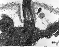
Kinetosom

(1) aksonema, (2) błona komórkowa,
(3) transport wewnątrzrzęskowy,
(4) ciałko podstawowe

Kinetosom (gr. kinetós ‘ruchomy’, sóma ‘ciało’), ciałko podstawowe – część podstawna pęczku mikrotubul (ułożonych w 9 tripletów odchylonych pod kątem ok. 40°) tworzących wici i rzęski, zanurzona w cytoplazmie komórki, zbudowana z białek, DNA oraz RNA. Jest to twór homologiczny do centrioli, odpowiedzialny za ruch wici oraz rzęsek. Koordynację ruchu umożliwia połączenie kinetosomów systemem neurofibryli. W organizmie ludzkim występuje np. w plemnikach.
Ciałko podstawowe organizmów prokariotycznych (nazywane także rotorem) nie jest homologiczne z ciałkiem podstawowym organizmów eukariotycznych.
Bibliografia
- Biologia. Multimedialna encyklopedia PWN Edycja 2.0. pwn.pl, 2008. ISBN 978-83-61492-24-5.
- Encyklopedia Biologia. Agnieszka Nawrot (red.). Kraków: Wydawnictwo GREG. ISBN 978-83-7327-756-4.
- Robert Konieczny, ciałko podstawowe, [w:] Marzena Popielarska, Robert Konieczny, Grzegorz Góralski, Słownik szkolny. Biologia, Kraków: Wydawnictwo Zielona Sowa, 2008, s. 57–58, ISBN 978-83-7435-692-3.