Włókniakomięsak
| fibrosarcoma | |
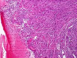
Włókniakomięsak – obraz mikroskopowy | |
| Klasyfikacje | |
| ICD-10 |
C49 |
|---|---|
Włókniakomięsak (łac. fibrosarcoma) – rzadki nowotwór złośliwy wywodzący się z fibroblastów należący do grupy mięsaków tkanek miękkich. Szacuje się, że według współczesnych definicji tego nowotworu stanowi on tylko około 1% mięsaków tkanek miękkich. Obraz kliniczny choroby zależy od typu histopatologicznego. Głównym objawem włókniakomięsaka jest bezbolesna lub bolesna masa w głębokich tkankach miękkich. Wstępne rozpoznanie jest stawiane na podstawie obrazu klinicznego i badań obrazowych, które naprowadzają na rozpoznanie mięsaka. Ostateczne rozpoznanie włókniakomięsaka jest stawiane w wyniku badania histopatologicznego materiału tkankowego uzyskanego drogą biopsji gruboigłowej lub wycinającej. Podstawową metodą leczenia jest chirurgiczne wycięcie guza w zakresie zdrowych tkanek. Jest to jedyna metoda pozwalające na całkowite wyleczenie. W wybranych przypadkach wykonuje się powtórne operacje celem lokalnej kontroli choroby. Adiuwantowa radioterapia jest stosowana u wszystkich chorych o wielkości zmiany powyżej 5 cm i wysokiej złośliwości histologicznej, a także w wybranych przypadkach guzów o mniejszych rozmiarach lub niższej złośliwości. Chemioterapia poza włókniakomięsakiem niemowląt ma ograniczone zastosowanie do leczenia choroby z przerzutami. Stosuje się wówczas leczenie ogólnoustrojowe oparte na doksorubicynie. Rokowanie jest zróżnicowane w zależności od podtypu histopatologicznego. Włókniakomięsak typu dorosłych jest źle rokującym nowotworem, a włókniakomięsak typu niemowlęcego – mimo bardzo podobnego obrazu histopatologicznego – cechuje się dobrym rokowaniem i bardzo wysokim przeżyciem pięcioletnim.
Typy histologiczne włókniakomięsaka
Włókniakomięsak jest rzadkim złośliwym mezynchymalnym nowotworem o różnicowaniu fibroblastyczno-miofibroblastycznym złożonym z wiązek fibroblastów lub wrzecionowatych komórek z różnymi proporcjami kolagenu, bez cech różnicowania do innych tkanek[1][2][3].
Obecnie taka definicja ma raczej historycznie znaczenie i termin włókniakomięsak odnosi się do pięciu osobnych jednostek chorobowych (klasyfikacja Enzingera i Weissa)[a][1][4][5][2][6]:
- włókniakomięsak typu dorosłych (adult fibrosarcoma, ICD-O, 8810/3)
- włókniakomięsak typu niemowlęcego (infantile fibrosarcoma, ICD-O 8814/3)
- śluzakowłókniakomięsak (myxofibrosarcoma, ICD-O 8811/3)
- włókniakomięsak śluzowaciejący niskiego stopnia (low-grade fibromyxoid sarcoma, ICD-O 8840/3)
- szkliwiejący włókniakomięsak z komórek nabłonkowatych (sclerosing epithelioid fibrosarcoma, ICD-O 8840/43)[7].
Ocenia się, że włókniakomięsak stanowi około 1% wszystkich mięsaków tkanek miękkich u dorosłych[1][8][9], które łącznie jako grupa stanowią tylko 1% wszystkich nowotworów złośliwych[10].
Włókniakomięsak typu dorosłych
Częstość występowania włókniakomięsaka typu dorosłych jest trudna do oszacowania ze względu na rozpoznanie go poprzez wykluczenie innych podobnych typów mięsaków. Prawdopodobnie stanowi około 1% wszystkich mięsaków tkanek miękkich u dorosłych. Guz może występować w głębokich tkankach miękkich kończyn, tułowia, głowy i szyi. Lokalizacja zaotrzewnowa jest rzadka. Nowotwór występuje u osób starszych i w średnim wieku[11]. Lokalny nawrót występuje u 20–45% leczonych[12], a przerzuty odległe pojawiają się u 20–30% chorych[12].
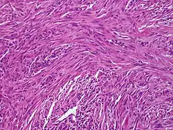
Makroskopowo jest to biała lub jasnobrązowa masa o różnej twardości w zależności od zawartości kolagenu. Może być okrągłym lub guzkowatym guzem. Małe zmiany mogą być częściowo lub całkowicie otorbione, większe guzy są mniej odgraniczone i często rozciągają się jako wieloogniskowe zmiany w otaczających tkankach lub wzrastają w sposób rozlanie naciekający lub niszczący sąsiednie struktury[13]. W guzach o wysokim stopniu złośliwości widoczne są krwotoki i obszary martwicy. Mikroskopowo guz jest zbudowany z wrzecionowatych komórek o niewielkich różnicach w wielkości i kształcie, o ubogiej cytoplazmie i niewyraźnych granicach komórek wplecionych we włókna kolagenowe o równoległym wzorze[13].
Złośliwość histologiczna (grade) jest ustalana za pomocą oceny komórkowości, zróżnicowania, indeksu mitotycznego i obecności martwicy. Włókniakomięsak o niskiej złośliwości histologicznej (wysoko zróżnicowany) charakteryzuje się obecnością jednolitych, uporządkowanych komórek w obfitej ilości kolagenu. Czasem komórki są ułożone na wzór jodełki lub szewronu[11], a w pozostałych przypadkach są ułożone w grube sznury[13]. W guzach o wysokiej złośliwości komórki są bardziej upakowane, o mniejszych wymiarach i okrągłym kształcie, otoczone mniejszą ilością kolagenu. Jodełkowaty wzór ułożenia nie jest widoczny. Jądra komórkowe są pleomorficzne, widać liczne figury mitotyczne. Obecne są ogniska martwicy i krwotoków[13].
Włókniakomięsak typu niemowlęcego
Włókniakomięsak u niemowląt jest histologicznie niemal identyczny z włókniakomięsakiem u dorosłych, jednak rzadko wytwarza przerzuty i cechuje go znacznie lepsze rokowanie. Pojawia się on u niemowląt i małych dzieci, jest genetycznie związany z mezoblastycznym nerczakiem wrodzonym. Guz stanowi 5–10% mięsaków tkanek miękkich u niemowląt[14][15], w 40–80% jest wrodzony, a po 2 roku życia jest rzadko spotykany[16].
Najczęstszymi lokalizacjami są powierzchniowe i głębokie tkanki miękkie kończyn, które stanowią 60% wszystkich lokalizacji guza. Tułów jest lokalizacją około 20% guzów, a głowa i szyja 15%. Przestrzeń zaotrzewnowa jest rzadszą lokalizacją tego nowotworu[16].
