Idiopatyczne włóknienie płuc
| fibrosis pulmonum idiopathica | |
| Klasyfikacje | |
| ICD-10 |
J84.1 |
|---|---|
Idiopatyczne włóknienie płuc, samoistne włóknienie płuc (łac. fibrosis pulmonum idiopathica), zwykłe śródmiąższowe zapalenie płuc, dawniej też: kryptogenne włókniejące zapalenie pęcherzyków płucnych[1] – choroba zaliczana do idiopatycznych śródmiąższowych zapaleń płuc, o złym rokowaniu, objawiająca się dusznością i kaszlem.
Epidemiologia
Chorobowość w przypadku idiopatycznego włóknienia płuc wynosi od 13 przypadków u kobiet do 20 u mężczyzn na 100 tys. osób[2]. Zachorowalność zwiększa się z wiekiem, u osób powyżej 75. roku życia chorobowość jest wyższa niż 175 przypadków na 100 tys. W 3% przypadków choroba dziedziczy się prawdopodobnie autosomalnie dominująco.
Etiologia i patogeneza
Przyczyny idiopatycznego włóknienia płuc nie są znane. Nie wyklucza się udziału palenia papierosów, refluksu żołądkowo-przełykowego i wdychania pyłów jako czynników sprzyjających rozwojowi tego schorzenia. Mechanizm powstawania idiopatycznego włóknienia płuc wiąże się prawdopodobnie z uszkodzeniem nabłonka pęcherzyków płucnych i nieprawidłowo przebiegającym procesem odbudowy tego nabłonka (biorą w tym udział czynniki TGF-β i PDGF prowadzące do rozwoju fibroblastów).
Objawy
- duszność
- suchy kaszel
- spadek masy ciała
- osłabienie
- palce pałeczkowate
- spłycenie i przyspieszenie oddechu
- trzeszczenia słyszalne u dołu płuc podczas osłuchiwania stetoskopem
Nieprawidłowości w badaniach dodatkowych i rozpoznanie choroby
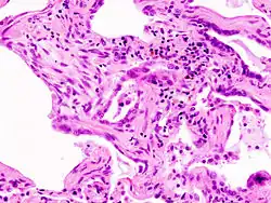
W badaniu rentgenowskim klatki piersiowej stwierdza się zacienienia siateczkowate zlokalizowane u podstawy płuc, zmniejszenie objętości płuc. W badaniu tomokomputerowym widoczne są zacienienia siateczkowate, obraz „plastra miodu” (obszary drobnych torbieli[3]), ogniskowe, słabo widoczne zmiany o charakterze „mlecznego szkła” (nieznaczne zacienienie obszaru płuc z widocznym rysunkiem naczyń krwionośnych[3]) oraz rozstrzenie oskrzeli. Zmiany zlokalizowane są na obwodzie płuc. W gazometrii można stwierdzić hipoksemię. W badaniach czynnościowych płuc (np. spirometria) stwierdza się cechy restrykcji. Obniżona jest zdolność dyfuzyjna gazów w płucach. Nieprawidłowy jest wynik testu sześciominutowego marszu. W diagnostyce wykorzystuje się również badanie histopatologiczne tkanki pobranej w czasie biopsji płuca, w którym obserwuje się zmiany zapalne zlokalizowane śródmiąższowo (obraz tzw. zwykłego śródmiąższowego zapalenia płuc[2][4]).
