Pierwotna dyskineza rzęsek
| primary ciliary dyskinesia | |
| Klasyfikacje | |
| ICD-10 | |
|---|---|



Pierwotna dyskineza rzęsek (zespół nieruchomych rzęsek, ang. immotile cilia syndrome, ICS, primary ciliary dyskinesia, PCD) – rzadka, genetycznie uwarunkowana choroba dziedziczona w sposób autosomalny recesywny, w której objawy chorobowe wywołane są przez nieprawidłową budowę rzęsek pokrywających nabłonki urzęsione organizmu człowieka. PCD należy, razem z innymi chorobami spowodowanymi dysfunkcją rzęsek, do grupy ciliopatii. Najpoważniejsze objawy wynikają z upośledzenia funkcji nabłonka oddechowego górnych i dolnych dróg oddechowych. Choroba ta jest również przyczyną bezpłodności u mężczyzn, ponieważ defekt budowy dotyczy również witek plemników.
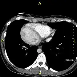
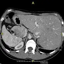
Zespół Kartagenera (ang. Kartagener’s syndrome) stanowi około połowy przypadków chorych z pierwotną dyskinezą rzęsek; w zespole tym, opisanym po raz pierwszy w 1904 roku, występuje klasyczna triada objawów, zwana triadą Kartagenera: zapalenie zatok przynosowych (sinusitis), rozstrzenie oskrzeli (bronchiectases) i odwrócenie trzewi (situs inversus). Postuluje się wpływ nieprawidłowej funkcji rzęsek w patogenezie zaburzenia embriogenezy, jakim jest situs inversus. Nazwa zespół nieruchomych rzęsek stosowana wcześniej wymiennie z terminem pierwotnej dyskinezy rzęsek nie powinna być używana, ponieważ nieprawidłowo zbudowane rzęski posiadają zdolność do ruchu; nie wystarcza ona jednak aby nabłonek urzęsiony mógł prawidłowo pełnić swoją funkcję.
Historia
Triadę objawów: rozstrzenie oskrzeli, przewlekłe zapalenia zatok obocznych nosa i przełożenie trzewi, opisał po raz pierwszy w 1904 roku na łamach „Berliner klinische Wochenschrift” Alfons Ziwert, pracujący w klinice w Kijowie[1]. Jego pacjent, „E.W.”, od urodzenia miał rozstrzenie oskrzeli i situs inversus totalis. Doniesienie to nie zostało jednak zauważone i dopiero praca Manesa Kartagenera z 1933 roku w „Beiträge zur Klinik der Tuberkulose”[2], w której Kartagener opisał triadę objawów u czterech pacjentów, zwróciła należytą uwagę na niezwykłą koincydencję objawów składających się na obraz kliniczny pierwotnej dyskinezy rzęsek. Obaj uczeni, Kartagener i Siewert, byli honorowani w eponimicznych określeniach choroby; jednak, nazwa zespołu Kartagenera przyjęła się lepiej niż używana częściej w krajach dawnego Związku Radzieckiego nazwa zespołu Siewerta (bądź zespołu Ziwerta) czy zespołu Kartagenera-Siewerta[3][4].
Molekularne wyjaśnienie zespołu Kartagenera podał pierwszy Szwed Björn Arvid Afzelius i jego współpracownicy w połowie lat 70. Doniesienie Afzeliusa wskazywało na nieprawidłową budowę rzęsek jako pierwotną przyczynę zespołu chorobowego[5]. Stąd też można spotkać się z kolejnymi nazwami na określenie tej samej jednostki chorobowej: zespół Afzeliusa lub zespół Kartagenera-Afzeliusa[6]. Odkrycie Afzeliusa pozwoliło na utworzenie terminu pierwotnej dyskinezy rzęsek (ang. primary ciliary diskinesia), który powinien być używany, podczas gdy nazwę zespołu Kartagenera rezerwuje się dla pełnoobjawowego zespołu w którym występuje triada Kartagenera.
Epidemiologia
Częstość występowania pierwotnej dyskinezy rzęsek w Stanach Zjednoczonych ocenia się na 1:12 000-1:17 000[7]. Badania w Japonii pozwoliły ocenić częstość schorzenia na około 1:16 000[8], podobnie w Norwegii[9]. Uważa się, że częstość PCD pozostaje niedoszacowana; przy założeniu częstości 1:15 000 w Wielkiej Brytanii powinno być 3000 chorych i 70 nowych przypadków rocznie, podczas gdy tamtejsza grupa pacjentów liczy 90 osób[10].
Wiadomo, że rozstrzenie oskrzeli, które są objawem PCD, są wyjątkowo częste u Polinezyjczyków, zwłaszcza rdzennych mieszkańców Samoa i Nowej Zelandii; w tamtejszej populacji częstość PCD jest wyższa[11][12].
