Rak nieinwazyjny przewodowy sutka
| carcinoma ductale in situ | |
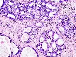
![]() Rak śródprzewodowy w badaniu histopatologicznym | |
| Klasyfikacje | |
| ICD-10 | |
|---|---|
| MeSH | |
Rak nieinwazyjny przewodowy sutka, in. rak śródprzewodowy (łac. carcinoma intraductale a. carcinoma ductale in situ, CDIS; ang. ductal carcinoma in situ, DCIS) – rozrost nowotworowy komórek nabłonka gruczołu sutkowego bez oznak naciekania podścieliska. W obrazie mikroskopowym prezentują one typowe cechy złośliwości (zaburzona cytoarchitektonika, liczne figury mitotyczne, anormalne jądra komórkowe), jednak błona podstawna ogranicza ich proliferację do światła przewodów wyprowadzających (tzn. nie mają zdolności tworzenia przerzutów lokalnych lub odległych).
Rak śródprzewodowy stanowi obecnie ponad 20% zgłaszanych zmian nowotworowych gruczołu sutkowego. W około 90% przypadków jedynym objawem choroby jest nieprawidłowy wynik badania mammograficznego. Zalecanym sposobem leczenia jest wycięcie chirurgiczne zmiany, ponieważ na podłożu DCIS w 1/3 przypadków może rozwinąć się rak inwazyjny, który późno wykryty daje dużo gorsze rokowanie. W wypadku operacji oszczędzającej pacjentka powinna poddać się radioterapii, zmniejszającej istotnie ryzyko nawrotu choroby. Przeżywalność wśród pacjentek z rakiem śródprzewodowym jest bardzo duża i wynosi blisko 100%.
Rys historyczny. Epidemiologia
Jedną z pierwszych osób, która opisała po raz pierwszy stany przednowotworowe w tkance gruczołu piersiowego, był Joseph C. Bloodgood. W latach 10. i 20. XX wieku zwrócił on uwagę środowiska lekarskiego na szereg łagodnych zmian, które mają pewien potencjał do przejścia w inwazyjną formę raka sutka[1]. W 1932 r. Albert C. Broders, patolog z Kliniki Mayo, użył sformułowania "rak in situ" wobec komórek o złośliwej morfologii, ale nieprzekraczających błony podstawnej tkanki[2]. Wcześniej już podobne zjawisko w odniesieniu do tworów w obrębie szyjki macicy zaobserwował Grek George Papanicolaou. Następnie badacze Frank W. Foote Jr. i Fred W. Stewart dokonali rozróżnienia na zmiany, które najprawdopodobniej wywodzące się ze zrazików (lobular carcinoma in situ, LCIS) oraz te pochodzące z nabłonka przewodów gruczołowych (ductal carcinoma in situ, DCIS)[3]. Chociaż również oddzielali je od zmian w pełni złośliwych, to w przeciwieństwie do swoich poprzedników postulowali usuwanie ich na takich samych regułach (tzn. w drodze mastektomii radykalnej)[4].
Problem zaczął mieć realne przełożenie na praktykę kliniczną na przełomie lat 70. i 80., kiedy wprowadzono kontrolne badania mammograficzne. Liczba wykrywanych zmian in situ dramatycznie wzrosła, co stało się bodźcem do przemyślenia dotychczasowego sposobu terapii. Przed rozpowszechnieniem screeningu onkologicznego stanowiły one mniej niż 5% diagnozowanych zmian nowotworowych[5]. Obecnie odsetek ten wynosi 20–30%[6][7], co np. w Stanach Zjednoczonych przekłada się na około 67 000 przypadków wykrywanych rocznie. Część środowiska lekarskiego zaczęła wobec tego argumentować, że zmiany, które tylko u co 3. kobiety przechodzą z czasem w inwazyjną formę raka sutka nie powinno leczyć się za pomocą tak okaleczającego zabiegu[8]. Kontrowersje zmniejszyły się dopiero w momencie zaadaptowania technik oszczędzających gruczoł piersiowy, pierwotnie stosowane w leczeniu zmian złośliwych o małym stopniu zaawansowania.
Rozpoznanie. Obraz kliniczny

Rak śródprzewodowy czasem manifestuje się w postaci wyczuwalnego guza lub patologicznego wycieku z brodawki sutkowej w przebiegu tzw. choroby Pageta sutka. Choroba Pageta to stosunkowo rzadka forma DCIS (częstość jej współwystępowania systematycznie maleje[9]), polegająca na pojawieniu się rumieniowatego wyprysku wokół brodawki sutkowej. Zjawisko to polega na przemieszczaniu się komórek nowotworowych ku ujściu przewodów mlecznych, bez naciekania błony podstawnej. Jeżeli zmianom skórnym nie towarzyszy pojawienie się wyczuwalnego guzka, przyczyną zwykle bywa DCIS[10]. Prognozy i sposoby leczenia są podobne jak w typowym raku piersi o analogicznym stopniu zaawansowania[11][12].
Ponad 90% przypadków DCIS pozostaje jednak w chwili wykrycia bezobjawowa. Biopsję zleca się wówczas z powodu nieprawidłowego wyniku badania radiologicznego: mammografii lub MRI[13]. Na kliszy rentgenowskiej nowotwór ujawnia się zwykle w postaci ogniska mikrozwapnień[14][15]. Do oceny zasięgu pola operacyjnego bądź miejsca naświetlania (w przebiegu radioterapii) zalecana jest technika MRI. Nie nadaje się jednak na rutynowe badanie kontrolne z powodu wysokich kosztów oraz zbyt niskiej swoistości (ryzyko wyników fałszywie pozytywnych)[16][17]. Sporadycznie omawiane zmiany są wykrywane przypadkowo w preparatach biopsyjnych wykonanych z innych powodów[18].
