Zespół Neua-Laxovy


Zespół Neua-Laxovy (zespół Neua-Povysilovy, ang. Neu-Laxová syndrome, Neu’s syndrome, Neu-Povysilová syndrome, NLS) – letalny zespół wewnątrzmacicznego zahamowania wzrostu i mnogich malformacji.
Fenotyp
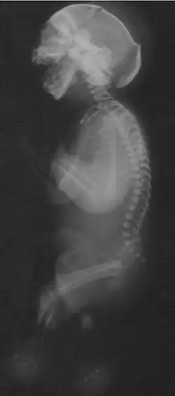
Do obrazu klinicznego tego rzadkiego zespołu należy długa lista wad wrodzonych, w tym:
- wady ośrodkowego układu nerwowego:
- lissencefalia
- agenezja ciała modzelowatego
- mikrogyria
- mikrocefalia
- nasilony obrzęk tkanki podskórnej
- rybia łuska (ichthyosis)
- atrofia mięśni
- nieprawidłowo ułożone palce
- stałe przykurcze stawów (artrogrypoza)
- wady nerek
- wady serca
- wydatna pięta
- syndaktylia palców stóp
- hipoplastyczne narządy płciowe zewnętrzne
- hiperteloryzm oczny
- brak powiek
- skrócenie szyi.
Rokowanie jest bez wyjątku złe. Płody z zespołem Neua-Laxovy są albo ronione, albo umierają w okresie okołoporodowym. Najdłuższy odnotowany okres przeżycia wynosił 134 dni[2].
Etiologia
Etiologia schorzenia nie jest znana. Kariotyp wszystkich zbadanych przypadków zespołu był prawidłowy[3]. Stwierdzono autosomalnie recesywne dziedziczenie choroby[4]; stosunkowo często w wywiadzie rodzinnym występuje bliskie pokrewieństwo rodziców[1][4][5][6][7].
Rozpoznanie
Możliwa jest diagnostyka prenatalna zespołu przy użyciu ultrasonografii. USG płodu jest zalecane w rodzinach w których stwierdzono wystąpienie przypadków schorzenia[1][8][9].
Różnicowanie
Diagnostyka różnicowa zespołu Neua-Laxovy obejmuje:
- zespół mózgowo-oczno-twarzowo-szkieletowy (COFS, OMIM#214150, OMIM#610758, OMIM#610756, OMIM#278780)
- zespół Walkera-Walburga (OMIM#236670)
- zespół Peny-Shokeira (OMIM%208150)
- zespół Smitha-Lemliego-Opitza (OMIM#270400)
- zespół Millera-Diekera (OMIM#247200)[10].
Charakterystyczną cechą zespołu Neua-Laxovy odróżniającą go od pozostałych fenotypów chorobowych jest nasilony obrzęk tkanki podskórnej[1].
Historia
Po raz pierwszy zespół opisali amerykańscy genetycy Richard L. Neu i wsp. w 1971 roku[11]. Renata Laxova, amerykańska genetyczka czeskiego pochodzenia, rok później razem ze współpracownikami opisała następną trójkę niemowląt[12]. Zespół czeskich genetyków pod kierownictwem Viery Povysilovej przedstawił też szereg kolejnych przypadków w kolejnej pracy z 1976 roku[13]. G. Lazjuk w opisie przypadku z 1979 roku zaproponował termin Neu-Laxova syndrome[14], ale w piśmiennictwie obok eponimu zespołu Neua-Laxovy spotyka się też nazwy zespołu Neua i zespołu Neua-Povysilcovy[15]. Do dziś w piśmiennictwie medycznym przedstawiono około czterdziestu przypadków zespołu[16][17].
Przypisy
- 1 2 3 4 5 Aslan H, Gul A, Polat I, Mutaf C, Agar M, Ceylan Y. Prenatal diagnosis of Neu-Laxova syndrome: a case report. „BMC Pregnancy and Childbirth”. 2 (1), 2002. DOI: 10.1186/1471-2393-2-1. PMID: 11895570. (ang.).