Choroba jest jednakowo częsta u obu płci. Występuje często rodzinnie, najczęściej dziedziczona autosomalnie recesywnie, chociaż opisywano też inne typy dziedziczenia (autosomalnie dominujące i sprzężone z chromosomem X; zobacz etiologia i patofizjologia). W przypadku postaci dziedziczonej AR, podobnie jak w wypadku innych chorób o takim sposobie dziedziczenia, można się spodziewać większej częstości zachorowań w populacjach odizolowanych i jednorodnych genetycznie[7].
Etiologia i patofizjologia


Pierwotnym zaburzeniem jest nieprawidłowa budowa rzęski. Prawidłowo zbudowana rzęska składa się z układu mikrotubuli: dziewięciu par ułożonych obwodowo i jednej pary ułożonej centralnie. Każdej obwodowo ułożonej parze mikrotubuli towarzyszy białko dyneina, tworzące tzw. ramiona zewnętrzne i wewnętrzne. W prawidłowych warunkach dyneina umożliwia rzęskom skoordynowany ruch. Mutacja genu kodującego dyneinę skutkuje brakiem ramion zewnętrznych dyneiny i spowolnieniem uderzeń rzęsek. W pierwotnej dyskinezie rzęsek spotyka się również inne nieprawidłowości morfologiczne tych organelli, takie jak nieprawidłowy układ mikrotubuli, nieprawidłową liczbę mikrotubuli w rzęsce, zaburzoną architekturę aksonemy; nierzadko spotyka się tzw. rzęski olbrzymie. Nieprawidłowości rzęsek mogą być także spowodowane procesem zapalnym: mówi się wtedy o wtórnej dyskinezie rzęsek[10]. Nabłonki urzęsione wyścielają w ludzkim organizmie między innymi:
- górne drogi oddechowe
- tchawicę i oskrzela
- woreczek łzowy
- jajowody
- kanaliki wyprowadzające jąder i najądrzy.
Nieprawidłowa ruchomość rzęsek lub jej całkowity brak powoduje gromadzenie się śluzu w drogach oddechowych. Zaleganie śluzu sprzyja rozwojowi bakterii odpowiedzialnych za rozwój zakażeń. Poważną konsekwencją dyskinezy rzęsek jest bezpłodność. Mężczyźni są niemal zawsze niepłodni, co jest związane z upośledzoną ruchliwością plemników. Niepłodność u kobiet jest związana z upośledzeniem czynności nabłonka urzęsionego w świetle jajowodu, transportującego komórkę jajową do jamy macicy. Ponieważ skurcze mięśniówki jajowodu również mają swój udział w przemieszczaniu komórki jajowej, bezpłodność u kobiet z pierwotną dyskinezą rzęsek nie występuje tak często jak u mężczyzn.
Szczególne zainteresowanie budzi związek nieprawidłowej budowy rzęsek z odwróconym ułożeniem trzewi, sugerującym kluczową rolę rzęsek w embriogenezie. Przełożenie trzewi spowodowane jest nieprawidłową migracją komórek embrionalnych, skutkującą losowym rozmieszczeniem nieparzystych narządów wewnętrznych. Dlatego situs inversus spotyka się u połowy pacjentów z pierwotną dyskinezą rzęsek.
Objawy i przebieg


U około 75% noworodków z PCD rozwija się zespół niewydolności oddechowej, wymagający tlenoterapii w okresie od kilku dni do kilku tygodni[7]. W późniejszym okresie występują następujące objawy:
- klasyczna triada: zapalenie zatok, rozstrzenia oskrzeli i situs inversus występuje w około 50% przypadków i stanowi podstawę rozpoznania zespołu Kartagenera
- przewlekłe i (lub) nawrotowe infekcje dróg oddechowych (zapalenia zatok, oskrzeli, płuc) od wczesnego dzieciństwa
- przewlekły kaszel z odkrztuszaniem
- przewlekły nieżyt nosa
- polipy nosowe
- często hipoplazja lub aplazja zatok czołowych
- nawrotowe zapalenia ucha środkowego i trąbki słuchowej
- POChP
- nadciśnienie płucne
- słaby węch (anosmia)
- niepłodność (zarówno u mężczyzn, jak i kobiet)
Istnieją doniesienia o chorobach skojarzonych z pierwotną dyskinezą rzęsek:
- wrodzone wady serca
- wodogłowie
- zaburzenia budowy kośćca
- RZS
- wrodzona głuchota i retinitis pigmentosa (w przypadkach z mutacją genu RPGR)[15][16].
Rozpoznanie
Złotym standardem jest potwierdzenie choroby badaniem rzęsek w transmisyjnym mikroskopie elektronowym (TEM)[10]. Rzęski oceniane są pod powiększeniem 65 000-180 000×; wynik jest wiarygodny, gdy liczba zbadanych rzęsek będzie większa niż 60[17].
