Kryptokokoza
| cryptococcosis | |
| Klasyfikacje | |
| ICD-10 | |
|---|---|
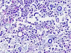
_Alcian_blue-PAS.jpg)
Kryptokokoza (toruloza, drożdżyca europejska) – grzybica wywołana przez Cryptococcus neoformans, grzyb należący do tzw. drożdży podstawkowych. Choroba o przebiegu podostrym lub przewlekłym, atakuje ośrodkowy układ nerwowy, płuca (grzybice narządowe, głębokie) lub skórę i tkankę podskórną (grzybice powierzchowne).
Epidemiologia
C. neoformans występuje na całym świecie[1]. Jest obecny w odchodach gołębi i kur, na kontakt z którymi można być narażonym w opuszczonych budynkach[2]. Drożdżaka tego izolowano również z owoców, nawozu, kurzu oraz z mleka krowiego w przypadku kryptokokowego zapalenia wymion[3]. Jednak do tej pory nie udowodniono, że kontakt z odchodami gołębi może prowadzić do zakażenia u ludzi[2]. C. neoformans może występować na skórze i w kale zdrowych ludzi[3]. Do zakażenia dochodzi najprawdopodobniej poprzez inhalację[2]. Choroba występuje często u ludzi z obniżoną odpornością[2].
Objawy
Najczęstszą kliniczną postacią choroby jest kryptokokowe zapalenie opon mózgowo-rdzeniowych[2]. W tym przypadku zakażenie może być podostre albo przewlekłe, a objawami mogą być: początkowo ból głowy i zaburzenia widzenia, następnie zaburzenia stanu psychicznego, a w końcu sztywność karku, śpiączka i, w wypadku nieleczonej choroby, śmierć[2]. Innymi postaciami klinicznymi choroby są zakażenia skóry i płuc[2].
Rozpoznanie
Podstawą szybkiego postawienia diagnozy w wypadku kryptokokowego zapalenia opon mózgowo-rdzeniowych jest badanie płynu mózgowo-rdzeniowego[2]. W pobranej próbce można zazwyczaj zaobserwować podwyższone stężenie białka, obniżone glukozy oraz zwiększoną liczbę leukocytów, głównie jednojądrzastych[2]. W celu wykrycia C. neoformans stosuje się odczyn lateksowy[2]. W badaniu histologicznym tkanek może być widoczna odpowiedź zapalna. W wypadku utworzenia ziarniniaka, komórki C. neoformans można znaleźć wewnątrz komórek olbrzymich[2]. Komórki patogenu można wybarwić hematoksyliną i eozyną, metodą Gomoriego lub mucykarminą, która barwi otoczkę grzyba na kolor jasnoczerwony[2]. C. neoformans można także identyfikować za pomocą immunofluorescencji bezpośredniej[2]. Materiałem do tego badania są skrawki tkankowe umieszczone w formalinie[2]. Wykrycie przeciwciał przeciwko grzybowi w teście immunofluorescencji pośredniej świadczy o przebytym lub trwającym zakażeniu[2]. W celu postawienia rozpoznania zakłada się także hodowlę[4]. Materiałem do hodowli może być płyn mózgowo-rdzeniowy, bioptat lub mocz[4]. U chorych z upośledzoną odpornością, zakażeniem układu nerwowego lub uogólnionym C. neoformans występują w moczu cały czas, nawet gdy nie ma żadnych objawów ze strony układu moczowego[4].
Leczenie
Leczenie kryptokokozy jest skojarzone i polega na podawaniu amfoterycyny B i fluorocytozyny[4]. Skojarzenie tych dwóch leków zwiększa skuteczność leczenia, zmniejsza częstotliwość nawrotów choroby, a także pozwala na obniżenie dawki amfoterycyny B, która jest bardziej toksyczna niż fluorocytozyna[4]. U pacjentów z kryptokokozą uogólnioną lub z upośledzoną odpornością zalecane jest leczenie podtrzymujące za pomocą flukonazolu w celu uniknięcia nawrotów choroby[4].
Klasyfikacja ICD10
| kod ICD10 | nazwa choroby |
|---|---|
| ICD-10: B45 | Kryptokokoza |
| ICD-10: B45.0 | Kryptokokoza płucna |
| ICD-10: B45.1 | Kryptokokoza mózgowa |
| ICD-10: B45.2 | Kryptokokoza skórna |
| ICD-10: B45.3 | Kryptokokoza kostna |
| ICD-10: B45.7 | Kryptokokoza rozsiana |
| ICD-10: B45.8 | Inne postacie kryptokokozy |
| ICD-10: B45.9 | Kryptokokoza, nie określona |
Przypisy
- ↑ Mikrobiologia i choroby zakaźne. Wrocław: "Urban & Partner", 2000, s. 388. ISBN 83-85842-59-4.
- 1 2 3 4 5 6 7 8 9 10 11 12 13 14 15 Mikrobiologia i choroby zakaźne. Wrocław: "Urban & Partner", 2000, s. 389. ISBN 83-85842-59-4.
- 1 2 Maria Lucyna Zaremba: Mikrobiologia lekarska : podręcznik dla studentów medycyny. Warszawa: Wydawnictwo Lekarskie PZWL, 1997, s. 432. ISBN 83-200-2097-2.
- 1 2 3 4 5 6 Mikrobiologia i choroby zakaźne. Wrocław: "Urban & Partner", 2000, s. 390. ISBN 83-85842-59-4.
Przeczytaj ostrzeżenie dotyczące informacji medycznych i pokrewnych zamieszczonych w Wikipedii.