Histiocytoza z komórek Langerhansa
| Histocytosis X | |
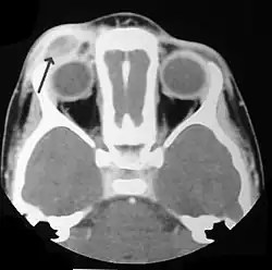
![]() Naciek tkanki okołogałkowej | |
| Klasyfikacje | |
| ICD-10 | |
|---|---|
Histiocytoza z komórek Langerhansa (choroba Handa-Schüllera-Christiana, ziarniniak kwasochłonny wieloogniskowy, żółtakowatość przewlekła samoistna, choroba Abta-Lettera-Siwego, LCH) – nazwa odnosi się do heterogennej grupy chorób, charakteryzujących się nadmiernym rozrostem histiocytów (histiocytoza), któremu towarzyszą różnorodne objawy kliniczne w zależności od lokalizacji procesu chorobowego.
Patogeneza
Uważa się, że choroba spowodowana jest nadmierną stymulacją immunologiczną komórek Langerhansa, która powoduje ich klonalny rozrost.
Częstość występowania
Około 2 przypadków na 1 milion osób. Średnia wieku w chwili rozpoznania wynosi 3 lata.
Historia
Początkowo rozpoznawano trzy odrębne jednostki chorobowe:
- ziarniniak kwasochłonny, czyli postać płucna,
- choroba Handa-Schüllera-Christiana,
- Choroba Abta-Letterera-Siwego.
W roku 1953 uznano, że są one manifestacją kliniczną tego samego procesu patomorfologicznego.
Objawy

W zależności od wieku i umiejscowienia choroba może mieć bardzo różny przebieg. Objawy, które mogą sugerować początek choroby:
- ubytek w kościach sklepienia czaszki (widoczny jako uwypuklenie skóry)
- trudna do usunięcia „ciemieniucha” u noworodka
- wysypka grudkowa na skórze tułowia
- przewlekły wyciek z ucha
- trudne gojenie się zębodołów po usunięciu zębów
- bolesność dziąseł z ich naciekiem zapalnym oraz rozchwianiem się i wypadaniem zębów
- wytrzeszcz gałek ocznych (jedno- lub obustronny)
- polidypsja i poliuria (objawy moczówki prostej)
- duszność wysiłkowa i krwioplucie (objawy zajęcia miąższu płucnego)
- objawy skazy krwotocznej
- powiększenie węzłów chłonnych
- hepatomegalia i/lub splenomegalia
- stany gorączkowe
- upośledzone łaknienie i zmniejszenie masy ciała
- nadmierna drażliwość
Leczenie
Część pacjentów ze zlokalizowanymi postaciami LCH nie wymaga żadnego leczenia. U innych konieczna może być wielolekowa chemioterapia oraz leczenie ukierunkowane biologicznie[1]. Nie podjęcie leczenia na czas lub zastosowanie nieadekwatnego schematu zwiększa ryzyku trwałych następstw takich jak niedosłuch, niepełnosprawność intelektualna, zaburzenia hormonalne, stwardniające zapalenie dróg żółciowych. W związku z powyższym leczenie histiocytozy powinno być prowadzone wyłącznie przez ośrodki i onkologów dysponujących:
- odpowiednim doświadczeniem w tym zakresie;
- dostępem do nowoczesnej diagnostyki;
- dostępem do nowoczesnych leków i schematów leczenia;
- możliwością prowadzenia konsultacji w międzynarodowych zespołach zajmujących się LCH;
Leczenie LCH składa się następujących etapów:[2]
Faza diagnostyczna
Potwierdzenie rozpoznania powinno odbywać się na podstawie badania histopatologicznego tkanek pobranych podczas biopsji. Duże znaczenie prognostyczne i predykcyjne ma określony na podstawie biopsji molekularny profil nowotworu. Szczególnie status mutacji w genie BRAF. Do podjęcia prawidłowej decyzji o leczeniu niezbędne jest precyzyjne określenie, które organy zajęte są chorobą. W tym celu wykonywane są badania obrazowe – między innymi: obrazowanie rezonansem magnetycznym, pozytonowa tomografia emisyjna, tomografia komputerowa, scyntygrafia kości. Konieczna jest także ocena stopnia uszkodzenia funkcji zajętych narządów poprzez badania morfologiczne i biochemiczne krwi i moczu, układu krzepnięcia krwi. Badania obrazowe i czynnościowe są powtarzane w trakcie leczenia jako ocena jego skuteczności oraz jako monitorowanie po leczeniu.
Wnikliwa obserwacja
Niektórzy chorzy jednoukładową LCH ograniczoną do kości, skóry lub węzłów chłonnych nie wymagają stosowania leczenia, a jedynie wnikliwej obserwacji.
