Gruźlica człowieka
| tuberculosis | |
![]() Zdjęcie rentgenowskie klatki piersiowej osoby chorej na gruźlicę | |
| Leczenie |
Tak |
|---|---|
| Czynnik chorobotwórczy | |
| Nazwa |
u człowieka zazwyczaj Mycobacterium tuberculosis |
| Rezerwuar |
człowiek, bydło |
| Epidemiologia | |
| Droga szerzenia |
zazwyczaj kropelkowa |
| Występowanie | |
| Prawo | |
| Podlega zgłoszeniu WHO |
Nie |
Gruźlica (łac. tuberculosis, TB – tubercule bacillus) – powszechna i potencjalnie śmiertelna choroba zakaźna, wywoływana przez prątka gruźlicy (Mycobacterium tuberculosis). Gruźlica dotyczy najczęściej płuc (gruźlica płucna), ale może również atakować ośrodkowy układ nerwowy, układ limfatyczny, naczynia krwionośne, układ kostno-stawowy, moczowo-płciowy oraz skórę. Inne mykobakterie takie jak Mycobacterium bovis, Mycobacterium africanum, Mycobacterium canetti czy Mycobacterium microti wywołują choroby zwane mykobakteriozami i z reguły nie infekują zdrowych osób dorosłych, natomiast są często spotykane u osób z upośledzeniem odporności, np. w przebiegu AIDS[1].
Ponad 1/3 ludzkiej populacji jest lub była w przeszłości narażona na prątki gruźlicy, a nowe infekcje pojawiają się na świecie w tempie jednej na sekundę[2]. Nie każda osoba zarażona rozwinie pełnoobjawową chorobę, zakażenie może pozostać bezobjawowe i pozostawać w uśpieniu, co zdarza się częściej. Jakkolwiek jedno na dziesięć zakażeń latentnych, jeśli nie będzie leczone, w późniejszym czasie ulegnie aktywacji prowadząc, do śmierci niemal połowy chorych.
Statystyki śmiertelności i chorobowości z roku 2004 wykazują 14,6 mln aktywnych przewlekłych gruźlic, 8,9 mln nowych przypadków oraz 1,6 mln zgonów spowodowanych tą chorobą, głównie w krajach Trzeciego Świata[2]. Dodatkowo, w krajach wysoko rozwiniętych u rosnącej liczby pacjentów dochodzi do pojawienia się gruźlicy w związku ze spadkiem odporności w przebiegu leczenia immunosupresyjnego, uzależnień lub zakażenia wirusem HIV.
Wzrost liczby infekcji wirusem HIV i załamanie się kontroli nad gruźlicą spowodowały odrodzenie się gruźlicy[3]. Pojawienie się lekoopornych form bakterii również przyczyniło się do rozszerzenia światowej epidemii. Od roku 2000 do 2004 wzrósł do 20% odsetek prątków odpornych na rutynowo stosowane leki i do 2% prątków opornych na leki drugiego rzutu[4]. Liczba przypadków gruźlicy różni się w dość szerokim zakresie, nawet w sąsiadujących obok siebie krajach, głównie z powodu różnic w organizacji systemu służby zdrowia[5]. WHO (Światowa Organizacja Zdrowia) określiła gruźlicę jako globalne niebezpieczeństwo, a Organizacja „Stop gruźlicy” stworzyła Globalny Plan Walki z Gruźlicą, którego celem była ochrona przed gruźlicą 14 milionów ludzi między rokiem 2006 a 2015[6].
Światowy Dzień Gruźlicy obchodzony jest 24 marca (wyznaczony przez Światowe Zgromadzenie WHO w rocznicę poinformowania świata nauki o wyizolowaniu prątka gruźlicy przez Roberta Kocha w 1882).
Inne nazwy
Pojęcie gruźlicy etymologicznie pochodzi od gruzełków, zmian widocznych w badaniu histopatologicznym w tkance zmienionej gruźliczo. Podobnie, określenie tuberkuloza, będące spolszczeniem łacińskiego tuberculosis, wywodzi się od tuberculum, czyli guzka. Nazwy tuberkuloza używa się rzadko, w powszechnym natomiast użyciu są skróty TB i Tbc.
W przeszłości gruźlica nazywana była suchotami (galopujące suchoty), gdyż w szybkim czasie doprowadzała do ciężkiego wyniszczenia z krwiopluciem, gorączką, bladością i postępującą utratą masy ciała. Wśród innych nazw wymienia się: phthisis pochodzącą z języka greckiego (stąd dawniej naukę o gruźlicy nazywano ftyzjatrią), skrofuły, czyli gruźlicę węzłów chłonnych u dorosłych, zazwyczaj przejawiającą się w postaci masywnie obrzękniętych węzłów szyjnych; tabes mesenterica, z łaciny gruźlicę jamy otrzewnowej, a w szczególności węzłów chłonnych krezki; lupus vulgaris, po łacinie oznaczającą gruźlicę skóry. Gruźlica prosówkowa oznacza z kolei gruźlicę rozsianą, która rozprzestrzenia się drogą krwi[7]. Wśród nazw funkcjonujących w krajach anglosaskich można również wymienić: wasting disease; white plague z uwagi na fakt, iż chorzy są często bardzo bladzi, jak również zło króla (king’s evil), ponieważ kiedyś wierzono, że dotyk władcy może wyleczyć ze skrofułów. Choroba Potta to określenie gruźlicy trzonów kręgów, stawów kręgosłupa i stawów sąsiadujących, tworzące tzw. garb gruźliczy[8].
