Komórki Panetha

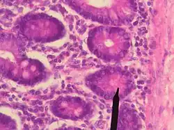
Ludzkie komórki Panetha pod mikroskopem.

Komórki Panethakomórki zlokalizowane w dolnych częściach krypt jelitowych. Mają kształt ściętej piramidy. Cechuje je rozbudowana siateczka śródplazmatyczna szorstka, aparat Golgiego oraz ziarnistości kwasochłonne wydzielnicze w górnej części cytoplazmy. Występują w jelicie cienkim, brak ich w jelicie grubym[1].

Biorą udział w reakcjach obronnych jelit – zawierają lizozym, immunoglobuliny IgA, czynnik TNF-α, związki związane z defensynami oraz kryptydyny[1]. Komórki Panetha uczestniczą również w fagocytozie mikroorganizmów[2].

Przypisy

  1. 1 2 Maciej Zabel: Histologia Podręcznik dla studentów medycyny i stomatologii. Wrocław: Elsevier Urban&Partner, 2013, s. 268. ISBN 978-83-7609-865-4.
  2. Wojciech Sawicki: Histologia. Warszawa: PZWL, 2012, s. 621. ISBN 978-83-200-4349-5.

Przeczytaj ostrzeżenie dotyczące informacji medycznych i pokrewnych zamieszczonych w Wikipedii.