- ↑ Hirota T, Hirota Y, Asagami C, Muto M. A Japanese case of Neu-Laxova syndrome. „J Dermatol”. 25 (3), s. 163–166, 1998. PMID: 9575678.
- ↑ Broderick K, Oyer R, Chatwani A. Neu-Laxova syndrome: a case report. „Am J Obstet Gynecol”. 158 (3 Pt 1), s. 574–575, 1988. PMID: 3348318.
- ↑ Fitch N, Resch L, Rochon L. The Neu-Laxova syndrome: comments on syndrome identification. „Am J Med Genet”. 13, s. 445–452, 1982. PMID: 6891564.
- ↑ Kuseyri F, Bilge I, Bilgiç L, Apak MY. Neu-Laxova syndrome: report of a case from Turkey. „Clin Genet”. 43 (5), s. 267–269, 1993. PMID: 8375108.
- ↑ Abdel Meguid N, Temtamy SA. Neu Laxova syndrome in two Egyptian families. „Am J Med Genet”. 41 (1), s. 30–31, 1991. PMID: 1951459.
- ↑ Muller LM, de Jong G, Mouton SCE, Greeff MJ, Kirby P, Hewlett R, Jordaan HF. A case of the Neu-Laxova syndrome: prenatal ultrasonographic monitoring in the third trimester and the histopathological findings. „Am J Med Genet”. 26, s. 421–429, 1987. PMID: 3544847.
- ↑ Shapiro I, Borochowitz Z, Degani S, Dar H, Ibschitz I, Sharf M. Neu-Laxova syndrome: prenatal ultrasonographic diagnosis, clinical and pathological studies, and new manifestations. „Am J Med Genet”. 43, s. 602–605, 1992. PMID: 1605256.
- ↑ Kenneth Lyons Jones, David W Smith: Smith’s Recognizable Patterns Of Human Malformation. Wyd. 5th ed. Philadelphia: Saunders, 2005, s. 180–182. ISBN 0-7216-0615-6.
- ↑ Neu RL, Kajii T, Gardner LI, Nagyfy SF, King S. A lethal syndrome of microcephaly with multiple congenital anomalies in three siblings. „Pediatrics”. 47, s. 610–612, 1971. PMID: 5547878.
- ↑ Laxova R, Ohdra PT, Timothy JA. A further example of a lethal autosomal recessive condition in sibs. „Journal of Mental Deficiency Research”. 16, s. 139–143, 1972.
- ↑ Povysilová, V, Macek, M, Salichova, J, Seemanova, E. Letální syndrom mnohocetnych malformaci u tri sourozencu. „Ceskoslovenska Pediatrie”. 31, s. 190–194, 1976. PMID: 1277373.
- ↑ Lazjuk GI, Lurie IW, Ostrowskaja TI, Cherstvoy ED, Kirillova IA, Nedzved MK, Usoev SS. The Neu-Laxova syndrome--a distinct entity. „Am J Med Genet”. 3, s. 261–267, 1979. PMID: 225952.
- ↑ Neu-Laxová syndrome w bazie Who Named It (ang.)
- ↑ King JA, Gaedner V, Chen H, et al. Neu-Laxova syndrome: pathological evaluation of a fetus and review of the literature. „Pediatr Pathol Lab Med”. 15, s. 57, 1995. PMID: 8736598.
- ↑ Rouzbahani L. New manifestations in an infant with Neu-Laxova syndrome. „Am J Med Genet”. 56, s. 239, 1995. PMID: 7625453.
Linki zewnętrzne
- NEU-LAXOVA SYNDROME; NLS w bazie Online Mendelian Inheritance in Man (ang.)
Przeczytaj ostrzeżenie dotyczące informacji medycznych i pokrewnych zamieszczonych w Wikipedii.