Historia
Odkrywcą prątka gruźlicy wywołującego gruźlicę jest niemiecki uczony Robert Koch, który wyniki swoich badań opublikował 24 marca 1882 roku. W nazewnictwie polskim wspomniany drobnoustrój jest często nazywany na cześć tego bakteriologa prątkiem Kocha.
Od lat 80. XX wieku gruźlica ponownie stała się poważnym problemem zdrowotnym w wielu krajach. W 1993 Światowa Organizacja Zdrowia (WHO) uznała gruźlicę za chorobę stanowiącą globalne zagrożenie zdrowotne[9].
Epidemiologia[10]
Gruźlica na świecie
Mimo rozwiniętej profilaktyki i stosowania nowoczesnych leków, gruźlica stanowi duży problem zdrowotny na świecie i w Polsce. Także obecnie spotykane są bardzo zaawansowane postacie tej choroby.
Według szacunków WHO (2018) gruźlica jest w pierwszej dziesiątce przyczyn zgonów na świecie. W 2017 zostało oficjalnie zgłoszonych około 6,4 miliona nowych zachorowań na gruźlicę (szacuje się, że wszystkich nowych zachorowań było około 10,0 milionów), a około 1,3 miliona osób umarło z jej powodu[11].
Ponad połowa wszystkich chorych (59%) to mieszkańcy Azji. Najwyższe współczynniki zapadalności na gruźlicę występują w Afryce subsaharyjskiej, gdzie duży odsetek populacji jest zakażony HIV. Zakażenie HIV zwiększa wielokrotnie ryzyko zachorowania na gruźlicę. 310 000 osób na świecie zachorowało na gruźlicę wielolekooporną, MDR-TB (multidrug resistant tuberculosis), wywołaną przez prątki oporne jednocześnie na dwa najważniejsze leki przeciwprątkowe, tzn. na izoniazyd i ryfampicynę. Większość chorych na MDR-TB to mieszkańcy Chin, Indii, Rosji, Pakistanu i Republiki Południowej Afryki. W 84 krajach odnotowano już przypadki XDR-TB, czyli gruźlicy wielolekoopornej z dodatkową opornością na kolejne ważne leki przeciwprątkowe, jakimi są fluorochinolony i leki podawane we wstrzyknięciach (amikacyna, kanamycyna, kapreomycyna).
Gruźlica nie ustępuje w państwach Ameryki Płd., basenu Morza Śródziemnego – wskaźniki zapadalności 50-80/100 tys., natomiast w krajach rozwiniętych (Europa, Ameryka Płn., Australia) 10-15/100 tys.
Gruźlica w Polsce
W Polsce w 2021 roku zarejestrowano 3704 przypadków gruźlicy a współczynnik zapadalności wyniósł 9,7 na 100 000 ludności.[12] Brak wystarczającego finansowania służby zdrowia spowodował zaniedbanie wielu programów zapobiegawczych gruźlicy u ludzi starszych. Zapadalność na gruźlicę w Polsce jest nadal wyższa niż średnia w krajach Unii Europejskiej. W większości krajów UE zapadalność jest niska (np. Niemcy – 7,5; Czechy – 5,4; Słowacja – 4,8). Zapadalność na gruźlicę wyższą niż Polska mają między innymi: Portugalia (23,9), Estonia (25,4), Bułgaria (32,1), Łotwa (39,7), Litwa (58,7) i Rumunia (89,7). W 2017 roku, podobnie jak w latach poprzednich, zapadalność na gruźlicę w Polsce wzrastała wraz z wiekiem: od 1,2 na 100 000 wśród dzieci do 14 roku życia do 22,6 na 100 000 wśród osób w wieku 65 lat i starszych. Gruźlicę rozpoznano u 68 dzieci. Średni wiek chorego na gruźlicę mieszkańca Polski wynosił 53,3 lat. W 2011 roku, jak w latach wcześniejszych, zapadalność na gruźlicę mężczyzn była wyższa niż kobiet (mężczyźni stanowili 71,3% chorych). Zapadalność na gruźlicę w miastach była wyższa niż na wsi, co jest w Polsce zjawiskiem obserwowanym dopiero od kilku lat[13].
W 2016 roku gruźlica była przyczyną zgonu 543 osób w Polsce. Współczynnik umieralności – 1,4 na 100 000 ludności (w tym 0 dzieci) był taki sam jak rok wcześniej. Zgony z powodu gruźlicy stanowiły 0,2% ogółu zgonów w Polsce i 20,5% zgonów z powodu chorób zakaźnych i pasożytniczych[13].
Najwyższą zapadalność (na 100 000 ludności) na gruźlicę w 2016 roku zarejestrowano w województwach: lubelskim (21,9) i śląskim (20,9), z kolei najniższą w wielkopolskim (8,9) i warmińsko-mazurskim (9,2)[13].
Działanie zmierzającego do przeciwdziałania i zwalczania gruźlicy w Polsce podjęli lekarze: Antoni Gluziński, Lesław Gluziński, Antoni Dorosz.
Postacie gruźlicy
Mikroorganizmy wywołujące gruźlicę, prątki, atakują różne narządy, przede wszystkim płuca (ze względu na obecność tlenu i wysokie ciśnienie parcjalne dwutlenku węgla w tym narządzie), znacznie rzadziej skórę, układ kostny, układ płciowy, ośrodkowy układ nerwowy, węzły chłonne i inne. Znane są także przypadki gruźlicy wielonarządowej.
W Polsce najczęstsze postacie rejestrowanej gruźlicy pozapłucnej to[14]:
- gruźlicze zapalenie opłucnej,
- gruźlica węzłów chłonnych,
- gruźlica układu moczowo-płciowego,
- gruźlica kości i stawów,
- gruźlica mózgu i opon mózgowo-rdzeniowych.
