Mięsak pęcherzykowy
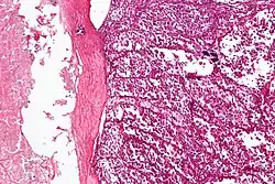
![]() Mięsak pęcherzykowy, obraz mikroskopowy | |
| Klasyfikacje | |
| ICD-10 |
C49 |
|---|---|
| ICDO |
9581/3 |
Mięsak pęcherzykowy, ASPS (od ang. alveolar soft part sarcoma) – bardzo rzadki nowotwór złośliwy należący do grupy mięsaków tkanek miękkich o nieznanym kierunku różnicowania[1]. Nowotwór występuje głównie u młodych dorosłych. Klinicznie mięsak cechuje się powolnym wzrostem i tendencją do wczesnych przerzutów do płuc, mózgu i kości. Choroba nie daje charakterystycznych objawów, manifestuje się jako bezbolesny guz najczęściej w obrębie kończyny dolnej. U dzieci nowotwór najczęściej pojawia się w obrębie głowy i szyi. Rozpoznanie jest stawiane na podstawie charakterystycznego obrazu histopatologicznego materiału uzyskanego podczas biopsji zmiany. Mięsak pęcherzykowy wykazuje znaczną oporność na chemioterapię. W leczeniu stosuje się inhibitory kinaz tyrozynowych, przede wszystkim sunitynib. Pomimo powolnego wzrostu mięsaka rokowanie zwykle jest niepomyślne[2][3].
Epidemiologia
Mięsak pęcherzykowy jest bardzo rzadkim nowotworem, stanowi około 0,5–1% mięsaków tkanek miękkich u ludzi. Nowotwór występuje u nastolatków i młodych dorosłych, zwykle pomiędzy 15. a 35. rokiem życia, częściej u kobiet[1][3]. Występowanie przed 5. i po 50. roku życia jest rzadkie[4].
Obraz kliniczny
Mięsak pęcherzykowy nie daje charakterystycznych objawów, cechuje go skąpoobjawowy, podstępny przebieg i choroba często jest długo niezauważana. Mięsak pęcherzykowy manifestuje się jako powoli rosnący, bezbolesny guz w tkankach miękkich. Ze względu na bardzo bogate unaczynienie guza okazjonalnie wyczuwalne jest jego pulsowanie lub słyszalny jest szmer. U 20% chorych pierwszą manifestacją choroby nowotworowej stają się przerzuty do płuc i mózgu[5][3][6].
U dorosłych mięsak pęcherzykowy najczęściej jest zlokalizowany w obrębie kończyny dolnej, szczególnie w głębokich tkankach przedniej części uda oraz pośladków, do rzadszych lokalizacji należy tułów, kończyna górna oraz głowa i szyja[1]. U dzieci nowotwór pojawia się głównie w obrębie głowy i szyi, szczególnie w oczodole oraz języku[1].
Historia naturalna
Mięsak pęcherzykowy cechuje się powolnym, podstępnym wzrostem[4]. Zwykle w momencie rozpoznania guz osiąga ponad 10 cm[7]. Mięsak pęcherzykowy wykazuje wysoką zdolność do tworzenia przerzutów i u 80% chorych w różnych etapach choroby pojawia się rozsiew[3]. Pomimo powolnego wzrostu występuje tendencja do pojawiania się przerzutów już we wczesnym etapie rozwoju guza, i one nierzadko stanowią pierwszy objaw tej choroby[8]. Z drugiej strony przerzuty mogą ujawnić się dopiero po kilku latach od radykalnego leczenia[9][10]. Najczęstszą lokalizacją przerzutów są płuca, typowo zmiany wtórne prezentują się jako bardzo liczne, niepoliczalne drobne zmiany[7]. Rzadziej pojawiają się one w mózgu i kośćcu, a przerzuty do węzłów chłonnych są rzadkie[11][9]. Przerzuty do mózgu są charakterystyczną cechą mięsaka pęcherzykowego, występują one trzykrotnie częściej niż w innych mięsakach tkanek miękkich[7].
Histopatologia



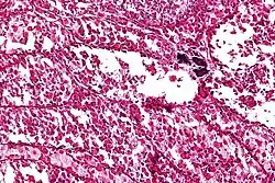
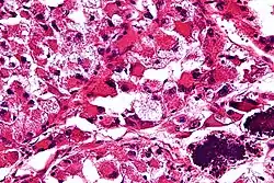
Makroskopowo guz jest słabo odgraniczony, o miękkiej, kruchej konsystencji. Na przekroju jest koloru szarego do żółtawego[5]. Często, szczególnie w dużych zmianach, są obecne duże ogniska martwicy i krwotoków[5][12]. Guz może być otoczony licznymi krętymi naczyniami[5].
W obrazie mikroskopowym charakterystyczna jest obecność gęstego beleczkowania o zróżnicowanej grubości dzielącego utkanie guza na gniazda komórek nowotworowych. W przegrodach łącznotkankowych obecne są cienkościenne naczynia krwionośne wyłożone pojedynczą warstwą spłaszczonych komórek nabłonkowych[5]. W obrębie centrum gniazd komórek widoczna jest martwica i utrata spójności komórek (kohezja), co jest przyczyną utworzenia charakterystycznego pseudopęcherzykowego wzoru utkania[5]. Rzadziej utkanie jest bardziej lite, szczególnie u niemowląt i u dzieci, komórki są ułożone w rozproszone arkusze bez tworzenia układu gniazd i pseudopęcherzyków[12][13].
