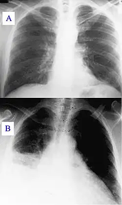
Zdjęcie rentgenowskie klatki piersiowej



Zdjęcie rentgenowskie klatki piersiowej, radiogram klatki piersiowej, rtg klatki piersiowej (ang. chest X-ray) – badanie radiologiczne polegające na przepuszczeniu przez klatkę piersiową kontrolowanych dawek promieni rentgenowskich, rzutowanych na prostopadłą płaszczyznę z detektorem tych promieni. Rtg klatki piersiowej, tzw. zdjęcie przeglądowe, jest najczęściej wykonywanym badaniem rentgenowskim w medycynie i powinno być pierwszym diagnostycznym badaniem u chorych z objawami choroby płuc. Badanie stanowi około 20% wszystkich badań obrazowych[1]. Jest stosunkowo szybkie i łatwe do wykonania, niedrogie i charakteryzuje się niskim promieniowaniem (około 0,01–0,03 skutecznej dawki mSv dla ekspozycji p-a). Odpowiada to czasowi równoważnemu promieniowaniu tła (promieniowanie jonizujące, które pochodzi z naturalnych źródeł na ziemi, z kosmosu i z wnętrza człowieka) wynoszącemu około 10 dni[2][3][4].
Badanie RTG klatki piersiowej wykonuje się w celu wykrycia lub wykluczenia chorób układu oddechowego, narządów śródpiersia, opłucnej, oraz w ograniczonym zakresie szkieletu kostnego klatki piersiowej i serca. Wyniki badań radiologicznych klatki piersiowej dostarczają wielu wyników, które w dużym stopniu wpływają na decyzje diagnostyczne i terapeutyczne[3].
Podstawy
Standardowe zdjęcie rentgenowskie klatki piersiowej wykonywane jest w projekcji tylno-przedniej. Niekiedy wykonuje się zdjęcie lewe boczne, rzadziej skośne. Czasem zdjęcie rentgenowskie wykonuje się po bezpośrednim podaniu doustnie środka cieniującego, celem lepszej oceny przełyku oraz śródpiersia[1].
Przenośne aparaty rentgenowskie często nie zapewniają zdjęć o optymalnej jakości dlatego powinno się z nich korzystać wyłącznie w stanach uniemożliwiających transport chorego do pracowni radiologicznej[1].
Zalety badania
RTG klatki piersiowej jest często niezastąpionym badaniem diagnostycznym układu oddechowego:
- pozwala ocenić upowietrzenie płuc
- różnicuje odmę, niedodmę, płyn w opłucnej
- pozwala wykryć zmiany w miąższu płuc (zapalne i nowotworowe)
- pozwala wykryć nieprawidłowości okolicznych węzłów chłonnych.
Badanie to umożliwia także pobieżną ocenę układu sercowo-naczyniowego, pozwala wyciągnąć wnioski na temat wydolności mięśnia sercowego oraz w sposób pośredni wnioskować na temat nasilenia zmian miażdżycowych w organizmie, a także o zmianach związanych z nadciśnieniem tętniczym.
Jest pomocne w diagnozowaniu następujących chorób:
- choroba niedokrwienna serca
- częstoskurcz komorowy
- niedomykalność zastawki mitralnej
- tetralogia Fallota
- nadciśnienie tętnicze wtórne
- zwężenie zastawki trójdzielnej
- niewydolność serca
- odma opłucnowa
- zapalenie trzustki
- przepuklina przeponowa
- tętniak aorty
- obturacyjna choroba płuc
- kardiomiopatia restrykcyjna
- krztusiec
- gruźlica
- zapalenie płuc
- zapalenie oskrzeli
- zapalenie wsierdzia
- chłoniak Hodgkina
- nerwica serca
- sarkoidoza
Wskazania
Jest to badanie przydatne w identyfikacji nieprawidłowości w zakresie[1]:
- schorzenia w obrębie klatki piersiowej dotyczące serca, miąższu płucnego, opłucnej, przepony, oraz wnęk
- obrażenia klatki piersiowej
- zaburzenia rozwojowe narządów klatki piersiowej
- ocena badania wykonywanego przed i po operacji klatki piersiowej
- badania okresowe
Przypisy
- 1 2 3 4 Mark H. Beers, Robert S. Porter, Thomas V. Jones, Justin L. Kaplan, Michael Berkwits(Redaktorzy): The Merck Manual-Podręcznik diagnostyki i terapii. Elsevier Urban&Partner, 2006, s. 479, język polski, ISBN 978-83-60290-99-6
- ↑ Grenzwerte im Strahlenschutz. www.bfs.de. [dostęp 2024-01-25]. (niem.).
- 1 2 Röntgen-Thorax. flexikon.doccheck.com. [dostęp 2024-01-25]. (niem.).
- ↑ Promieniowanie jonizujące w życiu codziennym.. www.gov.pl. [dostęp 2024-01-25]. (pol.).
Przeczytaj ostrzeżenie dotyczące informacji medycznych i pokrewnych zamieszczonych w Wikipedii.