Ziarniszczak
| Folliculoma | |
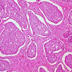
![]() Obraz mikroskopowy | |
| Specjalizacja |
ginekologia |
|---|---|
| Leczenie |
operacyjne |
| Klasyfikacje | |
| ICD-10 |
C56 |
Ziarniszczak (łac. folliculoma) – nowotwór wywodzący się ze sznurów płciowych występujący w jajniku, zwykle jednostronnie. Należy do grupy guzów jajnika hormonalnie czynnych.
Epidemiologia
Większość ziarniszczaków pojawia się u kobiet w okresie okołomenopaualnym ze średnim wiekiem rozpoznania ok. 50 lat, czyli o dekadę niższą niż w przypadku większości raków jajnika. 5% rozpoznań to młodzieńcza postać ziarniszczaka, która może występować również u dzieci przed okresem dojrzewania[1].
Patologia

Makroskopowo guzy są lite, różnej wielkości (zazwyczaj 10–12 cm), na przekroju koloru od szarego do żółtego, występują przestrzenie torbielowate. W 95% przypadków jednostronny, rzadko daje przerzuty odległe[2].
Komórki nowotworowe są małe o kształcie walcowatym lub wielokątne, ze skąpą eozynofilową cytoplazmą i małym rowkowanym jądrem (tzw. ziarna kawy). Występują różne typy wzrostu, przy czym w jednym guzie znajduje się zazwyczaj kilka typów. Wyróżniane są: rozlany (najczęstszy) beleczkowaty, wyspowy, mikropęcherzykowy i najrzadszy makropęcherzykowy. W typie mikropęcherzykowym komórki warstwy ziarnistej tworzą struktury naśladujące pęcherzyki Graafa, tzw. ciałka Call-Exnera. Aktywność mitotyczna niska, zazwyczaj poniżej 3/10 w polu widzenia. Podścielisko bogato unaczynione, ze zmienną ilością fibroblastów i komórek otoczki[2].
Komórki tego nowotworu mogą produkować duże ilości estrogenów, w związku z tym istnieje predyspozycja do równoległego występowania raka endometrium i sutka[3]. Powoduje to też objawy takie jak nasilone krwawienia miesięczne, krwawienie z dróg rodnych po okresie menopauzy, a u dzieci przedwczesne dojrzewanie płciowe[4]. Bardzo rzadko może także produkować androgeny[2].
Najczęściej ziarniszczaki wydzielają hormony: Inhibina B, Inhibina A oraz AMH. Z tego powodu pełnią one istotną rolę w diagnostyce nowotworu. W 2009 roku odkryto, że nowotwory ziarniszczaka posiadają specyficzną mutację genu FOXL2. Jej identyfikacja ma silne znaczenie w prawidłowym zdiagnozowaniu nowotworu[5].
Leczenie
Leczenie jest operacyjne. U młodych kobiet, w niskim stopniu zaawansowania klinicznego ziarniszczaka można ograniczyć postępowanie do jednostronnego wycięcia jajnika. W wyższych stopniach klinicznych i u kobiet po menopauzie należy usunąć macicę z przydatkami i zastosować następczą radioterapię. Cechą charakterystyczną ziarniszczaka jest duża skłonność do późnych nawrotów[4].
Przeżycie 5-letnie wynosi od 61–97%[3].
Przypisy
- ↑ Shafeek Shamsudeen; Charles J. Dunton.: Granulosa Theca Cell Tumors of the Ovary. ncbi.nlm.nih.gov, 12 listopada 2023. [dostęp 2024-05-28]. (ang.).
- 1 2 3 Shabnam Zarei: Ovary - Sex cord stromal tumors -Pure sex cord tumors - Granulosa cell tumor-adult. pathologyoutlines.com, 14.06.2023. [dostęp 2024-05-28]. (ang.).
- 1 2 Barbara Kozakiewicz: Nowotwory złośliwe narządu rodnego. Nowa Medycyna – Onkologia VI (3/2003). [dostęp 2010-02-21]. [zarchiwizowane z tego adresu (2010-04-01)]. (pol.).
- 1 2 Bręborowicz Grzegorz H.: Położnictwo i ginekologia. Tom 2. Warszawa: Wydawnictwo Lekarskie PZWL, 2020, s. 855. ISBN 978-83-200-6340-0.
- ↑ Annie D Yang: Ovarian adult-type granulosa cell tumor: focusing on endocrine-based therapies. INTERNATIONAL JOURNAL OF ENDOCRINE ONCOLOGYVOL. 5, NO. 2 (10/2018). [dostęp 2019-07-25]. (ang.).
Linki zewnętrzne
Przeczytaj ostrzeżenie dotyczące informacji medycznych i pokrewnych zamieszczonych w Wikipedii.
.jpg)