Makroskopowo jest to słabo odgraniczona guzkowata, naciekająca sąsiednie tkanki masa koloru białego, szarego do jasnobrązowego. Mikroskopowo jest gęstokomórkowym guzem składającym się z przecinających się pasm prymitywnych okrągłych lub wrzecionowatych komórek układających się w jodełki, przeplatające się sznury lub kręte pasma. Często występuje strefowa martwica i krwotoki, co może być związane z dystroficznym zwapnieniem. Komórki nie wykazują dużego pleomorfizmu. W większości guzów występują komórki związane z przewlekłym procesem zapalnym oraz mogą występować lokalne ogniska pozaszpikowej hematopoezy[16].
Śluzakowłókniakomięsak
Śluzakowłókniakomięsak jest grupą złośliwych zmian fibroblastycznych o zróżnicowanej komórkowości, zawartości zrębu śluzowatego, stopniem atypii i pleomorfizmu z charakterystycznymi krzywolinijnymi naczyniami[17][18]. Guz stanowią spektrum zmian od ubogokomórkowych z niewielką, minimalną atypią i niskiej złośliwości do bogatokomórkowych z wyraźną atypią, pleomorfizmem i wysoką złośliwością z cechami niezróżnicowanego mięsaka pleomorficznego[17].
Śluzakowłókniakomięsak najczęściej występuje w starszym wieku, zwykle między szóstą a ósmą dekadą życia, choć przedział wiekowy chorych jest bardzo zróżnicowany i nowotwór może dotykać znacznie młodszych chorych[18]. Nowotwór wykazuje dużą tendencję do wznowy po resekcji, ale przerzuty są mniej powszechne i występują u około 20–30% chorych[18].
Śluzakowłókniakomięsak zwykle pojawia się w obrębie kończyny dolnej, rzadziej górnej. Bardzo rzadko jest wykrywany w obrębie dłoni, stóp, tułowia, głowy i szyi[18]. Guz jest najczęściej zlokalizowany podskórnie, makroskopowo jest galaretowatą wieloguzkową zmianą. W jednej trzeciej przypadków guz pojawia się w głębokich tkankach, gdzie tworzą bardziej jednolitą masę o bardziej naciekającym sąsiednie tkanki charakterze zmiany[18][17].
Mikroskopowo składa się z nielicznych wrzecionowatych lub gwiaździstych komórek w śluzowatym zrębie złożonym głównie z kwasu hialuronowego. Komórki posiadają eozynofilną cytoplazmę, niewyraźne granice komórki i hiperchromatyczne, umiarkowanie pleomorficzne jądro komórkowe. Charakterystyczne jest występowanie wydłużonych, krzywolinijnych i cienkościennych kapilar[18][17]. Czasem występują pseudolipoblasty, które jednak nie zawierają w cytoplaźmie tłuszczu, a raczej kwas mucynowy[18].
Włókniakomięsak śluzowaciejący niskiego stopnia
Jest to bardzo rzadki nowotwór o niskim stopniu złośliwości histologicznej, do tej pory opisano tylko 150 przypadków tego guza, choć prawdopodobnie wiele jego przypadków pozostaje nierozpoznanych[19]. Typowo dotyka on młodych dorosłych, a w 20% przypadków występuje również u chorych poniżej 18 roku życia[20][20]. Przerzuty odległe nie są częste, dotyczą one około 5–20% chorych, zwykle lokalizują się poza płucami[21][20].
Typowo guz występuje w proksymalnych częściach kończyn i tułowiu, może również występować w obrębie przestrzeni zaotrzewnowej, głowy i szyi[19]. Zwykle występuje w głębokich tkankach miękkich, powstaje w mięśniach szkieletowych, rzadziej w tkance podskórnej w niewielkim lub bez zajęcia mięśni[22]. Zwykle podczas rozpoznania osiąga wielkość około 9 cm, choć opisywane są guzy powyżej 20 cm[23].
Histologicznie wyróżniana jest forma klasyczna nowotworu oraz low grade fibromyxoid sarcoma with giant collagen rosettes. Makroskopowo guz jest dobrze odgraniczony, jednak mikroskopowo często rozlegle nacieka sąsiednie tkanki. Na przekroju jest żółto-biały ze lśniącymi ogniskami, utworzonymi przez śluzowate substancje. Mikroskopowo jest ubogo- lub średniokomórkowym nowotworem złożonym z wrzecionowatych, eozynofilnych komórek. Jądra tych komórek wykazują łagodny pleomorfizm i niewielką ilość figur podziałowych[22]. Komórki są ułożone w bardziej ubogokomórkowym włóknistym zrębie lub bardziej komórkowym zrębie śluzowatym. Proporcja tych obszarów jest zmienna w różnych obszarach guza, jednak dominuje zrąb włóknisty. W 10–20% przypadków występują obszary włókniakomięsaka pośredniego stopnia złośliwości[22]. W typie low grade fibromyxoid sarcoma with giant collagen rosettes występują ogniska słabo wykształconych rozet kolagenowych złożonych z centralnie ułożonego szkliwaciejącego kolagenu otoczonych mankietem nabłonkowatych fibroblastów[18].
Szkliwiejący włókniakomięsak z komórek nabłonkowatych
Szkliwiejący włókniakomięsak z komórek nabłonkowatych to bardzo rzadki typ włókniakomięsaka, który może występować w każdej grupie wiekowej. Najczęściej dotyczy dorosłych po 50 roku życia, jednak może występować również u młodych dorosłych i dzieci[24]. Zwykle występuje w głębokich tkankach miękkich, często związanych z powięzią lub okostną, w obrębie kończyny dolnej lub górnej, tułowia, głowy i szyi[21]. Guz mimo niskiej złośliwości histologicznej charakteryzuje wysoki odsetek nawrotów przekraczających 50% oraz stosunkowo często tworzy przerzuty odległe, które są obserwowane u około 40–80% chorych[21][25][26][27]. Przerzuty najczęściej są zlokalizowane w płucach (70%), kościach (40%) oraz opłucnej lub ścianie klatki piersiowej (11%)[27][24]. Przerzuty są obserwowane u 27% chorych już w momencie rozpoznania[27].
Makroskopowo jest to dobrze odgraniczona zmiana o guzkowatej białawej powierzchni. Możliwa jest obecność obszarów śluzowatych, torbieli i zwapnień[21]. Mikroskopowo guz jest mocno sklerotyczny, zawiera gniazda, pasma lub grona małych jednolitych owalnych nabłonkowatych komórek z eozynofilną cytoplazmą. Otaczający zrąb jest obfity, ułożony w grube pasma, na wzór koronki lub tworzy szkliwiejące strefy podobne do blizn lub włókniaka. Występują również obszary typowego włókniakomięsaka o niskim stopniu zróżnicowania oraz ubogokomórkowe obszary przypominające śluzaka lub śluzakowłókniakomięsaka. Mogą występować torbiele lub obszary metaplazji kostnej lub zwapnienia[28].
