Neurocysticerkoza
| neurocysticercosis | |
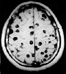
![]() Obraz neurocysticerkozy w MRI | |
| Powikłania |
tasiemczyca |
|---|---|
| Czas trwania |
niedostateczna |
| Leki | |
| Czynnik chorobotwórczy | |
| Nazwa | |
| Epidemiologia | |
| Droga szerzenia | |
| Klasyfikacje | |
| ICD-11 |
1F70.0 |
| ICD-10 |
B69.1 |
| MeSH | |
Neurocysticerkoza (łac. neurocysticercosis) – pasożytnicza choroba odzwierzęca ośrodkowego układu nerwowego (OUN), wywoływana przez larwę tasiemca uzbrojonego (Taenia solium) – wągra (cysticerkus, łac. cysticercus). Neurocysticerkoza najczęściej występuje u osób w wieku 30–50 lat.
Około 20% przypadków neurocysticerkozy stanowi wągrzyca oka (ICD-10: B69.2), w której wągry zasiedlają najczęściej tkankę podsiatkówkową, ciało szkliste oraz przednią część oka. Ten rodzaj cysticerkozy objawia się zmianami zapalnymi (np. zapalenie tęczówki) i uciskowymi, powodującymi ból wewnątrzgałkowy, błyski światła, upośledzenie widzenia, a w skrajnych przypadkach nawet utratę wzroku.
.tif.jpg)
Żywicielem pośrednim tasiemca uzbrojonego jest przeważnie świnia domowa, choć może być nim również dzik, niedźwiedź brunatny oraz niektóre małpy wąskonose i szerokonose. Zakażenie następuje drogą pokarmową, poprzez spożycie zakażonej wieprzowiny (lub mięsa innego zwierzęcia). Do ludzkiego mózgowia może jednorazowo przedostać się 1–2000 wągrów (czasem nawet więcej), które lokalizują głównie w korze mózgu (najczęściej w płatach czołowych i skroniowych oraz wzdłuż tętnicy środkowej mózgu). W mniejszych ilościach wągry zasiedlają także opony mózgowo-rdzeniowe i układ komorowy, a niekiedy również w pień mózgu. Liczebność larw pasożyta w organizmie wpływa na intensywność oraz przebieg choroby. W przeciwieństwie do rozsianej wągrzycy (cysticerkozy) mięśniowej, w neurocysticerkozie wągry nie otorbiają się. Cysticerkusy zlokalizowane w przestrzeni podpajęczynówkowej oraz komorze IV nazywają się cysticercus racemosus, a w ich wnętrzu znajdują się pęcherzyki (niezawierające skoleksów), których wzrost może przypominać przerzuty nowotworowe.
W 50% przypadków neurocysticerkoza przebiega bezobjawowo. U pozostałych pacjentów pierwsze objawy często pojawiają się dopiero po kilku latach od zakażenia. Do najbardziej typowych należą: drgawki (zwykle świadczą o zajęciu przez wągry komór mózgu, mogą prowadzić do stanu padaczkowego lub być sporadyczne), wzrost ciśnienia śródczaszkowego (zwykle świadczy o zajęciu przez wągry pnia mózgu, powoduje postępujące bóle głowy, wymioty, zaburzenia widzenia i niedowłady) oraz zaburzenia psychoorganiczne (wysuwające się z czasem na pierwszy plan, wyrażające się niepokojem lub spowolnieniem psychoruchowym, zaburzeniami orientacji, halucynacjami, a w bardziej zaawansowanych stadiach także apatią, amnezją lub demencją). W trakcie choroby występują zarówno okresy zaostrzeń objawów, jak i remisji, co ma najprawdopodobniej związek z obumieraniem pojedynczych wągrów.
Epidemiologia
Jeszcze w latach 40. i 50. XX wieku częstotliwość zachorowań na wągrzycę była znaczna (zwłaszcza na obszarach wiejskich, z uwagi na panujące tam kiepskie warunki sanitarne). Z biegiem czasu, dzięki podniesieniu poziomu higieny osobistej na obszarach wiejskich, zamkniętego chowu zwierząt i obowiązkowym poubojowym badaniom sanitarnym, liczba zakażeń w Europie stale malała. W 2011 r. chorobowość w Polsce utrzymywała się na poziomie kilku przypadków rocznie.
W latach 1996–1997 w Polsce odsetek zakażonej trzody chlewnej wynosił średnio 0,0003% (3 świnie na 10 tys.), przy czym zauważalnie największy był w województwie radomskim oraz pilskim. Znacznie częstsze (miejscami nawet do 25%) zakażenia świń występują natomiast w Ameryce Południowej i Środkowej, Afryce, Indiach oraz Chinach.
Bibliografia
- Antoni Deryło (red.), Parazytologia i akaroentomologia medyczna, Warszawa: Wydawnictwo Naukowe PWN, 2011, s. 213–219, ISBN 978-83-01-13804-2.
Przeczytaj ostrzeżenie dotyczące informacji medycznych i pokrewnych zamieszczonych w Wikipedii.
