Złamanie patologiczne
Złamanie patologiczne (łac. fractura pathologica) – złamanie kości zachodzące w wyniku drobnego urazu, a często bez uchwytnego urazu, przy czym struktura tkanki kostnej osłabiona jest w wyniku uogólnionego lub miejscowego procesu chorobowego. Może je wywołać nawet błahy uraz, który w warunkach fizjologicznych nie powoduje uszkodzenia.
Do najczęstszych przyczyn złamania patologicznego należą:
- choroby nowotworowe kości:
- przerzuty nowotworowe do kości:
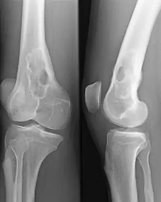
- pierwotne guzy kości:
- szpiczak mnogi
- odwapnienie (osteomalacja) i osteoliza w następstwie zapaleń swoistych lub nieswoistych – na przykład gruźlica kości
- miejscowe zmiany zwyrodnieniowe wrodzone lub nabyte tkanki kostnej
- zaburzenia osteogenezy – wrodzona łamliwość kości, osteoporoza (znaczny zanik tkanki kostnej), choroba Pageta
- wtórne odwapnienie/zanik kostny w następstwie: zaburzeń hormonalnych (np. osteodystrofia nerkowa), naczynioruchowych (zespół Sudecka) i unerwienia, awitaminoz, chorób spichrzeniowych, unieruchomienia i nieczynności, toksycznego uszkodzenia nerwów i tkanki kostnej (alkoholizm, cukrzyca, kiła), uszkodzenia macierzy i zdolności do regeneracji kości poprzez energię promienistą lub elektryczną oraz uszkodzeń jatrogennych.
Złamaniu patologicznemu może ulegać w zasadzie każda kość, najgroźniejsze są jednak złamanie szyjki kości udowej oraz mnogie złamania kompresyjne kręgów.
W przebiegu licznych złamań kompresyjnych dochodzi do postępującego zmniejszania się wzrostu, niekiedy do tego stopnia, że łuki żebrowe opierają się na talerzach kości biodrowej. Prowadzi to do niewydolności oddechowej, niewydolności krążenia i zaburzeń funkcjonowania przewodu pokarmowego, rzadkie są uszkodzenia rdzenia kręgowego i wynikające stąd porażenia poprzeczne. Najczęstszą przyczyną mnogich złamań kompresyjnych jest osteoporoza.
Leczenie
Leczenie zależy od przyczyny złamania. Najważniejsze jest zapobieganie złamaniom poprzez, dostosowaną indywidualnie do przypadku, terapię choroby podstawowej.
Rodzaje postępowania:
- leczenie ortopedyczne – nastawienie i unieruchomienie złamania, aż do uzyskania zrostu kostnego
- przeszczepienie (autogeniczne lub z materiałem alloplastycznym) – zastąpienie uszkodzonego odcinka kości
- amputacja lub wyłuszczenie w stawie – niekiedy w przypadku nowotworów (gdy jest to konieczne)
Bibliografia
- Roman Góral Zarys chirurgii (Warszawa 1992) ISBN 83-200-1657-6.
- Interna Harrisona (Lublin 2000) ISBN 83-88063-43-X.
- Ryszard Brzozowski Vademecum lekarza praktyka (Warszawa 2001) ISBN 83-200-2389-0.
- Gerd Herold Medycyna wewnętrzna (Warszawa 2005) ISBN 83-200-3018-8.
- Tadeusz Szymon Gaździk: Ortopedia i traumatologia dla studentów medycyny. Warszawa: PZWL, 1998, s. 63. ISBN 83-200-2221-5.
Przeczytaj ostrzeżenie dotyczące informacji medycznych i pokrewnych zamieszczonych w Wikipedii.