocą BCG jest dobrze ugruntowana[207]. W przeciwieństwie do chemioterapii metaanalizy wskazują, że immunoterapia BCG pozwala zmniejszyć ryzyko progresji do raka inwazyjnego[208][209]. W porównaniu do chemioterapii dopęcherzowej immunoterapia BCG skuteczniej zapobiega nawrotowi choroby[210][211][212]. Jednak schemat leczenia uzupełniającego za pomocą BCG wiąże się z większym prawdopodobieństwem działań niepożądanych niż chemioterapia[205].

Dopęcherzowa immunoterapia Bacillus Calmette-Guérin (BCG)

Bacillus Calmette-Guérin (BCG) jest żywą atenuowaną szczepionką stosowaną w celu zapobiegania gruźlicy. Mechanizm antynowotworowy szczepionki wprowadzonej do pęcherza moczowego najprawdopodobniej jest związany z wywoływaniem reakcji nadwrażliwości typu opóźnionego[213][196].

Immunoterapia BCG zmniejsza ryzyko nawrotu nieinwazyjnego raka pęcherza moczowego[213][214]. Metaanalizy oceniające skuteczność leczenia uzupełniającego w redukcji ryzyka nawrotu nieinwazyjnego raka pęcherza moczowego u chorych o pośrednim i wysokim ryzyku wskazują, że terapia BCG jest skuteczniejsza niż samodzielny zabieg przezcewkowej elektroresekcji (TURBT)[215] czy chemioterapia dopęcherzowa[216]. BCG wykazuje wyższą skuteczność w zmniejszaniu nawrotów niż mitomycyna[217][218][219][211], epirubicyna[212][210] i epirubicyna z interferonem[220]. Leczenie za pomocą BCG w porównaniu do dopęcherzowej wlewki mitomycyny redukuje ryzyko nawrotu choroby o 32%[211]. Największe korzyści z tej formy leczenia odnoszą chorzy o wysokim ryzyku nawrotu[213], choć korzyści są obserwowane również u chorych o pośrednim ryzyku[214]. Ponadto immunoterapia BCG posiada zdolność do zmniejszenia ryzyka progresji raka nieinwazyjnego do inwazyjnego[208][209][214]. Wpływ immunoterapii z użyciem BCG na poprawę przeżycia całkowitego (OS) w porównaniu do chemioterapii dopęcherzowej nie jest w pełni wyjaśniony. Jedno badanie sugeruje poprawę przeżycia leczonych[212], z kolei inne badanie nie wykazało takiego korzystnego skutku[211]. Najprawdopodobniej dodanie do immunoterapii BCG chemioterapii dopęcherzowej nie poprawia skuteczności takiego leczenia[221][214].

Immunoterapia za pomocą BCG wiąże się z większym ryzykiem wystąpienia istotnych działań niepożądanych niż chemioterapia dopęcherzowa. Do najważniejszych działań niepożądanych tej formy leczenia należą objawy podrażnienia pęcherza moczowego, zapalenie prostaty, zapalenie najądrza i jądra, zapalenie stawów, gorączka, prosówka i reakcje nadwrażliwości[222].

Ze względu na konieczność powtarzalnej stymulacji układu immunologicznego konieczne są dawki przypominające BCG[223]. Nie ma konsensusu co do optymalnego schematu podania kolejnych dawek BCG[224]. Najczęściej używane są schemat 6+3 złożony z 27 wlewek BCG podanych w 6 cotygodniowych kursach indukujących oraz trzytygodniowym kursem podtrzymującym po 3 miesiącach oraz kolejnymi kursami podtrzymującymi po 6 miesiącach (3 wlewki w schemacie 3, 6, 12, 18, 24, 30 i 36 miesiąc) oraz schemat Moralesa złożonego z 6 tygodniowego kursu indukującego oraz 6 tygodniowego kursu podtrzymującego podawanego po 6 miesiącach od kursu indukującego[223][225]. Lek jest podawany do pęcherza moczowego przez cewnik, który powinien się znajdować w pęcherzu moczowym przez co najmniej 2 godziny, podczas wlewki chory jest obracany co 15 minut w celu równomiernej i pełnej dystrybucji leku w pęcherzu moczowym[225]. Leczenie powinno trwać przynajmniej rok, aby było ono skuteczniejsze od chemioterapii dopęcherzowej[208][224]. Metaanaliza EORTC nie wskazała najbardziej skutecznego schematu leczenia, jednak wykazała, że leczenie trzyletnie za pomocą BCG w porównaniu do jednorocznego zmniejsza ryzyko nawrotu u chorych z wysokim ryzykiem, ale chorzy o pośrednim ryzyku nie odnosili takiej korzyści. Jednocześnie metaanaliza nie wykazała przewagi podtrzymującego trzyletniego leczenia za pomocą BCG w stosunku do jednorocznego w zakresie poprawy przeżycia całkowitego i redukcji ryzyka progresji do raka inwazyjnego[226][224].

Cystektomia w leczeniu raka nienaciekającego

U niektórych chorych z rakiem nienaciekającym mięśniówki wykonuje się radykalną cystektomię przed progresją do choroby inwazyjnej. Operacja przed progresją może być wykonana bezpośrednio po rozpoznaniu raka (cystektomia natychmiastowa) lub w rezultacie niepowodzenia leczenia dopęcherzowego za pomocą BCG (cystektomia wczesna)[227].

Zabieg wykonuje się u chorych z grupy najwyższego ryzyka nawrotu, a także u chorych z rezydualnym guzem o złośliwości G3 pozostającym pomimo drugiego TURBT, nawrotem po leczeniu BCG i nawrotowym rakiem in situ[228]. Innym powodem wykonania cystektomii jest rozpoznanie raka gruczołowego lub płaskonabłonkowego[228]. Podczas kwalifikacji do zabiegu pod uwagę bierze się ryzyko nawrotu i progresji, a także wpływ operacji na jakość życia i wywoływaną przez zabieg chorobowość[228]. Nieinwazyjny rak o najwyższym wysokim ryzyku w znacznym odsetku ulega progresji do raka inwazyjnego, co znacznie pogarsza przeżycie chorych[229][230]. Leczenie zachowawcze pozwala na zachowanie pęcherza moczowego u około 30% chorych, pozostali będą wymagali ponownego leczenia dopęcherzowego lub cystektomii[231][228]. Jednak badania sugerują, że cystektomia jest preferowaną metodą leczenia w grupie chorych najwyższego ryzyka, ponieważ jej opóźnienie skutkuje gorszym przeżyciem swoistym dla choroby[232][233][227]. Z drugiej strony cystektomia istotnie pogarsza jakość życia leczonych tą metodą oraz jest rozległym zabiegiem obarczonym istotnym ryzykiem powikłań okołooperacyjnych i długoterminowych[234]. Zatem istotna jest rola kwalifikacji chorych wymagających takiego zabiegu[235][234].

Leczenie nawrotu raka nienaciekającego

Rozpoznanie nawrotu choroby w trakcie obserwacji wymaga wykonania kolejnej przezcewkowej elektroresekcji guza[233]. Jeśli endoskopowy obraz guza nie sugeruje naciekania mięśniówki albo wysokiego stopnia złośliwości, o ile nie ma przeciwwskazań, to w ciągu 24 godzin podaje się wlewkę chemioterapii dopęcherzowej[236]. Dalsze postępowanie zależy od charakterystyki nawrotowego guza[233].

W przypadku nawrotu guza o niewysokim stopniu złośliwości (G1 i G2/LG) dalsze leczenie polega na radykalnej cystektomii lub ponownej immunoterapii BCG. Jednak chorzy, którzy nie odpowiedzieli na wcześniejsze leczenie za pomocą BCG najprawdopodobniej nie odpowiedzą na ponowne leczenie BCG, dlatego u tych chorych preferuje się radykalną cystektomię. Nawrót po 3 miesiącach od zastosowania BCG wymaga radykalnej cystektomii. U wybranych chorych z pojedynczym małym guzem TaG1 możliwą opcją leczniczą jest również ponowna chemioterapia dopęcherzowa. U chorych z guzami nawrotowymi o wysokiej złośliwości (G3/HG) wykonuje się radykalną cystektomię, u wybranych chorych z guzem o wysokim stopniu złośliwości (G3/HG) można ponownie wdrożyć immunoterapię BCG. Rozpoznanie nawrotowego raka naciekającego mieśniówkę wymaga radykalnej cystektomii[237].

Zaprzestanie palenia tytoniu

Palenie tytoniu jest kluczowym czynnikiem ryzyka rozwoju choroby oraz zwiększa ryzyko nawrotu i progresji guza[238][239][181]. Nie jest jasne czy zaprzestanie palenia poprawia wyniki leczenia, jednak u wszystkich chorych z rakiem pęcherza moczowego zaleca się zaprzestanie palenia[181].

Leczenie inwazyjnego raka pęcherza moczowego

Podstawową metodą leczenia chorych z rakiem naciekającym mięśniówkę bez przerzutów węzłowych i odległych jest radykalna cystektomia[240]. Radykalną cystektomię zwykle poprzedza neoadiuwantowa chemioterapia oparta na cisplatynie[241].

Chemioterapia neoadiuwantowa przed cystektomią

Chemioterapia neoadiuwantowa jest leczeniem ogólnoustrojowym poprzedzającym radykalną cystektomię, którego celem jest poprawa wyników tego zabiegu[242]. Leczenie neoadiuwantowe stosuje się u chorych z rakiem pęcherza moczowego naciekającym mięśniówkę w stopniu zaawansowania T2–T4aN0M0[241], najczęściej stosuje się 3–4 kursy dd-MVAC lub 4 kursy GC[243].

Badania kliniczne oraz wyniki metaanaliz wykazują poprawę rokowania leczonych przed zabiegiem operacyjnym chemioterapią neoadiuwantową poprzez wydłużenie przeżycia całkowitego (OS) leczonych[244][245][246]. Istotne korzyści terapeutyczne przynoszą jedynie schematy oparte na cisplatynie[244][246][247]. W poszczególnych badaniach stosowano cisplatynę w monoterapii lub w skojarzeniu z innymi cytostatykami, podawano różną liczbę cykli, a także występowały różnice w badanych grupach chorych[248]. Inne programy nie były badane u chorych leczonych neoadiuwantowo, a u chorych z chorobą z przerzutami pozwalają osiągać gorsze wyniki końcowe[247]. Leczenie neoadiuwantowe nie jest oferowane chorym, którzy nie kwalifikują się do chemioterapii za pomocą cisplatyny[241].

W badaniu SWOG leczenie skojarzone złożone z chemioterapii neoadiuwantowej w programie MVAC (metotreksat, winblastyna, doksorubicyna oraz cisplatyna) połączonej z cystektomią po zakończeniu chemioterapii porównano z samodzielną cystektomią. Wykazano poprawę mediany przeżycia całkowitego w grupie leczonych chemioterapią neoadiuwantową, które wynosiło odpowiednio 77 miesięcy i 46 miesięcy dla samodzielnej cystektomii. Chemioterapia neoadiuwantowa przyczyniała się również do niższego odsetka nawrotów (15%) niż u leczonych wyłącznie chirurgicznie (38%)[249][248]. W metaanalizie 11 badań na łącznej grupie 3005 chorych chemioterapia neoadiuwantowa z użyciem cisplatyny poprawiała o 5% odsetek przeżyć pięcioletnich w stosunku do samodzielnego zabiegu operacyjnego oraz poprawiała o 9% odsetek pięcioletnich przeżyć wolnych od nawrotów choroby[246][248]. W innej metaanalizie 16 badań na 3315 chorych leczenie skojarzone z chemioterapią neoadiuwantową poprawiało przeżycie o 6,5%[245]. Modyfikacją schematu MVAC jest dd-MVAC (HD-MVAC[250]) różniący się zagęszczonymi dawkami leków. dd-MVAC wykazuje korzystniejszy profil toksyczności niż klasyczny MVAC[251][252][248].

Innym ocenianym połączeniem jest skojarzenie cisplatyny i gemcytabiny (GC). W dwóch badaniach klinicznych porównujących skuteczność MVAC oraz GC nie wykazano istotnej różnicy w osiąganym przeżyciu całkowitym oraz przeżyciu wolnym od progresji choroby[253][254].

Program CMV złożony z cisplatyny, metotreksatu i winblastyny został oceniony w badaniu BA06 30894. Zaobserwowano w nim 16% redukcję ryzyka zgonu z powodu raka pęcherza moczowego[255]. W kilku badaniach zaobserwowano podobny odsetek odpowiedzi patologicznych jak podczas leczenia MVAC[256][257][258][259][260].

Chemioterapia neoadiuwantowa może wiązać się z ryzykiem opóźnienia wykonania cystektomii u chorych niewrażliwych na chemioterapię i teoretycznie pogarszać jej wyniki. Do tej pory nie opublikowano dowodów potwierdzających pogorszenie przeżycia całkowitego związane z opóźnioną cystektomią u chorych opornych na chemioterapię, podczas gdy u osób odpowiadających na leczenie obserwuje się wydłużenie przeżycia i spadek odsetku nawrotów[261]. Nie ma narzędzi do wiarygodnej identyfikacji grupy chorych, którzy mogliby osiągnąć największe korzyści z leczenia neoadiuwantowego[241]. Tolerancja leczenia neoadiuwantowego przed operacją jest lepsza niż po wycięciu pęcherza moczowego. Chemioterapia neoadiuwantowa nie wpływa na ryzyko powikłań okołooperacyjnych[261].

Cystektomia

Cystektomia jest podstawową metodą leczenia chorych z rakiem pęcherza moczowego naciekającym mięśniówkę o zaawansowaniu miejscowym T2-T4a bez przerzutów węzłowych i odległych (cecha N0 i M0), a także z rakiem pęcherza moczowego nienaciekającym mięśniówki o najwyższym ryzyku oraz opornym na leczenie BCG[240]. U chorych, u których zaawansowanie nowotworu nie pozwala na wyleczenie, operacja może być również wykonywana w charakterze leczenia paliatywnego w celu leczenia uciążliwego krwiomoczu, bólu lub przetoki[240][262].

U mężczyzn zabieg obejmuje wycięcie pęcherza moczowego, gruczołu krokowego, pęcherzyków nasiennych, końcowych części moczowodów oraz obustronne usunięcie regionalnych węzłów chłonnych (limfadenektomia)[263][264]. U kobiet operacja polega na usunięciu pęcherza moczowego, całej cewki moczowej, sąsiadującej części pochwy, macicy, dystalnych części moczowodów oraz regionalnych węzłów chłonnych[263][264].

Zakres koniecznej resekcji węzłów chłonnych pozostaje kwestią sporną[262]. Według Europejskiego Towarzystwa Urologicznego (European Association of Urology) limfadenektomia standardowo składa się z usunięcia węzłów chłonnych do wysokości rozwidlenia tętnicy biodrowej wspólnej z granicą przyśrodkową na wysokości moczowodu, razem z węzłami chłonnymi biodrowymi wewnętrznymi, przedkrzyżowymi i zasłonowymi oraz węzłami biodrowymi zewnętrznymi[263]. Rozszerzona limfadenektomia dodatkowo poza obszarem standardowej limfadenektomii obejmuje węzły chłonne w obszarze rozwidlenia aorty oraz naczyń biodrowych od miejsca skrzyżowania z moczowodem do bocznej granicy wyznaczanej przez nerwy płciowo-udowe, żyły głębokie okalające biodro, więzadła rozstępowe oraz limfatyczne węzły Cloqueta (węzeł chłonny pierścienia udowego)[263]. W przeglądzie systematycznym 19 badań stwierdzono, że limfadenektomia poprawia rokowanie leczonych[265]. Metaanalizy sugerują korzyści w przeżyciu całkowitym i przeżyciu wolnym od nawrotu leczonych rozszerzoną limfadenektomią[266][267][263]. Jednak ze względu na ograniczenia dotychczas opublikowanych wyników badań klinicznych nie uzyskano konsensusu co do zakresu rutynowo wykonywanej limfadenektomii[263].

W kilku badaniach oceniono przeżycie całkowite oraz ryzyko nawrotu po radykalnej cystektomii[268]. W wieloośrodkowym badaniu na 888 chorych poddanych radykalnej cystektomii odsetek pięcioletnich przeżyć całkowitych swoistych dla raka (CSS) wynosił 66%, a 58% leczonych osiągnęło pięcioletnie przeżycie wolne od nawrotu (RFS)[269]. Podobne wyniki osiągnięto w kolejnym badaniu, w którym 62% chorych osiągnęło pięcioletnie przeżycie swoiste dla nowotworu[270]. W kolejnym badaniu na 1054 chorych leczonych cystektomią odsetek przeżyć całkowitych po pięciu i dziesięciu latach wynosił odpowiednio 66% i 43%, a przeżycia wolne od nawrotu wynosiły odpowiednio 68% i 60%. W odniesieniu do stadium zaawansowania miejscowego pięcioletnie przeżycie wolne od nawrotu osiągnęło 76% z guzem o zaawansowaniu pT1, 74% z guzem pT2, 52% z guzem pT3 i 36% z guzem pT4[271]. Zajęcie węzłów chłonnych pogarsza rokowanie i w różnych badaniach przeżycie wolne od nawrotu w tej grupie chorych wynosiło 34–43%[272][271][273][268].

