Rak splotu naczyniastego

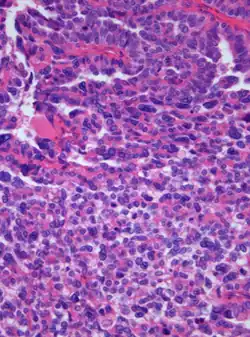
Rak splotu naczyniastego (ang. choroid plexus carcinoma) – rzadki, złośliwy guz ośrodkowego układu nerwowego, wywodzący się z komórek splotu naczyniastego. Przypisuje się mu najwyższy, IV° według WHO, stopień złośliwości histologicznej. Histologicznie charakteryzuje się polimorfizmem komórek i jąder komórkowych oraz atypią. Wymaga diagnostyki różnicowej z przerzutami raków do ośrodkowego układu nerwowego.
Bibliografia
- Nowotwory ośrodkowego układu nerwowego. W: Dariusz J. Jaskólski, Wielisław Papierz, Wojciech Biernat, Paweł P. Liberski: Choroby układu nerwowego. Wojciech Kozubski, Paweł P. Liberski (red.). Warszawa: Wydawnictwo Lekarskie PZWL, 2004. ISBN 83-200-2636-9.
Przeczytaj ostrzeżenie dotyczące informacji medycznych i pokrewnych zamieszczonych w Wikipedii.