Objawy
Objawy są uzależnione od lokalizacji i typu histopatologicznego guza:
- Włókniakomięsak typu dorosłych objawia się jako bezbolesna lub bolesna masa w głębokich tkankach miękkich, często powodując powstanie widocznego i macalnego guza[11].
- Włókniakomięsak typu niemowlęcego jest szybko powiększającą się pojedynczą masą bez obrzęku i tkliwości palpacyjnej. Skóra nad zmianą zwykle jest zaczerwieniona i napięta, często owrzodziała. Zmiany mogą osiągać bardzo duże rozmiary, dochodząc nawet do 30 cm, co jest szczególnie dużym rozmiarem w stosunku do wielkości niemowlęcia[16].
- Śluzakowłókniakomięsak klinicznie objawia się jako powoli powiększająca się i bezbolesna masa[18].
- Włókniakomięsak śluzowaciejący niskiego stopnia typowo manifestuje się jako bezbolesna guzowata zmiana w głębokich tkankach miękkich. Często stwierdza się długi, ponad pięcioletni, okres występowania zmiany przed rozpoznaniem[19].
- Szkliwiejący włókniakomięsak z komórek nabłonkowatych przejawia się masą o różnym czasem jej trwania, zwykle od pierwszych objawów do rozpoznania mija około 33 miesięcy[27]. W co trzecim przypadku guz jest bolesny i znacznie powiększył się przed rozpoznaniem choroby[28].
Diagnostyka
Podejrzenie mięsaka, w tym włókniakomięsaka, jest stawiane na podstawie badania klinicznego lub badań obrazowych. Badania obrazowe zwykle nie pozwalają na rozpoznanie konkretnego typu mięsaka, jednak umożliwiają one wstępne rozpoznanie choroby nowotworowej i często na postawienie podejrzenia występowania mięsaka tkanek miękkich. Ostateczne rozpoznanie nowotworu jest stawiane na podstawie badania histopatologicznego, w którym bardzo ważną rolę pełnią badania immunohistochemiczne, cytogenetyczne i molekularne. Histopatologiczne rozpoznanie włókniakomięsaka jest diagnozą z wykluczenia, czyli do rozpoznania choroby konieczne jest wykluczenie innych podobnych histopatologicznie chorób. Materiał do badania jest uzyskiwany za pomocą biopsji lub w wyniku operacyjnej resekcji zmiany[29][1].
Badania obrazowe
Włókniakomięsak nie daje charakterystycznego obrazu w badaniach radiologicznych, jednak stwierdzane nieprawidłowości naprowadzają na rozpoznanie mięsaka. Zatem badania obrazowe stanowią wstępny etap diagnostyczny choroby. Największe znaczenie w diagnostyce ma rezonans magnetyczny, mniejsze zastosowanie w diagnostyce wykazuje tomografia komputerowa (TK), która jest najbardziej przydatna w diagnostyce przerzutów w płucach oraz zmian w przestrzeni pozaotrzewnowej, gdzie jej skuteczność jest porównywalna do rezonansu magnetycznego[30]. Ultrasonografia (USG) może być zastosowana we wstępnej diagnostyce obrazowej[30]. W rezonansie magnetycznym włókniakomięsak zwykle jest widoczny jako owalna lub nieregularna zmiana, która może być skojarzona z inwazją sąsiednich struktur. W obrazach T1-zależnych guz wykazuje niski lub pośredni sygnał, w DWI pośredni lub nieznacznie wysoki sygnał, a w obrazach T2-zależnych heterogenny pośrednio-wysoki sygnał[31]. Granice zmian o wysokim stopniu złośliwości są niewyraźne w obrazach T2-zależnych. Obszary śluzowate, jakie wstępują w śluzakowłókniakomięsaku, wykazują wysoki sygnał w obrazach T2-zależnych. Obszary o niskim sygnale w obrazach T1 i T2-zależnych mogą odpowiadać regionom o niskiej komórkowości i wysokiej zawartości kolagenu. Podanie kontrastu gadolinowego powoduje nieregularne wzmocnienie guza[31].
Biopsja
Standardowym postępowaniem po stwierdzeniu zmiany mogącej odpowiadać mięsakowi jest wykonanie biopsji gruboigłowej z kilku miejsc w guzie, a przy niewielkich zmianach powierzchniowych biopsji wycinającej. Nie zaleca się biopsji cienkoigłowej z powodu małej ilości pobranego materiału, co utrudnia badanie cytologiczne, a także heterogeniczności guza[32][33][30]. Biopsja pomaga ustalić właściwe rozpoznanie mięsaka oraz ocenić jego złośliwość histologiczną, która ma duże znaczenie w planowaniu leczenia oraz oceny rokowania – niestety, stopień złośliwości nowotworu w bioptacie może zostać niedoszacowany. Biopsję, najlepiej pod kontrolą USG lub TK, planuje się w taki sposób, aby miejsce jej przebiegu w tkankach i powstająca po niej blizna w miarę możliwości mogły zostać wycięte podczas usuwania guza[30]. Biopsja nie jest wymagana przed leczeniem chirurgicznym, jeśli chory nie otrzymuje neoadiuwantowej chemioterapii ani radioterapii[34].
Badanie histopatologiczne
Badanie histopatologiczne umożliwia postawienie ostatecznej diagnozy włókniakomięsaka, która jest rozpoznaniem z wykluczenia innych podobnych morfologicznie chorób[29][1]. Złotym standardem rozpoznania mięsaka jest ocena cech morfologicznych guza oglądanych pod mikroskopem. Jednak ocena morfologiczna często bywa trudna, dlatego korzysta się z uzupełniających pomocniczych metod obejmujących metody konwencjonalnej cytogenetyki, badań molekularnych, immunohistochemii oraz oceny pod mikroskopem elektronowym[35][32]. Istotna jest ocena marginesów wycięcia guza oraz jego złośliwości histologicznej, a także ocena zajęcia węzłów chłonnych i obecności przerzutów odległych w badanym materiale. Opis badania powinien zawierać ocenę inwazji naczyń, martwicy, indeksu mitotycznego, obecności nacieku zapalnego oraz lokalizacji i wielkości guza[35][32].
Zaburzenia cytogenetyczne i badanie molekularne
Część podtypów włókniakomięsaka prezentuje nielosowe powtarzalne zaburzenia genetyczne, których oznaczenie ma pomocniczą rolę w diagnostyce histopatologicznej[32]. Najczęściej stosowanymi badaniami w diagnostyce genetycznej i molekularnej jest klasyczne badanie cytogenetyczne, fluorescencyjna hybrydyzacja in situ (FISH), reakcja łańcuchowa polimerazy (PCR)[36][35][32].
Włókniakomięsak typu dorosłych wykazuje liczne zaburzenia choromosomalne, jednak nie są one charakterystyczne, choć istnieją doniesienia o nielosowych zmianach w obrębie 2q21[37][38].
