Palec stopy

Palec stopy – u człowieka i innych zwierząt zakończenie stopy zwieńczone pazurami, paznokciami lub kopytami. Liczba palców stopy może wynosić od jednego (np. u konia) do pięciu (naczelne).
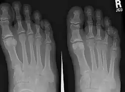
Człowiek ma pięć palców u każdej stopy, wyjątek stanowią osoby z polidaktylią czy syndaktylią. Palce stopy numeruje się od strony przyśrodkowej, tak że pierwszy numer otrzymuje paluch, składający się z dwóch kości (paliczków). Pozostałe palce stopy człowieka mają po trzy paliczki[1].
Nazwy palców
| Zdjęcie | Nazwa polska | Nazwa łacińska |
|---|---|---|
![]() |
paluch | hallux, digitus pedis I |
![]() |
palec drugi | digitus pedis II |
![]() |
palec trzeci | digitus pedis III |
![]() |
palec czwarty | digitus pedis IV |
![]() |
palec piąty | digitus pedis V |
Przypisy
- ↑ Peter H. Abrahams: Atlas anatomii. Ciało człowieka: budowa i funkcjonowanie. Warszawa: Świat Książki, 2004, s. 225. ISBN 83-7311-775-X.
Przeczytaj ostrzeżenie dotyczące informacji medycznych i pokrewnych zamieszczonych w Wikipedii.