Postawienie ostatecznej diagnozy odbywa się na podstawie oceny histopatologicznej skrawków tkankowych pobranych podczas biopsji piersi. W przeszłości wymagało to wycięcia całego podejrzanego fragmentu gruczołu. Dzięki rozwojowi technik lokalizowania zmian w czasie rzeczywistym (ultrasonografia, stereotaksja, MRI) obecnie skrawki pobiera się igłą biopsyjną odpowiednio dużego kalibru albo aparatem VAC[19]. Wygląd obrazu mikroskopowego pozyskanych w ten sposób preparatów został omówiony poniżej. W tym miejscu należy zwrócić jednak uwagę, że DCIS towarzyszy czasem innym rodzajom zmian proliferacyjnych, np. atypowemu rozrostowi przewodowemu (ang. atypical ductal hyperplasia, ADH). Wykrycie samego ADH zmusza więc również do rozważenia resekcji chirurgicznej, gdyż w pobliżu mogą znajdować się niewykryte do tej pory ogniska raka[20].
Przebieg naturalny. Ryzyko inwazyjnego raka piersi

Wykrycie raka nieinwazyjnego przewodowego sutka niesie za sobą istotne implikacje kliniczne. Wynikają one z faktu, iż osoby z rozpoznanym DCIS są w większym stopniu narażone na rozwój inwazyjnego raka piersi – choroby stanowiącej realne zagrożenie dla życia kobiety.
Wiedza o potencjalnych następstwach raka nieinwazyjnego pochodzi z wyników stosunkowo niewielkich badań obserwacyjnych przeprowadzonych na przestrzeni ostatnich 50 lat[21][22][23][24][25]. Trudność w pozyskaniu wiarygodniejszych informacji wynika z faktu, że umyślne pozostawienie bez leczenia pacjentów, u których podejrzewa się możliwość wystąpienia poważnej choroby, byłoby sprzeczne z zasadami etyki lekarskiej. Obiektem studiów mogły być więc jedynie pacjentki, które w przeszłości otrzymały fałszywie negatywny wynik badania histopatologicznego (tzn. zmiany oceniono jako łagodne, chociaż w rzeczywistości zawierały ogniska raka). Z tego względu liczba dostępnych przypadków jest niewielka, a analiza ma charakter retrospektywny (np. w formie zagnieżdżonego badania kliniczno-kontrolnego). Niemniej jednak na ich podstawie wysunięto aktualnie obowiązującą tezę, że u 14–53% rozwinie się w ciągu następnych 30 lat życia rak piersi (ryzyko kilkunastokrotnie wyższe od wartości przeciętniej w populacji)[26].
Zależność przyczynowo-skutkową uprawdopodabnia zbieżność czynników ryzyka dla obydwu chorób[27]. Stanowią je m.in. dodatni wywiad rodzinny, wcześniej leczony nowotwór piersi, bezdzietność, wczesny wiek pierwszej miesiączki, późny wiek zajścia w ciążę, późny wiek menopauzy, mutacje w genach BRCA1 i BRCA2 oraz stosowanie hormonalnej terapii zastępczej[28][29].
Analizy laboratoryjne wskazują, że zarówno w raku inwazyjnym jak i śródprzewodowym występują identyczne rodzaje uszkodzeń komórek. Profil ekspresji genetycznej komórek nowotworowych przy przejściu do formy jawnie złośliwej nie ulega dalszym zmianom. Główna różnica między obydwoma stanami polega na całkowicie odmiennym sposobie interakcji z komórkami podścieliska (tzn. najbliższego otoczenia guza)[30]. Problemem pozostaje identyfikacja takich czynników molekularnych (np. markerów nowotworowych), które w wiarygodny sposób pozwoliłyby przewidywać, które ze zmian mogą w przyszłości ulec zezłośliwieniu[18]. Brak takiej możliwości pociąga za sobą konieczność interwencji chirurgicznej w każdym wykrytym przypadku.
Patologia
Pierwotne nowotwory sutka są zwykle gruczolakorakami wywodzącymi się z końcowej jednostki przewodowo-zrazikowej (ang. Terminal Duct Lobular Unit, TDLU). Epitety: "przewodowy" lub "zrazikowy" oznaczają obecnie jedynie specyficzną morfologię komórek nowotworowych, a nie miejsce ich pochodzenia. Klasycznie wyróżnia się pięć odmian histologicznych DCIS, które zestawiono w tabeli poniżej. Wszystkie łączy wewnątrzprzewodowa lokalizacja zmian, obecność typowych cech dysplazji oraz (z definicji) brak oznak naciekania sąsiednich tkanek[31]. Stopień złośliwości komórek (ang. grading) jest określany zwykle w trójstopniowej skali od niskiej (G1 albo DIN1) do wysokiej (G3, DIN3). Dokładne kryteria diagnostyczne są dostępne w literaturze specjalistycznej[32] oraz zaleceniach Światowej Organizacji Zdrowia[33].
| Nazwa polska | Nazwa łacińska | Charakterystyka zmian |
|---|---|---|
| rak czopiasty | comedocarcinoma | duży polimorfizm komórek, często ogniska martwicy w środku przewodów, wapnienie dystroficzne, objawy przewlekłego procesu zapalnego |
| rak sitowaty | ca. cribriforme | regularne, okrągłe komórki tworzące struktury w kształcie sita ("podziurawione" przestrzenie) |
| rak lity | ca. solidum | światło przewodów równomiernie wypełnione komórkami zmienionymi nowotworowo |
| rak brodawkowaty | ca. papillare | komórki układają się w brodawkowate twory, z łącznotkankowym rdzeniem oraz siecią naczyń włosowatych, bez komórek mioepitelialnych |
| rak drobnobrodawkowaty | ca. micropapillare | komórki układają się w brodawkowate twory, bez tkanki łącznej i naczyń krwionośnych |
Manifestacje nietypowe
Czasem w preparatach DCIS (najczęściej typu comedocarcinoma) dostrzegalne są miejsca mikroinwazji (przenikanie komórek do podścieliska na odległość <0,1 cm). Paradoks ten może wynikać z obecności niewykrytych dotychczas ognisk nowotworu złośliwego. Okazuje się jednak, że obecność pojedynczych miejsc mikronaciekania nie wpływa znacząco na rokowanie[34].