W większości przypadków włókniakomięsaka typu niemowlęcego występuje translokacja t(12;15)(p13;q26) skutkująca aktywacją do onkogenu genu receptora kinazy tyrozynowej NTRK3 (inaczej TRKC) poprzez wytworzenie białka fuzyjnego ETV6/NTRK3[39]. Niemal równie charakterystycznymi zmianami dla tego nowotworu są trisomie chromosomów 8, 11, 17 i 20[40][41].
W śluzakowłókniakomięsaku często występują triploidia i tetraploidia. Jednak nie opisano żadnej charakterystycznej nielosowej aberracji chromosomalnej[42]. Opisywano zmiany w postaci utraty fragmentów 6p i 13q oraz nabycie fragmentów 7p i 9q[43].
W większości przypadków włókniakomięsaka śluzowaciejącego niskiego stopnia występuje translokacja t(7;16)(q33;p11) wywołująca powstanie genu fuzyjnego FUS-CREB3L2[44][45], rzadziej występuje translokacja t(11;16)(p11;p11) z powstaniem białka fuzyjnego FUS-CREB3L1[46].
Immunohistochemia
Immunohistochemia jest metodą diagnostyczną pozwalającą na wykrywanie antygenów za pomocą określonych przeciwciał, które za pomocą odpowiednich odczynników tworzą reakcję barwną.
We włókniakomięsaku niemowląt immunohistochemicznie wykrywa się wimentynę niemal we wszystkich przypadkach, swoistą enolazę neuronową (NSE) w 35%, alpha-SMA (alpha-smooth muscle actin) w 33%, aktynę HHF35 w 29%. W poniżej 20% wykrywa się desminę, białko S100, CD34, CD57, CD68, czynnik XIIIa i CAM5 oraz cytokeratynę[41].
We włókniakomięsaku śluzowaciejącym niskiego stopnia immunohistochemicznie stwierdza się obecność wimentyny MUC4, a badanie wobec desminy, keratyny, białka S-100, EMA, CD34, i CD31 okazuje się negatywne[20][47][48].
W szkliwiejącym włókniakomięsaku z komórek nabłonkowatych stwierdza się obecność wimentyny, rzadziej SMA, S100 i cytokeratyny są dodatnie, a CD34, HMB45, CD68, desmina, GFAP i TP53 są ujemne[21][25][49][28].
Zaawansowanie kliniczne
Zaawansowanie włókniakomięsaka jest oceniane w klasyfikacji TNM dla mięsaków tkanek miękkich.
| Guz pierwotny – cecha T | |
| Tx | nie można ocenić guza pierwotnego |
| T0 | nie stwierdza się guza pierwotnego |
| T1 | guz mniejszy lub równy 5 cm |
| T1a | powierzchniowy guz |
| T1b | głęboki guz |
| T2 | guz powyżej 5 cm |
| T2a | powierzchniowy guz |
| T2b | głęboki guz |
| Zajęcie okolicznych węzłów chłonnych – cecha N | |
| Nx | nie można ocenić okolicznych węzłów chłonnych |
| N0 | nie stwierdza się przerzutów w okolicznych węzłach chłonnych |
| N1 | przerzuty obecne w węzłach chłonnych |
| Przerzuty odległe – cecha M | |
| M0 | nie stwierdza się przerzutów odległych |
| M1 | obecne przerzuty odległe |
| Stopień złośliwości histologicznej | ||||
| Stopień | G1 | G2 | G3 | |
| Punkty | 2–3 | 4–5 | 6–8 | |
| Kryteria | ||||
| Punkty | 0 | 1 | 2 | 3 |
| Zróżnicowanie guza | – | wysokie | pośrednie | niskie |
| Martwica | brak | <50% | >50% | – |
| Indeks mitotyczny | – | <10 | 10–19 | >20 |
| Stopień zaawansowania | Cecha T | Cecha N | Cecha M | Cecha G |
| IA | T1a | N0 | M0 | Gx |
| T1b | N0 | M0 | Gx | |
| T1a | N0 | M0 | G1 | |
| T1b | N0 | M0 | G1 | |
| IB | T2a | N0 | M0 | Gx |
| T2a | N0 | M0 | Gx | |
| T2a | N0 | M0 | G1 | |
| T2b | N0 | M0 | G1 | |
| IIA | T1a | N0 | M0 | G2 |
| T1b | N0 | M0 | G3 | |
| T1b | N0 | M0 | G2 | |
| T1b | N0 | M0 | G3 | |
| IIB | T2a | N0 | M0 | G2 |
| T2b | N0 | M0 | G2 | |
| III | T2a | N0 | M0 | G3 |
| T2b | N0 | M0 | G3 | |
| każde T | N1 | M0 | każde G | |
| IV | każde T | każde N | M1 | każde G |
Leczenie
Leczenie włókniakomięsaka typu dorosłych polega na wykonaniu chirurgicznej resekcji zmiany w zakresie zdrowych tkanek i następnie przeprowadzeniu adiuwantowej radioterapii[50][51].
Podstawową metodą leczenia włókniakomięsaka u niemowląt jest chirurgiczna resekcja guza w zakresie zdrowych tkanek, która mimo szybkiego wzrostu guza zwykle jest osiągalna. Jest to chemiowrażliwy guz i w chemioterapii stosuje się schematy VA (winkrystyna, daktynomycyna), VAC (winkrystyna, daktynomycyna, cyklofosfamid), CAV (winkrystyna, doksorubicyna, cyklofosfamid) w protokole RMS-79, IVA (ifosfamid, winkrystyna, daktynomycyna) oraz VAIA (winkrystyna, daktynomycyna, ifosfamid, doksorubicyna) w protokole RMS-88 i RMS-96[15][52]. Schemat VA jest programem leczniczym pierwszego rzutu[53]. Jeśli pierwotna całkowita resekcja jest niemożliwa, to stosuje się neoadiuwantową chemioterapię bez antracyklin i leków alkilujących, wówczas również poprzedza ona leczenie chirurgiczne u chorych z dużym ryzykiem nawrotu. Radioterapia i rozległe okaleczające zabiegi są stosowane w niepowodzeniu chemioterapii ratującej[15][54]. Skuteczność adiuwantowej chemioterapii nie jest potwierdzona i nie jest ona standardowym postępowaniem[15].
Leczenie włókniakomięsaka śluzowaciejącego niskiego stopnia jest oparte na chirurgicznym wycięciu zmiany w zakresie zdrowych tkanek, a adiuwantowa radioterapia jest zalecana u chorych z wysokim ryzykiem nawrotu i w przypadku nieuzyskania ujemnych marginesów podczas resekcji guza. Ze względu na niskie tempo wzrostu guza raczej nie stosuje się adiuwantowej chemioterapii. W chemioterapii choroby przerzutowej stosuje się doksorubicynę[55].