Techniki oszczędzające struktury miednicy

Radykalna cystektomia poprzez negatywny wpływ na funkcje seksualne oraz nietrzymanie moczu istotnie pogarsza jakość życia leczonych tą metodą[262][274]. W tym celu w leczeniu oszczędzającym u mężczyzn opracowano takie techniki jak cystektomia oszczędzająca prostatę (prostate sparing cystectomy), cystektomia oszczędzająca pęcherzyki nasienne (seminal sparing cystectomy) czy cystektomia zachowująca pęczki naczyniowo-nerwowe (nerve sparing cystectomy)[275]. W technice oszczędzającej prostatę resekcja omija tylno-boczną powierzchnię stercza wraz z jego wierzchołkiem i prostatę lub jej część, pęcherzyki nasienne, nasieniowody oraz struktury nerwowe[276][275]. Cystektomia oszczędzająca pęcherzyki nasienne poza pęcherzykami nasiennymi zachowuje również nasieniowody i struktury nerwowe. Z kolei technika zachowująca pęczki naczyniowo-nerwowe ma za zadanie wybiórczo zachować te struktury[275]. Tego typu zabiegi pozwalają na zachowanie funkcji seksualnych u 60–80% leczonych i pełnego utrzymania moczu u 90–100% operowanych[276].

Podstawowym problemem związanym ze stosowaniem tych technik oszczędzających różne struktury anatomiczne jest obawa o zachowanie wystarczającej radykalności onkologicznej kluczowej dla wyników końcowych leczenia[276]. Dane dotyczące bezpieczeństwa takiego postępowania są niepełne[276]. W badaniach porównawczych nie zaobserwowano różnic w osiąganych przeżyciach całkowitych, przeżyciach wolnych od nawrotów czy odsetku nawrotów miejscowych pomiędzy chorymi leczonymi standardową cystektomią i grupami chorych leczonych technikami zachowującymi struktury miednicy[277][278][279][280][281].

Zastosowanie wyżej wymienionych technik u mężczyzn nie jest możliwe u chorych z naciekiem szyi pęcherza moczowego, prostaty lub cewki moczowej[281]. Na podstawie dostępnych wyników badań nie można wskazać optymalnej techniki operacyjnej. Według Europejskiego Towarzystwa Urologicznego techniki oszczędzające struktury miednicy nie są standardowym elementem leczenia raka pęcherza moczowego naciekającego mięśniówkę, choć mogą być stosowane u chorych pragnących zachować funkcje seksualne[281].

U kobiet poprawa funkcji seksualnych po zabiegu cystektomii skupia się na zachowaniu pęczka naczyniowo-nerwowego, pochwy i macicy[282]. Dane dotyczące bezpieczeństwa i skuteczności takiego postępowania są niepełne. W badaniu przeglądowym Veskimäe i współpracowników techniki zachowujące struktury miednicy wpływają na poprawę funkcji seksualnych i są potencjalnie porównywalne z radykalną cystektomią w zakresie końcowych wyników onkologicznych[283]. Według Europejskiego Towarzystwa Urologicznego taka odmiana operacji nie jest standardem leczenia chorych z naciekającym rakiem pęcherza moczowego, ale może być oferowana chorym kobietom bez zajęcia szyi pęcherza moczowego albo cewki moczowej, które chcą zachować funkcje seksualne[284].

Odprowadzenie moczu po radykalnej cystektomii

Wykonanie radykalnej cystektomii wymaga odtworzenia ciągłości dróg moczowych. W tym celu opracowano bardzo liczne techniki operacyjne, które można podzielić na metody niezapewniające trzymania moczu oraz techniki zapewniające trzymanie moczu[285]. Metody niezapewniające trzymania moczu polegają na wszczepieniu moczowodów do wstawki z jelita krętego lub okrężnicy, której koniec jest zespolony ze skórą, wówczas mocz jest zbierany do odpowiednich worków stomijnych noszonych przez chorego[285]. Moczowody mogą być również bezpośrednio połączone ze skórą (ureterokutaneostomia)[286]. Ureterokutaneostomia jest preferowaną metodą odprowadzenia moczu u chorych starszych lub chorych istotnie obciążonych chorobami współistniejącymi[287].

Metody zapewniające trzymanie moczu wykorzystują zbiorniki kontynentne lub pęcherz ortotopowy[288]. Zbiornik kontynentny jest utworzony przez odpowiednio przygotowane jelito cienkie, mocz jest odprowadzany do przetoki moczowej (stomii) wyłonionej w skórze, a utrzymanie moczu zapewnia odpowiedni skonstruowany wąski konduit[286][288]. Chory musi regularnie opróżniać zbiornik z wytworzonego moczu oraz powstającego w jelicie śluzu[288]. Pęcherz ortotopowy jest wewnętrznym zbiornikiem na mocz utworzonym przez odpowiednio spreparowane jelito, który jest łączony z własną cewką moczową i odpływ moczu jest kontrolowany przez zwieracz cewki moczowej[288].

Ze względu na rozległość operacji kluczowa jest odpowiednia kwalifikacja chorych przed zabiegiem uwzględniająca choroby współistniejące, w tym ocenę funkcji nerek i wątroby[289]. Przeciwwskazaniami do zabiegu wytworzenia ortotopowego pęcherza moczowego są upośledzona funkcja nerek, upośledzona funkcja wątroby oraz naciek raka w zakresie cewki lub dodatnie marginesy chirurgiczne[290].

Wytworzenie z fragmentu jelita sztucznego zbiornika na mocz wiąże się z utratą jego funkcji jako części przewodu pokarmowego, który jednocześnie zachowuje funkcje absorpcji i wydzielania różnych substancji. Po włączeniu go do dróg moczowych dochodzi do różnych zaburzeń wodno-elektrolitowych oraz kwasowo-zasadowych[291][292]. Jeśli do wytworzenia zbiornika wykorzystano fragment jelita krętego albo grubego to może dochodzić do rozwoju kwasicy hiperchloremicznej i hipokaliemii[293]. Z kolei gdy do wytworzenia zbiornika wykorzystano fragment jelita czczego może rozwijać się kwasica, hiperkaliemia, hipochloremia i azotemia[293]. Konsekwencją kwasicy jest osteomalacja i rozwój kamicy nerkowej[294]. Następstwa metaboliczne są kompensowane przez funkcję nerek, dlatego jej czynność przed zabiegiem nie może być upośledzona[294][295]. Usunięcie ponad 60 cm jelita krętego może skutkować niedoborem witaminy B12[291].

Leczenie zachowujące pęcherz moczowy

Leczenie zachowujące pęcherz moczowy jest alternatywą dla cystektomii u chorych z przeciwwskazaniami do leczenia chirurgicznego albo chorych nie wyrażających zgody na usunięcie pęcherza moczowego[296]. U chorych nadających się do zabiegu operacyjnego, ale nie chcących cystektomii, leczenie zachowujące pęcherz moczowy jest alternatywą do cystektomii w przypadku braku współwystępowania raka in situ, ujemnych węzłów chłonnych, braku wodonercza oraz dobrą funkcją pęcherza moczowego[296]. U chorych nienadających się do leczenia chirurgicznego stosuje się mniej restrykcyjnie kryteria kwalifikacji, jednak rozległy rak in situ albo upośledzona funkcja pęcherza moczowego są uznawane za czynniki przemawiające przeciw takiemu leczeniu[297].

Leczenie polega na skojarzeniu przezcewkowej elektroresekcji (TURBT) z chemioterapią i radioterapią. TURBT i radioterapia mają za zadanie kontrolę miejscową guza, a chemioterapia kontrolę mikroprzerzutów[297]. Nie ma wyników randomizowanych badań porównujących skuteczność skojarzonego leczenia zachowującego pęcherz moczowy z radykalną cystoskopią, jednak wiadomo, że skojarzone leczenie wykazuje przewagę nad samodzielną radioterapią[297][298][299].

W pierwszym etapie leczenia skojarzonego wykonuje się TURBT w celu kompletnej resekcji guza w obrębie pęcherza moczowego[300]. Nie uzyskanie całkowitej resekcji podczas TURBT jest złym czynnikiem rokowniczym co do możliwości zachowania pęcherza moczowego oraz przeżycia chorego[301][302][300]. Następnie po wykonaniu TURBT stosuje się chemioradioterapię z użyciem cisplatyny lub mitomycyny C z 5-fluorouracylem[298][302][297]. W badaniach klinicznym 50–82% chorych leczonych leczeniem skojarzonym zachowującym pęcherz moczowy osiągało pięcioletnie przeżycie specyficzne dla raka[298][303][304][305][297], ostatecznie 10–30% chorych wymaga ratunkowej cystektomii[298][303][305][297].

Samodzielne TURBT może być opcją leczniczą jedynie u chorych niekwalifikujących się do cystektomii i nie kwalifikujących się do leczenia skojarzonego[306]. Samodzielne TURBT może dawać korzyści jedynie u wybranych chorych z minimalnym naciekaniem mięśniówki, o ile kolejne biopsje nie potwierdzają obecności raka[307]. U ponad połowy chorych leczonych w ten sposób dochodzi do nawrotu i ostatecznie konieczna jest cystektomia[308][306]. Ocenia się, że u tych chorych, u których po TURBT ponowna biopsja nie wykazała raka, pięcioletnie i dziesięcioletnie przeżycie swoiste dla raka (CSS) wynosi odpowiednio 81,9% i 79,5%[309][306].

Samodzielna radioterapia jest postępowaniem mniej skutecznym niż skojarzenie radioterapii z chemioterapią[310][298][311]. Samodzielną radioterapię stosuje się jedynie u chorych niekwalifikujących się do cystektomii i nie kwalifikujących się do leczenia skojarzonego[311]. Samodzielna chemioterapia oparta na cisplatynie w leczeniu oszczędzającym pęcherz moczowy stosunkowo rzadko powoduje całkowitą remisję (CR), dlatego nie jest uważana za wystarczające postępowanie i nie jest rutynowo stosowana[300][312].

Chemioterapia adiuwantowa po cystektomii

Chemioterapia adiuwantowa (uzupełniająca) jest leczeniem stosowanym po radykalnej cystektomii w celu zmniejszenia ryzyka wznowy miejscowej oraz poprawy przeżycia całkowitego[313]. Chemioterapia adiuwantowa oparta na cisplatynie znajduje zastosowanie tylko u chorych z guzem o zaawansowaniu pT3 lub pT4 albo zajęciem lokalnych węzłów chłonnych (cecha N+), którzy nie otrzymali wcześniej chemioterapii neoadiuwantowej[314][315]. Zwykle stosuje się 3–4 kursy dd-MVAC lub 4 kursy GC[243].

Nie ma wystarczających dowodów przemawiających za rutynowym stosowaniem leczenia adiuwantowego[315][316][317][318]. Poszczególne badania znacznie różnią się badaną grupą chorych i stosowanymi w nich schematami leczenia obejmując cisplatynę w skojarzeniu z różnymi lekami, a także w monoterapii[316]. Kilka badań obserwacyjnych i metaanaliz sugeruje wydłużenie przeżycia całkowitego leczonych oraz przeżycia wolnego od nawrotu[248][319][320][321]. W badaniu EORTC 30994 stwierdzono poprawę przeżycia wolnego od progresji w grupie chorych leczonych chemioterapią adiuwantową włączoną w ciągu 90 dni po zabiegu operacyjnym w porównaniu z chemioterapią włączoną po rozpoznaniu progresji choroby[322].

Leczenie choroby uogólnionej

U połowy chorych poddanych radykalnej cystektomii dochodzi do nawrotu choroby pod postacią rozwoju przerzutów odległych. Obecność przerzutów w momencie rozpoznania nie jest częsta i dotyczy około 4% chorych[323]. Podstawową metodą leczenia raka pęcherza moczowego z przerzutami odległymi oraz nieoperacyjnej choroby miejscowo zaawansowanej jest chemioterapia oparta na cisplatynie[324]. Leczenie ma za zadanie złagodzenie objawów choroby, poprawę jakości życia oraz wydłużenie przeżycia leczonych[325]. Długotrwałe przeżycia u chorych z uogólnionym rakiem pęcherza moczowego są obserwowane jedynie u chorych w dobrym stanie sprawności, bez przerzutów narządowych i kostnych. U chorych w złym stanie sprawności, z przerzutami narządowymi na ogół stwierdza się złą tolerancję leczenia i rzadko rozpoznaje się odpowiedzi na leczenie[323].

W leczeniu choroby zaawansowanej najczęściej stosuje się programy MVAC i GC[326][315]. W badaniu klinicznym na 405 chorych z zaawansowanym rakiem pęcherza moczowego porównano programy MVAC (metotreksat, winblastyna, adrianomycyna i cisplatyna) oraz GC (gemcytabina i cisplatyna), zaobserwowano podobny odsetek przeżycia całkowitego (OS) oraz przeżycia wolnego od progresji (PFS) i nie wykazano przewagi żadnego z badanych schematów leczenia[253][254][327]. Główną różnicą pomiędzy programami była toksyczność, która była niższa dla programu GC[327].

Program MVAC jest lepiej tolerowany w modyfikacji z zagęszczonymi dawkami w połączeniu z czynnikami wzrostu granulocytów (dd-MVAC)[328]. W badaniu klinicznym na 263 chorych porównano program MVAC z dd-MVAC i wykazano, że program dd-MVAC w porównaniu do MVAC charakteryzuje się wyższym odsetkiem odpowiedzi całkowitych, przeżyciem wolnym od progresji (PFS) oraz mniejszą toksycznością, jednak nie zaobserwowano różnicy w osiąganych przeżyciach całkowitych[329][330][328].

Oceniono intensyfikację leczenia w programie GC poprzez dodanie paklitakselu i zastosowanie programu złożonego z gemcytabiny, cisplatyny i paklitakselu (PGC). W randomizowanym badaniu klinicznym porównano połączenie gemcytabiny i cisplatyny (GC) z gemcytabiną, cisplatyną oraz paklitakselem (PGC). Dodanie paklitakselu skutkowało wyższym odsetkiem odpowiedzi (56% dla PGC i 44% dla GC), jednak nie uzyskano istotnej statystycznie poprawy przeżycia całkowitego (OS) i przeżycia wolnego od progresji (PFS)[331][328]. Według EAU program PGC może być jedną z opcji leczenia pierwszego rzutu w przerzutowym raku pęcherza moczowego[328][332]. Z kolei według NCCN ryzyko działań niepożądanych przewyższa korzyści wynikające z dodania paklitakselu[333].

U chorych z upośledzoną funkcją nerek (GFR <60 ml/min), nasiloną ototoksycznością, nasiloną neuropatią obwodową czy stanem sprawności PS2 ze względu na lepszy profil toksyczności leku można zastosować programy oparte na karboplatynie, szczególnie połączenie karboplatyny z gemcytabiną (GemCarbo)[332][334]. Pogramy zastępujące cisplatynę karboplatyną nie są równoważne programom z cisplatyną, ponieważ programy zawierające karboplatynę oferują mniejszy odsetek odpowiedzi oraz krótsze przeżycie całkowite niż programy oparte na cisplatynie[335]. W badaniu EORTC 30986 oceniono skuteczność połączenia karboplatyny z gemcytabiną (GemCarbo) oraz karboplatyny z metotreksatem oraz winblastyną (M-CAVI). U leczonych połączeniem karboplatyny z gemcytabiną zaobserwowano wyższy odsetek odpowiedzi niż połączenia karboplatyny z metotreksatem i winblastyną wynoszący odpowiednio 42% i 30%, jednak u chorych z upośledzoną funkcją nerek czy obniżonym stanem sprawności odsetki odpowiedzi były niższe i wynosiły odpowiednio 26% i 20%[336][337][333]. Według NCCN w leczeniu I linii u chorych nie kwalifikujących się do leczenia programami opartymi na platynie opcjami są również inhibitory PD-1: pembrolizumab i atezolizumab[338].

Leczenie II linii

Progresja podczas leczenia chemioterapią I linii wiąże się ze złym rokowaniem. Nie ma wystarczających danych, aby wskazać optymalną metodę leczenia II linii[339].

Leczenie drugiej linii może obejmować ponowne włączenie programu zawierającego cisplatynę, jeśli progresja u chorych odpowiadających na cisplatynę w pierwszej linii nastąpiła w ciągu 6–12 miesięcy od zakończenia tego leczenia[328][340]. Dostępne dane wskazują, że ponowne włączenie cisplatyny u wybranych chorych może umożliwiać osiągnięcie korzystnych odsetków odpowiedzi i przeżycia[340][341][342][343][344].