Gruźlica pozapłucna stanowi zaledwie 8,8% wszystkich przypadków gruźlicy, co prawdopodobnie jest spowodowane niezgłaszaniem przez lekarzy różnych specjalności, którzy diagnozują i leczą te postaci gruźlicy.
Etiologia

Głównym czynnikiem etiologicznym powodującym TB jest Mycobacterium tuberculosis (M. TB), bakteria aerobowa, która dzieli się co 16–20 godzin, znacznie wolniej niż inne bakterie, które rozmnażają się zwykle w niecałą godzinę[15]. (na przykład, jednymi z najszybciej rozmnażających się bakterii jest szczep E. coli który może dzielić się co 20 minut). Ponieważ MTB posiada ścianę komórkową, ale nie ma zewnętrznej fosfolipidowej błony komórkowej, klasyfikowany jest jako bakteria Gram-dodatnia. Jednakże podczas próby barwienia metodą Grama, MTB wybarwia się słabo albo nie utrzymuje barwnika z powodu wysokiej zawartości lipidów i kwasu mykolowego w ścianie komórkowej[16]. MTB jest niewielką bakterią o kształcie pałeczkowatym, która może oprzeć się słabym środkom dezynfekującym. W naturze bakteria wzrasta tylko wewnątrzkomórkowo w organizmie gospodarza, ale w warunkach laboratoryjnych udaje się hodować M. tuberculosis in vitro[17].
Stosując pewne techniki histologiczne w próbkach uzyskanych z plwociny może być możliwe zaobserwowanie prątków pod zwykłym mikroskopem optycznym. Ponieważ prątki wykazują zdolność do zatrzymywania niektórych kwaśnych barwników, nazwane były również kwasochłonnymi[16]. Najpowszechniej stosowaną metodą barwienia jest metoda Ziehla – Neelsena, barwiąca prątki na jasnoczerwony kolor, odróżniający je od niebieskiego tła. Wśród innych metod znajdują się barwienie auraminą-rodaminą oraz grupa barwień fluorescencyjnych mikroskop fluorescencyjny.
W skład Mycobacterium tuberculosis complex wchodzą 3 inne powodujące gruźlicę prątki: M. bovis (włączając atenuowany szczep BCG)[18], M. africanum i M. microti. Pierwsze dwa bardzo rzadko wywołują chorobę u osób immunokompetentnych. Z drugiej strony, chociaż M. microti nie jest zwykle patogenny, możliwe że chorobowość związana z M. microti jest niedoszacowana[19]. Do mykobakterii chorobotwórczych należą także Mycobacterium leprae, grupa Mycobacterium avium oraz M. kansasii. Dwie ostatnie zalicza się do prątków niegruźliczych. Prątki niegruźlicze nie powodują gruźlicy ani trądu, ale wywołują infekcje płucne podobne do TB.[20]
W procesie ewolucji, M. tuberculosis zatraciła w swoim genomie niektóre regiony kodujące i niekodujące, co może być wykorzystane do rozróżnienia szczepów bakterii. Ponieważ różnice są zdeterminowane geograficznie, pozwala to na prześledzenie pochodzenia i przemieszczania się każdego ze szczepów[21].
Droga szerzenia
Gruźlica może być przenoszona przez ssaki. Gatunki udomowione, takie jak psy czy koty, nie są zwykle narażone na gruźlicę, ale dzikie zwierzęta mogą być jej nosicielami. W niektórych państwach istnieją przepisy, mające zapobiegać rozprzestrzenianiu się gruźlicy, które ograniczają możliwość posiadania niektórych gatunków zwierząt hodowlanych, zwłaszcza egzotycznych. Na przykład stan Kalifornia w USA zabrania posiadania myszoskoczków[22].
Mycobacterium bovis powoduje gruźlicę u bydła. Obecnie trwa próba eradykacji prątka w stadach bydła w Nowej Zelandii. Wykazano, iż zakażenie stada jest bardziej prawdopodobne na obszarach, gdzie zainfekowane gatunki przenoszące bakterię, jak np. oposy, wchodzą w kontakt z trzodą na obrzeżach farm i gospodarstw[23].
W krajach rozwiniętych pokarmowa droga szerzenia się zakażeń prątkiem bydlęcym Mycobacterium bovis związana ze spożyciem mleka od zakażonego bydła została wyeliminowana.
Znane są rzadkie przypadki infekcji poprzez skórę. Dotyczą one pracowników zajmujących się zwierzętami (lekarze weterynarii, rolnicy). Z tego względu gruźlicę, ponieważ możliwe jest zakażenie od zwierząt, zalicza się do chorób odzwierzęcych (inaczej antropozoonoz lub zoonoz).
Do zakażenia dochodzi więc zazwyczaj drogą kropelkową przez układ oddechowy, znacznie rzadziej innymi drogami. Źródłem zakażenia jest prątkujący chory na płucną postać gruźlicy (także gruźlicę gardła lub krtani). Gdy taki chory kaszle, kicha, śmieje się i mówi powstają bardzo małe kropelki, które unoszą się w powietrzu. Jeżeli są one odpowiednio małe (o śr. 1–5 μm), wraz z powietrzem dostają się drogami oddechowymi do pęcherzyków płucnych, w których dochodzi do zakażenia. Im kontakt z prątkującym chorym bliższy i dłuższy, tym ryzyko zachorowania większe.
Do zakażenia dochodzi najczęściej w źle wentylowanych budynkach. Stosunkowo duża ilość prątków potrzebna jest do wywołania choroby. W większości przypadków organizm człowieka potrafi sam obronić się przed rozwojem zachorowania. Jak się ocenia, tylko u 2–3% zakażonych rozwinie się objawowa gruźlica, u pozostałych prątki pozostaną w stanie latentnym w organizmie, a po kilku (a nawet kilkunastu) latach u ok. 5–10% może się rozwinąć choroba.
