Małoocze
| microphthalmia | |
| Klasyfikacje | |
| ICD-10 | |
|---|---|
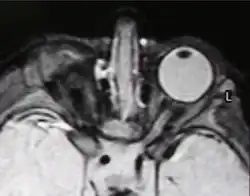
Mikroftalmia (małoocze, ang. microphthalmia, microphthalmos, nanophthalmos, nanophthalmia, z gr. μικρόφθαλμος) – wada wrodzona o charakterze malformacji polegająca na jednostronnym lub obustronnym niedorozwoju gałek ocznych. Przyczyną mikroftalmii, tak jak anoftalmii, jest zaburzenie rozwoju pęcherzyków ocznych[1].
Przeciętna długość gałki ocznej w długiej osi u osoby dorosłej i u noworodka wynosi, odpowiednio, 23.8 i 17 mm. Według The International Clearinghouse for Birth Defects Monitoring Systems w mikroftalmii wymiar rogówki wynosi <10 mm, a wymiar przednio-tylny gałki <20mm[2].
Łączna częstość występowania małoocza i bezocza w populacji to 30:100 000; mikroftalmia występuje u około 11% niewidomych dzieci[2].
Mikroftalmia i anoftalmia mogą występować jedno- i obustronnie, jako izolowane wady lub składowa zespołów wad wrodzonych. Niektóre zespoły wad w których stwierdza się mikroftalmię to[2]:
- zespół Aicardiego
- zespół arhinia-atrezja nozdrzy tylnych-mikroftalmia (OMIM 603457)
- zespół BOFS (OMIM%113620)
- asocjacja CHARGE (OMIM#214800)
- zespół mózgowo-oczno-twarzowo-szkieletowy (zespół Peny-Shokeira typu II, COFS1) (OMIM#214150)
- zespół koloboma-otyłość-niedorozwój narządów płciowych zewnętrznych-opóźnienie umysłowe (OMIM%601794)
- zespół dekstrokardia-cechy dysmorficzne twarzy (OMIM 221950)
- zespół twarzowo-piersiowo-genitalny (OMIM 227320)
- zespół Goltza i Gorlina
- dysplazja czołowo-nosowa
- zespół GOMBO
- zespół Hallermanna-Streiffa
- incontinentia pigmenti
- zespół Kapura-Toriello
- zespół Kenneya-Caffeya (OMIM%127000)
- zespół mikroftalmii Lenza
- letalny zespół makrosomii z mikroftalmią
- zespół Meckla
- zespół Pataua
- zespół MIDAS
- zespół mikrocefalia-mikroftalmia-ektrodaktylia kończyn dolnych-prognatyzm (MMEP)
- mukolipidoza III
- zespół Nance'a-Horana
- choroba Norriego
- zespół Goldenhara
- zespół oczno-zębowo-palcowy
- dysplazja oczno-zębowo-kostna, recesywna
- zespół oczno-twarzowo-sercowo-zębowy
- zespół osteoporoza-pseudoglejak
- zespół źreniczo-nerkowy
- zespół Steinfelda
- zespół pojedynczego środkowego siekacza szczęki
- zespół Walkera-Warburg
- zespół WARBM
Przypisy
- ↑ Lech Korniszewski: Dziecko z zespołem wad wrodzonych. Diagnostyka dysmorfologiczna. Wyd. II. Wydawnictwo Lekarskie PZWL, 2005. ISBN 83-200-3042-0.
- 1 2 3 Amit S Verma, David R FitzPatrick. Anophthalmia and microphthalmia. „Orphanet Journal of Rare Diseases”. 2. 47, 2007. DOI: 10.1186/1750-1172-2-47.
Przeczytaj ostrzeżenie dotyczące informacji medycznych i pokrewnych zamieszczonych w Wikipedii.