Winflunina jest alkaloidem Vinca zarejestrowanym w leczeniu II linii zaawansowanego raka pęcherza moczowego. Skuteczność winfluwiny porównano w randomizowanym badaniu klinicznym III fazy z najlepszą terapią wspomagającą (BSC) i stwierdzono poprawę mediany przeżycia całkowitego o 2,3 miesiąca (odpowiednio 6,9 miesięcy dla winfluniny i 4,6 dla BSC) oraz 10% leczonych osiągnęło częściową remisję (PR)[345][340][335]. Leczenie nie pogorszyło jakości życia leczonych[340]. Ze względu na wykazaną istotną statystycznie poprawę przeżycia całkowitego oraz stopień dowodu tego badania część autorów zaleca winfluninę jako lek II rzutu[335][340].

Najczęściej w leczeniu drugiej linii stosuje się taksany[318][340]. Paklitaksel w drugiej linii leczenia wykazuje 5–10% odpowiedzi obiektywnych i podczas leczenia tym lekiem obserwuje się 6,5–7,2 miesięczną medianą przeżycia całkowitego[346][347][348][340]. Docetaksel w badaniu na 30 chorych u 13% powodował częściową remisję (PR), a mediana przeżycia całkowitego leczonych wynosiła 9 miesięcy[349]. W innym badaniu na 70 chorych zaobserwowano częściową remisję u 9% i medianę przeżycia całkowitego wynoszącą 7 miesięcy[350][340]. Połączenie taksanów z innymi cytostatykami skutkowało wyższymi odsetkami odpowiedzi obiektywnych sięgających 15–60%, jednak obserwowano większą toksyczność takiego leczenia, a korzyści w poprawie przeżycia całkowitego były niepewne[340]. Połączenie gemcytabiny z paklitakselem u 30–60% leczonych wywoływało odpowiedź obiektywną[340][351][352], jednak brak badań randomizowanych uniemożliwia obiektywną ocenę wpływu na przeżycie leczonych[335].

Gemcytabina w leczeniu kolejnych linii bywa stosowana w monoterapii lub w połączeniu z paklitakselem. W monoterapii w różnych próbach klinicznych wykazywała 11–29% odsetek odpowiedzi obiektywnych[353][354][355][356]. Ifosfamid w jednym z badań oceniających skuteczność w leczeniu II linii wykazał 20% odsetek odpowiedzi obiektywnych, ale stosowanie leku wiązało się ze znaczną toksycznością[357][340].

Immunoterapia w leczeniu zaawansowanego raka pęcherza moczowego

Choć rak pęcherza moczowego, podobnie jak wiele innych nowotworów złośliwych, wywołuje odpowiedź immunologiczną, to jednak komórki nowotworowe poprzez dezaktywację limfocytów cytotoksycznych, wpływ na punkty kontrolne układu immunologicznego i utrzymywanie immunosupresyjnego mikrośrodowiska unikają skutecznej odpowiedzi i zniszczenia. Immunoterapia ma na celu przywrócenie skutecznej odpowiedzi immunologicznej. W leczeniu nieinwazyjnego raka pęcherza moczowego immunoterapię z zastosowaniem dopęcherzowego podania szczepionki BCG wykorzystuje się już od końca lat 70. W połowie 2016 roku w Stanach Zjednoczonych zarejestrowano pierwszy inhibitor PD-1 w leczeniu zaawansowanego raka pęcherza moczowego[358][359].

Fizjologicznie receptor PD-1 ma za zadanie ograniczenie aktywności efektorowej limfocytów T, ich proliferacji i wydzielaniu cytokin w celu ograniczenia odpowiedzi zapalnej i zapobieganiu procesom autoimmunologicznym[360][361]. Ekspresja ligandu receptora PD-1 (PD-L1) na komórkach nowotworowych pozwala im uniknąć odpowiedzi immunologicznej i zniszczenia. Blokada PD-1 lub PD-L1 nasila stłumioną odpowiedź immunologiczną wobec komórek nowotworowych[362].

Pembrolizumab jest lekiem biologicznym będący przeciwciałem skierowanym przeciwko receptorowi programowanej śmierci PD-1. W badaniu KEYNOTE-045 na 542 chorych z progresją podczas leczenia opartego na cisplatynie porównano skuteczność pembrolizumabu w leczeniu II linii z chemioterapią z użyciem taksanów lub winfluniny. U chorych leczonych pembrolizumabem obserwowano lepszą medianę przeżycia całkowitego w porównaniu do leczonych chemioterapią z użyciem taksanów albo winfluniny. Mediana przeżycia całkowitego u leczonych pembrolizumabem wynosiła 10,3 miesięcy, a leczonych chemioterapią 7,4 miesięcy[363]. Według NCCN pembrolizumab może być stosowany w leczeniu II linii po progresji po leczeniu chemioterapią opartej na cisplatynie[338].

W leczeniu II linii raka pęcherza moczowego oceniono przydatność również innych przeciwciał anty-PD1 i anty-PD-L1, w tym atezolizumabu, niwolumabu, durwalumabu i awelumabu[364].

Atezolizumab jest przeciwciałem anty-PD-L1. W jednoramiennym badaniu II fazy atezolizumab jako lek II linii po progresji na programie opartym na cisplatynie u 15% wywoływał odpowiedź obiektywną[365][366]. Z kolei u chorych niekwalifikujących się do leczenia cisplatyną w leczeniu I linii atezolizumab u 23% wywoływał obiektywną odpowiedź (ORR), a u 9% całkowitą odpowiedź (CR)[367][366].

Niwolumab jest przeciwciałem skierowanym przeciw PD-1. W leczeniu kolejnych linii po progresji podczas leczenia cisplatyną w badaniu II fazy niwolumab wywoływał odpowiedź obiektywną u 19,6% leczonych[368].

Durwalumab jest przeciwciałem anty-PD-L1. Durwalumab w ramach leczenia kolejnej linii w badaniu I/II fazy wywoływał odpowiedź obiektywną u 17,8% chorych[369].

Awelumab jest przeciwciałem anty-PD-L1. Awelumab w badaniu na 44 chorych w leczeniu chorych opornych na cisplatynę u 18,2% leczonych wywołał odpowiedź obiektywną, mediana przeżycia wolnego od progresji wynosiła 11,6 tygodnia, a mediana przeżycia całkowitego wyniosła 13,7 miesiąca[370]. Awelumab oceniono również w leczeniu I linii chorych niekwalifikujących się do leczenia z użyciem cisplatyny. W badaniu na 241 chorych lek wywoływał u 17,6% leczonych odpowiedź obiektywną, mediana przeżycia całkowitego wynosiła 7,0 miesięcy[371].

Rokowanie

Przeżycie chorych na raka pęcherza moczowego zależy od stopnia zaawansowania choroby, wieku oraz płci[372]. Ocenia się, że 77,3% chorych na raka pęcherza moczowego osiąga przeżycie pięcioletnie[373].

Pięcioletnie przeżycie chorych z rakiem pęcherza moczowego według SEER[373]
Stadium kliniczne Odsetek przeżycia pięcioletniego
Rak in situ 95,7%
Stadium miejscowe[a] 70,1%
Stadium regionalne (lokoregionalne)[b] 35,2%
Stadium uogólnione (rozsiane)[c] 5,0%

Historia

Rak pęcherza moczowego był uważany za rzadkie znalezisko i do XVII wieku nie opisywano tej choroby, choć bywał przypadkowo znajdowany podczas litotomii[375][376]. W 1639 roku Joseph Covillard wykonał pierwszą planową operację usunięcia guza pęcherza moczowego[375]. Steven Blankaart i Charles Drelincourt podali opisy guzów rozpoznanych w badaniu post mortem[376]. Kolejne zabiegi cystektomii wykonywali Charles Soemmering, François Colot i Claude Le Cat[376]. W 1874 roku Theodor Billroth wykonał pierwszą nadłonową cystektomię[375]. W 1884 roku Sonnenburg wykonał częściową cystektomię. W 1877 roku Max Nitze do diagnostyki wprowadził cystoskop[375]. Kolejny przełom był związany z wprowadzeniem znieczulenia ogólnego, pod którym cystektomię pierwszy raz wykonał w 1884 roku Bardenheur[375]. W latach 60. XX wieku wprowadzono do leczenia chemioterapię dopęcherzową. W 1976 roku Morales w leczeniu nieinwazyjnych raków pęcherza moczowego zastosował immunoterapię BCG[375], choć już w 1929 roku przeprowadzono pierwsze badania nad zastosowaniem BCG w leczeniu choroby[377]. W 1978 roku wykazano skuteczność cisplatyny w leczeniu tego nowotworu[378], w 1985 roku opracowano program MVAC[379].

Klasyfikacja ICD10

kod ICD10nazwa choroby
ICD-10: C67Nowotwór złośliwy pęcherza moczowego
ICD-10: C67.0Trójkąt pęcherza moczowego
ICD-10: C67.1Szczyt pęcherza moczowego
ICD-10: C67.2Ściana boczna pęcherza moczowego
ICD-10: C67.3Ściana przednia pęcherza moczowego
ICD-10: C67.4Ściana tylna pęcherza moczowego
ICD-10: C67.5Szyja pęcherza moczowego
ICD-10: C67.6Ujście moczowodu
ICD-10: C67.7Moczownik
ICD-10: C67.8Zmiana przekraczająca granice jednego umiejscowienia w obrębie pęcherza moczowego
ICD-10: C67.9Pęcherz moczowy, umiejscowienie nieokreślone

Uwagi

  1. Stadium miejscowe jest definiowane jako ograniczenie procesu nowotworowego wyłącznie do narządu wyjściowego, czyli w tym przypadku do pęcherza moczowego[374]
  2. Stadium lokoregionalne jest definiowane jako obecność procesu nowotworowego poza narządem wyjściowym obejmującą sąsiednie narządy i struktury anatomiczne oraz pobliskie węzły chłonne[374]
  3. Stadium zaawansowane choroby oznacza obecność procesu nowotworowego w odległych strukturach anatomicznych związaną z wytworzeniem przerzutów nowotworowych[374]