Odróżnienie nieinwazyjnego raka przewodowego od nietypowych form nieinwazyjnego raka zrazikowego (ang. lobular carcinoma in situ, LCIS) bywa trudne. Nawet co 10. oceniany preparat może być błędnie zaklasyfikowany. Utrudnia to zarówno podejmowanie decyzji terapeutycznych jak i formułowanie jednoznacznych wniosków na podstawie badań naukowych[35].
Sposoby terapii
Na kierunek rozwoju schematu leczenia raka śródprzewodowego duży wpływ wywarły wcześniejsze badania nad inwazyjnym rakiem sutka. Również tutaj największą rolę odgrywa operacyjna resekcja zmiany – kiedyś dokonywana metodą radykalnej zmodyfikowanej mastektomii, dziś zwykle metodami oszczędzającymi (ang. Breast-Conserving Surgery, BCS). Aby zapewnić całkowitość usunięcia zmian w drugim wypadku, pacjentki z DCIS poddawane są następnie leczeniu uzupełniającemu w postaci radioterapii. Przydatność środków farmaceutycznych z grupy inhibitorów receptora estrogenowego (m.in. tamoksifen) jest dyskusyjna; efektywność innych leków: taksanów oraz trastuzumabu pozostaje przedmiotem badań klinicznych.
Niezależnie od przyjętego postępowania przeżywalność kobiet ze zdiagnozowanym DCIS jest bardzo wysoka i wynosi blisko 100%[36][37].
Leczenie chirurgiczne

Historycznie jedyną zalecaną metodą leczenia DCIS była zmodyfikowana radykalna mastektomia. Oznaczała odjęcie całej chorej piersi wraz z pakietem węzłów chłonnych pachowych. Odsetek wznów lokalnych po takim zabiegu był niski (1,4% według danych z metaanalizy)[38]. Zabieg oznaczał jednak trwałe okaleczenie ciała kobiety. Zmiana nadeszła wraz z uznaniem zabiegów oszczędzających sutek (m.in. lumpektomia, kwadratektomia, onkoplastyka) za efektywny sposób leczenia inwazyjnego wczesnego raka piersi[39]. Na początku badania kliniczne bez randomizacji[40][41], a później również randomizowane próby kliniczne[42][36][43] potwierdziły racjonalność takiego postępowania. Warunkiem było jednak skierowanie pacjentek na dodatkowe sesje radioterapii, gdyż w przeciwnym razie częstość lokalnych wznów (w przeciągu 5–10 lat obserwacji) była niedopuszczalnie wysoka.
Najważniejszą kwestią przy leczeniu zabiegowym jest kompletność usunięcia zmiany. Ognisko powinno byź wycięte łącznie z kilkoma milimetrami marginesu zdrowej tkanki. Okazuje się, że odstęp o wielkości co najmniej 2 mm zmniejsza istotnie ryzyko nawrotów[44]. Przy ponad 10 mm rozważano nawet odstąpienie od obowiązkowej radioterapii[45], jednak kolejne prace nie wykazały istnienia korzyści z takiego postępowania[46].
Wielkość marginesu ocenia się podczas badania histopatologicznego wycinków, barwiąc cały dostępny fragment odpowiednim tuszem. Jeżeli we wszystkich preparatach mikroskopowych komórki nowotworowe pozostają wewnątrz takiego konturu, resekcja jest uznawana za kompletną. Istnieje kilka sposobów, aby zapewnić taki stan rzeczy[47]:
- badanie śródoperacyjne z natychmiastową oceną preparatu mrożonego
- poszerzenie miejsca wycięcia przy ponownym otwarciu rany
- zlecenie mastektomii prostej
Ograniczenia techniczne obecnie dostępnych metod obrazowania radiologicznego nie pozwalają na precyzyjną kontrolę pola operacyjnego. W rezultacie niepowodzenie zdarzają się przy lumpektomii (metodzie najbardziej zachowawczej) nawet w 50% przypadków[48][49].
Mastektomia totalna, zwana też prostą, jest w dzisiejszych czasach przeprowadzana u 30–35% pacjentek[50]. Od mastektomii radykalnej różni się odstąpieniem od limfadektomii pachowej z racji niskiego ryzyka przerzutów do węzłów chłonnych. Zaleca się ją przy obecności wielu rozsianych ognisk zmian; przy dużej masie guza; gdy istnieją przeciwwskazania do radioterapii, itp. Niekiedy same kobiety chcą poddać się terapii bardziej inwazyjnej, co może wynikać z braku rozeznania o wielkości zagrożenia[51].
Modyfikacją zabiegu jest odjęcie piersi z pozostawieniem powłok skórnych[52][53] oraz mastektomia z pozostawieniem brodawki sutkowej[54][55]. W obu przypadkach chodzi o zachowaniu lepszego efektu estetycznego, poprzez natychmiastową rekonstrukcję gruczołu. Mastektomia jest wskazaniem do wykonania biopsji węzła wartowniczego w celu wykrycia obecności przerzutów. Po wykonaniu amputacji nie daje się w przyszłości wykryć ogniska raka inwazyjnego za pomocą tej procedury[56][57].
