Gwiaździak podwyściółkowy olbrzymiokomórkowy





Gwiaździak podwyściółkowy olbrzymiokomórkowy (dawniej: gwiaździak stwardnienia guzowatego, ang. subependymal giant cell astrocytoma, SEGA) – pierwotny guz mózgu pochodzenia astroglejowego, charakterystyczny dla stwardnienia guzowatego (sclerosis tuberosa). Jest guzem o umiarkowanej złośliwości (I° według WHO).
Etiologia
W przypadkach współistniejących ze stwardnieniem guzowatym, przyczyną jest mutacja germinalna w genie TSC1 lub TSC2.
Epidemiologia
SEGA jest rzadkim nowotworem. Częstość guza wśród pacjentów ze stwardnieniem guzowatym szacuje się na 6-7%[1][2][3]. Uważane za zmiany prekursorowe dla SEGA guzki podwyściółkowe (subependymal nodules) obserwowano u 88% chorych z TSC[4].
Objawy i przebieg
Początek choroby często jest ostry, z objawami ciasnoty wewnątrzczaszkowej spowodowanej niedrożnością otworów Monro.
W badaniach neuroobrazowych stwierdza się obecność guza o charakterystycznej lokalizacji, często z nawapnieniami. Guz jest dobrze odgraniczony od otoczenia, zwykle umiejscowiony jest częściowo w świetle komory bocznej. Makroskopowo obraz guza wpuklającego się do światłą komory określany jest jako "kapiąca stearyna" (candle guttering). W tomografii komputerowej jest izo- lub hipodensyjny, ulega wzmocnieniu kontrastowemu. W MRI w obrazach T1-zależnych jest izo- lub hipointesywny, w obrazach T2-zależnych jest hiperintensywny.
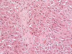
Obraz histologiczny
Utkanie guza składa się z dużych, zaokrąglonych komórek (giant cells), układających się wokół naczyń krwionośnych. Komórki te mają duże jądro ułożone mimośrodkowo. W guzie rzadkie są figury mitotyczne i ogniska martwicy.
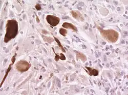
Profil immunohistochemiczny
W badaniu immunohistochemicznym można wykazać zarówno obecność znaczników glejowych (odczyn na kwaśne białko włókienkowe o zmiennym nasileniu), jak i neuronalnych (neurofilamenty, β-tubulina). Odczyn na białko S-100 jest charakterystyczny, ale nieswoisty[5]. Nie stwierdza się dodatniego odczynu na antygen HMB45[3][6]. Indeks proliferacyjny komórek guza mierzony markerem Ki-67 wynosi około 1% (0,1-3,8%), co odpowiada aktywności proliferacyjnej typowej dla innych łagodnych guzów ośrodkowego układu nerwowego[3].
Leczenie i rokowanie
Leczenie guza jest operacyjne i zwykle skuteczne, ponieważ nowotwór rzadko daje wznowy. Guz jest przypuszczalnie niewrażliwy na radioterapię. Rokowanie jest jednak niepewne.
Przypisy
- ↑ Roszkowski M, Drabik K, Barszcz S, Jóźwiak S. Surgical treatment of intraventricular tumors associated with tuberous sclerosis. „Childs Nerv Syst”. 6 (11), s. 335-9, czerwiec 1995. PMID: 7671268.
- ↑ Shepherd CW, Scheithauer BW, Gomez MR, Altermatt HJ, Katzmann JA. Subependymal giant cell astrocytoma: a clinical, pathological, and flow cytometric study. „Neurosurgery”. 6 (28), s. 864-8, czerwiec 1991. PMID: 2067610.
- 1 2 3 Gyure KA, Prayson RA. Subependymal giant cell astrocytoma: a clinicopathologic study with HMB45 and MIB-1 immunohistochemical analysis. „Mod Pathol”. 4 (10), s. 313-7, kwiecień 1997. PMID: 9110292.
- ↑ CW. Shepherd, MR Gomez, JT Lie, CS Crowson. Causes of death in patients with tuberous sclerosis. „Mayo Clin Proc”. 66 (8), s. 792-6, Aug 1991. PMID: 1861550.
- ↑ Nowotwory wrodzone. W: Wojciech Biernat: Nowotwory mózgu u dzieci. Suplement do Pol J Pathol 53, 4. Paweł P. Liberski (red.). 2001, s. 191-203. ISSN 1233-9687.
- ↑ Sharma MC, Ralte AM, Gaekwad S, Santosh V, Shankar SK, Sarkar C. Subependymal giant cell astrocytoma--a clinicopathological study of 23 cases with special emphasis on histogenesis. „Pathol Oncol Res”. 10. 4, s. 219-24, 2004. DOI: 10.1007/BF03033764. PMID: 15619643.
Bibliografia
- Paweł P Liberski, Wielisław Papierz, Wojciech Kozubski, Iwona Kłoszewska, Mirosław Jan Mossakowski: Neuropatologia Mossakowskiego. Lublin: Wydawnictwo Czelej, 2005, s. 834-835. ISBN 83-89309-63-7.
- Chapter 7. Subependymal Giant Cell Astrocytoma. W: Practical Differential Diagnosis in Surgical Neuropathology. Richard A. Prayson, Mark L. Cohen (red.). Totowa, New Jersey: Humana Press, 2000. ISBN 0-89603-817-3.
- Neurologia. Podręcznik dla studentów medycyny. Wojciech Kozubski, Paweł P. Liberski (red.). Warszawa: Wydawnictwo Lekarskie PZWL, 2006, s. 476. ISBN 83-200-3244-X.
- Nowotwory wrodzone. W: Wojciech Biernat: Nowotwory mózgu u dzieci. Suplement do Pol J Pathol 53, 4. Paweł P. Liberski (red.). 2001, s. 191-203. ISSN 1233-9687.
- Sharma MC, Ralte AM, Gaekwad S, Santosh V, Shankar SK, Sarkar C. Subependymal giant cell astrocytoma--a clinicopathological study of 23 cases with special emphasis on histogenesis. „Pathol Oncol Res”. 10. 4, s. 219-24, 2004. PMID: 15619643.
- Goh S, Butler W, Thiele EA. Subependymal giant cell tumors in tuberous sclerosis complex. „Neurology”. 63. 8, s. 1457-61, 2004. PMID: 15505165.
Przeczytaj ostrzeżenie dotyczące informacji medycznych i pokrewnych zamieszczonych w Wikipedii.