Czynniki ryzyka
Zwiększone ryzyko wystąpienia gruźlicy dotyczy: chorych na AIDS, narkomanów, alkoholików, osób z osłabioną odpornością zależną od limfocytów T, bezdomnych i niedożywionych, osób po 65 roku życia. Oprócz tych wszystkich, do reinfekcji predysponują: długotrwała immunosupresja, stosowanie terapii kortykosteroidami, cukrzyca, chłoniaki, pylica.
Objawy i przebieg
Ze względu na fazy rozwoju zakażenia prątkiem gruźlicy rozróżnia się gruźlicę pierwotną i popierwotną. Gruźlica pierwotna to pierwszy kontakt z czynnikiem zakaźnym, ze względu na drogę zakażenia i osobniczą odporność będzie to zwykle (75% przypadków) gruźlica płucna, która rozwija się u osoby dorosłej. W zależności od ogólnej odporności i intensywności zakażenia może nie mieć żadnych objawów, a świadectwem zakażenia jest konwersja odczynu tuberkulinowego i niekiedy zmiany w obrazie RTG, lub rozwija się stan chorobowy. W najczęstszej gruźlicy płucnej do jej objawów należą wtedy: ból w klatce piersiowej, krwioplucie oraz produktywny kaszel przewlekający się ponad trzy tygodnie. Do objawów ogólnych zalicza się: gorączkę (nawracającą, zwykle niewysoką lub stany podgorączkowe), dreszcze, nocne poty, ubytek masy ciała, bladość, często także łatwą męczliwość[2].
Gruźlica popierwotna jest wynikiem reaktywacji latentnego zakażenia pierwotnego. Często dochodzi do tego po wielu latach, a dochodzi do tego na skutek dołączenia się dodatkowego czynnika ryzyka: zakażenie HIV, leczenia immunosupresyjne, dłuższe leczenie kortykosteroidami, białaczki, chłoniaki, cukrzyca, skrajna niewydolność nerek, czy znaczna utrata masy ciała w krótkim czasie. Nacieki gruźlicze w gruźlicy popierwotnej ulegają serowaceniu, a masy serowate są wykrztuszane – powstaje jama płucna. Towarzyszy temu rozsiew prątków do innych części płuc. W zależności od stanu chorego, jego odporności i szybkości wdrożenia leczenia zmiany w płucach mogą się wchłaniać, włóknieć lub postępować doprowadzając do całkowitego zniszczenia płuc, a ostatecznie do śmierci.
Na początku gruźlica popierwotna może nie dawać objawów. Potem mogą pojawić się: wilgotny kaszel, zmęczenie i osłabienie, chudnięcie i brak apetytu, gorączka (lub stany podgorączkowe) i krwioplucia. Czasem mogą występować też bóle w klatce piersiowej i duszność. Przy mniej zaawansowanej chorobie i lżejszym jej przebiegu dolegliwości mogą ustępować i nawracać. W zaawansowanej rozsianej gruźlicy stan jest ciężki, a objawy nasilone.
Rzadziej (około 25% przypadków) zakażenie rozpoczyna się rozprzestrzeniać poza płucami (gruźlica pozapłucna); zwykle dochodzi do tego u osób z upośledzeniem odporności lub dzieci. Umiejscowienie pozapłucne może dotyczyć: opłucnej (wysiękowe zapalenie opłucnej), ośrodkowego układu nerwowego pod postacią gruźliczego zapalenia opon mózgowo-rdzeniowych, układu limfatycznego w skrofulozie, układu moczowo-płciowego, ale także kości i stawów kręgosłupa w chorobie Potta. Szczególnie poważną postacią jest gruźlica rozsiana. Postać pozapłucna nie jest zaraźliwa, ale może współistnieć z gruźlicą płucną, która przenosi się między ludźmi[24].
Rozpoznanie


Na podstawie symptomów klinicznych nie można rozpoznać choroby, w przypadku gruźlicy płucnej nasuwają one tylko podejrzenie schorzenia. Podobnie diagnostyka radiologiczna (RTG klatki piersiowej) gruźlicy płuc nie może stanowić definitywnego rozpoznania (nie zawsze da się odróżnić obraz gruźlicy od podobnych zmian chorobowych w płucach). Przy stosowaniu prób tuberkulinowych należy wziąć pod uwagę występowanie wyników zarówno fałszywie dodatnich, jak i ujemnych. Ostatecznym potwierdzeniem rozpoznania gruźlicy jest diagnostyka mikrobiologiczna, np. preparat bezpośredni plwociny (bakterioskopia bezpośrednia – BK) i hodowla na pożywkach. Pełna diagnostyka wymaga łącznie ok. 2–4 miesięcy (hodowla + identyfikacja gatunkowa + badanie lekowrażliwości).
Materiałem do badania jest plwocina pacjenta, a u dzieci popłuczyny żołądkowe. Przy problemach z wykrztuszaniem stosuje się bronchofiberoskopię z pobraniem wydzieliny oskrzelowej, z płukaniem oskrzelowo-pęcherzykowym lub biopsją przezoskrzelową. W gruźlicy pozapłucnej materiałem mogą być np. płyn mózgowo-rdzeniowy, mocz czy próbki tkanek.
Badanie mikroskopowe
Preparat najczęściej barwi się metodą Ziehl-Neelsena. Zaletą bakterioskopii bezpośredniej jest jej szybkość – wynik otrzymuje się już w ciągu 24 godzin.
