Dekstrokardia
| dextrocardia | |
![]() | |
| Klasyfikacje | |
| ICD-10 | |
|---|---|
| DiseasesDB | |
| MedlinePlus | |
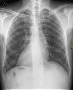
Dekstrokardia (łac. dextrocardia) – medyczne określenie sytuacji, gdy serce znajduje się po prawej stronie klatki piersiowej.
Jeżeli towarzyszy mu nieprawidłowe (po przeciwnych stronach, jakby odbite w lustrze) położenie innych narządów w obrębie klatki piersiowej i jamie brzusznej mówimy o odwróceniu trzewi (łac. situs inversus).
Zobacz też
Linki zewnętrzne
- Situs Inversus. eMedicine.com. [dostęp 2009-12-26]. (ang.).
Przeczytaj ostrzeżenie dotyczące informacji medycznych i pokrewnych zamieszczonych w Wikipedii.