Radioterapia
Leczenie promieniowaniem jonizującym ma na celu usunięcie skupisk komórek nowotworowych nie wykrywalnych zwykłymi metodami. Postuluje się przeprowadzanie jej w każdym przypadku raka śródprzewodowego, wyciętego chirurgicznie metodą zachowawczą z pozostawieniem negatywnych marginesów. Jej skuteczność (w połączeniu z leczeniem operacyjnym) była przedmiotem oceny kilku randomizowanych prób klinicznych. Ich wyniki zestawiono w poniższej tabeli.
Tabela 2. Rezultaty prób klinicznych leczenia operacyjnego raka śródprzewodowego bez/z następczą radioterapią[18].
| Badanie | Ilość pacjentów | Wznowy lokalne po tej samej stronie | Przeżywalność całkowita | |||||
|---|---|---|---|---|---|---|---|---|
| Bez RT | Z RT | RR | Wartość p | Bez RT | Z RT | Wartość p | ||
| NSABP B17 | 813 | 31,7 | 15,7 | 50 | <0,00005 | 86 | 87 | 0,8 |
| EORTC 10853 | 1,01 | 26 | 15 | 47 | <0,0001 | 95 | 95 | 0,53 |
| UK/ANZ | 1,03 | 14 | 6 | 62 | <0,0001 | Liczba zgonów zbyt mała | ||
| SweDCIS | 1,067 | 22 | 7 | 67 | <0,0001 | Po 9 zgonów w obu grupach | ||
Użyte oznaczenia: RT = radioterapia; RR = zmniejszenie ryzyka w %; p = poziom istotności statystycznej
Z danych można wyciągnąć dwa zasadnicze wnioski. Po pierwsze, radioterapia istotnie zmniejszyła liczbę nawrotów choroby podczas okresu obserwacji (od 5 do 12 lat). Po drugie, nie miała ona wpływu na ogólną śmiertelność wśród pacjentek. Sugerowano, że wynika to z równoważenia się długoterminowych korzyści z możliwymi powikłaniami. Według alternatywnego modelu o ostatecznym powodzeniu może przesądzać specyfika biologii guza: bardziej agresywne ujawnią się niezależnie od sposobu leczenia. Metaanalizy potwierdzają, że w ostatecznym rozrachunku terapia ta jest korzystna dla kobiet[58]. Sumaryczny zysk dla społeczeństwa może jednak okazać się niewielki[59].
Ze względu na koszty oraz trudności logistyczne, jakie pociąga za sobą radioterapia, nadal poszukuje się grup osób, które mogłyby zostać zwolnione z tego programu. Próbą kliniczną mającą zbadać, czy taka możliwość istnieje, było dochodzenie Eastern Cooperative Oncology Group. W 2009 r. przedstawiono pierwsze wyniki[60]. Wynika z nich, że przy zachowaniu odpowiedniego marginesu wycięcia zmiany o wysokim bądź średnim stopniu zróżnicowania odsetek wznów jest niski nawet bez dodatkowego leczenia radiologicznego. Zanim sformułuje się na podstawie tego wniosku ogólnie obowiązujące zalecenia kliniczne, należy jeszcze obserwować pacjentki przez pewien okres.
Do szacowania ryzyka nawrotu choroby stworzono skalę Van Nuys Prognostic Index (1995 r.[61], z późniejszymi modyfikacjami[62]). Została ona pokazana w tabeli poniżej. Pacjenci ze średnim (7–9 pkt.) i wysokim (10–12 pkt.) wynikiem odnoszą więcej korzyści z radioterapii niż osoby z mniejszą ilością punktów.
Tabela 3. Van Nuys Prognostic Index dla nieinwazyjnego raka przewodowego sutka[63].
| Punkty | Rozmiar (mm) | Margines (mm) | Klasyfikacja patologiczna | Wiek (lata) |
|---|---|---|---|---|
| 1 | ≤15 | ≥10 | wysoki/średni stopień zróżnicowania, non–comedo | >=60 |
| 2 | 16–40 | 1–9 | wysoki/średni stopień zróżnicowania, comedo | 40–60 |
| 3 | ≥41 | <1 lub brak | niski stopień zróżnicowania | ≤40 |
Sama radioterapia trwa 3-5 tygodni, w trakcie których chora lub chory przechodzi cykl naświetlań dawkami ok. 2 Gy/frakcja (łącznie np. 50 Gy). Używa się energii 4–6 MeV; cały zabieg (razem z kalibracją urządzenia) trwa kilka - kilkanaście minut. Do ochrony przed napromienianiem tkanek sąsiadujących ze zmianą stosuje się różne techniki, w tym symulację za pomocą tomografu komputerowego i prowadzenie wiązek stycznie do powierzchni klatki piersiowej. Inny sposób polega na położeniu pacjentki twarzą do ziemi na specjalnej kozetce ze szczeliną na biust. Piersi (szczególnie dużych rozmiarów) zwisają wówczas swobodnie, co pomaga w bardziej precyzyjnym ustawieniu wiązki[64].
Prowadzone są również badania nad użytecznością hipofrakcjonowania (zwiększona wielkość dawki, krótszy czas całego cyklu)[65][66][67], dostarczania większej dawki na obszar łożyska guza (ang. tumour bed boost) – tzn. najczęstszego miejsca wznów[68][69][70], oraz przyśpieszonego napromieniowania fragmentu piersi (ang. accelerated partial breast irradiation, APBI)[71]. Ich rezultaty generalnie są porównywalne z metodą klasyczną bądź wykazują nad nią niewielką przewagę.
