Glejak nerwu wzrokowego

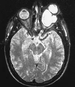
Glejak nerwu wzrokowego (ang. optic nerve glioma) – kliniczne określenie nowotworów złośliwych przedniego odcinka drogi wzrokowej, najczęściej są to gwiaździaki włosowatokomórkowe (gąbczaki). Rzadziej są to glejaki włókienkowe, zwojakoglejaki i glejaki nisko zróżnicowane. Są to rzadkie nowotwory, stanowią 1-1,7% glejaków. Są częstsze u dzieci (90% występuje poniżej 20. roku życia); stanowią 3-5% wewnątrzczaszkowych guzów u dzieci[1]. W ponad 50% glejak nerwu wzrokowego współistnieje z nerwiakowłókniakowatością typu I (chorobą von Recklinghausena), stanowiąc jedno z kryteriów rozpoznania tego schorzenia.
Objawy i przebieg
Objawy glejaka nerwu wzrokowego są następujące[2]:
- postępująca utrata wzroku
- wytrzeszcz
- zanik nerwu wzrokowego
- naprzemienny, antagonistyczny oczopląs pionowy gałek ocznych (tzw. "huśtawkowy" – ang. see-saw nystagmus)
- zespół nadciśnienia śródczaszkowego
- zaburzenia podwzgórzowe.
Przypisy
- ↑ Binning MJ et al. Optic pathway gliomas: a review. Neurosurgical Focus 2007, Vol. 23, No. 5: E2 PDF
- ↑ Nowotwory ośrodkowego układu nerwowego. W: Dariusz J. Jaskólski, Wielisław Papierz, Wojciech Biernat, Paweł P. Liberski: Choroby układu nerwowego. Wojciech Kozubski, Paweł P. Liberski (red.). Warszawa: Wydawnictwo Lekarskie PZWL, 2004, s. 154-155. ISBN 83-200-2636-9.
Przeczytaj ostrzeżenie dotyczące informacji medycznych i pokrewnych zamieszczonych w Wikipedii.