Ostroga piętowa
| Calcar calcanei | |
![]() | |
| Klasyfikacje | |
| ICD-10 | |
|---|---|

Ostroga piętowa (łac. calcar calcanei) – zmiany zwyrodnieniowe okolicy wyrostka przyśrodkowego guza piętowego kości piętowej, będące przyczyną powstania narośli kostnej, która powoduje zapalenie rozcięgna podeszwowego i ból ograniczający lub uniemożliwiający poruszanie się.
Objawy
Początkowym objawem jest ból okolicy pięty pojawiający się po przeciążeniu stopy, następnie po każdym obciążeniu i wreszcie ból spoczynkowy.
Etiologia
W wyniku ciągłego drażnienia okolicy kości piętowej powstaje narośl kostna, która wywołuje przewlekły stan zapalny. Czynnikami, które sprzyjają chorobie są[1]:
Rozpoznanie
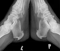
W czasie badania palpacyjnego stwierdza się bolesność uciskową powyżej wyrostka przyśrodkowego guza piętowego. Czasami występuje również ból sąsiadującego pasma rozcięgna podeszwowego. Potwierdzenie rozpoznania uzyskuje się dzięki wykonaniu RTG stóp, które wykazuje ostrą dziobiastą narośl kostną biegnącą od guza pięty ku przodowi, o różnym stopniu nasilenia[2].
Leczenie
Choroba jest trudna w leczeniu, dlatego już samo zmniejszenie dolegliwości jest sukcesem. Stosuje się wkładki ortopedyczne do obuwia, których zadaniem jest odciążanie nacisku w obrębie pięty oraz rehabilitację leczniczą z zastosowaniem masaży i ultradźwięków (terapia ultradźwiękowa oraz leczenie falą uderzeniową to skuteczne metody walki z dolegliwością, jednak należy pamiętać, że istnieje możliwość nawrotu choroby). W przypadku nasilonych dolegliwości wykorzystuje się niesteroidowe leki przeciwzapalne w postaci maści. Leczenie jest długotrwałe i obarczone dużym ryzykiem niepowodzenia. W świeżych przypadkach można zastosować miejscowe obstrzykiwanie punktu bolesnego lekami przeciwzapalnymi (tak zwaną blokadę), najczęściej glikokortykosteroidami (np. zawiesiną hydrokortyzonu w nowokainie).
Leczenie chirurgiczne
W cięższych przypadkach, kiedy leczenie farmakologiczne i ultradźwięki nie dają poprawy i dochodzi do deformacji stopy, wyrośl kostną usuwa się operacyjnie. Jednakże wyniki leczenia chirurgicznego nie przewyższają rezultatów uzyskanych w leczeniu zachowawczym.
Profilaktyka
- unikanie przeciążenia stopy
- dobór odpowiedniego obuwia
- utrzymywanie właściwej masy ciała
- kontrola prawidłowej osi kończyny dolnej – unikanie koślawienia stopy
Przypisy
- ↑ Cole C, Seto C, Gazewood J. Plantar fasciitis: evidence-based review of diagnosis and therapy. „Am Fam Physician”. 72 (11), s. 2237-2242, grudzień 2005. PMID: 16342847.
- ↑ Wiktor Dega: Ortopedia i rehabilitacja. Warszawa: PZWL, 1964.
Przeczytaj ostrzeżenie dotyczące informacji medycznych i pokrewnych zamieszczonych w Wikipedii.
