Guz olbrzymiokomórkowy kości
| tumor gigantocellularis ossis | |
![]() | |
| Klasyfikacje | |
| ICD-10 | |
|---|---|
Guz olbrzymiokomórkowy kości (łac. tumor gigantocellularis ossis, czasem niesłusznie nazywany osteoclastoma) jest rzadkim, zazwyczaj łagodnym nowotworem kości charakteryzującym się obecnością wielojądrzastych komórek olbrzymich podobnych do osteoklastów.
Epidemiologia
Guz olbrzymiokomórkowy kości stanowi 4-5% pierwotnych guzów kości, ale aż 20% łagodnych nowotworów tej tkanki to właśnie guz olbrzymiokomórkowy; większą zapadalność obserwuje się u osób chińskiego pochodzenia[1]. Najczęściej rozwija się między 20 a 40 rokiem życia, z nieco większą częstotliwością u kobiet. W rzadkich przypadkach może być powikłaniem choroby Pageta[2][3].
Morfologia
Obraz makroskopowy
Większość przypadków rozwija się w nasadach kości długich, głównie w dalszej części kości udowej, bliższej piszczeli, bliższej kości ramiennej lub dalszej promieniowej. Niemal zawsze są to zmiany pojedyncze, incydentalne zmiany mnogie należy różnicować z nadczynnością przytarczyc, w której można zaobserwować osteoklasty podobne do komórek olbrzymich guza olbrzymiokomórkowego. Makroskopowo guz jest ciemnobrązowy, co związane jest z jego bogatym unaczynieniem, czasem widoczne są ogniska martwicy lub zmiany torbielowate.
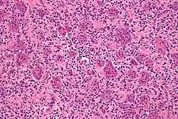
Obraz mikroskopowy
Guz olbrzymiokomórkowy kości składa się z dwu populacji komórek:
- okrągłych lub owalnych komórek jednojądrowych, będących właściwymi komórkami nowotworowymi. Ich pochodzenie nie jest jasne; podejrzewa się, że pochodzą z prymitywnych mezenchymalnych komórek pnia lub z histiocytów; niektóre badania ukazują w nich ekspresję markerów typowych dla linii osteoblastycznej[4], co wskazywałoby na ten kierunek pochodzenia. Obserwuje się w nich liczne, ale wyglądające prawidłowo figury podziałowe. W rzadkich przypadkach złośliwych tylko ta populacja wykazuje cechy anaplazji.
- komórek olbrzymich, wielojądrzastych, podobnych do osteoklastów, które prawdopodobnie są komórkami odczynowymi powstałymi z makrofagów. Istnieją jednak badania wskazujące jako drogę ich powstania zlanie się jednojądrzastych komórek nowotworowych.
Obraz kliniczny
Podstawowym objawem jest ból i obrzęk; ze względu na lokalizację często są one mylnie rozpoznawane jako zapalenie stawu. Często obserwuje się ograniczoną ruchomość, w zaawansowanych przypadkach może dojść do złamań patologicznych.
Jest to niemal zawsze zmiana łagodna, lecz często cechuje ją nieprzewidywalny przebieg – histologicznie łagodna, usunięta zmiana może dawać miejscowe wznowy lub nawet przerzuty do płuc[5]; w odróżnieniu jednak od przerzutów typowo złośliwych nowotworów, po chirurgicznym ich usunięciu rokowanie jest bardzo dobre[6]. Rzadkie postaci złośliwe to około 5-10% wszystkich przypadków, rozwijają się one jako zmiany pierwotne lub na podłożu guzów łagodnych. Stosunkowo częstą przyczyną złośliwienia jest uprzednia radioterapia[7].
Diagnostyka
- badanie rentgenowskie ukazuje tkankę kostną częściowo przepuszczalną dla promieniowania.
- magnetyczny rezonans jądrowy pozwala określić zmiany w tkance kostnej i szpiku, a także ocenić zajęcie sąsiedniego stawu. W większości przypadków w guzie widoczna jest hemosyderyna[8]
- tomografia komputerowa jest przydatna przy planowaniu leczenia operacyjnego, zazwyczaj w połączeniu z badaniem rentgenowskim.
- badanie cytopatologiczne materiału pobranego przez biopsję cienkoigłową pozwala uwidocznić obie populacje komórek występujących w guzie. Zarówno bioptaty zmiany pierwotnej jak i ognisk przerzutowych w części przypadków wykazują w oznaczeniach immunohistochemicznych ekspresję białek Ki-67 oraz p53. Wszystkie komórki wielojądrzaste oraz 30% jednojądrzastych reagują z przeciwciałem KP-1[5]. Innymi markerami obserwowanymi w tym badaniu są niektóre aktywatory plazminogenu oraz ich inhibitory[9]
- Udowodniono wysoką czułość i specyficzność sekwencjonowania metodą Sangera w wykrywaniu mutacji genu H3F3A w GCTB, co umożliwia postawienie pewnego rozpoznania GCTB.[10]
Leczenie
Leczeniem z wyboru jest resekcja chirurgiczna lub, w przypadkach nie przekraczających okostnej, wyłyżeczkowanie. W wielu przypadkach interwencja chirurgiczna wiąże się z upośledzeniem funkcji przylegającego stawu. Jeśli lokalizacja guza nie pozwala na wykonanie zabiegu, alternatywą jest radioterapia, niesie ona jednak ryzyko zezłośliwienia zmiany.