Przypisy

  1. 1 2 3 4 5 Z. Kirkali, T. Chan, M. Manoharan, F. Algaba i inni. Bladder cancer: epidemiology, staging and grading, and diagnosis. „Urology”. 66 (6 Suppl 1), s. 4–34, 2005. DOI: 10.1016/j.urology.2005.07.062. PMID: 16399414.
  2. 1 2 S. Antoni, J. Ferlay, I. Soerjomataram, A. Znaor i inni. Bladder Cancer Incidence and Mortality: A Global Overview and Recent Trends. „Eur Urol”. 71 (1), s. 96–108, 2017. DOI: 10.1016/j.eururo.2016.06.010. PMID: 27370177.
  3. 1 2 M. Ploeg, K.K. Aben, L.A. Kiemeney. The present and future burden of urinary bladder cancer in the world. „World J Urol”. 27 (3), s. 289–293, 2009. DOI: 10.1007/s00345-009-0383-3. PMID: 19219610.
  4. 1 2 3 Y. Kakehi, Y. Hirao, W.J. Kim, S. Ozono i inni. Bladder Cancer Working Group report. „Jpn J Clin Oncol”. 40 Suppl 1, 2010. DOI: 10.1093/jjco/hyq128. PMID: 20870921.
  5. 1 2 3 4 5 6 7 8 9 10 11 12 13 14 15 M. Burger, J.W. Catto, G. Dalbagni, H.B. Grossman i inni. Epidemiology and risk factors of urothelial bladder cancer. „Eur Urol”. 63 (2), s. 234–241, Feb 2013. DOI: 10.1016/j.eururo.2012.07.033. PMID: 22877502.
  6. 1 2 S. Chavan, F. Bray, J. Lortet-Tieulent, M. Goodman i inni. International variations in bladder cancer incidence and mortality. „Eur Urol”. 66 (1), s. 59–73, 2014. DOI: 10.1016/j.eururo.2013.10.001. PMID: 24451595.
  7. 1 2 3 4 5 6 7 8 9 10 S. Letašiová, A. Medve’ová, A. Šovčíková, M. Dušinská i inni. Bladder cancer, a review of the environmental risk factors. „Environ Health”. 11 Suppl 1, 2012. DOI: 10.1186/1476-069X-11-S1-S11. PMID: 22759493.
  8. N. Mahdavifar, M. Ghoncheh, R. Pakzad, Z. Momenimovahed i inni. Epidemiology, Incidence and Mortality of Bladder Cancer and their Relationship with the Development Index in the World. „Asian Pac J Cancer Prev”. 17 (1), s. 381–386, 2016. PMID: 26838243.
  9. Nowotwory złośliwe pęcherza moczowego (C67). [dostęp 2017-08-08]. [zarchiwizowane z tego adresu].
  10. 1 2 3 4 Haiyan Chu, Meilin Wang, Zhengdong Zhang, Bladder cancer epidemiology and genetic susceptibility, „J Biomed Res”, 27 (3), 2013, s. 170–178, DOI: 10.7555/JBR.27.20130026, PMID: 23720672, PMCID: PMC3664723.
  11. 1 2 3 H. Kuper, P. Boffetta, H.O. Adami. Tobacco use and cancer causation: association by tumour type. „J Intern Med”. 252 (3), s. 206–224, 2002. PMID: 12270001.
  12. M.P. Zeegers, E. Kellen, F. Buntinx, P.A. van den Brandt. The association between smoking, beverage consumption, diet and bladder cancer: a systematic literature review. „World J Urol”. 21 (6), s. 392–401, 2004. DOI: 10.1007/s00345-003-0382-8. PMID: 14685762.
  13. 1 2 M.P. Zeegers, F.E. Tan, E. Dorant, P.A. van Den Brandt. The impact of characteristics of cigarette smoking on urinary tract cancer risk: a meta-analysis of epidemiologic studies. „Cancer”. 89 (3), s. 630–639, 2000. PMID: 10931463.
  14. F.H. van Osch, S.H. Jochems, F.J. van Schooten, R.T. Bryan i inni. Quantified relations between exposure to tobacco smoking and bladder cancer risk: a meta-analysis of 89 observational studies. „Int J Epidemiol”. 45 (3), s. 857–870, 2016. DOI: 10.1093/ije/dyw044. PMID: 27097748.
  15. 1 2 P. Brennan, O. Bogillot, S. Cordier, E. Greiser i inni. Cigarette smoking and bladder cancer in men: a pooled analysis of 11 case-control studies. „Int J Cancer”. 86 (2), s. 289–294, 2000. PMID: 10738259.
  16. P. Brennan, O. Bogillot, E. Greiser, J. Chang-Claude i inni. The contribution of cigarette smoking to bladder cancer in women (pooled European data). „Cancer Causes Control”. 12 (5), s. 411–417, 2001. PMID: 11545456.
  17. A. Pitard, P. Brennan, J. Clavel, E. Greiser i inni. Cigar, pipe, and cigarette smoking and bladder cancer risk in European men. „Cancer Causes Control”. 12 (6), s. 551–556, 2001. PMID: 11519763.
  18. 1 2 C.M. Samanic, M. Kogevinas, D.T. Silverman, A. Tardón i inni. Occupation and bladder cancer in a hospital-based case-control study in Spain. „Occup Environ Med”. 65 (5), s. 347–353, 2008. DOI: 10.1136/oem.2007.035816. PMID: 17951336.
  19. L. Rushton, S. Bagga, R. Bevan, T.P. Brown i inni. Occupation and cancer in Britain. „Br J Cancer”. 102 (9), s. 1428–1437, 2010. DOI: 10.1038/sj.bjc.6605637. PMID: 20424618.
  20. R.C. Reulen, E. Kellen, F. Buntinx, M. Brinkman i inni. A meta-analysis on the association between bladder cancer and occupation. „Scand J Urol Nephrol Suppl”, s. 64–78, 2008. DOI: 10.1080/03008880802325192. PMID: 18815919.
  21. H. Abol-Enein. Infection: is it a cause of bladder cancer?. „Scand J Urol Nephrol Suppl”, s. 79–84, 2008. DOI: 10.1080/03008880802325309. PMID: 18815920.
  22. 1 2 P.F. Rambau, P.L. Chalya, K. Jackson. Schistosomiasis and urinary bladder cancer in North Western Tanzania: a retrospective review of 185 patients. „Infect Agent Cancer”. 8 (1), s. 19, 2013. DOI: 10.1186/1750-9378-8-19. PMID: 23705833.
  23. S.A. Sheweita, F.G. El-Shahat, M.A. Bazeed, M.R. Abu El-Maati i inni. Effects of Schistosoma haematobium infection on drug-metabolizing enzymes in human bladder cancer tissues. „Cancer Lett”. 205 (1), s. 15–21, 2004. DOI: 10.1016/j.canlet.2003.09.023. PMID: 15036656.
  24. 1 2 3 M.H. Mostafa, S.A. Sheweita, P.J. O’Connor. Relationship between schistosomiasis and bladder cancer. „Clin Microbiol Rev”. 12 (1), s. 97–111, 1999. PMID: 9880476.
  25. 1 2 3 4 5 6 7 8 A.H. Al-Zalabani, K.F. Stewart, A. Wesselius, A.M. Schols i inni. Modifiable risk factors for the prevention of bladder cancer: a systematic review of meta-analyses. „Eur J Epidemiol”. 31 (9), s. 811–851, 2016. DOI: 10.1007/s10654-016-0138-6. PMID: 27000312.
  26. J. Lin, M.R. Forman, J. Wang, H.B. Grossman i inni. Intake of red meat and heterocyclic amines, metabolic pathway genes and bladder cancer risk. „Int J Cancer”. 131 (8), s. 1892–1903, 2012. DOI: 10.1002/ijc.27437. PMID: 22261697.
  27. 1 2 C. Piyathilake. Dietary factors associated with bladder cancer. „Investig Clin Urol”. 57 Suppl 1, s. 14–25, 2016. DOI: 10.4111/icu.2016.57.S1.S14. PMID: 27326403.
  28. T.T. Mosby, M. Cosgrove, S. Sarkardei, K.L. Platt i inni. Nutrition in adult and childhood cancer: role of carcinogens and anti-carcinogens. „Anticancer Res”. 32 (10), s. 4171–4192, 2012. PMID: 23060538.
  29. C. Xu, X.T. Zeng, T.Z. Liu, C. Zhang i inni. Fruits and vegetables intake and risk of bladder cancer: a PRISMA-compliant systematic review and dose-response meta-analysis of prospective cohort studies. „Medicine (Baltimore)”. 94 (17), 2015. DOI: 10.1097/MD.0000000000000759. PMID: 25929912.
  30. A.R. Vieira, S. Vingeliene, D.S. Chan, D. Aune i inni. Fruits, vegetables, and bladder cancer risk: a systematic review and meta-analysis. „Cancer Med”. 4 (1), s. 136–146, 2015. DOI: 10.1002/cam4.327. PMID: 25461441.
  31. B. Yao, Y. Yan, X. Ye, H. Fang i inni. Intake of fruit and vegetables and risk of bladder cancer: a dose-response meta-analysis of observational studies. „Cancer Causes Control”. 25 (12), s. 1645–1658, 2014. DOI: 10.1007/s10552-014-0469-0. PMID: 25248495.
  32. H. Liu, X.C. Wang, G.H. Hu, Z.F. Guo i inni. Fruit and vegetable consumption and risk of bladder cancer: an updated meta-analysis of observational studies. „Eur J Cancer Prev”. 24 (6), s. 508–516, 2015. DOI: 10.1097/CEJ.0000000000000119. PMID: 25642791.
  33. L. Tang, G.R. Zirpoli, K. Guru, K.B. Moysich i inni. Consumption of raw cruciferous vegetables is inversely associated with bladder cancer risk. „Cancer Epidemiol Biomarkers Prev”. 17 (4), s. 938–944, 2008. DOI: 10.1158/1055-9965.EPI-07-2502. PMID: 18398034.
  34. J. Lin, A. Kamat, J. Gu, M. Chen i inni. Dietary intake of vegetables and fruits and the modification effects of GSTM1 and NAT2 genotypes on bladder cancer risk. „Cancer Epidemiol Biomarkers Prev”. 18 (7), s. 2090–2097, 2009. DOI: 10.1158/1055-9965.EPI-08-1174. PMID: 19549811.
  35. F.L. Büchner, H.B. Bueno-de-Mesquita, M.M. Ros, E. Kampman i inni. Consumption of vegetables and fruit and the risk of bladder cancer in the European Prospective Investigation into Cancer and Nutrition. „Int J Cancer”. 125 (11), s. 2643–2651, 2009. DOI: 10.1002/ijc.24582. PMID: 19618458.
  36. S.C. Larsson, S.O. Andersson, J.E. Johansson, A. Wolk. Fruit and vegetable consumption and risk of bladder cancer: a prospective cohort study. „Cancer Epidemiol Biomarkers Prev”. 17 (9), s. 2519–2522, 2008. DOI: 10.1158/1055-9965.EPI-08-0407. PMID: 18768526.
  37. 1 2 3 4 5 6 J. Ferrís, O. Berbel, J. Alonso-López, J. Garcia i inni. Environmental non-occupational risk factors associated with bladder cancer. „Actas Urol Esp”. 37 (9), s. 579–586, 2013. DOI: 10.1016/j.acuro.2013.02.004. PMID: 23618510.
  38. N. Saint-Jacques, L. Parker, P. Brown, T.J. Dummer. Arsenic in drinking water and urinary tract cancers: a systematic review of 30 years of epidemiological evidence. „Environ Health”. 13, s. 44, 2014. DOI: 10.1186/1476-069X-13-44. PMID: 24889821.
  39. C.M. Villanueva, F. Fernández, N. Malats, J.O. Grimalt i inni. Meta-analysis of studies on individual consumption of chlorinated drinking water and bladder cancer. „J Epidemiol Community Health”. 57 (3), s. 166–173, 2003. PMID: 12594192.
  40. N. Costet, C.M. Villanueva, J.J. Jaakkola, M. Kogevinas i inni. Water disinfection by-products and bladder cancer: is there a European specificity? A pooled and meta-analysis of European case-control studies. „Occup Environ Med”. 68 (5), s. 379–385, 2011. DOI: 10.1136/oem.2010.062703. PMID: 21389011.
  41. 1 2 3 4 5 O. Anderson-Otunu, S. Akhtar. Chronic Infections of the Urinary Tract and Bladder Cancer Risk: a Systematic Review. „Asian Pac J Cancer Prev”. 17 (8), s. 3805–3807, 2016. PMID: 27644620.
  42. 1 2 3 K.J. Kiriluk, S.M. Prasad, A.R. Patel, G.D. Steinberg i inni. Bladder cancer risk from occupational and environmental exposures. „Urol Oncol”. 30 (2). s. 199–211. DOI: 10.1016/j.urolonc.2011.10.010. PMID: 22385990.
  43. C. La Vecchia, E. Negri, B. D’Avanzo, R. Savoldelli i inni. Genital and urinary tract diseases and bladder cancer. „Cancer Res”. 51 (2), s. 629–631, 1991. PMID: 1985779.
  44. S.R. Sturgeon, P. Hartge, D.T. Silverman, A.F. Kantor i inni. Associations between bladder cancer risk factors and tumor stage and grade at diagnosis. „Epidemiology”. 5 (2), s. 218–225, 1994. PMID: 8172997.
  45. D.S. Michaud. Chronic inflammation and bladder cancer. „Urol Oncol”. 25 (3). s. 260–268. DOI: 10.1016/j.urolonc.2006.10.002. PMID: 17483025.
  46. H. El-Mosalamy, T.M. Salman, A.M. Ashmawey, N. Osama. Role of chronic E. coli infection in the process of bladder cancer- an experimental study. „Infect Agent Cancer”. 7 (1), s. 19, 2012. DOI: 10.1186/1750-9378-7-19. PMID: 22873280.
  47. C.A. González, M. Errezola, I. Izarzugaza, G. López-Abente i inni. Urinary infection, renal lithiasis and bladder cancer in Spain. „Eur J Cancer”. 27 (4), s. 498–500, 1991. PMID: 1827729.
  48. K. Czene, P. Lichtenstein, K. Hemminki. Environmental and heritable causes of cancer among 9.6 million individuals in the Swedish Family-Cancer Database. „Int J Cancer”. 99 (2), s. 260–266, 2002. DOI: 10.1002/ijc.10332. PMID: 11979442.
  49. K.K. Aben, J.A. Witjes, M.P. Schoenberg, C. Hulsbergen-van de Kaa i inni. Familial aggregation of urothelial cell carcinoma. „Int J Cancer”. 98 (2), s. 274–278, 2002. PMID: 11857419.
  50. J. Lin, M.R. Spitz, C.P. Dinney, C.J. Etzel i inni. Bladder cancer risk as modified by family history and smoking. „Cancer”. 107 (4), s. 705–711, 2006. DOI: 10.1002/cncr.22071. PMID: 16845665.
  51. G. Randi, C. Pelucchi, E. Negri, R. Talamini i inni. Family history of urogenital cancers in patients with bladder, renal cell and prostate cancers. „Int J Cancer”. 121 (12), s. 2748–2752, 2007. DOI: 10.1002/ijc.23037. PMID: 17724720.
  52. Anna Długosz, Justyna Gąsior, Anna Guzik, Wpływ czynników środowiskowych na rozwój raka pęcherza moczowego, „Nowotwory”, 65 (1), 2015, s. 35–41.
  53. Mayo Clinic: Bladder cancer. [dostęp 2019-09-02]. [zarchiwizowane z tego adresu].
  54. 1 2 J.T. Leppert, O. Shvarts, K. Kawaoka, R. Lieberman i inni. Prevention of bladder cancer: a review. „Eur Urol”. 49 (2), s. 226–234, 2006. DOI: 10.1016/j.eururo.2005.12.011. PMID: 16413099.
  55. P. Vineis, C.P. Wild. Global cancer patterns: causes and prevention. „Lancet”. 383 (9916), s. 549–557, 2014. DOI: 10.1016/S0140-6736(13)62224-2. PMID: 24351322.
  56. DeVita, Lawrence i Rosenberg 2008 ↓, s. 1359.
  57. R. Chou, T. Dana. Screening adults for bladder cancer: a review of the evidence for the U.S. preventive services task force. „Ann Intern Med”. 153 (7), s. 461–468, 2010. DOI: 10.7326/0003-4819-153-7-201010050-00009. PMID: 20921545.
  58. S. Larré, J.W. Catto, M.S. Cookson, E.M. Messing i inni. Screening for bladder cancer: rationale, limitations, whom to target, and perspectives. „Eur Urol”. 63 (6), s. 1049–1058, 2013. DOI: 10.1016/j.eururo.2012.12.062. PMID: 23313034.
  59. 1 2 3 Mikuz 2007 ↓, s. 58.
  60. 1 2 3 A. Lopez-Beltran. Bladder cancer: clinical and pathological profile. „Scand J Urol Nephrol Suppl”, s. 95–109, 2008. DOI: 10.1080/03008880802325226. PMID: 18815924.
  61. 1 2 3 4 5 Nicholas Vogelzang: Comprehensive Textbook of Genitourinary Oncology. Lippincott Williams & Wilkins, 2006, s. 355–356. ISBN 978-0-7817-4984-8.
  62. 1 2 3 Krzakowski i in. 2015 ↓, s. 761.
  63. Radzisław Kordek: Onkologia. Podręcznik dla studentów i lekarzy. Gdańsk: VIA MEDICA, 2007, s. 258. ISBN 978-83-7555-016-0.
  64. David MacVicar: Carcinoma of the Bladder. Cambridge University Press, 2008, s. 26–27. ISBN 978-1-139-47272-2.
  65. Bostwick i Cheng 2014 ↓, s. 230.
  66. 1 2 3 4 V. Chalasani, J.L. Chin, J.I. Izawa. Histologic variants of urothelial bladder cancer and nonurothelial histology in bladder cancer. „Can Urol Assoc J”. 3 (6 Suppl 4), s. 193–198, 2009. PMID: 20019984.
  67. 1 2 3 4 5 I. Damjanov, M. Golubović. Histopathology of urinary bladder carcinoma: less common variants. „Srp Arh Celok Lek”. 139 (9–10). s. 693–639. PMID: 22070010.
  68. 1 2 Anna Kołodziej, Romuald Zdrojowy, Sławomir Piotr Woźniak, Górzyńska Górzyńska i inni. Znaczenie kliniczne nowej klasyfikacji histopatologicznej WHO/ISUP 2004 w zakresie raków Ta/T1 pęcherza moczowego. „Urologia Polska”, 2007. [zarchiwizowane z adresu].
  69. Vinay Kumar, Ramzi S. Cotran, Stanley L. Robins: Robins Patologia. Wrocław: Elsevier Urban & Partner, 2005, s. 232–232. ISBN 83-89581-92-2.
  70. 1 2 Y. Klaile, K. Schlack, M. Boegemann, J. Steinestel i inni. Variant histology in bladder cancer: how it should change the management in non-muscle invasive and muscle invasive disease?. „Transl Androl Urol”. 5 (5), s. 692–701, 2016. DOI: 10.21037/tau.2016.06.13. PMID: 27785426.
  71. Zbigniew Jabłonowski. Rak pęcherza moczowego – epidemiologia, diagnostyka i leczenie w XXI wieku. „Folia Medica Lodziensia”, 2013.
  72. 1 2 3 4 P.A. Humphrey, H. Moch, A.L. Cubilla, T.M. Ulbright i inni. The 2016 WHO Classification of Tumours of the Urinary System and Male Genital Organs-Part B: Prostate and Bladder Tumours. „Eur Urol”. 70 (1), s. 106–119, 2016. DOI: 10.1016/j.eururo.2016.02.028. PMID: 26996659.
  73. 1 2 Bartosz Dybowski. Znaczenie kliniczne klasyfikacji histologicznej nieinwazyjnych guzów pęcherza moczowego, przyjętej przez WHO w 2004 roku. „Przegląd Urologiczny”, 2007. [zarchiwizowane z adresu].
  74. Bostwick i Cheng 2014 ↓, s. 253.
  75. Eble i in. 2004 ↓, s. 96–97.
  76. 1 2 3 4 Eble i in. 2004 ↓, s. 97.
  77. Mikuz 2007 ↓, s. 65.
  78. 1 2 3 4 Mikuz 2007 ↓, s. 65–67.
  79. 1 2 Petersen, Sesterhenn i Davis 2009 ↓, s. 220.
  80. 1 2 3 Bostwick i Cheng 2014 ↓, s. 262.
  81. Joaquim Bellmunt: Bladder Cancer, An Issue of Hematology/Oncology Clinics of North America. Elsevier Health Sciences, 2015, s. 239. ISBN 978-0-323-35994-8.
  82. 1 2 Eble i in. 2004 ↓, s. 97–98.
  83. 1 2 3 4 Eble i in. 2004 ↓, s. 102.
  84. 1 2 3 4 5 6 M.B. Amin. Histological variants of urothelial carcinoma: diagnostic, therapeutic and prognostic implications. „Mod Pathol”. 22 Suppl 2, 2009. DOI: 10.1038/modpathol.2009.26. PMID: 19494856.
  85. Eble i in. 2004 ↓, s. 99.
  86. 1 2 3 Mikuz 2007 ↓, s. 68.
  87. Eble i in. 2004 ↓, s. 100.
  88. Eble i in. 2004 ↓, s. 99–100.
  89. Eble i in. 2004 ↓, s. 100–101.
  90. Mikuz 2007 ↓, s. 69.
  91. 1 2 Eble i in. 2004 ↓, s. 103.
  92. Sławomir Poletajew. Patologia raka pęcherza moczowego. „Przegląd Urologiczny”, 2013. [zarchiwizowane z adresu].
  93. 1 2 3 4 Eble i in. 2004 ↓, s. 115.
  94. Seth P. Lerner, Mark Schoenberg, Cora Sternberg: Textbook of Bladder Cancer. CRC Press, 2006, s. 44. ISBN 978-1-84184-382-7.
  95. 1 2 Petersen, Sesterhenn i Davis 2009 ↓, s. 213.
  96. 1 2 3 4 5 6 H. Miyamoto, J.S. Miller, D.A. Fajardo, T.K. Lee i inni. Non-invasive papillary urothelial neoplasms: the 2004 WHO/ISUP classification system. „Pathol Int”. 60 (1), s. 1–8, 2010. DOI: 10.1111/j.1440-1827.2009.02477.x. PMID: 20055945.
  97. 1 2 3 4 5 6 7 8 9 Eble i in. 2004 ↓, s. 119–120.
  98. 1 2 P.A. Humphrey. Urothelial carcinoma in situ of the bladder. „J Urol”. 187 (3), s. 1057–1058, 2012. DOI: 10.1016/j.juro.2011.12.020. PMID: 22265997.
