Leczenie kanałowe

Leczenie kanałowe, leczenie endodontyczne, endodoncja – metoda leczenia nieodwracalnych zapaleń miazgi zęba. Polega na usunięciu (w znieczuleniu) chorobowo zmienionej miazgi z komory i kanałów zęba, zdezynfekowaniu ich i wypełnieniu odpowiednim materiałem, najczęściej gutaperką. Całe leczenie powinno odbywać się pod kontrolą radiologiczną, a w niektórych przypadkach w powiększeniu (pod mikroskopem operacyjnym).
Efekty
Prawidłowo wyleczony ząb pozostaje w jamie ustnej bardzo długo i nie daje żadnych objawów niepożądanych. Efekt leczenia w postaci cofających się zmian pod zębem widać już po pół roku od zakończenia leczenia na zdjęciu rentgenowskim.
Nieprawidłowe leczenie endodontyczne może prowadzić do zapalenia tkanek okołowierzchołkowych, co może skończyć się koniecznością ekstrakcji zęba.
Ząb nawet z dużymi zmianami okołowierzchołkowymi ma korzystne rokowanie. Warunkiem sukcesu w jego leczeniu jest zachowanie sterylności w trakcie opracowywania kanałów, obfite płukanie środkami dezynfekcyjnymi, opracowanie kanałów przy użyciu narzędzi ręcznych i maszynowych z dokładnym pomiarem ich długości endometrem, a następnie szczelne wypełnienie uszczelniaczem z gutaperką.
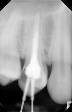
Diagnostyka
Diagnostyka leczenia kanałowego jest kluczowym etapem w skutecznym leczeniu endodontycznym. Precyzyjna diagnoza pozwala na określenie, czy leczenie kanałowe jest konieczne, a jeśli tak, to jakiej dokładnie interwencji wymaga ząb. Diagnostyka obejmuje ocenę objawów klinicznych oraz wykonanie odpowiednich badań obrazowych.
Najczęściej stosowanym narzędziem obrazowania w endodoncji jest rentegenografika tradycyjny (RTG). Umożliwia zobrazowanie liczby kanałów korzeniowych i ich układu w zębie. Pozwala to na identyfikację anatomii korzeniowej. Można ocenić, czy ząb ma jeden czy wiele kanałów, oraz jak są one rozmieszczone. Ponadto, rentgenografika pozwala na ocenę stanu kości wokół wierzchołka korzenia. To pomaga w identyfikacji obszarów resorpcji kości, zmian zapalnych, czy obecności ropni. Może to sugerować obecność infekcji lub przewlekłego zapalenia[1].
Przebieg

W zależności od rozpoznania lekarz wybiera odpowiednią metodę leczenia kanałowego. Jednak w dużym uproszczeniu, dla ogólnego zrozumienia aspektu leczenia kanałowego, przebieg leczenia wygląda następująco:
- Otwarcie komory zęba i usunięcie martwej lub żywej miazgi (żywą usuwa się w znieczuleniu miejscowym).
- Opracowanie kanału lub kanałów korzeniowych przy użyciu narzędzi kanałowych z obfitym płukaniem kanałów. W trakcie opracowywania kanałów korzeniowych następuje całkowite usunięcie miazgi kanałowej z kanału korzeniowego oraz toksyn bakteryjnych z kanalików zębinowych, dzięki czemu poszerzony kanał staje się odpowiednio przygotowany do wypełnienia. Do przepłukiwania kanałów stosowany jest między innymi podchloryn sodu.
- Osuszenie kanałów.

- Wypełnienie kanałów materiałami biozgodnymi. Czynność ta ma na celu szczelne zamknięcie światła kanału na całej długości do otworu fizjologicznego, aby uniemożliwić przenikanie bakterii z jamy zęba do tkanek okołowierzchołkowych. Wypełnianie kanałów korzeniowych wymaga zastosowania różnych materiałów i technik. Materiały wypełniające możemy podzielić na stosowane czasowo i stosowane na stałe do ostatecznego wypełnienia. Najpopularniejszym materiałem do wypełniania kanałów korzeniowych na stałe jest gutaperka, która stosowana od blisko 100 lat, mimo wielu nowych materiałów, jest najlepszym wypełniaczem kanałów, dającym doskonałe efekty lecznicze.
- Wypełnienie zęba. Najczęściej prawidłowo przeleczony ząb wypełnia się materiałami kosmetycznymi, do których należą materiały kompozytowe, kompomerowe i nowe materiały ormocerowe.
Powikłania
Leczenie kanałowe jest zawsze leczeniem warunkowym i nigdy nie ma 100% pewności, że się powiedzie. Ze względu jednak na fakt, iż jest to często jedyna metoda uchronienia zęba przed usunięciem, warto podjąć ryzyko.
Powikłania mogą wystąpić zarówno podczas leczenia, jak i jakiś czas po jego przeprowadzeniu. Do tych występujących w trakcie leczenia zaliczamy:
- brak możliwości opracowania kanału w całości ze względu na zmniejszenie jego światła wskutek zwapnienia
- perforację (przedziurawienia) ściany kanału
- złamanie narzędzia w kanale podczas jego opracowywania lub wypełniania
- ukruszenie korony zęba
- wystąpienie dolegliwości bólowych, obrzęku, a nawet ropnia
- przepchnięcie materiału wypełniającego kanał poza wierzchołek korzenia, co może powodować przejściowe dolegliwości bólowe
- przepchnięcie płynu do płukania kanałów poza wierzchołek zęba, co może wymagać leczenia za pomocą antybiotyku.
Powikłaniami mogącymi pojawić się nawet jakiś czas po wypełnieniu kanałów są:
- dolegliwości bólowe spowodowane na przykład materiałem przepchniętym do wnętrza zatoki szczękowej
- brak zagojenia się zmian okołowierzchołkowych.
Przypisy
- ↑ Traditional Radiographic Imaging in Endodontics, [w:] S.R. Kahn, J.Y. Tan, Dental Radiology: Interpretation and Techniques, 2018, s. 75-94, ISBN 978-1-119-30489-6 (ang.).
Przeczytaj ostrzeżenie dotyczące informacji medycznych i pokrewnych zamieszczonych w Wikipedii.