Rak trzonu macicy
| carcinoma endometrium | |
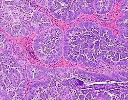
![]() Endometrialny gruczolakorak naciekający mięsień macicy | |
| Klasyfikacje | |
| ICD-10 | |
|---|---|
Rak błony śluzowej trzonu macicy, rak endometrium (łac. carcinoma endometrii, ang. endometrial cancer) – najczęstszy nowotwór złośliwy trzonu macicy.
Epidemiologia
Rak endometrium jest 4. pod względem zachorowalności nowotworem złośliwym u kobiet. Największa zachorowalność przypada na przedział 55–70 lat[1].
Etiologia i czynniki ryzyka
Wpływ na rozwój tego raka ma długotrwała stymulacja endometrium przez estrogeny, szczególnie przy jednoczesnym niedoborze progestagenów. Taka sytuacja ma miejsce u otyłych kobiet w okresie około- i postmenopauzalnym. W tym okresie jajnik przestaje produkować progesteron i estrogeny, ale produkuje androstendion (tak jak nadnercza). Androstendion ulega konwersji do estronu w tkance tłuszczowej. Ciągła stymulacja błony śluzowej przez estron bez wpływu progesteronu prowadzi do niekontrolowanej proliferacji nabłonka i zablokowania czynności sekrecyjnej komórek.
Produkcja estronu u kobiet otyłych może być nawet 20 razy większa niż u młodych i szczupłych[2].
Czynniki ryzyka:
- otyłość w wieku 50–59 lat
- hiperestrogenizm endogenny (hormonalnie czynne nowotwory jak ziarniszczak, otoczkowiak)
- hiperestrogenizm egzogenny – długotrwałe leczenie estrogenami bez zrównoważenia progesteronem (obecnie prawie nie stosowane)
- cukrzyca
- nadciśnienie tętnicze
- nierództwo
- późna menopauza
- wczesna menarche
- występowanie cykli bezowulacyjnych
- zespół policystycznych jajników
- choroby prowadzące do upośledzenia wydolności wątroby
- przebyte napromienianie na okolicę miednicy mniejszej
- uwarunkowania genetyczne (zespół Lyncha, zespół Cowden)
- długotrwałe leczenie tamoksyfenem.
Rozrost endometrium
Estrogeny w nadmiernym stężeniu powodują niekontrolowany rozrost endometrium. Zwiększona aktywność mitotyczna powoduje patologiczny rozrost cew gruczołowych błony śluzowej. Wyróżniamy cztery rodzaje rozrostów endometrium:
- rozrost gruczołowy bez atypii (łac. hyperplasia glandularis simplex sine atypia)
- rozrost gruczołowy prosty z atypią (łac. hyperplasia glandularis simplex cum atypia)
- rozrost złożony bez atypii (łac. hyperplasia glandularis complex sine atypia)
- rozrost złożony z atypią (łac. hyperplasia glandularis complex cum atypia).
Rozrosty bez cech atypii nie są stanami przednowotworowymi. Ryzyko występowania raka błony śluzowej trzonu macicy wzrasta w przypadku istnienia rozrostu złożonego z atypią i wynosi 30–50%.
Objawy i przebieg
Nieprawidłowe krwawienie z dróg rodnych po okresie menopauzalnym jest najważniejszym objawem każącym poszukiwać nowotworu trzonu macicy. Może ono występować zarówno przy patologicznym rozroście endometrium jak i w raku trzonu macicy. Około 20% krwawień z dróg rodnych w wieku pomenopauzalnym jest spowodowane rakiem endometrium.
Histopatologia
Rak endometrium histologicznie dzielony jest na dwa typy[3][4]:
- Typ 1 – rak endometrioidalny, histologicznie rak płaskonabłonkowy lub śluzowy; znacznie częstszy, związany z ekspozycją na estrogeny
- Typ 2 – histologicznie rak surowiczy lub jasnokomórkowy, rzadszy, o nieznanej etiologii i gorzej rokujący.
Rozpoznanie
Tylko wynik badania histopatologicznego materiału uzyskanego po wyłyżeczkowaniu kanału szyjki i trzonu macicy może potwierdzić rozpoznanie.
Do rozpoznania bardzo przydatna jest ultrasonografia przezpochwowa. Pogrubiałe endometrium rozpoznaje się, gdy jego grubość przekroczy 4–5 mm u kobiet niestosujących hormonalnej terapii zastępczej, 8 mm u kobiet stosujących tę terapię. Gdy grubość endometrium przekroczy 12 mm, zachodzi podejrzenie nowotworu lub stanu przednowotworowego. Jest to wskazanie do abrazji macicy.
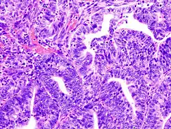
Histopatologia
Typ I
.jpg)
Zazwyczaj rak endometrialny składa się z okrągłych lub owalnych gruczołów ograniczonych komórkami nabłonkowymi z zachowaną polarnością. Obecność dużych mas komórek nieformujących się w gruczoły świadczy o wyższym gradingu nowotworu.
- Grade I: lite masy stanowią <5% nowotworu
- Grade II: lite masy stanowią 5-50% nowotworu
- Grade III: lite masy stanowią >50% nowotworu[5]
Typ II

W typie II nowotworu typ wzrostu jest zazwyczaj brodawkowaty, czasami mikrobrodawkowaty, w odróżnieniu do typu I, gdzie dominuje typ gruczołowy wzrostu. Można również zaobserwować pojedyncze gruczoły, jednak ich światło nie jest tak wyraźnie odgraniczone jak w typie I. Dość charakterystyczne są również ciałka piaszczakowate, stwierdzane są w ok. 30% przypadków. Jądra komórkowe zazwyczaj z dużą atypią, hiperchromatyczne, z wyraźnymi jąderkami i częstymi figurami mitotycznymi. Zgodnie z normami FIGO jest to zawsze guz o wysokim stopniu złośliwości histologicznej[6].
