Plamki Schüffnera

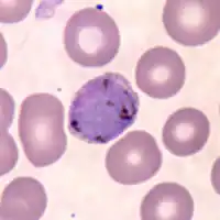
Plamki Schüffnera, ziarnistości Schüffnera (ang. Schüffner dots) – drobne, czerwone ziarenka obecne w cytoplazmie erytrocytów zarażonych zarodźcem (łac. Plasmodium). Plamki Schüffnera charakterystyczne są dla zarażeń Plasmodium vivax i Plasmodium ovale.
Bibliografia
- Podstawy hematologii. Anna Dmoszyńska, Tadeusz Robak. Lublin: Wydawnictwo Czelej, 2003, s. 135. ISBN 83-88063-94-4.
Przeczytaj ostrzeżenie dotyczące informacji medycznych i pokrewnych zamieszczonych w Wikipedii.