Klatka piersiowa lejkowata
| Pectus excavatum | |
![]() | |
| Klasyfikacje | |
| ICD-10 | |
|---|---|
| OMIM | |


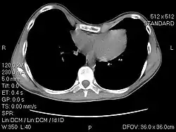
Klatka piersiowa lejkowata (łac. Pectus excavatum) – jedna z najczęstszych wrodzonych deformacji ściany klatki piersiowej. Polega ona na zapadnięciu się mostka na odcinku o różnej długości. Wada może być symetryczna lub asymetryczna. Często towarzyszy jej deformacja łuków żebrowych. Może współwystępować z innymi wadami postawy. Lejkowata klatka piersiowa może być jednym z objawów złożonych zespołów genetycznych np. zespół Marfana[1][2]. Wada może także powstać jako wynik innego procesu chorobowego tj. zaawansowanej krzywicy.
Epidemiologia
Wada ta występuje z częstością 1:1000 urodzeń. Lejkowata klatka występuje 3-4 razy częściej u chłopców niż u dziewczynek[1].
Przyczyny powstawania
- Deformacja dziedziczna (Nie ustalono jednoznacznie toru dziedziczenia)[3]
- Krzywica
- Zaburzenia syntezy i dystrybucji kolagenu[4]
- Zespoły genetyczne np. zespół Polanda, zespół Marfana[5][6]
Objawy
- Zapadnięcie się mostka do wewnątrz klatki piersiowej[7]
- Często współistnieje skrzywienie ku górze wyrostka mieczykowatego
- Możliwa deformacja i/lub asymetria łuków żebrowych
- Klatka piersiowa spłaszczona i poszerzona
- Zwiększenie kifozy piersiowej (plecy okrągłe) i/lub skolioza
- Osłabienie mięśni grzbietu
- Nawracające infekcje górnych dróg oddechowych
- Upośledzenie pojemności życiowej płuc, niewydolność oddechowo-krążeniowa, bóle pleców i klatki piersiowej[8]
- Obniżona tolerancja wysiłku fizycznego
- Wady zastawki trójdzielnej serca
Leczenie
Różnego rodzaju gimnastyka korekcyjna oraz ćwiczenia siłowe mają jedynie znaczenie pomocnicze. Jedynym sposobem leczenia lejkowatej klatki piersiowej jest zabieg operacyjny. Istnieje wiele metod chirurgicznej korekcji wady oraz ich modyfikacje. Poniżej omówione zostaną najszerzej stosowane.
Metoda Eckarta Klobego (metoda nieoperacyjna)

Polega na stosowaniu przez pacjenta specjalnej miseczki próżniowej (przy pomocy pompki, takiej samej jak w aparacie do pomiaru ciśnienia krwi; wytwarza się podciśnienie) umożliwiającej uniesienie zapadniętej części klatki piersiowej. Nie wykonuje się stabilizacji uniesionego mostka przy pomocy płytki lecz ćwiczenia fizyczne wytwarzają stabilne wzmocnienie mięśniowo-więzadłowe. Zabieg ten powtarza się przez minimum rok, począwszy od 15 minut dziennie. Po każdym leczeniu, lejkowata klatka piersiowa powraca do zapadniętego kształtu w różnych odstępach czasowych w zależności od wielkości wady. Przełomowym postępem w leczeniu jest utrzymanie się zapadniętej części klatki piersiowej na wysokości wizjerka miseczki próżniowej na okres przed ponownym użyciem miseczki. Miseczki produkowane są w wariantach dla kobiet oraz mężczyzn (zasadniczo jednak miseczki zaprojektowano dla mężczyzn, gdyż wada ta jest rzadko spotykana u kobiet) o średnicach 16, 19 lub 26 cm. Jeśli pacjent jest zbyt mały lub duży, miseczka nie osiągnie optymalnej wydajności.
Osobą prowadzącą działania mające na celu zwiększenie popularności tejże metody w Polsce jest Dr hab. med. Marek Orkiszewski, który jako pierwszy (w 2006 r.) wprowadził tę metodę do praktyki klinicznej w Polsce.
Należy podkreślić, że skuteczność tej metody nie została potwierdzona. Jest to metoda eksperymentalna i do czasu opublikowania wyników badań obejmujących odpowiednio duże grupy chorych nie można jej zalecać do stosowania w praktyce klinicznej.
Metoda Ravitcha
Klasyczna metoda korekcji lejkowatej klatki piersiowej, polegająca na wykonaniu długiego cięcia na przedniej ścianie klatki piersiowej, skróceniu chrząstek żebrowych oraz plastyce mostka. Metoda ta u dzieci nie zawsze prowadzi do dobrego efektu kosmetycznego oraz pozostawia długą, widoczną bliznę. Istnieje ryzyko nawrotu wady, zwłaszcza, gdy operacja była wykonywana przed okresem dojrzewania[1].
Metoda Nussa