  99. 1 2 David C. Chhieng, Gene P. Siegal: Updates in Diagnostic Pathology. Springer Science & Business Media, 2007, s. 24. ISBN 978-0-387-32025-0.
  100. 1 2 3 Eble i in. 2004 ↓, s. 116.
  101. 1 2 3 4 Eble i in. 2004 ↓, s. 117.
  102. 1 2 Seth P. Lerner, Mark Schoenberg, Cora Sternberg: Textbook of Bladder Cancer. CRC Press, 2006, s. 44–45. ISBN 978-1-84184-382-7.
  103. 1 2 Seth P. Lerner, Mark Schoenberg, Cora Sternberg: Textbook of Bladder Cancer. CRC Press, 2006, s. 45. ISBN 978-1-84184-382-7.
  104. 1 2 3 4 Eble i in. 2004 ↓, s. 117–118.
  105. 1 2 Eble i in. 2004 ↓, s. 124.
  106. 1 2 A.A. Shokeir. Squamous cell carcinoma of the bladder: pathology, diagnosis and treatment. „BJU Int”. 93 (2), s. 216–220, 2004. PMID: 14690486.
  107. Bostwick i Cheng 2014 ↓, s. 286.
  108. Bostwick i Cheng 2014 ↓, s. 280–285.
  109. 1 2 3 4 5 Petersen, Sesterhenn i Davis 2009 ↓, s. 233.
  110. Eble i in. 2004 ↓, s. 128–130.
  111. 1 2 3 4 5 Konety i Chang 2014 ↓, s. 9.
  112. R.J. Sylvester. Natural history, recurrence, and progression in superficial bladder cancer. „ScientificWorldJournal”. 6, s. 2617–2625, 2006. DOI: 10.1100/tsw.2006.404. PMID: 17619739.
  113. R.J. Sylvester, A.P. van der Meijden, W. Oosterlinck, J.A. Witjes i inni. Predicting recurrence and progression in individual patients with stage Ta T1 bladder cancer using EORTC risk tables: a combined analysis of 2596 patients from seven EORTC trials. „Eur Urol”. 49 (3), 2006. DOI: 10.1016/j.eururo.2005.12.031. PMID: 16442208.
  114. 1 2 3 Konety i Chang 2014 ↓, s. 10.
  115. Cheryl T. Lee, David P. Wood: Bladder Cancer: Diagnosis, Therapeutics, and Management. Springer Science & Business Media, 2009, s. 94. ISBN 978-1-59745-417-9.
  116. 1 2 Konety i Chang 2014 ↓, s. 11.
  117. E.J. Zingg, D.M.A. Wallace: Bladder Cancer. Springer Science & Business Media, 2012, s. 100. ISBN 978-1-4471-1362-1.
  118. 1 2 Janet Husband, Rodney H. Reznek, Janet E. Husband: Imaging in Oncology, Second Edition. CRC Press, 2016, s. 345. ISBN 978-1-4987-1651-2.
  119. A.B. Shinagare, N.H. Ramaiya, J.P. Jagannathan, F.M. Fennessy i inni. Metastatic pattern of bladder cancer: correlation with the characteristics of the primary tumor. „AJR Am J Roentgenol”. 196 (1), s. 117–122, 2011. DOI: 10.2214/AJR.10.5036. PMID: 21178055.
  120. 1 2 Denis A. Casciato, Marry C. Territo: Manual of Clinical Oncology. Lippincott Williams & Wilkins, 2012, s. 373–374. ISBN 978-1-4511-1560-4.
  121. Konety i Chang 2014 ↓, s. 12.
  122. L. Cheng, R. Montironi, D.D. Davidson, A. Lopez-Beltran. Staging and reporting of urothelial carcinoma of the urinary bladder. „Mod Pathol”. 22 Suppl 2, 2009. DOI: 10.1038/modpathol.2009.1. PMID: 19494855.
  123. Neal C. Dalrymple, John R. Leyendecker, Michael Oliphant: Problem Solving in Abdominal Imaging. Elsevier Health Sciences, 2009, s. 241. ISBN 978-0-323-04353-3.
  124. 1 2 3 4 5 6 7 8 9 10 T.O. Al Hussain, M. Akhtar. Molecular basis of urinary bladder cancer. „Adv Anat Pathol”. 20 (1), s. 53–60, 2013. DOI: 10.1097/PAP.0b013e31827bd0ec. PMID: 23232572.
  125. 1 2 3 4 5 6 7 8 9 10 11 12 M.A. Knowles. Molecular pathogenesis of bladder cancer. „Int J Clin Oncol”. 13 (4), s. 287–297, 2008. DOI: 10.1007/s10147-008-0812-0. PMID: 18704628.
  126. 1 2 3 4 Vinata B. Lokeshwar, Axel S. Merseburger, Stefan H. Hautmann: Bladder Tumors: Molecular Aspects and Clinical Management. Springer Science & Business Media, 2010, s. 55–58. ISBN 978-1-60761-928-4.
  127. C.A. Reznikoff, S. Sarkar, K.P. Jülicher, M.S. Burger i inni. Genetic alterations and biological pathways in human bladder cancer pathogenesis. „Urol Oncol”. 5 (5), s. 191–203, Sep 2000. PMID: 10973707.
  128. 1 2 3 4 5 A.P. Mitra, R.J. Cote. Molecular pathogenesis and diagnostics of bladder cancer. „Annu Rev Pathol”. 4, s. 251–285, 2009. DOI: 10.1146/annurev.pathol.4.110807.092230. PMID: 18840072.
  129. M. Zhao, X.L. He, X.D. Teng. Understanding the molecular pathogenesis and prognostics of bladder cancer: an overview. „Chin J Cancer Res”. 28 (1), s. 92–98, 2016. DOI: 10.3978/j.issn.1000-9604.2016.02.05. PMID: 27041931.
  130. M.A. Knowles, C.D. Hurst. Molecular biology of bladder cancer: new insights into pathogenesis and clinical diversity. „Nat Rev Cancer”. 15 (1), s. 25–41, Jan 2015. DOI: 10.1038/nrc3817. PMID: 25533674.
  131. 1 2 3 W. Martin-Doyle, D.J. Kwiatkowski. Molecular biology of bladder cancer. „Hematol Oncol Clin North Am”. 29 (2), s. 191–203, 2015. DOI: 10.1016/j.hoc.2014.10.002. PMID: 25836928.
  132. 1 2 3 4 5 6 M. Sun, Q.D. Trinh. Diagnosis and staging of bladder cancer. „Hematol Oncol Clin North Am”. 29 (2), s. 205–218, 2015. DOI: 10.1016/j.hoc.2014.10.013. PMID: 25836929.
  133. 1 2 Clark i in. 2017 ↓, s. 57.
  134. 1 2 Krzakowski i in. 2015 ↓, s. 762–763.
  135. 1 2 Rutkowski i Warzocha 2013 ↓, s. 358.
  136. 1 2 3 David MacVicar: Carcinoma of the Bladder. Cambridge University Press, 2009, s. 32–34. ISBN 978-1-139-47272-2.
  137. 1 2 3 4 5 6 7 8 9 10 11 Evelyne C.C. Cauberg, J.J. de la Rosette, T.M. de Reijke. Emerging optical techniques in advanced cystoscopy for bladder cancer diagnosis: A review of the current literature. „Indian J Urol”. 27 (2), s. 245–251, 2011. DOI: 10.4103/0970-1591.82845. PMID: 21814317.
  138. Patel i in. 2015 ↓, s. 134–135.
  139. 1 2 3 M.A. Gorin, R. Ayyathurai, M.S. Soloway. Diagnosis and treatment of bladder cancer: how can we improve?. „Postgrad Med”. 124 (3), s. 28–36, 2012. DOI: 10.3810/pgm.2012.05.2545. PMID: 22691896.
  140. Wolski i in. 2013 ↓, s. 21.
  141. D. Jocham, H. Stepp, R. Waidelich. Photodynamic diagnosis in urology: state-of-the-art. „Eur Urol”. 53 (6), s. 1138–1148, 2008. DOI: 10.1016/j.eururo.2007.11.048. PMID: 18096307.
  142. National Collaborating Centre for Cancer (UK), Bladder Cancer Diagnosis and Management NICE Guideline, No. 2, „NICE Guideline”, 2015, PMID: 26180884.
  143. 1 2 3 A. Kołodziej, W. Krajewski, M. Matuszewski, K. Tupikowski. Review of current optical diagnostic techniques for non-muscle-invasive bladder cancer. „Cent European J Urol”. 69 (2), s. 150–156, 2016. DOI: 10.5173/ceju.2016.780. PMID: 27551551.
  144. 1 2 3 4 Anna Katarzyna Czech. Znaczenie przezcewkowej elektroresekcji guza pęcherza moczowego w leczeniu raka pęcherza moczowego nienaciekającego mięśniówki: przegląd systematyczny nowych technologii. „Przegląd Urologiczny”, 2015.
  145. 1 2 Joseph C. Liao, Li-Ming Su: Advances in Image-Guided Urologic Surgery. Springer, 2014, s. 3–5. ISBN 978-1-4939-1450-0.
  146. S. Denzinger, M. Burger, B. Walter, R. Knuechel i inni. Clinically relevant reduction in risk of recurrence of superficial bladder cancer using 5-aminolevulinic acid-induced fluorescence diagnosis: 8-year results of prospective randomized study. „Urology”. 69 (4), s. 675–679, 2007. DOI: 10.1016/j.urology.2006.12.023. PMID: 17445650.
  147. D.I. Daniltchenko, C.R. Riedl, M.D. Sachs, F. Koenig i inni. Long-term benefit of 5-aminolevulinic acid fluorescence assisted transurethral resection of superficial bladder cancer: 5-year results of a prospective randomized study. „J Urol”. 174 (6), s. 2129–2133, 2005. DOI: 10.1097/01.ju.0000181814.73466.14. PMID: 16280742.
  148. I. Kausch, M. Sommerauer, F. Montorsi, A. Stenzl i inni. Photodynamic diagnosis in non-muscle-invasive bladder cancer: a systematic review and cumulative analysis of prospective studies. „Eur Urol”. 57 (4), s. 595–606, 2010. DOI: 10.1016/j.eururo.2009.11.041. PMID: 20004052.
  149. 1 2 A.C. Goh, N.J. Tresser, S.S. Shen, S.P. Lerner. Optical coherence tomography as an adjunct to white light cystoscopy for intravesical real-time imaging and staging of bladder cancer. „Urology”. 72 (1), s. 133–137, 2008. DOI: 10.1016/j.urology.2008.02.002. PMID: 18598789.
  150. A. Karl, H. Stepp, E. Willmann, A. Buchner i inni. Optical coherence tomography for bladder cancer -- ready as a surrogate for optical biopsy? Results of a prospective mono-centre study. „Eur J Med Res”. 15 (3), s. 131–134, 2010. PMID: 20452899.
  151. Bellmunt i in. 2014 ↓, s. 1–2.
  152. Clark i in. 2017 ↓, s. 56.
  153. 1 2 3 4 5 6 M.J. McKibben, M.E. Woods. Preoperative imaging for staging bladder cancer. „Curr Urol Rep”. 16 (4), s. 22, 2015. DOI: 10.1007/s11934-015-0496-8. PMID: 25724433.
  154. 1 2 3 4 5 6 7 S. Hafeez, R. Huddart. Advances in bladder cancer imaging. „BMC Med”. 11, s. 104, 2013. DOI: 10.1186/1741-7015-11-104. PMID: 23574966.
  155. P. Martingano, F. Stacul, M. Cavallaro, F. Casagrande i inni. 64-Slice CT urography: 30 months of clinical experience. „Radiol Med”. 115 (6), s. 920–935, 2010. DOI: 10.1007/s11547-010-0567-3. PMID: 20574699.
  156. 1 2 Patel i in. 2015 ↓, s. 52.
  157. V. Kundra, P.M. Silverman. Imaging in oncology from the University of Texas M. D. Anderson Cancer Center. Imaging in the diagnosis, staging, and follow-up of cancer of the urinary bladder. „AJR Am J Roentgenol”. 180 (4), s. 1045–1054, Apr 2003. DOI: 10.2214/ajr.180.4.1801045. PMID: 12646453.
  158. A. Srivastava, L.M. Douglass, V. Chernyak, K.L. Watts. Advances in Imaging in Prostate and Bladder Cancer. „Curr Urol Rep”. 18 (9), s. 69, 2017. DOI: 10.1007/s11934-017-0718-3. PMID: 28718164.
  159. Patel i in. 2015 ↓, s. 53.
  160. A. Tekes, I. Kamel, K. Imam, G. Szarf i inni. Dynamic MRI of bladder cancer: evaluation of staging accuracy. „AJR Am J Roentgenol”. 184 (1), s. 121–127, 2005. DOI: 10.2214/ajr.184.1.01840121. PMID: 15615961.
  161. 1 2 Y.Y. Lu, J.H. Chen, J.A. Liang, H.Y. Wang i inni. Clinical value of FDG PET or PET/CT in urinary bladder cancer: a systemic review and meta-analysis. „Eur J Radiol”. 81 (9), s. 2411–2416, 2012. DOI: 10.1016/j.ejrad.2011.07.018. PMID: 21899971.
  162. K. Bouchelouche, B. Turkbey, P.L. Choyke. PET/CT and MRI in Bladder Cancer. „J Cancer Sci Ther”, 2012. DOI: 10.4172/1948-5956.S14-001. PMID: 23471167.
  163. Patel i in. 2015 ↓, s. 51.
  164. John P. McGahan, Sharlene A. Teefey, Laurence Needleman: General and Vascular Ultrasound: Case Review. Elsevier Health Sciences, 2015, s. 36. ISBN 978-0-323-29614-4.
  165. Krzakowski i in. 2015 ↓, s. 762.
  166. 1 2 Babjuk i in. 2015 ↓, s. 9.
  167. Witjes i in. 2016 ↓, s. 12.
  168. 1 2 Bellmunt i in. 2014 ↓, s. 1.
  169. J. Miremami, N. Kyprianou. The promise of novel molecular markers in bladder cancer. „Int J Mol Sci”. 15 (12), 2014. DOI: 10.3390/ijms151223897. PMID: 25535079.
  170. B.J. Schmitz-Dräger, M. Droller, V.B. Lokeshwar, Y. Lotan i inni. Molecular markers for bladder cancer screening, early diagnosis, and surveillance: the WHO/ICUD consensus. „Urol Int”. 94 (1), s. 1–24, 2015. DOI: 10.1159/000369357. PMID: 25501325.
  171. 1 2 Babjuk i in. 2015 ↓, s. 10.
  172. DeVita, Lawrence i Rosenberg 2008 ↓, s. 1362.
  173. Rutkowski i Warzocha 2013 ↓, s. 357.
  174. 1 2 Anna Nasierowska-Guttmejer, Barbara Górnicka: Zalecenia do diagnostyki histopatologicznej nowotworów. Warszawa: Centrum Onkologii, Oddział Gliwice; Polskie Towarzystwo Patologów, 2013, s. 235–239. ISBN 978-83-909137-1-1.
  175. Witjes i in. 2016 ↓, s. 6.
  176. Witjes i in. 2016 ↓, s. 11.
  177. 1 2 Clark i in. 2017 ↓, s. 48.
  178. Krzakowski i in. 2015 ↓, s. 763.
  179. 1 2 3 4 5 Bellmunt i in. 2014 ↓, s. 2.
  180. 1 2 Babjuk i in. 2015 ↓, s. 11–12.
  181. 1 2 3 4 5 6 7 8 9 Babjuk i in. 2015 ↓, s. 17.
  182. 1 2 3 4 5 Clark i in. 2017 ↓, s. 60.
  183. 1 2 3 4 5 6 7 Babjuk i in. 2015 ↓, s. 26.
  184. 1 2 3 Krzakowski i in. 2015 ↓, s. 765.
  185. Krzakowski i in. 2015 ↓, s. 764.
  186. Babjuk i in. 2015 ↓, s. 25.
  187. 1 2 3 Babjuk i in. 2015 ↓, s. 15.
  188. Seth P. Lerner, Mark Schoenberg, Cora Sternberg: Textbook of Bladder Cancer. CRC Press, 2006, s. 3–10. ISBN 978-1-84184-382-7.
  189. Joanna Kotcher Fuller: Surgical Technology: Principles and Practice. Elsevier Health Sciences, 2017, s. 610. ISBN 978-0-323-43056-2.
  190. 1 2 Babjuk i in. 2015 ↓, s. 12.
  191. 1 2 3 4 Babjuk i in. 2015 ↓, s. 12–13.
  192. 1 2 M.O. Grimm, C. Steinhoff, X. Simon, P. Spiegelhalder i inni. Effect of routine repeat transurethral resection for superficial bladder cancer: a long-term observational study. „J Urol”. 170, s. 433–437, 2003. DOI: 10.1097/01.ju.0000070437.14275.e0. PMID: 12853793.
  193. 1 2 R.T. Divrik, U. Yildirim, F. Zorlu, H. Ozen. The effect of repeat transurethral resection on recurrence and progression rates in patients with T1 tumors of the bladder who received intravesical mitomycin: a prospective, randomized clinical trial. „J Urol”. 175 (5), s. 1641–1644, 2006. DOI: 10.1016/S0022-5347(05)01002-5. PMID: 16600720.
  194. D.A. Lazica, S. Roth, A.S. Brandt, S. Böttcher i inni. Second transurethral resection after Ta high-grade bladder tumor: a 4.5-year period at a single university center. „Urol Int”. 92 (2), s. 131–135, 2014. DOI: 10.1159/000353089. PMID: 23988813.
  195. N. Vasdev, J. Dominguez-Escrig, E. Paez, M.I. Johnson i inni. The impact of early re-resection in patients with pT1 high-grade non-muscle invasive bladder cancer. „Ecancermedicalscience”. 6, s. 269, 2012. DOI: 10.3332/ecancer.2012.269. PMID: 22988482.
  196. 1 2 S. Aldousari, W. Kassouf. Update on the management of non-muscle invasive bladder cancer. „Can Urol Assoc J”. 4 (1), s. 56–64, 2010. PMID: 20165581.
  197. J.P. Sfakianos, P.H. Kim, A.A. Hakimi, H.W. Herr. The effect of restaging transurethral resection on recurrence and progression rates in patients with nonmuscle invasive bladder cancer treated with intravesical bacillus Calmette-Guérin. „J Urol”. 191 (2), s. 341–345, 2014. DOI: 10.1016/j.juro.2013.08.022. PMID: 23973518.
  198. O. Rodriguez Faba, J.M. Gaya, J.M. López, M. Capell i inni. Current management of non-muscle-invasive bladder cancer. „Minerva Med”. 104 (3), s. 273–286, 2013. PMID: 23748281.
  199. Babjuk i in. 2015 ↓, s. 13–14.
  200. R.J. Sylvester, W. Oosterlinck, A.P. van der Meijden. A single immediate postoperative instillation of chemotherapy decreases the risk of recurrence in patients with stage Ta T1 bladder cancer: a meta-analysis of published results of randomized clinical trials. „J Urol”. 171 (6 Pt 1), s. 2186–2190, 2004. PMID: 15126782.
  201. M.R. Abern, R.A. Owusu, M.R. Anderson, E.N. Rampersaud i inni. Perioperative intravesical chemotherapy in non-muscle-invasive bladder cancer: a systematic review and meta-analysis. „J Natl Compr Canc Netw”. 11 (4), s. 477–484, 2013. PMID: 23584348.
  202. N. Perlis, A.R. Zlotta, J. Beyene, A. Finelli i inni. Immediate post-transurethral resection of bladder tumor intravesical chemotherapy prevents non-muscle-invasive bladder cancer recurrences: an updated meta-analysis on 2548 patients and quality-of-evidence review. „Eur Urol”. 64 (3), s. 421–430, 2013. DOI: 10.1016/j.eururo.2013.06.009. PMID: 23830475.
  203. I. Berrum-Svennung, T. Granfors, S. Jahnson, H. Boman i inni. A single instillation of epirubicin after transurethral resection of bladder tumors prevents only small recurrences. „J Urol”. 179 (1), s. 101–105, 2008. DOI: 10.1016/j.juro.2007.08.166. PMID: 17997459.
  204. S. Gudjónsson, L. Adell, F. Merdasa, R. Olsson i inni. Should all patients with non-muscle-invasive bladder cancer receive early intravesical chemotherapy after transurethral resection? The results of a prospective randomised multicentre study. „Eur Urol”. 55 (4), s. 773–780, 2009. DOI: 10.1016/j.eururo.2009.01.006. PMID: 19153001.
  205. 1 2 3 Babjuk i in. 2015 ↓, s. 17–18.
  206. M. Huncharek, R. McGarry, B. Kupelnick. Impact of intravesical chemotherapy on recurrence rate of recurrent superficial transitional cell carcinoma of the bladder: results of a meta-analysis. „Anticancer Res”. 21 (1B). s. 765–769. PMID: 11299841.
  207. Clark i in. 2017 ↓, s. 61.
  208. 1 2 3 A. Böhle, P.R. Bock. Intravesical bacille Calmette-Guérin versus mitomycin C in superficial bladder cancer: formal meta-analysis of comparative studies on tumor progression. „Urology”. 63 (4), s. 682–686, 2004. DOI: 10.1016/j.urology.2003.11.049. PMID: 15072879.
  209. 1 2 R.J. Sylvester, A.P. van der Meijden, D.L. Lamm. Intravesical bacillus Calmette-Guerin reduces the risk of progression in patients with superficial bladder cancer: a meta-analysis of the published results of randomized clinical trials. „J Urol”. 168 (5), s. 1964–1670, 2002. DOI: 10.1097/01.ju.0000034450.80198.1c. PMID: 12394686.
  210. 1 2 P.F. Shang, J. Kwong, Z.P. Wang, J. Tian i inni. Intravesical Bacillus Calmette-Guérin versus epirubicin for Ta and T1 bladder cancer. „Cochrane Database Syst Rev”, 2011. DOI: 10.1002/14651858.CD006885.pub2. PMID: 21563157.
  211. 1 2 3 4 P.U. Malmström, R.J. Sylvester, D.E. Crawford, M. Friedrich i inni. An individual patient data meta-analysis of the long-term outcome of randomised studies comparing intravesical mitomycin C versus bacillus Calmette-Guérin for non-muscle-invasive bladder cancer. „Eur Urol”. 56 (2), s. 247–256, 2009. DOI: 10.1016/j.eururo.2009.04.038. PMID: 19409692.