Komórki nowotworowe są duże, okrągłe lub wielokątne, wyraźnie ograniczone, wykazują pewną niewielką zmienność wielkości i kształtu. Komórki zawierają obfitą ilość eozynofilnej, rzadziej jasnej, drobnoziarnistej cytoplazmy, jedno lub dwa pęcherzykowate jądra komórkowe z jednym jąderkiem[5][12]. Atypia jądrowa jest rzadka[12]. Aktywność mitotyczna jest niewielka i liczba figur mitotycznych jest uboga[5]. Niemal stałą cechą jest inwazja naczyń krwionośnych[12][14]. Barwienie PAS ujawnia wewnątrzkomórkowy glikogen oraz kryształy w kształcie pręcików zbudowane z białka transportującego kwasy monokarboksylowe (MCT1) i CD147[5][15]. Kryształy mają znaczenie diagnostyczne, występują one w około 80% przypadków mięsaka pęcherzykowego[13].
Etiologia
Rola translokacji der(17)t(X;17)(p11;q25)
Mięsak pęcherzykowy charakteryzuje się obecnością niezrównoważonej translokacji der(17)t(X;17)(p11;q25) występującej w większości przypadków tego nowotworu[16][17]. Translokacja zwykle występuje w formie niezrównoważonej, prowadzi do utraty heterogeniczności 11q25[3]. W wyniku translokacji dochodzi do połączenia genu ASPL położonego na chromosomie 17 z genem TFE3 położonym na chromosomie X i powstania genu fuzyjnego ASPL-TFE3[3]. W badaniu Ladanyi i współpracowników translokacja występowała we wszystkich zbadanych przypadkach tego guza[17][3]. Mutacja w formie zrównoważonej występuje w brodakowatym raku nerki[18][3].
W warunkach fizjologicznych gen TFE3 koduje czynnik transkrypcyjny typu helisa-pętla-helisa-suwak leucynowy (bHLHzip) TEF3 (Transcription Enhancing Factor 3), który należy do rodziny czynników transkrypcyjnych MITF-TFE[3]. Gen TFE3 przy współudziale innych czynników transkrypcyjnych odgrywa istotną rolę w kontroli wzrostu i proliferacji[19][3]. Poprzez wpływ na szereg genów kontrolujących metabolizm komórki kodowane przez gen TFE3 białko TEF3 może pełnić funkcję protoonkogenu[3]. Ponadto białko TEF3 może wpływać na oporność na zatrzymanie cyklu komórkowego[19][3]. Funkcja genu ASPL (ASPSCR-1) właściwie pozostaje nieznana[3][14].
W wyniku powstania genu fuzyjnego powstaje białko fuzyjne ASPL-TFE3 (ASPSCR-1-TFE3)[3][14], które pełni rolę nieprawidłowego czynnika transkrypcyjnego[20]. Białko fuzyjne indukuje ekspresję receptora kinazy tyrozynowej MET, który w obecności ligandu czynnika wzrostu hepatocytów (HGF) ulega autofosforylacji i silnie aktywuje szlak MAPK i PI3K/AKT[21][3]. Ostatecznie prowadzi to do stymulacji proliferacji komórek i angiogenezy[13]. Inhibicja MET stanowi potencjalny cel leczenia celowanego[22].
Pochodzenie nowotworu
Pomimo wielu lat badań nie udało się ustalić pochodzenia i linii różnicowania mięsaka pęcherzykowego. Ze względu na brak dowodów na różnicowanie w kierunku nowotworu neuroendokrynnego nie udało się potwierdzić stanowienia przez mięsaka pęcherzykowego złośliwej formy przyzwojaka. Nie potwierdzono związku mięsaka z reninoma. Podobnie, wobec braków swoistych markerów różnicowania, wykluczono pochodzenie miogenne nowotworu[14][23].
Odkrycie wiodącej mutacji wiążącej się z ekspresją nieprawidłowego czynnika transkrypcyjnego wobec podobieństwa morfologicznego do dowolnej struktury sugeruje formowanie określonego zakodowanego fenotypu bez odpowiednika w jakiejkolwiek prawidłowej tkance[14].
Rozpoznanie
Podejrzenie mięsaka tkanek miękkich jest stawiane w oparciu o obraz kliniczny oraz wyniki badań obrazowych. Ostateczne rozpoznanie jest ustalane na podstawie badania histopatologicznego materiału uzyskanego drogą biopsji gruboigłowej lub preparatu pooperacyjnego[24].
Badania obrazowe
Badania obrazowe pozwalają na postawienie klinicznego podejrzenia mięsaka tkanek miękkich i na staranne zaplanowanie biopsji, która z kolei umożliwia wykonanie badania histopatologicznego i ostateczne rozpoznanie choroby[24].
W zdjęciu rentgenowskim (RTG) nowotwór uwidacznia się jako niecharakterystyczny guz w obrębie tkanek miękkich, mogą być obecne niewielkie zwapnienia w guzie, czasem guz może powodować erozję kości[25].