Badania o mniejszej swoistości i czułości:
- badanie ruchliwości plemników in vitro
- pomiar wydolności oczyszczania dróg oddechowych ze śluzu przy użyciu znakowanych radioizotopami cząstek (ang. mucociliary clearance analysis of radiolabeled particles)[18][19]
- wideomikroskopowa obserwacja ruchliwości rzęsek (ang. high-speed videomicroscopy of ciliary motility)[20][21]
- badanie immunochemiczne bioptatu nabłonka dróg oddechowych na obecność antygenu DNAH5[22]
- pomiar stężenia tlenku azotu w górnych drogach oddechowych[7][10][23]
- test sacharynowy (metoda skriningowa) – polega na umieszczeniu cząstek sacharyny na dolnej małżowinie nosowej w odległości około 10 mm od krawędzi nozdrzy przednich i pomiarze czasu, który upłynie, zanim pacjent zacznie odczuwać słodki smak (do 1 godziny). Badanie zalecane jako metoda pierwszego rzutu u pacjentów powyżej 10 roku życia[10].
Rozpoznanie na podstawie wywiadu i badania przedmiotowego według kryteriów Afzeliusa (trzy możliwości):
- Pełny zespół Kartagenera (triada sinusitis-bronchiectases-situs inversus).
- Mężczyźni z przewlekłymi zapaleniami oskrzeli i nieżytem nosa od dzieciństwa i plemnikami o zaburzonej ruchliwości.
- Pacjenci z objawami płucnymi i rodzeństwem z objawami jak w punkcie 1 i 2.
Różnicowanie
Diagnostyka różnicowa zespołu nieruchomych rzęsek obejmuje:
- mukowiscydozę
- niedobory immunologiczne
- zespół Younga
- zespół Swyera-Jamesa.
Leczenie
Medycyna oferuje pacjentom z pierwotną dyskinezą rzęsek jedynie leczenie objawowe. Ma ono na celu:
- Ewakuację śluzu zalegającego drogi oddechowe.
- Prewencję i zwalczanie zakażeń bakteryjnych.
W razie bezpłodności istnieje możliwość zapłodnienia in vitro[24].
Przypisy
- ↑ Zivert A.K. Über einen Fall von Bronchiectasie bei einem Patienten mit situs inversus viscerum. „Berliner klinische Wochenschrift”. 41, s. 139–141, 1904.
- ↑ Kartagener M. Zur Pathogenese der Bronchiektasien: Bronchiektasien bei Situs viscerum inversus. „Beiträge zur Klinik der Tuberkulose”. 83, s. 489–501, 1933.
- ↑ Berdon W.E., McManus C., Afzelius B. More on Kartagener’s syndrome and the contributions of Afzelius and A.K. Siewert. „Pediatr Radiol”. 34 (7), s. 585–586, 2004. DOI: 10.1007/s00247-004-1203-y. PMID: 15164138.
- ↑ McManus C. Eponymous but anonymous: who was Dr Siewert?. „Lancet”. 363 (9409), s. 662, 2004. DOI: 10.1016/S0140-6736(04)15611-0. PMID: 14987904.
- ↑ Afzelius B. A human syndrome caused by immotile cilia. „Science”. 193, s. 317–319, 1976. PMID: 1084576.
- ↑ Berdon W.E., Willi U. Situs inversus, bronchiectasis, and sinusitis and its relation to immotile cilia: history of the diseases and their discoverers-Manes Kartagener and Bjorn Afzelius. „Pediatr Radiol”. 34 (1), s. 38–42, 2004. DOI: 10.1007/s00247-003-1072-9. PMID: 14551758.
- 1 2 3 4 Maimoona A. Zariwala, Michael R. Knowles, Margaret W. Leigh. Primary Ciliary Dyskinesia (Immotile Cilia Syndrome). „GeneReviews”.
- ↑ Katsuhara K., Kawamoto S., Wakabayashi T., Belsky J.L. Situs inversus totalis and Kartagener’s syndrome in a Japanese population. „Chest”. 61 (1), s. 56–61, 1972. PMID: 4538074.
- ↑ Torgersen J. Situs inversus, asymmetry, and twinning. „Am J Hum Genet”. 2 (4), s. 361–370, 1951. PMID: 14837905.
- 1 2 3 4 5 Bush A., Cole P., Hariri M., Mackay I., Phillips G., O’Callaghan C., Wilson R., Warner J.O. Primary ciliary dyskinesia: diagnosis and standards of care. „Eur Respir J”. 12 (4), s. 982–988, 1999. PMID: 9817179.
