Gwiaździak włosowatokomórkowy



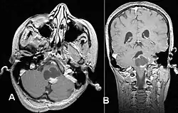
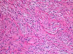
Gwiaździak włosowatokomórkowy (gąbczak, łac. astrocytoma pilocyticum, spongioblastoma, ang. pilocytic astrocytoma) – nowotworowy guz mózgu. Jest guzem o małej złośliwości (I° według WHO). Najczęściej lokalizuje się w półkulach mózgu, podwzgórzu, przednim odcinku drogi wzrokowej (glejak nerwu wzrokowego) i móżdżku. Postępowanie lecznicze zależy od umiejscowienia guza.
Bibliografia
- Nowotwory ośrodkowego układu nerwowego. W: Dariusz J. Jaskólski, Wielisław Papierz, Wojciech Biernat, Paweł P. Liberski: Choroby układu nerwowego. Wojciech Kozubski, Paweł P. Liberski (red.). Warszawa: Wydawnictwo Lekarskie PZWL, 2004, s. 154-155. ISBN 83-200-2636-9.
- Gwiaździak włosowatokomórkowy. W: Radzisław Kordek, Tomasz Fiks, Paweł P. Liberski: Nowotwory mózgu u dzieci. Suplement do Pol J Pathol 53, 4. Paweł P. Liberski (red.). 2001, s. 13-22. ISSN 1233-9687.
Przeczytaj ostrzeżenie dotyczące informacji medycznych i pokrewnych zamieszczonych w Wikipedii.