Jajowód
| tuba uterina | |
![]() Schemat budowy żeńskiego układu płciowego | |
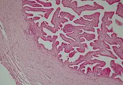
![]() Obraz mikroskopowy jajowodu, widoczne fałdy jajowodowe | |
| Tętnice |
t. jajnikowa, t. maciczna |
|---|---|
| Żyły |
ż. jajnikowa, ż. maciczna |
| Nerwy |
splot maciczno-pochwowy i jajnikowy |
| Układ limfatyczny |
węzły chłonne lędźwiowe |
| Prekursor | |
Jajowód (łac. tuba uterina, oviductus, salpinx) – przewód o długości ok. 10-12 cm (u człowieka; u suk wynosi 6–9 cm, u loch 15–30 cm, u krów 25–28 cm, a u klaczy 25–30 cm[1]), który biegnie od rogu macicy, dochodząc do jajnika. Koniec jajowodu w sąsiedztwie jajnika ma kształt lejka z wypustkami zwanymi strzępkami jajowodu; strzępki ułatwiają wprowadzanie komórki jajowej do światła jajowodu. Zadaniem jajowodów jest przeprowadzenie komórki jajowej do jamy macicy co odbywa się dzięki skurczom ich mięśniówki, obecności wydzieliny produkowanej przez gruczoły jajowodów oraz ruchowi rzęsek wyścielających ich błonę śluzową.
Budowa makroskopowa
Składa się z czterech odcinków:
- Macicznego (łac. pars uterina) – część śródścienna jajowodu, położona w ścianie macicy
- Cieśni (łac. isthmus) – stosunkowo krótki odcinek, o grubej ścianie i wąskim świetle
- Bańki (łac. ampulla) – stanowi około 2/3 całej długości jajowodu, o cienkiej ścianie i obszernym świetle
- Lejka z ujściem brzusznym (łac. ostium abdominale), z podstawy którego zwisają strzępki jajowodu
Budowa mikroskopowa
Na przekroju wyróżniamy (od środka) błonę śluzową, błonę mięśniową i otrzewną. Lejek zakończony jest strzępkami, spośród których najdłuższy nosi nazwę strzępka jajnikowego (łac. fimbria ovarica).
Błona śluzowa jajowodu jest mocno pofałdowana i pokryta nabłonkiem jednowarstwowym walcowatym migawkowym. Migawki biją w stronę ujścia macicznego przesuwając ewentualny owulat i powodując ruch cieczy, który promuje ruch plemników w stronę jaja. Inne komórki błony śluzowej produkują śluz odżywiający komórkę jajową i uczestniczący w kapacytacji plemników.
Funkcja w rozrodzie
Jajowody pełnią bardzo istotną funkcję w rozrodzie. Do ich zadań należą:
- przechwycenie komórki jajowej uwalnianej z jajnika podczas owulacji (za pomocą strzępków jajowodowych)
- transport komórki jajowej do miejsca spotkania z plemnikami (funkcja śluzówki i mięśniówki jajowodu)
- odżywianie plemników i komórki jajowej (prawidłowa funkcja śluzówki)
- umożliwienie spotkania plemników i komórki jajowej – zapłodnienie i powstanie zarodka
- transport zarodka do macicy (funkcja śluzówki i mięśniówki jajowodu)
- odżywianie zarodka przez kilka pierwszych dni po zapłodnieniu (funkcja śluzówki)
Rozwój
Jajowód powstaje z niezrośniętych górnych odcinków przewodów Müllera. Z najbardziej dogłowowego odcinka może powstać tzw. wodniak Morgagniego.
Zobacz też
Przypisy
- ↑ Helena Przespolewska, Henryk Kobryń, Tomasz Szara & Bartłomiej J. Bartyzel: Podstawy anatomii zwierząt domowych. Warszawa: PWN, 2014, s. 117. ISBN 978-83-62815-22-7.
Bibliografia
- Zofia Ignasiak, Antoni Janusz, Aniela Jarosińska, Anatomia Człowieka, część II, wyd. VII, Wrocław 2002, Wydawnictwo AWF Wrocław, ISBN 83-87389-24-2
Przeczytaj ostrzeżenie dotyczące informacji medycznych i pokrewnych zamieszczonych w Wikipedii.

