Zapalenie tkanek okołowierzchołkowych

Zapalenie tkanek okołowierzchołkowych, inaczej zapalenie przyzębia wierzchołkowego[1][2] (łac. periodontitis periapicalis[3] lub periodontitis apicalis[4]) – proces patologiczny toczący się w tkankach okołowierzchołkowych zęba. Przyczyną zwykle jest dostanie się bakterii do tych tkanek w ramach zakażenia miazgi[5]. Do innych możliwych przyczyn zapalenia tkanek okołowierzchołkowych zalicza się m.in. reakcje organizmu na ciała obce, które mogą się dostać do tych okolic np. jatrogennie podczas leczenia kanałowego[3][5] lub irytację tkanek okołowierzchołkowych spowodowaną akumulacją kryształów cholesterolu powstającą wskutek nagromadzenia się cholesterolu z osocza lub rozpadających się komórek zapalnych w przewlekłych procesach[5].
Przebieg
Przebieg zapalenia tkanek okołowierzchołkowych może być dwojaki: burzliwy połączony z licznymi objawami bólowymi lub też przewlekły – bezbólowy. W przebiegu ostrego ropnego zapalenia tkanek okołowierzchołkowych ze względu na zasięg wyróżnia się trzy fazy:
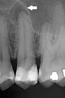
Diagnostyka
Dla lekarza stomatologa pomocny w zdiagnozowaniu zapalenia tkanek okołowierzchołkowych może być wywiad, dodatni objaw Owińskiego oraz badanie RTG.
Podział zapaleń okołowierzchołkowych
Zapalenia okołowierzchołkowe dzielone są na:
- ostre
- surowicze (łac. periodontitis acuta serosa)
- ropne (łac. periodontitis acuta purulenta)
- ropień okołowierzchołkowy (łac. abscessus periapicalis)
- ropień podokostnowy (łac. abscessus subperiostalis)
- ropień podśluzówkowy (łac. abscessus submucosus)
- przewlekłe
- włókniste (łac. periodontitis chronica fibrosa)
- ziarninowe (łac. periodontitis chronica granulosa)
- ziarniniak zwykły (łac. granuloma simplex)
- ziarniniak nabłonkowy (łac. granuloma epitheliale)
- ziarniniak torbielowaty (łac. granuloma cycticum)
- torbiel korzeniowa (łac. cyctis radicularis)
- ropne (łac. periodontitis chronica purulenta)
- zapalenie przewlekłe zaostrzone (łac. periodontitis chronica exacerbata)
Leczenie
Zapalenie tkanek okołowierzchołkowych zęba wymaga przeprowadzenia leczenia endodontycznego zęba przyczynowego, lub też, jeśli z powodu próchnicy lub zaawansowanej choroby przyzębia ząb nie rokuje pomyślnie, należy wykonać ekstrakcję zęba.
Powikłania
Dzięki rozwojowi systemów opieki zdrowotnej, w tym stomatologii, w krajach rozwiniętych powikłania zapalenia tkanek okołowierzchołkowych są coraz rzadziej spotykane, choć najprawdopodobniej ich całkowite wyeliminowanie nie będzie nigdy możliwe. W krajach rozwijających się powikłania zakażeń zębopochodnych są nadal przyczyną ostrych powikłań ze śmiercią pacjenta włącznie. Zapalenia zębopochodne szerzą się przez ciągłość na drodze najmniejszego oporu tkanek, obejmując kolejno: ozębną, kość gąbczastą, kość zbitą, okostną, zatoki przynosowe, śluzówkę jamy ustnej lub tkanki miękkie, przestrzenie powięziowe, tkankę podskórną i skórę.
Obejmując swym zasięgiem policzek lub wargę górną może prowadzić do zakrzepowego zapalenia zatoki jamistej, gdyż okolice te połączone są układem żylnym (żyła kątowa łączy żyłę twarzową z żyłą oczną).
Obejmując swym zasięgiem przestrzeń zagardłową może wzdłuż przedniej części kręgosłupa prowadzić do zapalenia śródpiersia tylnego.
Obejmując swym zasięgiem przestrzeń przygardłową może szerzyć się wzdłuż wielkich naczyń krwionośnych i objąć procesem zapalnym śródpiersie przednie.
Z przestrzeni powięziowych głowy i szyi infekcja może szerzyć się na oczodół powodując jego ropowicę oraz przez otwór owalny i otwór okrągły czaszki do jamy czaszki, co skutkować może zapaleniem mózgu lub ropnym zapaleniem opon mózgowo-rdzeniowych.
Wśród powikłań ogólnych ropnych zapaleń zębopochodnych twarzoczaszki wymienia się także:
- zapalenie nerwów czaszkowych
- ropnie przerzutowe (mózgu, wątroby, nerek, płuc, mięśnia sercowego, kości)
- zapalenie zakrzepowe żył twarzy
- posocznicę, wstrząs septyczny
- zespół rozsianego, śródnaczyniowego wykrzepiania (DIC).
Przypisy
- ↑ Dorota Renkielska, Komórki tuczne w przewlekłych zmianach okołowierzchołkowych szczęk, Gdańsk 2014, s. 13-15 (pol.).
- ↑ Maciej R. Czerniuk, Przewlekły stan zapalny tkanek przyzębia w obrębie szczęki jako potencjalne ognisko infekcji – opis przypadku. Część I, „Kardiologia po Dyplomie”, 8 (9), wrzesień 2009 (pol.).
- 1 2 Aleksandra Burczyńska i inni, Ropień tkanek okołowierzchołkowych – etiologia, patogeneza i epidemiologia, „Przegląd Epidemiologiczny”, 2017, s. 418 (ang. • pol.).
- ↑ → periodontitis apicalis po polsku, słownik łacińsko - polski | Fiszkoteka [online], fiszkoteka.pl [dostęp 2023-02-18].
- 1 2 3 P.N.R. Nair, On the causes of persistent apical periodontitis: a review, „International Endodontic Journal”, 39 (4), 2006, s. 249–281, DOI: 10.1111/j.1365-2591.2006.01099.x, ISSN 0143-2885 [dostęp 2023-02-23] (ang.).
Bibliografia
- Zbigniew Jańczuk, Stomatologia zachowawcza – Zarys kliniczny, Warszawa, Wydawnictwo Lekarskie PZWL, 2007, ISBN 978-83-200-3598-8.
- Maria Barańska-Gachowska, Endodoncja wieku rozwojowego i dojrzałego, Lublin: Wydawnictwo Czelej, 2004, ISBN 83-89309-17-3, OCLC 831142944.
- Leszek Kryst: Chirurgia szczękowo-twarzowa : podręcznik dla studentów. Warszawa: Wydawnictwo Lekarskie PZWL, 2007. ISBN 978-83-200-3274-1..
Przeczytaj ostrzeżenie dotyczące informacji medycznych i pokrewnych zamieszczonych w Wikipedii.