Badanie histopatologiczne jest konieczne do pewnego rozpoznania choroby (dotyczy to badania histopatologicznego materiału pobranego z płuca podczas biopsji wykonanej od zewnątrz). Idiopatyczne włóknienie płuc można też ewentualnie rozpoznawać na podstawie cech klinicznych choroby, w tym wypadku należy u pacjenta stwierdzić wszystkie 4 kryteria większe i 3 spośród 4 kryteriów mniejszych ustalonych przez Amerykańskie Towarzystwo Klatki Piersiowej oraz Europejskie Towarzystwo Oddechowe[5]:
Kryteria większe:
- wykluczenie śródmiąższowych chorób płuc o znanej etiologii
- restrykcja w badaniu czynnościowym płuc (np. spirometria), upośledzenie wymiany gazowej w płucach
- zmiany siateczkowate w tomografii komputerowej wysokiej rozdzielczości położone pod opłucną i u podstawy płuc, niewielkie zmiany typu „mlecznego szkła”
- wykluczenie innych chorób w badaniu histologicznym materiału pobranego w czasie biopsji wykonanej przez oskrzele (podczas bronchoskopii) lub w badaniu popłuczyn oskrzelowo-płucnych
Kryteria mniejsze:
- pacjent w wieku powyżej 50 lat
- duszność podczas wysiłku narastająca powoli, której nie wyjaśnia inna przyczyna
- objawy choroby trwające co najmniej 3 miesiące
- trzeszczenia słyszalne nad płucami podczas osłuchiwania stetoskopem w czasie wdechu
Leczenie i rokowanie
W leczeniu idiopatycznego włóknienia płuc stosuje się kortykosterydy, cyklofosfamid, azatioprynę. Badania wykazują, że leczenie samymi tylko kortykosterydami nie poprawia przeżywalności pacjentów[6][7][8]. W 2005 roku opublikowano wyniki badań klinicznych, które wskazywały na korzyść w leczeniu idiopatycznego włóknienia płuc wynikającą z dodawania do kortykosterydów i azatiopryny dużych dawek N-acetylocysteiny[9]. Ten model leczenia zweryfikowano w 2012 roku: porównywano grupę chorych leczonych trzema lekami, z leczonymi tylko N-acetylocysteiną i tylko placebo. Badanie przerwano przed czasem ze względu na wyższe ryzyko zgonu i hospitalizacji w grupie leczonych trzema lekami (prednizon, azatiopryna, N-acetylocysteina) względem grupy otrzymującej placebo[10].
W fazie badań klinicznych znajduje się terapia interferonem-γ[2]. Radykalną metodę leczenia idiopatycznego włóknienia płuc stanowi przeszczepienie płuca.
W 2008 roku w zaleceniach British Thoracic Society umiejscowiono leczenie wspomagające jako istotne w terapii idiopatycznego włóknienia płuc. W zakresie optymalnego leczenia wspomagającego znalazły się:
- paliatywne leczenie duszności, w tym domowa terapia tlenem
- paliatywne leczenie kaszlu (stosowanie doustnych opioidów)
- rehabilitacja oddechowa
- zaprzestanie palenia tytoniu
- terapia refluksu żołądkowo-przełykowego
- niestosowanie metod leczenia, które nie są konieczne.
Leczenie w większości wypadków jest nieskuteczne, a rokowanie złe. Średni okres przeżycia wynosi 3 lata[5]. Dochodzi do niewydolności oddechowej, nadciśnienia płucnego i niewydolności serca. U części pacjentów rozwija się rak płuca.
Przypisy
- ↑ Michał Zieliński, Piotr Sitek, Dariusz Ziora. Samoistne włóknienie płuc współistniejące z rakiem płuc — przegląd piśmiennictwa. „Advances in Respiratory Medicine”. 2018; 86, supl. VII: 23–31, s. 24, 2018-07-02. DOI: 10.1056/NEJMoa1113354.
- 1 2 3 Eric B Meltzer, Paul W Noble, Idiopathic pulmonary fibrosis, „Orphanet journal of rare diseases”, 3 (8), 2008, s. 8, DOI: 10.1186/1750-1172-3-8, PMID: 18366757, PMCID: PMC2330030.
- 1 2 Grzanka Piotr, Bestry Iwona: Badania diagnostyczne. W: Andrzej Szczeklik: Choroby wewnętrzne. Podręcznik multimedialny oparty na zasadach EBM, [T. 1]. Cz. II: Choroby układu oddechowego. Kraków: Medycyna Praktyczna, 2005, s. 476-86. ISBN 83-7430-031-0.