Badania z 2012 roku wykazały wysoką skuteczność leku denosumab, który skierowany jest przeciwko białku RANK, które pobudza proces degradacji kości[11]. Lek został zatwierdzony przez EMA oraz FDA do stosowania u dorosłych oraz młodzieży, która osiągnęła dojrzałość szkieletową, w przypadku nieresekcyjnych guzów lub takich, których resekcja wiąże się ze znacznym kalectwem. W takich samych wskazaniach został dopuszczony do obrotu w Kanadzie i Australii[12]. W Polsce denosumab jest dostępny w ramach programu lekowego B.134.jednakże, nie zawsze może być podawany np. u dzieci, u których nie nastąpiło zakończenie wzrostu.
Historia
Guz olbrzymiokomórkowy kości został po raz pierwszy opisany w XVIII wieku przez Coopera[13]. Pierwszy dokładniejszy opis pochodzi z 1940 – Jaffe i Lichtenstein odróżnili ten typ nowotworu od innych zmian kostnych zawierających komórki olbrzymie[14]. W 1977 Lichtenstein stwierdził, że komórki olbrzymie obserwowane w guzie olbrzymiokomórkowym nie są osteoklastami[15].
Przypisy
- ↑ Sung HW, Kuo DP, Shu WP, et al. Giant-cell tumor of bone: analysis of two hundred and eight cases in Chinese patients. „J Bone Joint Surg Am”. 64(5):755-61, Jun 1982. PMID: 7045129.
- ↑ Gebhart M, Vandeweyer E, Nemec E. Paget's disease of bone complicated by giant cell tumor. „Clin Orthop”. (352):187-93, Jul 1998. PMID: 9678047.
- ↑ Hoch B, Hermann G, Klein MJ, Abdelwahab IF, Springfield D. Giant cell tumor complicating Paget disease of long bone. „Skeletal Radiol”, Apr 14 1998. PMID: 17437100.
- ↑ Ghert M, Simunovic N, Cowan RW, Colterjohn N, Singh G. Properties of the stromal cell in giant cell tumor of bone. „Clin Orthop Relat”. 459:8-13, Jun 2007. PMID: 17327805.
- 1 2 Cai G, Ramdall R, Garcia R, Levine P. Pulmonary metastasis of giant cell tumor of the bone diagnosed by fine-needle aspiration biopsy. „Diagn Cytopathol”. 35(6):358-62, Jun 2007. PMID: 17497658.
- ↑ Siebenrock KA, Unni KK, Rock MG. Giant-cell tumour of bone metastasising to the lungs. A long-term follow-up. „J Bone Joint Surg Br”. 80(1):43-7, Jan 1998. PMID: 9460951.
- ↑ Murphey MD, Nomikos GC, Flemming DJ, Gannon FH, Temple HT, Kransdorf MJ. From the archives of AFIP. Imaging of giant cell tumor and giant cell reparative granuloma of bone: radiologic-pathologic correlation. „Radiographics”. 21(5):1283-309, 2001 Sep-Oct. PMID: 11553835.
- ↑ Aoki J, Tanikawa H, Ishii K, et al. MR findings indicative of hemosiderin in giant-cell tumor of bone: frequency, cause, and diagnostic significance. „AJR Am J Roentgenol”. 166(1):145-8, Jan 1996. PMID: 8571864.
- ↑ Gamberi G, Serra M, Ragazzini P, Magagnoli G, Pazzaglia L, Ponticelli F, Ferrari C, Zanasi M, Bertoni F, Picci P, Benassi MS. Identification of markers of possible prognostic value in 57 giant cell tumors of bone. „Oncol Rep”. 10(2):351-6, 2003 Mar-Apr. PMID: 12579271.
- ↑ Aneta Maria Borkowska i inni, Denosumab in Giant Cell Tumor of Bone: Multidisciplinary Medical Management Based on Pathophysiological Mechanisms and Real-World Evidence, „Cancers”, 14 (9), 2022, s. 2290, DOI: 10.3390/cancers14092290, ISSN 2072-6694, PMID: 35565419, PMCID: PMC9100084 [dostęp 2023-11-29].
- ↑ Denosumab w leczeniu guzów olbrzymiokomórkowych kości [online], www.alivia.org.pl [dostęp 2015-05-28] [zarchiwizowane z adresu 2015-05-28].
- ↑ Denosumab we wskazaniu nowotwór olbrzymiokomórkowy kości [online], aotm.gov.pl [dostęp 2015-05-28].
- ↑ Cooper A, Travers B. Surgical Essays. Cox and Son: London; 1818. p. 186-208.
- ↑ Jaffe HL, Lichtenstein L, Partis RB. Giant cell tumour of bone: Its pathological appearance, grading, supposed variants and treatment. „Arch Path”. 30:993-1031, 1940.
- ↑ Lichtenstein L. Bone tumours. 5 th ed. CV Mosby Co: Missouri; 1977. p. 127-59.
Bibliografia
- V. Kumar, R.S. Cotran, S.L. Robbins Patologia Urban & Partner, Wrocław 2005 ISBN 0-7216-9274-5
Zobacz też
- Giant Cell Tumor Imaging [online] (ang.).
Przeczytaj ostrzeżenie dotyczące informacji medycznych i pokrewnych zamieszczonych w Wikipedii.