Szkliwiejący włókniakomięsak z komórek nabłonkowatych w chorobie zlokalizowanej jest leczony chirurgicznie. Adiuwantowa chemioterapia nie jest stosowana ze względu na niski wskaźnik odpowiedzi. Chemioterapia w chorobie rozsianej jest oparta na doksorubicynie[56].
Chirurgia onkologiczna
Całkowita, radykalna onkologicznie resekcja jest złotym standardem leczenia włókniakomięsaka[12][57][51]. Standardowo wykonuje się szerokie wycięcie zmiany nowotworowej w obrębie zdrowych tkanek (tzw. mikroskopowo ujemne marginesy chirurgiczne – resekcje R0). Wymagana wielkość marginesu jest uzależniona od stopnia złośliwości guza i możliwości technicznych przeprowadzenia zabiegu, która zależy od naciekanych przez guz ważnych struktur anatomicznych i możliwości ich wycięcia bez nadmiernego okaleczania chorego[30].
Nowotwór w obrębie kończyny może wymagać jej amputacji, która jest konieczna w przypadku zmiany nieresekcyjnej, nawrotu lub w lokalizacji guza, która uniemożliwia rekonstrukcję (naciekanie pęczka naczyniowo-nerwowego). Stosuje się różne techniki chirurgiczne oszczędzające kończynę, które mogą wymagać leczenia uzupełniającego. Amputacja redukuje odsetek nawrotów, jednak nie zwiększa odsetka przeżycia całkowitego[57]. Z powodu ogromnego znaczenia lokalnej kontroli mięsaka, szczególnie przy typach o niskiej złośliwości, należy rozważyć reoperację w ośrodku referencyjnym w przypadku niepełnej resekcji nowotworu, szczególnie w resekcji niedoszczętnej makroskopowo (R2). Reoperacja może wymagać zastosowania leczenia neoadiuwantowego[30].
W przypadku obecności metachronicznych (do 1 roku) pojedynczych przerzutów mięsaka do płuc można rozważyć ich wycięcie (metastazektomia). Wycięcie przerzutów płucnych bywa stosowane w pojedynczych ostrożnie wybranych przypadkach przerzutów synchronicznych, jeśli nowotwór odpowiednio odpowiada na chemioterapię[30]. Metastazektomia bywa wykorzystywana w leczeniu włókniakomięsaka, ale nie oceniono skuteczności tego postępowania w stosunku do tego typu nowotworu[58][59].
Radioterapia
Adiuwantowa radioterapia po leczeniu operacyjnym jest standardowym postępowaniem w leczeniu mięsaków tkanek miękkich o wielkości powyżej 5 cm i wysokiej złośliwości histologicznej (G2-G3). Mimo braku konsensusu co do skuteczności przeprowadza się radioterapię zmian mniejszych od 5 cm o wysokiej złośliwości[30]. W przypadku przewidywanych problemów z zagojeniem się rany pooperacyjnej zamiast adiuwantowej radioterapii może być przeprowadzona radioterapia neoadiuwantowa[30]. Radioterapia znajduje zastosowanie w leczeniu guzów, w których nie uzyskano resekcji doszczętnej onkologicznie z powodu niemożliwości pełnego wycięcia podczas reoperacji[30].
W przypadku włókniakomięsaka nie przeprowadzono badań nad skutecznością tej terapii, jednak adiuwantowa radioterapia po resekcji guza jest zalecana przez większość autorów[60].
Chemioterapia
Chemioterapia jest stosowana w zaawansowanych stadiach choroby w leczeniu neoadiuwantowym, uzupełniającym i paliatywnym.
Chemioterapia neoadiuwantowa bywa stosowana w bardziej zaawansowanych stadiach włókniakomięsaka typu dorosłych (stadium IIB i III)[57][61]. Pełni też ona dużą rolę w leczeniu włókniakomięsaka u niemowląt, pozwala ona przeprowadzić mniej rozległy zabieg chirurgiczny[15]. W przypadku włókniakomięsaka niemowlęcego w leczeniu neoadiuwantowym i choroby uogólnionej stosuje się schematy VA (wikrystyna, daktynomycyna), VAC (winkrystyna, daktynomycyna, cyklofosfamid), CAV (winkrystyna, doksorubicyna, cyklofosfamid) w protokole RMS-79, IVA (ifosfamid, winkrystyna, daktynomycyna) oraz VAIA (winkrystyna, daktynomycyna, ifosfamid, doksorubicyna) w protokole RMS-88 i RMS-96. Schemat VA jest schematem pierwszego rzutu[15].
Adiuwantowa chemioterapia nie jest zalecana jako standardowe postępowanie w mięsakach tkanek miękkich u dorosłych, ale może być rozważona u chorych z wysokim ryzykiem nawrotu (guzy o wysokim stopniu złośliwości, wielkość >5 cm)[30]. Nie jest standardowym leczeniem włókniakomięsaka niemowląt[15], włókniakomięsaka śluzowaciejącego niskiego stopnia[55] i szkliwiejącego włókniakomięsaka z komórek nabłonkowatych[56].
W przypadku stwierdzenia przerzutów odległych w leczeniu włókniakomięsaka, podobnie jak innych mięsaków, stosuje się chemioterapię opartą na doksorubicynie (adrianomycyna)[62]. W leczeniu, obok doksorubicyny, stosuje się aktymomycynę D (daktynomycyna) i ifosfamid[63]. Największą aktywność wykazuje doksorubicyna i aktymomycyna D, które osiągają odsetek odpowiedzi całkowitych w różnych typach mięsaków tkanek miękkich wynoszący odpowiednio 20–26% dla doksorubicyny i 15–20% dla aktynomycyny D[63][64].
Etiologia
Nie poznano czynników predysponujących do włókniakomięsaka. Nowotwór powstaje de novo, choć opisano przypadki jego występowania w bliźnie pooparzeniowej, w pobliżu ciała obcego lub po napromieniowaniu[65][11].
Rokowanie
Włókniakomięsak typu dorosłych jest źle rokującym mięsakiem. Nie ma dużych badań oceniających rokowanie uwzględniających nową definicję choroby. Prawdopodobnie[b] lokalny nawrót występuje u 20–45% leczonych[12], a przerzuty odległe u 20–30% chorych[12], które najczęściej pojawiają się w płucach oraz kościach (szczególnie do szkieletu osiowego)[66][67][37]. Przeżycie pięcioletnie osiąga około 40–60% leczonych[12][66][67][37][8]. Złymi czynnikami rokowniczymi jest wysoki stopień złośliwości, wysoki indeks mitotyczny, wysoka komórkowość guza, niska zawartość kolagenu, martwica oraz średnica guza powyżej 5 cm[37].
Włókniakomięsak u niemowląt charakteryzuje się dobrym rokowaniem, odsetek wyleczeń sięga 80%, a 90% chorych osiąga dziesięcioletnie przeżycie całkowite[15][54].