Ultrasonografia (USG) jest wykorzystywana w ramach wstępnej diagnostyki i wymaga przeprowadzenia dokładniejszych badań, takich jak rezonans magnetyczny lub tomografia komputerowa[26]. Badanie może ujawnić obecność guza w głębokich tkankach miękkich o różnej echogeniczności, USG doppler obrazuje wysoki stopień unaczynienia guza[25].
W tomografii komputerowej (TK) mięsak manifestuje się jako izodensyjny lub hipodensyjny guz o ostrych do naciekających obrysach, który ulega wyraźnemu wzmocnieniu kontrastowemu[25][27].
Rezonans magnetyczny (MRI) jest podstawowym badaniem obrazowym dla mięsaków położonych w obrębie kończyn i tułowiu[26]. W obrazach T1-zależnych guz jest izointensywny lub hiperintensywny w stosunku do mięśni szkieletowych, ale mniejszej intensywności niż tkanka tłuszczowa. Typowo w obrazach T2-zależnych guz jest heterogenny o sygnale wyższym niż tkanka tłuszczowa[25][27]. Często widoczne są duże puste przestrzenie odzwierciedlające kręte, poszerzone naczynia guza z szybkim przepływem krwi[28][27]. Guz po podaniu kontrastu gadolinowego ulega niejednorodnemu wzmocnieniu kontrastowemu[25][27].
W celu określenia zaawansowania choroby i wykluczenia obecności przerzutów do płuc wykonuje się zdjęcie rentgenowskie lub tomografię komputerową klatki piersiowej[29]. W przypadku pojawienia się objawów neurologicznych w celu wykrycia przerzutów wykonuje się badania obrazowe mózgowia[30].
Biopsja
Kliniczne i radiologiczne podejrzenia mięsaka tkanek miękkich wymaga uzyskania materiału tkankowego do badania histopatologicznego, który uzyskuje się podczas biopsji. Biopsja może być wykonana metodą biopsji gruboigłowej lub otwartej biopsji nacinającej, ale preferuje się metodę gruboigłową[31]. Ważne jest staranne zaplanowanie zabiegu, tak aby nie utrudniał on wykonania radykalnego zabiegu chirurgicznego, podczas którego usuwa się miejsce wykonania biopsji[26][32].
Badanie histopatologiczne
Materiał pobrany podczas biopsji lub preparat pooperacyjny jest barwiony i oceniany pod mikroskopem. Obraz mikroskopowy mięsaka pęcherzykowego po wybarwieniu H+E jest charakterystyczny. Typową jest obecność pseudopęcherzyków, gniazd komórkowych i łącznotkankowych przegród z cienkościennymi naczyniami[7][13]. Nowotwór różnicuje się przede wszystkim z pęcherzykowym mięśniakomięsakiem prążkowanokomórkowym, przyzwojakiem i przerzutami raka nerki[8].
- Immunohistochemia
Mięsak pęcherzykowy daje negatywną reakcję dla markerów nabłonkowych, w tym dla cytokeratyn i EMA, oraz markerów neuroendokrynnych takich jak chromogranina A i synaptofizyna[14]. U części chorych obecna jest reakcja dla markerów mięśniowych takich jak desmina i aktyna[14]. Wczesne dwa badania donosiły o dodatniej reakcji dla MyoD1, który jest swoistym markerem różnicowania w kierunku tkanki mięśniowej[33][34][14]. Jednak późniejsze badania nie potwierdziły obecności MyoD1 ani myogeniny[35][36][14][36][37][20].
W mięsaku pęcherzykowym obserwuje się silną reakcję jądrową dla TEF3, co jest związane z translokacją der(17)t(X;17) (p11;q25) i z obecnością białka fuzyjnego ASPL-TEF3[13][14]. W prawidłowych tkankach również stwierdza się reakcję dla TEF3, ale jest ona na bardzo niskim poziomie[14]. Reakcja dla TEF3 wykazuje wysoką czułość i swoistość w rozpoznawaniu mięsaka pęcherzykowego[14]. Wartość diagnostyczną ma jedynie ekspresja jądrowa TEF3[14].
- Badania genetyczne
W większości przypadków mięsaka pęcherzykowego występuje swoista niezrównoważona translokacja der(17)t(X;17)(p11;q25)[20]. W wyniku translokacji dochodzi do połączenia genu ASPL położonego na chromosomie 17 z genem TFE3 położonym na chromosomie X i powstania genu fuzyjnego ASPL-TFE3[3]. Badania genetyczne mają znaczenie w rozpoznawaniu przypadków o nietypowym obrazie morfologicznym lub lokalizacji[13][38]. Za pomocą RT-PCR oraz FISH można wykrywać transkrypty genu ASPL-TFE3[13][39]. RT-PCR wykazuje wyższą czułość i swoistość w rozpoznawaniu mięsaka pęcherzykowego niż metody immunohistochemiczne[40].
Leczenie
Podstawową metodą leczenia mięsaka pęcherzykowego jest chirurgiczne wycięcie guza w zakresie zdrowych tkanek[30]. Zabieg operacyjny jest uzupełniany adiuwantową radioterapią[41]. W leczeniu ogólnoustrojowym chemioterapia jest nieskuteczna; stosuje się leki celowane, przede wszystkim sunitynib i pazopanib[30][41].