  212. 1 2 3 R.J. Sylvester, M.A. Brausi, W.J. Kirkels, W. Hoeltl i inni. Long-term efficacy results of EORTC genito-urinary group randomized phase 3 study 30911 comparing intravesical instillations of epirubicin, bacillus Calmette-Guérin, and bacillus Calmette-Guérin plus isoniazid in patients with intermediate- and high-risk stage Ta T1 urothelial carcinoma of the bladder. „Eur Urol”. 57 (5), s. 766–773, 2010. DOI: 10.1016/j.eururo.2009.12.024. PMID: 20034729.
  213. 1 2 3 R. Kapoor, V. Vijjan, P. Singh. Bacillus Calmette-Guérin in the management of superficial bladder cancer. „Indian J Urol”. 24 (1), s. 72–76, 2008. DOI: 10.4103/0970-1591.38608. PMID: 19468364.
  214. 1 2 3 4 Babjuk i in. 2015 ↓, s. 18–19.
  215. M.D. Shelley, H. Kynaston, J. Court, T.J. Wilt i inni. A systematic review of intravesical bacillus Calmette-Guérin plus transurethral resection vs transurethral resection alone in Ta and T1 bladder cancer. „BJU Int”. 88 (3), s. 209–216, 2001. PMID: 11488731.
  216. R.F. Han, J.G. Pan. Can intravesical bacillus Calmette-Guérin reduce recurrence in patients with superficial bladder cancer? A meta-analysis of randomized trials. „Urology”. 67 (6), s. 1216–1223, 2006. DOI: 10.1016/j.urology.2005.12.014. PMID: 16765182.
  217. M.D. Shelley, T.J. Wilt, J. Court, B. Coles i inni. Intravesical bacillus Calmette-Guérin is superior to mitomycin C in reducing tumour recurrence in high-risk superficial bladder cancer: a meta-analysis of randomized trials. „BJU Int”. 93 (4), s. 485–490, 2004. PMID: 15008714.
  218. A. Böhle, D. Jocham, P.R. Bock. Intravesical bacillus Calmette-Guerin versus mitomycin C for superficial bladder cancer: a formal meta-analysis of comparative studies on recurrence and toxicity. „J Urol”. 169 (1), s. 90–95, 2003. DOI: 10.1097/01.ju.0000039680.90768.b3. PMID: 12478111.
  219. R. Järvinen, E. Kaasinen, A. Sankila, E. Rintala. Long-term efficacy of maintenance bacillus Calmette-Guérin versus maintenance mitomycin C instillation therapy in frequently recurrent TaT1 tumours without carcinoma in situ: a subgroup analysis of the prospective, randomised FinnBladder I study with a 20-year follow-up. „Eur Urol”. 56 (2), s. 260–265, 2009. DOI: 10.1016/j.eururo.2009.04.009. PMID: 19395154.
  220. M. Duchek, R. Johansson, S. Jahnson, O. Mestad i inni. Bacillus Calmette-Guérin is superior to a combination of epirubicin and interferon-alpha2b in the intravesical treatment of patients with stage T1 urinary bladder cancer. A prospective, randomized, Nordic study. „Eur Urol”. 57 (1), s. 25–31, 2010. DOI: 10.1016/j.eururo.2009.09.038. PMID: 19819617.
  221. B.B. Houghton, V. Chalasani, D. Hayne, P. Grimison i inni. Intravesical chemotherapy plus bacille Calmette-Guérin in non-muscle invasive bladder cancer: a systematic review with meta-analysis. „BJU Int”. 111 (6), s. 977–983, 2013. DOI: 10.1111/j.1464-410X.2012.11390.x. PMID: 23253618.
  222. Babjuk i in. 2015 ↓, s. 19–20.
  223. 1 2 Anna Kołodziej, Janusz Dembowski. Immunoterapia BCG powierzchownych raków pęcherza moczowego. „Urologia Polska”, 2001.
  224. 1 2 3 Babjuk i in. 2015 ↓, s. 20.
  225. 1 2 Ryszard Maranda. Terapia BCG jako leczenie uzupełniające w leczeniu chorych na raka pęcherza moczowego. „Przegląd Urologiczny”, 2010.
  226. J. Oddens, M. Brausi, R. Sylvester, A. Bono i inni. Final results of an EORTC-GU cancers group randomized study of maintenance bacillus Calmette-Guérin in intermediate- and high-risk Ta, T1 papillary carcinoma of the urinary bladder: one-third dose versus full dose and 1 year versus 3 years of maintenance. „Eur Urol”. 63 (3), s. 462–472, 2013. DOI: 10.1016/j.eururo.2012.10.039. PMID: 23141049.
  227. 1 2 Babjuk i in. 2015 ↓, s. 24–25.
  228. 1 2 3 4 P. Zehnder, G.N. Thalmann. Timing and outcomes for radical cystectomy in nonmuscle invasive bladder cancer. „Curr Opin Urol”. 23 (5), s. 423–428, 2013. DOI: 10.1097/MOU.0b013e328363e46f. PMID: 23880740.
  229. F. Thomas, D.J. Rosario, N. Rubin, J.R. Goepel i inni. The long-term outcome of treated high-risk nonmuscle-invasive bladder cancer: time to change treatment paradigm?. „Cancer”. 118 (22), s. 5525–5534, 2012. DOI: 10.1002/cncr.27587. PMID: 22544645.
  230. S. van den Bosch, J. Alfred Witjes. Long-term cancer-specific survival in patients with high-risk, non-muscle-invasive bladder cancer and tumour progression: a systematic review. „Eur Urol”. 60 (3), s. 493–500, 2011. DOI: 10.1016/j.eururo.2011.05.045. PMID: 21664041.
  231. G.N. Thalmann, R. Markwalder, O. Shahin, F.C. Burkhard i inni. Primary T1G3 bladder cancer: organ preserving approach or immediate cystectomy?. „J Urol”. 172 (1), s. 70–75, 2004. DOI: 10.1097/01.ju.0000132129.87598.3b. PMID: 15201740.
  232. H.W. Herr, P.C. Sogani. Does early cystectomy improve the survival of patients with high risk superficial bladder tumors?. „J Urol”. 166 (4), s. 1296–1299, 2001. PMID: 11547061.
  233. 1 2 3 Clark i in. 2017 ↓, s. 63.
  234. 1 2 S.J. Yun, S.K. Kim, W.J. Kim. How do we manage high-grade T1 bladder cancer? Conservative or aggressive therapy?. „Investig Clin Urol”. 57 Suppl 1, 2016. DOI: 10.4111/icu.2016.57.S1.S44. PMID: 27326407.
  235. R. Veeratterapillay, R. Heer, M.I. Johnson, R. Persad i inni. High-Risk Non-Muscle-Invasive Bladder Cancer-Therapy Options During Intravesical BCG Shortage. „Curr Urol Rep”. 17 (9), s. 68, 2016. DOI: 10.1007/s11934-016-0625-z. PMID: 27492610.
  236. Babjuk i in. 2015 ↓, s. 24.
  237. Babjuk i in. 2015 ↓, s. 23–24.
  238. R.J. Lammers, W.P. Witjes, K. Hendricksen, C.T. Caris i inni. Smoking status is a risk factor for recurrence after transurethral resection of non-muscle-invasive bladder cancer. „Eur Urol”. 60 (4), s. 713–720, 2011. DOI: 10.1016/j.eururo.2011.07.010. PMID: 21794974.
  239. M. Rink, E. Xylinas, M. Babjuk, A. Pycha i inni. Smoking reduces the efficacy of intravesical bacillus Calmette-Guérin immunotherapy in non-muscle-invasive bladder cancer. „Eur Urol”. 62 (6), s. 1204–1206, 2012. DOI: 10.1016/j.eururo.2012.08.057. PMID: 22980442.
  240. 1 2 3 Witjes i in. 2016 ↓, s. 21.
  241. 1 2 3 4 Witjes i in. 2016 ↓, s. 20.
  242. D.P. Nguyen, G.N. Thalmann. Contemporary update on neoadjuvant therapy for bladder cancer. „Nat Rev Urol”. 14 (6), s. 348–358, 2017. DOI: 10.1038/nrurol.2017.30. PMID: 28290459.
  243. 1 2 Clark i in. 2017 ↓, s. 34.
  244. 1 2 Neoadjuvant chemotherapy in invasive bladder cancer: a systematic review and meta-analysis. „Lancet”. 361 (9373), s. 1927–1934, 2003. PMID: 12801735.
  245. 1 2 E. Winquist, T.S. Kirchner, R. Segal, J. Chin i inni. Neoadjuvant chemotherapy for transitional cell carcinoma of the bladder: a systematic review and meta-analysis. „J Urol”. 171 (2 Pt 1), s. 561–569, 2004. DOI: 10.1097/01.ju.0000090967.08622.33. PMID: 14713760.
  246. 1 2 3 Neoadjuvant chemotherapy in invasive bladder cancer: update of a systematic review and meta-analysis of individual patient data advanced bladder cancer (ABC) meta-analysis collaboration. „Eur Urol”. 48 (2), s. 202–205, 2005. DOI: 10.1016/j.eururo.2005.04.006. PMID: 15939524.
  247. 1 2 Witjes i in. 2016 ↓, s. 19.
  248. 1 2 3 4 5 Clark i in. 2017 ↓, s. 66.
  249. H.B. Grossman, R.B. Natale, C.M. Tangen, V.O. Speights i inni. Neoadjuvant chemotherapy plus cystectomy compared with cystectomy alone for locally advanced bladder cancer. „N Engl J Med”. 349 (9), s. 859–866, 2003. DOI: 10.1056/NEJMoa022148. PMID: 12944571.
  250. Krzakowski i in. 2015 ↓, s. 767.
  251. E.E. van de Putte, L.S. Mertens, R.P. Meijer, M.S. van der Heijden i inni. Neoadjuvant induction dose-dense MVAC for muscle invasive bladder cancer: efficacy and safety compared with classic MVAC and gemcitabine/cisplatin. „World J Urol”. 34 (2), s. 157–162, 2016. DOI: 10.1007/s00345-015-1636-y. PMID: 26184106.
  252. E.R. Plimack, J.H. Hoffman-Censits, R. Viterbo, E.J. Trabulsi i inni. Accelerated methotrexate, vinblastine, doxorubicin, and cisplatin is safe, effective, and efficient neoadjuvant treatment for muscle-invasive bladder cancer: results of a multicenter phase II study with molecular correlates of response and toxicity. „J Clin Oncol”. 32 (18), s. 1895–1901, 2014. DOI: 10.1200/JCO.2013.53.2465. PMID: 24821881.
  253. 1 2 H. von der Maase, S.W. Hansen, J.T. Roberts, L. Dogliotti i inni. Gemcitabine and cisplatin versus methotrexate, vinblastine, doxorubicin, and cisplatin in advanced or metastatic bladder cancer: results of a large, randomized, multinational, multicenter, phase III study. „J Clin Oncol”. 18 (17), s. 3068–3077, 2000. DOI: 10.1200/JCO.2000.18.17.3068. PMID: 11001674.
  254. 1 2 H. von der Maase, L. Sengelov, J.T. Roberts, S. Ricci i inni. Long-term survival results of a randomized trial comparing gemcitabine plus cisplatin, with methotrexate, vinblastine, doxorubicin, plus cisplatin in patients with bladder cancer. „J Clin Oncol”. 23 (21), s. 4602–4608, 2005. DOI: 10.1200/JCO.2005.07.757. PMID: 16034041.
  255. G. Griffiths, R. Hall, R. Sylvester, D. Raghavan i inni. International phase III trial assessing neoadjuvant cisplatin, methotrexate, and vinblastine chemotherapy for muscle-invasive bladder cancer: long-term results of the BA06 30894 trial. „J Clin Oncol”. 29 (16), s. 2171–2177, Jun 2011. DOI: 10.1200/JCO.2010.32.3139. PMID: 21502557.
  256. B.E. Yuh, N. Ruel, T.G. Wilson, N. Vogelzang i inni. Pooled analysis of clinical outcomes with neoadjuvant cisplatin and gemcitabine chemotherapy for muscle invasive bladder cancer. „J Urol”. 189 (5), s. 1682–1686, 2013. DOI: 10.1016/j.juro.2012.10.120. PMID: 23123547.
  257. F.C. Lee, W. Harris, H.H. Cheng, J. Shenoi i inni. Pathologic Response Rates of Gemcitabine/Cisplatin versus Methotrexate/Vinblastine/Adriamycin/Cisplatin Neoadjuvant Chemotherapy for Muscle Invasive Urothelial Bladder Cancer. „Adv Urol”. 2013, 2013. DOI: 10.1155/2013/317190. PMID: 24382958.
  258. A. Dash, J.A. Pettus, H.W. Herr, B.H. Bochner i inni. A role for neoadjuvant gemcitabine plus cisplatin in muscle-invasive urothelial carcinoma of the bladder: a retrospective experience. „Cancer”. 113 (9), s. 2471–2477, 2008. DOI: 10.1002/cncr.23848. PMID: 18823036.
  259. M.D. Galsky, S.K. Pal, S. Chowdhury, L.C. Harshman i inni. Comparative effectiveness of gemcitabine plus cisplatin versus methotrexate, vinblastine, doxorubicin, plus cisplatin as neoadjuvant therapy for muscle-invasive bladder cancer. „Cancer”. 121 (15), s. 2586–2593, 2015. DOI: 10.1002/cncr.29387. PMID: 25872978.
  260. H. Zargar, P.N. Espiritu, A.S. Fairey, L.S. Mertens i inni. Multicenter assessment of neoadjuvant chemotherapy for muscle-invasive bladder cancer. „Eur Urol”. 67 (2), s. 241–249, 2015. DOI: 10.1016/j.eururo.2014.09.007. PMID: 25257030.
  261. 1 2 Witjes i in. 2016 ↓, s. 18–19.
  262. 1 2 3 Artur A. Antoniewicz, Łukasz Zapała. Cystektomia radykalna – standard operacji we współczesnej uroonkologii. „Przegląd Urologiczny”, 2011.
  263. 1 2 3 4 5 6 Witjes i in. 2016 ↓, s. 22.
  264. 1 2 DeVita, Lawrence i Rosenberg 2008 ↓, s. 1363.
  265. H.M. Bruins, E. Veskimae, V. Hernandez, M. Imamura i inni. The impact of the extent of lymphadenectomy on oncologic outcomes in patients undergoing radical cystectomy for bladder cancer: a systematic review. „Eur Urol”. 66 (6), s. 1065–1077, 2014. DOI: 10.1016/j.eururo.2014.05.031. PMID: 25074764.
  266. P. Mandel, D. Tilki, G.D. Eslick. Extent of lymph node dissection and recurrence-free survival after radical cystectomy: a meta-analysis. „Urol Oncol”. 32 (8), s. 1184–1190, 2014. DOI: 10.1016/j.urolonc.2014.01.017. PMID: 25027683.
  267. L. Bi, H. Huang, X. Fan, K. Li i inni. Extended vs non-extended pelvic lymph node dissection and their influence on recurrence-free survival in patients undergoing radical cystectomy for bladder cancer: a systematic review and meta-analysis of comparative studies. „BJU Int”. 113 (5b), s. 39–48, 2014. DOI: 10.1111/bju.12371. PMID: 24053715.
  268. 1 2 Witjes i in. 2016 ↓, s. 33.
  269. S.F. Shariat, P.I. Karakiewicz, G.S. Palapattu, Y. Lotan i inni. Outcomes of radical cystectomy for transitional cell carcinoma of the bladder: a contemporary series from the Bladder Cancer Research Consortium. „J Urol”. 176 (6 Pt 1), s. 2414–2422, 2006. DOI: 10.1016/j.juro.2006.08.004. PMID: 17085118.
  270. P. Nuhn, M. May, M. Sun, H.M. Fritsche i inni. External validation of postoperative nomograms for prediction of all-cause mortality, cancer-specific mortality, and recurrence in patients with urothelial carcinoma of the bladder. „Eur Urol”. 61 (1), s. 58–64, 2012. DOI: 10.1016/j.eururo.2011.07.066. PMID: 21840642.
  271. 1 2 J.P. Stein, G. Lieskovsky, R. Cote, S. Groshen i inni. Radical cystectomy in the treatment of invasive bladder cancer: long-term results in 1,054 patients. „J Clin Oncol”. 19 (3), s. 666–675, 2001. DOI: 10.1200/JCO.2001.19.3.666. PMID: 11157016.
  272. H.M. Bruins, G.J. Huang, J. Cai, D.G. Skinner i inni. Clinical outcomes and recurrence predictors of lymph node positive urothelial cancer after cystectomy. „J Urol”. 182 (5), s. 2182–2187, 2009. DOI: 10.1016/j.juro.2009.07.017. PMID: 19758623.
  273. S. Madersbacher, W. Hochreiter, F. Burkhard, G.N. Thalmann i inni. Radical cystectomy for bladder cancer today-a homogeneous series without neoadjuvant therapy. „J Clin Oncol”. 21 (4), s. 690–696, 2003. DOI: 10.1200/JCO.2003.05.101. PMID: 12586807.
  274. R.A. Modh, J.P. Mulhall, S.M. Gilbert. Sexual dysfunction after cystectomy and urinary diversion. „Nat Rev Urol”. 11 (8), s. 445–453, 2014. DOI: 10.1038/nrurol.2014.151. PMID: 24980191.
  275. 1 2 3 Witjes i in. 2016 ↓, s. 22–23.
  276. 1 2 3 4 Artur A. Antoniewicz: Analiza przydatności klinicznej własnej metody rekonstrukcji jelitowej pęcherza moczowego u chorych poddanych radykalnemu wycięciu pęcherza z powodu raka. Wydawnictwo Media-Press, 2013, s. 120–121. ISBN 978-83-89809-31-5.
  277. R.R. de Vries, J.A. Nieuwenhuijzen, H. van Tinteren, J.R. Oddens i inni. Prostate-sparing cystectomy: long-term oncological results. „BJU Int”. 104 (9), s. 123912–123943, 2009. DOI: 10.1111/j.1464-410X.2009.08615.x. PMID: 19549261.
  278. A. Basiri, H. Pakmanesh, A. Tabibi, M.H. Radfar i inni. Overall survival and functional results of prostate-sparing cystectomy: a matched case-control study. „Urol J”. 9 (4), s. 678–684, 2012. PMID: 23235973.
  279. F. Rozet, G. Lesur, X. Cathelineau, E. Barret i inni. Oncological evaluation of prostate sparing cystectomy: the Montsouris long-term results. „J Urol”. 179 (6), s. 2170–2174, 2008. DOI: 10.1016/j.juro.2008.01.112. PMID: 18423740.
  280. G. Muto, D. Collura, R. Rosso, A. Giacobbe i inni. Seminal-sparing cystectomy: technical evolution and results over a 20-year period. „Urology”. 83 (4), s. 856–861, 2014. DOI: 10.1016/j.urology.2013.08.093. PMID: 24485363.
  281. 1 2 3 Witjes i in. 2016 ↓, s. 24.
  282. Witjes i in. 2016 ↓, s. 24–25.
  283. E. Veskimäe, Y. Neuzillet, M. Rouanne, S. MacLennan i inni. Systematic review of the oncological and functional outcomes of pelvic organ-preserving radical cystectomy (RC) compared with standard RC in women who undergo curative surgery and orthotopic neobladder substitution for bladder cancer. „BJU Int”. 120 (1), s. 12–24, 2017. DOI: 10.1111/bju.13819. PMID: 28220653.
  284. Witjes i in. 2016 ↓, s. 27.
  285. 1 2 DeVita, Lawrence i Rosenberg 2008 ↓, s. 1364.
  286. 1 2 Artur A. Antoniewicz: Analiza przydatności klinicznej własnej metody rekonstrukcji jelitowej pęcherza moczowego u chorych poddanych radykalnemu wycięciu pęcherza z powodu raka. Wydawnictwo Media-Press, 2013, s. 36–45. ISBN 978-83-89809-31-5.
  287. Witjes i in. 2016 ↓, s. 30.
  288. 1 2 3 4 Dominika Gajewska. Odprowadzenie moczu po cystektomii radykalnej u chorych na raka pęcherza moczowego: rodzaje, kandydaci, wyniki. „Przegląd Urologiczny”, 2015.
  289. Witjes i in. 2016 ↓, s. 29–30.
  290. Witjes i in. 2016 ↓, s. 29.
  291. 1 2 R. Stein, M. Hohenfellner, S. Pahernik, S. Roth i inni. Urinary diversion--approaches and consequences. „Dtsch Arztebl Int”. 109 (38), s. 617–622, 2012. DOI: 10.3238/arztebl.2012.0617. PMID: 23093992.
  292. W.S. McDougal. Metabolic complications of urinary intestinal diversion. „J Urol”. 147 (5), s. 1199–1208, 1992. PMID: 1569649.
  293. 1 2 R. Stein, P. Rubenwolf. Metabolic consequences after urinary diversion. „Front Pediatr”. 2, s. 15, 2014. DOI: 10.3389/fped.2014.00015. PMID: 24653981.
  294. 1 2 DeVita, Lawrence i Rosenberg 2008 ↓, s. 1365.
  295. Artur A. Antoniewicz: Analiza przydatności klinicznej własnej metody rekonstrukcji jelitowej pęcherza moczowego u chorych poddanych radykalnemu wycięciu pęcherza z powodu raka. Wydawnictwo Media-Press, 2013, s. 45–46. ISBN 978-83-89809-31-5.
  296. 1 2 Clark i in. 2017 ↓, s. 68.
  297. 1 2 3 4 5 6 Witjes i in. 2016 ↓, s. 37.
  298. 1 2 3 4 5 N.D. James, S.A. Hussain, E. Hall, P. Jenkins i inni. Radiotherapy with or without chemotherapy in muscle-invasive bladder cancer. „N Engl J Med”. 366 (16), s. 1477–1488, 2012. DOI: 10.1056/NEJMoa1106106. PMID: 22512481.