Włókniakomięsak śluzowaciejący niskiego stopnia cechuje się dobrym rokowaniem. Nawroty dotyczą około 30% chorych, głównie z powodu niecałkowitej resekcji[60]. Przerzuty odległe, zwykle do płuc, pojawiają się u 5–20% chorych[21][20][60].
Szkliwiejący włókniakomięsak z komórek nabłonkowatych charakteryzuje duży odsetek nawrotów sięgający 50%. U 40% dochodzi do powstania przerzutów odległych w ciągu 5–8 lat[68].
Śluzakowłókniakomięsak u 60% chorych nawraca po resekcji. Pięcioletnie przeżycie osiąga 40–60% chorych[69].
Historia
Mięsaki po raz pierwszy zostały wydzielone jako osobna grupa nowotworów przez Rudolfa Virchowa[70]. Podzielił on mięsaki tkanek miękkich na 6 typów i wyróżnił między innymi włókniakomięsaka[71].
Wielokrotnie uściślano definicję i kryteria rozpoznania włókniakomięsaka, z którego wydzielano kolejne nowe typy nowotworów i choroba była coraz rzadziej rozpoznawana. W 1936 roku włókniakomięsak stanowił aż 65% wszystkich mięsaków rozpoznawanych w Mayo Clinic, w 1974 już tylko 12%, a obecnie włókniakomięsak stanowi około 1% mięsaków tkanek miękkich[1][9].
W 1987 Evans po raz pierwszy wyróżnił włókniakomięsak śluzowaciejący niskiego stopnia jako odmianę włókniakomięsaka[72][6]. Szkliwiejący włókniakomięsak z komórek nabłonkowatych po raz pierwszy został opisany przez J.M. Meis-Kindblom w 1995 roku[21].
Klasyfikacja ICD10
| kod ICD10 | nazwa choroby |
|---|---|
| ICD-10: C49 | Nowotwór złośliwy tkanki łącznej i innych tkanek miękkich |
| ICD-10: C49.0 | Tkanka łączna i inne tkanki miękkie głowy, twarzy i szyi |
| ICD-10: C49.1 | Tkanka łączna i inne tkanki miękkie kończyny górnej, łącznie z barkiem |
| ICD-10: C49.2 | Tkanka łączna i inne tkanki miękkie kończyny dolnej, łącznie z biodrem |
| ICD-10: C49.3 | Tkanka łączna i inne tkanki miękkie klatki piersiowej |
| ICD-10: C49.4 | Tkanka łączna i inne tkanki miękkie brzucha |
| ICD-10: C49.5 | Tkanka łączna i inne tkanki miękkie miednicy |
| ICD-10: C49.6 | Tkanka łączna i inne tkanki miękkie tułowia, umiejscowienie nieokreślone |
| ICD-10: C49.8 | Zmiana przekraczająca granice jednego umiejscowienia w obrębie tkanki łącznej i tkanek
miękkich |
| ICD-10: C49.9 | Tkanka łączna i inne tkanki miękkie, umiejscowienie nieokreślone |
Uwagi
Przypisy
- 1 2 3 4 5 6 Goldblum, Weiss i Folpe 2013 ↓, s. 310.
- 1 2 Meyers 2011 ↓, s. 433.
- ↑ Piotr Rutkowski, Zbigniew I. Nowecki: Mięsaki tkanek miękkich u dorosłych. Warszawa: Medical Tribune Polska, 2009. ISBN 978-83-601-3569-3.
- ↑ Folpe i Inwards 2010 ↓, s. 63.
- ↑ Hornick 2013 ↓, s. 75.
- 1 2 S. Furudate, T. Fujimura, Y. Kambayashi, A. Tsukada i inni. Multiple low-grade fibromyxoid sarcoma on the upper arms with atypical histological presentation. „Case Rep Dermatol”. 5 (2), s. 152–155, May 2013. DOI: 10.1159/000351791. PMID: 23741216.
- ↑ Anna Nasierowska-Guttmejer, Barbara Górnicka: Zalecenia do diagnostyki histopatologicznej nowotworów. Warszawa: Centrum Onkologii, Oddział Gliwice; Polskie Towarzystwo Patologów, 2013, s. 350. ISBN 978-83-909137-1-1.
- 1 2 A. Bahrami, A.L. Folpe. Adult-type fibrosarcoma: A reevaluation of 163 putative cases diagnosed at a single institution over a 48-year period. „Am J Surg Pathol”. 34 (10), s. 1504–1513, Oct 2010. DOI: 10.1097/PAS.0b013e3181ef70b6. PMID: 20829680.
- 1 2 Kransdorf i Murphey 2006 ↓, s. 271–272.
- ↑ Z. Burningham, M. Hashibe, L. Spector, J.D. Schiffman. The epidemiology of sarcoma. „Clin Sarcoma Res”. 2 (1), s. 14, 2012. DOI: 10.1186/2045-3329-2-14. PMID: 23036164.
- 1 2 3 4 Fletcher, Unni i Mertens 2002 ↓, s. 100.
- 1 2 3 4 5 6 Folpe i Inwards 2010 ↓, s. 67.
- 1 2 3 4 Goldblum, Weiss i Folpe 2013 ↓, s. 311.
- ↑ D. Harms. New entities, concepts, and questions in childhood tumor pathology. „Gen Diagn Pathol”. 141 (1), s. 1–14, May 1995. PMID: 8542501.
- 1 2 3 4 5 6 7 8 D. Orbach, A. Rey, G. Cecchetto, O. Oberlin i inni. Infantile fibrosarcoma: management based on the European experience. „J Clin Oncol”. 28 (2), s. 318–323, Jan 2010. DOI: 10.1200/JCO.2009.21.9972. PMID: 19917847.
- 1 2 3 4 Fletcher, Unni i Mertens 2002 ↓, s. 98.
- 1 2 3 4 Goldblum, Weiss i Folpe 2013 ↓, s. 318.
- 1 2 3 4 5 6 7 8 9 Fletcher, Unni i Mertens 2002 ↓, s. 102.
- 1 2 3 Fletcher, Unni i Mertens 2002 ↓, s. 104.
- 1 2 3 4 5 A.L. Folpe, K.L. Lane, G. Paull, S.W. Weiss. Low-grade fibromyxoid sarcoma and hyalinizing spindle cell tumor with giant rosettes: a clinicopathologic study of 73 cases supporting their identity and assessing the impact of high-grade areas. „Am J Surg Pathol”. 24 (10), s. 1353–1360, Oct 2000. PMID: 11023096.
- 1 2 3 4 5 6 7 J.M. Meis-Kindblom, L.G. Kindblom, F.M. Enzinger. Sclerosing epithelioid fibrosarcoma. A variant of fibrosarcoma simulating carcinoma. „Am J Surg Pathol”. 19 (9), s. 979–993, Sep 1995. PMID: 7661286.
- 1 2 3 Goldblum, Weiss i Folpe 2013 ↓, s. 324.