Hodowla (posiew na pożywkach mikrobiologicznych)
Jeśli materiał od chorego może być skąpoprątkowy wykonuje się posiew najczęściej używane są: pożywka jajowa Löwensteina-Jensena, pożywki agarowe Middlebrook 7H10/7H11 i podłoża selektywne.
Prątki charakteryzują się wolnym wzrostem i kolonie są widoczne dopiero po 2–4 tygodniach.
Szybszą metodą wykonywania posiewów mikrobiologicznych jest system BACTEC za pomocą którego wyniki można uzyskiwać już po 1–3 tygodniach. Polega ona na hodowaniu pobranego materiału na odpowiednim podłożu płynnym zawierającym węgiel radioaktywny C14 w postaci palmitynianu.
Badanie RTG płuc
Objawy gruźlicy pierwotnej są często mało charakterystyczne, podobne do objawów grypowych. Bardziej zaawansowana postać gruźlicy daje zmiany w płucach w postaci nacieków gruźliczych, widocznych na zdjęciach radiologicznych.
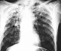
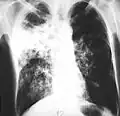
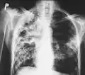
- Ilustracje – zdjęcia RTG
Nacieki gruźlicze w prawym płucu oraz środkowym polu płuca lewego, rozpady (jamy) w górnym i środkowym polu płuca prawego, 2004
Bardzo zaawansowane zmiany. Zmiany gruźlicze przede wszystkim w polu górnym i środkowym oraz jama w szczycie prawego płuca, 2004
Zaawansowane zmiany swoiste (gruźlicze) w obu płucach, 2004
Zaawansowane zmiany swoiste w obu płucach, 2004
RTG klatki piersiowej u pacjenta z obustronną gruźlicą płuc
Leczenie
Leczenie przeciwgruźlicze ma kilka podstawowych celów:
- szybkie zwalczenie prątków powodujących obecną chorobę
- zapobieganie lekooporności
- eliminacja prątków pozostających w organizmie w stanie latentnym (zapobieganie późniejszej reaktywacji zakażenia)
Podstawową metodą leczenia gruźlicy jest stosowanie leków przeciwgruźliczych i przeciwzapalnych, które jeśli rozpoczęte we wczesnej fazie choroby i prowadzone zgodnie z zaleceniami doprowadza do wyleczenia ok. 90% chorych.
Zasadniczym wskazaniem do rozpoczęcia leczenia przeciwgruźliczego jest stwierdzenie prątków w plwocinie lub innym materiale biologicznym pobranym od chorego. W niektórych przypadkach konieczne jest rozpoczęcie leczenia empirycznego tylko na podstawie np. RTG i innych badań, bez oczekiwania wynik hodowli, ze względu na ciężki stan pacjenta i wysokie prawdopodobieństwo istnienia procesu gruźliczego.
Międzynarodowa Unia do Walki z Gruźlicą i Chorobami Płuc (IUATLD) oraz WHO opracowały szczegółowe zasady leczenia gruźlicy. Zawsze należy stosować do pewnych określonych zasad:
- stosować leczenie skojarzone,
- leczenie powinno być systematyczne i długotrwałe (6–9 miesięcy),
- określone leki, w określonych dawkach, podawane w określonym rytmie.
Od lat 90. XX wieku przez WHO jest propagowana strategia leczenia w skrócie nazywana DOTS (z ang. Directly Observed Treatment Short-course), która polega na prowadzenia nadzorowanego leczenia przez krótszy czas. Ta strategia spowodowała poprawę wyników leczenia i umożliwiła zapobieganie pojawianiu się lekooporności prątków (szczególnie w krajach afrykańskich)[25]. Według danych programu WHO rocznie leczonych jest tą metodą 3 mln osób, a w ciągu kilku lat leczono blisko 13 mln, w tym 7 mln obficie prątkujących.
Polska strategię DOTS wprowadziła w 1998 roku w ramach Narodowego Programu Zwalczania Gruźlicy. Jednak jej implementacja jest mniej skuteczna niż w szeregu państw świata.
W arsenale terapeutycznym pulmonologów i ftyzjatrów jest obecnie kilkanaście leków. Podstawowe znaczenie mają w leczeniu gruźlicy tzw. leki przeciwgruźlicze pierwszego rzutu (patrz tabela poniżej).
| Nazwa leku | Wzór chemiczny | Mechanizm działania | Wprowadzony |
|---|---|---|---|
| Streptomycyna (SM) | ![]() |
hamowanie syntezy białek bakteryjnych | 1944 |
| Izoniazyd (INH) | hamuje syntezę kwasów mikolowych | 1952 | |
| Etambutol (EMB) | ![]() |
hamuje syntezę składników bł. komórkowej: arabinogalaktanu i lipoarabinomannanu | 1960 |
| Ryfampicyna (RMP) | ![]() |
hamowanie transkrypcji | lata 70. XX wieku |
| Pirazynamid (PZA) | nieznany | 1980 |
Stosowane są także, tzn. leki przeciwgruźlicze drugiego rzutu:
- kapreomycyna,
- kwas para-aminosalicylowy (PAS),
- cykloseryna,
- amikacyna,
- chinolony,
- kanamycyna,
- etionamid.
Za kryterium podziału na leki pierwszego i drugiego rzutu przyjęto skuteczność i toksyczność.
Leki przeciwgruźlicze można podzielić też na 4 grupy:
- leki bakteriobójcze (izoniazyd, pirazynamid, rifampicyna, streptomycyna);
- leki bakteriostatyczne (etambutol, cykloseryna, PAS oraz inne leki II rzutu);
- leki wyjaławiające (rifampicyna, pirazynamid);
- leki odprątkowujące, powodujące, że prątki znikają z plwociny (izoniazyd).
