Gwiaździak anaplastyczny

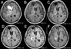
Gwiaździak anaplastyczny (łac. astrocytoma anaplasticum, ang. anaplastic astrocytoma) – nowotworowy guz mózgu. Jest guzem o wysokiej złośliwości (III° według WHO). Nieleczone guzy tego typu w znacznej części przypadków ulegają progresji do glejaka wielopostaciowego.
Epidemiologia
Gwiaździak anaplastyczny jest nieco częstszy u mężczyzn, zazwyczaj rozpoznawany jest w 5. dekadzie życia.
Leczenie
Schemat terapii jest podobny jak w przypadku glejaka wielopostaciowego.
Bibliografia
- Nowotwory ośrodkowego układu nerwowego. W: Dariusz J. Jaskólski, Wielisław Papierz, Wojciech Biernat, Paweł P. Liberski: Choroby układu nerwowego. Wojciech Kozubski, Paweł P. Liberski (red.). Warszawa: Wydawnictwo Lekarskie PZWL, 2004, s. 152. ISBN 83-200-2636-9.
Przeczytaj ostrzeżenie dotyczące informacji medycznych i pokrewnych zamieszczonych w Wikipedii.