- ↑ H.L. Evans. Low-grade fibromyxoid sarcoma: a clinicopathologic study of 33 cases with long-term follow-up. „Am J Surg Pathol”. 35 (10), s. 1450–1462, Oct 2011. DOI: 10.1097/PAS.0b013e31822b3687. PMID: 21921785.
- 1 2 T.G. Grunewald, I. von Luettichau, G. Weirich, A. Wawer i inni. Sclerosing epithelioid fibrosarcoma of the bone: a case report of high resistance to chemotherapy and a survey of the literature. „Sarcoma”. 2010, s. 431627, 2010. DOI: 10.1155/2010/431627. PMID: 20396630.
- 1 2 C.R. Antonescu, M.K. Rosenblum, P. Pereira, A.G. Nascimento i inni. Sclerosing epithelioid fibrosarcoma: a study of 16 cases and confirmation of a clinicopathologically distinct tumor. „Am J Surg Pathol”. 25 (6), s. 699–709, Jun 2001. PMID: 11395547.
- ↑ C. Prieto-Granada, L. Zhang, H.W. Chen, Y.S. Sung i inni. A genetic dichotomy between pure sclerosing epithelioid fibrosarcoma (SEF) and hybrid SEF/low-grade fibromyxoid sarcoma: a pathologic and molecular study of 18 cases. „Genes Chromosomes Cancer”. 54 (1), s. 28–38, Jan 2015. DOI: 10.1002/gcc.22215. PMID: 25231134.
- 1 2 3 4 C. Ossendorf, G.M. Studer, B. Bode, B. Fuchs. Sclerosing epithelioid fibrosarcoma: case presentation and a systematic review. „Clin Orthop Relat Res”. 466 (6), s. 1485–1491, Jun 2008. DOI: 10.1007/s11999-008-0205-8. PMID: 18340502.
- 1 2 3 Fletcher, Unni i Mertens 2002 ↓, s. 106.
- 1 2 Brennan, Antonescu i Maki 2012 ↓, s. 197.
- 1 2 3 4 5 6 7 8 9 10 11 12 13 14 P.G. Casali, J.Y. Blay, A. Bertuzzi, S. Bielack i inni. Soft tissue and visceral sarcomas: ESMO Clinical Practice Guidelines for diagnosis, treatment and follow-up. „Ann Oncol”. 25 Suppl 3, s. iii102-12, Sep 2014. DOI: 10.1093/annonc/mdu254. PMID: 25210080.
- 1 2 Meyers 2011 ↓, s. 435.
- 1 2 3 4 5 R. Grimer, I. Judson, D. Peake, B. Seddon. Guidelines for the management of soft tissue sarcomas. „Sarcoma”. 2010, s. 506182, 2010. DOI: 10.1155/2010/506182. PMID: 20634933.
- ↑ H.A. Domanski. Fine-needle aspiration cytology of soft tissue lesions: diagnostic challenges. „Diagn Cytopathol”. 35 (12), s. 768–773, Dec 2007. DOI: 10.1002/dc.20765. PMID: 18008345.
- ↑ M. von Mehren, R.L. Randall, R.S. Benjamin, S. Boles i inni. Soft tissue sarcoma, version 2.2014. „J Natl Compr Canc Netw”. 12 (4), s. 473–483, Apr 2014. PMID: 24717567.
- 1 2 3 M. von Mehren, R.S. Benjamin, M.M. Bui, E.U. Conrad. Soft tissue sarcoma, version 1.2015. „National Comprehensive Cancer Network”. PMID: 22878820.
- ↑ J.D. Pfeifer, D.A. Hill, M.J. O’Sullivan, L.P. Dehner. Diagnostic gold standard for soft tissue tumours: morphology or molecular genetics?. „Histopathology”. 37 (6), s. 485–500, Dec 2000. PMID: 11122430.
- 1 2 3 4 Fletcher, Unni i Mertens 2002 ↓, s. 101.
- ↑ J. Limon, A. Szadowska, M. Iliszko, M. Babińska i inni. Recurrent chromosome changes in two adult fibrosarcomas. „Genes Chromosomes Cancer”. 21 (2), s. 119–123, Feb 1998. PMID: 9491323.
- ↑ B.P. Rubin, C.J. Chen, T.W. Morgan, S. Xiao i inni. Congenital mesoblastic nephroma t(12;15) is associated with ETV6-NTRK3 gene fusion: cytogenetic and molecular relationship to congenital (infantile) fibrosarcoma. „Am J Pathol”. 153 (5), s. 1451–1458, Nov 1998. DOI: 10.1016/S0002-9440(10)65732-X. PMID: 9811336.
- ↑ D.E. Schofield, J.A. Fletcher, H.E. Grier, E.J. Yunis. Fibrosarcoma in infants and children. Application of new techniques. „Am J Surg Pathol”. 18 (1), s. 14–24, Jan 1994. PMID: 8279625.
- 1 2 Fletcher, Unni i Mertens 2002 ↓, s. 99.
- ↑ Fletcher, Unni i Mertens 2002 ↓, s. 103.
- ↑ Goldblum, Weiss i Folpe 2013 ↓, s. 319.
- ↑ I. Panagopoulos, C.T. Storlazzi, C.D. Fletcher, J.A. Fletcher i inni. The chimeric FUS/CREB3l2 gene is specific for low-grade fibromyxoid sarcoma. „Genes Chromosomes Cancer”. 40 (3), s. 218–228, Jul 2004. DOI: 10.1002/gcc.20037. PMID: 15139001.
- ↑ A. Matsuyama, M. Hisaoka, S. Shimajiri, T. Hayashi i inni. Molecular detection of FUS-CREB3L2 fusion transcripts in low-grade fibromyxoid sarcoma using formalin-fixed, paraffin-embedded tissue specimens. „Am J Surg Pathol”. 30 (9), s. 1077–1084, Sep 2006. DOI: 10.1097/01.pas.0000209830.24230.1f. PMID: 16931951.
- ↑ L. Guillou, J. Benhattar, C. Gengler, G. Gallagher i inni. Translocation-positive low-grade fibromyxoid sarcoma: clinicopathologic and molecular analysis of a series expanding the morphologic spectrum and suggesting potential relationship to sclerosing epithelioid fibrosarcoma: a study from the French Sarcoma Group. „Am J Surg Pathol”. 31 (9), s. 1387–1402, Sep 2007. DOI: 10.1097/PAS.0b013e3180321959. PMID: 17721195.
- ↑ Fletcher, Unni i Mertens 2002 ↓, s. 105.
- ↑ S. Indap, M. Dasgupta, N. Chakrabarti, A. Agarwal. Low grade fibromyxoid sarcoma (Evans tumour) of the arm. „Indian J Plast Surg”. 47 (2), s. 259–262, May 2014. DOI: 10.4103/0970-0358.138973. PMID: 25190926.
- ↑ A. Kanno, M. Hatori, M. Hosaka, K.N. Kishimoto i inni. Multiple bone metastasis of sclerosing epithelioid fibrosarcoma 12 years after initial surgery-increasing ki-67 labeling index. „Sarcoma”. 2009, s. 953750, 2009. DOI: 10.1155/2009/953750. PMID: 19343182.
