Zarodziec ruchliwy
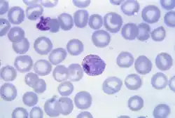
![]() Trofozoity zarodźca ruchliwego (rozmaz krwi wybarwiony metodą Giemsy) | |
| Systematyka | |
| Domena | |
|---|---|
| Supergrupa | |
| Nadtyp | |
| Typ | |
| Podtyp | |
| Gromada |
Aconoidasida |
| Rząd | |
| Rodzina |
Plasmodiidae |
| Rodzaj | |
| Podrodzaj | |
| Gatunek |
zarodziec ruchliwy |
| Nazwa systematyczna | |
| Plasmodium vivax Grassi et Feletti 1890 | |
Zarodziec ruchliwy (Plasmodium vivax) – gatunek protista zaliczany do apikompleksów, jeden z kilku pasożytów wewnątrzkomórkowych, które wywołują malarię u ludzi.
Morfologia
Trofozoit o średnicy 40–60 μm (zajmuje nawet 2/3 objętości komórki żywiciela) i nieregularnym kształcie ma postać schizonta wytwarzającego się we wnętrzu hepatocytów oraz erytrocytów. W jego cytoplazmie obecnych jest wiele drobnych ziarnistości hemozoiny. Porusza się ruchem pełzakowatym (ameboidalnym).
Merozoit o średnicy ~1,5 μm rośnie w erytrocycie, aby następnie przemienić się w schizonta. Niekiedy jednak tworzy on progamety, które na drodze dalszego rozwoju różnicują w męskie mikrogametocyty (średnica 7–8 μm, duże jądro komórkowe połączone z luźną chromatyną, umieszczone centralnie) lub żeńskie makrogametocyty (średnica 9–10 μm, małe jądro z chromatyną skupioną w dużej grudce, położone ekscentrycznie).
W niektórych stadiach cyklu życiowego gatunek ten przybiera pierścieniowatą formę o średnicy 2–3 μm z dużą wodniczką umieszczoną centralnie oraz jądrem komórkowym i cytoplazmą wokół.
Ekologia
Występuje w klimacie równikowym (tropikalnym) oraz podzwrotnikowym (subtropikalnym), zajmuje szerokości geograficzne pomiędzy równoleżnikami 60° N (północnym) i 30° S (południowym). Zazwyczaj zajmuje tereny zalesione w pobliżu zbiorników wodnych.
Zasięg występowania tego gatunku jest ściśle skorelowany z występowaniem jego wektorów, tj. niektórych komarów widliszków (Anopheles): widliszek plamistoskrzydły (A. maculipennis), A. quadrimaculatus, A. gambiae oraz innych lokalnych gatunków.
Chorobotwórczość
W rejonach występowania tego gatunku wyróżnia się trzy strefy zagrożenia malarią:
- A – niewielkie ryzyko zarażenia, występuje sezonowo na niektórych obszarach objętych strefą, zarodźce są wrażliwe na chlorochinę (np. Ameryka Środkowa, Chiny i Azja Zachodnia);
- B – niewielkie ryzyko zarażenia, jednak niektóre zarodźce mogą być odporne na chlorochinę (np. Indie, Malediwy, Borneo, Nowa Gwinea i Melanezja);
- C – wysokie ryzyko zarażenia, zarodźce są całkowicie odporne na chlorochinę (np. Afryka Środkowa, część Półwyspu Malajskiego oraz niektóre kraje Azji i Ameryki Południowej).
Cykl życiowy

Pokolenie bezpłciowe rozmnaża się w organizmie człowieka na drodze schizogonii, natomiast pokolenie płciowe rozmnaża się w organizmie samicy komara na drodze sporogonii.
Samica komara wraz z ukłuciem wprowadza do krwi człowieka sporozoity, które następnie wnikają do wątroby (trwa to 30–60 minut). Sporozoity rozwijają się dalej (schizogonia pozakrwinkowa), przyjmują formę okrągłą lub owalną, a ostatecznie przekształcają się w pierścieniowy schizont.
Schizonty dojrzewają, po czym dzielą się wielokrotnie na merozoity, których część pełni funkcję rezerwuaru (hipnozoity), zaś większość infekuje hepatocyty oraz erytrocyty. W tych ostatnich zachodzi schizogonia krwinkowa, podczas której forma pierścieniowa przekształca się w trofozoit i schizont (zajmują one wówczas nawet objętości 2/3 krwinki). W pełni dojrzałe schizonty (merocyty) dzielą się (merulacja) i rozpadają na 12–24 (zwykle 16) merozoitów, które zarażają dalej kolejne erytrocyty.
Po kilku (zwykle 3) dniach z części merozoitów powstają makrogametocyty i mikrogametocyty, które dostają się do jelita komara, gdy zainfekowany człowiek zostanie ponownie ugryziony. Mikrogametocyt przekształca się w 4–6 ruchliwych mikrogamet, natomiast makrogametocyt w jedną nieruchliwa makrogametę (sporogonia). Obie gamety łącza się tworząc ruchliwą, uwicioną zygotę (ookinetę). Ta następnie wnika pod nabłonek jelita komara i przekształca się w oocystę, która z kolei przekształca się w sporocystę, po której pęknięciu uwalniane są sporozoity, przedostające się do gruczołów ślinowych komara.
Leczenie
Lekiem z wyboru w leczeniu malarii wywołanej przez zarodźca ruchliwego jest chlorochina. Na obszarach gdzie spotykane są szczepy oporne na chlorochinę, lekiem pierwszego rzutu jest artesunat albo meflochina.
Zobacz też
Bibliografia
- Antoni Deryło (red.), Parazytologia i akaroentomologia medyczna, Warszawa: Wydawnictwo Naukowe PWN, 2011, s. 124–130, ISBN 978-83-01-13804-2.