Leczenie choroby lokalnej (miejscowo ograniczonej)
Podstawową metodą leczenia mięsaka pęcherzykowego jest radykalna chirurgiczna resekcja guza w zakresie zdrowych tkanek z zachowaniem odpowiedniego marginesu chirurgicznego tkanek wolnych od nacieku nowotworowego (resekcja R0)[30]. W leczeniu mięsaków tkanek miękkich zabieg operacyjny polega na szerokiej resekcji mięśnia lub przedziałowej resekcji grupy mięśni według Ennekinga[42][43][44]. Mięsak jest wycinany w jednym bloku tkankowym ze zdrowymi tkankami (en block) wraz z miejscem wykonania biopsji diagnostycznej[43][45].
Standardowym postępowaniem w leczeniu mięsaków tkanek miękkich jest kojarzenie leczenia chirurgicznego z radioterapią[46]. Niewielkie serie chorych sugerują korzyści uzupełniającej radioterapii w poprawie kontroli miejscowej[47][48][49]. W analizie SEER leczenie chirurgiczne skojarzone z radioterapią wiązało się z lepszym przeżyciem w porównaniu do samodzielnego leczenia operacyjnego[50].
Leczenie choroby z przerzutami
Mięsak pęcherzykowy jest nowotworem opornym na klasyczną chemioterapię[30]. Chemioterapia, w tym programy zawierające antracykliny, rzadko wywołuje odpowiedź obiektywną[51][10][47][52][53]. Ze względu na rzadkość choroby nie ustalono standardu jej leczenia[53]. W leczeniu stosuje się leczenie celowane oparte na inhibitorach kinaz tyrozynowych i lekach antyangiogennych[53]. Za lek pierwszego rzutu uważany jest sunitynib[54][55].
Sunitynib jest inhibitorem wielu kinaz tyrozynowych obejmującym w swoim spektrum receptory czynnika wzrostu śródbłonka naczyniowego (VEGFR), płytkopochodnego czynnika wzrostu (PDGFR), czynnika wzrostu fibroblastów (FGFR), KIT i RET[56][57]. We włoskim badaniu na 9 chorych z zaawansowanym mięsakiem pęcherzykowym leczonych sunitynibem w dawce dziennej 37,5 mg u 5 chorych zaobserwowano częściową remisję (PR), u 3 chorych stabilizację choroby (SD). Mediana przeżycia całkowitego wynosiła 19 miesięcy, a mediana przeżycia wolnego od progresji wynosiła 17 miesięcy[56][58][59][60].
Pazopanib jest inhibitorem kinaz tyrozynowych o aktywności skierowanej przeciw receptorom czynnika wzrostu śródbłonka naczyniowego (VEGFR1, VEGFR2, VEGFR3), płytkopochodnego czynnika wzrostu (PDGFR-α i β)[61]. W koreańskim badaniu II fazy na 6 chorych z przerzutowym mięsakiem pęcherzykowym u jednego chorego (16%) zaobserwowano częściową remisję (PR), u pozostałych 5 chorych stabilizację choroby (SD), mediana przeżycia wolnego od progresji (PFS) wynosiła 5,5 miesiąca[62]. W japońskim badaniu oceniającym skuteczność pazopanibu w leczeniu mięsaków tkanek miękkich u 12 chorych na przerzutowego mięsaka pęcherzykowego u 4 chorych zaobserwowano częściową remisję (PR). U 78% leczonych osiągnięto częściową remisję lub długą stabilizację choroby. Mediana przeżycia wolnego od progresji wynosiła 76,6 tygodnia, 90% chorych osiągnęło roczne przeżycia całkowite (OS)[63].
Potencjalnym lekiem w leczeniu mięsaka pęcherzykowego może być cediranib, który jest wysoce selektywnym inhibitorem receptora VEGF (VEGFR-1, VEGFR-2 i VEGFR-3), PDGF i c-Kit[59][a]. Jego skuteczność oceniono w badaniu drugiej fazy na 43 chorych z zaawansowanym mięsakiem pęcherzykowym. W 24 tygodniu leczenia zaobserwowano 84% odsetek kontroli choroby polegający na osiągnięciu częściowej odpowiedzi lub stabilizacji choroby[64][59]. W innym badaniu na 6 chorych z zaawansowanym mięsakiem pęcherzykowym u 4 chorych zaobserwowano długotrwałe odpowiedzi na leczenie[65][66]. Wciąż trwającym badaniu (przewidywane zakończenie badania w 2018 roku) rejestracyjnym NCT01391962 cediranib jest porównywany do sunitynibu[67][59].
Tivantinib (ARQ197) jest wysoce selektywnym inhibitorem MET. W badaniu II fazy na 27 chorych u 78% leczonych stwierdzono stabilizację choroby[68].
U niektórych chorych z chorobą z przerzutami może być uzasadnione wycięcie guza pierwotnego, ponieważ zabieg może poprawić jakość życia. Wycięcie przerzutów (metastazektomia) jest rzadko możliwe[41]. Korzystna może być resekcja pojedynczych przerzutów do mózgu[69][11].