Rozpoznanie różnicowe
W diagnostyce różnicowej należy przede wszystkim uwzględnić inne przyczyny krwawień z dróg rodnych.
Leczenie
Rozrosty atypowe
U kobiet przed okresem menopauzalnym, z rozrostem atypowym endometrium, pragnących zachować płodność, leczeniem z wyboru jest terapia hormonalna. Pacjentka musi pozostawać pod kontrolą specjalisty i musi być spełniony szereg warunków by mogło być prowadzone leczenie oszczędzające.
W wieku pomenopauzalnym stosuje się leczenie operacyjne, wykonuje się proste wycięcie macicy z przydatkami.
Rak endometrium
Leczenie raka błony śluzowej jest głównie operacyjne. Chemioterapia jest stosowana do leczenia nawrotów choroby. Zastosowanie znajduje wysokodawkowa hormonoterapia progestagenowa.
W ok. 80% przypadków nowotworu w komórkach dochodzi do patologicznej zmiany w obrębie ścieżki PI3K/AKT, jest to największy odsetek spośród wszystkich nowotworów litych człowieka. Dlatego w niektórych przypadkach można zastosować leczenie ukierunkowane molekularnie, np. inhibitory mTOR[7].
Rokowanie
| Stopień zaawansowania klinicznego według FIGO | Odsetek pięcioletnich przeżyć |
|---|---|
| I | 73-95% |
| II | 50-65% |
| III | 20-40% |
| IV | 9% |
Klasyfikacja zaawansowania klinicznego
Klasyfikacja FIGO z 2009 roku[8]:
| Stadium | Opis |
|---|---|
| I | Nowotwór ściśle ograniczony do trzonu macicy |
| Ia | Brak nacieku lub głębokość nacieku obejmuje <50% mięśniówki |
| Ib | Naciek obejmuje ≥50% mięśniówki |
| II | Nowotwór nacieka podścielisko szyjki macicy, ale nie wychodzi poza macicę |
| III | Lokalne i regionalne naciekanie |
| IIIa | Rak nacieka surowicowkę macicy i/lub przydatki |
| IIIb | Przerzuty do pochwy i/lub przymacicz |
| IIIc | Przerzuty do węzłów chłonnych miedniczych i/lub węzłow okołoaortalnych |
| IIIc1 | Zajęte węzły miedniczne |
| IIIc2 | Zajęte węzły okołoaortalne z zajętymi lub nie węzłami miednicy |
| IV | Naciek pęcherza moczowego i/lub śluzowki odbytnicy i/lub odległe przerzuty |
| IVa | Naciekanie nowotworowe błony śluzowej pęcherza moczowego i/lub odbytnicy |
| IVb | Przerzuty odległe obejmujące przerzuty do węzłów chłonnych pachwinowych i węzłów chłonnych w jamie brzusznej |
Przypisy
- ↑ Radzisław Kordek, Onkologia : podręcznik dla studentów i lekarzy, Gdańsk: Via Medica, 2007, s. 240–243, ISBN 978-83-7555-016-0.
- ↑ Grzegorz Bręborowicz (red.): Położnictwo i ginekologia, tom 2. Wydawnictwo Lekarskie PZWL, Warszawa 2007, wyd. 1, s. 833–838 ISBN 83-200-3541-4
- ↑ Jan V. Bokhman, Two pathogenetic types of endometrial carcinoma, „Gynecologic oncology”, 15 (1), 1983, s. 10-7, DOI: 10.1016/0090-8258(83)90111-7, PMID: 6822361.
- ↑ Rak trzonu macicy, [w:] Radzisław Kordek, Onkologia. Podręcznik dla studentów i lekarzy, wyd. Czwarte poprawione i uzupełnione, Via Medica, ISBN 978-83-7599-559-6 (pol.).
- ↑ Anais Malpica. How to approach the many faces of endometrioid carcinoma. „Modern Pathology”. 29, s. 29-44, 2016. SCAP. DOI: 10.1038/modpathol.2015.142.
- ↑ Jefree J. Schulte, Ricardo R. Lastra: Serous carcinoma. pathologyoutlines.com, 21.03.2024. [dostęp 2024-05-30]. (ang.).
- ↑ Monica Avila, Michaela Onstad Grinsfelder, Melissa Pham, Shannon N Westin. Targeting the PI3K Pathway in Gynecologic Malignancies. „Curr Oncol Rep”. 29 (12), s. 1669-1676, 2022. DOI: 10.1007/s11912-022-01326-9.
- ↑ Nowe zasady określania stopnia zaawansowania nowotworów ginekologicznych zatwierdzone przez Międzynarodową Federację Położników i Ginekologów (FIGO) w 2009r., Polskie Towarzystwo Ginekologii Onkologicznej.
Linki zewnętrzne
- Zakład Brachyterapii COI w Warszawie – sposoby leczenia raka trzonu macicy z wykorzystaniem brachyterapii.. brachyterapia.coi.pl. [zarchiwizowane z tego adresu (2010-03-06)].
Przeczytaj ostrzeżenie dotyczące informacji medycznych i pokrewnych zamieszczonych w Wikipedii.