W literaturze jest mało informacji o działaniach niepożądanych odnotowanych po radioterapii osób chorych na raka śródprzewodowego. Publikacje nie odnotowują też późniejszych powikłań długoterminowych[58]. Z doświadczenia klinicznego wiadomo, że dla większości osób sesje bywają męczące; notuje się również: suchość, obrzęk bądź tkliwość skóry; przebarwienia oraz złuszczanie naskórka, itp. Zmiany znikają zwykle po okresie 1–2 tygodni. Przy użyciu starszych technik notowano przypadki uszkodzenia serca i wtórnego raka płuc[72]; obecnie ryzyko jest prawdopodobnie mniejsze[73]. Miejscowa reakcja zapalna zdarza się częściej przy metodzie APBI[74].
Leczenie układowe
Farmakoterapia może stanowić uzupełnienie cyklu radioterapii lub zastępować ją w wypadku zaistnienia wyraźnych przeciwwskazań. Jej miejsce w procesie terapeutycznym nie zostało jeszcze dokładnie ustalone; dotychczas opublikowane prace badawcze przyniosły rezultaty sprzeczne w kilku istotnych kwestiach.
Prowadzenie leczenia układowego ma na celu zmniejszenie ryzyka wznowy miejscowej i przerzutów odległych, które to mogą rozwinąć się z przetrwałych komórek nowotworowych. Rozpoczynanie klasycznej chemioterapii byłoby nieuzasadnione ze względu na wyjątkowo mało agresywny przebieg samej choroby oraz liczne działania niepożądane dostępnych preparatów. Większych korzyści spodziewano się po przewlekłym stosowaniu tamoksyfenu, inhibitora receptora estrogenowego. Trwają próby kliniczne mające określić skuteczność leków nowszej generacji: innych selektywnych modulatorów receptora estrogenowego, inhibitorów aromatazy, a także trastuzumabu, sulindaku, vorinostatu, karboplatyny (podawanej bezp. do przewodowów mlecznych) oraz gefitinibu[75].
Obecnie jedyną dopuszczalną opcją jest więc hormonoterapia z wykorzystaniem tamoksyfenu. Ponad 80% zmian DCIS (głównie typu non-comedo) ma zachowane receptory dla estrogenu[76]; znaczenie tego szlaku sygnalizacyjnego dla komórek jest duże, m.in. sprzyja proliferacji i aktywności metabolicznej[77]. Do tej pory dwie randomizowane próby kliniczne badały efektywność takiej kuracji:
- NSABP B-24[78][42] (czas trwania: 1990–1995, łącznie 1804 pacjentek, mediana czasu obserwacji: 72 m-ce) objął kobiety, które wcześniej z powodu raka śródprzewodowego przebyły operację oraz standardowy kurs radioterapii. Dopuszczała dodatnie marginesy wycięcia zmiany, obecność receptorów ER rutynowo nie sprawdzano. Szacowany czas przeżycia pacjentek miał wynosić powyżej 10 lat.
- UK/ANZ trial[43](czas trwania: 1990–1998, łącznie 1701 pacjentek, mediana czasu obserwacji: 52,6 m-cy) umożliwiała pacjentkom częściowy wybór schematu leczenia: badano zasadność zarówno radioterapii jak i hormonoterapii według schematu 2x2. Główna różnica polegała na wymogu doszczętnej resekcji zmiany (obecny standard) oraz większym odsetku osób po 50. roku życia.
Wyniki badań okazały się dość trudne do interpretacji. Istotne statystycznie efekty terapii w NSABP B-24 to m.in. obniżenie ryzyka wystąpienia raka inwazyjnego w leczonej piersi czy obniżenie ryzyka rozwoju DCIS w piersi przeciwnej. Zastosowanie leku nie prowadziło jednak łącznie do przedłużenia życia chorych, zmniejszenia ryzyka miejscowej wznowy DCIS czy zmniejszenia ryzyka rozwoju raka inwazyjnego w piersi przeciwnej. UK/ANZ u osób leczonych wcześniej chirurgicznie i radioterapią nie wykazało zaś żadnych dodatkowych korzyści z przyjmowania tamoksyfenu. Jednak jeżeli radioterapia nie była stosowana, liczba wystąpień raka śródprzewodowego była istotnie mniejsza.
Najczęściej powyższe rozbieżności tłumaczy się następująco: tamoksyfen ma udowodnioną skuteczność jedynie kiedy nowotwór wykazuje ekspresję receptorów estrogenowych. Właśnie ta podgrupa osób zyskała najbardziej na leczeniu podczas próby NSABP[76]. Ponieważ w obu badaniach pierwotnie nie oznaczano ich u wszystkich pacjentek, wyniki pozostają rozmyte z powodu obecności osób ER-negatywnych. Usunięcie zmiany w granicach zdrowych tkanek, a później przeprowadzenie radioterapii usunęło w UK/ANZ tę część ryzyka rozwoju miejscowej zmiany złośliwej, którą w NSABP eliminowało zastosowanie tamoksyfenu. Osoby przed 50. rokiem życia (czyli zwykle w okresie przedmenopauzalnym) mogą być najbardziej podatne na działanie leku; stanowiły one większy odsetek w badaniu amerykańskim[79].
Należy mieć na uwadze również fakt, że tamoksyfen, jak każdy lek, wywiera pewne działania niepożądane, które zmuszają nawet co 5. kobietę do jego przedwczesnego odstawienia[80]. Groźne dla zdrowia komplikacje (choroba zakrzepowo-zatorowa, rak endometrium) zdarzają się względnie rzadko[81]; powszechnie występują zaś nasilone objawy menopauzy oraz obniżenie libido[78]. W pewnym stopniu skutki uboczne można ograniczyć poprzez zmniejszenie dawki.