Rokowanie
Pomimo powolnego wzrostu mięsaka rokowanie jest złe[8]. U 80% chorych w różnych etapach choroby pojawiają się przerzuty[3], choć z powodu powolnej progresji przeżycie w chorobie z przerzutami jest dłuższe w porównaniu do innych mięsaków[70]. Ocenia się, że 15% chorych przeżywa 20 lat[8][30]. W analizie SEER 56% chorych osiągnęło pięcioletnie przeżycie. U chorych z guzem o zaawansowaniu lokalnym odsetek przeżycia pięcioletniego wynosił 82%, a u chorych z przerzutami odległymi odsetek przeżyć pięcioletnich wynosił 27%[50]. Rokowanie u dzieci jest lepsze, co częściowo wynika z lokalizacji zmian i wcześniejszemu wykryciu choroby[11]. W badaniu Kayton i współpracowników, pomimo występowania przerzutów u 70% badanych, 83% dzieci osiągnęło pięcioletnie przeżycie[71][13].
Historia
Mięsak pęcherzykowy po raz pierwszy opisał Christopherson w 1952 roku[72][14]. Podał on typowe cechy histologiczne nowotworu, a także nadał nazwę mięsak pęcherzykowy[14].
Klasyfikacja ICD10
| kod ICD10 | nazwa choroby |
|---|---|
| ICD-10: C49 | Nowotwór złośliwy tkanki łącznej i innych tkanek miękkich |
| ICD-10: C49.0 | Tkanka łączna i inne tkanki miękkie głowy, twarzy i szyi |
| ICD-10: C49.1 | Tkanka łączna i inne tkanki miękkie kończyny górnej, łącznie z barkiem |
| ICD-10: C49.2 | Tkanka łączna i inne tkanki miękkie kończyny dolnej, łącznie z biodrem |
| ICD-10: C49.3 | Tkanka łączna i inne tkanki miękkie klatki piersiowej |
| ICD-10: C49.4 | Tkanka łączna i inne tkanki miękkie brzucha |
| ICD-10: C49.5 | Tkanka łączna i inne tkanki miękkie miednicy |
| ICD-10: C49.6 | Tkanka łączna i inne tkanki miękkie tułowia, umiejscowienie nieokreślone |
| ICD-10: C49.8 | Zmiana przekraczająca granice jednego umiejscowienia w obrębie tkanki łącznej i tkanek miękkich |
| ICD-10: C49.9 | Tkanka łączna i inne tkanki miękkie, umiejscowienie nieokreślone |
Uwagi
- ↑ Lek nie jest zarejestrowany w Europie
Przypisy
- 1 2 3 4 Goldblum, Weiss i Folpe 2013 ↓, s. 1070.
- ↑ Rutkowski 2015 ↓, s. 222-227.
- 1 2 3 4 5 6 7 8 9 10 11 12 13 14 15 16 17 B. Mitton, N. Federman. Alveolar soft part sarcomas: molecular pathogenesis and implications for novel targeted therapies. „Sarcoma”. 2012, 2012. DOI: 10.1155/2012/428789. PMID: 22566752.
- 1 2 Fletcher, Unni i Mertens 2002 ↓, s. 208.
- 1 2 3 4 5 6 7 8 9 Goldblum, Weiss i Folpe 2013 ↓, s. 1071.
- ↑ P. H. Lieberman, M. F. Brennan, M. Kimmel, R. A. Erlandson i inni. Alveolar soft-part sarcoma. A clinico-pathologic study of half a century. „Cancer”. 63 (1), s. 1-13, 1989. PMID: 2642727.
- 1 2 3 4 Brennan, Antonescu i Maki 2012 ↓, s. 259.
- 1 2 3 4 Goldblum, Weiss i Folpe 2013 ↓, s. 1077.
- 1 2 Fletcher, Unni i Mertens 2002 ↓, s. 210.
- 1 2 E. Pennacchioli, M. Fiore, P. Collini, S. Radaelli i inni. Alveolar soft part sarcoma: clinical presentation, treatment, and outcome in a series of 33 patients at a single institution.. „Ann Surg Oncol”. 17 (12), s. 3229-3333, 2010. DOI: 10.1245/s10434-010-1186-x. PMID: 20593242.
- 1 2 3 Goldblum, Weiss i Folpe 2013 ↓, s. 1078.
- 1 2 3 4 5 Fletcher, Unni i Mertens 2002 ↓, s. 202.
- 1 2 3 4 5 6 7 8 O. I. Jaber, P. A. Kirby. Alveolar Soft Part Sarcoma. „Arch Pathol Lab Med”. 139 (11), s. 1459-1462, 2015. DOI: 10.5858/arpa.2014-0385-RS. PMID: 26516944.
- 1 2 3 4 5 6 7 8 9 10 11 12 13 14 15 A. L. Folpe, A. T. Deyrup. Alveolar soft-part sarcoma: a review and update. „J Clin Pathol”. 59 (11), s. 1127-1132, 2006. DOI: 10.1136/jcp.2005.031120. PMID: 17071801.
- ↑ Rutkowski 2015 ↓, s. 222.
