Oponiak osłonek nerwu wzrokowego


Oponiak osłonek nerwu wzrokowego (ang. optic nerve sheath meningioma, ONSM) – rzadki nowotwór wywodzący się z komórek pajęczynówki nerwu wzrokowego. Opona pajęcza otacza nerw w odcinku wewnątrzoczodołowym i w kanale wzrokowym; częstsza jest ta pierwsza lokalizacja (92%)[1]. Pierwotnie zlokalizowane w przednim dole czaszki oponiaki naciekające odcinek wewnątrzczaszkowy nerwu i wkraczające do oczodołu określane są niekiedy jako wtórne ONSM; jest to znacznie częstsza sytuacja niż pierwotny guz osłonki nerwu. Rzadko, guz wywodzi się z ektopowych komórek opony pajęczej, rozproszonych w oczodole (w mięśniach zewnętrznych gałki ocznej lub ścianach oczodołu). Guzy z tych rozproszonych komórek meningotelialnych nie mają połączenia z osłonką nerwu wzrokowego.
Epidemiologia
ONSM stanowią około 2% guzów oczodołu i 1-2% wszystkich oponiaków. Obustronne i wieloogniskowe ONSM są charakterystyczne dla nerwiakowłókniakowatości typu 2 (NF2)[1][2][3]. Średnia wieku rozpoznania guza to 42 lata dla kobiet i 36 lat dla mężczyzn; wiek zachorowania to szeroka granica 3-80 lat[1]. Podobnie jak wewnątrzczaszkowe oponiaki, ONSM są nieco częstsze u kobiet (61%).
Objawy i przebieg
Charakterystyczna jest triada objawów (triada Hoyta-Spencera): stopniowa utrata wzroku, zanik tarczy nerwu wzrokowego, i przeciek siatkówkowo-rzęskowy[4].
Rozpoznanie
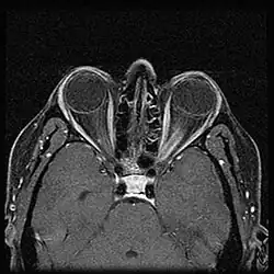
Obrazowanie rezonansu magnetycznego jest złotym standardem w diagnostyce ONSM[5]. Tomografia komputerowa może uwidocznić guz nerwu, ale tylko MRI, szczególnie z kontrastem gadolinowym, pozwala prześledzić przebieg nerwu w kanale wzrokowym. Postępy w technikach obrazowych pozwoliły na stawianie rozpoznania na ich podstawie w połączeniu z obrazem klinicznym, tym samym oddalając konieczność biopsji guza.
Różnicowanie
W diagnostyce ONSM należy brać pod uwagę hiperplazję osłonki nerwu w przebiegu glejaka nerwu wzrokowego[3].
Leczenie
Celem leczenia jest zachowanie lub poprawienie wzroku. Nierzadko nie wdraża się leczenia poprzestając na obserwacji; wieloletni przebieg choroby bez pogorszenia widzenia nie jest rzadki. Standardowe leczenie polega na radioterapii i (lub) resekcji guza.
Przypisy
- 1 2 3 Dutton JJ: Optic nerve sheath meningiomas. Surv Ophthalmol 37:167–183, 1992
- ↑ Berman D, Miller NR: New concepts in the management of optic nerve sheath meningiomas. Ann Acad Med Singapore 35:168–174, 2006
- 1 2 Carrasco JR, Penne RB: Optic nerve sheath meningiomas and advanced treatment options. Curr Opin Ophthalmol 15:406–410, 2004
- ↑ Bertil Lindblom, Charles L. Truwit, William F. Hoyt, Optic nerve sheath meningioma. Definition of intraorbital, intracanalicular, and intracranial components with magnetic resonance imaging., „Ophthalmology”, 99 (4), 1992, s. 560-6, DOI: 10.1016/S0161-6420(92)31932-3, PMID: 1584575.
- ↑ Turbin RE, Pokorny K: Diagnosis and treatment of orbital optic nerve sheath meningioma. Cancer Control 11:334–341, 2004
Bibliografia
- Eddleman CS, Liu JK. Optic nerve sheath meningioma: current diagnosis and treatment. „Neurosurg Focus”. 23. 5, s. E4, 2007. DOI: 10.3171/FOC-07/11/E4. PMID: 18004966.
- Bosch MM, Wichmann WW, Boltshauser E, Landau K. Optic nerve sheath meningiomas in patients with neurofibromatosis type 2. „Arch Ophthalmol”. 124. 3, s. 379-85, 2006. PMID: 16534058.
Linki zewnętrzne
- Mitchell V Gossman: Meningioma, Optic Nerve Sheath. eMedicine.
Przeczytaj ostrzeżenie dotyczące informacji medycznych i pokrewnych zamieszczonych w Wikipedii.