  299. F.S. Krause, B. Walter, O.J. Ott, L. Häberle i inni. 15-year survival rates after transurethral resection and radiochemotherapy or radiation in bladder cancer treatment. „Anticancer Res”. 31 (3), s. 985–990, 2011. PMID: 21498726.
  300. 1 2 3 Clark i in. 2017 ↓, s. 69.
  301. C. Rödel, G.G. Grabenbauer, R. Kühn, T. Papadopoulos i inni. Combined-modality treatment and selective organ preservation in invasive bladder cancer: long-term results. „J Clin Oncol”. 20 (14), s. 3061–3071, 2002. DOI: 10.1200/JCO.2002.11.027. PMID: 12118019.
  302. 1 2 J.A. Efstathiou, D.Y. Spiegel, W.U. Shipley, N.M. Heney i inni. Long-term outcomes of selective bladder preservation by combined-modality therapy for invasive bladder cancer: the MGH experience. „Eur Urol”. 61 (4), s. 705–711, 2012. DOI: 10.1016/j.eururo.2011.11.010. PMID: 22101114.
  303. 1 2 P.J. Hoskin, A.M. Rojas, S.M. Bentzen, M.I. Saunders. Radiotherapy with concurrent carbogen and nicotinamide in bladder carcinoma. „J Clin Oncol”. 28 (33), s. 4912–4918, 2010. DOI: 10.1200/JCO.2010.28.4950. PMID: 20956620.
  304. D.S. Kaufman, K.A. Winter, W.U. Shipley, N.M. Heney i inni. Phase I-II RTOG study (99-06) of patients with muscle-invasive bladder cancer undergoing transurethral surgery, paclitaxel, cisplatin, and twice-daily radiotherapy followed by selective bladder preservation or radical cystectomy and adjuvant chemotherapy. „Urology”. 73 (4), s. 833–837, 2009. DOI: 10.1016/j.urology.2008.09.036. PMID: 19100600.
  305. 1 2 V.A. Ramani, S.B. Maddineni, B.R. Grey, N.W. Clarke. Differential complication rates following radical cystectomy in the irradiated and nonirradiated pelvis. „Eur Urol”. 57 (6), s. 1058–1063, 2010. DOI: 10.1016/j.eururo.2009.12.002. PMID: 20022162.
  306. 1 2 3 Witjes i in. 2016 ↓, s. 35.
  307. Clark i in. 2017 ↓, s. 70.
  308. H.W. Herr. Transurethral resection of muscle-invasive bladder cancer: 10-year outcome. „J Clin Oncol”. 19 (1), s. 89–93, 2001. DOI: 10.1200/JCO.2001.19.1.89. PMID: 11134199.
  309. E. Solsona, I. Iborra, A. Collado, J. Rubio-Briones i inni. Feasibility of radical transurethral resection as monotherapy for selected patients with muscle invasive bladder cancer. „J Urol”. 184 (2), s. 475–480, 2010. DOI: 10.1016/j.juro.2010.04.008. PMID: 20620402.
  310. C.M. Coppin, M.K. Gospodarowicz, K. James, I.F. Tannock i inni. Improved local control of invasive bladder cancer by concurrent cisplatin and preoperative or definitive radiation. The National Cancer Institute of Canada Clinical Trials Group. „J Clin Oncol”. 14 (11), s. 2901–2907, 1996. DOI: 10.1200/JCO.1996.14.11.2901. PMID: 8918486.
  311. 1 2 Clark i in. 2017 ↓, s. 69–70.
  312. Witjes i in. 2016 ↓, s. 36.
  313. C.N. Sternberg, S.M. Donat, J. Bellmunt, R.E. Millikan i inni. Chemotherapy for bladder cancer: treatment guidelines for neoadjuvant chemotherapy, bladder preservation, adjuvant chemotherapy, and metastatic cancer. „Urology”. 69 (1 Suppl), s. 62–79, 2007. DOI: 10.1016/j.urology.2006.10.041. PMID: 17280909.
  314. Witjes i in. 2016 ↓, s. 38–39.
  315. 1 2 3 Bellmunt i in. 2014 ↓, s. 3.
  316. 1 2 Witjes i in. 2016 ↓, s. 38.
  317. Clark i in. 2017 ↓, s. 67.
  318. 1 2 I.G. Pinto. Systemic therapy in bladder cancer. „Indian J Urol”. 33 (2). s. 118–126. DOI: 10.4103/iju.IJU_294_16. PMID: 28469299.
  319. M.D. Galsky, K.D. Stensland, E. Moshier, J.P. Sfakianos i inni. Effectiveness of Adjuvant Chemotherapy for Locally Advanced Bladder Cancer. „J Clin Oncol”. 34 (8), s. 825–832, 2016. DOI: 10.1200/JCO.2015.64.1076. PMID: 26786930.
  320. J.J. Leow, W. Martin-Doyle, P.S. Rajagopal, C.G. Patel i inni. Adjuvant chemotherapy for invasive bladder cancer: a 2013 updated systematic review and meta-analysis of randomized trials. „Eur Urol”. 66 (1), s. 42–54, 2014. DOI: 10.1016/j.eururo.2013.08.033. PMID: 24018020.
  321. Adjuvant chemotherapy in invasive bladder cancer: a systematic review and meta-analysis of individual patient data Advanced Bladder Cancer (ABC) Meta-analysis Collaboration. „Eur Urol”. 48 (2), s. 189–199, 2005. DOI: 10.1016/j.eururo.2005.04.005. PMID: 15939530.
  322. C.N. Sternberg, I. Skoneczna, J.M. Kerst, P. Albers i inni. Immediate versus deferred chemotherapy after radical cystectomy in patients with pT3-pT4 or N+ M0 urothelial carcinoma of the bladder (EORTC 30994): an intergroup, open-label, randomised phase 3 trial. „Lancet Oncol”. 16 (1), s. 76–86, 2015. DOI: 10.1016/S1470-2045(14)71160-X. PMID: 25498218.
  323. 1 2 Clark i in. 2017 ↓, s. 72.
  324. Bellmunt i in. 2014 ↓, s. 39.
  325. N. Ismaili, M. Amzerin, A. Flechon. Chemotherapy in advanced bladder cancer: current status and future. „J Hematol Oncol”. 4, s. 35, 2011. DOI: 10.1186/1756-8722-4-35. PMID: 21906310.
  326. Clark i in. 2017 ↓, s. 35.
  327. 1 2 Clark i in. 2017 ↓, s. 72–73.
  328. 1 2 3 4 5 Witjes i in. 2016 ↓, s. 40.
  329. C.N. Sternberg, P.H. de Mulder, J.H. Schornagel, C. Théodore i inni. Randomized phase III trial of high-dose-intensity methotrexate, vinblastine, doxorubicin, and cisplatin (MVAC) chemotherapy and recombinant human granulocyte colony-stimulating factor versus classic MVAC in advanced urothelial tract tumors: European Organization for Research and Treatment of Cancer Protocol no. 30924. „J Clin Oncol”. 19 (10), s. 2638–2646, 2001. DOI: 10.1200/JCO.2001.19.10.2638. PMID: 11352955.
  330. C.N. Sternberg, P. de Mulder, J.H. Schornagel, C. Theodore i inni. Seven year update of an EORTC phase III trial of high-dose intensity M-VAC chemotherapy and G-CSF versus classic M-VAC in advanced urothelial tract tumours. „Eur J Cancer”. 42 (1), s. 50–54, 2006. DOI: 10.1016/j.ejca.2005.08.032. PMID: 16330205.
  331. J. Bellmunt, H. von der Maase, G.M. Mead, I. Skoneczna i inni. Randomized phase III study comparing paclitaxel/cisplatin/gemcitabine and gemcitabine/cisplatin in patients with locally advanced or metastatic urothelial cancer without prior systemic therapy: EORTC Intergroup Study 30987. „J Clin Oncol”. 30 (10), s. 1107–1113, 2012. DOI: 10.1200/JCO.2011.38.6979. PMID: 22370319.
  332. 1 2 Witjes i in. 2016 ↓, s. 42.
  333. 1 2 Clark i in. 2017 ↓, s. 73.
  334. Clark i in. 2017 ↓, s. 39.
  335. 1 2 3 4 Clark i in. 2017 ↓, s. 40.
  336. M. De Santis, J. Bellmunt, G. Mead, J.M. Kerst i inni. Randomized phase II/III trial assessing gemcitabine/ carboplatin and methotrexate/carboplatin/vinblastine in patients with advanced urothelial cancer „unfit” for cisplatin-based chemotherapy: phase II--results of EORTC study 30986. „J Clin Oncol”. 27 (33), s. 5634–5639, 2009. DOI: 10.1200/JCO.2008.21.4924. PMID: 19786668.
  337. M. De Santis, J. Bellmunt, G. Mead, J.M. Kerst i inni. Randomized phase II/III trial assessing gemcitabine/carboplatin and methotrexate/carboplatin/vinblastine in patients with advanced urothelial cancer who are unfit for cisplatin-based chemotherapy: EORTC study 30986. „J Clin Oncol”. 30 (2), s. 191–199, Jan 2012. DOI: 10.1200/JCO.2011.37.3571. PMID: 22162575.
  338. 1 2 Clark i in. 2017 ↓, s. 76.
  339. F.A. Yafi, S. North, W. Kassouf. First- and second-line therapy for metastatic urothelial carcinoma of the bladder. „Curr Oncol”. 18 (1), s. 25–34, 2011. PMID: 21331269.
  340. 1 2 3 4 5 6 7 8 9 10 11 C.A. Ortmann, D. Mazhar. Second-line systemic therapy for metastatic urothelial carcinoma of the bladder. „Future Oncol”. 9 (11), s. 1637–1651, 2013. DOI: 10.2217/fon.13.139. PMID: 24156324.
  341. J. Edeline, Y. Loriot, S. Culine, C. Massard i inni. Accelerated MVAC chemotherapy in patients with advanced bladder cancer previously treated with a platinum-gemcitabine regimen. „Eur J Cancer”. 48 (8), s. 1141–1146, 2012. DOI: 10.1016/j.ejca.2012.01.022. PMID: 22364733.
  342. K.S. Han, J.Y. Joung, T.S. Kim, I.G. Jeong i inni. Methotrexate, vinblastine, doxorubicin and cisplatin combination regimen as salvage chemotherapy for patients with advanced or metastatic transitional cell carcinoma after failure of gemcitabine and cisplatin chemotherapy. „Br J Cancer”. 98 (1), s. 86–90, 2008. DOI: 10.1038/sj.bjc.6604113. PMID: 18087289.
  343. T. Kouno, M. Ando, K. Yonemori, K. Matsumoto i inni. Weekly paclitaxel and carboplatin against advanced transitional cell cancer after failure of a platinum-based regimen. „Eur Urol”. 52 (4), s. 1115–1122, 2007. DOI: 10.1016/j.eururo.2007.03.078. PMID: 17433855.
  344. J.Y. Joung, W.A. Kwon, I.C. Cho, E.K. Kim i inni. Paclitaxel and cisplatin chemotherapy for metastatic urothelial carcinoma after failure of two courses of platinum-based regimens. „Int J Urol”. 18 (5), s. 350–357, 2011. DOI: 10.1111/j.1442-2042.2011.02735.x. PMID: 21355894.
  345. J. Bellmunt, C. Théodore, T. Demkov, B. Komyakov i inni. Phase III trial of vinflunine plus best supportive care compared with best supportive care alone after a platinum-containing regimen in patients with advanced transitional cell carcinoma of the urothelial tract. „J Clin Oncol”. 27 (27), s. 4454–4461, 2009. DOI: 10.1200/JCO.2008.20.5534. PMID: 19687335.
  346. D.J. Vaughn, C.M. Broome, M. Hussain, J.C. Gutheil i inni. Phase II trial of weekly paclitaxel in patients with previously treated advanced urothelial cancer. „J Clin Oncol”. 20 (4), s. 937–940, 2002. DOI: 10.1200/JCO.2002.20.4.937. PMID: 11844814.
  347. F. Joly, N. Houédé, S. Noal, C. Chevreau i inni. Do patients with advanced urothelial carcinoma benefit from weekly paclitaxel chemotherapy? A GETUG phase II study. „Clin Genitourin Cancer”. 7 (2), 2009. DOI: 10.3816/CGC.2009.n.018. PMID: 19692319.
  348. D. Papamichael, C.J. Gallagher, R.T. Oliver, P.W. Johnson i inni. Phase II study of paclitaxel in pretreated patients with locally advanced/metastatic cancer of the bladder and ureter. „Br J Cancer”. 75 (4), s. 606–607, 1997. PMID: 9052419.
  349. J.A. McCaffrey, S. Hilton, M. Mazumdar, S. Sadan i inni. Phase II trial of docetaxel in patients with advanced or metastatic transitional-cell carcinoma. „J Clin Oncol”. 15 (5), s. 1853–1857, 1997. DOI: 10.1200/JCO.1997.15.5.1853. PMID: 9164195.
  350. T.K. Choueiri, R.W. Ross, S. Jacobus, U. Vaishampayan i inni. Double-blind, randomized trial of docetaxel plus vandetanib versus docetaxel plus placebo in platinum-pretreated metastatic urothelial cancer. „J Clin Oncol”. 30 (5), s. 507–512, 2012. DOI: 10.1200/JCO.2011.37.7002. PMID: 22184381.
  351. P. Albers, S.I. Park, G. Niegisch, G. Fechner i inni. Randomized phase III trial of 2nd line gemcitabine and paclitaxel chemotherapy in patients with advanced bladder cancer: short-term versus prolonged treatment German Association of Urological Oncology (AUO) trial AB 20/99. „Ann Oncol”. 22 (2), s. 288–294, 2011. DOI: 10.1093/annonc/mdq398. PMID: 20682548.
  352. G. Sonpavde, G.R. Pond, T.K. Choueiri, S. Mullane i inni. Single-agent Taxane Versus Taxane-containing Combination Chemotherapy as Salvage Therapy for Advanced Urothelial Carcinoma. „Eur Urol”. 69 (4), s. 634–641, 2016. DOI: 10.1016/j.eururo.2015.07.042. PMID: 26264159.
  353. V. Lorusso, C.F. Pollera, M. Antimi, G. Luporini i inni. A phase II study of gemcitabine in patients with transitional cell carcinoma of the urinary tract previously treated with platinum. Italian Co-operative Group on Bladder Cancer. „Eur J Cancer”. 34 (8), s. 1208–1212, 1998. PMID: 9849481.
  354. V. Gebbia, A. Testa, N. Borsellino, G. Mauceri i inni. Single agent 2',2'-difluorodeoxycytidine in the treatment of metastatic urothelial carcinoma: a phase II study. „Clin Ter”. 150 (1). s. 11–15. PMID: 10367539.
  355. P. Albers, R. Siener, M. Härtlein, M. Fallahi i inni. Gemcitabine monotherapy as second-line treatment in cisplatin-refractory transitional cell carcinoma – prognostic factors for response and improvement of quality of life. „Onkologie”. 25 (1), s. 47–52, 2002. DOI: 10.1159/000055202. PMID: 11893883.
  356. H. Akaza, S. Naito, M. Usami, T. Miki i inni. Efficacy and safety of gemcitabine monotherapy in patients with transitional cell carcinoma after Cisplatin-containing therapy: a Japanese experience. „Jpn J Clin Oncol”. 37 (3), s. 201–206, 2007. DOI: 10.1093/jjco/hym011. PMID: 17452426.
  357. R.S. Witte, P. Elson, B. Bono, R. Knop i inni. Eastern Cooperative Oncology Group phase II trial of ifosfamide in the treatment of previously treated advanced urothelial carcinoma. „J Clin Oncol”. 15 (2), s. 589–593, 1997. DOI: 10.1200/JCO.1997.15.2.589. PMID: 9053481.
  358. N.N. Davarpanah, A. Yuno, J.B. Trepel, A.B. Apolo. Immunotherapy: a new treatment paradigm in bladder cancer. „Curr Opin Oncol”, 2017. DOI: 10.1097/CCO.0000000000000366. PMID: 28306559.
  359. J. Bellmunt, T. Powles, N.J. Vogelzang. A review on the evolution of PD-1/PD-L1 immunotherapy for bladder cancer: The future is now. „Cancer Treat Rev”. 54, s. 58–67, 2017. DOI: 10.1016/j.ctrv.2017.01.007. PMID: 28214651.
  360. S. Bidnur, R. Savdie, P.C. Black. Inhibiting Immune Checkpoints for the Treatment of Bladder Cancer. „Bladder Cancer”. 2 (1), s. 15–25, 2016. DOI: 10.3233/BLC-150026. PMID: 27376121.
  361. D.M. Pardoll. The blockade of immune checkpoints in cancer immunotherapy. „Nat Rev Cancer”. 12 (4), s. 252–264, Apr 2012. DOI: 10.1038/nrc3239. PMID: 22437870.
  362. M.S. Farina, K.T. Lundgren, J. Bellmunt. Immunotherapy in Urothelial Cancer: Recent Results and Future Perspectives. „Drugs”. 77 (10), s. 1077–1089, Jul 2017. DOI: 10.1007/s40265-017-0748-7. PMID: 28493171.
  363. J. Bellmunt, R. de Wit, D.J. Vaughn, Y. Fradet i inni. Pembrolizumab as Second-Line Therapy for Advanced Urothelial Carcinoma. „N Engl J Med”. 376 (11), s. 1015–1026, 2017. DOI: 10.1056/NEJMoa1613683. PMID: 28212060.
  364. Clark i in. 2017 ↓, s. 74–75.
  365. J.E. Rosenberg, J. Hoffman-Censits, T. Powles, M.S. van der Heijden i inni. Atezolizumab in patients with locally advanced and metastatic urothelial carcinoma who have progressed following treatment with platinum-based chemotherapy: a single-arm, multicentre, phase 2 trial. „Lancet”. 387 (10031), s. 1909–1920, 2016. DOI: 10.1016/S0140-6736(16)00561-4. PMID: 26952546.
  366. 1 2 Clark i in. 2017 ↓, s. 75.
  367. A.V. Balar, M.D. Galsky, J.E. Rosenberg, T. Powles i inni. Atezolizumab as first-line treatment in cisplatin-ineligible patients with locally advanced and metastatic urothelial carcinoma: a single-arm, multicentre, phase 2 trial. „Lancet”. 389 (10064), s. 67–76, 2017. DOI: 10.1016/S0140-6736(16)32455-2. PMID: 27939400.
  368. P. Sharma, M. Retz, A. Siefker-Radtke, A. Baron i inni. Nivolumab in metastatic urothelial carcinoma after platinum therapy (CheckMate 275): a multicentre, single-arm, phase 2 trial. „Lancet Oncol”. 18 (3), s. 312–322, 2017. DOI: 10.1016/S1470-2045(17)30065-7. PMID: 28131785.
  369. T. Powles, P.H. O’Donnell, C. Massard, H.T. Arkenau i inni. Efficacy and Safety of Durvalumab in Locally Advanced or Metastatic Urothelial Carcinoma: Updated Results From a Phase 1/2 Open-label Study. „JAMA Oncol”. 3 (9), 2017. DOI: 10.1001/jamaoncol.2017.2411. PMID: 28817753.
  370. A.B. Apolo, J.R. Infante, A. Balmanoukian, M.R. Patel i inni. Avelumab, an Anti-Programmed Death-Ligand 1 Antibody, In Patients With Refractory Metastatic Urothelial Carcinoma: Results From a Multicenter, Phase Ib Study. „J Clin Oncol”. 35 (19), s. 2117–2124, 2017. DOI: 10.1200/JCO.2016.71.6795. PMID: 28375787.
  371. Manish R. Patel, John Allan Ellerton, Jeffrey R. Infante, Michael S. Gordon i inni. Avelumab in patients with metastatic urothelial carcinoma: Pooled results from two cohorts of the phase 1b JAVELIN Solid Tumor trial. „Journal of Clinical Oncology”, 2017. DOI: 10.1200/JCO.2017.35.6_suppl.330.
  372. F. Abdollah, G. Gandaglia, R. Thuret, J. Schmitges i inni. Incidence, survival and mortality rates of stage-specific bladder cancer in United States: a trend analysis. „Cancer Epidemiol”. 37 (3), s. 219–225, 2013. DOI: 10.1016/j.canep.2013.02.002. PMID: 23485480.
  373. 1 2 N Howlader i inni, Contents of the SEER Cancer Statistics Review (CSR), 1975-2014 Urinary Bladder Table 27.8 Cancer of the Urinary Bladder (Invasive and In Situ) [online] [zarchiwizowane z adresu 2017-10-30].
  374. 1 2 3 cancer.gov: Review: summary staging. [dostęp 2019-10-30]. [zarchiwizowane z tego adresu (2017-10-30)].
  375. 1 2 3 4 5 6 M. Alsudani, A. Mohammed. Historical development of diagnosis and treatment of bladder cancer. „Eur Urol Suppl”, 2013.
  376. 1 2 3 G. Androutsos. Milestones in the study of bladder tumors and the contribution of Sir Henry Thompson (1820-1904). „Journal of BUON”, 2002.
  377. O. Fuge, N. Vasdev, P. Allchorne, J.S. Green. Immunotherapy for bladder cancer. „Res Rep Urol”. 7, s. 65–79, 2015. DOI: 10.2147/RRU.S63447. PMID: 26000263.
  378. NIH: The „Accidental” Cure – Platinum-based Treatment for Cancer: The Discovery of Cisplatin. [dostęp 2017-11-01]. [zarchiwizowane z tego adresu].
  379. C.N. Sternberg, A.B. Apolo. Everything old is new again! Neoadjuvant chemotherapy in the treatment of muscle-invasive bladder cancer. „J Clin Oncol”. 32 (18), s. 1868–1870, 2014. DOI: 10.1200/JCO.2014.55.4055. PMID: 24821880.

