Schwannoma
Schwannoma (nerwiak osłonkowy, łac. neurilemmoma, neurinoma) – łagodny nowotwór wywodzący się z komórek Schwanna osłonki nerwów czaszkowych i obwodowych. Schwannoma szyi i głowy najczęściej występuje w okolicy kąta mostowo-móżdżkowego.
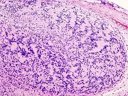
Obraz histologiczny
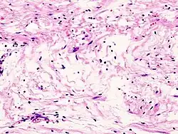
_Antoni_B.jpg)
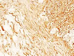
_S-100_immunostain.jpg)
Guz zbudowany jest z jednorodnych komórek o morfologii komórek Schwanna. Jądra komórkowe są wydłużone, układają się w wiry, pasma lub palisady. Charakterystyczne dla guza jest tworzenie tzw. ciałek Verocaya. W części przypadków wraz ze wzrostem gęstości komórkowej jądra przyjmują okrągły lub wieloboczny kształt. Typ histologiczny w którym komórki są zbite i ustawione palisadowato określa się jako Antoni A; typ w którym komórki są ułożone nieregularnie i luźno to typ Antoni B.
Objawy i przebieg
Objawy zależą od lokalizacji guza.
- postępujące, jednostronne upośledzenie słuchu, zwłaszcza w zakresie tonów wysokich
- zaburzenia czucia okolicy twarzy
- zaburzenia równowagi
- brak koordynacji ruchów
- zaburzenia chodu
- zaburzenia połykania.
Niewielka część nerwiaków osłonkowych złośliwieje; powstają złośliwe guzy, takie jak złośliwy nowotwór osłonek nerwów obwodowych (malignant peripheral nerve sheath tumour, MPNST).
Bibliografia
- Nowotwory ośrodkowego układu nerwowego. W: Dariusz J. Jaskólski, Wielisław Papierz, Wojciech Biernat, Paweł P. Liberski: Choroby układu nerwowego. Wojciech Kozubski, Paweł P. Liberski (red.). Warszawa: Wydawnictwo Lekarskie PZWL, 2004, s. 176-177. ISBN 83-200-2636-9.
Przeczytaj ostrzeżenie dotyczące informacji medycznych i pokrewnych zamieszczonych w Wikipedii.