Naczyniakomięśniakotłuszczak
| angiomyolipoma | |
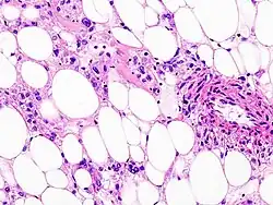
![]() Obraz histologiczny naczyniakomięśniakotłuszczaka. Preparat z nefrektomii | |
| Klasyfikacje | |
| ICD-10 |
D30.0 |
|---|---|
Naczyniakomięśniakotłuszczak (łac. angiomyolipoma, ang. AML) – łagodny guz nerki. Naczyniakomięśniakotłuszczaki są najczęstszymi łagodnymi guzami nerek. Większość z nich wykrywana jest przypadkowo podczas badań obrazowych. Zazwyczaj składają się z mięśni gładkich, naczyń krwionośnych i tkanki tłuszczowej. Ze względu na obfitą tkankę tłuszczową dają charakterystyczny wygląd w badaniach obrazowych, dzięki czemu często są łatwe do zdiagnozowania. Charakter guza jest przedmiotem kontrowersji: jedni autorzy uważają, że jest to pierwotny łagodny nowotwór nerki pochodzenia nienabłonkowego, inni, że jest to zaburzenie rozwojowe typu hamartoma albo choristoma[1].
Epidemiologia
Guz występuje u 0,3-3% populacji[2], czterokrotnie częściej u kobiet. W około 20% przypadków guz występuje jako objaw stwardnienia guzowatego (sclerosis tuberosa), w pozostałych 80% przypadków występuje sporadycznie; zwykle jest pojedynczy i bezobjawowy.
Morfologia
Makroskopowo guz przypomina raka nerki, ma żółtą barwę i znajdują się w nim ciemne ogniska krwotoczne. Zgodnie z nazwą, guz zawiera tkankę tłuszczową, mięśnie gładkie i naczynia krwionośne. Naczynia są grubościenne i często tętniakowato poszerzone. W obrazie histologicznym widać przemieszane komórki tkanki tłuszczowej, włókna mięśni gładkich i naczynia; miocyty mogą wykazywać polimorfizm, a niekiedy obecne są w nich figury podziałów mitotycznych. Guz daje dodatnią reakcję immunohistochemiczną z przeciwciałami HMB-45, co ułatwia różnicowanie go z rakiem nerki albo onkocytomą.
Diagnostyka
Naczyniakomięśniakotłuszczaki nerek zwykle są wykrywane przypadkowo w badaniach obrazowych jamy brzusznej: ultrasonografii, rentgenowskim zdjęciu przeglądowym, tomografii komputerowej albo rezonansie magnetycznym. W badaniu USG widać w nerce obszary o zwiększonej echogeniczności, chociaż krwotoki do guza, martwica i poszerzone miedniczki nerkowe mogą zmieniać echogeniczność zmiany. Podobny obraz dają też inne guzy nerek, takie jak rak nerki, tłuszczak nerki, guz Wilmsa, potworniak i onkocytoma.
W badaniu RTG jamy brzusznej niekiedy można stwierdzić obecność guza, zwłaszcza gdy zawartość tkanki tłuszczowej w naczyniakomięśniakotłuszczaku jest znaczna. Badanie to jednak nie jest zalecane do obrazowania nerek u pacjentów u których spodziewa się zmian tego typu, ze względu na jego niewielką czułość i specyficzność.
W badaniu TK naczyniakomięśniakotłuszczaki są zazwyczaj dobrze odgraniczonymi guzami w warstwie korowej nerki; uważa się, że wartości sygnału mniejsze niż -20 jednostek Hounsfielda (HU) potwierdzają diagnozę naczyniakomięśniakotłuszczaka. Rzadko guz wapnieje, co może powodować podwyższenie sygnału ponad tę granicę[3].
W badaniu MRI, zarówno w przypadku obrazów T1- i T2-zależnych, duża ilość tkanki tłuszczowej powoduje, że guz daje silny sygnał, o podobnej intensywności jak ten pochodzący z tkanki tłuszczowej okołonerkowej.
Leczenie
Uważa się, że guzy nie przekraczające średnicy 3 cm (według innych autorów 4 cm) wymagają jedynie okresowej kontroli radiologicznej. Większe guzy są wskazaniem do embolizacji albo częściowej nefrektomii, ponieważ wraz ze średnicą guza rośnie ryzyko krwotoku z guza, mogącego być nawet przyczyną śmierci.
Przypisy
- ↑ Saxena A, Alport EC, Custead S, Skinnider LF. Molecular analysis of clonality of sporadic angiomyolipoma. „J Pathol”. 189. 1, s. 79-84, 1999. PMID: 10451492.
- ↑ Rakowski SK, Winterkorn EB, Paul E, Steele DJ, Halpern EF, Thiele EA. Renal manifestations of tuberous sclerosis complex: Incidence, prognosis, and predictive factors. „Kidney Int”. 70. 10, s. 1777-82, 2006. PMID: 17003820.
- ↑ Kim JK, Park SY, Shon JH, Cho KS. Angiomyolipoma with minimal fat: differentiation from renal cell carcinoma at biphasic helical CT. „Radiology”. 230. 3, s. 677-84, 2004. PMID: 14990834.
Bibliografia
- Choroby wewnętrzne. Przyczyny, rozpoznanie i leczenie, tom I. Andrzej Szczeklik (red.), Jerzy Alkiewicz, Kraków: Wydawnictwo Medycyna Praktyczna, 2005, ISBN 83-7430-031-0, OCLC 830805120.
- Jerzy Stachura, Wenancjusz Domagała Patologia znaczy słowo o chorobie. Tom II - Patologia narządowa. Wydawnictwo PAU, Kraków 2005, ISBN 83-88857-91-6.
- Wajed JR, Taylor-Robinson SD, Jackson JE, Stamp GW. Retroperitoneal haemorrhage in renal angiomyolipoma causing hepatic functional decompensation: a case report. „J Med Case Reports”. 1. 82, 2007. DOI: 10.1186/1752-1947-1-82. PMID: 17822527.
Przeczytaj ostrzeżenie dotyczące informacji medycznych i pokrewnych zamieszczonych w Wikipedii.
.jpg)