Język człowieka


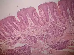
Język (łac. lingua, glossa) – w anatomii człowieka wał mięśniowy położony na dnie jamy ustnej i pokryty śluzówką[1]. Od dołu wchodzą do języka mięśnie zewnętrzne, naczynia krwionośne i nerwy. Śluzówka języka jest wilgotna, różowa, pokryta licznymi brodawkami językowymi.
Brodawki języka to wyrostki tkanki łącznej, które wystają ponad powierzchnię śluzówki i są pokryte nabłonkiem wielowarstwowym płaskim. U człowieka występuje sześć rodzajów brodawek, które dzieli się na brodawki mechaniczne (służą do pobierania, rozdrabniania pokarmu) oraz brodawki smakowe (zawierające kubki smakowe):
- Brodawki mechaniczne:
- nitkowate (najmniejsze i najliczniejsze),
- stożkowate,
- soczewkowate.
- Brodawki smakowe – wszystkie są jednocześnie brodawkami mechanicznymi:
- grzybowate (większe),
- okolone (największe),
- liściaste (występują z boku języka, u człowieka nieliczne).
Dodatkowo język podzielony jest przez bruzdę graniczną, w której znajdują się głównie brodawki okolone na dwie części:
- trzon
- korzeń (nasada języka)
Nasada języka zaopatrzona jest w mieszki językowe, czyli skupiska tkanki chłonnej tworzące razem migdałek językowy[2].
Mięśnie
Zrąb języka utworzony jest przez mięśnie poprzecznie prążkowane[3].
Dzielone są na dwie grupy:
- mięśnie łączące z otoczeniem (zewnętrzne) swój przyczep początkowy mają na kości, kończą się zaś wewnątrz języka. Ich zadaniem jest zmiana położenia całego narządu. Zalicza się do nich
- mięsień bródkowo-językowy (łac. musculus genioglossus) – wysuwa nasadę języka do przodu, przyciska do dna jamy ustnej i pociąga kość gnykową i nagłośnię do przodu,
- mięsień rylcowo-językowy (łac. musculus styloglossus) – pociąga język ku tyłowi i ku górze, pochyla grzbiet języka na bok i uczestniczy w połykaniu,
- mięsień gnykowo-językowy (łac. musculus hyoglossus) – pociąga język ku dołowi i tyłowi, cofając tym samym wysunięty język do jamy ustnej[4].
- mięśnie własne języka (wewnętrzne); swoje przyczepy wywodzą z łącznotkankowych składników samego języka. Ich rolą jest zmiana kształtu narządu. Są to mięśnie:
- mięsień podłużny górny (łac. musculus longitudinalis superior) – skraca i poszerza język, unosi jego koniec do góry,
- mięsień podłużny dolny (łac. musculus longitudinalis inferior) – skraca język, opuszcza koniec języka wysuniętego,
- mięsień poprzeczny języka (łac. musculus transversus linguae) – zwęża język, wypukla i wpukla go tworząc rynienkę,
- mięsień pionowy języka (łac. musculus verticalis linguae) – spłaszcza język, poszerza go i wydłuża, wywołuje głęboką, podłużną rynienkę[5].
Większość mięśniówki trzonu języka przyczepia się do mocnej warstwy łącznotkankowej, łączącej ją z błoną śluzową. Nosi ona nazwę rozcięgna języka. Język posiada także niepełną przegrodę z blaszki tkanki łącznej, dzielącą mięśniówkę języka na połowę prawą i lewą. Przyczepiają się do niej włókna mięśnia poprzecznego języka[3].
Unaczynienie
Unaczynienie tętnicze pochodzi z tętnicy językowej (łac. arteria lingualis) gałęzi tętnicy szyjnej zewnętrznej. Jej gałęzią końcową jest tętnica głęboka języka (łac. arteria profunda linguae). Nasadę języka zaopatrują gałęzie grzbietowe tętnicy językowej. Poza tym język otrzymuje drobne gałązki od tętnicy twarzowej i gardłowej wstępującej. Unaczynienie żylne odpowiada tętniczemu[6].
Unerwienie
Można wyróżnić trzy typy nerwów zaopatrujące język:
- ruchowe:
- nerw podjęzykowy (XII) (łac. nervus hypoglossus)
- czuciowe:
- nerw językowy (V3) (łac. nervus lingualis), gałąź nerwu żuchwowego.
- nerw językowo-gardłowy (IX) (łac. nervus glossopharyngeus)
- nerw krtaniowy górny (łac. nervus laryngeus superior) gałąź nerwu błędnego (X)
- dostarczające wrażenia smakowe:
- włókna struny bębenkowej (łac. chorda tympani), gałęzi nerwu twarzowego biegnące w nerwie językowym przewodzą impulsy z brodawek grzybowatych
- nerw językowo-gardłowy zaopatruje również brodawki okolone i liściaste[7].
Zmysł smaku
Dzięki językowi można poczuć i określić smak danej rzeczy, która nie musi być pokarmem. Odpowiedzialne są za to kubki smakowe. Każdy z kubków smakowych zawiera receptory reagujące na wszystkie 5 smaków. Dotychczas wyodrębniono pięć smaków: słony, słodki, kwaśny, gorzki i umami.
Wskutek błędnej interpretacji wyników badań przeprowadzonych pod koniec XIX wieku, przez wiele lat uważano, że różne części języka odpowiadają za czucie różnych smaków: np. że inną częścią odczuwa się przyjmowany pokarm jako słony, a inną jako kwaśny albo gorzki. Powstała wtedy tzw. mapa rozmieszczenia kubków smakowych. W rzeczywistości wszystkie rodzaje kubków smakowych są rozmieszczone na całej powierzchni języka i każdy fragment języka może odczuwać każdy ze smaków. Zdarza się jednak, że niektóre rejony języka różnią się wrażliwością na różne bodźce smakowe.
Patologie
Objawy, które sygnalizują schorzenia języka to:
- Ból i pieczenie
- Zaburzenie ruchomości
- Zaburzenia odczuwania smaku
- Zmiany w unaczynieniu
- Zmiany w wyglądzie brodawek na języku
- Powiększenie języka
- Plamy na języku
Przypisy
- ↑ Bochenek i Reicher 2018 ↓, s. 93.
- ↑ Bochenek i Reicher 2018 ↓, s. 103.
- 1 2 Bochenek i Reicher 2018 ↓, s. 104.
- ↑ Bochenek i Reicher 2018 ↓, s. 104–107.
- ↑ Bochenek i Reicher 2018 ↓, s. 107–109.
- ↑ Bochenek i Reicher 2018 ↓, s. 109.
- ↑ Bochenek i Reicher 2018 ↓, s. 111.
Bibliografia
- W. Sylwanowicz: Anatomia i fizjologia człowieka. Warszawa: PZWL, 1957.
- Adam Bochenek, Michał Reicher, Anatomia człowieka. Tom II. Trzewa, wyd. X, Warszawa: Wydawnictwo Lekarskie PZWL, 2018, ISBN 978-83-200-4501-7.
Przeczytaj ostrzeżenie dotyczące informacji medycznych i pokrewnych zamieszczonych w Wikipedii.
.jpg)