Przypisy
- ↑ Joseph Colt Bloodgood, Pre-Cancerous Lesions Long Island Medical Journal 8 (1914): 161-170
- ↑ Albert C. Broders, Carcinoma in Situ Contrasted with Benign Penetrating Epithelium Journal of the American Medical Association(1932): 1671-1675
- ↑ Frank W Foote, Jr., Fred W Stewart, Lobular Carcinoma in Situ American Journal of Pathology I 7 ( I 941) : 491 -495.
- ↑ Lerner 2001, s. 197
- ↑ Rosener D, Bedwani RN, Vana J, et al Noninvasive breast carcinoma: results of a national survey by the American College of Surgeons. Ann Surg. 1980;192:139–147.
- ↑ Jemal A, Murray T, Ward E, et al. Cancer statistics. CA Cancer J Clin. 2005;55:10–30.
- ↑ Maass N, Alkasi O, Bauer M, et al. Actual management of ductal carcinoma in situ of the breast Arch Gynecol Obstet. 2009 Nov;280(5):699-705
- ↑ Lerner 2001, s. 246-247
- ↑ Chen C.Y., Sun L.M., Anderson B.O. Paget disease of the breast: changing patterns of incidence, clinical presentation, and treatment in the U.S. Cancer 2006;107(7):1448
- ↑ Zakaria S., Pantvaidya G., Ghosh K., Degnim A.C. Paget's disease of the breast: accuracy of preoperative assessment Breast Cancer Res Treat 2007;102(2):137
- ↑ Marshall J.K., Griffith K.A., Haffty B.G., et al. Conservative management of Paget disease of the breast with radiotherapy: 10- and 15-year results. Cancer 2003;97(9):2142
- ↑ Polgar C., Orosz Z., Kovacs T. Breast-conserving therapy for Paget disease of the nipple: a prospective European Organization for Research and Treatment of Cancer study of 61 patients. Cancer 2002;94(6):1904
- ↑ Dershaw DD, Abramson A, Kinne DW. Ductal carcinoma in situ: mammographic findings and clinical implications. Radiology. 1989;170(2):411–415
- ↑ Barreau B., De Mascarel I., Feuga C., et al. Mammography of ductal carcinoma in situ of the breast: review of 909 cases with radiographic-pathologic correlations. Eur J Radiol. 2005;54:55–61.
- ↑ Holland R, Hendriks JH. Microcalcifications associated with ductal carcinoma in situ: mammographic-pathologic correlation. Semin Diagn Pathol. 1994;11:181–192.
- ↑ Tendulkar RD, Chellman-Jeffers M, Rybicki LA, et al. Preoperative breast magnetic resonance imaging in early breast cancer: implications for partial breast irradiation. Cancer. 2009;115: 1621–1630.
- ↑ Kuhl CK, Schrading S, Bieling HB, et al. MRI for diagnosis of pure ductal carcinoma in situ: a prospective observational study. Lancet. 2007;370(9586):485–492
- 1 2 3 DeVita 2008, s.1615
- ↑ E.A.M. O’Flynn, A.R.M. Wilson, M.J. Michell Image-guided breast biopsy: state-of-the-art Clinical Radiology 65 (2010) 259–270
- ↑ Taghian 2010, s.21-25
- ↑ Rosen PP, Braun DW Jr, Kinne DE. The clinical significance of preinvasive breast carcinoma. Cancer. 1980;46(4 suppl):919–925
- ↑ Page DL, Dupont WD, Rogers LW, et al. Intraductal carcinoma of the breast: follow up after biopsy only. Cancer.1982;49:751–758.
- ↑ Eusebi V, Feudale E, Foschini MP, et al. Long term follow up of in situ carcinoma of the breast. Semin Diagn Pathol. 1994;11: 223–235.
- ↑ Collins LC, Tamimi RM, Baer HJ, et. al. Outcome of patients with ductal carcinoma in situ untreated after diagnostic biopsy: results from the Nurses’ Health Study. Cancer. 2005;103:1778–1784
- ↑ Sanders ME, Schuyler PA, Dupont WD, The natural history of low-grade ductal carcinoma in situ of the breast in women treated by biopsy only revealed over 30 years of longitudinal follow-up. Cancer. 2005;103:2481–2484
- ↑ Taghian 2010, s. 93
- ↑ Kerlikowske K, Barclay J, Grady D, Comparison of risk factors for ductal carcinoma in situ and invasive breast cancer. J Natl Cancer Inst. 1997;89(1):76–82.
- ↑ Claus EB, Stowe M, Carter D. Breast carcinoma in situ: risk factors and screening patterns. J Natl Cancer Inst. 2001;93(23): 1811–1817
- ↑ Gapstur SM, Morrow M, Sellers TA. Hormone replacement therapy and risk of breast cancer with a favorable histology: results of the Iowa Women's Health Study. JAMA 1999;281(22):2091
- ↑ Bombonati A, Sgroi DC The molecular pathology of breast cancer progression The Journal of Pathology Volume 223, Issue 2, pages 308–318, January 2011]
- ↑ Kumar 2010, sekcja: Classification of Breast Carcinoma
- ↑ Farid Moinfar Essentials of Diagnostic Breast Pathology: A Practical Approach ss. 70–78, Springer 2007 ISBN 978-3-540-45117-4
- ↑ Tavassoéli F.A., Devilee P. Pathology and Genetics Tumours of the Breast and Female Genital Organs WHO 2003 ISBN 978-92-832-2412-9
- 1 2 Kumar 2010, sekcja: Ductal Carcinoma in Situ. Morphology
- ↑ Sullivan ME, Khan SA Lobular carcinoma in situ variants in breast cores: potential for misdiagnosis, upgrade rates at surgical excision, and practical implications Arch Pathol Lab Med. 2010 Jul;134(7):1024-8.