Inne metody leczenia:
- kortykoterapia,
- leczenie operacyjne (w wybranych przypadkach),
- leczenie klimatyczne – stosowane od starożytności.
Ocenę leczenia przeprowadza się co kilka miesięcy w oparciu o kryteria kliniczne, radiologiczne i bakteriologiczne.
Możliwe przyczyny niepowodzenia terapii:
- leczenie nieregularne,
- współistnienie innych chorób,
- lekooporność,
- zaawansowanie choroby (ciężki stan ogólny).
Coraz poważniejszym problemem w leczeniu gruźlicy staje się pojawianie się szczepów prątków lekoopornych[26]. Wyróżnia się lekooporność wielolekową na szereg podstawowych leków takich jak izoniazyd i ryfampicyna (MDR – od ang. Multidrug resistant TB) oraz lekooporność dodatkowo także na leki drugiego rzutu takie jak amikacyna, kapreomycyna i pochodne fluorochinolonów (ang. XDR – Extensively drug resistant TB)[27][28].
Organizacja zwalczania gruźlicy w Polsce
Gruźlica nadal jest chorobą o znaczeniu społecznym i z tego względu zwalczanie tej choroby ujęto w plan pod nazwą – Narodowy Program Zwalczania Gruźlicy. Specjalnością lekarską zajmującą się zapobieganiem i leczeniem gruźlicy jest ftyzjatria, lekarze tej specjalności pracują przede wszystkim w terenowych poradniach gruźlicy i chorób płuc.
Centralną rolę w Narodowym Programie Zwalczania Gruźlicy odgrywa Instytut Gruźlicy i Chorób Płuc w Warszawie, który jest:
- ośrodkiem referencyjnym,
- krajowym ośrodkiem konsultacyjnym,
- zajmuje się rejestracją i monitorowaniem wykrytych przypadków (w tym gruźlicy lekoopornej),
- podmiotem odpowiedzialnym za poziom merytoryczny i rezultaty Narodowego Programu Zwalczania Gruźlicy.
Podstawą prawną regulującą leczenie i zapobieganie gruźlicy jest Ustawa z dnia 5 grudnia 2008 roku o zapobieganiu oraz zwalczaniu zakażeń i chorób zakaźnych u ludzi. Ważne zagadnienia, które ta ustawa reguluje to:
- obowiązkowa rejestracja każdego przypadku gruźlicy,
- badania wśród osób o zwiększonym ryzyku zachorowania na gruźlicę,
- izolacja i bezzwłoczne leczenie chorych,
- zapewnienie leczenia nieubezpieczonym (art. 38 i art 40 ww. ustawy).
Na podstawie tej ustawy osoby chore na gruźlicę w okresie prątkowania oraz osoby z uzasadnionym podejrzeniem o prątkowanie podlegają obowiązkowemu leczeniu szpitalnemu (art. 34 ust. 1 ustawy). Obowiązkowemu leczeniu podlegają chorzy na gruźlicę płuc (art. 40, ustęp 1 ustawy) oraz osoby które miały styczność z osobami chorymi na gruźlicę płuc (art. 40 ust. 2 ustawy).
Gruźlica a zakażenie HIV
Gruźlica i zakażenie HIV współistnieją ze sobą od samego początku epidemii AIDS. U ok. 10 mln osób na świecie współistnieje zakażenie HIV i Mycobacterium tuberculosis, z tego 90% pochodzi z krajów Trzeciego Świata. Zakażenie HIV jest przyczyną stopniowego upośledzenia odporności komórkowej, co prowadzi do znacznego zwiększenia ryzyka rozwoju gruźlicy, gdy współistnieje latentne zakażenie prątkiem gruźlicy. Poza tym, częściej dochodzi do pozapłucnych manifestacji gruźlicy lub nietypowego obrazu w badaniu RTG. Mimo to, że związana z zakażeniem HIV gruźlica poddaje się leczeniu to ilość zachorowań stale rośnie, szczególnie w krajach Trzeciego Świata, gdzie gruźlica występuje endemicznie, a środki przeznaczane na walkę z tą chorobą są niewystarczające. W skali światowej gruźlica jest najczęstszym zakażeniem oportunistycznym występujących u ludzi HIV-pozytywnych i jest najczęstszą przyczyną zgonów pacjentów z AIDS.
Pozostałe zaburzenia odporności a gruźlica
Alkoholizm, nowotwory i inne niż zakażenie HIV przyczyny osłabienia odporności zwiększają prawdopodobieństwo zachorowania oraz utrudniają leczenie.
Nowe i alternatywne leki przeciwgruźlicze
- klofazymina – lek stosowany w leczeniu trądu i gruźlicy lekoopornej, działanie bakteriostatyczne dla prątka gruźlicy i prątków z grupy MAC
- rifabutyna – lek pokrewny rifampicynie, stos. w leczeniu gruźlicy i mikobakterioz u zakażonych wirusem HIV
- rifapentyna – lek pokrewny rifampicynie
- tiocetazon – lek pokrewny izoniazydowi
Fluorochinolony (ofloksacyna, ciprofloksacyna), swoim zakresem działania obejmują prątki gruźlicze i niegruźlicze. Są stosowane w leczeniu gruźlicy wielolekoopornej. Makrolidy, takie jak klarytromycyna i azytromycyna, także wykazują działanie przeciwprątkowe, dlatego stosuje się je w leczeniu mikobakteriozy wywołanej przez Mycobacterium avium-intracellulare.
