Zespół Churga-Strauss

Eozynofilowa ziarniniakowatość z zapaleniem naczyń
(zespół Churga-Strauss)
Ilustracja
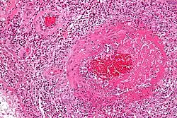
Eozynofilowe zapalenie naczyń, charakterystyczny objaw zespołu Churga–Strauss (mikrofotografia, barwienie H-E).
Klasyfikacje
ICD-10

M30.1

DiseasesDB

2685

MeSH

D015267

Zespół Churga-Strauss, alergiczne ziarniniakowe zapalenie naczyń, eozynofilowe ziarniniakowe zapalenie naczyń, eozynofilowa ziarniniakowatość z zapaleniem naczyń – rzadko występująca choroba, którą zalicza się do pierwotnych układowych zapaleń naczyń. Po raz pierwszy opisana została w 1951 roku, przez amerykańskich naukowców: lekarza Jacoba Churga i patolog Lotte Strauss.

Zgodnie z najnowszymi rekomendacjami, ustalonymi na Chappel Hill Consensus Conference on the Nomenclature of Systemic Vasculitis w 2012 roku, zespół Churga-Strauss został przemianowany na eosinophilic granulomatosis with polyangiitis (eozynofilową ziarniniakowatość z zapaleniem wielonaczyniowym). Jest to motywowane całościowym usuwaniem nazw eponimicznych z klasyfikacji zapaleń naczyń[1].

Pokrewne schorzenia z zapaleniem naczyń średniego kalibru to:

Zespół Churga-Strauss przebiega zwykle pod postacią kliniczną ciężkiej astmy oskrzelowej, a we krwi obecne są przeciwciała przeciw cytoplazmie neutrofilów.

Przebieg

Faza prodromalna
Pojawia się u osób w wieku 20–40 lat; występują objawy alergicznego nieżytu nosa, polipów nosa i astmy oskrzelowej (zwykle po 30 roku życia).
Faza eozynofilii
Dochodzi do eozynofilii tkanek, głównie płuc i przewodu pokarmowego.
Faza zapalenia naczyń
Rozpoczyna się po około 3 latach trwania choroby, ale może też być znacznie później.

Rozpoznanie

Kryteria rozpoznania choroby

Badania laboratoryjne, obrazowe i histopatologiczne

Objawy stwierdzane w badaniach to:

Leczenie

Po rozpoznaniu zespołu Churga-Strauss leczenie rozpoczyna się od:

Leczenie podtrzymujące, po uzyskaniu poprawy, kontynuuje się w mniejszych dawkach przez 12–18 miesięcy. Jeśli występują nawroty, konieczne jest leczenie bezterminowe.

Rokowanie

Zgon jest spowodowany najczęściej zajęciem:

Przypisy

  1. JC. Jennette, RJ. Falk, PA. Bacon, N. Basu i inni. 2012 revised International Chapel Hill Consensus Conference Nomenclature of Vasculitides.. „Arthritis Rheum”. 65 (1), s. 1-11, Jan 2013. DOI: 10.1002/art.37715. PMID: 23045170.

Bibliografia

Linki zewnętrzne

Przeczytaj ostrzeżenie dotyczące informacji medycznych i pokrewnych zamieszczonych w Wikipedii.