- ↑ H. Y. Huang, M. Y. Lui, M. Ladanyi. Nonrandom cell-cycle timing of a somatic chromosomal translocation: The t(X;17) of alveolar soft-part sarcoma occurs in G2. „Genes Chromosomes Cancer”. 44 (2), s. 170-176, 2005. DOI: 10.1002/gcc.20229. PMID: 15952162.
- 1 2 M. Ladanyi, M. Y. Lui, C. R. Antonescu, A. Krause-Boehm i inni. The der(17)t(X;17)(p11;q25) of human alveolar soft part sarcoma fuses the TFE3 transcription factor gene to ASPL, a novel gene at 17q25.. „Oncogene”. 20 (1), s. 48-57, 2001. DOI: 10.1038/sj.onc.1204074. PMID: 11244503.
- ↑ P. Argani, C. R. Antonescu, P. B. Illei, M. Y. Lui i inni. Primary renal neoplasms with the ASPL-TFE3 gene fusion of alveolar soft part sarcoma: a distinctive tumor entity previously included among renal cell carcinomas of children and adolescents. „Am J Pathol”. 159 (1), s. 179-192, 2001. DOI: 10.1016/S0002-9440(10)61684-7. PMID: 11438465.
- 1 2 SM. Nijman, E. M. Hijmans, S. El Messaoudi, M. M. van Dongen i inni. A functional genetic screen identifies TFE3 as a gene that confers resistance to the anti-proliferative effects of the retinoblastoma protein and transforming growth factor-beta. „J Biol Chem”. 281 (31), 2006. DOI: 10.1074/jbc.M602312200. PMID: 16737956.
- 1 2 3 Goldblum, Weiss i Folpe 2013 ↓, s. 1076.
- ↑ M. Tsuda, I. J. Davis, P. Argani, N. Shukla i inni. TFE3 fusions activate MET signaling by transcriptional up-regulation, defining another class of tumors as candidates for therapeutic MET inhibition. „Cancer Res”. 67 (3), s. 919-929, 2007. DOI: 10.1158/0008-5472.CAN-06-2855. PMID: 17283122.
- ↑ Rutkowski i Nowecki 2009 ↓, s. 271.
- ↑ Goldblum, Weiss i Folpe 2013 ↓, s. 1078-1079.
- 1 2 Krzakowski i in. 2015 ↓, s. 878–880.
- 1 2 3 4 5 Filip M. Vanhoenacker, Paul M. Parizel, Jan L. Giele: Imaging of Soft Tissue Tumors. Springer, 2017, s. 454-457. ISBN 978-3-319-46679-8.
- 1 2 3 Casali i in. 2014 ↓, s. 1.
- 1 2 3 4 Mark J. Kransdorf, Mark D. Murphey: Imaging of Soft Tissue Tumors. Lippincott Williams & Wilkins, 2006, s. 493-497. ISBN 978-0-7817-4771-4.
- ↑ X. Li, Z. Ye. Magnetic resonance imaging features of alveolar soft part sarcoma: report of 14 cases. „World J Surg Oncol”. 12, s. 36, 2014. DOI: 10.1186/1477-7819-12-36. PMID: 24517100.
- ↑ Krzakowski i in. 2015 ↓, s. 879.
- 1 2 3 4 5 6 Rutkowski 2015 ↓, s. 224.
- ↑ von Mehren i in. 2016 ↓, s. 55.
- ↑ Krzakowski i in. 2015 ↓, s. 880.
- ↑ J. Rosai, P. Dias, D. M. Parham, D. N. Shapiro i inni. MyoD1 protein expression in alveolar soft part sarcoma as confirmatory evidence of its skeletal muscle nature. „Am J Surg Pathol”. 15 (10), s. 974-981, 1991. PMID: 1656801.
- ↑ G. Tallini, D. M. Parham, P. Dias, C. Cordon-Cardo i inni. Myogenic regulatory protein expression in adult soft tissue sarcomas. A sensitive and specific marker of skeletal muscle differentiation. „Am J Pathol”. 144 (4), s. 693-701, 1994. PMID: 8160771.
- ↑ N. P. Wang, C. E. Bacchi, J. J. Jiang, M. A. McNutt i inni. Does alveolar soft-part sarcoma exhibit skeletal muscle differentiation? An immunocytochemical and biochemical study of myogenic regulatory protein expression. „Mod Pathol”. 9 (5), s. 496-506, 1996. PMID: 8733764.
- 1 2 J. A. Gómez, M. B. Amin, J. Y. Ro, M. D. Linden i inni. Immunohistochemical profile of myogenin and MyoD1 does not support skeletal muscle lineage in alveolar soft part sarcoma. „Arch Pathol Lab Med”. 123 (6), s. 503-507, 1999. DOI: <0503:IPOMAM>2.0.CO;2 10.1043/0003-9985(1999)123<0503:IPOMAM>2.0.CO;2. PMID: 10383802.
- ↑ M. H. Cessna, H. Zhou, S. L. Perkins, S. R. Tripp i inni. Are myogenin and myoD1 expression specific for rhabdomyosarcoma? A study of 150 cases, with emphasis on spindle cell mimics. „Am J Surg Pathol”. 25 (9), s. 1150-1157, 2001. PMID: 11688574.