Bibliografia

  • P.E. Clark, P.E. Spiess, N. Agarwal, R. Bangs i inni. NCCN Guidelines Insights: Bladder Cancer, Version 5.2017. „J Natl Compr Canc Netw”, 2017. PMID: 27697976. PMCID: PMC5379654. 
  • J. Bellmunt, A. Orsola, J.J. Leow, T. Wiegel i inni. Bladder cancer: ESMO Practice Guidelines for diagnosis, treatment and follow-up. „Ann Oncol”. 25 Suppl 3, 2014. DOI: 10.1093/annonc/mdu223. PMID: 25096609. 
  • J.A. Witjes, E. Compérat, N.C. Cowan, M. De Santis, G. Gakis: EAU Guidelines on Muscle-invasive and Metastatic Bladder Cancer. European Association of Urology, 2016.
  • Hitendra R.H. Patel, Tim Mould, Jean V. Joseph, Conor P. Delaney: Pelvic Cancer Surgery: Modern Breakthroughs and Future Advances. Springer, 2015. ISBN 978-1-4471-4258-4.
  • Maciej Krzakowski, Piotr Potemski, Krzysztof Warzocha, Pior Wysocki: Onkologia kliniczna. T. II. Via Medica, 2015. ISBN 978-83-7599-796-5.
  • Vincent T. DeVita, Theodore S. Lawrence, Steven A. Rosenberg: Devita, Hellman & Rosenberg’s Cancer: Principles & Practice of Oncology. Wyd. 8. Lippincott Williams & Wilkins, 2008. ISBN 978-0-7817-7207-5.
  • Gregor Mikuz: Clinical Pathology of Urological Tumours. CRC Press, 2007. ISBN 978-0-203-08983-5.
  • John N. Eble, Guido Sauter, Jonathan I. Epstein, Isabell A. Sesterhenn: Pathology and Genetics of Tumours of the Urinary System and Male Genital Organs. IARC Press, 2004.
  • Robert O. Petersen, Isabell A. Sesterhenn, Charles J. Davis: Urologic Pathology. Lippincott Williams & Wilkins, 2009. ISBN 978-0-7817-5343-2.
  • David G. Bostwick, Liang Cheng: Urologic Surgical Pathology. Elsevier Health Sciences, 2014. ISBN 978-0-323-08619-6.
  • Zbigniew Wolski, Artur A. Antoniewicz, Anna Kołodziej, Marcin Matuszewski, Marek Sosnowski: Wytyczne postępowania: u chorych z nienaciekającym mięśniówki rakiem pęcherza moczowego, u chorych z rakami przejściowonabłonkowymi górnych dróg moczowych, u chorych z naciekającym mięśniówkę i przerzutowym rakiem pęcherza moczowego (Ta, T1 i CIS), u chorych z pierwotnym rakiem cewki moczowej. Polskie Towarzystwo Urologiczne, 2013.
  • Badrinath R. Konety, Sam S. Chang: Management of Bladder Cancer: A Comprehensive Text With Clinical Scenarios. Springer, 2014. ISBN 978-1-4939-1881-2.
  • M. Babjuk, A. Böhle, M. Burger, E. Compérat, E. Kaasinen: Guidelines on Non-muscle-invasive Bladder Cancer (Ta, T1 and CIS). European Association of Urology, 2015.
  • Rak pęcherza moczowego. W: Piotr Rutkowski, Krzysztof Warzocha: Zalecenia postępowania diagnostyczno-terapeutycznego w nowotworach złośliwych 2013 rok. VM Media, 2013. ISBN 978-83-7599-594-7.

Przeczytaj ostrzeżenie dotyczące informacji medycznych i pokrewnych zamieszczonych w Wikipedii.