Grzybówka niebieskoszara
![]() | |
| Systematyka | |
| Domena | |
|---|---|
| Królestwo | |
| Typ | |
| Klasa | |
| Rząd | |
| Rodzina | |
| Rodzaj | |
| Gatunek |
grzybówka niebieskoszara |
| Nazwa systematyczna | |
| Mycena pseudocorticola (Lasch) Kühner Encyclop. Mycol. 10: 687 (1938) | |
.jpg)
.jpg)
Grzybówka niebieskoszara (Mycena pseudocorticola (Lasch) Kühner) – gatunek grzybów z rodziny grzybówkowatych (Mycenaceae)[1].
Systematyka i nazewnictwo
Pozycja w klasyfikacji według Index Fungorum: Mycena, Mycenaceae, Agaricales, Agaricomycetidae, Agaricomycetes, Agaricomycotina, Basidiomycota, Fungi[1].
Takson ten opisał w 1938 r. Robert Kühner[1].
Franciszek Błoński w 1888 r. i Maria Lisiewska w 1987 r. opisywali go pod polską nazwą grzybówka nibykorowa. Władysław Wojewoda w 2003 r. zaproponował nazwę grzybówka niebieskoszara[2].
Morfologia
Średnica 2–12 mm, półkulisty, paraboliczny, szeroko stożkowy do wypukłego, czasem z małą brodawką, często nieco spłaszczony pośrodku, bruzdowany, półprzezroczysto-prążkowany. Powierzchnia oprószona, połyskująca, ciemnoniebieska, niebieskawo-szara lub szara, z wiekiem brązowiejąca[3].
W liczbie 8–14 dochodzących do trzonu, dość szerokie, wypukłe, szeroko przyrośnięte i zbiegające z krótkim zębem, szare do bladoniebieskawo-szarych lub szarobiałe, z wiekiem stają się blado sepiobrązowe,. Ostrza jaśniejsze[3].
Wysokość 5–25 mm, grubość 0,2–1 mm, prosty lub zagięty. Powierzchnia kłaczkowato oprószona, od szarej do niebieskawoszarej, z wiekiem bardziej brązowawa. Podstawa gęsto pokryta długimi, białymi włókienkami[3].
Bez zapachu[3].
- Cechy mikroskopowe
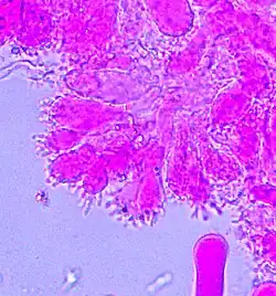
Podstawki 25–36 × 9–12 µm, maczugowate, 4-zarodnikowe ze sprzążkami, lub 2-zarodnikowe bez sprzążek, z rozdętymi sterygmami o długości do 13 µm. Zarodniki na podstawkach 4-zarodnikowych 8–10,5 × 7,5–10 µm, na podstawkach 2-zarodnikowych 13 × 12 µm, kulistelub prawie kuliste, gładkie, amyloidalne. Cheilocystydy 12–54 × 6–25 µm, pomieszane z podstawkami, maczugowate, ze sprzążkami lub bez, nierównomiernie pokryte prostymi lub rozgałęzionymi, zakrzywionymi lub krętymi naroślami o długości do 20 µm. Pleurocystyd brak. Trama blaszek dekstrynoidalna, w odczynniku Melzera barwiąca się na czerwono-brązowo. Strzępki włosków kapelusza o szerokości 2–5 µm, pokryte cylindrycznymi naroślami. Strzępki warstwy korowej trzonu uchyłkowate o końcowych komórkach mających długość 25–37,5 µm[3].
- Gatunki podobne
Grzybówka niebieskoszara często rośnie na tym samym pniu wraz z grzybówką purpurowobrązową (Mycena meliigena). Częstsza jest grzybówka niebieskoszara. Młode owocniki tych gatunków są łatwe do rozróżnienia, ale z wiekiem stają się brązowe i trudne do odróżnienia. Podobne są również mikroskopowo. Cechą, po której można je odróżnić jest wielkość i kształt komórek końcowych strzępek skórki trzonu. U grzybówki niebieskoszarej są one przysadziste, nie dłuższe niż 37 µm[3].
Występowanie i siedlisko
Znane jest występowanie grzybówki niebieskoszarej w niektórych krajach Europy, podano jej występowanie także w Ameryce Północnej i w Maroku[4]. Władysław Wojewoda w zestawieniu grzybów wielkoowocnikowych Polski w 2003 r. przytacza 10 stanowisk z uwagą, że gatunek ten jest rzadki[2]. Bardziej aktualne stanowiska podaje internetowy atlas grzybów. Zaliczony w nim jest do gatunków rzadkich, wartych objęcia ochroną[5]. Znajduje się na Czerwonej liście roślin i grzybów Polski. Ma status V – gatunek narażony, który zapewne w najbliższej przyszłości przesunie się do kategorii wymierających, jeśli nadal będą działać czynniki zagrożenia[6].
Grzyb saprotroficzny. Rośnie w lasach liściastych, zwłaszcza w olsach, na porośniętej mchami i porostami korze martwych i żywych pni drzew liściastych, zwłaszcza buka, jesionu wyniosłego, czeremchy, dębu i wierzby[2].
Przypisy
- 1 2 3 Index Fungorum [online] [dostęp 2021-04-08] (ang.).
- 1 2 3 Władysław Wojewoda. Checklist of Polish Larger Basidiomycetes. Krytyczna lista wielkoowocnikowych grzybów podstawkowych Polski. Kraków: W. Szafer Institute of Botany, Polish Academy of Sciences, 2003, ISBN 83-89648-09-1.
- 1 2 3 4 5 6 Mycena pseudocorticola Kühner [online] [dostęp 2021-04-08] (ang.).
- ↑ Discover Life [online] [dostęp 2021-04-08] (ang.).
- ↑ Stanowiska grzybówki niebieskoszarej w Polsce [online] [dostęp 2021-04-08] (ang.).
- ↑ Zbigniew Mirek, Kazimierz Zarzycki, Władysław Wojewoda, Zbigniew Szeląg, Red list of plants and fungi in Poland. Czerwona lista roślin i grzybów Polski, Kraków:W. Szafer Institute of Botany, PAN, 2006, ISBN 83-89648-38-5.