- ↑ M. Zhong, P. De Angelo, L. Osborne, M. Keane-Tarchichi i inni. Dual-color, break-apart FISH assay on paraffin-embedded tissues as an adjunct to diagnosis of Xp11 translocation renal cell carcinoma and alveolar soft part sarcoma. „Am J Surg Pathol”. 34 (6), s. 757-766, 2010. DOI: 10.1097/PAS.0b013e3181dd577e. PMID: 20421778.
- ↑ Rutkowski 2015 ↓, s. 223.
- ↑ K. Tsuji, Y. Ishikawa, T. Imamura. Technique for differentiating alveolar soft part sarcoma from other tumors in paraffin-embedded tissue: comparison of immunohistochemistry for TFE3 and CD147 and of reverse transcription polymerase chain reaction for ASPSCR1-TFE3 fusion transcript. „Hum Pathol”. 43 (3), s. 356-363, 2012. DOI: 10.1016/j.humpath.2011.05.004. PMID: 21835426.
- 1 2 3 Brennan, Antonescu i Maki 2012 ↓, s. 262.
- ↑ Rutkowski i Nowecki 2009 ↓, s. 67.
- 1 2 Rutkowski 2015 ↓, s. 55.
- ↑ Krzakowski i in. 2015 ↓, s. 866.
- ↑ Rutkowski i Nowecki 2009 ↓, s. 69.
- ↑ Rutkowski i Nowecki 2009 ↓, s. 87.
- 1 2 K. Ogura, Y. Beppu, H. Chuman, A. Yoshida i inni. Alveolar soft part sarcoma: a single-center 26-patient case series and review of the literature. „Sarcoma”. 2012, 2012. DOI: 10.1155/2012/907179. PMID: 22666000.
- ↑ N. Sherman, M. Vavilala, R. Pollock, M. Romsdahl i inni. Radiation therapy for alveolar soft-part sarcoma. „Med Pediatr Oncol”. 22 (6), s. 380-383, 1994. PMID: 7512190.
- ↑ M. E. Anderson, F. J. Hornicek, M. C. Gebhardt, K. A. Raskin i inni. Alveolar soft part sarcoma: a rare and enigmatic entity. „Clin Orthop Relat Res”. 438, s. 144-148, 2005. PMID: 16131883.
- 1 2 H. Wang, A. Jacobson, D. C. Harmon, E. Choy i inni. Prognostic factors in alveolar soft part sarcoma: A SEER analysis. „J Surg Oncol”. 113 (5), s. 581-586, Apr 2016. DOI: 10.1002/jso.24183. PMID: 26804150.
- ↑ P. Reichardt, T. Lindner, D. Pink, P. C. Thuss-Patience i inni. Chemotherapy in alveolar soft part sarcomas. What do we know?. „Eur J Cancer”. 39 (11), s. 1511-1516, 2003. PMID: 12855256.
- ↑ A. Ogose, Y. Yazawa, T. Ueda, T. Hotta i inni. Alveolar soft part sarcoma in Japan: multi-institutional study of 57 patients from the Japanese Musculoskeletal Oncology Group. „Oncology”. 65 (1), s. 7-13, 2003. DOI: 10.1159/000071199. PMID: 12837977.
- 1 2 3 D. Orbach, B. Brennan, M. Casanova, C. Bergeron i inni. Paediatric and adolescent alveolar soft part sarcoma: A joint series from European cooperative groups. „Pediatr Blood Cancer”. 60 (11), s. 1826-1832, 2013. DOI: 10.1002/pbc.24683. PMID: 23857870.
- ↑ von Mehren i in. 2016 ↓, s. 42.
- ↑ W. L. Read, F. Williams. Metastatic Alveolar Soft Part Sarcoma Responsive to Pazopanib after Progression through Sunitinib and Bevacizumab: Two Cases. „Case Rep Oncol”. 9 (3). s. 639-643. DOI: 10.1159/000450545. PMID: 27920695.
- 1 2 S. Stacchiotti, T. Negri, N. Zaffaroni, E. Palassini i inni. Sunitinib in advanced alveolar soft part sarcoma: evidence of a direct antitumor effect. „Ann Oncol”. 22 (7), s. 1682-1690, 2011. DOI: 10.1093/annonc/mdq644. PMID: 21242589.
- ↑ S. George, P. Merriam, R. G. Maki, AD. Van den Abbeele i inni. Multicenter phase II trial of sunitinib in the treatment of nongastrointestinal stromal tumor sarcomas. „J Clin Oncol”. 27 (19), s. 3154-3160, Jul 2009. DOI: 10.1200/JCO.2008.20.9890. PMID: 19451429.
- ↑ S. Stacchiotti, E. Tamborini, A. Marrari, S. Brich i inni. Response to sunitinib malate in advanced alveolar soft part sarcoma. „Clin Cancer Res”. 15 (3), s. 1096-1104, 2009. DOI: 10.1158/1078-0432.CCR-08-2050. PMID: 19188185.
- 1 2 3 4 S. Radaelli, S. Stacchiotti, P. G. Casali, A. Gronchi. Emerging therapies for adult soft tissue sarcoma. „Expert Rev Anticancer Ther”. 14 (6), s. 689-704, Jun 2014. DOI: 10.1586/14737140.2014.885840. PMID: 24555529.