- 1 2 Bijker N, Meijnen P, Peterse JL, et al. Breast-conserving treatment with or without radiotherapy in ductal carcinoma-in-situ: ten-year results of European Organisation for Research and Treatment of Cancer randomized phase III trial. J Clin Oncol 2006;24(21):3381
- ↑ Ernster VL, Barclay J, Kerlikowske K Mortality among women with ductal carcinoma in situ of the breast in the population-based surveillance, epidemiology and end results program. Arch Intern Med. 2000;160(7):953–958.
- ↑ Boyages J, Delaney G, Taylor R. Predictors of local recurrence after treatment of ductal carcinoma in situ: a meta-analysis. 1999;85:616–628
- ↑ Fisher B, Anderson S, Bryant J, et al. Twenty year follow up of arandomized trial comparing total mastectomy, lumpectomy, and lumpectomy plus irradiation therapy for the treatment of invasive breast cancer. New Engl J Med. 2002;347(16):1233–1241.
- ↑ Mirza NQ, Vlastos G, Meric F, et al. Ductal carcinoma-in-situ: long term results of breast-conserving therapy. Ann Surg Oncol. 2000;7:656–664
- ↑ Vargas C, Kestin L, Go N, et al. Factors associated with local recurrence and cause-specific survival in patients with ductal carcinoma in situ of the breast treated with breast-conserving therapy or mastectomy. In J Radiat Oncol Biol Phys. 2005;63:1514–1521.
- 1 2 Fisher B, Land S, Mamounas E, et al. Prevention of invasive breast cancer in women with ductal carcinoma in situ: an update of the National Surgical Adjuvant Breast and Bowel Project experience. Semin Oncol. 2001;28:400–418
- 1 2 Houghton J, George WD, Cuzick J, et al. Radiotherapy and, tamoxifen in women with completely excised ductal carcinoma in situ of the breast in the UK, Australia, and New Zealand: randomised ,controlled trial. Lancet. 2003;362:95–102
- ↑ Dunne C, Burke JP, Morrow M Effect of margin status on local recurrence after breast conservation and radiation therapy for ductal carcinoma in situ. J Clin Oncol. 2009;27: 1615–1620
- ↑ Silverstein MJ, Lagios MD, Groshen S, et al. The influence of margin width on local control of ductal carcinoma in situ of the breast. New Engl J Med. 1993;340:1455–1461
- ↑ Wong JS, Kaelin CM, Troyan SL, et al. Prospective study of side excision alone for ductal carcinoma in situ of the breast. J Clin Oncol. 2006;24:1031–1036.
- ↑ Tanghian 2010, s.93-98
- ↑ Jacobson AF, Asad, J, Boolbol SK Do additional shaved margins at the time of lumpectomy eliminate the need for re-excision? Am J Surg. 2008;196:556–558.
- ↑ Huston T, Pigalarga R, Osborne M. The influence of additional surgical margins on the total specimen volume excised and the re-operative rate after breast-conserving surgery. Am J Surg. 2006;192:509–512.
- ↑ Rakovitch E, Pignol JP, Chartier C, et al. The management of ductal carcinoma in situ of the breast: a screened population based analysis. Breast Cancer Res Treat. 2007;101:335–347.
- ↑ Partridge A, Adloff K, Blood E, et al. Risk perceptions and psychosocial outcomes of women with ductal carcinoma in situ: longitudinal results from a cohort study. J Natl Cancer Inst. 2008; 100:243–251.
- ↑ Carlson GW, Page A, Johnson E, et al. Local recurrence of ductal carcinoma in situ after skin-sparing mastectomy. J Am Coll Surg. 2007;204:1074–1080.
- ↑ Salhab M, Al Sarakbi W, Joseph A, et al. Skin-sparing mastectomy and immediate breast reconstruction: patient satisfaction and clinical outcomes. Int J Clin Oncol. 2006;11:51–54.
- ↑ Wijayanayagam A, Kumar AS, Foster RD, Esserman LJ. Optimizing the total skin-sparing mastectomy. Arch Surg. 2008;143:38–45
- ↑ Petit JY, Veronesi U, Orecchia R, et al. Nipple-sparing mastectomy in association with intra operative radiation therapy (ELIOT): a new type of mastectomy for breast cancer treatment. Breast Cancer Res Treat. 2006;96:47–51.
- ↑ Wong SL, Edwards MJ, Chao C, et al. The effect of prior breast biopsy method and concurrent definitive breast procedure on success and accuracy of sentinel lymph node biopsy. Ann Surg Oncol. 2002;9:272–277
- ↑ Murphy CD, Jones JL, Javid SH, et al. Do sentinel lymph node micrometastases predict recurrence risk in patients with ductal carcinoma in situ and patients with ductal carcinoma in situ with microinvasion? Am J Surg. 2008;196:566–568.
- 1 2 Goodwin A, Parker S, Ghersi D, Post-operative radiotherapy for ductal carcinoma in situ of the breast. Cochrane Database of Systematic Reviews 2009, Issue 4. Art. No.: CD000563
- ↑ Michael D. Lagios, Melvin J. Silverstein Ductal Carcinoma in Situ: Dilemma or Denouement JCO May 10, 2010 vol. 28 no. 14 e218-e219
- ↑ Hughes LL, Wang M Local excision alone without irradiation for ductal carcinoma in situ of the breast: a trial of the Eastern Cooperative Oncology Group J Clin Oncol. 2009 Nov 10;27(32):5319-24.