- ↑ Hornick 2013 ↓, s. 76.
- 1 2 Brennan, Antonescu i Maki 2012 ↓, s. 197–198.
- ↑ H. Russell, M.J. Hicks, A.A. Bertuch, M. Chintagumpala. Infantile fibrosarcoma: clinical and histologic responses to cytotoxic chemotherapy. „Pediatr Blood Cancer”. 53 (1), s. 23–27, Jul 2009. DOI: 10.1002/pbc.21981. PMID: 19340853.
- ↑ Brennan, Antonescu i Maki 2012 ↓, s. 196–197.
- 1 2 W.S. Ferguson. Advances in the adjuvant treatment of infantile fibrosarcoma. „Expert Rev Anticancer Ther”. 3 (2), s. 185–191, Apr 2003. DOI: 10.1586/14737140.3.2.185. PMID: 12722878.
- 1 2 Brennan, Antonescu i Maki 2012 ↓, s. 189–194.
- 1 2 Brennan, Antonescu i Maki 2012 ↓, s. 194–195.
- 1 2 3 Cuschieri i George 2013 ↓, s. 367.
- ↑ D. Petrov, M. Stanoev, M. Plochev, E. Goranov i inni. Surgical treatment of pulmonary metastases-surgical methods, early and long-term results. „Khirurgiia (Sofiia)”, s. 5–10, 2008. PMID: 20063468.
- ↑ T.C. Mineo, V. Ambrogi, M. Paci, N. Iavicoli i inni. Transxiphoid bilateral palpation in video-assisted thoracoscopic lung metastasectomy. „Arch Surg”. 136 (7), s. 783–788, Jul 2001. PMID: 11448391.
- 1 2 3 Hornick 2013 ↓, s. 80.
- ↑ A.E. Waddell, A.M. Davis, H. Ahn, J.S. Wunder i inni. Doxorubicin-cisplatin chemotherapy for high-grade nonosteogenic sarcoma of bone. Comparison of treatment and control groups. „Can J Surg”. 42 (3), s. 190–199, Jun 1999. PMID: 10372015.
- ↑ Q. Bao, H. Niess, R. Djafarzadeh, Y. Zhao i inni. Recombinant TIMP-1-GPI inhibits growth of fibrosarcoma and enhances tumor sensitivity to doxorubicin. „Target Oncol”. 9 (3), s. 251–261, Sep 2014. DOI: 10.1007/s11523-013-0294-5. PMID: 23934106.
- 1 2 M. Lehnhardt, L. Klein-Hitpass, C. Kuhnen, H.H. Homann i inni. Response rate of fibrosarcoma cells to cytotoxic drugs on the expression level correlates to the therapeutic response rate of fibrosarcomas and is mediated by regulation of apoptotic pathways. „BMC Cancer”. 5, s. 74, 2005. DOI: 10.1186/1471-2407-5-74. PMID: 16001973.
- ↑ V.H. Bramwell, D. Anderson, M.L. Charette. Doxorubicin-based chemotherapy for the palliative treatment of adult patients with locally advanced or metastatic soft tissue sarcoma. „Cochrane Database Syst Rev”, s. CD003293, 2003. DOI: 10.1002/14651858.CD003293. PMID: 12917960.
- ↑ Kransdorf i Murphey 2006 ↓, s. 272.
- 1 2 D.J. Pritchard, F.H. Sim, J.C. Ivins, E.H. Soule i inni. Fibrosarcoma of bone and soft tissues of the trunk and extremities. „Orthop Clin North Am”. 8 (4), s. 869–881, Oct 1977. PMID: 917469.
- 1 2 S.M. Scott, H.M. Reiman, D.J. Pritchard, D.M. Ilstrup. Soft tissue fibrosarcoma. A clinicopathologic study of 132 cases. „Cancer”. 64 (4), s. 925–931, Aug 1989. PMID: 2545330.
- ↑ Fletcher, Unni i Mertens 2002 ↓, s. 107.
- ↑ V. Dewan, A. Darbyshire, V. Sumathi, L. Jeys i inni. Prognostic and survival factors in myxofibrosarcomas. „Sarcoma”. 2012, s. 830879, 2012. DOI: 10.1155/2012/830879. PMID: 22736953.
- ↑ James S. Olson: The History of Cancer: An Annotated Bibliography. Greenwood Press Inc., 1989, s. 270. ISBN 0-313-25889-9.
- ↑ Leonard F. Peltier: Orthopedics: A History and Iconography. Norman Publishing, 1993. ISBN 978-0-930405-47-2.
- ↑ H.L. Evans. Low-grade fibromyxoid sarcoma. A report of two metastasizing neoplasms having a deceptively benign appearance. „Am J Clin Pathol”. 88 (5), s. 615–619, Nov 1987. PMID: 3673943.
Bibliografia
- Christopher D.M. Fletcher, K. Krishnan Unni, Fredrik Mertens: Pathology and Genetics of Tumours of Soft Tissue and Bone. Lyon: IARC Press, 2002.
- John R. Goldblum, Sharon W. Weiss, Andrew L. Folpe: Enzinger and Weiss’s Soft Tissue Tumors. Wyd. 6. Elsevier Health Sciences, 2013. ISBN 978-0323088343.
- Jason L. Hornick: Practical Soft Tissue Pathology: A Diagnostic Approach. Elsevier Health Sciences, 2013. ISBN 978-1-4557-3814-4.
- Vincent T. DeVita, Theodore S. Lawrence, Steven A. Rosenberg: Devita, Hellman & Rosenberg’s Cancer: Principles & Practice of Oncology. Wyd. 8. Lippincott Williams & Wilkins, 2008. ISBN 978-0-7817-7207-5.
- Murray F. Brennan, Cristina R. Antonescu, Robert G. Maki: Management of Soft Tissue Sarcoma. Springer Science & Business Media, 2012. ISBN 978-1-4614-5004-7.
- Steven P. Meyers: MRI of Bone and Soft Tissue Tumors and Tumorlike Lesions: Differential Diagnosis and Atlas. Thieme, 2011. ISBN 978-1-58890-251-1.
- Alfred Cuschieri, Hanna George: Essential Surgical Practice: Higher Surgical Training in General Surgery. CRC Press, 2013. ISBN 978-1-4441-3762-0.
- Mark J. Kransdorf, Mark D. Murphey: Imaging of Soft Tissue Tumors. Lippincott Williams & Wilkins, 2006. ISBN 978-0-7817-4771-4.
- Andrew L. Folpe, Carrie Y. Inwards: Bone and Soft Tissue Pathology. Elsevier Health Sciences, 2010, s. 63–69. ISBN 978-0-443-06688-7.
Przeczytaj ostrzeżenie dotyczące informacji medycznych i pokrewnych zamieszczonych w Wikipedii.