Chemioterapia pierwszej linii
W pierwszej linii leczenia stosuje się najczęściej sterydoterapię prednizolonem w połączeniu z cytostatykiem: winblastyną podawaną raz w tygodniu. Intensywna faza leczenia trwa od 6 do 12 tygodni w zależności od oceny współczynnika aktywności choroby. Następnie zastosować można terapię podtrzymująca tymi samymi lekami podawanymi raz na 3 tygodnie przez okres 12 miesięcy[2].
Leczenie opornej LCH i wznów
Jeśli choroba nie ustępuje lub nawraca możliwe jest zastosowanie schematów kolejnych linii zawierających cytostatyki: cytarabina, kladrybina, winkrystyna, metotreksat, merkaptopuryna. W szczególnie opornych przypadkach zastosowanie ma autologiczne przeszczepienie komórek macierzystych z kondycjonowaniem o zredukowanej intensywności[3]. Prowadzone są liczne badania nad zastosowaniem leków ukierunkowanych molekularnie, takich jak: alemtuzumab i dabrafenib[2]. Szczególne znaczenie ma zastosowane wemurafenibu u pacjentów z oporną histiocytozą z mutacją somatyczną w genie BRAF. Lek ten jest swoistym inhibitorem zmutowanej kinazy tyrozynowej B-Raf V600[4].
Leczenie miejscowe
Polega na zniszczeniu ogniska pierwotnego nowotworu. Najlepiej poprzez jego chirurgiczne usunięcie ewentualnie może być połączone z miejscowym podaniem sterydu. W przypadkach ograniczonych do jednego ogniska takie postępowanie może prowadzić do trwałego wyleczenia. Ze względu na możliwość występowania poważnych odległych powikłań radioterapia nie jest obecnie metodą zalecaną w leczeniu LCH u dzieci. Może mieć zastosowanie w szczególnych przypadkach tej choroby u osób dorosłych[2].
Obserwacja po leczeniu
Pacjentom, którzy zakończyli intensywną fazę leczenia wykonuje się regularnie badania kontrolne. Głównie badania krwi, moczu, radiogramy i obrazowanie rezonansu magnetycznego - podobnie jak przy rozpoznaniu choroby. Ma to na celu wczesne wykrycie wznowy choroby oraz monitorowanie jej odległych następstw. Wielu chorych wymaga przewlekłego leczenia następstw choroby takich jak[2]:
- moczówka;
- deformacje kręgosłupa;
- uszkodzenia słuchu;
- uszkodzenie wątroby i dróg żółciowych;
- uszkodzenie płuc;
Rokowanie
U dzieci powyżej 2 roku życia w przypadkach zlokalizowanych rokowanie jest jednoznacznie pomyślne. Złe rokowanie jest w postaci uogólnionej, u dzieci młodszych i z dysfunkcją narządów. W takich przypadkach śmiertelność wynosi około 20%.
Przypisy
- ↑ Rizzo FM, Cives M, Simone V, Silvestris F. New insights into the molecular pathogenesis of langerhans cell histiocytosis.. „Oncologist”. 19(2), s. 151-163, 2014 Feb 27. DOI: 10.1634/theoncologist.2013-0341. PMID: 24436311.
- 1 2 3 4 5 Haupt R, Minkov M, Astigarraga I, Schäfer E, Nanduri V, Jubran R, Egeler RM, Janka G, Micic D, Rodriguez-Galindo C, Van Gool S, Visser J, Weitzman S, Donadieu J; Euro Histio Network. Langerhans cell histiocytosis (LCH): guidelines for diagnosis, clinical work-up, and treatment for patients till the age of 18 years.. „Pediatr Blood Cancer”. 60(2), s. 175-184, 2013 Feb. DOI: 10.1002/pbc.24367. PMID: 23109216.
- ↑ Steiner M, Matthes-Martin S, Attarbaschi A, Minkov M, Grois N, Unger E, Holter W, Vormoor J, Wawer A, Ouachee M, Woessmann W, Gadner H. Improved outcome of treatment-resistant high-risk Langerhans cell histiocytosis after allogeneic stem cell transplantation with reduced-intensity conditioning. „Bone Marrow Transplant”. 36(3), s. 215-225, 2005 Aug. DOI: 10.1038/sj.bmt.1705015. PMID: 15937510.
- ↑ Raciborska A, Małas Z, Tysarowski A.. Vemurafenib in refractory Langerhans histiocytosis. „Dev Period Med.”. 22(4), s. 376-378, 2018. PMID: 30636236.
Bibliografia
- Kubicka Krystyna, Kawalec Wanda (red.), Pediatria, Warszawa: PZWL, 2010, s. 442-444, ISBN 978-83-200-4169-9.
Linki zewnętrzne
Przeczytaj ostrzeżenie dotyczące informacji medycznych i pokrewnych zamieszczonych w Wikipedii.
