Nowotwory przerzutowe ośrodkowego układu nerwowego




Nowotwory przerzutowe ośrodkowego układu nerwowego – najliczniejsza grupa nowotworów tej lokalizacji. U dorosłych chorych najczęściej przerzutującymi do mózgowia i rdzenia nowotworami są, kolejno, rak płuc, rak sutka, rak jelita grubego i układu moczowego, czerniak, rak gruczołu krokowego, rak trzustki, rak trzonu macicy, białaczki i chłoniaki. U dzieci częstsze są przerzuty mięsaków i nowotworów germinalnych. Zdarzają się także przerzuty nowotworów złośliwych (najczęściej raka sutka i płuca) do już obecnego guza OUN (np. oponiaka)[1].
Objawy i przebieg
Objawy są podobne jak w przypadku pierwotnych guzów ośrodkowego układu nerwowego i zależą od lokalizacji ogniska przerzutowego. Zazwyczaj w obrazie klinicznym choroby dominują objawy wzmożonego ciśnienia śródczaszkowego. Przebieg choroby jest zazwyczaj krótki, a mediana przeżycia od chwili rozpoznania wynosi 4 tygodnie.
Rozpoznanie
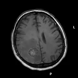
Rozpoznanie opiera się na badaniach neuroobrazowych: TK i MRI. MRI jest badaniem z wyboru w przypadku podejrzenia patologii tylnego dołu czaszki. Kolejnym etapem w diagnostyce choroby jest znalezienie ogniska pierwotnego.
Leczenie
W każdym przypadku powinno się podać deksametazon celem poprawienia jakości życia chorego i wydłużenia średniego czasu przeżycia. W większości przypadków metodą leczenia z wyboru jest radioterapia. Tylko wyjątkowo wskazane jest leczenie chirurgiczne.
Przypisy
Bibliografia
- Neurologia. Podręcznik dla studentów medycyny. Wojciech Kozubski, Paweł P. Liberski (red.). Warszawa: Wydawnictwo Lekarskie PZWL, 2006, s. 480-482. ISBN 83-200-3244-X.
- Zarys neurochirurgii. Mirosław Ząbek (red.). Warszawa: Wydawnictwo Lekarskie PZWL, 1999, s. 386-388. ISBN 83-200-2320-3.
Przeczytaj ostrzeżenie dotyczące informacji medycznych i pokrewnych zamieszczonych w Wikipedii.