Profilaktyka
Do najważniejszych metod zapobiegania gruźlicy zaliczamy:
- identyfikacja i leczenie wszystkich osób chorych na gruźlicę;
- odnajdywanie i ocena stanu osób, które miały kontakt z pacjentami chorymi na gruźlicę dla określenia, czy przypadkiem nie ulegli infekcji;
- prowadzenie badań wśród grup wysokiego ryzyka, aby zidentyfikować kandydatów do leczenia zakażenia latentnego i zapewnić ukończenie leczenia;
- ważną metodą u ludzi jest również prowadzenie akcji szczepień szczepionką BCG. Szczepionka ta nie daje całkowitej skuteczności – szacuje się ją na ok. 80% i więcej w przypadku ciężkich postaci u dzieci, natomiast skuteczność ochrony przed płucną postacią u dorosłych jest zmienna i mieści się w przedziale od 0 do 80%. Efektywność szczepionki spada dodatkowo tam, gdzie mykobakterie są słabiej rozpowszechnione. Z tego powodu w USA nie zaleca się rutynowo wszystkim ludziom szczepienia, z wyjątkiem osób, które spełniają specyficzne kryteria:
- dzieci i noworodki z negatywnymi testami skórnymi, które mają stały kontakt z osobami nieleczonymi lub leczonymi nieefektywnie albo będą miały ciągłą styczność z prątkami lekoopornymi.
- pracownicy służby zdrowia (rozważani na indywidualnych podstawach):
- mający kontakt z pacjentami z lekoopornymi postaciami gruźlicy,
- gdy przeniesienie szczepów lekoopornych jest bardzo prawdopodobne,
- gdy zastosowane kontrolne zabezpieczenia przeciw gruźlicy są nieefektywne.
Aby doszło do zakażenia u osoby z nieuszkodzonym układem obronnym okres ekspozycji na prątki musi być bardzo długi. Zdarza się to u szczepionych dzieci, np. gdy jeden z domowników jest chory na postać gruźlicy. Znaczenie w zapobieganiu ma także przestrzeganie higieny pomieszczeń (wietrzenie, a w placówkach opieki zdrowotnej dodatkowo używanie lamp nadfioletowych). W obszarach tropikalnych częstość występowania atypowych form mykobakterii jest wysoka i daje to pewien stopień ochrony przeciw gruźlicy.
Szczepionka przeciw gruźlicy
BCG (Bacillus Calmette-Guérin) to szczepionka przeciw gruźlicy opracowana we Francji przez Alberta Calmette’a i Camille’a Guérina i wprowadzona w 1921 roku. Stanowi ona atenuowany szczep Mycobacterium bovis (wywołuje gruźlicę bydła). Atenuacja zaszła wskutek 231 pasaży na podłożu z żółcią. Szczepienia okazały się skuteczne w Europie i krajach rozwijających się. Próby z tą szczepionką w USA wykazały niewielkie właściwości ochronne (odmienny szczep Mycobacterium tuberculosis), w pozostałych krajach występuje zróżnicowana skuteczność. Obecnie stosowana w Europie, nieużywana w USA.
Pierwsze rekombinowane szczepionki przeciw gruźlicy weszły w fazę badań klinicznych w USA w 2004 roku (sponsorowane przez National Institute of Allergy and Infectious Diseases (NIAID) – Narodowy Instytut Alergii i Chorób Zakaźnych)[29]. Badania z 2005 roku pokazują, że zastosowanie szczepionki DNA razem z konwencjonalną lekoterapią u myszy może przyspieszyć zniknięcie bakterii i chronić przed reinfekcją[30].
Klasyfikacja ICD10
| kod ICD10 | nazwa choroby |
|---|---|
| ICD-10: A15 | Gruźlica układu oddechowego, bakteriologicznie i histologicznie potwierdzona |
| ICD-10: A16 | Gruźlica układu oddechowego, nie potwierdzona bakteriologicznie i histologicznie |
| ICD-10: A17 | Gruźlica układu nerwowego |
| ICD-10: A18 | Gruźlica innych narządów |
| ICD-10: A19 | Gruźlica prosówkowa |
Zobacz też
Przypisy
- ↑ M.C. Raviglione, R.J. O’Brien, Tuberculosis, [w:] D.L. Kasper i inni red., Harrison’s Principles of Internal Medicine, wyd. 16th ed., McGraw-Hill Professional, 2004, s. 953–966, DOI: 10.1036/0071402357, ISBN 0-07-140235-7.
- 1 2 3 World Health Organization (WHO). Tuberculosis Fact sheet N°104 – Global and regional incidence. March 2006, Retrieved on 6 October 2006.
- ↑ Iademarco MF, Castro KG. Epidemiology of tuberculosis. „Seminars in Respiratory Infections”. 18 (4), s. 225–240, 2003. PMID: 14679472.
- ↑ Emergence of Mycobacterium tuberculosis with extensive resistance to second-line drugs–worldwide, 2000–2004. „MMWR Morb Mortal Wkly Rep”. 55 (11), s. 301–305, 2006. PMID: 16557213.
- ↑ Sobero R, Peabody J. Tuberculosis control in Bolivia, Chile, Colombia and Peru: why does incidence vary so much between neighbors?. „Int J Tuberc Lung Dis”. 10 (11), s. 1292–1295, 2006. PMID: 17131791.
- ↑ World Health Organization (WHO). Stop TB Partnership. Retrieved on 3 October 2006.
- ↑ Disseminated tuberculosis NIH Medical Encyclopedia. Accessed 09 Oct 06.
- ↑ Rudy’s List of Archaic Medical Terms. antiquusmorbus.com. [zarchiwizowane z tego adresu (2007-07-09)]. English Glossary of Archaic Medical Terms, Diseases and Causes of Death. Accessed 09 Oct 06.
- ↑ S.D. Lawn, A.I. Zumla. Tuberculosis. „Lancet”. 378 (9785), s. 57–72, Jul 2011. DOI: 10.1016/S0140-6736(10)62173-3. PMID: 21420161.
