Zapalenie mózgu Rasmussena
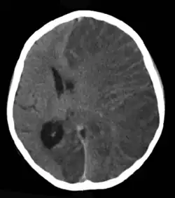
![]() Obraz w tomografii komputerowej głowy ośmioletniej dziewczynki z zapaleniem mózgu Rasmussena. | |
| Klasyfikacje | |
| ICD-10 |
G04.8 |
|---|---|

Zapalenie mózgu Rasmussena, zespół Rasmussena (ang. Rasmussen’s encephalitis, chronic focal encephalitis, CFE) – rzadkie przewlekłe, ogniskowe, zapalenie mózgu o niewyjaśnionej etiologii, które prowadzi do postępującego zaniku jednej półkuli mózgu[1][2][3]. Na obraz kliniczny choroby składają się drgawki kloniczno-toniczne albo napady złożone częściowe i padaczka częściowa ciągła oraz postępujące porażenie połowicze (zwłaszcza u dzieci i młodzieży)[4], zaburzenia funkcji poznawczych[5]. U części pacjentów wykryto przeciwciała skierowane przeciwko receptorom glutaminianowym typu 3 (GluR3).
Chorobę opisał jako pierwszy Theodore Rasmussen i wsp. w 1958 roku[3][6].
Epidemiologia
Zapalenie mózgu Rasmussena występuje głównie u dzieci i młodych dorosłych[1]. Jej częstość występowania to około 2–3/10 000 000 dzieci, zapadalność jest szacowana na 2,4/10 000 000 osób poniżej 18 roku życia na rok[2][7]. Nie donoszono o częstszym występowaniu u określonej płci czy grupy etnicznej[1].
Etiologia i patogeneza
Etiologia i patogeneza zapalenia mózgu Rasmussena nie została wyjaśniona.
Proponowano podłoże autoimmunologiczne[1][8] – wykrywa się autoprzeciwciała skierowane przeciw receptorowi glutaminergicznemu GluR3[9] i przeciw podjednostce alfa 7 neuronalnego receptora acetylocholinowego[5].
Ponadto obserwowano poprawę po gancyklowirze i wykryto genom wirusów CMV oraz HSV-1. Jednakże w badaniach ultrastukturalnych nie wykazano obecności cząstek wirusa[9].
Badania dodatkowe
Badania neuroobrazowe wykazują postępujący zanik płata skroniowego[9]. W MR na wczesnym etapie choroby w obrazach T2 i FLAIR stwierdza się ogniska o podwyższonym sygnale w obrębie kory mózgu po stronie uszkodzonej. W późniejszych fazach choroby występują cechy połowiczego zaniku mózgu[5].
W badaniu neuropatologicznym makroskopowo wykazano cechy ogniskowego zaniku o różnym nasileniu.
Mikroskopowo cechy przewlekłego zapalenia mózgu z wieloogniskowymi naciekami zapalnymi, często zgrupowanymi wokół naczyń, złożonymi głównie z limfocytów T. Ponadto występują: neuronofagia, grudki mikroglejowe i cechy zgąbczenia z towarzyszącą reaktywną astroglejozą powierzchownych warstw kory. Zmiany są najbardziej nasilone w korze. Obserwuje się zanik komórek piramidowych formacji hipokampa. Charakterystyczna jest proliferacja naczyń włosowatych[9].
EEG: ogniskowe zwolnienie i potencjały padaczkokształtne po stronie uszkodzonej. EPC (padaczka ogniskowa ciągła – nawracające ogniskowe napady drgawkowe bez zaburzeń świadomości) jest często niewidoczne z odprowadzeń powierzchniowych[5].
Leczenie
Leczenie farmakologiczne zwykle nieskuteczne. Hemisferektomia lub hemisferotomia – 90% dzieci, które były poddane tego typu leczeniu, było wolnych od napadów[5].
Przypisy
- 1 2 3 4 Sophia Varadkar, Christian G. Bien, Carol A. Kruse, Frances E. Jensen i inni. Rasmussen’s encephalitis: clinical features, pathobiology, and treatment advances. „Lancet neurology”. 13 (2), s. 195–205, 2014-2. DOI: 10.1016/S1474-4422(13)70260-6. ISSN 1474-4422. PMID: 24457189. PMCID: PMC4005780.
- 1 2 Geoffrey C. Owens, Kate L. Erickson, Colin C. Malone, Calvin Pan i inni. Evidence for the involvement of gamma delta T cells in the immune response in Rasmussen encephalitis. „Journal of Neuroinflammation”. 12, 2015-07-19. DOI: 10.1186/s12974-015-0352-2. ISSN 1742-2094. PMID: 26186920. PMCID: PMC4506578.
- 1 2 Guoming Luan, Qing Gao, Yuguang Guan, Feng Zhai i inni. Upregulation of Adenosine Kinase in Rasmussen Encephalitis. „Journal of Neuropathology and Experimental Neurology”. 72 (11), s. 1000–1008, 2013-11. DOI: 10.1097/01.jnen.0000435369.39388.5c. ISSN 0022-3069. PMID: 24128682. PMCID: PMC3815008.
- ↑ Neurologia. Podręcznik dla studentów medycyny. Wojciech Kozubski, Paweł P. Liberski (red.). Warszawa: Wydawnictwo Lekarskie PZWL, 2006, s. 404. ISBN 83-200-3244-X.
- 1 2 3 4 5 Fields i inni, Rowan, podstawy EEG z miniatlasem, wyd. Wyd. 2 pol., Wrocław: Edra Urban & Partner, [cop. 2017], ISBN 978-83-65835-02-4, str. 147, 159
- ↑ Rasmussen T, Olszewski J, Lloydsmith D. Focal seizures due to chronic localized encephalitis. „Neurology”. 8 (6), s. 435–445, czerwiec 1958. PMID: 13566382.
- ↑ Christian G. Bien i inni, Rasmussen encephalitis: incidence and course under randomized therapy with tacrolimus or intravenous immunoglobulins, „Epilepsia”, 54 (3), 2013, s. 543–550, DOI: 10.1111/epi.12042, ISSN 1528-1167, PMID: 23216622 [dostęp 2018-01-04].
- ↑ Carlos Cepeda i inni, In Rasmussen Encephalitis, Hemichannels Associated with Microglial Activation are linked to Cortical Pyramidal Neuron Coupling: A Possible Mechanism for Cellular Hyperexcitability, „CNS neuroscience & therapeutics”, 21 (2), 2015, s. 152–163, DOI: 10.1111/cns.12352, ISSN 1755-5930, PMID: 25438677, PMCID: PMC4303544 [dostęp 2018-01-05].
- 1 2 3 4 P.P. Liberski, W. Papierz, Neuropatologia Mossakowskiego, 2005, s. 338, 340.
Przeczytaj ostrzeżenie dotyczące informacji medycznych i pokrewnych zamieszczonych w Wikipedii.
