Przekrój poprzeczny


Przekrój poprzeczny – dwuwymiarowy (najczęściej płaski) przekrój ciała. Opisanie kształtu tego przekroju oraz określenie jego zmienności na długości przecinanego ciała (pręta), w pełni określa jego kształt. W najbardziej dosłownym znaczeniu przekrojem poprzecznym nazywamy obraz przedmiotu widziany po jego przecięciu, np. obraz słojów wewnątrz ściętego pnia drzewa.
W mechanice
Patrz: przekroje poprzeczne.
W geometrii
Przekrój poprzeczny lub po prostu przekrój jest to figura płaska będąca częścią wspólną trójwymiarowej bryły i płaszczyzny przecinającą tę bryłę.
W technice
Stanowi jeden z ważniejszych elementów rysunku technicznego.
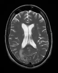
W medycynie

W celu dokładnego diagnozowania zmian w organizmie można zobrazować całą serię jego przekrojów poprzecznych przy pomocy promieni rentgenowskich - metoda ta nosi nazwę tomografii komputerowej (TK, CT)[1].
Spektroskopia magnetycznego rezonansu jądrowego (RM, MR, NMR, MRI) również wykorzystuje serię przekrojów poprzecznych, które pozwalają na wizualizację danych w formie obrazów, umożliwiających ich ocenę przez człowieka[1].
Przypisy
Bibliografia
Linki zewnętrzne
Artykuły i multimedia: Zintegrowana Platforma Edukacyjna – Ministerstwo Edukacji Narodowej, zpe.gov.pl [dostęp 2024-10-19]:
- Magdalena Wojciechowska-Rysiawa, Przekroje sześcianu.
- Magdalena Wojciechowska-Rysiawa, Pole powierzchni przekroju sześcianu.
- Tomasz Wójtowicz, Przekroje graniastosłupa prawidłowego czworokątnego.
- Tomasz Wójtowicz, Pole powierzchni przekroju graniastosłupa prawidłowego czworokątnego.
- Bartłomiej Cymbalista, Przekroje prostopadłościanu.
- Bartłomiej Cymbalista, Pole przekroju prostopadłościanu.
- Bartłomiej Cymbalista, Wybrane przekroje graniastosłupa prawidłowego trójkątnego.
- Tomasz Wójtowicz, Pole powierzchni przekroju graniastosłupa prawidłowego trójkątnego.
- Magdalena Wojciechowska-Rysiawa, Wybrane przekroje graniastosłupa prawidłowego sześciokątnego.
- Magdalena Wojciechowska-Rysiawa, Pole powierzchni przekroju graniastosłupa prawidłowego sześciokątnego.