Osierdzie

Osierdzie (worek osierdziowy, worek okołosercowy) (łac. saccus pericardiacus) – podwójna błona surowicza workowatego kształtu, obejmująca w postaci dwuściennego worka serce kręgowców i zdecydowanej większości mięczaków.
Mięczaki
U jednopłytkowców serce jest parzyste, w związku z czym występują dwa oddzielne worki osierdziowe. U chitonów worek osierdziowy jest obszerny. U tarczkonogów i bezpłytkowców osierdzie jest jednolite. U części ślimaków worek ten może nie występować wcale. U małży w rozwoju zarodkowym komora serca wraz z osierdziem zaginają się ku dołowi, tak że później obejmują jelito tylne. Łódkonogi i głowonogi również posiadają osierdzie[1].
Kręgowce
U ssaków zewnętrzna ściana osierdzia, czyli blaszka ścienna osierdzia, jest wzmocniona od zewnątrz warstwą włóknistą.
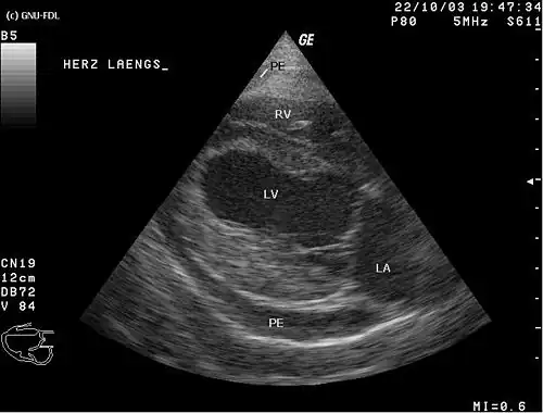
Serce jest umieszczone w worku osierdziowym, w którym w warunkach fizjologicznych jest bardzo mała ilość płynu surowiczego.
Ściana serca składa się z trzech warstw:
- zewnętrzna – osierdzie (ew. nasierdzie) (łac. epicardium)
- środkowa – śródsierdzie (łac. myocardium)
- wewnętrzna – wsierdzie (łac. endocardium).
Między wewnętrzną blaszką trzewną osierdzia, pokrywającą mięsień sercowy, a zewnętrzną blaszką ścienną występuje wąska szczelina – jama osierdzia, wypełniona płynem surowiczym (zwilża on blaszki osierdzia, ocierające się o siebie w czasie pracy serca). Zapalenie osierdzia ostre lub przewlekłe przebiega zwykle z wysiękiem, niekiedy (zapalenie osierdzia zaciskające) z powstawaniem grubych zrostów i powstawaniem tzw. serca opancerzonego, upośledzającego znacznie jego czynność; przyczyną są m.in. zakażenia, rzuty choroby reumatycznej, gruźlica.
Budowa osierdzia człowieka
Osierdzie składa się z dwóch części – osierdzia surowiczego i osierdzia włóknistego. Pomiędzy blaszką trzewną i ścienną osierdzia surowiczego znajduje się jama osierdzia zawierającą niewielką ilość płynu surowiczego[2].
Osierdzie surowicze (łac. pericardium serosum) – utworzone z cienkiej błony, która złożona jest z dwóch blaszek przechodzących jedna w drugą, osierdzia trzewnego i osierdzia ściennego. Osierdzie ścienne zwane blaszką ścienną wyściela wewnętrzną powierzchnię osierdzia włóknistego, w okolicy dużych naczyń krwionośnych przechodzi na powierzchnię serca, tworząc osierdzie trzewne zwane blaszką trzewną lub inaczej nasierdziem. Pomiędzy dwiema blaszkami osierdzia surowiczego znajduje się jama osierdzia, wypełniona płynem, który umożliwia wraz ze śliskością obu warstw swobodne przesuwanie się komór serca w osierdziu podczas ich skurczów.
Osierdzie włókniste (łac. pericardium fibrosum) – tworzy warstwę zewnętrzną i składa się z tkanki łącznej włóknistej zbitej. Spełnia następujące funkcje – zapewnia sercu ochronę w razie urazu, łączy mostek i przeponę za pomocą włóknistych połączeń, poprzez połączenia ze ścianami tętnic, które przechodzą przez osierdzie włókniste pozwala "zakotwiczyć" serce w otaczających tkankach, osierdzie włókniste nie dopuszcza do rozszerzenia serca ponad bezpieczne dla niego granice pod wpływem napływającej krwi.
W miejscu przejścia blaszki ściennej osierdzia surowiczego w blaszkę trzewną występują zatoki osierdzia - zatoka poprzeczna osierdzia i zatoka skośna osierdzia[3].
Przypisy
- ↑ Czesław Jura: Bezkręgowce. Podstawy morfologii funkcjonalne, systematyki i filogenezy. Wyd. 3. Warszawa: PWN, 2005, s. 637, 640, 644, 648, 662, 680.
- ↑ Adam Bochenek, Michał Reicher: Anatomia człowieka. T. III. Warszawa: PZWL, 2010, s. 102-103. ISBN 978-83-200-4251-1.
- ↑ Michael Schunke: Prometeusz Atlas anatomii człowieka Tom 2. Wrocław: Med-Pharm Polska, 2017, s. 421. ISBN 978-83-7846-042-8.
Przeczytaj ostrzeżenie dotyczące informacji medycznych i pokrewnych zamieszczonych w Wikipedii.