Heterotopie istoty szarej

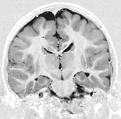
MRI głowy w projekcji czołowej u dziecka z napadami padaczkowymi; strzałki wskazują pogrubioną i nieprawidłowo zorganizowaną korę płatów czołowych obustronnie w zakrętach górnych czołowych i zakrętach obręczy. Widoczne są małe zwoje na pograniczu istoty szarej i białej. Obraz odpowiada polimikrogyrii (obecność zwojów różnicuje polimikrogyrię z pachygyrią). Ponadto, poniżej dysplastycznej kory w istocie białej ciała modzelowatego widać małe ogniska istoty szarej (podwójne strzałki), przypuszczalnie heterotopie istoty szarej

Heterotopie istoty szarej (ang. gray matter heterotopias) – częste malformacje ośrodkowego układu nerwowego, powstające wskutek zaburzenia migracji neuroblastów między 7. a 16. tygodniem rozwoju. Klinicznie wyróżnia się trzy duże grupy tych wad: heterotopie podwyściółkowe (ang. subependymal heterotopia), podkorowe (ang. subcortical) i linijne (ang. band heterotopia, określane też jako podwójna kora, double cortex)[1][2].

Heterotopie istoty szarej należą do grupy dysplazji układu nerwowego spowodowanych zaburzeniem migracji neuronów (ang. neuronal migration disorder, NMO); inne schorzenia tej grupy wad wrodzonych to schizencefalia, porencefalia, gładkomózgowie, agyria, makrogyria, pachygyria, mikrogyria, polimikrogyria, agenezja ciała modzelowatego i agenezje nerwów czaszkowych. Wady te często mogą współistnieć, poza tym ich właściwe przyżyciowe rozpoznanie może sprawiać trudności diagnostyczne.

Heterotopie istoty szarej nierzadko stanowią część obrazu klinicznego zespołów wad wrodzonych. Anomalie korowe mogą być obserwowane w zespole Zellwegera, stwardnieniu guzowatym, zespole Walkera-Warburga, dystrofii mięśniowej Fukuyamy[3] i wielu innych.

Objawy często zależą od płci; u kobiet heterotopie podwyściółkowe ujawniają się klinicznie w drugiej dekadzie życia częściowymi napadami padaczkowymi, u mężczyzn heterotopie podwyściółkowe mają odmienny przebieg kliniczny w zależności od tego czy są odziedziczone autosomalnie czy allosomalnie. U mężczyzn z heterotopiami związanymi z chromosomem X często występują jeszcze inne wady w ośrodkowym układzie nerwowym i poza nim, diagnozowani są zwykle w dzieciństwie z powodu zahamowania rozwoju fizycznego. Przebieg choroby dziedziczonej autosomalnie jest podobny do tego u kobiet z objawowymi heterotopiami.

Zarówno kobiety jak i mężczyźni z heterotopiami podkorowymi mają stałe deficyty neurologiczne i rozwijają się u nich częściowe napady padaczkowe w drugiej połowie 1. dekady życia. Uważa się, że im większe heterotopie podkorowe tym większe deficyty neurologiczne. Obustronne występowanie malformacji wiąże się niemal zawsze z ciężkim opóźnieniem rozwoju i upośledzeniem umysłowym.

Linijne heterotopie obserwowana jest niemal wyłącznie u kobiet[1][4]; płody płci męskiej z mutacją warunkującą rozwój wady w genie XLIS (DCX) zazwyczaj giną in utero lub rodzą się ze znacznie cięższymi wadami mózgowia. Objawy u kobiet mogą nie wystąpić, mogą być łagodne lub ciężkie; zależnie od grubości pasma zatrzymanych w migracji neuronów.

Objawem prowadzącym do rozpoznania u wszystkich pacjentów z heterotopiami niemal zawsze jest napad padaczkowy[5][6][7]; napady mają charakter częściowy złożony lub są to nietypowe napady nieświadomości. U niektórych ciężko dotkniętych pacjentów obserwuje się napady postawne (ang. drop attacks).

Przypisy

  1. 1 2 Barkovich AJ, Guerrini R, Battaglia G, Kalifa G, N'Guyen T, Parmeggiani A, Santucci M, Giovanardi-Rossi P, Granata T, D'Incerti L. Band heterotopia: correlation of outcome with MR imaging parameters. „Ann Neurol”. 57, s. 609-617, 1994. PMID: 7524438.
  2. Barkovich AJ, Jackson DE Jr, Boyer RS. Band heterotopias: a newly recognized neuronal migration anomaly. „Radiology”. 171, s. 455-458, 1989. PMID: 2468173.
  3. Sato N, Hatakeyama S, Shimizu N, Hikima A, Aoki J, Endo K. MR evaluation of the hippocampus in patients with congenital malformations of the brain. „AJNR Am J Neuroradiol”. 22. 2, s. 389-93, 2001. PMID: 11156788.
  4. Ono J, Mano T, Andermann E et al. Band heterotopia or double cortex in a male: bridging structures suggest abnormality of the radial glial guide system. Neurology 1997;48:1701-1703.
  5. Raymond AA, Fish DR, Stevens JM, Sisodiya SM, Alsanjari N, Shorvon SD. Subependymal heterotopia: a distinct neuronal migration disorder associated with epilepsy. „J Neurol Neurosurg Psychiatry”. 57, s. 1195-1202, 1994. PMID: 7931380.
  6. Smith AS, Weinstein MA, Quencer RM et al. Association of heterotopic gray matter with seizures: MR imaging. „Radiology”. 168, s. 195-198, 1988.
  7. Barkovich AJ, Kjos BO. Gray matter hereotopias: MR characteristics and correlation with developmental and neurological manifestations. „Radiology”. 182, s. 493-499, 1992. PMID: 1732969. PDF

Bibliografia

  • A. James Barkovich, Ruben I. Kuzniecky, Gray matter heterotopia, „Neurology”, 55, 2000, s. 1603-1608, PMID: 11187088.
  • A.J. Barkovich i inni, A developmental and genetic classification formalformations of cortical evelopment, „Neurology”, 65, 2005, s. 1873-87, DOI: 10.1212/01.wnl.0000183747.05269.2d, PMID: 16192428.
  • Renzo Guerrini, Carla Marini, Genetic malformations of cortical development, „Exp Brain Res”, 173, 2006, s. 322-33, DOI: 10.1007/s00221-006-0501-z, PMID: 16724181.

Linki zewnętrzne

Przeczytaj ostrzeżenie dotyczące informacji medycznych i pokrewnych zamieszczonych w Wikipedii.