- ↑ Waite D.A., Wakefield S.J., Moriarty K.M., Lewis M.E., Cuttance P.C., Scott A.G. Polynesian bronchiectasis. „Eur J Respir Dis Suppl”. 127, s. 31–36, 1983. PMID: 6578056.
- ↑ Wakefield S., Waite D. Abnormal cilia in Polynesians with bronchiectasis. „Am Rev Respir Dis”. 121 (6), s. 1003–1010, czerwiec 1980. PMID: 6968169.
- ↑ Tek I., Dinçer I., Gürlek A. Kartagener’s syndrome with dextrocardia and corrected transposition of great arteries. „Int J Cardiol”. 75 (2-3), s. 305–308, 2000. PMID: 11186968.
- ↑ Pomerleau D., Gilbert G., Thibert D. [Kartagener’s syndrome associated with tetralogy of Fallot]. „Union Med Can”. 101 (1), s. 79–84, 1972. PMID: 4536858.
- ↑ Moore A., Escudier E., Roger G., Tamalet A., Pelosse B., Marlin S., Clément A., Geremek M., Delaisi B., Bridoux A.M., Coste A., Witt M., Duriez B., Amselem S. RPGR is mutated in patients with a complex X linked phenotype combining primary ciliary dyskinesia and retinitis pigmentosa. „J Med Genet”. 43 (4), s. 326–333, 2006. DOI: 10.1136/jmg.2005.034868. PMID: 16055928.
- ↑ Krawczyński M.R., Dmeńska H., Witt M. Apparent X-linked primary ciliary dyskinesia associated with retinitis pigmentosa and a hearing loss. „J Appl Genet”. 45 (1), s. 107–110, 2004. PMID: 14960774.
- ↑ Roomans G.M., Ivanovs A., Shebani E.B., Johannesson M. Transmission electron microscopy in the diagnosis of primary ciliary dyskinesia. „Ups J Med Sci”. 111 (1), s. 155–168, 2006. PMID: 16553254.
- ↑ Coren M.E., Meeks M., Morrison I., Buchdahl R.M., Bush A. Primary ciliary dyskinesia: age at diagnosis and symptom history. „Acta Paediatr”. 91 (6), s. 667–669, 2002. PMID: 12162599.
- ↑ De Boeck K., Proesmans M., Mortelmans L., Van Billoen B., Willems T., Jorissen M. Mucociliary transport using 99mTc-albumin colloid: a reliable screening test for primary ciliary dyskinesia. „Thorax”. 60 (5), s. 414–417, 2005. DOI: 10.1136/thx.2004.027680. PMID: 15860718.
- ↑ Chilvers M.A., Rutman A., O’Callaghan C. Ciliary beat pattern is associated with specific ultrastructural defects in primary ciliary dyskinesia. „J Allergy Clin Immunol”. 112 (3), s. 518–524, 2003. PMID: 13679810.
- ↑ Toskala E., Haataja J., Shirasaki H., Rautiainen M. Culture of cells harvested with nasal brushing: a method for evaluating ciliary function. „Rhinology”. 43 (2), s. 121–124, 2005. PMID: 16008067.
- ↑ Fliegauf M., Olbrich H., Horvath J., Wildhaber J.H., Zariwala M.A., Kennedy M., Knowles M.R., Omran H. Mislocalization of DNAH5 and DNAH9 in respiratory cells from patients with primary ciliary dyskinesia. „Am J Respir Crit Care Med”. 171 (12), s. 1343–1349, 2005. DOI: 10.1164/rccm.200411-1583OC. PMID: 15750039.
- ↑ Pifferi M., Caramella D., Cangiotti A.M., Ragazzo V., Macchia P., Boner A.L. Nasal nitric oxide in atypical primary ciliary dyskinesia. „Chest”. 131 (3), s. 870–873, 2007. DOI: 10.1378/chest.06-2472. PMID: 17356106.
- ↑ Cayan S., Conaghan J., Schriock E.D., Ryan I.P., Black L.D., Turek P.J. Birth after intracytoplasmic sperm injection with use of testicular sperm from men with Kartagener/immotile cilia syndrome. „Fertil Steril”. 76 (3), s. 612–614, 2001. PMID: 11532490.
Linki zewnętrzne
- Magdalena Stawiarska, PCD i zespół Kartagenera, czyli ile zależy od rzęski.
- KARTAGENER SYNDROME w bazie Online Mendelian Inheritance in Man (ang.)
- PRIMARY CILIARY DYSKINESIA; PCD w bazie Online Mendelian Inheritance in Man (ang.)
- http://www.kartagener-syndrom.org/
- Kartagener’s syndrome w bazie Who Named It (ang.)
Przeczytaj ostrzeżenie dotyczące informacji medycznych i pokrewnych zamieszczonych w Wikipedii.