Opryszczkowe zapalenie mózgu
| encephalitis herpetica | |
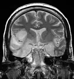
![]() MRI głowy w sekwencji T2-zależnej, w projekcji czołowej, u 33-letniej kobiety z opryszczkowym zapaleniem mózgu | |
| Klasyfikacje | |
| ICD-10 | |
|---|---|
Opryszczkowe zapalenie mózgu (łac. encephalitis herpetica, ang. Herpes simplex encephalitis, HSE) – najczęstszy rodzaj wirusowego zapalenia mózgu, wywołany wirusem opryszczki. Szacowana roczna zapadalność wynosi około 1 na 500 000[1]. Maksimum zachorowalności jest w grupie poniżej 20 lat, zwykle jako zakażenie pierwotne, i po 50. roku życia, zazwyczaj jako reaktywacja infekcji. Śmiertelność nieleczonych wynosi do 70%[1], leczonych spada do 20%. Większość przeżywających ma dolegliwości neurologiczne.
Objawy
Opryszczkowe zapalenie daje podobne objawy jak inne zakażenia mózgu, ropień mózgu lub nowotwór. Typowe objawy to[2]
- zaburzenia mowy (76%):
- zmiany osobowości (97%)
- gorączka (92%)
- niezborność (40%)
- napady padaczkowe (38%)
- zlokalizowane (28%)
- ogólne (10%)
- niedowład połowiczy (38%)
- upośledzenie funkcji nerwów czaszkowych (32%)
- zmniejszenie pola widzenia (14%)
- obrzęk tarczy nerwu wzrokowego (14%).
Rozpoznanie
Potwierdzeniem rozpoznania jest identyfikacja wirusa opryszczki w płynie mózgowo-rdzeniowym przy zastosowaniu PCR – czułość metody wynosi 94–98%, specyficzność 98–100%.
W płynie tym:
- stężenie leukocytów wynosi 10–500 komórek/µl, średnio 100 komórek/µl,
- z powodu krwotoków wywołanych zakażeniem stężenie erytrocytów może być podwyższone do 10–500 komórek/µl,
- stężenie białka jest podwyższone do 60–700 mg/dl, średnio 100 mg/dl
U 5–10% pacjentów, zwłaszcza dzieci, początkowe wartości mogą być prawidłowe, ale z czasem rośnie liczba komórek i stężenie białek.
Negatywny wynik PCR bywa z powodu małego stężenia wirusowego DNA w ciągu pierwszych 3 dni od wystąpienia objawów, albo z powodu obecności krwi, która zakłóca PCR.
Rezonans magnetyczny mózgu pokazuje zmiany u 90% chorych, tomografia komputerowa u ok. 2/3. Elektroencefalografia wykrywa zmiany, ale jest mało specyficzna (32%), czułość metody wynosi 84%.
Leczenie
Leczenie polega na podawaniu acyklowiru[1].
Rokowanie
U 2–5% nieleczonych przyczynowo osób funkcjonowanie mózgu wraca do normy[3].
Przypisy
- 1 2 3 R.J. Whitley. Herpes simplex encephalitis: adolescents and adults. „Antiviral Research”. 71 (2–3), s. 141–148, 2006. DOI: 10.1016/j.antiviral.2006.04.002. PMID: 16675036.
- ↑ R.J. Whitley, S.J. Soong, C. Linneman, C. Liu i inni. Herpes simplex encephalitis. Clinical Assessment. „JAMA”. 247 (3), s. 317-320, 1982. DOI: 10.1001/jama.1982.03320280037026. PMID: 6275134.
- ↑ R.J. Whitley, J.W. Gnann. Viral encephalitis: familiar infections and emerging pathogens. „Lancet”. 359 (9305), s. 507-513, 2002. DOI: 10.1016/S0140-6736(02)07681-X. PMID: 11853816.
Przeczytaj ostrzeżenie dotyczące informacji medycznych i pokrewnych zamieszczonych w Wikipedii.