- ↑ Silverstein MJ, Lagios MD, Craig PH, et al. A prognostic index for ductal carcinoma in situ of the breast. Cancer. 1996; 77(11):2267–2274.
- ↑ Silverstein MJ. The University of Southern California/Van Nuys Prognostic Index. In: Silverstein MJ, Recht A, Lagios MD, eds. Ductal Carcinoma in Situ of the Breast, Philadelphia, PA: Lippincott, Williams & Wilkins; 2002:465
- ↑ Tanghian 2010, s. 103
- ↑ Tanghian 2010, ss. 99-107
- ↑ Formenti SC, Gidea-Addeo D, Goldberg JD, et al. Phase I-II trial of prone accelerated intensity modulated radiation therapy to the breast to optimally spare normal tissue. J Clin Oncol. 2007;25:2236–2242.
- ↑ Whelan T, MacKenzie R, Julian J, et al. Randomized trial of breast irradiation schedules after lumpectomy for women with lymph node-negative breast cancer. J Natl Cancer Inst. 2002; 94(15):1143–1150
- ↑ Constantine C, Parhar P, Lymberis S, et al. Feasibility of accelerated whole-breast radiation in the treatment of patients with ductal carcinoma in situ of the breast. Clin Breast Cancer. 2008; 8(3):269–274.
- ↑ Romestaing P, Lehingue Y, Carrie C, et al. Role of a 10-Gy boost in the conservative treatment of early breast cancer: results of a randomized clinical trial in Lyon, France. J Clin Oncol. 1997; 15(3):963–968
- ↑ Omlin A, Amichetti M, Azria D, et al. Boost radiotherapy in young women with ductal carcinoma in situ: a multicentre, retrospective study of the Rare Cancer Network. Lancet Oncol. 2006;7(8):652–656.
- ↑ Yerushalmi R, Sulkes A, Mishaeli M, et al. Radiation treatment for ductal carcinoma in situ (DCIS): is a boost to the tumor bed necessary? Neoplasma. 2006;53(6):507–510.
- ↑ King TA, Bolton JS, Kuske RR Long-term results of wide-field brachytherapy as the sole method of radiation therapy after segmental mastectomy for T(is,1,2) breast cancer. Am J Surg. 2000;180(4): 299–304
- ↑ Clarke M, Collins R, Darby S, et al. Effects of radiotherapy and of differences in the extent of surgery for early breast cancer on local recurrence and 15-year survival: an overview of the randomised trials. Lancet. 2005;366(9503):2087–2106.
- ↑ Buchholz TA. Radiation therapy for early-stage breast cancer after breast-conserving surgery. New Engl J Med. 2009;360(1): 63–70
- ↑ Monticciolo DL, Biggs K Breast conserving therapy with accelerated partial breast versus external beam whole breast irradiation: comparison of imaging sequela and complications in a matched population. Breast J. 2011 Mar-Apr;17(2):187-90
- ↑ Eng-Wong J, Costantino JP, Swain SM The impact of systemic therapy following ductal carcinoma in situ. J Natl Cancer Inst Monogr. 2010;2010(41):200-3.
- 1 2 Allred DC, Bryant J, Land S, et al. Estrogen receptor expression as a predictive marker of the effectiveness of tamoxifen in the treatment of DCIS: findings from NSABP Protocol B-24. Presented at: 25th Annual San Antonio Breast Cancer Symposium, December 11–14, 2002; San Antonio, Texas. Breast Cancer Res Treat 2002;76:S36 (abst 30).
- ↑ Deroo BJ, Korach KS Estrogen receptors and human disease J Clin Invest. 2006 Mar;116(3):561-70
- 1 2 Fisher B, Dignam J, Wolmark N, et al. Tamoxifen in treatment of intraductal breast cancer: National Surgical Adjuvant Breast and Bowel Project B-24 randomised controlled trial. Lancet. 1999;353(9169):1993–2000
- ↑ Tanghian 2010, s. 111-114
- ↑ Yen TW, Hunt KK, Mirza NQ, et al. Physician recommendations regarding tamoxifen and patient utilization of tamoxifen after surgery for ductal carcinoma in situ. Cancer. 2004;100(5):942–949
- ↑ Fisher B, Costantino JP, Wickerham DL, et al. Tamoxifen for the prevention of breast cancer: current status of the National Surgical Adjuvant Breast and Bowel Project P-1 study. J Natl Cancer Inst. 2005;97(22):1652–1662
Bibliografia
- Barron H Lerner, The breast cancer wars, New York: Oxford University Press, 2001, ISBN 978-0-19-516106-9, OCLC 44812278.
- Kumar Vinay Robbins and Coltran pathologic basis of disease 8ed. rozdz. 23 Philadelphia: Saunders Elsevier, 2010. ISBN 978-0-8089-2402-9
- Breast cancer: A Multidisciplinary Approach to Diagnosis and Management. Alphonse G Taghian, Barbara Lynn Smith, John K Erban, New York: Demos Medical Publishing, 2010, ISBN 978-1-933864-44-0, OCLC 635962120.
- Vincent T. DeVita, Theodore S. Lawrence, Steven A. Rosenberg: Cancer: Principles & Practice of Oncology, 8th Edition. Philadelphia: Lippincott Williams & Wilkins, 2008. ISBN 978-0-7817-7207-5
- Kramer Barnett S. (ed.) 2009 National Institutes of Health State-of-the-Science Meeting on Ductal Carcinoma In Situ: Management and Diagnosis JNCI Monographs; Volume 2010, Issue 41
Przeczytaj ostrzeżenie dotyczące informacji medycznych i pokrewnych zamieszczonych w Wikipedii.
.jpg)