Polega na wprowadzeniu pod mostek jednej do trzech chromowo- niklowych płyt, po obróceniu których wypycha się zapadnięty mostek (do poziomu wystających żeber) redukując deformację. Cięcia robi się w linii pachowej długości ok. 2 cm, płytki wyjmuje się po ok. dwóch latach od ich założenia. W przypadku alergii na nikiel istnieje możliwość użycia płyt tytanowych. Metoda ta u dorastających pacjentów prowadzi do dobrego efektu kosmetycznego. Ryzyko nawrotu wady jest znikome. [9][10]
Inne nazwy
Przypisy
- 1 2 3 Białas AJ, Jabłoński J. Lejkowata klatka piersiowa u dzieci. „Przegląd Pediatryczny”. 40,2, s. 112-116, 2010. Cornetis.
- ↑ Kotzot D Schwabegger AH. Etiology of chest wall deformities – a genetic review for the treating physician. „Journal of Pediatric Surgery”. 44, s. 2004-2011, 2009.
- ↑ Creswick HA i inni, Family study in the inheritance of pectus excavatum, 41, 2006, s. 1699-1703.
- ↑ Feng J, Hu T, Liu W, Zhang S, Tang Y, Chen R, Jiang X, Wei F. The Biomechanical, Morphologic, and Histochemical Properties of the Costal Cartilages in Children With Pectus Excavatum. „Journal of Pediatric Surgery”. 36,12, s. 1770-1776, 2001.
- ↑ eMedicine – Marfan Syndrome. [w:] Harold Chen [on-line].
- ↑ Hebra A: eMedicine – Pectus excavatum.
- ↑ Shamberger RC. Congenital chest wall deformities.. „Curr Probl Surg”. 33. 6, s. 469-542, 1996. DOI: 10.1016/S0011-3840(96)80005-0. PMID: 8641129.
- ↑ Crump HW. Pectus excavatum.. „Am Fam Physician”. Jul;46. 1, s. 173-9, 1992. PMID: 1621629.
- ↑ Nuss D, Kelly RE. Minimally Invasive Surgical Correction of Chest Wall Deformities in Children. „Adv in Ped”. 55, s. 395–410, 2008.
- ↑ Rushing GD, Goretsky MJ, Gustin T, Morales M, Kelly RE, Nuss D. When it is not an infection : metal allergy after the Nuss procedure for repair of Pectus excavatum.. „J Ped Surg”. 42, s. 93 – 97, 2007.
- ↑ W. A. Newman Dorland: Dorland's illustrated medical dictionary. Philadelphia : W.B. Saunders Co.,. ISBN 0-7216-0146-4.
- ↑ Pectus Excavatum.
- ↑ Patrick J. Morrison, Roy A. J. Spence: Genetics for Surgeons. Remedica Publishing. ISBN 1-901346-69-2.
Linki zewnętrzne
- PECTUS. – forum internetowe prowadzone przez osoby dotknięte deformacjami klatki piersiowej. Znajdują się tam adresy szpitali wykonujących korekcję lejkowatej klatki piersiowej zarówno metodą Ravitcha jak i metodą Nussa w Polsce.
- www.klatka.info.pl. [dostęp 2021-06-21]. [zarchiwizowane z tego adresu (2018-03-07)]. – strona internetowa poświęcona nieoperacyjnemu leczeniu klatki piersiowej lejkowatej metodą Eckarta Klobego. Strona prowadzona przez Dr hab. med. Marka Orkiszewskiego.
- www.pectus-excavatum.pl. [dostęp 2021-06-21]. [zarchiwizowane z tego adresu (2012-08-23)]. – strona internetowa operowanego pacjenta
- www.trichterbrust.de. – strona internetowa Eckarta Klobe poświęcona jego metodzie leczenia lejkowatej klatki piersiowej. (j. niem.)
Przeczytaj ostrzeżenie dotyczące informacji medycznych i pokrewnych zamieszczonych w Wikipedii.