- ↑ Instytut Gruźlicy i Chorób Płuc – IGiChP [online], www.igichp.edu.pl [dostęp 2020-07-08] (pol.).
- ↑ Global tuberculosis report 2018. WHO. [dostęp 2019-02-18].
- ↑ Światowy Dzień Gruźlicy w tym roku pod hasłem Tak! Możemy zwalczyć gruźlicę.. Narodowy Instytut Zdrowia Publicznego (NIZP) Państwowy Zakład Higieny (PZH) – Państwowy Instytut Badawczy (PIB), 2023-03-24. [dostęp 2024-09-01]. (pol.).
- 1 2 3 Instytut Gruźlicy Chorób Płuc opublikował aktualny raport o występowaniu gruźlicy. szczepienia.pzh.gov.pl. [dostęp 2019-02-18].
- ↑ Gruźlica i choroby układu oddechowego w Polsce w 2005 roku. Szczuka I. (red.). Instytut Gruźlicy i Chorób Płuc, Warszawa 2006.
- ↑ Cox R. Quantitative relationships for specific growth rates and macromolecular compositions of Mycobacterium tuberculosis, Streptomyces coelicolor A3(2) and Escherichia coli B/r: an integrative theoretical approach. „Microbiology”. 150 (Pt 5), s. 1413–1426, 2004. PMID: 15133103.
- 1 2 Madison B. Application of stains in clinical microbiology. „Biotech Histochem”. 76 (3), s. 119–125, 2001. PMID: 11475314.
- ↑ Parish T, Stoker N. Mycobacteria: bugs and bugbears (two steps forward and one step back). „Mol Biotechnol”. 13 (3), s. 191–200, 1999. PMID: 10934532.
- ↑ Andrzej Szczeklik (red.) Choroby wewnętrzne. tom I, II Wydawnictwo Medycyna Praktyczna, 2005. ISBN 83-7430-031-0.
- ↑ Niemann S, Richter E, Dalügge-Tamm H, Schlesinger H, Graupner D, Königstein B, Gurath G, Greinert U, Rüsch-Gerdes S. Two cases of Mycobacterium microti derived tuberculosis in HIV-negative immunocompetent patients. „Emerg Infect Dis”. 6 (5), s. 539–542, 2000. PMID: 10998387.
- ↑ Diagnosis and treatment of disease caused by nontuberculous mycobacteria. This official statement of the American Thoracic Society was approved by the Board of Directors, March 1997. Medical Section of the American Lung Association. „Am J Respir Crit Care Med”. 156 (2 Pt 2), s. S1–25, 1997. PMID: 9279284.
- ↑ Rao K, Kauser F, Srinivas S, Zanetti S, Sechi L, Ahmed N, Hasnain S. Analysis of genomic downsizing on the basis of region-of-difference polymorphism profiling of Mycobacterium tuberculosis patient isolates reveals geographic partitioning. „J Clin Microbiol”. 43 (12), s. 5978–5982, 2005. PMID: 16333085.
- ↑ 14 CA ADC § 671 Barclays official California code of regulations; Tytuł 14. Natural resources; Division 1. Fish and game commission – Department of fish and game; Subdivision 3. General regulations; Chapter 3. Miscellaneous.
- ↑ Tweddle N, Livingstone P. Bovine tuberculosis control and eradication programs in Australia and New Zealand. „Vet Microbiol”. 40 (1–2), s. 23–39, 1994. PMID: 8073626.
- ↑ Centers for Disease Control and Prevention (CDC), Division of Tuberculosis Elimination. Core Curriculum on Tuberculosis: What the Clinician Should Know. 4th edition (2000). Updated Aug 2003.
- ↑ Global tuberculosis control – surveillance, planning, financing, WHO Report 2008.
- ↑ Dheda K, Gumbo T, Maartens G et al. The epidemiology, pathogenesis, transmission, diagnosis, and management of multidrug-resistant, extensively drug-resistant, and incurable tuberculosis. „Lancet Respir Med.”, 2017 Mar 15. DOI: 10.1016/S2213-2600(17)30079-6. PMID: 28344011. (ang.).
- ↑ Informacje o lekooporności prątków na serwerze WHO.
- ↑ Emergence of XDR-TB na www.who.int.
- ↑ National Institute of Allergy and Infectious Diseases. „First U.S. Tuberculosis Vaccine Trial in 60 Years Begins”, National Institutes of Health News, January 26, 2004. URL accessed on 2006-05-08.
- ↑ Ha et al. Protective effect of DNA vaccine during chemotherapy on reactivation and reinfection of Mycobacterium tuberculosis. „Gene Therapy”. 12 (7), s. 634–638, 2005. DOI: 10.1038/sj.gt.3302465. PMID: 15690060.
Linki zewnętrzne
- Instytut Gruźlicy i Chorób Płuc
- Global tuberculosis control – surveillance, planning, financing WHO Report 2008 dostęp 2008-07-18 (ang.)
- Centers for Disease Control and Prevention (CDC), Division of Tuberculosis Elimination. Core Curriculum on Tuberculosis: What the Clinician Should Know. 4th edition (2000). Updated August 2003 (ang.)
- Health Protection Agency. hpa.org.uk. [zarchiwizowane z tego adresu (2007-07-05)]., England (ang.)
- BioHealthBase Bioinformatics Resource Center Baza danych nt. Mycobacterium tuberculosis genom i związane z tym informacje (ang.)
- World Health Organization (WHO). Tuberculosis (ang.)
Przeczytaj ostrzeżenie dotyczące informacji medycznych i pokrewnych zamieszczonych w Wikipedii.