- ↑ Renata Langfort: Badanie diagnostyczne. Badania morfologiczne. W: Andrzej Szczeklik: Choroby wewnętrzne. Podręcznik multimedialny oparty na zasadach EBM [T. 1]. Cz. II: Choroby układu oddechowego. Kraków: Medycyna Praktyczna, 2005, s. 502. ISBN 83-7430-031-0.
- 1 2 Gerd Herold, Jan Duława: Medycyna wewnętrzna. Repetytorium dla studentów medycyny i lekarzy. Warszawa: Wydaw. Lekarskie PZWL, 2004, s. 447-8. ISBN 83-200-3018-8.
- ↑ Douglas WW., Ryu JH., Schroeder DR. Idiopathic pulmonary fibrosis: Impact of oxygen and colchicine, prednisone, or no therapy on survival.. „American journal of respiratory and critical care medicine”. 4 Pt 1 (161), s. 1172–8, kwiecień 2000. DOI: 10.1164/ajrccm.161.4.9907002. PMID: 10764308.
- ↑ Hubbard Richard; Ian Johnston; John Britton. Survival in patients with cryptogenic fibrosing alveolitis: a population-based cohort study.. „Chest”. 2 (113), s. 396–400, luty 1998. PMID: 9498958.
- ↑ Nagai S., Kitaichi M., Hamada K., Nagao T., Hoshino Y., Miki H., Izumi T. Hospital-based historical cohort study of 234 histologically proven Japanese patients with IPF. „Sarcoidosis, vasculitis, and diffuse lung diseases: official journal of WASOG / World Association of Sarcoidosis and Other Granulomatous Disorders”. 2 (16), s. 209–14, wrzesień 1999. PMID: 10560125.
- ↑ Demedts M., Behr J., Buhl R., Costabel U., Dekhuijzen R., Jansen HM., MacNee W., Thomeer M., Wallaert B., Laurent F., Nicholson AG., Verbeken EK., Verschakelen J., Flower CD., Capron F., Petruzzelli S., De Vuyst P., van den Bosch JM., Rodriguez-Becerra E., Corvasce G., Lankhorst I., Sardina M., Montanari M. High-dose acetylcysteine in idiopathic pulmonary fibrosis.. „The New England journal of medicine”. 21 (353), s. 2229–42, listopad 2005. DOI: 10.1056/NEJMoa042976. PMID: 16306520.
- ↑ The Idiopathic Pulmonary Fibrosis Clinical Research Network. Prednisone, Azathioprine, and N-Acetylcysteine for Pulmonary Fibrosis. „N Engl J Med”. 366, s. 1968–77, 2012-05-24. DOI: 10.1056/NEJMoa1113354. [dostęp 2015-09-21]. (ang.).
Bibliografia
- Rowińska-Zakrzewska Ewa, Bestry Iwona: Choroby śródmiąższowe płuc. W: Andrzej Szczeklik: Choroby wewnętrzne : podręcznik multimedialny oparty na zasadach EBM [T. 1]. Cz. II: Choroby układu oddechowego. Kraków: Medycyna Praktyczna, 2005, s. 571-4. ISBN 83-7430-031-0.
- American Thoracic Society/European Respiratory Society International Multidisciplinary Consensus Classification of the Idiopathic Interstitial Pneumonias. „Am. J. Respir. Crit. Care Med”. 165 (2), s. 277-304, 2002 Jan 15. (ang.).
- Branley HM, Lake FR. Brytyjskie wytyczne postępowania w śródmiąższowych chorobach płuc 2008 – jakie są główne nowe przesłania dla praktyki klinicznej?. „Medycyna Praktyczna”. 2 (216), s. 22-7, luty 2009. Kraków: Medycyna Praktyczna. ISSN 0867-499X.
Przeczytaj ostrzeżenie dotyczące informacji medycznych i pokrewnych zamieszczonych w Wikipedii.