Tamponada serca
| tamponatio cordis | |
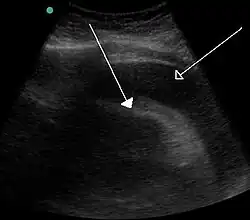
![]() Tamponada serca spowodowana krwistym wysiękiem do worka osierdziowego w przebiegu choroby nowotworowej, obraz USG | |
| Klasyfikacje | |
| ICD-10 | |
|---|---|
Tamponada serca (łac. tamponatio cordis, ang. cardiac tamponade, pericardial tamponade; ze starofranc. tampon – „zatyczka”, od starofrank. tappo – „zatkać, zatrzymać”) – stan nagłego zagrożenia życia, w którym dochodzi do przedostania się krwi do jamy osierdzia lub wypełnienia jamy osierdzia innym płynem (wysiękiem lub przesiękiem), powodującego utrudnienie napełniania jam serca krwią podczas rozkurczu. Ze względu na znacznie mniejszą grubość i podatność mechaniczną ściany komory prawej w porównaniu do ściany komory lewej, utrudnienie rozkurczu dotyczy w głównej mierze serca prawego. Tamponada może wystąpić w wyniku pęknięcia ściany w przebiegu zawału mięśnia sercowego, zapalenia osierdzia lub na skutek urazu. W wyniku powstania tamponady dochodzi do ostrej niewydolności prawokomorowej serca oraz zmniejszenia objętości wyrzutowej serca i wstrząsu kardiogennego. W zależności od okoliczności wystąpienia stan ten charakteryzuje się różną śmiertelnością (zwykle jednak wysoką).
Historia
Pierwotnie mianem „tamponady” określano rodzaj opatrunku wypełniającego naturalne jamy ciała. Nazwy tej użył m.in. w 1901 roku kanadyjski internista sir William Osler (1849-1919) w odniesieniu do opracowanego przez siebie zabiegu wypełniania jam nosowych i nozdrzy tylnych opatrunkiem z gazy w celu zahamowania krwawienia. Później nazwy tej zaczęto używać w sytuacji, gdy jamę anatomiczną wypełniał wysięk, krew lub skrzep, uciskając, podobnie jak tampon, leżący wewnątrz narząd.
Stan ucisku serca opisał jako pierwszy angielski lekarz Richard Lower (1631–1691) w 1669 roku u chorego z dusznością i przerywanym tętnem i prawidłowo wytłumaczył patomechanizm obserwowanych objawów (użył określenia ang. "compression of the heart"). Nieco wcześniej w 1649 roku francuski anatom Jean Riolan Młodszy (1577–1657) opisał zabieg nacięcia worka osierdziowego (łac. pericardiocentesis) stosowanego m.in. w tamponadzie serca, choć nie wiadomo o efektach tego działania. W 1829 roku francuski chirurg wojskowy Dominique Jean Larrey (1766–1842) przeprowadził z sukcesem zabieg nacięcia worka osierdziowego u rannego w serce, a w 1840 roku patolog i chirurg austriacki Franz Schuh (1804–1865) opisał procedurę przezskórnego nacięcia worka osierdziowego.
Etiologia
Tamponada serca może powstać nagle, na przykład w wyniku rany kłutej, komplikacji kardiochirurgicznych, pęknięcia ściany serca (zwykle w przebiegu zawału mięśnia sercowego) czy pęknięcia krwiaka (tętniaka) śródściennego części wstępującej aorty. Powoli narastająca tamponada serca to skutek zapalenia osierdzia, nacieku nowotworowego na worek osierdziowy, krańcowej niewydolności krążenia, wątroby lub nerek. Przy powolnym procesie nawet 2 litry płynu mogą się zebrać w przestrzeni osierdziowej i dochodzi wtedy do rozciągnięcia osierdzia, przystosowującego się do zwiększonej objętości płynu. Przy szybkim napływie 100 ml krwi może spowodować tamponadę[1].
Patogeneza zaburzeń hemodynamicznych
- Gromadzący się płyn w worku osierdziowym → upośledzenie napływu krwi do serca → zmniejszenie objętości wyrzutowej (SV) → zmniejszenie objętości minutowej serca (CO) → hipotensja → tachykardia
- Gromadzący się płyn w worku osierdziowym → upośledzenie napływu krwi do serca → obwodowy i płucny zastój żylny
Objawy i przebieg
Objawy tamponady serca mogą się wydawać bardzo podobne do występujących w zastoinowej niewydolności serca. Zazwyczaj diagnostyka różnicowa pozwala na postawienie rozpoznania na podstawie zebranej historii, w której nagły początek objawów pojawia się w związku z urazem (zwłaszcza u młodych pacjentów), bezpośrednio po lub w 4.–5. dobie po zawale serca.
Nieprawidłowości w badaniach dodatkowych
- EKG: może być prawidłowy, często tachykardia zatokowa, obniżenie amplitudy zespołów QRS i załamków T, w stadium schyłkowym bradykardia
- RTG klatki piersiowej: powiększenie sylwetki serca
- Echokardiografia: stwierdzenie płynu w worku osierdziowym, rozkurczowe zapadanie się prawego przedsionka, poszerzenie żyły głównej dolnej.
Rozpoznanie
Ustalenie rozpoznania opiera się na stwierdzeniu triady objawów (triada Becka): hipotensji, wypełnienia żył szyjnych oraz głuchych i cichych tonów serca (w wyniku przewodzenia dźwięku przez zwiększoną objętość płynu). Pojawia się także niespecyficzny ból w klatce piersiowej. Można stwierdzić również tętno dziwaczne (paradoksalne), polegające na nadmiernym obniżeniu skurczowego ciśnienia tętniczego podczas wdechu (więcej niż o 10 mm Hg)[2]. Jest to objaw ważny, ale nie patognomoniczny.
Podstawą szpitalnej diagnostyki tamponady serca jest badanie echokardiograficzne. Taka diagnostyka jest praktycznie możliwa jedynie u pacjentów ze szpitalnie zaistniałą tamponadą serca.
Leczenie
Perikardiocenteza, czyli ewakuacja płynu za pomocą nakłucia worka osierdziowego i dzięki temu obniżenie ciśnienia osierdziowego, a następnie leczenie przyczyny tamponady pozwalają na uratowanie życia[3]. Często stosuje się drenaż osierdziowy dla zapobieżenia nawrotom.
W przypadku pozaszpitalnego wystąpienia tamponady serca śmiertelność jest bardzo wysoka.
Przypisy
- ↑ AR. Forauer, NL. Dasika, JJ. Gemmete, C. Theoharis. Pericardial tamponade complicating central venous interventions.. „J Vasc Interv Radiol”. 14 (2 Pt 1), s. 255-9, Feb 2003. PMID: 12582195.
- ↑ Carol Mattson, PhD Porth, Carol Porth: Pathophysiology: concepts of altered health states. Philadelphia, Pa.: Lippincott Williams Wilkins, 2005. ISBN 0-7817-4988-3.
- ↑ Trauma Resuscitation: The Team Approach. Informa Healthcare. ISBN 1-85996-009-X.
Bibliografia
- Andrzej Szczeklik (red.): Choroby wewnętrzne. Przyczyny, rozpoznanie i leczenie, tom I. Kraków: Wydawnictwo Medycyna Praktyczna, 2005, s. 302-304. ISBN 83-7430-031-0.
Przeczytaj ostrzeżenie dotyczące informacji medycznych i pokrewnych zamieszczonych w Wikipedii.