- ↑ Rutkowski 2015 ↓, s. 224-225.
- ↑
P. Heudel, P. Cassier, O. Derbel, A. Dufresne i inni. Pazopanib for the treatment of soft-tissue sarcoma. „Journal of Clinical Pharmacology”. 4, s. 65–70, 2012. DOI: 10.2147/CPAA.S33195. PMID: 23204874. PMCID: PMC3508654. - ↑ M. Kim, T. M. Kim, B. Keam, D-W Kim i inni. A phase II trial of pazopanib in patients with metastatic alveolar soft part sarcoma. „Annals of Oncology”, 2016. DOI: 10.1093/annonc/mdw388.14. [zarchiwizowane z adresu].
- ↑ T. Nakamura, A. Matsumine, A. Kawai, N. Araki i inni. The clinical outcome of pazopanib treatment in Japanese patients with relapsed soft tissue sarcoma: A Japanese Musculoskeletal Oncology Group (JMOG) study. „Cancer”. 122 (9), s. 1408-1416, 2016. DOI: 10.1002/cncr.29961. PMID: 26970174.
- ↑ S. Kummar, D. Allen, A. Monks, E. C. Polley i inni. Cediranib for metastatic alveolar soft part sarcoma. „J Clin Oncol”. 31 (18), s. 2296-2302, 2013. DOI: 10.1200/JCO.2012.47.4288. PMID: 23630200.
- ↑ I. Judson, M. Scurr, K. Gardner, E. Barquin i inni. Phase II study of cediranib in patients with advanced gastrointestinal stromal tumors or soft-tissue sarcoma. „Clin Cancer Res”. 20 (13), s. 3603-3612, 2014. DOI: 10.1158/1078-0432.CCR-13-1881. PMID: 24714778.
- ↑ Rutkowski 2015 ↓, s. 225.
- ↑ Sunitinib or Cediranib for Alveolar Soft Part Sarcoma. [dostęp 2017-05-11].
- ↑ A. J. Wagner, J. M. Goldberg, S. G. Dubois, E. Choy i inni. Tivantinib (ARQ 197), a selective inhibitor of MET, in patients with microphthalmia transcription factor-associated tumors: results of a multicenter phase 2 trial. „Cancer”. 118 (23), s. 5894-5902, 2012. DOI: 10.1002/cncr.27582. PMID: 22605650.
- ↑ C. H. Wang, N. Lee, L. S. Lee. Successful treatment for solitary brain metastasis from alveolar soft part sarcoma. „J Neurooncol”. 25 (2), s. 161-166, 1995. PMID: 8543972.
- ↑ Brennan, Antonescu i Maki 2012 ↓, s. 263.
- ↑ M. L. Kayton, P. Meyers, L. H. Wexler, W. L. Gerald i inni. Clinical presentation, treatment, and outcome of alveolar soft part sarcoma in children, adolescents, and young adults. „J Pediatr Surg”. 41 (1), s. 187-193, 2006. DOI: 10.1016/j.jpedsurg.2005.10.023. PMID: 16410131.
- ↑ WM. Christopherson, FW. Foote, FW. Stewart. Alveolar soft-part sarcomas; structurally characteristic tumors of uncertain histogenesis. „Cancer”. 5 (1), s. 100-111, 1952. PMID: 14886902.
Bibliografia
- John R. Goldblum, Sharon W. Weiss, Andrew L. Folpe: Enzinger and Weiss's Soft Tissue Tumors. Wyd. 6. Elsevier Health Sciences, 2013. ISBN 978-0-323-08834-3.
- Margaret von Mehren, R. Lor Randall, Robert S. Benjamin, Sarah Boles i inni. Soft Tissue Sarcoma Version 1.2016. „J Natl Compr Canc Netw”, 2016.
- Christopher D.M. Fletcher, K. Krishnan Unni, Fredrik Mertens: Pathology and Genetics of Tumours of Soft Tissue and Bone. Lyon: IARC Press, 2002.
- Maciej Krzakowski, Piotr Potemski, Krzysztof Warzocha, Pior Wysocki: Onkologia kliniczna. T. II. Via Medica, 2015. ISBN 978-83-7599-796-5.
- Murray F. Brennan, Cristina R. Antonescu, Robert G. Maki: Management of Soft Tissue Sarcoma. Springer Science & Business Media, 2012.
- Piotr Rutkowski: Biblioteka chirurga onkologa. Mięsaki tkanek miękkich. Via Medica, 2015. ISBN 978-83-7599-864-1.
- Piotr Rutkowski, Zbigniew Nowecki: Mięsaki tkanek miękkich u dorosłych. Medical Tribune, 2009. ISBN 978-83-60135-69-3.
- PG. Casali, JY. Blay, A. Bertuzzi, S. Bielack i inni. Soft tissue and visceral sarcomas: ESMO Clinical Practice Guidelines for diagnosis, treatment and follow-up. „Ann Oncol”. 25 Suppl 3, Sep 2014. DOI: 10.1093/annonc/mdu254. PMID: 25210080.
Przeczytaj ostrzeżenie dotyczące informacji medycznych i pokrewnych zamieszczonych w Wikipedii.